Abstract
A 14-month longitudinal study was conducted on four dairy farms (C, H, R, and X) in Wisconsin to ascertain the source(s) and dissemination of Escherichia coli O157:H7. A cohort of 15 heifer calves from each farm were sampled weekly by digital rectal retrieval from birth to a minimum of 7 months of age (range, 7 to 13 months). Over the 14 months of the study, the cohort heifers and other randomly selected cattle from farms C and H tested negative. Farm R had two separate periods of E. coli O157:H7 shedding lasting 4 months (November 1995 to February 1996) and 1 month (July to August 1996), while farm X had at least one positive cohort animal for a 5-month period (May to October 1996). Heifers shed O157:H7 strains in feces for 1 to 16 weeks at levels ranging from 2.0 × 102 to 8.7 × 104 CFU per g. E. coli O157:H7 was also isolated from other noncohort cattle, feed, flies, a pigeon, and water associated with the cohort heifers on farms R and/or X. When present in animal drinking water, E. coli O157:H7 disseminated through the cohort cattle and other cattle that used the water source. E. coli O157:H7 was found in water at <1 to 23 CFU/ml. Genomic subtyping by pulsed-field gel electrophoresis demonstrated that a single O157:H7 strain comprised a majority of the isolates from cohort and noncohort cattle, water, and other positive samples (i.e., from feed, flies, and a pigeon, etc.) on a farm. The isolates from farm R displayed two predominant XbaI restriction endonuclease digestion profiles (REDP), REDP 3 and REDP 7, during the first and second periods of shedding, respectively. Six additional REDP that were ≥89% similar to REDP 3 or REDP 7 were identified among the farm R isolates. Additionally, the REDP of an O157:H7 isolate from a heifer on farm R in 1994 was indistinguishable from REDP 3. Farm X had one O157:H7 strain that predominated (96% of positive samples had strains with REDP 9), and the REDP of an isolate from a heifer in 1994 was indistinguishable from REDP 9. These results suggest that E. coli O157:H7 is disseminated from a common source on farms and that strains can persist in a herd for a 2-year period.
Escherichia coli O157:H7 was first characterized as an important food-borne human pathogen that causes a distinct syndrome of diarrheal disease, known as hemorrhagic colitis (HC), during an epidemiological investigation of two outbreaks of HC in North America in 1982 (37). The spectrum of illnesses caused by E. coli O157:H7 ranges from HC to hemolytic-uremic syndrome to thrombotic thrombocytopenic purpura (17, 24). In the last 15 years since the initial characterization and identification of E. coli O157:H7, illness associated with this organism has been reported with increasing frequency (18, 28, 29, 34). The development of improved isolation methods and documentation of cases and outbreaks have shown that this serotype of E. coli is an important human pathogen and among the most frequently isolated enteric bacterial pathogens recovered from human diarrheic stool specimen submissions in North America (16, 17, 29).
Outbreak investigations have demonstrated that E. coli O157:H7 can be transmitted by a variety of foods, water, and person-to-person transmission (1, 2, 6–8, 18, 31, 39, 43). In the majority of retrospective investigations where food has been identified as the vehicle of transmission, ground beef is most frequently incriminated (18). Furthermore, when foods that are not of bovine origin are involved, there has often been suspicion of cross contamination of these foods by bovine products containing the pathogen (7, 8, 18). Because of the link to bovine products, cattle are thought to be a principal reservoir of E. coli O157:H7 (19, 33, 40, 41).
The involvement of cattle in the spread of E. coli O157:H7 has focused research on the farm and farming practices that may contribute to the presence of this pathogen in herds. There have been a number of surveys of cattle for E. coli O157:H7 and of management practices associated with its presence (11, 14, 15, 20, 21, 33, 40, 41, 45). These investigations have provided helpful although sometimes conflicting information on risk factors and the point prevalence of E. coli O157:H7 for beef and dairy cattle.
Instead of a point prevalence study, a longitudinal study was conducted to provide information on the age of first infection, the levels and length of shedding, maintenance and dissemination in cattle, vehicles, and/or sources, and farm management practices that impact the E. coli O157:H7 incidence in a herd. Particular attention was given to practices that may contribute to horizontal and water transmissions (14, 15, 26).
[Portions of this work were presented at the Third International Symposium and Workshop on Shiga Toxin (Verocytotoxin)-Producing Escherichia coli Infections, 23 to 26 June 1997, Baltimore, Md. (38).]
MATERIALS AND METHODS
Study design.
A prospective longitudinal study was conducted on four Wisconsin dairy farms (C, H, R, and X), using a cohort of 15 dairy heifers per farm, from September 1995 through November 1996. The four farms were selected based on four primary criteria, (i) previous point prevalence of E. coli O157:H7 (farm C = 0.0%, H = 1.6%, R = 0.4%, and X = 1.8%), (ii) geographic separation (minimum of 50 miles between farms), (iii) herd size sufficient to produce at least 15 heifer calves during a 4-month period, and (iv) permission to conduct the study. Point prevalence was calculated from previous data for these farms (14) [(number of cattle positive for E. coli O157:H7/total number of cattle tested) × 100]. Other factors that were considered in farm selection included farm management practices, for example, the use of individual calf hutches or group pens and the overall cleanliness of the farm.
On each farm, a cohort of 15 or more heifers was selected and fecal samples were collected on a weekly basis with the exception of two periods when 8 to 10 days passed between sampling dates. The cohort calves were ear-tagged with permanent identification at birth and fecal samples were collected from birth to a minimum of 7 months of age (range, 7 to 13 months). Samples were collected from steers as well as cohort heifers on farm H because the management and rearing practices on this farm were identical for steers and heifers up to 8 months of age. The dam of each cohort calf was also tested to ascertain if she was currently shedding E. coli O157:H7.
The following farm management practices pertaining to the cohort were recorded: antibiotic administration; feed, feeding practices, and the use of growth promoters; grouping and pen changes; pen and facility cleanliness; morbidity and mortality; vaccination; weather; wildlife contact; and any unusual animal management practices.
Sample collection and storage.
Sampling began on each farm with the birth of the first cohort calf. The cohort cattle on the four farms were born between September 1995 and May 1996. Whenever a cohort animal tested positive for E. coli O157, samples from bedding, contact cattle, feed, water, and other contact animals (wild or domestic) were collected and analyzed when possible. Similar samples were collected at random and testing of herds (noncohort cattle) was conducted on all farms regardless of the E. coli O157:H7 status.
All bovine fecal samples (ca. 30 g) were obtained by digital rectal retrieval. Dog fecal samples were obtained from freshly defecated samples. Intestinal content samples from deer, opossums, pigeons, raccoons, and wild turkeys were obtained from animals that were necropsied on the farm. Mice and rats were livetrapped and euthanized, and their intestinal contents were removed for analysis. Birds were livetrapped, and samples were taken from their cloacae with a moistened sterile swab. Fecal samples and swabs were transferred to sterile screw-cap tubes containing 7.5 ml of Bacto Transport Medium Amies without charcoal and agar (Difco Laboratories, Detroit, Mich.) and shaken. Feed, water, and nonfecal animal samples (i.e., saliva) were collected aseptically in sterile containers (Whirlpack bags or specimen cups). Fly samples were aseptically pipetted from the reservoir bottle of a Magnum fly trap containing water, dead flies, and attractant (Farnam Co. Inc., Omaha, Nebr.) and transferred to a sterile container. All samples were driven to the Food Research Institute in Madison, Wis., and tested within 12 h of collection.
After 10 g of feces was removed to test for the presence of serotype O157:H7 strains of E. coli, the remaining feces were mixed 1:1 with 2× sterile freezing medium (nutrient broth, 16 g; yeast extract, 10 g; glycerol, 200 ml; distilled H2O, 800 ml) and stored at −20°C.
Microbiological analysis.
