Background:
Radiofrequency is frequently used for skin rejuvenation, localized fat elimination and cellulite treatment. It prompts the expression of thermal shock proteins that lead to dermal thickening as a result of collagen synthesis. The authors report a histological and clinical analysis of the arm subdermal changes before and after bipolar radiofrequency treatment plus liposuction to determine their benefits for arm contouring.
Methods:
Inclusion criteria included patients with stage 1, 2a, and 2b brachial ptosis (Duncan classification) and upper limb fat deposits who were considered candidates for third-generation ultrasound-assisted liposculpture plus radiofrequency-assisted lipolysis/skin tightening. Arm subdermal tissue samples (5 mm³) were analyzed before and after the intervention. We used 10% formaldehyde for tissue fixation and stained each sample with hematoxylin/eosin, Masson trichrome, and antibody markers against the cell cycle Ki-67 protein.
Results:
We analyzed a total of 12 biopsies from six patients who meet the inclusion/exclusion criteria. Histological findings with hematoxylin/eosin revealed hyperplastic and metaplastic changes with focal distribution within the papillary and reticular dermis. Masson trichrome staining showed an increase of the characteristic basophilia of thin type-I and type-III collagen fibers. In contrast, molecular analysis reported an increase in fibroblast activity mediated by the activation of the heat shock protein HSP47.
Conclusion:
Radiofrequency may be a great alternative to improve skin retraction in patients with mild to moderate brachial dermatochalasis through the activation of HSP47 heat shock protein and the production of type-I and type-III collagen.
Takeaways
Question: Does bipolar radiofrequency have any effects on collagen synthesis?
Findings: We carried out a clinical study along with an anatomopathological analysis of patients with dermatochalasis who underwent liposculpture plus bipolar radiofrequency treatment of the arm contour. Before and after biopsies (total: 12) from six patients showed dramatic hyperplastic and metaplastic changes with focal distribution within the papillary and reticular dermis and also an increase in fibroblast activity after radiofrequency treatment.
Meaning: Radiofrequency is an effective technology to improve skin retraction in patients with mild-to-moderate brachial dermatochalasis.
BACKGROUND
Modern plastic surgery currently considers multiple anatomic and aesthetic concepts that allow the surgeon to provide a wide range of outcomes that fit a particular population.1 In terms of liposuction, multiple innovations and modifications have been added to the original technique to improve results and reduce scarring and morbidity to the patient.2,3 Arm liposuction has been one of those of special interest among women, as aging and posterior sagging due to fat deposits are a common concern. Hoyos et al4,5 changed the perspective of traditional liposuction into a new standard of high-definition liposuction (HDL), where different planes and layers for carving end up in an improved aesthetic concept that follows the natural underlying anatomy of the individual. However, in certain cases for which HDL is not enough, introduction of new technologies such as radiofrequency (RF) comes at hand to enhance the aesthetic outcome. Nowadays, multiple medical specialties other than aesthetic and reconstructive plastic surgery, such as dermatology, ophthalmology, gynecology, and otorhinolaryngology, have taken advantage of RF due to its particular benefit of a minimally invasive technology and, above all, a great safety profile.6
RF is an electromagnetic energy source that produces an electric current at different frequencies, which provokes the movement of charged particles within a specific tissue. This subsequently generates a rising temperature depending on the target tissue.7,8 By the time heat reaches collagen fibers, hydrogen bonds are broken; then, fibers are shortened, and greater tension is achieved. Moreover, fibroblasts are stimulated to reorganize collagen fibers into new ones with greater tensile strength.7,9 The sum of RF effect will end up stimulating neo-collagen formation and generating localized lipolysis.10 This process brings up direct effects over the fibro-septal network situated in the subcutaneous space11: modifies different molecular pathways of collagen type 1, type 3 synthesis, and heat shock protein (HSP) expression. These influence both skin retraction and the healing process.12
HSPs are usually expressed after a variable number of conditions such as heat, toxins, hypoxia, ultraviolet radiation, infections, and tumors. Their role in cell repair and protection is fundamental after physiologic/environmental stress, which also aids in the organization of extracellular stress.2,13,14 This results in thermal stress due to RF that stimulate their response (increased expression) to damage, by creating new collagen fibers and a fresh epidermal surface. HSP27, HSP47, and HSP70 are the ones that have demonstrated a strong association with collagen fiber regeneration.15,16 All these molecular effects have made RF one of the most widely used systems in the world. It offers great clinical outcomes: (1) optimal soft tissue contraction through thermal coagulation (> 35% of tissue contraction after 12 months),17 with high efficacy among patients with excessive skin laxity and high body mass index; (2) an opportunity to perform ambulatory procedures under local anesthesia with minimum scarring. These allow the patient to return to their daily activities almost immediately18 (Table 1). We are reporting the changes of subdermal tissue caused by radiofrequency-assisted lipo-coagulation (BodyTite; INMODE aesthetics 2022, Lake Forest, Calif.) in patients with mild (I), moderate (IIa), and moderate-to-severe (IIb) brachial ptosis.19 We will analyze histological sections and photographs before and after treatment, with the aim to provide statements about clinical outcomes.
