Abstract
Background
Glycogen storage disease type VI (GSD VI) is a rare disease in which liver glycogen metabolism is impaired by mutations in the glycogen phosphorylase L (PYGL). This study aimed to examine the clinical features, genetic analyses, and long-term outcomes of patients with GSD VI in Korea.
Methods
From January 2002 to November 2022, we retrospectively reviewed patients diagnosed with GSD VI using a gene panel at Seoul National University Hospital. We investigated the clinical profile, liver histology, molecular diagnosis, and long-term outcomes of patients with GSD VI.
Results
Five patients were included in the study. The age at onset was 18–30 months (median, 21 months), and current age was 3.7–17 years (median, 11 years). All patients showed hepatomegaly, elevated liver transaminase activity, and hypertriglyceridaemia. Hypercholesterolaemia and fasting hypoglycaemia occurred in 60% and 40% of patients, respectively. Ten variants of PYGL were identified, of which six were novel: five missense (p.[Gly607Val], p.[Leu445Pro], p.[Gly695Glu], p.[Val828Gly], p.[Tyr158His]), and one frameshift (p.[Arg67AlafsTer34]). All patients were treated with a high-protein diet, and four also received corn starch. All patients showed improved liver function tests, hypertriglyceridaemia, hepatomegaly, and height z score.
Conclusions
The GSD gene panel is a useful diagnostic tool for confirming the presence of GSD VI. Genetic heterogeneity was observed in all patients with GSD VI. Increased liver enzyme levels, hypertriglyceridaemia, and height z score in patients with GSD VI improved during long-term follow-up.
Supplementary Information
The online version contains supplementary material available at 10.1186/s13023-023-02750-1.
Keywords: Glycogen storage disease, Molecular diagnosis, PYGL, Next-generation sequencing
Background
Glycogen storage disease type VI (GSD VI; OMIM #232700) is an inborn error of glycogen metabolism caused by mutation of the hepatic glycogen phosphorylase L (PYGL) gene located on chromosome 14q21-q22 with an autosomal recessive inheritance [1]. As a result, PYGL deficiency occurs, which is involved in the rate-limiting step of glycogen degradation [2]. GSD VI was first reported by Henry-Gery Hers in 1959, and its estimated prevalence was 1 per 100,000 person-years [1, 3].
The onset of GSD VI is usually infancy or early childhood, with typical clinical manifestations including hepatomegaly, growth retardation, ketotic hypoglycaemia, elevated hepatic transaminases, and hypertriglyceridemia [4]. Because gluconeogenesis is intact, hypoglycaemia is relatively less severe compared to GSD I, but some patients experience significant life-threatening hypoglycaemia [5]. Cardiomyopathy, focal nodular hyperplasia, hepatocellular carcinoma, and abnormal bone mineralisation have also been reported in patients with GSD VI [5–8].
The gold standard for the diagnosis of GSD VI is enzyme testing on a liver biopsy, but it is invasive, so the latest guidelines recommend molecular diagnosis first [1]. In addition, clinical manifestations such as hepatomegaly and hypoglycaemia are also present in other types of GSD. In particular, the clinical phenotype of GSD VI overlaps with that of GSD IX, which can be distinguished only by molecular diagnosis [4, 9].
No studies have examined the clinical features and PYGL variants of patients with GSD VI in Korea. Thus, this study aimed to investigate the clinical features, liver histology, PYGL variants, and long-term outcomes of patients with GSD VI in Korea.
