Abstract
Background
Pleuropulmonary blastoma (PPB) is a rare mesenchymal malignancy of the lung and is the most common pulmonary malignancy in infants and children. Cystic PPB, the earliest form of PPB occurring from birth to approximately two years of age, is often mistaken for a congenital pulmonary airway malformation, as the two entities can be difficult to distinguish on imaging and pathology. Diagnosis of PPB should prompt workup for DICER1 syndrome, an autosomal dominant tumor predisposition syndrome. We report a newborn with a congenital PPB presenting with tachypnea and hypoxia, who was found to have variant of uncertain clinical significance (VUS) in DICER1.
Case presentation
A term female infant developed respiratory distress shortly after birth. Initial imaging was concerning for a congenital pulmonary airway malformation versus congenital diaphragmatic hernia, and she was transferred to a quaternary neonatal intensive care unit for management and workup. Chest CT angiography demonstrated a macrocytic multicystic lesion within the right lower lobe without systemic arterial supply. The pediatric surgery team was consulted, and the neonate underwent right lower lobectomy. Pathology revealed a type I PPB. Oncology and genetics consultants recommended observation without chemotherapy and single gene sequencing of DICER1, which identified a germline VUS in DICER1 predicted to alter splicing. RNA-sequencing from blood demonstrated that the variant resulted in an in-frame deletion of 29 amino acids in a majority of transcripts from the affected allele. Due to the patient’s young age at presentation and high clinical suspicion for DICER1 syndrome, tumor surveillance was initiated. Renal and pelvic ultrasonography were unremarkable.
Conclusion
We present the case of a term neonate with respiratory distress and cystic lung mass, found to have a type I PPB with a germline VUS in DICER1 that likely increased her risk of DICER1-related tumors. Nearly 70% of patients with PPB demonstrate germline mutations in DICER1. Review of RNA sequencing data demonstrates the difficulty in classifying splice variants such as this. Penetrance is low, and many patients with pathogenic DICER1 variants do not develop a malignancy. Best practice surgical and oncologic recommendations include an individualized approach and tumor board discussion. This case highlights the importance of a multidisciplinary team approach and the utility of international registries for patients with rare diagnoses.
Keywords: Neonatal intensive care unit, pleuropulmonary blastoma, congenital pulmonary airway malformation, DICER1, DICER1 syndrome, RNA sequencing
Background
Pleuropulmonary blastoma (PPB) is a rare mesenchymal malignancy of the lung, with an incidence of 25–50 cases per year in the United States [1, 2]. Cystic PPB, the earliest form of PPB occurring from birth to approximately two years of age, [3–5] is often mistaken for a congenital pulmonary airway malformation (CPAM), as the two entities can be difficult to distinguish on imaging and pathology [6–8]. Diagnosis of PPB should prompt workup for DICER1syndrome, a cancer predisposition syndrome strongly associated with PPB [9]. We report a newborn with a congenital PPB presenting with tachypnea and hypoxia, who was found to have a variant of uncertain clinical significance (VUS) in DICER1 predicted to alter mRNA splicing. RNA-sequencing of blood-derived RNA confirmed that the variant resulted in a 29-amino acid in-frame deletion in a minority of transcripts, suggesting possible increased risk for the development of PPB and other DICER1-related tumors. This orthogonal data allowed us to reclassify the variant as likely pathogenic using DICER1-specific classification criteria [10, 11]. Together, the patient’s phenotype and laboratory findings are highly suspicious for DICER1 syndrome. This case represents a PPB diagnosis at a very early age and demonstrates how RNA-sequencing might be used to clarify a VUS identified by clinical genetic testing.