Samples were enriched in modified EC broth plus novobiocin (20 μg/ml; Sigma Chemical Co., St. Louis, Mo.) for 18 to 24 h at 37°C with shaking (100 rpm), and the presence of E. coli was determined as previously described (14). Following enrichment, samples were serially diluted in 0.1% Bacto Peptone (Difco), and 0.1-ml volumes from the 10−4, 10−5, and 10−6 dilutions of the fecal samples and the 10−3, 10−4, and 10−5 dilutions of the water and environmental samples were spread onto duplicate plates of MacConkey sorbitol agar (MSA; Difco) supplemented with cefixime (50 μg/liter; Lederle Labs, Pearl River, N.Y.) and potassium tellurite (2.5 mg/liter; Sigma) (MSA+) (46). The plates were incubated at 42°C and examined for sorbitol-negative (i.e., white) colonies. A maximum of 15 sorbitol-negative colonies were tested for the O157 antigen by latex agglutination (Oxoid, Basingstoke, England). Isolates were confirmed biochemically as E. coli with an API 20E biochemical test strip (bioMerieux Vitek Inc., Hazelwood, Mo.). Additionally, isolates were tested for functional β-glucuronidase (36). Prior to testing for the H7 antigen by latex agglutination (Rim E. coli O157:H7; Remel, Lenexa, Kans.), isolates were transferred twice in motility medium (peptone, 10 g/liter; beef extract, 3 g/liter; NaCl, 5 g/liter; agar, 4 g/liter [pH 7.4]) and then cultured in motility medium broth. Confirmed colonies (maximum of 6 when available) were stored in nutrient broth (Difco) containing 10% glycerol at −70°C until further analysis.
Genomic typing.
The pulsed-field gel electrophoresis (PFGE) technique of contour-clamped homogeneous electric fields (CHEF) was used for the genomic typing of isolates. Three to five O157:H7 isolates per sample were analyzed. XbaI (Promega Corp., Madison, Wis.) was used for digestion of genomic DNA as previously described (14, 27). AvrII was also used to examine 26 strains that were separated based upon XbaI restriction endonuclease digestion profiles (REDP) and other phenotypic characteristics (see Table 6). Following digestion, the genomic DNA fragments were resolved by CHEF-PFGE with a CHEF-DRII apparatus (Bio-Rad Laboratories, Richmond, Calif.) at 200 V for 21 h at 14°C and switch times ramped from 1 to 60 s. MidRange II PFG Markers (New England Biolabs, Inc., Beverly, Mass.) were used as DNA size standards. Fragments smaller than 40 kb in length were not used in REDP comparisons.
TABLE 6.
Samples containing E. coli O157:H7 displaying a given REDP and phenotype from three Wisconsin dairy farmsa
| Farm | Strain no. | No. of samplesb | REDPc
|
Phenotype
|
|||||||
|---|---|---|---|---|---|---|---|---|---|---|---|
| stxId | stxIId | Resistance toe:
|
Carbohydrate fermf
|
||||||||
| AvrII | XbaI | Pen G | Chlortet | Tet | Sorb | Rha | |||||
| R | 920 | 7 | A1 | 1 | + | + | − | + | + | − | + |
| 922 | 1 | A1 | 2 | + | + | − | + | + | − | + | |
| 944 | 21 | A2 | 3 | + | + | − | + | + | − | + | |
| 957 | 2 | A2 | 4 | + | + | − | + | + | − | − | |
| 959 | 1 | A2 | 4 | + | + | + | + | + | − | − | |
| 960 | 2 | NTa | NT | NT | NT | + | + | + | − | − | |
| 963 | 1 | A2 | 4 | + | + | + | − | + | − | − | |
| 964 | 1 | A2 | 3 | + | + | + | − | + | − | − | |
| 965 | 3 | A2 | 3 | + | + | + | + | + | − | − | |
| 966 | 3 | A2 | 3 | + | + | − | + | + | − | − | |
| 993 | 1 | A2 | 4 | + | + | − | + | + | − | + | |
| 1027 | 1 | A2 | 3 | + | + | − | + | + | w+h | + | |
| 1031 | 11 | A2 | 3 | + | + | + | + | + | − | + | |
| 1054 | 1 | A3 | 5 | + | + | + | + | + | w+ | + | |
| 1123 | 1 | A3 | 6 | + | + | − | + | − | − | + | |
| 1540 | 15 | A4 | 7 | + | + | − | + | + | − | + | |
| 1574 | 1 | A4 | 8 | + | + | − | + | + | − | + | |
| 1575 | 1 | A4 | 7 | + | + | − | − | − | − | + | |
| X | 1275 | 80 | A5 | 9 | + | + | − | − | − | − | + |
| 1359 | 8 | A5 | 9 | + | + | − | + | − | − | + | |
| 1487 | 5 | A5 | 9 | + | + | + | − | − | − | + | |
| 1625 | 1 | A6 | 10 | + | − | − | − | − | − | + | |
| 1653 | 1 | A5 | 9 | + | + | − | − | + | − | + | |
| 1707 | 1 | A8 | 12 | + | + | − | − | − | − | + | |
| 1764 | 1 | A9 | 13 | + | + | + | − | − | − | + | |
| C | 1641 | 1 | A7 | 11 | − | + | − | − | − | − | + |
Isolates are from cohort animal, noncohort animal, environmental, and nonbovine animal samples from farms R and X. The positive sample from farm C was from a raccoon.
Number of samples containing an O157:H7 strain with the REDP and phenotype indicated in this table.
REDP were generated by using AvrII or XbaI.
Presence of gene sequences of stxI or stxII.
Resistance to penicillin G (PenG; 75 U/ml), chlortetracycline (Chlortet; 25 μg/ml), and tetracycline (Tet; 50 μg/ml).
Fermentation of sorbitol (Sorb) and rhamnose (Rha) determined by using an API 20E test strip.
NT, not typeable by CHEF-PFGE.
w+, weakly positive by API 20E test strip.
Analysis of REDP and similarity indices.
The XbaI REDP of the E. coli O157:H7 strains were photographed and recorded with an image capture system (Image Analysis System and Molecular Analyst software; Bio-Rad). To normalize bands from one gel to another, mid-range molecular weight λ concatamers (New England Biolabs) were included in three lanes of each gel (see Fig. 1). The similarities among REDP were calculated by the Dice similarity index (13) by using ELBAMAP as described by Brosch et al. (5).
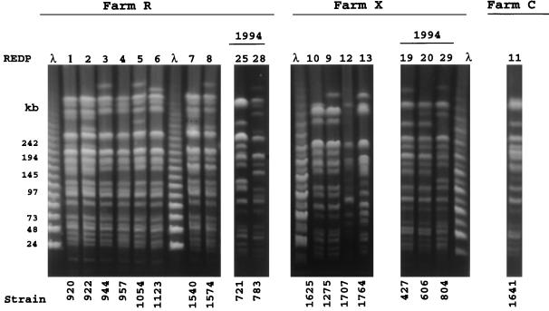
FIG. 1.
The 13 XbaI REDP groups obtained from the two E. coli O157:H7-positive herds (from farms R and X) during 1995 and 1996. In addition, the REDP (REDP 25, 28, 19, 20, and 29) from serotype O157:H7 strains obtained from these farms in 1994 are also shown (14). The strain from farm C was isolated from a raccoon. λ concatamers were used as size standards.
Detection of Shiga toxin genes (stxI and stxII).
Two 20-bp oligonucleotide probes (23) were synthesized (National Biosciences, Plymouth, Minn.) and used to detect stxI and stxII sequences. The probes were labeled with digoxigenin, hybridized with target DNA, and detected as described in the manufacturer’s instructions (Boehringer Mannheim, Indianapolis, Ind.).
Antibiotic resistance testing.
Three to six isolates from each positive sample were tested for resistance to the following antibiotics: tetracycline (50 μg/ml), chlortetracycline (25 μg/ml), and penicillin G (75 U/ml). In addition, the 26 strains in Table 6 were also tested for resistance to neomycin sulfate (15 μg/ml). Cultures were grown in Luria broth (LB) at 37°C with shaking (100 rpm) for 1 h. The cultures were then spot inoculated onto gridded LB agar plates supplemented with the appropriate antibiotic as well as an LB agar control plate without antibiotic. The plates were incubated overnight at 37°C. Isolates considered antibiotic resistant exhibited growth and morphology on antibiotic-containing medium that was indistinguishable from that on the LB agar without antibiotic. E. coli O157:H7 ATCC 43895 was used as a negative control since it was susceptible to all tested antibiotics, and strain 43895 containing pBR322 was used as a positive control for chlortetracycline and tetracycline resistance. FRIK (Food Research Institute—Kaspar culture collection strain) 1113, an E. coli O157:H7 strain containing plasmid pRR10 (resistant to 250 μg of penicillin per ml), was used as a positive control for penicillin G resistance, and FRIK 2, an environmental isolate of E. coli resistant to neomycin sulfate, was used as a positive control.
Enumeration of E. coli O157:H7 in water and fecal samples.
Feces from cattle and water that previously tested positive for serotype O157:H7 strains by enrichment were collected and plated directly to determine the number of E. coli O157:H7 CFU present. For feces, a 10-g sample was diluted 1:10 and serial dilutions were made in 0.1% Bacto Peptone (Difco) and then spread on duplicate plates of MSA+. Water samples were plated directly (0.2 ml) on five separate MSA+ plates. All plates were incubated at 42°C for 18 to 24 h. The plates were then examined for sorbitol-negative colonies, which were tested for the O157 antigen as described above and enumerated. The ranges of CFU per gram or milliliter reported were determined for eight fecal samples and five water samples.