Results
Initial clinical features of patients with PYGL variants
Four pathogenic and six likely pathogenic variants in PYGL were identified in 5 patients with GSD VI, and none had a family history of the disease. The clinical features of the patients with GSD VI are shown in Table 1 and Additional file 1. There were three male and two female patients currently aged 3.7–17 years (median, 11 years). The age at onset was 1.5–2.5 years (median, 1.9 years). The median age at diagnosis was 3.3 years (range, 1.8–6.0 years). The initial clinical symptoms were hepatomegaly and distended abdomen in five patients, but there were no cases of short stature, splenomegaly, or cardiomyopathy. One patient showed developmental delays and was eventually diagnosed with autism. All five patients showed elevated liver transaminase activity, hypertriglyceridaemia, and hypovitaminosis D. Hypercholesterolaemia, postprandial hyperlactatemia, and fasting hypoglycaemia occurred in 60%, 60% and 40% of the patients, respectively. One patient had hypercalciuria with a relatively small unilateral kidney on ultrasonography.
Table 1.
Clinical and histologic features of patients with glycogen storage disease VI
| Clinical data | Case 1 | Case 2 | Case 3a | Case 4 | Case 5 |
|---|---|---|---|---|---|
| Sex | M | M | F | M | F |
| Age of onset (years) | 2.0 | 1.5 | 2.5 | 1.8 | 1.7 |
| Age of diagnosis (years) | 3.3 | 3.5 | 2.6 | 1.8 | 6.0 |
| Presenting symptoms | Abdomen distention | Abdomen distention, Developmental delay | Abdomen distention, AST/ALT elevation | Abdomen distention | Abdomen distention |
| AST/ALT (U/L)b | 203/324 | 216/362 | 387/458 | 279/179 | 133/117 |
| Uric acid (mg/dL)b | 3.8 | 5.1 | 3.9 | 4.7 | 3.0 |
| Cholesterol (mg/dL)b | 99 | 177 | 112 | 185 | 201 |
| TG (mg/dL)b | 173 | 139 | 237 | 106 | 188 |
| Lactic acid (mmol/L)b | 2.9 | 6.3 | 2 | 1.2 | 2.5 |
| Glucose (mg/dL) (fasting)b | 75 | 82 | 50 | 59 | 74 |
| Age at liver biopsy (years) | 3.3 | 3.5 | 2.5 | 1.8 | 2.8 |
| Light microscope | Periportal and septal fibrosis | Periportal, perisinusoidal, and perivenular fibrosis | Periportal, perivenular, and pericellular fibrosis | Periportal fibrosis | Periportal fibrosis |
| Electron microscope | Swollen hepatocytes with glycogen deposits, lipid vacuoles, and collagen deposits | Swollen hepatocytes with glycogen deposits | Swollen hepatocytes with glycogen deposits and lipid vacuoles | Swollen hepatocytes with glycogen deposits, lipid vacuoles, and collagen deposits | Swollen hepatocytes with glycogen deposits and lipid vacuoles |
| Treatment | Corn starch (4–6 g/kg/day), high protein diet (2 g/kg/day) | Corn starch (6–8 g/kg/day), high protein diet (3 g/kg/day) | Corn starch (4–6 g/kg/day), high protein diet (2-2.5 g/kg/day) | Corn starch (8 g/kg/day), high protein diet (2 g/kg/day) | High protein diet (2.5 g/kg/day) |
aCase 3 had a small unilateral kidney on ultrasonography
bLab parameters were collected at age of diagnosis. AST: aspartate transaminase; ALT: alanine transaminase; TG: triglyceride; NA: not available
Liver histology
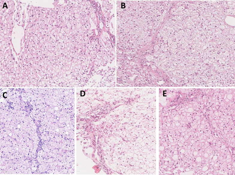
The age at liver biopsy were 1.8–3.5 years. All patients had enlarged hepatocytes with glycogenated nuclei and periportal fibrosis. Perivenular fibrosis was identified in two (40%) patients, while perisinusoidal, pericellular, and septal fibrosis was identified in one (20%) patient, respectively. Two (40%) patients had hepatic steatosis, two (40%) showed mild portal and lobular inflammation, and none showed cirrhosis. Electron microscopy revealed swollen hepatocytes with glycogen deposits in all patients, lipid vacuoles in 80% of patients, and collagen deposits in 20% of patients (Fig. 1).
