Abstract
The Rep proteins encoded by the adeno-associated virus type 2 (AAV) play a crucial role in the rescue, replication, and integration of the viral genome. In the absence of a helper virus, little expression of the AAV Rep proteins occurs, and the AAV genome fails to undergo DNA replication. Since previous studies have established that expression of the Rep78 and Rep68 proteins from the viral p5 promoter is controlled by the Rep-binding site (RBS) and the YY1 factor-binding site (YBS), we constructed a number of recombinant AAV plasmids containing mutations and/or deletions of the RBS and the YBS in the p5 promoter. These plasmids were transfected in HeLa or 293 cells and analyzed for the potential to undergo AAV DNA rescue and replication. Our studies revealed that (i) a low-level rescue and autonomous replication of the wild-type AAV genome occurred in 293 but not in HeLa cells; (ii) mutations in the RBS resulted in augmented expression from the p5 promoter, leading to more efficient rescue and/or replication of the AAV genome in 293 but not in HeLa cells; (iii) little rescue and/or replication occurred from plasmids containing mutations in the YBS alone in the absence of coinfection with adenovirus; (iv) expression of the adenovirus E1A gene products was insufficient to mediate rescue and/or replication of the AAV genome in HeLa cells; (v) autonomously replicated AAV genomes in 293 cells were successfully encapsidated in mature progeny virions that were biologically active in secondary infection of HeLa cells in the presence of adenovirus; and (vi) stable transfection of recombinant AAV plasmids containing a gene for resistance to neomycin significantly affected stable integration only in 293 cells, presumably because rescue and autonomous replication of the AAV genome from these plasmids occurred in 293 cells but not in HeLa or KB cells. These data suggest that in the absence of adenovirus, the AAV Rep protein-RBS interaction plays a dominant role in down-regulating viral gene expression from the p5 promoter and that perturbation in this interaction is sufficient to confer autonomous replication competence to AAV in 293 cells.
The adeno-associated virus type 2 (AAV), a nonpathogenic human parvovirus, contains a single-stranded DNA genome of 4,680 nucleotides (55). Optimal replication of the wild-type (wt) AAV genome requires coinfection with a helper virus, such as adenovirus or herpesvirus (2–5). In the absence of a helper virus, the wt AAV genome integrates into the host chromosomal DNA in a site-specific manner to establish a latent infection (7, 17–20, 48). When a latently infected cell is subsequently infected with a helper virus, the integrated wt AAV genome undergoes rescue and proceeds through a normal productive infection (31, 32). The AAV genome can also be rescued from recombinant plasmids containing the wt viral genome by transfecting the plasmid DNA into adenovirus-infected human cells (44, 47). Thus, recombinant plasmids have proven to be a useful model system with which to study the molecular events involved in rescue and replication of the latent proviral AAV genome (10, 44–46, 56, 59–61). Two sequences in the wt AAV genome are essential for viral DNA replication. The first is the viral origin of DNA replication, which consists of a 145-nucleotide inverted terminal repeat (ITR) sequence, the terminal 125 nucleotides of which form a hairpin palindrome that is used as a primer for initiation of viral DNA replication (9, 26, 54). The second is the viral rep gene, which codes for four viral nonstructural proteins (Rep) that are synthesized from a single open reading frame by the use of alternate promoters and splicing (54). Rep78 and Rep68 are expressed from a promoter at map unit 5 (p5), and Rep52 and Rep40 are derived from expression from a promoter at map unit 19 (p19) in the viral genome (3, 4, 30, 54). The Rep proteins have multiple functions and are involved in rescue, replication, encapsidation, and integration of the AAV genome as well as in regulation of the viral gene expression (12, 13, 24–30, 35–38, 49, 52, 53, 56, 63, 64). In the absence of adenovirus, the Rep proteins repress the production of the p5 and p19 transcripts, but in the presence of adenovirus, the Rep proteins simultaneously activate and repress the AAV p5 promoter and activate expression from the p19 promoter in the AAV genome (37, 38). Previous studies have shown that Rep78 and Rep68 specifically bind to the cruciform structures of the AAV ITRs (1, 14). The Rep proteins also possess a site-specific and strand-specific endonuclease activity which specifically cleaves at the terminal resolution site (trs) within the ITR sequences (15, 16). Both the secondary structure element of the ITR and a specific sequence at trs are required for the recognition and efficient cleavage by the Rep proteins (52, 53), although a low-level cleavage can occur in the absence of the secondary structure (27). However, recent in vitro studies have documented that the purified Rep68 protein binds not only to the ITR but also to linear DNA sequences, such as the A sequence, and p5 and p19 promoter sequences (24, 27, 37, 62). The Rep-binding site (RBS) in the p5 promoter between the TATA box and the transcription start site is responsible for the repression of expression of Rep68 (24, 37). In addition to this RBS, the binding site for yet another transcription factor, YY1 (58) (the YY1 factor-binding site [YBS]), in the p5 promoter is also responsible for regulation of expression of Rep proteins (6, 50, 51). Although the RBS in the p5 promoter is believed to be involved in rep gene expression (24, 35) and AAV DNA integration (8), it is unclear whether Rep-mediated binding to these sequences is required for viral DNA replication. Similarly, the binding of YY1 to the p5 promoter and its consequences for AAV DNA replication in the absence of a helper virus have not been rigorously examined.
In this report, we document that the wt AAV genome undergoes rescue and autonomous replication in 293 but not in HeLa cells and that autonomous replication of the AAV genome correlates well with expression from the viral promoters in 293 cells. Interestingly, however, expression of the adenovirus E1A proteins is insufficient to mediate rescue and replication of the AAV genome in HeLa cells. The autonomously replicated AAV genomes in 293 cells are successfully encapsidated in mature progeny virions that are biologically active. These studies yield insights into the complex interaction of Rep proteins with the viral genome leading to down-regulation of gene expression from the p5 promoter and indicate that perturbation in this interaction is sufficient to confer autonomous replication competence to AAV in 293 cells.
MATERIALS AND METHODS
Cells, viruses, and plasmids.