RESULTS AND DISCUSSION
Herd demographics.
Table 1 shows the demographics of the four herds, which ranged in size from 113 to 365 total cattle. The two larger farms, H and R, reached the cohort size (15 calves) more quickly than the smaller farms, C and X. The herd on farm C took 9 months to produce the cohort of 15 heifer calves. This was expected since farm C milked the smallest number of cows, and the number of cows calving during the study period was the lowest among the farms. The total number of heifer calves ranged from 56 to 130, with the highest numbers on farms R and X. This is noteworthy because previous studies have found the highest prevalence of E. coli O157:H7 shedding in young heifers (15, 19, 45).
TABLE 1.
Herd demographics for the four study farms
| Cattle inventory | No. of animals on farm:
|
|||
|---|---|---|---|---|
| C | H | R | X | |
| Calves in cohorta | 16 | 22 | 16 | 16 |
| Heifer calves | ||||
| Birth to weaning | 8 | 9 | 7 | 3 |
| Weaned to 4 mo | 14 | 11 | 15 | 14 |
| 4 mo to breeding | 8 | 25 | 54 | 33 |
| Bred heifers | 26 | 35 | 54 | 43 |
| Total | 56 | 80 | 130 | 93 |
| Dairy cows | ||||
| Milking | 40 | 77 | 105 | 68 |
| Dry | 13 | 15 | 15 | 8 |
| Total | 53 | 92 | 120 | 76 |
| Steers, bulls, and bull calves (total) | 4 | 70 | 115 | 1 |
| Farm total | 113 | 242 | 365 | 170 |
The number includes calves that were selected for the cohort but died. Thus, new calves were added to maintain a cohort of 15 calves for the study period.
Herd management.
Farm C raised only an occasional steer for personal consumption or for private sale while all other bull calves were marketed at 21 days of age. Farm X marketed their bull calves at 3 to 7 days of age and maintained a single herd bull to breed heifers. Farms H and R raised bull calves as steers for beef and grouped them with heifers. Both the steers and heifers on these two farms (H and R) were raised under identical farm management practices (diet and housing, etc.) until separation at 8 months of age.
After separation from the dam (at birth), heifers and steers on farms C, R, and X had no contact with the dry cows or the milking cows. On farm H, one end of the cow barn doubled as the calf barn and the maternity/sick cow pen. It was not unusual to see cohort animals in the same pen with cows that were either sick or about to give birth (freshen). Often, these cows would be suckled by cohort animals that were not yet weaned. There was a great deal of contact between the cohort animals and cows on this farm. In addition, most of the cohort animals on farm H were immediately grouped in the maternity/sick cow pen, whereas cohort animals on farms C, R, and X were raised in individual calf huts or pens until they were weaned at 6 to 8 weeks. After weaning, calves were grouped with other older heifers (farm C and X) or older heifers and steers (farm R).
The use of antimicrobials for deworming, growth promotion, disease prevention, and/or as a treatment for clinical illness differed among the four farms (Table 2). Farm R was the heaviest user of antimicrobials. Decoquinate was administered as a wormer, and lasalocid (1,400 g/ton), chlortetracycline (4,000 g/ton), and sulfamethazine (4,000 g/ton) were present in the feed. Animals exhibiting clinical upper respiratory illness were given an injectable antibiotic, and neomycin sulfate was administered to calves from birth through 12 weeks of age to prevent neonatal scours and calf losses. Neomycin sulfate was administered orally to calves by addition to milk or water. In addition, sulfamethazine boluses were administered to cattle on farm R as needed for diarrhea. Farm X also used sulfamethazine boluses to treat diarrhea. The use of antibiotics may influence the microbial flora of the calves and enable E. coli O157:H7 to multiply within the digestive tract, and antibiotic-resistant O157:H7 strains would have a competitive advantage over the normal microbial flora. Kim et al. (25) reported an increase in the frequency of human isolates of E. coli O157:H7 resistant to streptomycin, sulfisoxazole, and tetracycline and speculated that administration of subtherapeutic levels of antibiotics to animals may be a contributing factor (see also reference 9). On farms C and H, antimicrobials were used only occasionally and sulfonamides were not used. The herds on farms C and H tested negative for E. coli O157:H7 throughout the study, indicating that antimicrobial use may be a risk factor for E. coli O157:H7 shedding in cattle, but additional studies are needed.
TABLE 2.
Antimicrobials administered directly and indirectly to cohort animals
| Farm | Antimicrobial administered
|
||||||
|---|---|---|---|---|---|---|---|
| Coccidiostata or wormer | Lasalocidb | Neomycin sulfatec | Penicillind | Sulfonamidee | Medicated feedf | Othersh | |
| C | Yes | No | No | Yes | No | Yes | No |
| H | No | Yes (275 g/ton) | No | Yes | No | Yes | No |
| R | Yes | Yes (1,400 g/ton) | Yes | Yes | Yes | Yes | Yes |
| X | Yes | Yes (57 g/ton) | No | Yes | Yes | Nog | No |
Decoquinate, ivermectin, and morantel tartrate were used.
Lasalocid was present in feed.
On farm R, neomycin sulfate was administered orally twice each day in milk fed to calves from birth through 6 weeks of age. In addition, from 6 to 12 weeks of age, neomycin sulfate was added to animal drinking water.
Penicillin was received indirectly through milk from treated cows.
Oral boluses of sulfamethazine were given on farm R and farm X as needed for diarrhea.
Farms C, H, and R used feed containing chlortetracycline (4,000 g/ton) and sulfamethazine (4,000 g/ton). Farm H periodically used feed with oxytetracycline (126 g/ton) and neomycin sulfate (250 g/ton).
The only medication in feed on farm X was morantel tartrate (dewormer; 8,800 g/ton).
Injectable antibiotics were administered to animals with clinical upper respiratory disease.
The only other distinguishing farm management practice was on farms R and X, where feed bunks were outdoors and the cattle feed was placed directly on the ground, where it was exposed to the elements and other animals. On farms C and H, feed was also placed in bunks on the ground but in barns, where it was protected from the elements. Moreover, farms R and X had large bird (pigeons, sparrows, and starlings) populations that were frequently observed eating cattle feed and drinking from water tanks. There were no other distinguishing farm management practices identified among the study farms.
Herd and farm testing.
The numbers of samples from cohort and noncohort cattle, nonbovine animals, feed, water, and other sources and the numbers positive for E. coli O157:H7 are shown in Table 3. The ratio of the total number of samples tested to herd size ranged from 2.68 to 5.67 and demonstrates that the frequencies of testing on farms of comparable sizes were similar. Although the smallest number of samples collected and analyzed was from farm C, farm C had the smallest herd among the four farms and the highest ratio of the number of samples tested to herd size, 5.67. This is particularly important because the cohorts on farms C and H tested negative during the entire length of the study. It is noteworthy that all noncohort cattle on farm C were tested at random at least once, and all tested negative for E. coli O157:H7. In addition, this herd tested negative in a previous study (14), indicating that this herd has been negative for 2 to 3 years. Similarly, noncohort cattle on farm H were selected and sampled at random and, like the noncohort cattle on farm C, tested negative for E. coli O157:H7. Since the cohort cattle never tested positive, contact cattle were not tested on farm H. In contrast, the cohorts on farms R and X tested positive for E. coli O157:H7 at frequencies of 6.4 and 9.5%, respectively. Considering that the testing on the negative farms (C and H) was as extensive as that on the positive farms (R and X), the results demonstrate that a herd can be negative for or have a very low incidence of E. coli O157:H7. Similar findings were reported by Besser et al. (3).
TABLE 3.
Herd size, number of E. coli O157:H7-positive samples, and the number and source of samples tested
| Farm | Herd sizea | No. of samples positive/no. of samples tested for E. coli O157:H7
|
Sample no./herd size ratio | ||||||||
|---|---|---|---|---|---|---|---|---|---|---|---|
| Cohort groupb | Contact cattlec | Other cattled | Birdse | Animalsf | Feed | Water | Misc.g | Total | |||
| C | 113 | 0/441 | 0/33 | 0/69 | 0/28 | 1/37 | 0/7 | 0/23 | 0/3 | 1/641 | 5.67 |
| H | 242 | 0/633 | 0/0 | 0/71 | 0/0 | 0/2 | 0/10 | 0/33 | 0/0 | 0/749 | 3.10 |
| R | 365 | 42/655 | 6/55 | 2/17 | 1/71 | 0/22 | 0/22 | 6/131 | 0/6 | 57/979 | 2.68 |
| X | 170 | 63/666 | 6/53 | 4/44 | 0/0 | 1/20 | 3/32 | 18/119 | 0/2 | 95/936 | 5.51 |
Total number of cattle and calves present at the start of the study.