Fig. 1.
Representative histological findings from five patients with GSD VI. Regardless of patients, histological findings were similar with swollen hepatocytes, invisible sinusoids, and slender periportal fibrosis (x400) (A, Case 1; B, Case 2; C, Case 3; D, Case 4; E, Case 5)
Molecular genetic analysis
Ten variants of the PYGL gene in patients with GSD VI were identified in this study: six missense variants, c.1820G > T p.(Gly607Val), c.1727G > A p.(Arg576Gln), c.1334T > C p.(Leu445Pro), c.2084G > A p.(Gly695Glu), c.2483T > G p.(Val828Gly), and c.472T > C p.(Tyr158His); two nonsense variants, c.280 C > T p.(Arg94Ter) and c.2446 C > T p.(Arg816Ter); and one splice variant, c.1768 + 1G > A; one frameshift variant, c.198delG p.(Arg67AlafsTer34) (Table 2). Genetic heterogeneity was observed in all patients with GSD VI. Six variants were novel, not observed in the normal population, and located at highly conserved loci in various species: p.(Gly607Val), p.(Arg67AlafsTer34), p.(Leu445Pro), p.(Gly695Glu), p.(Val828Gly), and p.(Tyr158His). The novel variants identified in this study were registered in the Clinvar database. All variants were considered pathogenic or likely pathogenic according to the American College of Medical Genetics and Genomics (ACMG) classification.[10].
Table 2.
Genetic analysis of 5 patients with glycogen storage diseases VI in our study
| Case | cDNA change | Amino acid change | Variant type | ACMG classification |
|---|---|---|---|---|
| 1 |
c.1768 + 1G > A c.1820G > T |
NA p.(Gly607Val) |
Splicing Missense |
P LP |
| 2 |
c.198delG c.1727G > A |
p.(Arg67AlafsTer34) p.(Arg576Gln) |
Frameshift Missense |
P LP |
| 3 |
c.1334T > C c.2084G > A |
p.(Leu445Pro) p.(Gly695Glu) |
Missense Missense |
LP LP |
| 4 |
c.280 C > T c.2483T > G |
p.(Arg94Ter) p.(Val828Gly) |
Nonsense Missense |
P LP |
| 5 |
c.2446 C > T c.472T > C |
p.(Arg816Ter) p.(Tyr158His) |
Nonsense Missense |
P LP |
ACMG: American College of Medical Genetics and Genomics; P: pathogenic; LP: likely pathogenic; VUS: variant of uncertain significance; NA: not available
In bold indicate a novel variants
Long-term outcomes of patients with PYGL variants
The age range at last follow up were 3.7 to 17.0 years (median, 11 years), and the patients’ follow-up durations were 12 months to 14.5 years (median, 8 years). Once the diagnosis was confirmed, all patients received a high-protein diet during the follow-up period, and four also consumed corn starch. The levels of aspartate transaminase, alanine transferase, and triglycerides and height z score of the patients significantly improved after the long-term follow-up, as shown in Fig. 2 (P < 0.05). In addition, hepatomegaly improved in all patients on physical examination and ultrasonography. None of the patients developed hepatic adenomas or underwent liver transplantation.
Fig. 2 .
Long term follow up of biochemical and growth parameters. A Serum AST levels; B Serum ALT levels; C Serum triglycerides levels; D Height z score of patients in this study were compared baseline and follow-up values; AST, aspartate aminotransferase; ALT, alanine aminotransferase
Discussion
Here we investigated the spectrum of clinical features, liver histology, PYGL variants, and long-term outcomes of patients with GSD VI in Korea. All patients with GSD VI showed hepatomegaly, a distended abdomen, elevated liver transaminases, and hypertriglyceridaemia at the initial presentation; all improved in the long-term follow-up with supplementation of a high-protein diet and corn starch. All patients showed enlarged hepatocytes and periportal fibrosis on liver biopsy. Ten PYGL variants were identified, of which six were novel.