Table 1.
HSPs and Their Effects on Skin Tissue
| HSP | Effects |
|---|---|
| HSP27 | • New collagen formation • Prevents programmed cell death (apoptosis) • Collagen matrix contraction |
| HSP47 | • New collagen formation • Procollagen production • Collagen-assemble protein |
| HSP60 | • Mitochondrial signaling processes |
| HSP70 | • New collagen formation • Prevents programmed cell death (apoptosis) |
| HSP90 | • Intracellular signaling molecules |
MATERIALS AND METHODS
We enrolled patients with stages I, IIa, and IIb brachial ptosis according to Duncan classification. All patients underwent HDL of the arm in addition to radiofrequency-assisted skin retraction. Inclusion and exclusion criteria are portrayed in Table 2. Arm liposuction technique was part of HDL, which involves a three-step approach: (1) infiltration (tumescent solution: 1000 ml of saline + 1 ml of 1:1000 epinephrine + lidocaine 10 mg/kg); (2) fat emulsification through third-generation ultrasound (VASER; Bausch Health Companies Inc, Bothell, Wash.); and (3) power-assisted liposculpture by using MicroAire Liposuction System (MicroAire Surgical Instruments, LLC., Charlottesville, Va.). Then, a trained scrub nurse used a #15 blade to cut out a 5-mm3 full-skin-thick arm biopsy at 2 cm above the axillary fold over the posterior axillary line. Afterward, bipolar RF therapy (BodyTite) was applied over the posterior arm at a frequency of 1 mHz (cut-off temperatures: 40ºC and 70ºC for the external and internal electrodes, respectively). Probe is moved in a fanning-motion, and there were no more than two passes over the same area (cut-off temperature is reached). After that, the scrub nurse cut out a second biopsy just next to the prior one. IV medications used include antibiotic prophylaxis with cefazolin (2 gr IV, 60 minutes before incision) or clindamycin 600 mg IV (if allergic to beta-lactams), dexamethasone 8 mg, metoclopramide 10 mg, and ranitidine 50 mg. A professional photographer took records before surgery and during follow-up appointments at 2 days, and at 1, 3, 6, and 12 months. Both patients and surgeon were asked to answer a nonstandardized survey 3 to 6 months after surgery during postoperative appointments, to rate the results.
Table 2.
Inclusion and Exclusion Criteria
| Inclusion Criteria |
|---|
| • Ages between 18 and 65 years • ASA I and ASA II patients • BMI <30 kg/m2 • Patients who undergo brachial liposculpture at the moment of the intervention • Mild-to-moderate brachial dermatochalasis, including stages 1, 2a, 2b |
| Exclusion Criteria |
| • Underage • Pregnant or breast-feeding women • History of skin cancer or premalignant lesions • Users of pacemakers, internal defibrillators, active electrical implants in any part of the body • Plates, metal pins, silicone implants, or injected chemical substance • Cardiac disorders, epilepsy, uncontrolled hypertension, diabetes mellitus, thyroid dysfunction, liver, or kidney disease • Hemorrhagic coagulopathies or use of anticoagulants • Immunosuppressive diseases such as AIDS and HIV or use of immunosuppressive drugs • Any active condition in the treatment area, such as sores, psoriasis, eczema and rashes, skin disorders, keloids, abnormal wound healing, and very dry and fragile skin • Use of isotretinoin (Accutane, Roaccutane) in the 6 months before treatment • Laser treatment or chemicals on the treated area within 3-6 months before surgery (hyaluronic acid, fractional CO2 laser, micro needling, Morpheus, or other technologies) • Allergies • Mental disorders such as body dysmorphic disorder (BDD) • Any condition that the practitioner believes to be unsafe for the patient • Severe dermatochalasis in patients requiring brachioplasty • Patients with previous interventions on the arms (liposculpture, biopolymers) |
Biopsy Preservation
A circulating nurse took both samples and stored them in 10% formaldehyde (preservation) within a transport container of biologic specimens at room temperature. Each sample was taken to the laboratory technician, who ensured the proper fixation after 12 hours (to allow the tissues and cell structures to stabilize). Then, samples were dehydrated through a 20% alcohol-based battery (1 hour). Finally, samples were embedded in paraffin to form a block, which was subject to micrometer cuts for staining. Processing time per sample was ≈24–48 hours. All histological sections were stained with hematoxylin/eosin (HE), Masson trichrome (MT), and immunohistochemistry with antibodies against the Ki-67 cell cycle protein (specific marker of cell proliferation that is induced by the fibroblastic activity secondary to the heat shock protein HSP47).
