The authors regret “the errors/discrepancies in the histology images (Fig. 4 & Fig. 5) and although the scholarly integrity and original findings remain intact, we feel that these errors if not corrected might affect the interpretation of the article.”.
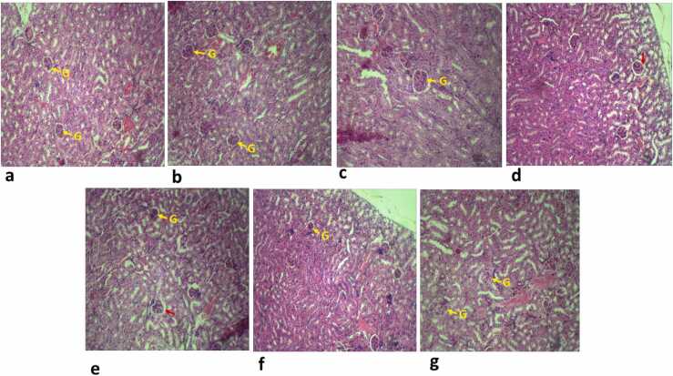
Fig. 4.
Effect of methanol and aqueous C. jagus leaf extracts on the histopathological changes in kidney tissue of toluene-induced male Wistar rats. a. Normal control. b. Methanol extract normal control. c. Aqueous extract normal control. d. Negative control. e. Aqueous extract test. f. Standard control. g. Methanol extract test. Glomerulus (G), dilation of bowman space (red arrow). (H&E; 250 ×).
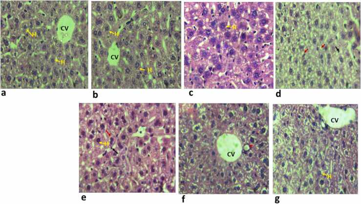
Fig. 5.
Effect of methanol and aqueous C. jagus leaf extracts on the histopathological changes in liver tissue of toluene-induced male Wistar rats. a. Normal control. b. Methanol extract normal control. c. Aqueous extract normal control. d. Negative control. e. Aqueous extract test. f. Standard control. g. Methanol extract test. Hepatocyte (H), central vein (CV), pyknotic cell (black arrow), and fatty droplet (red arrow). (H&E; 250 ×).
The authors would like to apologise for any inconvenience caused.
Contributor Information
George D. Zouganelis, Email: G.Zouganelis@derby.ac.uk.
Fred Ssempijja, Email: kalanzifr@yahoo.com.