In our study cohort, the median age at diagnosis was 3.3 years old, comparable with other studies.[11, 12] Case 5 showed abdominal distention at 1.7 years of age but was diagnosed at 6 years of age, suggesting that the diagnosis was considerably delayed. Other studies reported a delayed diagnosis[12] related to the disease characteristics of GSD VI. As gluconeogenesis is intact in patients with GSD VI, they show less severe symptoms compared to other types of GSD, and the diagnosis may be delayed. The most important symptom in this study was a distended abdomen with hepatomegaly, similar to several other studies.[11, 13, 14] However, many studies reported patients with short stature versus none in our study.[11, 13, 15] Case 2 showed developmental delay and was eventually diagnosed with autism. Other studies reported developmental delay or muscle hypotonia in patients with GSD VI[16, 17] and autism in patients with GSD II,[18] but no studies have reported autism in patients with GSD VI.
All patients in this study showed elevated liver transaminases and hypertriglyceridaemia, while some patients showed fasting hypoglycaemia and postprandial hyperlactatemia, consistent with the findings of other studies.[4, 11, 13, 17, 19, 20] All patients in this study showed hypovitaminosis D at the initial presentation, and other studies reported that abnormal bone mineralisation and osteopenia or osteoporosis may appear as complications of GSD VI.[2, 8] Therefore, monitoring of 25-OH vitamin D levels and regular bone mineral density tests are recommended. Hypercalciuria was identified and improved with age in one patient with GSD VI in our study cohort. Hypercalciuria has been reported in patients with GSD I[21, 22]; however, this is the first report of hypercalciuria in patients with GSD VI. Based on our findings, urine samples should be assessed in patients with GSD VI at the time of diagnosis. A study reported in Canada showed mild cardiomyopathy in one patient with GSD VI[5], whereas no patients in our study cohort had cardiomyopathy.
Enlarged hepatocytes with glycogenated nuclei and liver fibrosis were identified in all patients with GSD VI in this study, consistent with other studies.[1, 2, 5, 13, 15] Studies have reported hepatocellular carcinoma or liver cirrhosis[4, 6], but neither was identified in patients in this study. Hepatic steatosis, lobular inflammation, and lipid vacuoles have been reported in patients with GSD VI as in this study.[13, 15].
To date, approximately 106 patients with GSD VI[5, 11–14, 17, 23, 24] and about 90 pathogenic PYGL variants have been reported[11]. Those in our study (c.1768 + 1G > A, p.[Arg576Gln], p.[Arg94Ter], and p.[Arg816Ter]) were reported in Israel[23], China[11, 15], and Switzerland[12], respectively. We identified six novel variants of PYGL in this study that were not observed in the normal population and were located at highly conserved loci in various species: p.(Gly607Val), p.(Arg67AlafsTer34), p.(Leu445Pro), p.(Gly695Glu), p.(Val828Gly), and p.(Tyr158His). A founder pathogenic variant of c.1620 + 1G > A was reported in the USA[25]; and c.777T > A, p.(Asn259Lys), and c.1900G > C, p.(Asp634His) were frequently reported in patients in Switzerland.[12] In addition, high-frequency variants of c.1621 − 258_2178-23 del, c.1621 − 258_2178-26 del, c.2467 C > T, p.(Gln823Ter), and c.772 + 1G > A were reported by a study in China,[11, 14, 15] while c.2071G > C, p.(Gly691Arg), and c.345G > A were frequently reported in patients with GSD VI in England [13] and Turkey,[19] respectively. In this study, common variants were not found, and genetic heterogeneity was observed, which was similar to a French study reporting no mutational hotspot.[20] The most common pathogenic variant was missense (60%), similar to the results of other studies.[4, 11, 17] Due to the diversity of genetic variants in this study cohort, genotype–phenotype correlations were difficult to assess.