Biopsy Analysis
A blinded pathologist analyzed all pre- and posttreatment samples by (1) looking for differences between pre- and posttreatment samples in terms of skin thickness and collagen synthesis with HE staining; (2) measuring the distribution of collagen patterns within the dermis after TM staining; (3) determining changes/similarities after immunohistochemistry (increased expression of Ki-67 protein).
Outcomes Analysis
We ran a morphometric analysis at the laboratory to compare the percentage density of type-I collagen fibers in perilesional reticular dermis from samples with versus without radiofrequency intervention. Criteria for dermal collagen digital image evaluation was carried out through ImageJ (JAVA Digital Image processing program – Public Domain, BSD-2. Developed by the National Institutes of Health, USA) as suggested by Brianezi et al20 and Chavoshnejad et al.21 In addition, we compared the preoperative versus 3-month postoperative photographs to assess the amount of skin retraction by photographic analysis. Patients posed in a standard position at a plain black background for photo shooting. A professional photographer made five measurements of the right and left arms from three random patients using the FIJI tool (2023 GitHub, Inc.)22 and ran the statistical analysis in JAMOVI software23,24 by paired t test and Wilcoxon signed-rank test.
Ethical Considerations
Our work follows resolutions 8430 of 1993 and 2378 of 2008 of the Ministry of Health and Social Protection of Colombia. Each patient was informed of the purpose, methods, sources of funding, any possible conflicts of interest, institutional affiliations of the authors, the anticipated benefits and potential risks of the study and the discomfort it may entail, poststudy provisions, and outcomes according to the Declaration of Helsinki (Fortaleza, 2013). They were also informed of the right to refuse to participate in the study or to withdraw consent to participate at any time without reprisal. A freely given informed consent was signed for each patient participating in our report; hence, each patient had the autonomy to decide whether to undergo fat grafting of certain muscles or not. Patients were informed about the nature of the procedure, the potential risks and benefits specific from HDL, and RF-based skin retraction.
RESULTS
A total of 12 samples were analyzed from six patients who were enrolled in our study. Demographic data are included in Table 3. A natural and slim shape of the arms was achieved in all patients. No fat grafting was done over the arm muscles. Five patients underwent buttocks augmentation through autologous fat grafting as part of HDL. No major or minor complications were reported. Both the main surgeon (L.C.) and all patients were satisfied with aesthetic postoperative results. One patient had temporary numbness sensation over the posterior forearm, which lasted for 2 weeks and solved entirely by physical means. Follow-up period ranged from 2 to 12 months (average = 6 months).
Table 3.
Patient Demographics
| Average (Range) | n = 6 (100%) | |
|---|---|---|
| Age (y) | 32 (29–54) | |
| Weight (kg) | 68.1 (54–78) | |
| Height (m) | 1.63 (1.5–1.68) | |
| BMI (kg/m2) | 25.8 (23.5–28.2) | |
| Gender | ||
| Men | 0 (0%) | |
| Women | 6 (100%) | |
| Ethnicity | ||
| African American | 0 (0%) | |
| White | 4 (67%) | |
| Asian | 0 | |
| Hispanic | 2 (33%) | |
| Smoking history | ||
| Before surgery | 0 | |
| No history | 6 (100%) | |
| Brachial ptosis | ||
| Stage 1 | 2 (33%) | |
| Stage 2a | 3 (50%) | |
| Stage 2b | 1 (17%) | |
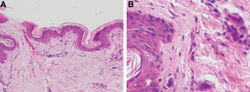
HE-stained samples revealed hyperplastic and metaplastic changes of focal distribution in the papillary dermis and an evident transition from lax areolar connective tissue to irregular dense tissue, both of which are considered due to the increase of collagen synthesis after RF treatment of the posterior arm (Figs. 1 and 2). In a similar fashion, MT staining showed not only an increase in the tissue basophilic take up, which is characteristic of thin type-III collagen fiber production, but also an organized-pattern distribution of the perilesional type-I collagen within the reticular dermis. These changes denote an amplified synthesis of collagen and an overall increase of tissue thickness after RF treatment (Fig. 3). On the other hand, immunohistochemistry revealed a positive labeling for epidermal keratinocytes of the stratum basale (subepidermal fibroblasts) by using antibodies against the Ki-67 protein (Fig. 4), which demonstrates that cell proliferation was induced by the fibroblastic activity generated by the heat shock protein HSP47, secondary to RF treatment.
Fig. 1.