Human cervical carcinoma cell line HeLa and human nasopharyngeal carcinoma cell line KB were provided by Asok C. Antony (Indiana University School of Medicine, Indianapolis). Human embryonic kidney cell line 293 was obtained from the American Type Culture Collection (Rockville, Md.). Cells were maintained as monolayer cultures in Iscove’s modified Dulbecco’s medium supplemented with 10% fetal bovine serum, penicillin, and streptomycin as previously described (33, 34). AAV and the human adenovirus type 2 (Ad2) virus stocks were obtained from Kenneth I. Berns, Cornell University Medical College, New York, N.Y., and Kenneth H. Fife, Indiana University School of Medicine, respectively, and propagated as previously described (21). The recombinant AAV plasmid pSub201 (45) was supplied by Richard J. Samulski, University of North Carolina, Chapel Hill.
Construction of recombinant AAV plasmids.
Standard cloning techniques were used for constructing all recombinant plasmids (43). First, a plasmid designated pXS-26B was constructed by replacing the right XbaI site in plasmid pSub201 with a synthetic oligonucleotide linker sequence (5′-CTAGGGAATTCC-3′) containing an EcoRI site. To construct plasmids pXS-70A, pXS-70B, and pXS-70C, plasmid pSub201 was digested with Eco31I and KpnI. The left half of the AAV genome fragment was isolated and ligated with synthetic oligonucleotide linker sequences (5′-CCGAGATCTCGATCAGGGTCTCC-3′, 5′-CCGAGTGAGCACGCAGGGTTTAA-3′, and 5′-CCGAGATCTCGTCAGGGTTTAA-3′, respectively) and then inserted into plasmid pXS-24, described previously (60), which was digested with AvaI and KpnI. The resulting plasmids, designated pXS-69A, pXS-69B, and pXS-69C, respectively, were digested with XbaI and HindIII, and these fragments were used to replace the XbaI-HindIII fragment in plasmid pXS-26B. Plasmid pXS-48B was constructed by replacing the XbaI-HindIII fragment of pXS-26B, using the XbaI-HindIII fragment from pXS-47, also described previously (62). The wt AAV coding sequences flanked by the Ad5 ITRs were cloned between the BalI sites in plasmid pSub201 to generate plasmid pXS-37. A DNA fragment containing the herpesvirus thymidine kinase (TK) promoter-driven gene for resistance to neomycin (TK-neor) isolated from plasmid pTwu.G1 (33) was inserted at the ClaI site in plasmid pXS-37 to generate the plasmid pXS-38. Similarly, the TK-neor fragment was inserted at the ClaI site in plasmid pXS-18, lacking the AAV D sequences described previously (59), to generate the plasmid pXS-39. Plasmid pXS-40 was generated by inserting the TK-neor fragment at the ClaI site in plasmid pSub201.
Southern blot analysis for AAV DNA rescue and replication.
DNA-mediated transfections were carried out in triplicate by the calcium phosphate coprecipitation method (43) with 10 μg of each plasmid per 100-mm-diameter dish of 70% confluent 293 cells. At various times posttransfection, low-Mr DNA samples were isolated by the procedure described by Hirt (11), digested extensively with DpnI, and analyzed on Southern blots by using the 32P-labeled AAV DNA probe as previously described (33, 34). HeLa cells were transfected by using Lipofectin as recommended by the vendor (Boehringer Mannheim Biochemicals, Indianapolis, Ind.).
Northern blot analysis for AAV gene expression.
Cells were either mock transfected or transfected in triplicate with equivalent amounts of various recombinant AAV plasmids by using Lipofectin as described above. Forty-eight hours posttransfection, total cellular RNA was isolated from two-thirds of the cells and analyzed on Northern blots, using two 32P-labeled DNA probes, one specific for the AAV and one specific for the glyceraldehyde phosphate dehydrogenase (GAPDH) cDNA sequence. The remainder one-third of the cells were used to isolate low-Mr DNA for analyses of plasmid uptake on quantitative DNA slot blots by using the 32P-labeled AAV DNA probe as previously described (22).
Encapsidation and biological activity of AAV progeny virions.
Equivalent amounts of plasmids pXS-70A and pSub201 were transfected in 293 cells as previously described (59–62). Approximately 72 h posttransfection, cells were harvested and progeny virions were purified by one round of CsCl equilibrium density gradient followed by exhaustive digestion with DNase I as previously described (21). These viral stocks were used in secondary infections of Ad2-infected HeLa cells, and low-Mr DNA samples isolated at various times postinfection were analyzed on Southern blots using 32P-labeled AAV probe as previously described (33, 34).
Stable transduction assays.
Equivalent numbers of HeLa, KB, and 293 cells were transfected in triplicate with 10 μg each of the recombinant plasmids pXS-38, pXS-39, and pXS-40, separately. Forty-eight hours posttransfection, G418 was added at a final active concentration of 400 μg/ml, and G418-resistant colonies were enumerated 14 days later as previously described (33, 41).
RESULTS
AAV DNA sequences undergo rescue from recombinant plasmids followed by autonomous replication in human 293 but not in HeLa cells.