The 15 calves monitored weekly from date of birth through at least 7 months of age.
Cattle that had direct or indirect (i.e., shared water) contact with cohort animals.
Cattle that were on the same farm but did not have direct or indirect contact with cohort animals.
Cloacal swabs from pigeons, sparrows, and starlings.
Other animals included deer, dogs, flies, mice, opossums, raccoons, rats, and wild turkeys.
Miscellaneous samples included bedding, milk, and cattle saliva.
On farms R and X, cohort, contact, and noncontact cattle tested positive for E. coli O157:H7. Eleven percent of both the contact and noncontact cattle tested positive on farm R, while 7.6% of contact cattle and 11.4% of noncontact cattle tested positive on farm X (Table 3). Although some testing of contact and noncontact cattle was done at random, the study design increased testing of these animals when the cohort animals tested positive, which likely increased the percentage of noncohort cattle testing positive.
Birds, other animals (wild and domestic), feed, water, and miscellaneous samples were also collected randomly throughout the study period and tested for the presence of serotype O157:H7 strains of E. coli (Table 3). The availability of such samples varied between farms. A raccoon living in the hay stored in the same barn as the cohort heifers was the only positive sample on farm C. All samples tested negative on farm H. In addition to the cohort and noncohort fecal samples that tested positive, E. coli O157:H7 was also isolated from cohort drinking water (6 of 131 samples tested) and one pigeon (1 of 99 birds tested) on farm R. The O157:H7 strain isolated from the pigeon had an REDP that was indistinguishable from those of isolates from water and cohort animals and is not surprising considering that pigeons were frequently seen eating from the cattle feed trough. However, 22 feed samples from this farm tested negative. A previous study (42) has also suggested that wild birds may play a role in the dissemination of E. coli O157:H7 throughout the environment. On farm X, E. coli O157:H7 was isolated from a Magnum fly trap (5.0% of samples), feed (6.3% of samples), and water (17.7% of samples). The higher incidence of E. coli O157:H7 in the cohort cattle drinking water on farm X may explain the higher number of positive animals in the cohort on farm X (9.5%) than in that on farm R (6.4%).
E. coli O157:H7 shedding.
Testing on farm R began 14 September 1995 and ended 5 September 1996. Farm R had two periods of E. coli O157:H7 shedding, the first from November 1995 to February 1996 and the second from July to August 1996 (Table 4). From 5 March 1996 through 1 July 1996, all cohort animals and other samples analyzed tested negative. Cohort animals first tested positive when moved from individual hutches to group housing (superhutch). Noncohort steers present in the superhutch with the cohort animals also tested positive for E. coli O157:H7 (data not shown). In general, cohort heifers tested positive in 1 to 4 weeks after grouping in the superhutch. However, there were exceptions, such as Red 103 and Red 107, which never tested positive in the superhutch, and Red 115 and Red 116, which tested negative throughout the study period. Red 115 and Red 116 were the last cohort animals born and had limited exposure to shedding animals and contaminated water. The cohort animals on farm R became positive at a much younger age than the cohort animals on farm X. However, the data suggest that it is exposure and not age that influenced shedding of E. coli O157:H7.
TABLE 4.
Source and location of E. coli O157:H7 during two outbreaks on farm R
| Sample source | Sampling location and resultsa
|
|||||||||||||||||||||||
|---|---|---|---|---|---|---|---|---|---|---|---|---|---|---|---|---|---|---|---|---|---|---|---|---|
| 11/8/95b | 11/14/95 | 11/16/95 | 11/20/95 | 11/24/95 | 11/29/95 | 12/4/95 | 12/13/95 | 12/20/95 | 1/3/96 | 1/10/96 | 1/16/96 | 1/22/96 | 1/30/96 | 2/6/96 | 2/13/96 | 2/20/96 | 2/27/96 | 3/5/96 through 7/1/96c | 7/8/96 | 7/15/96 | 7/23/96 | 7/30/96 | 8/5/96 | |
| Feed | SH | SH | SH | SH | B | B | B | PI | PII | PII | ||||||||||||||
| Water | SH | SH | SH-3,1 | SH-3 | SH | SH-3 | SH | SH | SH | SH | SH | SH | SH | SH | SH | |||||||||
| B | B | B | B | B | B | B | B | B-3 | B-3 | |||||||||||||||
| PI/II-7 | PI/II | PI/II | PI/II | PI/II | ||||||||||||||||||||
| Cohort animal (DOBd) | ||||||||||||||||||||||||
| Red 116 (12/31/95) | H | H | H | H | H | H | H | H | SH | PI | PI | PI | PI | PI | ||||||||||
| Red 115 (12/23/95) | H | H | H | H | H | SH | SH | SH | SH | PI | PI | PI | PI | PII | ||||||||||
| Red 114 (12/24/95) | H | H | H | H | H | SH | SH | SH | SH | PI-7,8 | PI | PI | PI | PII | ||||||||||
| Red 113 (11/23/95) | H | H | H | H | H | H | SH | SH | SH | SH | SH | B | B | B | PI | PII-7 | PII | PII | PII-7 | |||||
| Red 112 (11/16/95) | H | H | H | H | H | H | H | SH | SH | SH | SH | SH | B | B | B | PI-7 | PI | PI | PI | PII | ||||
| Red 111 (10/29/95) | H | H | H | H | H | SH | SH-3 | SH-3,5 | B | B | B | B | B | B | B | B | PI | PI | PI | PI-7 | PII | |||
| Red 110 (10/06/95) | H | H | H | H | SH | SH | SH-3 | SH-3 | B | B | B | B | B | B | B | B | PI | PII | PII-7 | PII | PII | |||
| Red 109 (10/06/95) | H | H | H | H | SH | SH | SH-3 | SH | B | B | B | B | B | B | B | B | PI | PII | PII | PII | PII | |||
| Red 108 (10/04/95) | H | H | SH | SH | SH | SH-3 | SH-3 | B-3,5 | B | B | B | B | B | B | B | B | PII | PII | PII | PII | PII | |||
| Red 107 (10/04/95) | H | H | SH | SH | SH | SH | SH | B | B-3,5 | B | B-3 | B-3,6 | B-3 | B | B-3 | B-3 | PII-7 | PII | PII | PII | PII | |||
| Red 106 (9/30/95) | H | H | SH | SH | SH | SH-3 | SH | B | B | B | B | B | B | PI | PI | B | PII-7 | PII | PII | PII-7 | PII | |||
| Red 105 (9/29/95) | H | SH | SH | SH | SH-3 | SH | SH | B-3 | B | B | B-3 | B-3 | B | B | B | B | PII | PII | PII | PII | PII | |||
| Red 104 (9/24/95) | H | SH | SH | SH-1 | SH | SH | SH | B | B | B | B | B | B | PI | B | B | PII-7 | PII | PII | PII | PII | |||
| Red 103 (9/16/95) | SH | SH | SH | SH | B | B | B-3 | B | B | B | B | B-3 | B | B-3 | B | B | PII | PII | PII | PII | PII | |||
| Red 102 (9/15/95) | SH | SH | SH-1 | SH-1 | SH | SH | SH | SH | B | B | B | B | B | B | PI | PI | PI | PII | PII | PII-7 | PII-7 | PII | ||
| Red 101 (9/14/95) | SH-1 | SH | SH | SH | SH | SH-4 | B-4 | B | B | B-3 | B | B | B | PI | PI | PI | PII-7 | PII | PII | PII | PII | |||
H, individual calf hutch; SH, superhutch containing weaned heifers; B, calf barn; PI, pen I; PII, pen II; PI/II, water tank shared by animals in pens I and II. Data in boldface type indicate that this sample tested positive for E. coli O157:H7. The number(s) following the sampling location designation refers to the REDP of the isolate.
Sampling date (month/day/year).
All samples collected during this period were negative.
Date of birth (month/day/year).
Testing on farm X began 30 September 1995 and ended 13 November 1996. One or more of the cohort animals tested positive from May 1996 through October 1996 (Table 5). Some of the cohort animals (Blue 9, Blue 10, and Blue 11) first tested positive for O157 strains of E. coli when grouped (data not shown); however, these nonmotile (H7-negative) strains were not included as part of this study. The cohort first tested positive for E. coli O157:H7 (14 May 1996) 1 to 6 weeks after transfer to pen II (Table 5). Cohort animals Blue 11 and Blue 16 tested negative throughout the study. Noncontact cattle and cattle in contact with the cohort animals also tested positive (8 positive of 97 tested, 8%).