In this study, patients with GSD VI received a high-protein diet and corn starch. The recommended daily amount of a high-protein diet is 2–3 g/kg, while that of corn starch is 5–8 g/kg. Hepatomegaly, elevated liver enzymes, increased triglyceride levels, and height z score of the patients in this study significantly improved after long-term follow-up, consistent with other studies.[11, 13, 15, 19, 26] As a patient with GSD VI lacks phosphorylase and uses protein substrates for gluconeogenesis to compensate for low glucose production, a high-protein diet enriches protein substrates, aiding gluconeogenesis.[1, 27].
This study has several limitations. First, the maximum age at follow-up among the patients with GSD VI in this study was 17.0 years old. Although there were no patients with GSD VI with HCC or liver cirrhosis in this study, the age of the patient with GSD VI with HCC in the literature was 23 years old.[6] Therefore, regular follow-up is needed as HCC or decompensated liver cirrhosis may develop in these patients in the future. Second, the number of patients with GSD VI was small and the study was conducted at a single centre. A multicentre or multinational study involving a large number of patients with GSD VI is required to validate our findings.
Conclusions
Our study reported the clinical features, liver histology, genetic analysis, and long-term outcomes of patients with GSD VI in Korea. Increased liver enzyme levels, hypertriglyceridaemia, and height z score in patients with GSD VI improved in the long-term follow-up. The GSD gene panel is a useful diagnostic tool for confirming the presence of GSD VI. Genetic heterogeneity was observed in all patients with GSD VI.
Methods
Study population and data collection
The cases of all patients with GSD VI at Seoul National University Children’s Hospital treated between January 2002 and November 2022 were retrospectively reviewed. The diagnosis of GSD VI was based on excessive glycogen accumulation in a liver biopsy specimen and the identification of pathogenic or likely pathogenic variants in PYGL gene using a GSD gene panel. Clinical phenotypes, laboratory findings, pathology reports, and long-term outcomes were reviewed in the patients’ electronic medical records.
Fasting hypoglycaemia was defined as a blood glucose level < 70 mg/dL for more than 4 h after meals, while hypertriglyceridaemia and hypercholesterolaemia were defined as higher than normal blood levels according to age.[28, 29] Hyperlactatemia was defined as a blood lactic acid levels more than 2.3 mmol/L after meals. Hypercalciuria was defined as a random urine calcium to creatinine ratio > 0.2.
Genetic test of PYGL
The GSD gene panel contained AGL, G6PC, GBE1, GYS2, PHKA2, PHKB, PHKG2, PYGL, SLC2A2, and SLC37A4, and NM_002863 was used for reference transcript for PYGL. Pre-capture libraries (Illumina, Inc., San Diego, CA, USA) and capture processes (Agilent Technologies, Santa Clara, CA, USA) were performed according to the manufacturer’s protocol. The captured libraries were sequenced using MiSeqDx (Illumina, Inc., San Diego, CA, USA). The raw sequence data were analysed using NextGENe software (SoftGenetics, State College, PA, USA) and annotated with ANNOVAR (http://annovar.openbioinformatics.org). Common variants were filtered using the gnomAD (http://gnomad.broadinstitute.org) and KRG (http://coda.nih.go.kr/coda/KRGDB) databases. The Human Gene Mutation Database and ClinVar were used to identify known pathogenic variants. The sequence variant was evaluated with a computational (in silico) predictive program using PolyPhen-2, SIFT, and MutationTaster. The pathogenicity of sequence variants was evaluated using the 2015 ACMG guidelines [10].
Statistical analyses
The clinical and laboratory findings of patients with a molecular genetic diagnosis were statistically analysed. SPSS for Windows (version 25; IBM Corp, Armonk, New York) software was used to perform the statistical analyses. A paired t-test was performed to compare the clinical characteristics at baseline and follow-up in the same patients. Statistical significance was set at P < 0.05.
Supplementary Information
Additional file 1. Clinical vignette of patients with glycogen storage disease VI.
