A 78-year-old male with dyspnea for several weeks underwent a computed tomography (CT) scan. A CT-guided biopsy of a nodule in the right upper lobe was performed, which was compatible with pulmonary adenocarcinoma. Staging was completed with positron emission tomography (PET) and endobronchial ultrasound (EBUS) immediately after.
During EBUS, an incidental discovery was made—an isoechoic intravascular image was identified within a branch of the left pulmonary artery (11–12 L level) (Video 1), which had not been visualized in previous imaging tests.
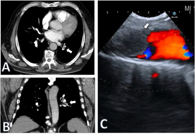
Given this suspicion, the patient was promptly referred to the emergency department for a CT pulmonary angiogram (CTPA), confirming the presence of a left lobar pulmonary embolism (PE), which would justify the dyspnea (Fig. 1).
Fig. 1.
Images of the thrombus in the left pulmonary artery branch, indicated by the arrow, in axial (A) and coronal (B) sections of CTPA. (C) EBUS: Doppler mode image showing the thrombus occluding the arterial circulation.
It is important to systematically explore the mediastinum, including lymph node and vascular anatomy. PE is a prevalent disease, with a higher risk in lung cancer cases, and its diagnosis can be complex. However, in experienced hands, the procedure duration should not increase substantially.
Although CTPA is still considered the gold standard, documented cases in the literature1 suggest that EBUS can serve as a diagnostic alternative in specific scenarios, such as contrast allergy, renal failure, or hemodynamic instability,2 where CTPA is not viable.
Informed consent
The patient has signed the informed consent form.
Funding
This study was not supported by any grant.
Authors’ contributions
Study concept and design, JCH; Drafting of the manuscript, PAA, JMM; Critical revision of the manuscript for important intellectual content, JCH.
Conflict of interest
The authors declare to have no conflict of interest directly or indirectly related to the manuscript contents.
Footnotes
Supplementary data associated with this article can be found, in the online version, at doi:10.1016/j.opresp.2024.100298.
Appendix A. Supplementary data
The following are the supplementary data to this article:
References
- 1.Llopis Pastor E., Franco Serrano J., Burés Sales E. Pulmonary thromboembolism diagnosed by endobronchial ultrasound. Arch Bronconeumol. 2013;49:555–556. doi: 10.1016/j.arbres.2013.04.011. [DOI] [PubMed] [Google Scholar]
- 2.Channick C., Channick R. Use of endobronchial ultrasound for bedside diagnosis of acute pulmonary embolism in a critically ill patient. Chest. 2019;154:651–652. doi: 10.1016/j.chest.2018.11.013. [DOI] [PubMed] [Google Scholar]
Associated Data
This section collects any data citations, data availability statements, or supplementary materials included in this article.