HE-stained biopsy from a 36-year-old female patient with no history of previous liposuction (10× Magnification). The pre-RF skin biopsy picture (A) shows the papillary dermis with a histological constitution of lax areolar subepidermic connective tissue, whereas the post-RF one (B) shows a metaplastic-to-focal change of the subepidermal papillary dermis towards an irregular dense connective tissue.
Fig. 2.
HE-stained biopsy from a 42-year-old female patient with no history of liposuction, who underwent VASER-assisted Arm HDL plus RF treatment for skin laxity. Both the 5×- (A) and the 40× magnification (B) photographs portray the papillary dermis with a significant increase of fibrous and fibroblastic infiltration.
Fig. 3.
TM-stained sample from a 36-year-old woman who underwent HDL (10× magnification). Picture from skin without RF intervention (A) shows the papillary dermis with histological constitution of lax areolar connective tissue represented as low density of type-III collagen fibers (thin fibers at the basophilic subepidermis). The picture from the skin after RF intervention (B) shows the papillary dermis with histological constitution of lax areolar connective tissue, but with an increased density of type-III collagen fibers.
Fig. 4.
Immunohistochemical detection of Ki-67 protein from the arm biopsy of a 54-year-old woman who underwent VASER HDL + radiofrequency treatment. The macro view at 5× magnification (A) shows a positive immunolabeling for both epidermal keratinocytes of stratum Basale (brown color) and subepidermal fibroblasts (purple color). The 40× magnification (B) shows the change in expression associated with an increased fibroblastic activity of collagen synthesis due to increased demand. To note, Ki-67 cell cycle protein is co-expressed in tissue reparation due to the increase in fibroblast activity that is mediated by the activation of HSP70.
Regarding tissue analysis (Fig. 5), Wilcoxon test revealed an average percentage density of type-I collagen fibers of 74.75% versus 58.25% for RF treated versus non-RF-treated samples, respectively (P < 0.05) (Table 4). (See figure, Supplemental Digital Content 1, which shows the percentage density of type-I collagen fibers in biopsies before vs. after RF treatment. http://links.lww.com/PRSGO/C487.) Similarly, the photographic analysis (Fig. 6) showed a statistically significant difference between the skin area before versus after radiofrequency therapy (P < 0.001) (see CI specific for each measure and other additional data in Table 5.)
Fig. 5.
Dermal type-I collagen percentage density analysis through ImageJ. MT-stained biopsy from a 36-year-old female patient who underwent Arm HDL. Notice the usual appearance of the reticular dermis before RF (A, B), compared with the distribution of new type-I collagen fibers at the perilesional reticular dermis after RF treatment (C, D). Photomicrographs are at 5×- (A, C) and 10× Magnification (B, D). Black and white sequential images before (E) and after (F) radiofrequency therapy portray how the images are analyzed by ImageJ.
Table 4.
Percentage Density of Type-I Collagen Fibers in Biopsies before versus after RF Treatment (See also SDC 1)
| Collagen Fiber Density % | ||
|---|---|---|
| Before RF | After RF | |
| Sample 1 | 62 | 74 |
| Sample 2 | 55 | 77 |
| Sample 3 | 60 | 76 |
| Sample 4 | 62 | 80 |
| Sample 5 | 55 | 63 |
| Sample 6 | 51 | 68 |
| Sample 7 | 62 | 79 |
| Sample 8 | 59 | 81 |
| Average | 58.25 | 74.75 |
W-value = 0; mean difference = −18.75; sum of positive ranks = 0; sum of negative ranks = 36
Z-value = −2.5205; Dif. significance: P < 0.05.
Fig. 6.
Photographic analysis of skin area below a nonvariable anatomic line between the elbow and the shoulder joint. Patients were asked to pose with 90-degree shoulder abduction, 90-degree elbow flexion and arm external rotation. We set the most distant point of the elbow and the shoulder joint depression as the anatomic references. An example of the measurement is shown in photographs before (A) and after (B) radiofrequency.
Table 5.