Acknowledgements
We would like to thank Editage (www.editage.co.kr) for English language editing.
Abbreviations
- GSD
Glycogen storage disease
- PYGL
Glycogen phosphorylase L
Authors’ contributions
JWH and JSK conceptualised the study and contributed to the study design. JWH and JSK contributed to the data analysis, data interpretation, and writing of the manuscript, with supervision from JSM. JWH, HRL, MWS, GHK, and JSK verified the underlying data. All authors contributed to reviewing drafts of the manuscript and approved the final manuscript. All authors had full access to the data and responsibility for the decision to submit for publication. All authors read and approved the final manuscript.
Funding
Research reported in this publication was not supported by any foundation.
Data availability
All data generated or analysed during the current study are available in the clinVAR repository (https://www.ncbi.nlm.nih.gov/clinvar; accession Nos. SCV002754424-SCV002754429).
Declarations
Ethics approval and consent to participate
This study was approved by the Institutional Review Board (No. 2211-164-1384) of Seoul National University Hospital, Korea, and all methods were performed in accordance with the relevant guidelines and regulations. Written informed consent was obtained from the participants or their legal guardians prior to the genetic testing.
Consent for publication
Not applicable.
Competing interests
The authors declare that they have no competing interests.
Footnotes
Publisher’s Note
Springer Nature remains neutral with regard to jurisdictional claims in published maps and institutional affiliations.
References
- 1.Kishnani PS, Goldstein J, Austin SL, Arn P, Bachrach B, Bali DS, et al. Diagnosis and management of glycogen storage diseases type VI and IX: a clinical practice resource of the American College of Medical Genetics and Genomics (ACMG) Genet Med. 2019;21(4):772–89. doi: 10.1038/s41436-018-0364-2. [DOI] [PubMed] [Google Scholar]
- 2.Labrador E, Weinstein DA et al. Glycogen Storage Disease Type VI. In: Adam MP, Mirzaa GM, Pagon RA, Wallace SE, Bean LJH, Gripp KW, editors. GeneReviews((R)). Seattle (WA)1993. [PubMed]
- 3.Hers HG. [Enzymatic studies of hepatic fragments; application to the classification of glycogenoses] Rev Int Hepatol. 1959;9(1):35–55. [PubMed] [Google Scholar]
- 4.Grunert SC, Hannibal L, Spiekerkoetter U. The phenotypic and genetic spectrum of glycogen Storage Disease Type VI. Genes (Basel). 2021;12(8). [DOI] [PMC free article] [PubMed]
- 5.Roscher A, Patel J, Hewson S, Nagy L, Feigenbaum A, Kronick J, et al. The natural history of glycogen storage disease types VI and IX: long-term outcome from the largest metabolic center in Canada. Mol Genet Metab. 2014;113(3):171–6. doi: 10.1016/j.ymgme.2014.09.005. [DOI] [PubMed] [Google Scholar]
- 6.Manzia TM, Angelico R, Toti L, Cillis A, Ciano P, Orlando G et al. Glycogen storage disease type Ia and VI associated with hepatocellular carcinoma: two case reports. Transplant Proc. 2011;43(4):1181-3. [DOI] [PubMed]
- 7.Ogawa A, Ogawa E, Yamamoto S, Fukuda T, Sugie H, Kohno Y. Case of glycogen storage disease type VI (phosphorylase deficiency) complicated by focal nodular hyperplasia. Pediatr Int. 2010;52(3):e150–3. doi: 10.1111/j.1442-200X.2010.03073.x. [DOI] [PubMed] [Google Scholar]