Previous studies have shown that the RBS in the p5 promoter is involved in the repression of expression of Rep78 and Rep68 proteins in the absence of the helper virus and that the YBS is also involved in the regulation of Rep protein expression (6, 24, 27). Further analyses revealed that mutations in the RBS provide partial relief from down-regulation by Rep68, and mutations in the YBS reduced the p5 mRNA levels in 293 cells (24, 37). Since these studies were confined to analyses of gene expression in the absence of AAV DNA replication in experiments involving plasmid transfections, we examined the effects of these mutations on viral DNA replication in the context of the AAV genome. We created a number of mutations in the RBS and the YBS within the p5 promoter of the wt AAV genome, which are schematically depicted in Fig. 1. Briefly, plasmid pSub201 contains the wt AAV genome (45). Plasmids pXS-70A and pXS-70B contain mutations in the RBS and the YBS, respectively, in the viral p5 promoter. In plasmid pXS-70C, both RBS and YBS have been mutated; in plasmid pXS-48B, both sites have been deleted. Equivalent amounts of these plasmids were transfected separately into 293 cells in the absence of adenovirus, and low-Mr DNA samples were isolated at various times posttransfection, digested extensively with DpnI, and analyzed on Southern blots by using the 32P-labeled AAV DNA probe. These results are shown in Fig. 2. The roughly equivalent hybridization intensities of DpnI fragments generated from each plasmid, observed even at much shorter autoradiographic exposures, indicate that the amounts of the input plasmids were approximately the same. It is interesting that a low-level rescue and replication of the AAV genome from plasmid pSub201 occurred in 293 cells, as evidenced by time-dependent accumulation of DpnI-resistant AAV monomeric and dimeric replicative DNA intermediates. The efficiency of rescue and/or replication of the AAV genome in 293 cells transfected with plasmid pXS-70A containing a mutation in the RBS was significantly increased. These replicative DNA intermediates disappeared when the low-Mr DNA samples were digested extensively with DpnI, which digests input plasmid DNA but not DNA replicated in human cells, and DpnII, which digests DNA replicated in human cells (data not shown). These results indicate that AAV DNA containing a mutation in the RBS can undergo rescue from the recombinant plasmid pXS-70A followed by a full round of autonomous replication in 293 cells in the absence of adenovirus, albeit at several orders of magnitude less than that observed from the plasmid pSub201 in the presence of adenovirus. The efficiency of rescue and replication of the AAV genome from plasmids pXS-70C and pXS-48B, containing a mutation and a deletion in the RBS and the YBS, respectively, was higher than that from plasmid pSub201 but less than that from plasmid pXS-70A. Little rescue and/or replication of the AAV genome occurred from the plasmid pXS-70B, which contained a mutation in the YBS. Interestingly, however, when these studies were carried out with HeLa cells under identical conditions, the AAV genome failed to undergo rescue and replication, even from the plasmid pXS-70A (data not shown, but see later). Abundant rescue and/or replication of the AAV genome from each of the plasmids occurred in the presence of adenovirus in 293 (Fig. 3) as well as HeLa (data not shown) cells. These results demonstrate that the RBS mediates repression of replication and that the YBS promotes AAV DNA replication in the absence of adenovirus in 293 cells.
FIG. 1.
Schematic structure of the AAV genome containing various mutations and/or deletions in the RBS and the YBS in the viral p5 promoter. Mutations and deletions are denoted by the prefixes “m” and “d.” Asterisks indicate the deleted nucleotides. The AAV p5 promoter is represented by the closed circle, and the RNA start site is indicated by the arrow. The hairpin (HP) and the D sequences that constitute the viral ITRs are represented by open and closed rectangles, respectively. Each of the recombinant plasmids was constructed as described in Materials and Methods.
FIG. 2.
Southern blot analyses of rescue and replication of AAV genomes containing various mutations and/or deletions in the RBS and YBS in 293 cells in the absence of adenovirus. Ten micrograms of each indicated plasmid DNA was transfected separately in approximately 70% confluent 293 cells in a 10-cm-diameter dish, and low-Mr DNA isolated at 24 h (lanes 1, 4, 7, 10, and 13), 48 h (lanes 2, 5, 8, 11, and 14), and 72 h (lanes 3, 6, 9, 12, and 15) posttransfection was digested with DpnI and analyzed on Southern blots, using an AAV-specific DNA probe. Autoradiography was performed at −70°C for 16 h. m and d denote the monomeric and dimeric replicative forms of the AAV genome.
FIG. 3.
Southern blot analyses of rescue and replication of AAV genomes containing various mutations and/or deletions in the RBS and YBS in adenovirus-infected 293 cells. Ten micrograms of each indicated plasmid DNA was transfected separately in approximately 70% confluent 293 cells, and low-Mr DNA isolated at 24 h (lanes 1, 4, 7, 10, and 13), 48 h (lanes 2, 5, 8, 11, and 14), and 72 h (lanes 3, 6, 9, 12, and 15) posttransfection was digested with DpnI and analyzed on Southern blots, using an AAV-specific DNA probe as described in the legend to Fig. 2. Autoradiography was performed at room temperature for 15 min. m and d denote the monomeric and replicative forms of the AAV genome.
Autonomous replication of the AAV genomes correlates with expression of the rep genes.
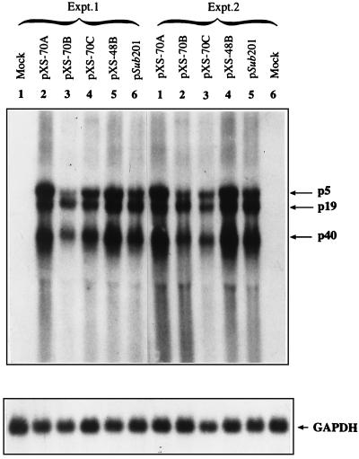
It was next of interest to investigate whether mutations in the RBS and the YBS also had an effect on rep gene expression. Each of the recombinant AAV plasmids was transfected in triplicate into 293 cells in the absence of adenovirus. Forty-eight hours posttransfection, total RNA and low-Mr DNA were isolated and analyzed on Northern and quantitative DNA slot blots, respectively, using the 32P-labeled AAV DNA as a probe. Such blots from two separate experiments are shown in Fig. 4 and 5. Approximately equivalent hybridization intensities of RNA samples with the GAPDH probe (Fig. 4) and that of low-Mr DNA with the AAV probe (Fig. 5) indicate that RNA loads and transfection efficiency of each of the recombinant plasmids were roughly the same. A number of conclusions can be drawn from these data. First, the presence of the RBS represses the expression of rep genes, especially the p5 transcripts. For example, in cells transfected with plasmids pXS-70A, pXS-70C, or pXS-48B, in each of which there are mutations or deletions in the RBS, the level of p5 transcripts, and specifically the ratio of p5 transcripts to p19 or p40 transcripts, is significantly increased. Interestingly, mutations in the YBS repress the levels of p5 transcripts. Second, the effects of the RBS and the YBS on p5 transcripts appear to be independent since the level of p5 transcript is highest in cells transfected with plasmid pXS-70A, the lowest with plasmid pXS-70B, and intermediate with plasmid pXS-70C. Thus, in the absence of adenovirus, the RBS-mediated repression of the p5 promoter and the YBS-mediated stimulation of the p5 promoter appear to be independent. Third, the extent of AAV DNA replication correlates with the levels of p5 transcripts. For example, when the p5 transcripts are high, the level of AAV DNA replication is also high (pXS-70A, pXS-70C, and pXS-48B; compare Fig. 2 and 4). Fourth, the RBS and the YBS appear to selectively affect the levels of p5 transcripts. For example, mutations in the RBS and the YBS result in a significant increase in the ratio of p5 transcripts to p19 and p40 transcripts. Expression of the p5 transcripts also affects the levels of p19 and p40 transcripts because when the level of p5 transcripts is high, the levels of p19 and p40 transcripts are also high. When these experiments were carried out in the presence of adenovirus, the efficiency of transcription from each of the three AAV promoters was increased significantly, requiring autoradiographic exposure of Northern blots only for approximately 1 h, but there was an abundant increase in the ratio of p40 transcripts to p19 or p5 transcripts (data not shown), an observation consistent with a recently published report (25). However, the levels of p5 transcripts in adenovirus-infected 293 cells were not significantly different following transfection with plasmid pXS-70A or pXS-70C but less than that with plasmid pXS-70B or pSub201 (data not shown). Thus, the RBS is required for activation of AAV transcription by adenovirus but does not have an effect on viral DNA replication in the presence of adenovirus.