Case presentation
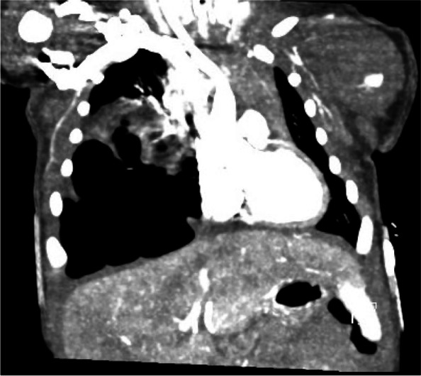
A 3.055-kg term female infant was born via Cesarean section due to failure to progress after induction of labor for gestational hypertension following an otherwise uncomplicated pregnancy. No resuscitation was required at birth and APGAR scores were 8 and 9 at 1 and 5 min, respectively. At 14 h of life, the neonate developed respiratory distress and hypoxia following breastfeeding, necessitating transfer to the neonatal intensive care unit (NICU) where she was placed on 6 L high flow nasal cannula and a maximum FiO2 of 0.26. The initial exam was significant for diminished breath sounds on the right chest, intermittent tachypnea, and bilateral mild subcostal retractions. Chest x-ray obtained on admission to the NICU was concerning for a possible congenital diaphragmatic hernia (CDH) versus multicystic mass causing a left shift (Fig. 1). An ultrasound of the lung demonstrated a right multicystic mass at the base concerning for CPAM and an intact diaphragm. The neonate was transported to a Level IV NICU for further multidisciplinary evaluation and management. Repeat chest x-ray was read as a right CDH versus CPAM filling much of the right chest with leftward mediastinal shift. Chest CT angiography demonstrated a macrocytic multicystic lesion within the right lower lobe without systemic arterial supply (Fig. 2). The pediatric surgery team was consulted, and the neonate underwent right lower lobectomy on day of life 4.
Fig. 1.

Initial chest radiograph demonstrates a possible congenital diaphragmatic hernia versus multicystic mass causing a left shift
Fig. 2.

Chest computed tomography angiogram demonstrates a macrocystic multicystic lesion within the right lower lobe without systemic arterial supply
Pathology revealed a type I PPB. The oncology and genetics teams were consulted and recommended close observation without chemotherapy, as well as single gene sequencing of DICER1 because of concern for DICER1 syndrome. Concurrently, due to the patient’s very young age at presentation and high clinical suspicion for DICER1 syndrome, tumor surveillance was initiated while genetic testing was pending. Renal and pelvic ultrasonography were unremarkable. The neonate’s course was complicated by a right-sided pneumothorax necessitating chest tube placement; this resolved, and she was discharged home with the family on day of life 43 on room air with close follow-up with oncology, surgery, and pulmonology.
Peripheral blood sequencing of the DICER1 gene identified a heterozygous VUS (NM_177438.2:c.2523 A > G, p.Q841Q) that was absent from population databases and had not been previously reported. Computational tools [12–14] predicted that this synonymous variant would create a new splice acceptor site in exon 16 of DICER1leading to an in-frame deletion of 29 amino acids of exon 16 between the new acceptor site and the original acceptor site at the beginning of the exon. This exon is highly conserved through at least Zebrafish and the deleted region is predicted to form secondary structures including alpha and beta structures. Individuals with PPB and smaller deletions within this region have been reported [15]. Unfortunately, using computational tools alone, it was not possible to determine the frequency of aberrant transcript formation, limiting the interpretation of the variant’s clinical impact.
Paired tumor-peripheral blood sequencing of DICER1was sent and confirmed the VUS was present in the tumor [16]. In addition, the tumor was positive for a known pathogenic DICER1RNase IIIb domain mutation (c.5125G > A, p.D1709N) [17]. Clinical RNA sequencing was then performed to determine the impact of the VUS on splicing or expression. The clinical report stated that a minority of transcripts utilized the novel AG acceptor site resulting in an in-frame deletion of the first 29 amino acids of exon 16 and was interpreted as an indeterminate result by the clinical laboratory. No other splicing abnormalities were identified, and the clinical lab reported that DICER1expression was similar to tissue-matched controls. Thus, the c.2523 A > G variant remained a VUS. Review of the raw sequencing data obtained from the clinical testing lab revealed that 3/61 transcripts contained the c.2523 A > G variant (5% of all transcripts) and 9 of 70 mapped transcripts contained the 29 amino acid deletion. Thus, transcripts carrying the c.2523 A > G variant appeared to be underrepresented in the sequencing data. Furthermore, a single nucleotide polymorphism in the 3’UTR of DICER1 (g.14:95554142T > C) was observed in the RNA sequencing data at an allele frequency of 53% (present in 50 of 95 total mapped reads), suggesting that transcription of both alleles of DICER1 is occurring and are represented equally in the data. Thus, we were able to reclassify the variant as likely pathogenic using the variant interpretation guidelines (version 1.1.0) for DICER 1 developed by the ClinGen DICER1 and miRNA-processing gene expert panel using criteria PS3 (moderate), PS4 (supporting), PM2 (supporting), PP3 (supporting), and PP4 (supporting) which resulted in a modified Bayesian point score of 6 [10, 18].