TABLE 5.
Source and location of E. coli O157:H7 during an outbreak on farm X
| Sample source | Sampling location and resultsa
|
||||||||||||||||||||||||
|---|---|---|---|---|---|---|---|---|---|---|---|---|---|---|---|---|---|---|---|---|---|---|---|---|---|
| 5/14/96b | 5/21/96 | 5/28/96 | 6/4/96 | 6/11/96 | 6/19/96 | 6/25/96 | 7/2/96 | 7/9/96 | 7/16/96 | 7/24/96 | 7/30/96 | 8/6/96 | 8/14/96 | 8/21/96 | 8/28/96 | 9/11/96 | 9/16/96 | 9/25/96 | 9/30/96 | 10/7/96 | 10/16/96 | 10/23/96 | 10/28/96 | 11/13/96 | |
| Feed | O | O | O | O-9 | O | O | |||||||||||||||||||
| PI/II | PI/II | PI/II | PI/II-9 | PI/II | PI/II | PI/II | PI/II | PI/II | PI/II | PI/II | PI/9 | PI/II | PI/II | ||||||||||||
| Water | CB-13 | CB-9 | CB | CB | |||||||||||||||||||||
| PI/II | PI/II | PI/II | PI/II-9 | PI/II-9 | PI/II-9 | PI/II | PI/II | PI/II | PI/II | PI/II | PI/II | PI/II | PI/II | PI/II-9 | PI/II | PI/II | PI/II-9 | PI/II | PI/II | PI/II | PI/II | PI/II | PI/II | PI/II | |
| PII | PII-9 | PII-9 | PII-9 | PII-9 | PII | PII | PII-9 | PII | PII | PII | PII-9 | PII-9 | PII-9 | PII | PII | PII | PII | PII | PII | PII | PII | PII | PII | PII | |
| O-9 | O | O | O | O | O | O | O | ||||||||||||||||||
| PIII | PIII-9 | PIII-9 | PIII | PIII | PIII | PIII | PIII | PIII | |||||||||||||||||
| Cohort animal (DOBc) | |||||||||||||||||||||||||
| Blue 16 (2/4/96 | O | O | O | O | O | O | O | O | O | PI | PI | PI | PI | PI | PII | PII | PII | PII | PII | PII | PII | PII | PII | PII | |
| Blue 14 (2/1/96) | O | O | O | O | O | O | O | O | O | PI | PI | PI-9 | PI | PI | PII | PII | PII | PII | PII-9 | PII-9 | PII | PII | PII | PII | |
| Blue 13 (1/18/96) | O | O | O | O | O | O | PI | PI | PI | PI | PI | PI-9 | PI-9 | PI | PI-9 | PII | PII | PII | PII | PII | PII | PII | PII | PI | PII |
| Blue 11 (1/15/96) | O | O | O | O | O | O | PI | PI | PI | PI | PI | PI | PI | PI | PI | PII | PII | PII | PII | PII | PII | PII | PII | PII | PII |
| Blue 10 (12/16/95) | O | O | O | O | O | O | PI | PI-9 | PI | PI-9 | PI | PI | PI-9,12 | PI | PI | PII-9 | PII-9 | PII-9 | PII-9 | PII | PII | PII | PII | PII | PII |
| Blue 9 (12/13/95) | O | O | O | O | O | O | PI | PI | PI-9 | PII | PII-9 | PII-9 | PII-9 | PII | PII | PII | PII-9 | PII | PII-9 | PII-9 | PII | PII | PII | PII | PII-9 |
| Blue 8 (12/11/95) | O | O | O | O | O | O | PI | PI | PI | PII-9 | PII | PII | PII | PII | PII | PII | PII | PII | PII | PII | PII | PII | PII | PII | PII |
| Blue 7 (11/17/95) | PII | PII-9 | PII | PII | PII | PII | PII-9 | PII-9 | PII-9 | PII-9 | PII | PII | PII-9 | PII | PII-9 | PII-9 | PII | PII | PII | PII | PII | PII | PII | PII | PII |
| Blue 6 (11/3/95) | PII-9 | PII-9 | PII | PII | PII | PII | PII | PII | PII | PII | PII | PII | PII | PII | PII | PII | PII | PII | PII | PII | PII | PII | PII | PII | PII |
| Blue 5 (11/5/95) | PII-9 | PII-9 | PII | PII-9 | PII | PII-9 | PII-9 | PII | PII | PII | PII | PII | PII | PII | PII-9 | PII | PII | PII | PII | PII | PII | PII | PII | PII | PII |
| Blue 4 (11/3/95) | PII | PII-9 | PII | PII-9 | PII-9 | PII | PII | PII | PII-9 | PII-10 | PII | PII | PII | PII | PII | PII | PII | PII | PII | PII | PII | PII | PII | PII | PII |
| Blue 3 (10/24/95) | PII | PII | PII-9 | PII-9 | PII | PII | PII-9 | PII | PII | PII | PII | PII | PII | PII | PII | PII | PII | PII | PII | PII | PII | PII | PII | PII | PII |
| Blue 2 (10/11/95) | PII | PII-9 | PII-9 | PII-9 | PII-9 | PII-9 | PII-9 | PII | PII-9 | PII-9 | PII | PII-9 | PII-9 | PII | PII | PII | PII | PII | PII | PII | PII | PII | PII | PII | PII |
| Blue 1 (9/30/95) | PII | PII | PII | PII-9 | PII | PII-9 | PII-9 | PII | PII | PII | PII | PII-9 | PII | PII | PII-9 | PII | PII-9 | PII-9 | PII | PII | PII | PII | PII | PII | PII |
CB, calf barn containing weaned heifers; PI, pen I; PII, pen II; PIII, pen III; PI/II, feed bunk or water tank (depending on type of sample) shared by pens I and II; O, outside calf pen. Data in boldface type indicate that this sample tested positive for E. coli O157:H7. The number(s) following the sampling location designation refers to the REDP of the isolate. All samples collected prior to 5/15/96 tested negative for E. coli O157:H7.
Sampling date (month/day/year).
Date of birth (month/day/year).
The positive cattle on farms R and X shed E. coli O157:H7 for various lengths of time (1 to 16 weeks) (Tables 4 and 5). The number of E. coli O157:H7 CFU in feces ranged from 2.0 × 102 to 8.7 × 104 per g. Individual heifers on farm R shed for a shorter period of time (range, 1 to 8 weeks) than heifers on farm X (range, 2 to 16 weeks). Shedding of O157:H7 strains was sporadic. For example, Blue 9 on farm X (Table 5) sporadically shed the same strain (REDP 9) over a 16-week period. Other animals (Blue 5 and Blue 14) tested positive, then tested negative for 5 to 7 weeks, and then shed the same strain (REDP 9) initially recovered from the animal. These data indicate that there is little protective immunity triggered in naturally infected dairy cattle by the presence of E. coli O157:H7, which is consistent with the absence of clinical infection in neonatal cattle (10, 12, 47). In contrast, Blue 2 shed the same strain (REDP 9) for 6 consecutive weeks, but this was the longest period of sequential fecal samples that tested positive. In another study, dairy cattle were reported to excrete strains of serotype O157:H7 for less than 1 month (3); however, the greater sampling frequency and the amount of feces tested are likely responsible for the longer duration of shedding found in this study. It is also possible that the detection method used in this study contributed to the sporadic shedding patterns; however, this is unlikely because of the sample size (10 g) tested, the number of E. coli O157:H7 CFU enumerated in feces, and the sensitivity of the method employed (44, 46). One plausible explanation for intermittent shedding of E. coli O157:H7 is sporadic intake of O157:H7 strains from an environmental source.
Although diet and diet changes can influence shedding (26, 35), they were not a factor in the length of shedding observed in this study. For example, Blue 1 (farm X) (Table 5) shed intermittently for 16 weeks, and during this period of time and 6 weeks prior to shedding, this animal received the same diet (data not shown).
Presence of O157:H7 strains in water.