FIG. 4.
Northern blot analyses of expression of AAV genes containing various mutations and/or deletions in the RBS and YBS in 293 cells. Total cellular RNA was isolated from mock-transfected cells or cells transfected with 10 μg of each indicated plasmid DNA in two separate experiments, and 20 μg RNA from each transfectant was analyzed on Northern blots, using an AAV-specific DNA probe. The three viral transcripts initiating from p5, p19, and p40 promoters are indicated. The same blots were stripped of the AAV probe and rehybridized with the GAPDH gene probe to ascertain the equivalence of RNA loads and transfer. Autoradiography was performed at −70°C for 72 h.
FIG. 5.
DNA slot blot analyses of efficiency of plasmid transfection in 293 cells. Twofold serial dilutions of 2 μg each low-Mr DNA isolated from mock-transfected cells or cells transfected with 10 μg of each indicated plasmid DNA from the same two separate experiments described in the legend to Fig. 4 were analyzed on quantitative DNA slot blots, using an AAV-specific DNA probe as described in Materials and Methods. Autoradiography was performed at −70°C for 2 h.
Adenovirus E1A gene products are insufficient to mediate rescue and replication of the AAV genome in HeLa cells.
As indicated above, rescue and autonomous replication of the AAV genome from none of the transfected recombinant plasmids could not be detected in HeLa cells even when high-efficiency transfection protocols were used. Since 293 cells constitutively express the adenovirus early-region E1 gene products that are known to transactivate the YBS (6, 51), it was reasonable to assume that adenovirus E1A and/or E1B gene products were responsible for the rescue and autonomous replication of the AAV genome in 293 cells in the absence of adenovirus. This possibility was experimentally tested when each of the recombinant AAV plasmids was transfected into HeLa cells either in the absence or in the presence of an expression plasmid containing the adenovirus E1A gene. The results of these experiments are depicted in Fig. 6. It is evident that the adenovirus E1A gene products alone could not support rescue and replication of the AAV genome in HeLa cells in the absence of adenovirus. Although it remains possible that the adenovirus E1B gene products are required for AAV DNA replication, this was not pursued further in view of the fact that even in 293 cells, an additional factor(s), other than the adenovirus E1A and E1B gene products, is required for autonomous replication of AAV DNA since rescue and/or replication also occurred from plasmids pXS-70C and pXS-48B (Fig. 2), which contain a mutation or a deletion in the YBS.
FIG. 6.
Southern blot analyses of rescue and replication of AAV genomes containing various mutations and/or deletions in the RBS and YBS in HeLa cells in the absence or presence of the adenovirus E1A gene products. Ten micrograms of each indicated plasmid DNA was transfected separately in HeLa cells, either in the absence (−pAd2-E1A) or in the presence (+pAd2-E1A) of an adenovirus E1A expression plasmid. Low-Mr DNA isolated at 72 h posttransfection was digested with DpnI and analyzed as described in the legend to Fig. 2.
Rescue and autonomous replication of the AAV genome lead to generation of biologically active progeny virions.
Since complete AAV DNA replication and gene expression occurred in 293 cells, it was next of interest to examine whether progeny AAV particles could also be assembled in the absence of adenovirus. Plasmids pXS-70A and pSub201 were transfected separately into 293 cells in the absence of adenovirus as described in Materials and Methods. Seventy-two hours posttransfection, cells were harvested and subjected to three rounds of freezing and thawing to release virus particles, which were purified on CsCl equilibrium density gradients followed by exhaustive digestion with DNase I as described in Materials and Methods. These stocks were used to infect HeLa cells in the presence of adenovirus. Low-Mr DNA samples isolated at various times postinfection were analyzed on Southern blots, using AAV DNA as a probe. These results are shown in Fig. 7. Time-dependent accumulation of the characteristic monomeric and dimeric replicative AAV DNA intermediates could be readily detected, indicating that biologically active progeny virions were indeed assembled following transfection of plasmids pXS-70A and pSub201 in 293 cells in the absence of adenovirus. These data, although not quantitative, provide further evidence that a productive life cycle of AAV can be accomplished in 293 cells in the absence of a helper virus (42, 65).
FIG. 7.