The infant was enrolled on the International PPB Registry [19] and followed up with the oncology and pediatric surgery teams shortly after discharge. Given the young age of the patient, an observation-only approach, as opposed to adjuvant chemotherapy, was taken. CT chest imaging at 1-, 4-, 8-, and 14-months post-surgery did not identify recurrent tumor. The patient is now nearly 18 months post-surgery and is growing well with appropriate development. She exhibits no symptoms of respiratory distress. She will continue to receive surveillance for PPB recurrence or the development of additional neoplasms related to her presumed DICER1 syndrome. The patient’s parents were offered genetic testing for themselves but declined, therefore it is not certain whether this variant is de novo or inherited.
Discussion and conclusion
We present the case of a term neonate with respiratory distress, found to have a type I PPB and a germline VUS in DICER1 predicted to affect splicing. DICER1 is a member of the ribonuclease II family and is involved in the generation of microRNAs that modulate posttranscriptional gene expression. It is involved in many processes, including lung development, maintenance of stem cells, cell cycle progression, and tumorigenesis [20]. Individuals with pathogenic variants in DICER1 are at increased risk of certain malignancies including PPBs, cystic nephromas, ovarian Sertoli-Leydig Cell tumors, genitourinary sarcomas, neuroendocrine tumors, and several other sarcomas [7, 21]. Approximately 70% of all patients with PPB harbor germline mutations in DICER1 that can be identified with standard clinical testing [6–8]. More than 90% of PPBs have at least one somatic or germline pathogenic variant, making genetic sequencing of the tumor very informative [8, 9, 21]. Conversely, penetrance is relatively low, meaning many patients with pathogenic DICER1variants do not develop a malignancy during their lifetime. Recent estimates suggest that 5.3% of non-proband DICER1 carriers manifest a phenotype of DICER1 syndrome, not all of which are malignant, by the age of 10, increasing to 19% by age 50 [9]. Screening recommendations include surveillance for the broad range of associated tumors, with particular attention to the chest, abdomen/pelvis, and thyroid [7]. For patients with a diagnosed malignancy, additional surveillance is required.
Sequencing of DICER1 in the patient demonstrated a germline single nucleotide variant that did not change the amnio acid but was predicted by computational tools to alter splicing which was classified as a VUS. Sequencing of tumor tissue identified a known pathogenic variant in the RNase IIIb domain in addition to the germline VUS, likely representing a second hit. Clinical RNA-sequencing confirmed that the variant did indeed result in a 29-amino acid in-frame deletion in a majority of transcripts; however, because the clinical laboratory felt overall expression of DICER1was unchanged the result was classified as indeterminate. Review of the raw RNA sequencing data obtained from the clinical testing lab revealed that 3/61 transcripts contained the c.2523 A > G variant and 9 transcripts with aberrant splicing were identified. Thus, while interpreted as indeterminate by the clinical lab, the fact that only 5% of transcripts contained the c.2523 A > G variant, and the allele frequency of a 3’UTR variant was nearly 50% suggests that a majority of transcripts from that allele are aberrantly spliced. This highlights a challenge with clinical interpretation of RNA-seq data, the benefit of analyzing original sequencing data in uncertain cases, and the need for new technologies, such as long-read RNA sequencing which can capture full isoforms and simplify variant interpretation [22].
In summary, we present the case of a term neonate with a congenital type 1 PPB after presenting with respiratory distress, found to have a germline DICER1 VUS with altered transcriptional activity by RNA-seq. This case represents the earliest and most curable manifestations of PPB. PPB is a rare mesenchymal malignancy of the lung which may be mistaken for a CPAM due to similarities to PPB in both imaging and pathology. A diagnosis of PPB should always raise suspicion for DICER1 syndrome, and testing for germline mutations is warranted for patients, and, if positive, their first-degree relatives. DICER1 syndrome puts individuals at higher risk for other malignancies and a tumor surveillance protocol may be initiated. RNA sequencing is an emerging modality that may clarify VUSs identified by germline testing, but challenges with interpretation and varying practices among clinical laboratories may warrant reanalysis of original sequencing data to fully understand the impact of the genomic change under investigation.
Acknowledgements
We thank the family for their participation.
Abbreviations
- CDH
Congenital diaphragmatic hernia
- CPAM
Congenital pulmonary airway malformation
- NICU
Neonatal intensive care unit
- PPB
Pleuropulmonary blastoma
- VUS
Variant of uncertain significance
Authors’ contributions
AL, TO, DM and GB wrote the initial draft of the manuscript. NW, RS, MT, and MP critically reviewed the manuscript. All authors reviewed and edited the manuscript. All authors read and approved the final manuscript.