The presence of E. coli O157:H7 in animal drinking water was preceded by or occurred simultaneously with the detection of at least one animal that was shedding the organism (Tables 4 and 5). These data suggest that a cohort animal(s) introduced the O157:H7 strain into the water. Oral contamination rather than fecal contamination of the water was more likely because some of the positive water tanks were covered and had ball-water ports. The ball-water port requires the animal to physically depress the ball in the port to receive tank water. Thus, fecal contamination of this type of water system is unlikely. Another positive water sample came from bucket water in a calf barn on farm X (Table 5) that was recently filled and had heifers drinking from it just prior to sampling. Cray and Moon (10) reported the isolation of serotype O157:H7 strains from the tonsils of inoculated cattle, which indicates that oral contamination of animal drinking water is possible. It is noteworthy that on the two positive farms (R and X) water was supplied in large (>50-gallon) tanks whereas on the negative farms water was supplied in water cups or tanks (<5-gallon size) in which there was frequent turnover or refilling of the water. Additional studies are needed to determine if cleaning larger tanks or the use of refilling systems with small water reservoirs and more rapid water turnover limits expansion of E. coli O157:H7 through a herd.
The role of water in the dissemination of serotype O157:H7 strains in a herd is demonstrated in Tables 4 and 5. The predominant REDP displayed by O157:H7 strains in the cohort during shedding was also found in animal drinking water. The importance of water in dissemination is further supported by animals that shed multiple O157:H7 strains. On farm R, two strains (different REDP) were shed by four heifers (Red 107, Red 108, Red 111, and Red 114) (Table 4), but only the strain that was present in animal drinking water (REDP 3) persisted on the farm whereas the other strain (REDP 5 and REDP 6) did not. Likewise, the presence of E. coli O157:H7 in water for a ca. 4-month period coincided with shedding by a cohort animal on farm X (Table 5). When the cohort drinking water tested negative (25 September 1996), all cohort fecal samples tested negative within 3 weeks and remained negative for 3 consecutive weeks. One heifer (Blue 9) tested positive 5 weeks after the water tested negative. It is unclear why some strains of E. coli O157:H7 persist on a farm and in a herd while others perish.
Antibiotic resistance and other phenotypes.
The results from testing E. coli O157:H7 isolates for resistance to penicillin G, chlortetracycline, and tetracycline are shown in Table 6. A total of 26 different strains that had either a unique genotype (REDP) and/or phenotype were identified. On farms R and X, 18 and 7 different strains were identified, respectively. A single strain from a raccoon was recovered from farm C. There was only a single isolate among the farm R isolates that was not resistant to one of the three antibiotics tested, whereas only 15 (15%) of the O157:H7 isolates from farm X were resistant to one of the antibiotics and none were resistant to more than one. The level of antibiotic resistance on farm R is most likely due to the frequent use of antibiotics on this farm. It is also possible that antibiotic use selected for the acquisition of antibiotic-resistance genes (i.e., plasmids and transposons) that resulted in minor changes in the REDP of O157:H7 strains, accounting for the greater number of REDP on farm R. None of the O157:H7 isolates from farms R and X tested were resistant to neomycin sulfate (data not shown). This was surprising considering that calves on farm R received neomycin sulfate from birth through 12 weeks of age. Additional studies are needed to assess the impact of antibiotic usage on REDP and the presence of E. coli O157:H7 in a herd.
The 26 strains listed in Table 6 were also examined for the presence of Shiga-like toxin (SLT) genes by using digoxigenin-labeled oligonucleotide probes to sequences of stxI and stxII (23) and the ability to ferment sorbitol and rhamnose. All strains but strain 1640 (raccoon isolate) and a strain that was not typeable (strain 960) were positive for both stxI and stxII genes. Strain 1640 was positive for stxII only. These findings are consistent with previous reports on the prevalence of SLT genes in E. coli O157:H7 isolates of animal origin (27, 30). Two strains (strains 993 and 1054) exhibited some fermentation of sorbitol, and 7 of 18 strains identified on farm R were negative for rhamnose fermentation.
CHEF-PFGE analyses of isolates.
Digestion of genomic DNA from E. coli O157:H7 isolates with XbaI and analysis by CHEF-PFGE resulted in 18 to 24 fragments that ranged from ca. <40 to >400 kb in length (Fig. 1). Analysis of three to six isolates from each positive sample resulted in the identification of 13 XbaI REDP. AvrII was used to analyze the 26 strains listed in Table 6. Digestion with AvrII resulted in 13 to 18 fragments that were ca. <40 to 700 kb in length (data not shown). AvrII digestion resulted in nine AvrII REDP but did not further segregate the strains identified by using XbaI (Table 6). These results are in agreement with previous studies that found that XbaI is most discriminatory for CHEF-PFGE analysis of E. coli O157:H7 (4, 22).
During periods of E. coli O157:H7 shedding on farms R and X, one REDP was displayed by a majority of isolates. For example, 30 of 41 positive samples (73%) from November 1995 to February 1996 on farm R had O157:H7 strains with REDP 3 (Table 4 and data not shown), and 9 of 11 positive cohort animals shed strains with REDP 3. Likewise, all 13 positive samples from July 1996 to August 1996 contained O157:H7 strains with REDP 7. On farm X, 93 of 95 positive samples (97%), including 17 of 18 positive water samples and 62 of 63 positive fecal samples from the cohort, contained O157:H7 strains with REDP 9 (Table 5 and data not shown). The presence of a prominent strain (i.e., same REDP) on each farm regardless of the sample source suggests a common mode or vehicle of dissemination.
A comparison of the REDP of O157:H7 strains isolated from farms R and X in 1994 demonstrated that while some isolates had different REDP (strains 721, 427, and 606) (Fig. 1), the REDP of other isolates (strains 783 and 804) were indistinguishable from those recovered on the respective farms during the present study. The detection of isolates displaying identical REDP on farms R and X from samples collected 1.5 and 2 years apart, respectively, demonstrates the persistence of a strain on a farm.
E. coli O157:H7 with REDP indistinguishable from those of the cohort on farm R (REDP 3 and REDP 7) (Table 4) and farm X (REDP 9) (Table 5) were isolated from water and noncohort cattle. In addition, isolates from a pigeon on farm R displayed REDP 1, which was indistinguishable from the REDP of isolates from calves and water at the time of sampling (Table 4). Also, REDP 1 is 92% similar to the REDP 3 which was displayed by a majority of isolates on farm R. Likewise, O157:H7 isolates from feed, fly, and water samples on farm X displayed REDP 9, which was the prominent REDP of isolates from that farm. Again, these data suggest a common on-farm source of E. coli O157:H7 dissemination.
REDP similarities.
The Dice similarity indices of the 13 XbaI REDP identified from E. coli O157:H7 isolates from farms C, R, and X ranged from 55 to 96%. In comparison, the similarity among REDP from 26 O157:H7 isolates from 16 farms across the United States ranged from 49 to 89% (27), and in our previous study of Wisconsin dairy farms, the REDP similarity of isolates from the same herd ranged from 78 to 98% (14). Thus, as the area from which O157:H7 strains are obtained becomes smaller, the strains become more similar (27).
The REDP of E. coli O157:H7 isolates from farm R were 86 to 96% similar (data not shown), and the prominent REDP during the two periods of shedding (REDP 3 and REDP 7) (Table 4) were 89% similar. Thus, O157:H7 isolates from farm R as a whole displayed similar REDP. In addition, the REDP of two O157:H7 isolates from farm R in 1994 were 89 to 100% similar (strain 783) and 64 to 72% similar (strain 721) to isolates recovered during the present study (data not shown). REDP 5 (strain 1054) was the most dissimilar REDP among farm R isolates but was still 86 to 96% similar to the REDP of other isolates.
Fecal samples from four cohort heifers had two O157:H7 strains with different but highly related REDP (>93% similar). For example, strains with either REDP 3 or REDP 5 were shed simultaneously by three heifers. REDP 3 and REDP 5 are 96% similar, which suggests that insertions, deletions, or mutations within the chromosome of the infecting strain (probably a REDP 3 strain) created minor changes in the REDP. In contrast, a heifer on farm X shed two O157:H7 strains with REDP that were only 70% similar. Multiple genetic rearrangements would be necessary to generate this REDP; therefore, it is more probable that this cow acquired two different O157:H7 strains. The presence of E. coli O157:H7 with different but highly related REDP in fecal samples from cattle and humans has been reported previously (3, 14).
Four XbaI REDP were identified among farm X isolates, although strains displaying REDP 9 predominated (97% of positive samples). The other REDP identified (REDP 10, 12, and 13) (Fig. 1; Table 6) were 55 to 92% similar to REDP 9. REDP 13 was 92% similar to REDP 9, but REDP 12 (strain 1707, calf isolate) and REDP 13 (strain 1764, water isolate) were 70 and 78% similar to REDP 9, respectively. The strains with REDP 12 and REDP 13 were probably recently introduced to the farm. The REDP of a calf isolate from 1994 was also indistinguishable from REDP 9 (Fig. 1), but the REDP of two other O157:H7 isolates from 1994 were distantly related (52 to 83% similar) to those of isolates from the present study. These findings demonstrate the persistence of endemic O157:H7 strains in a herd despite the periodic introduction of different O157:H7 strains (different REDP).