Southern blot analyses of replication of the AAV genome in secondary infections following autonomous rescue, replication, and encapsidation in 293 cells. Ten-micrograms of each of plasmids pXS-70A and pSub201 DNA was transfected separately in 293 cells, and progeny virions were purified on CsCl equilibrium density gradients as described in Materials and Methods. The viral stocks were used to infect HeLa cells in the presence of adenovirus. Low-Mr DNA isolated at 24 h (lanes 1 and 4), 48 h (lanes 2 and 5), and 72 h (lanes 3 and 6) postinfection was analyzed on Southern blots, using an AAV-specific DNA probe. The monomeric (m) and dimeric (d) replicative forms and the single strands of the AAV genome (ss) are indicated. Autoradiography was performed at −70°C for 2 h.
Autonomous replication of AAV affects stable transduction of recombinant plasmids in 293 cells.
We next wished to determine the consequences of rescue and autonomous replication of the AAV genome from recombinant plasmids containing a selectable marker gene on stable transduction. The three recombinant plasmids pXS-38, pXS-39, and pXS-40, shown schematically in Fig. 8, were constructed as described in Materials and Methods. Plasmid pXS-40 contains the intact wt AAV genome. Plasmid pXS-39 contains an AAV genome from which the D sequences have been deleted, and plasmid pXS-38 contains an AAV genome in which the D sequences have been replaced by the adenovirus ITRs. Each of the plasmids also contains the herpesvirus (TK-neor) gene in the vector backbone. The efficiency of rescue and replication of the AAV genome from these plasmids in adenovirus-infected cells varies greatly, ranging from very high (pXS-40) to low (pXS-39) due to D-sequence deletions (59–61). Little or no rescue and replication of the AAV genome occur from plasmid pXS-38 (data not shown). These plasmids were transfected into HeLa, KB, and 293 cells separately under identical conditions, and G418-resistant colonies were enumerated as described in Materials and Methods. These results are shown in Table 1. It is evident that the total numbers of G418-resistant colonies obtained with all three plasmids in HeLa or KB cells were not significantly different for the given cell types, although the transduction efficiency in HeLa cells was approximately threefold higher than that in KB cells. In 293 cells, however, the numbers of G418-resistant colonies obtained with these plasmids varied significantly. We interpret these results as follows. Since no rescue and replication of the AAV genome from any of the plasmids occur in HeLa or KB cells (data not shown), the plasmid integrity is maintained, leading to stable integration. Plasmid pXS-38, from which the AAV genome does not undergo rescue and replication in 293 cells, is highly efficient in yielding G418-resistant colonies. With plasmid pXS-39, from which a low-level rescue and replication of the AAV genome occur in 293 cells, there is approximately fourfold reduction in the number of G418-resistant colonies, and with plasmid pXS-40, from which the AAV genome undergoes efficient rescue and replication, the numbers of G418-resistant colonies are further reduced approximately fivefold. These data are consistent with the conclusion that rescue and autonomous replication of the AAV genome from recombinant plasmids in 293 cells compromise the structural integrity of the transfected plasmid, leading to reduction in functional DNA molecules capable of stable integration into the host chromosome (33).
FIG. 8.
Schematic structures of recombinant AAV plasmids containing the neor selectable marker gene and deletion or substitution in the D sequence in the viral ITRs. The hairpin (HP) and D sequences are denoted by the open and closed boxes, respectively. The adenovirus ITRs are denoted by boxes with vertical lines, and the neor gene is represented by cross-hatched boxes. Each of the recombinant plasmids was constructed as described in Materials and Methods.
TABLE 1.
Effects of rescue and autonomous replication of the AAV genome from recombinant plasmids on stable transfection in HeLa, KB, and 293 cellsa
| Cell line | Total no. of G418-resistant colonies from three dishes
|
||
|---|---|---|---|
| pXS-38 | pXS-39 | pXS-40 | |
| HeLa | 840 | 752 | 932 |
| KB | 357 | 248 | 220 |
| 293 | 1,272 | 300 | 60 |
Each of the recombinant AAV plasmids containing the neor gene was transfected separately in triplicate in HeLa, KB, and 293 cells under identical conditions, and G418 was added at an active final concentration of 400 μg/ml 48 h posttransfection. Total numbers of G418-resistant colonies were enumerated from three dishes each 14 days postselection.
DISCUSSION
More than a decade ago, Yakobson et al. (65) first documented that AAV is capable of undergoing a completely productive replication in the absence of a helper virus, albeit inefficiently, in certain cell types treated with various genotoxic stress. Since expression from the viral p5 promoter and the interaction of AAV Rep proteins with the viral regulatory elements play a crucial role in a productive infection by AAV, Kyöstiö et al. (24) and Ni et al. (35) investigated these steps in the virus life cycle, but those studies were carried out in the absence of AAV DNA replication. We undertook the present study to delineate the role of AAV Rep proteins and their interaction with the regulatory elements in the p5 promoter in the context of a complete wt viral genome. Consistent with previous studies, our data indicate that mutations in the RBS relieve Rep protein-mediated suppression of expression of the viral p5 transcripts and that mutations in the YBS augment Rep protein-mediated suppression of expression from the p5 promoter (24, 37).
More interestingly, our data document that AAV is capable of autonomous replication, even in the absence of any genotoxic stress, but only in 293 cells. Autonomous replication of AAV in 293 cells was not detected during infection studies when a multiplicity of infection of 20 (approximately 2,000 viral genomes/cell) was used (65). We suspect that we detected a low-level replication of AAV in the absence of adenovirus because substantially larger numbers (>500,000 viral genomes/cell) were delivered in 293 cells during plasmid-mediated transfections (39, 40). Abundant expression of viral transcripts occurs from transfected recombinant plasmids, even in the absence of adenovirus, which does not lead to efficient replication of viral genomes (25), suggesting suboptimal transport to the cytoplasm and/or inefficient translation of these transcripts. In the presence of adenovirus, on the other hand, these processes are carried out more efficiently (46). The fact that the adenovirus early gene products alone did not support rescue and replication of the AAV genome in HeLa cells in the absence of adenovirus suggests that additional factors other than the adenovirus E1A gene products are required for the autonomous replication of AAV DNA. The observation that even in 293 cells no rescue and/or replication occurred from a recombinant plasmids that contained a mutation or a deletion in the YBS indicates that factors other than E1A and E1B are required for autonomous replication.