Funding
Support for RNA-sequencing came from the Seattle Children’s Foundation: Elizabeth and George Smith Endowment in Molecular Diagnostics. DEM is supported by NIH grant DP5OD033357.
Availability of data and materials
Not applicable.
Declarations
Ethics approval and consent to participate
Not applicable.
Consent for publication
Written consent was obtained from the patient’s caregiver as the patient is a minor.
Competing interests
The authors declare that they have no competing interests.
Footnotes
The original version of this article was revised: Author name correction.
Publisher’s Note
Springer Nature remains neutral with regard to jurisdictional claims in published maps and institutional affiliations.
Change history
5/25/2023
A Correction to this paper has been published: 10.1186/s40748-023-00161-5
Contributor Information
Allison N. J. Lyle, Email: Allison.Lyle@seattlechildrens.org
Timothy J. D. Ohlsen, Email: Timothy.Ohlsen@seattlechildrens.org
Danny E. Miller, Email: Danny.Miller@seattlechildrens.org
Gabrielle Brown, Email: Gabrielle.Brown@seattlechildrens.org.
Natalie Waligorski, Email: Natalie.Waligorski@seattlechildrens.org.
Rebecca Stark, Email: Rebecca.Stark@seattlechildrens.org.
Mallory R. Taylor, Email: Molly.Taylor@seattlechildrens.org
Mihai Puia-Dumitrescu, Email: mihaipd@uw.edu.
References
- 1.Priest JR, Andic D, Arbuckle S, Gonzalez-Gomez I, Williams G. Great vessel/cardiac extension and tumor embolism in pleuropulmonary blastoma: a report from the International Pleuropulmonary Blastoma Registry. Pediatr Blood Cancer. 2011;56(4):604–9. doi: 10.1002/pbc.22583. [DOI] [PubMed] [Google Scholar]
- 2.Knight S, Knight T, Khan A, Murphy AJ. Current management of pleuropulmonary blastoma: a surgical perspective. Child (Basel) 2019;25(6):86. doi: 10.3390/children6080086. [DOI] [PMC free article] [PubMed] [Google Scholar]
- 3.Dishop MK, Kuruvilla S. Primary and metastatic lung tumors in the pediatric population: a review and 25-year experience at a large children’s hospital. Arch Pathol Lab Med. 2008;1(7):1079–103. doi: 10.5858/2008-132-1079-PAMLTI. [DOI] [PubMed] [Google Scholar]
- 4.Ghosh M, Islam N, Ghosh A, et al. Pleuropulmonary blastoma developing in a case of misinterpreted congenital pulmonary airway malformation: a case report. Fetal Pediatr Pathol. 2018;37(5):377–86. doi: 10.1080/15513815.2018.1520943. [DOI] [PubMed] [Google Scholar]
- 5.Kumari K, Longchar M, Gunathilaka G, Narange P, Aggarwal S, Arava S. Type 1 pleuropulmonary blastoma presenting as congenital pulmonary airway malformation: a case report of 2 cases. Indian J Pathol Microbiol. 2019;62(4):595–98. doi: 10.4103/IJPM.IJPM_713_18. [DOI] [PubMed] [Google Scholar]
- 6.Messinger YH, Stewart DR, Priest JR, Williams GM, Harris AK, Schultz KAP, et al. Pleuropulmonary blastoma: a report on 350 central pathology-confirmed pleuropulmonary blastoma cases by the International Pleuropulmonary Blastoma Registry. Cancer. 2015;15(2):276–85. doi: 10.1002/cncr.29032. [DOI] [PMC free article] [PubMed] [Google Scholar]
- 7.Schultz KAP, Williams GM, Kamihara J, Stewart DR, Harris AK, Bauer AJ, et al. DICER1 and associated conditions: identification of at-risk individuals and recommended surveillance strategies. Clin Cancer Res. 2018;24(10):2251–61. doi: 10.1158/1078-0432.CCR-17-3089. [DOI] [PMC free article] [PubMed] [Google Scholar]
- 8.Schultz KA, Yang J, Doros L, Williams GM, Harris A, Stewart DR, et al. DICER1-pleuropulmonary blastoma familial tumor predisposition syndrome: a unique constellation of neoplastic conditions. Pathol Case Rev. 2014;19(2):90–100. doi: 10.1097/PCR.0000000000000027. [DOI] [PMC free article] [PubMed] [Google Scholar]
- 9.Stewart DR, Best AF, Williams GM, Harney LA, Carr AG, Harris AK, et al. Neoplasm risk among individuals with a pathogenic germline variant in DICER1. J Clin Oncol. 2019;10(8):668–76. doi: 10.1200/JCO.2018.78.4678. [DOI] [PMC free article] [PubMed] [Google Scholar]
- 10.Clinical Genome Resource. https://cspec.genome.network/cspec/ui/svi/doc/GN024. Accessed 2022-11-25.