- 8.Heller S, Worona L, Consuelo A. Nutritional therapy for glycogen storage diseases. J Pediatr Gastroenterol Nutr. 2008;47(Suppl 1):15–21. doi: 10.1097/MPG.0b013e3181818ea5. [DOI] [PubMed] [Google Scholar]
- 9.Tagliaferri F, Massese M, Russo L, Commone A, Gasperini S, Pretese R, et al. Hepatic glycogen storage diseases type 0, VI and IX: description of an italian cohort. Orphanet J Rare Dis. 2022;17(1):285. doi: 10.1186/s13023-022-02431-5. [DOI] [PMC free article] [PubMed] [Google Scholar]
- 10.Richards S, Aziz N, Bale S, Bick D, Das S, Gastier-Foster J, et al. Standards and guidelines for the interpretation of sequence variants: a joint consensus recommendation of the American College of Medical Genetics and Genomics and the Association for Molecular Pathology. Genet Sci. 2015;17(5):405. doi: 10.1038/gim.2015.30. [DOI] [PMC free article] [PubMed] [Google Scholar]
- 11.Luo X, Duan Y, Fang D, Sun Y, Xiao B, Zhang H, et al. Diagnosis and follow-up of glycogen storage disease (GSD) type VI from the largest GSD center in China. Hum Mutat. 2022;43(5):557–67. doi: 10.1002/humu.24345. [DOI] [PubMed] [Google Scholar]
- 12.Aeppli TR, Rymen D, Allegri G, Bode PK, Haberle J. Glycogen storage disease type VI: clinical course and molecular background. Eur J Pediatr. 2020;179(3):405–13. doi: 10.1007/s00431-019-03499-1. [DOI] [PubMed] [Google Scholar]
- 13.Degrassi I, Deheragoda M, Creegen D, Mundy H, Mustafa A, Vara R, et al. Liver histology in children with glycogen storage disorders type VI and IX. Dig Liver Dis. 2021;53(1):86–93. doi: 10.1016/j.dld.2020.04.017. [DOI] [PubMed] [Google Scholar]
- 14.Liu B, Wu B, Lu Y, Zhang P, Xiao F, Li G, et al. A Novel, recurrent, 3.6-kb deletion in the PYGL Gene contributes to glycogen Storage Disease Type VI. J Mol Diagn. 2020;22(12):1373–82. doi: 10.1016/j.jmoldx.2020.08.006. [DOI] [PubMed] [Google Scholar]
- 15.Lu SQ, Feng JY, Liu J, Xie XB, Lu Y, Abuduxikuer K. Glycogen storage disease type VI can progress to cirrhosis: ten chinese patients with GSD VI and a literature review. J Pediatr Endocrinol Metab. 2020;33(10):1321–33. doi: 10.1515/jpem-2020-0173. [DOI] [PubMed] [Google Scholar]
- 16.Eghbali M, Fatemi KS, Salehpour S, Abiri M, Saei H, Talebi S, et al. Whole-exome sequencing uncovers Novel causative variants and additional findings in three patients affected by glycogen Storage Disease Type VI and Fanconi-Bickel Syndrome. Front Genet. 2020;11:601566. doi: 10.3389/fgene.2020.601566. [DOI] [PMC free article] [PubMed] [Google Scholar]
- 17.Beauchamp NJ, Taybert J, Champion MP, Layet V, Heinz-Erian P, Dalton A, et al. High frequency of missense mutations in glycogen storage disease type VI. J Inherit Metab Dis. 2007;30(5):722–34. doi: 10.1007/s10545-007-0499-9. [DOI] [PubMed] [Google Scholar]
- 18.Korlimarla A, Spiridigliozzi GA, Stefanescu M, Austin SL, Kishnani PS. Behavioral, social and school functioning in children with pompe disease. Mol Genet Metab Rep. 2020;25:100635. doi: 10.1016/j.ymgmr.2020.100635. [DOI] [PMC free article] [PubMed] [Google Scholar]