The regulation of expression from the AAV promoters in general, and that from the p5 promoter in particular, is complex (24, 25, 37, 38). The roles of two control elements in the p5 promoter, the RBS and the YBS, have been studied in some detail (24, 37). Although the RBS, which is localized between the p5 TATA box and the transcription start site (Fig. 1), appears to be crucial in effectively repressing expression from the p5 promoter during a natural infection by AAV, detectable levels of transcripts from each of the AAV promoters could be obtained in 293 cells following plasmid transfections, an observation consistent with previously published reports (23, 25). Although the latter means might not represent a physiologically natural situation, it provides some explanation for why AAV is unable to undergo autonomous replication: presumably because a threshold concentration of the viral Rep proteins fails to accumulate. This contention is borne out by the fact that there was a strong correlation between the levels of the p5 transcripts and the ability of AAV to replicate autonomously in 293 cells (Fig. 2 and 4). With reference to the YBS, we focused our studies only on the site which is localized downstream from the p5 TATA box and the RBS because a second YBS, which is present upstream of the p5 TATA box, binds to YY1 and mediates repression of expression from the p5 promoter in the absence of adenovirus, and the adenovirus E1A-YY1 complex formation relieves this repression (6, 50, 51).
In sum, our studies document that the Rep protein interaction with the RBS plays a dominant role in down-regulating viral gene expression from the p5 promoter, and perturbation in this interaction is sufficient to confer autonomous replication competence to AAV in 293 cells. Since autonomous replication of the AAV genome does not occur in HeLa cells, even in the presence of adenovirus early gene products, these studies also suggest that additional, hitherto unknown viral and/or cellular factors are required for a productive infection by AAV.
ACKNOWLEDGMENTS
We thank Richard J. Samulski for providing plasmid pSub201.
This research was supported in part by the Public Health Service grants (HL-48342, HL-53586, HL-58881, and DK-49218, Centers of Excellence in Molecular Hematology) from the National Institutes of Health and by a grant from the Phi Beta Psi sorority. A.S. was supported by an Established Investigator Award from the American Heart Association.
REFERENCES
- 1.Ashktorab H, Srivastava A. Identification of nuclear proteins that specifically interact with adeno-associated virus type 2 inverted terminal repeat hairpin DNA. J Virol. 1989;63:3034–3039. doi: 10.1128/jvi.63.7.3034-3039.1989. [DOI] [PMC free article] [PubMed] [Google Scholar]
- 2.Berns K I. Parvovirus replication. Microbiol Rev. 1990;54:316–329. doi: 10.1128/mr.54.3.316-329.1990. [DOI] [PMC free article] [PubMed] [Google Scholar]
- 3.Berns K I, Bohenzky R A. Adeno-associated viruses: an update. Adv Virus Res. 1987;32:243–306. doi: 10.1016/s0065-3527(08)60479-0. [DOI] [PubMed] [Google Scholar]
- 4.Berns K I, Kotin R M, Labow M A. Regulation of adeno-associated virus DNA replication. Biochim Biophys Acta. 1988;95:425–429. doi: 10.1016/0167-4781(88)90116-9. [DOI] [PubMed] [Google Scholar]
- 5.Buller R M, Janik J E, Sebring E D, Rose J A. Herpes simplex virus types 1 and 2 completely help adeno-associated virus replication. J Virol. 1981;40:241–247. doi: 10.1128/jvi.40.1.241-247.1981. [DOI] [PMC free article] [PubMed] [Google Scholar]
- 6.Chang L-S, Shi Y, Shenk T. Adeno-associated virus p5 promoter contains an adenovirus E1A-inducible element and a binding site for the major late transcription factor. J Virol. 1989;63:3479–3488. doi: 10.1128/jvi.63.8.3479-3488.1989. [DOI] [PMC free article] [PubMed] [Google Scholar]
- 7.Cheung A K M, Hoggan M D, Hauswirth W W, Berns K I. Integration of the adeno-associated virus genome into cellular DNA in latently infected human Detroit 6 cells. J Virol. 1980;33:739–748. doi: 10.1128/jvi.33.2.739-748.1980. [DOI] [PMC free article] [PubMed] [Google Scholar]
- 8.Giraud C, Winocour E, Berns K I. Recombinant junctions formed by site-specific integration of adeno-associated virus into an episome. J Virol. 1995;69:6917–6924. doi: 10.1128/jvi.69.11.6917-6924.1995. [DOI] [PMC free article] [PubMed] [Google Scholar]
- 9.Hauswirth W W, Berns K I. Origin and termination of adeno-associated virus DNA replication. Virology. 1977;78:488–499. doi: 10.1016/0042-6822(77)90125-8. [DOI] [PubMed] [Google Scholar]
- 10.Hermonat P L, Labow M A, Wright R, Berns K I, Muzyczka N. Genetics of adeno-associated virus: isolation and preliminary characterization of adeno-associated virus type 2 mutants. J Virol. 1984;51:329–339. doi: 10.1128/jvi.51.2.329-339.1984. [DOI] [PMC free article] [PubMed] [Google Scholar]
- 11.Hirt B. Selective extraction of polyoma DNA from infected mouse cell cultures. J Mol Biol. 1967;26:365–367. doi: 10.1016/0022-2836(67)90307-5. [DOI] [PubMed] [Google Scholar]