Photographic Analysis of Preoperative and Postoperative Measurements of the Area below the Anatomic Line between the Elbow and the Shoulder Joint
| Descriptive Data | Patient | RA Pre | RA Post | LA Pre | LA Post | ||||
|---|---|---|---|---|---|---|---|---|---|
| N | 7 | 5 | 5 | 5 | 5 | ||||
| 8 | 5 | 5 | 5 | 5 | |||||
| 9 | 5 | 5 | 5 | 5 | |||||
| Mean | 7 | 142,292 | 124,519 | 154,033 | 131123 | ||||
| 8 | 131,197 | 118,446 | 139,114 | 117,810 | |||||
| 9 | 137,205 | 105,675 | 156,543 | 120,260 | |||||
| Median | 7 | 139,366 | 125,866 | 154,166 | 130,452 | ||||
| 8 | 130,668 | 118,102 | 139,062 | 116967 | |||||
| 9 | 136,358 | 105,139 | 156299 | 119801 | |||||
| Standard deviation | 7 | 6710 | 3432 | 2544 | 1258 | ||||
| 8 | 2445 | 2133 | 4950 | 1834 | |||||
| 9 | 1842 | 1226 | 1559 | 1746 | |||||
| Minimum | 7 | 13,6146 | 118,572 | , | 130130 | ||||
| 8 | 128,287 | 115,602 | 133,834 | 116,214 | |||||
| 9 | 135,115 | 104,235 | 154,457 | 118,315 | |||||
| Maximum | 7 | 149,940 | 127,332 | 157,474 | 133,110 | ||||
| 8 | 134,255 | 121,491 | 144,998 | 120,384 | |||||
| 9 | 139,434 | 106,964 | 158,815 | 122987 | |||||
| Paired Samples t Test | 95% Confidence Interval | ||||||||
| Statistic | Difference | P | Mean Difference | SD Difference | Lower | Upper | |||
| RA pre | RA post | Student t | 8.98 | 14 | <0.001 | 20,684 | 2303 | 15,744 | 25624 |
| Wilcoxon W | 120 | <0.001 | 21,014 | 2303 | 14,449 | 26,006 | |||
| LA pre | LA post | Student t | 13.54 | 14 | <0.001 | 26,832 | 1982 | 22,581 | 31,083 |
| Wilcoxon W | 120 | <0.001 | 27,010 | 1982 | 21,939 | 30,688 | |||
We analyzed the difference in the measures between preoperative (pre) and postoperative (post) photographs from three patients on both the right (RA) and the left arms (LA). Note: Ha μ Measure 1 - Measure 2 ≠ 0.
DISCUSSION
Arm liposuction has been challenging due to the anatomical configuration of the subdermal tissues and the variable distribution of adipose tissue among its different facets (Fig. 7). (See figure, Supplemental Digital Content 2, which shows a 49-year-old female patient with moderate to severe brachial dermatochalasis who underwent RF treatment of the arm in addition to HDL. A new rejuvenated arm is seen in the 3-month postoperative photograph (B), while the preoperative photograph (A) shows severe skin sagging and adipose deposits. http://links.lww.com/PRSGO/C488.) (See figure, Supplemental Digital Content 3, which shows a 32-year-old female patient with moderate to severe brachial dermatochalasis who underwent RF treatment of the arm in addition to HDL. http://links.lww.com/PRSGO/C489.) HDL and traditional liposuction can be considered effective when skin laxity is minimum to mild, but for those with mild to moderate skin laxity and other special conditions (eg, poor skin quality, Fitzpatrick phototype I–III, age >40 years), new strategies have been recently proposed as more reliable and effective.2,19 Clinically, RF has been shown to improve 50% skin laxity and 35% average skin contraction in patients undergoing RF therapy in addition to conventional liposuction,25 whereas VASER-assisted lipoplasty and suction-assisted lipoplasty have shown only 15%–16% and 10%–11% of skin retraction 6 months after surgery,26 respectively. In addition, Gasperoni and Salgarello reported that gradual liposuction with a progressive increase in cannula diameter over areas with variable adipose thickness avoid skin irregularities after lipoplasty.27 Consequently, the combined use of VASER-assisted arm liposuction and RF therapy would not only improve the skin tightening and retraction effect in almost 60%–80% but will also provide a better aesthetic and functional result due to the three-dimensional nature of HDL itself.15,28–30 To note, such effects of tensile strength and improved skin contraction depend on the time of RF exposure, the highest temperature reached, age, and hydration state of the patient.9 Our study compares the effects of VASER alone on skin retraction through HDL of the arm versus those after the addition of RF treatment by analyzing skin tissue samples from patients who underwent such procedures. We found a statistically significant difference (P < 0.05) of the percentage of collagen type 1 fibers between samples that were subject to RF and those that were not. This finding was also supported by the results reported by a blinded pathologist who did not know what the purpose of the study was and was able to analyze the biopsies with different magnifications and stains. (See figure, Supplemental Digital Content 4, which shows full-skin thickness biopsy of a 29-year-old female patient who underwent arm HDL plus RF therapy. http://links.lww.com/PRSGO/C490.) (See figure, Supplemental Digital Content 5, which shows full-skin thickness biopsy of a 29-year-old female patient who underwent arm HDL plus RF therapy. http://links.lww.com/PRSGO/C491.) A summary of the histological findings before and after radiofrequency treatment are shown in Table 6. The role of RF to induce HSP47 expression and subsequently neocollagenesis goes in line with former studies reported by several authors,12,31–34 in addition to the increase in both collagen production and the two to 15 times expression of genes related to skin collagen differentiation reported by Louis et al.35 Furthermore, Xu G et al36 confirmed the matrix structural changes and the new collagen fiber formation to last until 6 months after the procedure due to a steady expression of HSP47. In addition to the histopathological changes, we are able to demonstrate the skin retraction improvement after RF treatment through a photographic analysis, which further supports its clinical benefits.