- 11.Rehm HL, Berg JS, Brooks LD, Bustamente CD, Evans JP, Landrum MJ, et al. ClinGen—the Clinical Genome Resource. NEJM. 2015;372(23):2235–42. doi: 10.1056/NEJMsr1406261. [DOI] [PMC free article] [PubMed] [Google Scholar]
- 12.Riepe TV, Khan M, Roosing S, Cremers FPM, Hoen PAC. Benchmarking deep learning splice prediction tools using functional splice assays. Hum Mutat. 2021;42(7):799–810. doi: 10.1002/humu.24212. [DOI] [PMC free article] [PubMed] [Google Scholar]
- 13.Jaganathan K, Kyriazopoulou Panagiotopoulou SK, McRae JF, Darbandi SF. Knowles D, Li YI et al. Predicting splicing from primary sequencing with deep learning. Cell. 2019;176(3):535–548.e24. doi: 10.1016/j.cell.2018.12.015. [DOI] [PubMed] [Google Scholar]
- 14.Yeo G, Burge CB. Maximum entropy modeling of short sequence motifs with applications to RNA splicing signals. J Comput Biol. 2004;11(2–3):377–94. doi: 10.1089/1066527041410418. [DOI] [PubMed] [Google Scholar]
- 15.De Kock L, Wu MK, Foulkes WD. Ten years of DICER1 mutations: provenance, distribution and associated phenotypes. Hum Mut. 2019;40(1):1939–53. doi: 10.1002/humu.23877. [DOI] [PubMed] [Google Scholar]
- 16.Pritchard CC, Salipante SJ, Koehler K, Smith C, Scroggins S, Wood B, et al. Validation and implementation of targeted capture and sequencing for the detection of actionable mutation, copy number variation, and gene rearrangement in clinical cancer specimens. J Mol Diagn. 2014;16(1):56–67. doi: 10.1016/j.jmoldx.2013.08.004. [DOI] [PMC free article] [PubMed] [Google Scholar]
- 17.Klein S, Lee H, Ghahremani S, Kempert P, Ischander M, Teitell MA, et al. Expanding the phenotype of mutations in the DICER1: mosaic missense in the RNase IIIb domain of DICER1 cause GLOW syndrome. J Med Genet. 2014;51(5):294–302. doi: 10.1136/jmedgenet-2013-101943. [DOI] [PMC free article] [PubMed] [Google Scholar]
- 18.Tavtigian SV, Harrison SM, Boucher KM, Biesecker LG. Fitting a naturally scaled point system to the ACMG/AMP variant classification guidelines. Hum Mut. 2020;41(10):1734–37. doi: 10.1002/humu.24088. [DOI] [PMC free article] [PubMed] [Google Scholar]
- 19.Dehner LP, Schultz KA, Hill DA. Pleuropulmonary blastoma: more than a lung neoplasm of childhood. Mo Med. 2019;116(3):206–10. [PMC free article] [PubMed] [Google Scholar]
- 20.Wagh PK, Gardner MA, Ma X, Callahan M, Shannon JM, Wert SE, et al. Cell- and developmental stage-specific Dicer1 ablation in the lung epithelium models cystic pleuropulmonary blastoma. J Pathol. 2015;236(1):41–52. doi: 10.1002/path.4500. [DOI] [PMC free article] [PubMed] [Google Scholar]
- 21.Robertson JC, Jorcyk CL, Oxford JT. DICER1 syndrome: DICER1 mutations in rare cancers. Cancers (Basel). 2018;15(5):143. doi: 10.3390/cancers10050143. [DOI] [PMC free article] [PubMed] [Google Scholar]
- 22.Glinos DA, Garborcauskas G, Hoffman P, Ehsan N, Jiang L, Gokden A, Dai X, et al. Transcriptome variation in human tissues revealed by long-read sequencing. Nature. 2022;608(7922):353–9. doi: 10.1038/s41586-022-05035-y. [DOI] [PMC free article] [PubMed] [Google Scholar]
Associated Data
This section collects any data citations, data availability statements, or supplementary materials included in this article.
Data Availability Statement
Not applicable.