- 12.Hong G, Ward P, Berns K I. In vitro replication of adeno-associated virus DNA. Proc Natl Acad Sci USA. 1992;89:4673–4677. doi: 10.1073/pnas.89.10.4673. [DOI] [PMC free article] [PubMed] [Google Scholar]
- 13.Hong G, Ward P, Berns K I. Intermediates of adeno-associated virus DNA replication in vitro. J Virol. 1994;68:2011–2015. doi: 10.1128/jvi.68.3.2011-2015.1994. [DOI] [PMC free article] [PubMed] [Google Scholar]
- 14.Im D-S, Muzyczka N. Factors that bind to adeno-associated virus terminal repeats. J Virol. 1989;63:3095–3104. doi: 10.1128/jvi.63.7.3095-3104.1989. [DOI] [PMC free article] [PubMed] [Google Scholar]
- 15.Im D-S, Muzyczka N. The AAV origin binding protein Rep68 is an ATP-dependent site-specific endonuclease with DNA helicase activity. Cell. 1990;61:447–457. doi: 10.1016/0092-8674(90)90526-k. [DOI] [PubMed] [Google Scholar]
- 16.Im D-S, Muzyczka N. Partial purification of adeno-associated virus Rep78, Rep52, and Rep40 proteins and their biochemical characterization. J Virol. 1992;66:1119–1128. doi: 10.1128/jvi.66.2.1119-1128.1992. [DOI] [PMC free article] [PubMed] [Google Scholar]
- 17.Kotin R M, Berns K I. Organization of adeno-associated virus DNA in latently infected Detroit 6 cells. Virology. 1989;170:460–467. doi: 10.1016/0042-6822(89)90437-6. [DOI] [PubMed] [Google Scholar]
- 18.Kotin R M, Linden R M, Berns K I. Characterization of a preferred site on human chromosome 19q for integration of adeno-associated virus DNA by nonhomologous recombination. EMBO J. 1992;11:5071–5078. doi: 10.1002/j.1460-2075.1992.tb05614.x. [DOI] [PMC free article] [PubMed] [Google Scholar]
- 19.Kotin R M, Menninger J C, Ward D C, Berns K I. Mapping and direct visualization of a region-specific viral DNA integration site on chromosome 19q13-qter. Genomics. 1991;10:831–834. doi: 10.1016/0888-7543(91)90470-y. [DOI] [PubMed] [Google Scholar]
- 20.Kotin R M, Siniscalco M, Samulski R J, Zhu X, Hunter L, Laughlin C A, McLaughlin S, Muzyczka N, Rocchi M, Berns K I. Site-specific integration by adeno-associated virus. Proc Natl Acad Sci USA. 1990;87:2211–2215. doi: 10.1073/pnas.87.6.2211. [DOI] [PMC free article] [PubMed] [Google Scholar]
- 21.Kube D M, Ponnazhagan S, Srivastava A. Encapsidation of adeno-associated virus type 2 Rep proteins in wild-type and recombinant progeny virions: Rep-mediated growth inhibition of primary human cells. J Virol. 1997;71:7361–7371. doi: 10.1128/jvi.71.10.7361-7371.1997. [DOI] [PMC free article] [PubMed] [Google Scholar]
- 22.Kube D M, Srivastava A. Quantitative DNA slot blot analysis: inhibition of DNA binding to membranes by magnesium ions. Nucleic Acids Res. 1997;25:3375–3376. doi: 10.1093/nar/25.16.3375. [DOI] [PMC free article] [PubMed] [Google Scholar]
- 23.Kyöstiö S R M, Owens R A, Weitzman M D, Antoni B A, Chejanovsky N, Carter B J. Analysis of the adeno-associated virus (AAV) wild-type and mutant Rep proteins for their ability to regulate negatively AAV p5 and p19 mRNA levels. J Virol. 1994;68:2947–2957. doi: 10.1128/jvi.68.5.2947-2957.1994. [DOI] [PMC free article] [PubMed] [Google Scholar]
- 24.Kyöstiö S R M, Wonderling R S, Owens R A. Negative regulation of the adeno-associated virus (AAV) p5 promoter involves both the p5 rep binding site and the consensus ATP-binding motif of the AAV Rep68 protein. J Virol. 1995;69:6787–6796. doi: 10.1128/jvi.69.11.6787-6796.1995. [DOI] [PMC free article] [PubMed] [Google Scholar]
- 25.Li J, Samulski R J, Xiao X. Role of highly regulated rep gene expression in adeno-associated virus vector production. J Virol. 1997;71:5236–5243. doi: 10.1128/jvi.71.7.5236-5243.1997. [DOI] [PMC free article] [PubMed] [Google Scholar]
- 26.Lusby E, Fife K H, Berns K I. Nucleotide sequence of the inverted terminal repetition in adeno-associated virus DNA. J Virol. 1980;34:402–409. doi: 10.1128/jvi.34.2.402-409.1980. [DOI] [PMC free article] [PubMed] [Google Scholar]
- 27.McCarty D M, Pereira D J, Zolotukhin I, Zhou X, Ryan J H, Muzyczka N. Identification of linear DNA sequences that specifically bind the adeno-associated virus Rep protein. J Virol. 1994;68:4988–4997. doi: 10.1128/jvi.68.8.4988-4997.1994. [DOI] [PMC free article] [PubMed] [Google Scholar]
- 28.McCarty D M, Ryan J H, Zolotukhin S, Zhou X, Muzyczka N. Interaction of the adeno-associated virus Rep protein with a sequence within the palindrome of the viral terminal repeat. J Virol. 1994;68:4998–5006. doi: 10.1128/jvi.68.8.4998-5006.1994. [DOI] [PMC free article] [PubMed] [Google Scholar]
- 29.Mendelson E, Smith M G, Miller I L, Carter B J. Effect of viral rep gene on transformation of cells by adeno-associated virus vector. Virology. 1988;166:612–615. doi: 10.1016/0042-6822(88)90536-3. [DOI] [PubMed] [Google Scholar]
- 30.Muzyczka N. Use of adeno-associated virus as a general transduction vector for mammalian cells. Curr Top Microbiol Immunol. 1992;158:97–129. doi: 10.1007/978-3-642-75608-5_5. [DOI] [PubMed] [Google Scholar]
- 31.Nahreini P, Srivastava A. Rescue and replication of the adeno-associated virus 2 genome in mortal and immortal human cells. Intervirology. 1989;30:74–85. doi: 10.1159/000150078. [DOI] [PubMed] [Google Scholar]