Fig. 7.
A 32-year-old female patient with moderate brachial dermatochalasis who underwent RF treatment of the arm in addition to HDL. Note the preoperative mild-to-moderate skin ptosis from the posterior arm (A), which is further accentuated by adipose deposits. The 6-month postoperative photograph (B) shows a new slim contour and a youthful appearance of the arm with a soft muscular definition but without skin sagging.
Table 6.
Histologic and Immunohistochemistry Main Findings of Brachial Samples before and after RF Intervention
| Coloration | Before RF | After RF |
|---|---|---|
| HE | Papillary dermis with histological constitution of lax areolar connective tissue | Focal metaplastic change of the subepidermal papillary dermis to irregular dense connective tissue |
| MT | Papillary dermis with lax areolar connective tissue represented in low density of type-III collagen fibers | Papillary dermis with lax areolar connective tissue, representing increased density of thin type-III collagen fibers in the subepidermal region |
| IHC | Papillary dermis with increased fibrocyte and fibroblastic infiltrate | Positive immunolabeling for both epidermal keratinocytes of the stratum Basale and subepidermal fibroblasts |
HE, hematoxylin-eosin; IHC, immunohistochemistry; MT, Masson trichrome.
Our article explains how the stimulus of HSP47 expression by RF-generated heat resulted in an increased production of epidermal keratinocytes at the stratum basale (subepidermal fibroblasts) from the samples marked with Ki-67 protein antibodies. In effect, the molecular analysis of biopsies exposed to RF therapy showed an increase in the expression of heat shock protein translation when analyzing RNA samples, compared with that from nonexposed biopsies. (See figure, Supplemental Digital Content 6, which shows RNA analysis from six biopsies of patients who underwent arm HDL. http://links.lww.com/PRSGO/C492.) To our knowledge this is the first clinical and histopathological study that reports the benefits of RF and VASER on skin retraction and tightening with improved aesthetic outcomes. On the other hand, there are additional pathways involved in neocollagenesis by HSP47 expression that support the remodeling effect on the extracellular matrix (ECM), increased collagen type I, and fibronectin gene expression, which will prompt TGF-β activation and intracellular SMAD 2/3 signaling, thus greater fibroblast proliferation37–39 (Fig. 8).
Fig. 8.
Additional pathways involved in neocollagenesis by HSP47 expression. This protein interacts during procollagen assembly, folding and transport from the ER (endoplasmic reticulum) to the Golgi apparatus. Additionally, RF heating effect activates SMAD 2/3 intracellular signaling pathways as an expected effect after the activation of TGF-β, which further increases the expression of HSP47, hence increased ECM production by dermal fibroblasts.33,34 Note: Other TGF-β intracellular pathways as ERK-1/2, MAP-K, and JN-K, which not only induce HSP47 expression, but also fibronectin, collagen type I, and type II genes are all associated with ECM remodeling.33,34
Limitations
We found it difficult to enroll individuals without prior history of liposuction, and therefore the reduced number of patients. Although clinical changes are usually more evident after 3 months of RF therapy, patients did not agree to a new cut/scar in their body. This resulted in the posttreatment immediate biopsy instead of a deferred one.
CONCLUSIONS
The combination of HDL and radiofrequency ensures an optimal aesthetic result in patients who undergo arm lipoplasty due to an increase in collagen synthesis, promoting a greater contraction of the skin. RF could be considered as a great alternative to avoid more invasive procedures such as transverse and/or vertical brachioplasty in patients with mild and moderate-to-severe brachial ptosis.
DISCLOSURE
Dr. Laura C. Cala Uribe acts as a speaker for INMODE and receives compensation in return. All the other authors declare that they have no financial interest in relation to the content of this article.
FUNDING
The authors received no financial support for the research, authorship, and publication of this article.
PATIENT CONSENT
The patients provided written consent for the use of their images.
Supplementary Material
Footnotes
Published online 13 April 2023.
Disclosure statements are at the end of this article, following the correspondence information.
Related Digital Media are available in the full-text version of the article on www.PRSGlobalOpen.com.
REFERENCES
- 1.Historia de la Cirugía Plástica – Sociedad Colombiana de Cirugía Plástica Estética y Reconstructiva. Available at https://www.cirugiaplastica.org.co/quienes-somos/historia-de-la-cirugia-plastica/. Accessed May 9, 2022.