- 19.Grunert SC, Hannibal L, Schumann A, Rosenbaum-Fabian S, Beck-Wodl S, Haack TB et al. Identification and characterization of a Novel Splice Site Mutation Associated with Glycogen Storage Disease Type VI in two unrelated turkish families. Diagnostics (Basel). 2021;11(3). [DOI] [PMC free article] [PubMed]
- 20.Davit-Spraul A, Piraud M, Dobbelaere D, Valayannopoulos V, Labrune P, Habes D, et al. Liver glycogen storage diseases due to phosphorylase system deficiencies: diagnosis thanks to non invasive blood enzymatic and molecular studies. Mol Genet Metab. 2011;104(1–2):137–43. doi: 10.1016/j.ymgme.2011.05.010. [DOI] [PubMed] [Google Scholar]
- 21.Kishnani PS, Austin SL, Abdenur JE, Arn P, Bali DS, Boney A, et al. Diagnosis and management of glycogen storage disease type I: a practice guideline of the American College of Medical Genetics and Genomics. Genet Med. 2014;16(11):e1. doi: 10.1038/gim.2014.128. [DOI] [PubMed] [Google Scholar]
- 22.Aoun B, Sanjad S, Degheili JA, Barhoumi A, Bassyouni A, Karam PE. Kidney and metabolic phenotypes in glycogen Storage Disease Type-I patients. Front Pediatr. 2020;8:591. doi: 10.3389/fped.2020.00591. [DOI] [PMC free article] [PubMed] [Google Scholar]
- 23.Burwinkel B, Bakker HD, Herschkovitz E, Moses SW, Shin YS, Kilimann MW. Mutations in the liver glycogen phosphorylase gene (PYGL) underlying glycogenosis type VI. Am J Hum Genet. 1998;62(4):785–91. doi: 10.1086/301790. [DOI] [PMC free article] [PubMed] [Google Scholar]
- 24.Szymanska E, Lipinski P, Rokicki D, Ksiazyk J, Tylki-Szymanska A. Over 20-Year follow-up of patients with hepatic glycogen Storage Diseases: single-center experience. Diagnostics (Basel). 2020;10(5). [DOI] [PMC free article] [PubMed]
- 25.Chang S, Rosenberg MJ, Morton H, Francomano CA, Biesecker LG. Identification of a mutation in liver glycogen phosphorylase in glycogen storage disease type VI. Hum Mol Genet. 1998;7(5):865–70. doi: 10.1093/hmg/7.5.865. [DOI] [PubMed] [Google Scholar]
- 26.Willems PJ, Gerver WJ, Berger R, Fernandes J. The natural history of liver glycogenosis due to phosphorylase kinase deficiency: a longitudinal study of 41 patients. Eur J Pediatr. 1990;149(4):268–71. doi: 10.1007/BF02106291. [DOI] [PubMed] [Google Scholar]
- 27.Fernandes J, Pikaar NA. Ketosis in hepatic glycogenosis. Arch Dis Child. 1972;47(251):41–6. doi: 10.1136/adc.47.251.41. [DOI] [PMC free article] [PubMed] [Google Scholar]
- 28.Balder JW, Lansberg PJ, Hof MH, Wiegman A, Hutten BA, Kuivenhoven JA. Pediatric lipid reference values in the general population: the dutch lifelines cohort study. J Clin Lipidol. 2018;12(5):1208–16. doi: 10.1016/j.jacl.2018.05.011. [DOI] [PubMed] [Google Scholar]
- 29.Stewart J, McCallin T, Martinez J, Chacko S, Yusuf S. Hyperlipidemia Pediatr Rev. 2020;41(8):393–402. doi: 10.1542/pir.2019-0053. [DOI] [PubMed] [Google Scholar]
Associated Data
This section collects any data citations, data availability statements, or supplementary materials included in this article.
Supplementary Materials
Additional file 1. Clinical vignette of patients with glycogen storage disease VI.
Data Availability Statement
All data generated or analysed during the current study are available in the clinVAR repository (https://www.ncbi.nlm.nih.gov/clinvar; accession Nos. SCV002754424-SCV002754429).