It is interesting that the REDP of strain 721 recovered from animal drinking water on farm R in 1994 was 96% similar to that of the O157:H7 isolate from a raccoon on farm C. The REDP of the raccoon isolate (strain 1641) was only 69 to 80% similar to the REDP of strains from the present study with the exception of strain 1625 from farm X, which was 92% similar (data not shown). Thus, raccoons may play a role in farm-to-farm dissemination, but it should be noted that neither strain 721 (farm R) nor strain 1641 (farm C) became established in herds from the respective farms. These results demonstrate the utility of Dice similarity indices of REDP to distinguish O157:H7 strains that are endemic in a herd from those that have been more recently introduced.
Results from this longitudinal study found that two herds remained negative and one herd was negative for a 3-year period, demonstrating that a herd can be negative or have a low prevalence of E. coli O157:H7. In positive herds, seasonal shedding of E. coli O157:H7 in dairy cattle was not observed in this study. Shedding in cattle was intermittent and may result from reinoculation from an environmental source rather than colonization. CHEF-PFGE analyses of O157:H7 isolates indicated that a point source of E. coli O157:H7 was likely responsible for the dissemination of a strain through the herd. Contaminated animal drinking water was the most probable vehicle and provides a potential intervention target for the control of this pathogen on farms.
ACKNOWLEDGMENTS
We are grateful for the support of William Buisch, Bonnie Buntain, Thomas Holt, and Gifford Jacobsen. The technical assistance provided by Susan Ansay, Cara Chermak, and Brett Norell is greatly appreciated.
Financial support was provided by the Wisconsin Beef Council; FSIS and Veterinary Services, APHIS, USDA; contributions to the Food Research Institute; and the College of Agricultural and Life Sciences, University of Wisconsin—Madison.
REFERENCES
- 1.Belongia E A, Osterholm M T, Soler J T, Ammend D A, Braun J E, MacDonald K L. Transmission of Escherichia coli O157:H7 infection in Minnesota child day-care facilities. JAMA. 1993;269:883–888. [PubMed] [Google Scholar]
- 2.Besser R E, Lett S M, Weber J T, Doyle M P, Barrett T J, Wells J G, Griffin P M. An outbreak of diarrhea and hemolytic uremic syndrome from Escherichia coli O157:H7 in fresh pressed apple cider. JAMA. 1993;269:2217–2220. [PubMed] [Google Scholar]
- 3.Besser T E, Hancock D D, Pritchett L C, McRae E M, Rice D H, Tarr P I. Duration of detection of fecal excretion of Escherichia coli O157:H7 in cattle. J Infect Dis. 1997;175:726–729. doi: 10.1093/infdis/175.3.726. [DOI] [PubMed] [Google Scholar]
- 4.Böhm H, Karch H. DNA fingerprinting of Escherichia coli O157:H7 strains by pulsed-field gel electrophoresis. J Clin Microbiol. 1992;30:2169–2172. doi: 10.1128/jcm.30.8.2169-2172.1992. [DOI] [PMC free article] [PubMed] [Google Scholar]
- 5.Brosch R, Chen J, Luchansky J B. Pulsed-field fingerprinting of listeriae: identification of genomic divisions for Listeria monocytogenes and their correlation with serovar. Appl Environ Microbiol. 1994;60:2584–2592. doi: 10.1128/aem.60.7.2584-2592.1994. [DOI] [PMC free article] [PubMed] [Google Scholar]
- 6.Carter A O, Borczyk A A, Carlson J A K, Harvey B, Hockin J C, Karmali M A, Krishnan C, Korn D A, Lior H. A severe outbreak of Escherichia coli O157:H7-associated hemorrhagic colitis in a nursing home. N Engl J Med. 1987;317:1496–1500. doi: 10.1056/NEJM198712103172403. [DOI] [PubMed] [Google Scholar]
- 7.Centers for Disease Control and Prevention. Escherichia coli O157:H7 outbreak linked to commercially distributed dry-cured salami—Washington and California, 1994. Morbid Mortal Weekly Rep. 1995;44:157–160. [PubMed] [Google Scholar]
- 8.Cieslak P R, Barrett T J, Griffin P M, Gensheimer K F, Beckett G, Buffington J, Smith M G. Escherichia coli O157:H7 infection from a manured garden. Lancet. 1993;342:367. doi: 10.1016/0140-6736(93)91509-k. [DOI] [PubMed] [Google Scholar]
- 9.Cohen M L, Tauxe R V. Drug-resistant Salmonella in the United States: an epidemiologic perspective. Science. 1986;234:964–969. doi: 10.1126/science.3535069. [DOI] [PubMed] [Google Scholar]
- 10.Cray W C, Moon H W. Experimental infection of calves and adult cattle with Escherichia coli O157:H7. Appl Environ Microbiol. 1995;61:1586–1590. doi: 10.1128/aem.61.4.1586-1590.1995. [DOI] [PMC free article] [PubMed] [Google Scholar]
- 11.Dargatz D A, Wells S J, Thomas L, Hancock D D, Garber L P. Factors associated with the presence of Escherichia coli O157:H7 in feces of feedlot cattle. J Food Prot. 1997;60:466–470. doi: 10.4315/0362-028X-60.5.466. [DOI] [PubMed] [Google Scholar]
- 12.Dean-Nystrom E A, Bosworth B T, Cray W C, Moon H W. Pathogenicity of Escherichia coli O157:H7 in the intestines of neonatal calves. Infect Immun. 1997;65:1842–1848. doi: 10.1128/iai.65.5.1842-1848.1997. [DOI] [PMC free article] [PubMed] [Google Scholar]
- 13.Dice L R. Measures of the amount of ecological association between species. Ecology. 1945;26:297–302. [Google Scholar]
- 14.Faith N G, Shere J A, Brosch R, Arnold K W, Ansay S E, Lee M-S, Luchansky J B, Kaspar C W. Prevalence and clonal nature of Escherichia coli O157:H7 on dairy farms in Wisconsin. Appl Environ Microbiol. 1996;62:1519–1525. doi: 10.1128/aem.62.5.1519-1525.1996. [DOI] [PMC free article] [PubMed] [Google Scholar]
- 15.Garber L P, Wells S J, Hancock D D, Doyle M P, Tuttle J, Shere J A, Zhao T. Risk factors for fecal shedding of Escherichia coli O157:H7 in dairy calves. J Am Vet Med Assoc. 1995;207:46–49. [PubMed] [Google Scholar]
- 16.Grandsen W R, Damm S, Anderson J D. Verotoxin producing Escherichia coli O157:H7 and diarrhea. Ann Intern Med. 1985;103:160. doi: 10.7326/0003-4819-103-1-160. [DOI] [PubMed] [Google Scholar]
- 17.Griffin P M. Escherichia coli O157:H7 and other enterohemorrhagic Escherichia coli infections of the gastrointestinal tract. In: Blasser M J, Smith P D, Ravdin J I, Greenburg H B, Guerrant R L, editors. Infections of the gastrointestinal tract. New York, N.Y: Raven Press, Ltd.; 1995. pp. 739–761. [Google Scholar]
- 18.Griffin P M, Tauxe R V. The epidemiology of infections caused by Escherichia coli O157:H7, other enterohemorrhagic E. coli, and the associated hemolytic uremic syndrome. Epidemiol Rev. 1991;13:60–98. doi: 10.1093/oxfordjournals.epirev.a036079. [DOI] [PubMed] [Google Scholar]
- 19.Hancock D D, Besser T E, Kinsel M L, Tarr P I, Rice D H, Paros M G. The prevalence of Escherichia coli O157:H7 in dairy and beef cattle in Washington State. Epidemiol Infect. 1994;113:119–207. doi: 10.1017/s0950268800051633. [DOI] [PMC free article] [PubMed] [Google Scholar]
- 20.Hancock D D, Rice D H, Herriott D E, Tarr P I. A longitudinal study of Escherichia coli O157:H7 in fourteen cattle herds. Epidemiol Infect. 1997;118:193–195. doi: 10.1017/s0950268896007212. [DOI] [PMC free article] [PubMed] [Google Scholar]