- 2.Mcgrath MH, Pomerantz JH. Capítulo 68 – Cirugía Plástica. 20th ed. Elsevier; 2018. [Google Scholar]
- 3.Stephan PJ, Dauwe P, Kenkel JM. Liposuction: A Comprehensive Review of Techniques and Safety. 4th ed. Elsevier; 2018. [Google Scholar]
- 4.Hoyos A, Prendergast P. High Definition Body Sculpting: Art and Advanced Lipoplasty Techniques. New York, N.Y.Springer; 2014. [Google Scholar]
- 5.Hoyos A, Perez M. Arm dynamic definition by liposculpture and fat grafting. Aesthet Surg J. 2012;32:974–987. [DOI] [PubMed] [Google Scholar]
- 6.García Pumariano Santofimia R, Sanchez Olaso A. Láser, luz pulsada, radiofrecuencia y otras fuentes de energía: ¿complemento ocasional a la cirugía plástica? Cirugia Plastica Ibero-Latinoamericana. 2008;34:69. [Google Scholar]
- 7.Majidian M, Kolli H, Moy RL. Management of skin thinning and aging: review of therapies for neocollagenesis; hormones and energy devices. Int J Dermatol. 2021;60:1481–1487. [DOI] [PubMed] [Google Scholar]
- 8.Kadler KE, Holmes DF, Trotter JA, et al. Collagen fibril formation. Biochem J. 1996;11:1–11. [DOI] [PMC free article] [PubMed] [Google Scholar]
- 9.Kaplan H, Gat A. Clinical and histopathological results following TriPollar radiofrequency skin treatments. J Cosmet Laser Ther. 2009;11:78–84. [DOI] [PubMed] [Google Scholar]
- 10.Theodorou SJ, del Vecchio D, Chia CT. Soft tissue contraction in body contouring with radiofrequency-assisted liposuction: a treatment gap solution. Aesthet Surg J. 2018;38:S74–S83. [DOI] [PubMed] [Google Scholar]
- 11.Chia CT, Theodorou SJ, Hoyos AE, et al. Radiofrequency-assisted liposuction compared with aggressive superficial, subdermal liposuction of the arms: a bilateral quantitative comparison. Plast Reconstr Surg Glob Open. 2015;3:1–10. [DOI] [PMC free article] [PubMed] [Google Scholar]
- 12.Dams SD, de Liefde-van Beest M, Nuijs AM, et al. Heat shocks enhance procollagen type I and III expression in fibroblasts in ex vivo human skin. Skin Res Technol. 2011;17:167–180. [DOI] [PubMed] [Google Scholar]
- 13.Scieglinska D, Krawczyk Z, Sojka DR, et al. Heat shock proteins in the physiology and pathophysiology of epidermal keratinocytes. Cell Stress Chaperones. 2019;24:1027–1044. [DOI] [PMC free article] [PubMed] [Google Scholar]
- 14.Morimoto RI, Santoro MG. Stress-inducible responses and heat shock proteins: New pharmacologic targets for cytoprotection. Nat Biotechnol. 1998;16:833–838. [DOI] [PubMed] [Google Scholar]
- 15.Saibil H. Chaperone machines for protein folding, unfolding and disaggregation. Nat Rev Mol Cell Biol. 2013;14:630–642. [DOI] [PMC free article] [PubMed] [Google Scholar]
- 16.Palotai R, Szalay MS, Csermely P. Chaperones as integrators of cellular networks: changes of cellular integrity in stress and diseases. IUBMB Life. 2008;60:10–18. [DOI] [PubMed] [Google Scholar]
- 17.Irvine Duncan D. Nonexcisional tissue tightening: creating skin surface area reduction during abdominal liposuction by adding radiofrequency heating. Aesthet Surg J. 2013;33:1154–1166. [DOI] [PubMed] [Google Scholar]
- 18.Stephen Mulholland R. BodyTite: the science and art of radiofrequency assisted lipocoagulation (RFAL) in body contouring surgery. In: Aguilera A, ed. The Art of Body Contouring. 2019:1–36. [Google Scholar]
- 19.El Khatib HA. Classification of brachial ptosis: strategy for treatment. Plast Reconstr Surg. 2007;119:1337–1342. [DOI] [PubMed] [Google Scholar]
- 20.Brianezi G, Grandi F, Bagatin E, et al. Dermal type I collagen assessment by digital image analysis. An Bras Dermatol. 2015;90:723–727. [DOI] [PMC free article] [PubMed] [Google Scholar]
- 21.Chavoshnejad P, Foroughi AH, Dhandapani N, et al. Effect of collagen degradation on the mechanical behavior and wrinkling of skin. Phys Rev E. 2021;104:034406. [DOI] [PubMed] [Google Scholar]
- 22.Schindelin J, Arganda-Carreras I, Frise E, et al. Fiji: an open-source platform for biological-image analysis. Nat Methods. 2012;9:676–682. [DOI] [PMC free article] [PubMed] [Google Scholar]
- 23.The Jamovi project (2022). Jamovi (version 2.3) [software]. Available at https://www.jamovi.org. [Google Scholar]
- 24.R Core Team (2021). R: A Language and environment for statistical computing. (version 4.1) [software]. Available at https://cran.r-project.org.
- 25.Duncan DI. Improving outcomes in upper arm liposuction: Adding radiofrequency-assisted liposuction to induce skin contraction. Aesthet Surg J. 2012;32:84–95. [DOI] [PubMed] [Google Scholar]
- 26.Nagy MW, Vanek PF. A multicenter, prospective, randomized, single-blind, controlled clinical trial comparing vaser-assisted lipoplasty and suction-assisted lipoplasty. Plast Reconstr Surg. 2012;129:681e–689e. [DOI] [PubMed] [Google Scholar]
- 27.Gasperoni C, Salgarello M. Suction-assisted lipectomy of the subdermal fat layer: a new way of performing liposuction. Annals of the International Symposium Recent Advances in Plastic Surgery. 1990:477–492. [Google Scholar]
- 28.Mulholland RS. Radio frequency energy for non-invasive and minimally invasive skin tightening. Clin Plast Surg. 2011;38:437–448, vi. [DOI] [PubMed] [Google Scholar]
- 29.Duncan DI. Nonexcisional tissue tightening: creating skin surface area reduction during abdominal liposuction by adding radiofrequency heating. Aesthet Surg J. 2013;33:1154–1166. [DOI] [PubMed] [Google Scholar]
- 30.Theodorou SJ, Paresi RJ, Chia CT. Radiofrequency-assisted liposuction device for body contouring: 97 patients under local anesthesia. Aesthet Plast Surg. 2012;36:767–779. [DOI] [PubMed] [Google Scholar]
- 31.Soos E, Clond M. Exploring the role of heat shock proteins in radiofrequency energy therapies. J Aesthet Nurs. 2015;4:224–227. [Google Scholar]
- 32.Stevens WG, Gould DJ, Pham LD, et al. Molecular and histological evidence detailing clinically observed skin improvement following cryolipolysis. Aesthet Surg J. 2022;42:56–67. [DOI] [PMC free article] [PubMed] [Google Scholar]
- 33.Paasch U, Sonja G, Haedersdal M. Synergistic skin heat shock protein expression in response to combined laser treatment with a diode laser and ablative fractional lasers. Int J Hyperthermia. 2014;30:245–249. [DOI] [PubMed] [Google Scholar]
- 34.Sajjadi AY, Mitra K, Grace M. Expression of heat shock proteins 70 and 47 in tissues following short-pulse laser irradiation: Assessment of thermal damage and healing. Med Eng Phys. 2013;35:1406–1414. [DOI] [PubMed] [Google Scholar]
- 35.Louis F, Fujii N, Katsuyama M, et al. Effects of radiofrequency and ultrasound on the turnover rate of skin aging components (skin extracellular matrix and epidermis) via HSP47-induced stimulation. Biochem Biophys Res Commun. 2020;525:73–79. [DOI] [PubMed] [Google Scholar]
- 36.Xu XG, Luo YJ, Wu Y, et al. Immunohistological evaluation of skin responses after treatment using a fractional ultrapulse carbon dioxide laser on back skin. Dermatol Surg. 2011;37:1141–1149. [DOI] [PubMed] [Google Scholar]
- 37.Kim HJ, Park JH, Shin JM, et al. TGF-β1-induced HSP47 regulates extracellular matrix accumulation via Smad2/3 signaling pathways in nasal fibroblasts. Sci Rep. 2019;9:1–11. [DOI] [PMC free article] [PubMed] [Google Scholar]
- 38.Ito S, Nagata K. Biology of Hsp47 (Serpin H1), a collagen-specific molecular chaperone. Semin Cell Dev Biol. 2017;62:142–151. [DOI] [PubMed] [Google Scholar]
- 39.Xiao H, Liu R, Ling G, et al. HSP47 regulates ECM accumulation in renal proximal tubular cells induced by TGF-β1 through ERK1/2 and JNK MAPK pathways. Am J Physiol Renal Physiol. 2012;303:757–765. [DOI] [PMC free article] [PubMed] [Google Scholar]
Associated Data
This section collects any data citations, data availability statements, or supplementary materials included in this article.