- 21.Hancock D D, Rice D H, Herriott D E, Besser T E, Ebel E E, Carpenter L V. The effects of farm manure handling practices on Escherichia coli O157:H7 prevalence in cattle. J Food Prot. 1997;60:363–366. doi: 10.4315/0362-028X-60.4.363. [DOI] [PubMed] [Google Scholar]
- 22.Harsono K D, Kaspar C W, Luchansky J B. Comparison and genomic sizing of Escherichia coli O157:H7 by pulsed-field gel electrophoresis. Appl Environ Microbiol. 1993;59:3141–3144. doi: 10.1128/aem.59.9.3141-3144.1993. [DOI] [PMC free article] [PubMed] [Google Scholar]
- 23.Karch H, Meyer T. Evaluation of oligonucleotide probes for identification of Shiga-toxin producing Escherichia coli. J Clin Microbiol. 1989;27:1180–1186. doi: 10.1128/jcm.27.6.1180-1186.1989. [DOI] [PMC free article] [PubMed] [Google Scholar]
- 24.Karmali M A. Infection by verotoxin-producing Escherichia coli. Clin Microbiol Rev. 1989;2:15–38. doi: 10.1128/cmr.2.1.15. [DOI] [PMC free article] [PubMed] [Google Scholar]
- 25.Kim H H, Samadpour M, Grimm L, Clausen C R, Besser T E, Baylor M, Kobayashi J M, Neill M A, Schoenknecht F D, Tarr P I. Characteristics of antibiotic-resistant Escherichia coli O157:H7 in Washington State, 1984–1991. J Infect Dis. 1994;170:1606–1609. doi: 10.1093/infdis/170.6.1606. [DOI] [PubMed] [Google Scholar]
- 26.Kudva I T, Hatfield P G, Houde C J. Effect of diet on shedding of Escherichia coli O157:H7 in a sheep model. Appl Environ Microbiol. 1995;61:1363–1370. doi: 10.1128/aem.61.4.1363-1370.1995. [DOI] [PMC free article] [PubMed] [Google Scholar]
- 27.Lee M-S, Kaspar C W, Brosch R, Shere J A, Luchansky J B. Pulsed-field genomic fingerprinting of Escherichia coli O157:H7 from dairy calves isolated during the United States national dairy heifer evaluation project (1991–1992) Vet Microbiol. 1996;48:223–230. doi: 10.1016/0378-1135(95)00135-2. [DOI] [PubMed] [Google Scholar]
- 28.MacDonald K L, O’Leary M J, Cohen M L, Norris P, Wells J G, Noll E, Kobayashi J M, Blake P A. Escherichia coli O157:H7, an emerging gastrointestinal pathogen. Results of a one year, prospective, population-based study. JAMA. 1988;259:3567–3570. [PubMed] [Google Scholar]
- 29.Marshall W F, McLimans C A, Yu P K W, Allerberger F J, Van Scoy R E, Anhalt J P. Results of a six month survey of stool cultures for Escherichia coli O157:H7. Mayo Clin Proc. 1990;65:787–791. doi: 10.1016/s0025-6196(12)62567-1. [DOI] [PubMed] [Google Scholar]
- 30.Meng J, Zhoa S, Zhoa T, Doyle M P. Molecular characterization of Escherichia coli O157:H7 isolates by pulsed-field gel electrophoresis and plasmid DNA analysis. J Med Microbiol. 1995;42:258–263. doi: 10.1099/00222615-42-4-258. [DOI] [PubMed] [Google Scholar]
- 31.Morgan D, Newman C P, Hutchinson D N, Walker A M, Rowe B, Majid F. Verotoxin producing Escherichia coli O157:H7 infections associated with the consumption of yoghurt. Epidemiol Infect. 1993;111:181–187. doi: 10.1017/s0950268800056880. [DOI] [PMC free article] [PubMed] [Google Scholar]
- 32.Neill M A. E. coli O157:H7—current concepts and future prospects. J Food Safety. 1989;10:99–106. [Google Scholar]
- 33.Orskov F, Orskov I, Villar J A. Cattle as a reservoir of verotoxin-producing Escherichia coli O157:H7. Lancet. 1987;2:276. doi: 10.1016/s0140-6736(87)90860-9. [DOI] [PubMed] [Google Scholar]
- 34.Pai C H, Gordon R, Sims H V. Sporadic cases of hemorrhagic colitis associated with Escherichia coli O157:H7: clinical, epidemiological, and bacteriological features. Ann Intern Med. 1988;101:738–742. doi: 10.7326/0003-4819-101-6-738. [DOI] [PubMed] [Google Scholar]
- 35.Rassmussen M A, Cray W C, Casey T A, Whipp S C. Rumen contents as a reservoir of enterohemorrhagic Escherichia coli. FEMS Microbiol Lett. 1993;114:79–84. doi: 10.1016/0378-1097(93)90145-r. [DOI] [PubMed] [Google Scholar]
- 36.Ratnam S, March S B, Ahmed R, Bezanson G S, Kasatiya S. Characterization of Escherichia coli serotype O157:H7. J Clin Microbiol. 1988;26:2006–2012. doi: 10.1128/jcm.26.10.2006-2012.1988. [DOI] [PMC free article] [PubMed] [Google Scholar]
- 37.Riley L W, Remis R S, Helgerson S D, McGee H B, Wells J G, Davis B R, Hebert R J, Olcoot E S, Johnson L M, Hargrett N T, Blake P A, Cohen M L. Hemorrhagic colitis associated with a rare Escherichia coli serotype. N Engl J Med. 1983;308:681–685. doi: 10.1056/NEJM198303243081203. [DOI] [PubMed] [Google Scholar]
- 38.Shere J A, Bartlett K J, Kaspar C W. Abstracts of the Third International Symposium and Workshop on Shiga Toxin (Verocytotoxin)-Producing Escherichia coli Infections, Baltimore, Md. 1997. Longitudinal study of E. coli O157:H7 on four dairy farms in Wisconsin, abstr. V23/11. [Google Scholar]
- 39.Swerdlow D L, Woodruff B A, Brady R C, Griffin P M, Tippen S, Donnell H D, Geldreich E, Payne B J, Meyer A, Wells J G, Greene K D, Bright M, Bean N H, Blake P A. A waterborne outbreak in Missouri of Escherichia coli O157:H7 associated with bloody diarrhea and death. Ann Intern Med. 1991;117:812–818. doi: 10.7326/0003-4819-117-10-812. [DOI] [PubMed] [Google Scholar]
- 40.U.S. Department of Agriculture, Animal and Plant Health Inspection Services, Veterinary Services. Escherichia coli O157:H7 in United States dairy cattle. Fort Collins, Colo: Centers for Epidemiology and Animal Health; 1994. [Google Scholar]
- 41.U.S. Department of Agriculture, Animal and Plant Health Inspection Services, Veterinary Services. Escherichia coli O157:H7 shedding in feed lot cattle. Fort Collins, Colo: Centers for Epidemiology and Animal Health; 1995. [Google Scholar]
- 42.Wallace J S, Chesty T, Jones K. Isolation of Vero cytotoxin-producing Escherichia coli O157 from wild birds. J Appl Microbiol. 1997;82:399–404. doi: 10.1046/j.1365-2672.1997.00378.x. [DOI] [PubMed] [Google Scholar]
- 43.Weagant S D, Bryant J L, Bark D H. Survival of Escherichia coli O157:H7 in mayonnaise-based sauces at room and refrigerated temperatures. J Food Prot. 1994;57:629–631. doi: 10.4315/0362-028X-57.7.629. [DOI] [PubMed] [Google Scholar]
- 44.Weagant S D, Bryant J L, Jinneman K G. An improved rapid technique for isolation of Escherichia coli O157:H7 from foods. J Food Prot. 1995;58:7–12. doi: 10.4315/0362-028X-58.1.7. [DOI] [PubMed] [Google Scholar]
- 45.Wilson J B, McEwen S A, Clarke R C, Leslie K E, Wilson R A, Waltner-Toews D, Gyles C L. Distribution and characteristics of verocytotoxigenic Escherichia coli isolated from Ontario dairy cattle. Epidemiol Infect. 1992;108:423–439. doi: 10.1017/s0950268800049931. [DOI] [PMC free article] [PubMed] [Google Scholar]
- 46.Zadik P M, Chapman P A, Siddons C A. Use of tellurite for the selection of verocytotoxigenic Escherichia coli O157:H7. J Med Microbiol. 1993;39:155–158. doi: 10.1099/00222615-39-2-155. [DOI] [PubMed] [Google Scholar]
- 47.Zhao T, Doyle M P, Shere J, Garber L. Prevalence of enterohemorrhagic Escherichia coli O157:H7 in a survey of dairy herds. Appl Environ Microbiol. 1995;61:1290–1293. doi: 10.1128/aem.61.4.1290-1293.1995. [DOI] [PMC free article] [PubMed] [Google Scholar]