- 32.Nahreini P, Srivastava A. Rescue of the adeno-associated virus 2 genome correlates with alterations in DNA-modifying enzymes in human cells. Intervirology. 1992;33:109–115. doi: 10.1159/000150239. [DOI] [PubMed] [Google Scholar]
- 33.Nahreini P, Larsen S H, Srivastava A. Cloning and integration of DNA fragments in human cells via the inverted terminal repeats of the adeno-associated virus 2 genome. Gene. 1992;119:265–272. doi: 10.1016/0378-1119(92)90281-s. [DOI] [PubMed] [Google Scholar]
- 34.Nahreini P, Woody M J, Zhou S Z, Srivastava A. Versatile adeno-associated virus 2-based vectors for constructing recombinant virions. Gene. 1993;124:257–262. doi: 10.1016/0378-1119(93)90402-o. [DOI] [PubMed] [Google Scholar]
- 35.Ni T H, Zhou X H, McCarty D M, Zolotukhin I, Muzyczka N. In vitro replication of adeno-associated virus DNA. J Virol. 1994;68:1128–1138. doi: 10.1128/jvi.68.2.1128-1138.1994. [DOI] [PMC free article] [PubMed] [Google Scholar]
- 36.Owens R A, Carter B J. In vitro resolution of adeno-associated virus DNA hairpin termini by wild-type Rep protein is inhibited by a dominant-negative mutant of Rep. J Virol. 1992;66:1236–1240. doi: 10.1128/jvi.66.2.1236-1240.1992. [DOI] [PMC free article] [PubMed] [Google Scholar]
- 37.Pereira D J, McCarty D M, Muzyczka N. The adeno-associated virus (AAV) Rep protein acts as both a repressor and an activator to regulate AAV transcription during a productive infection. J Virol. 1997;71:1079–1088. doi: 10.1128/jvi.71.2.1079-1088.1997. [DOI] [PMC free article] [PubMed] [Google Scholar]
- 38.Pereira D J, Muzyczka N. The cellular transcription factor SP1 and an unknown cellular protein are required to mediate Rep protein activation of the adeno-associated virus p19 promoter. J Virol. 1997;71:1747–1756. doi: 10.1128/jvi.71.3.1747-1756.1997. [DOI] [PMC free article] [PubMed] [Google Scholar]
- 39.Ponnazhagan S, Wang X-S, Woody M J, Luo F, Kang L Y, Nallari M L, Munshi N C, Zhou S Z, Srivastava A. Differential expression from p6 promoter of parvovirus B19 in human cells following plasmid transfection and recombinant adeno-associated virus 2 (AAV) infection: human megakaryocytic leukaemia cells are non-permissive for AAV infection. J Gen Virol. 1996;77:1111–1122. doi: 10.1099/0022-1317-77-6-1111. [DOI] [PubMed] [Google Scholar]
- 40.Ponnazhagan S, Woody M J, Wang X-S, Zhou S Z, Srivastava A. Transcriptional transactivation of parvovirus B19 promoters in nonpermissive human cells by adenovirus type 2. J Virol. 1995;69:8096–8101. doi: 10.1128/jvi.69.12.8096-8101.1995. [DOI] [PMC free article] [PubMed] [Google Scholar]
- 41.Qing K Y, Khuntirat B, Mah C, Kube D M, Wang X-S, Ponnazhagan S, Zhou S Z, Dwarki V J, Yoder M C, Srivastava A. Adeno-associated virus type 2-mediated gene transfer: correlation of tyrosine phosphorylation of the cellular single-stranded D sequence-binding protein with transgene expression in human cells in vitro and murine tissues in vivo. J Virol. 1998;72:1593–1599. doi: 10.1128/jvi.72.2.1593-1599.1998. [DOI] [PMC free article] [PubMed] [Google Scholar]
- 42.Qing K Y, Wang X-S, Kube D M, Ponnazhagan S, Bajpai A, Srivastava A. Role of tyrosine phosphorylation of a cellular protein in adeno-associated virus 2-mediated transgene expression. Proc Natl Acad Sci USA. 1997;94:10879–10884. doi: 10.1073/pnas.94.20.10879. [DOI] [PMC free article] [PubMed] [Google Scholar]
- 43.Sambrook J, Fritsch E F, Maniatis T. Molecular cloning: a laboratory manual. Cold Spring Harbor, N.Y: Cold Spring Harbor Laboratory Press; 1989. pp. 1.53–1.110. [Google Scholar]
- 44.Samulski R J, Berns K I, Tan M, Muzyczka N. Cloning of adeno-associated virus into pBR322: rescue of intact virus from the recombinant plasmid in human cells. Proc Natl Acad Sci USA. 1982;79:2077–2081. doi: 10.1073/pnas.79.6.2077. [DOI] [PMC free article] [PubMed] [Google Scholar]
- 45.Samulski R J, Chang L-S, Shenk T. A recombinant plasmid from which an infectious adeno-associated virus genome can be excised in vitro and its use to study viral replication. J Virol. 1987;61:3096–3101. doi: 10.1128/jvi.61.10.3096-3101.1987. [DOI] [PMC free article] [PubMed] [Google Scholar]
- 46.Samulski R J, Shenk T. Adenovirus E1B 55-Mr polypeptide facilitates timely cytoplasmic accumulation of adeno-associated virus mRNAs. J Virol. 1988;62:206–210. doi: 10.1128/jvi.62.1.206-210.1988. [DOI] [PMC free article] [PubMed] [Google Scholar]
- 47.Samulski R J, Srivastava A, Berns K I, Muzyczka N. Rescue of adeno-associated virus from recombinant plasmids: gene correction within the terminal repeats of AAV. Cell. 1983;33:135–143. doi: 10.1016/0092-8674(83)90342-2. [DOI] [PubMed] [Google Scholar]
- 48.Samulski R J, Zhu X, Xiao X, Brook J, Houseman D E, Epstein N, Hunter L A. Targeted integration of adeno-associated virus (AAV) into human chromosome 19. EMBO J. 1991;10:3941–3950. doi: 10.1002/j.1460-2075.1991.tb04964.x. [DOI] [PMC free article] [PubMed] [Google Scholar]
- 49.Senapathy P, Tratschin J-D, Carter B J. Replication of adeno-associated virus DNA: complementation of naturally occurring rep− mutants by a wild-type genome or an ori− mutant and correction of terminal palindrome deletions. J Mol Biol. 1984;179:1–20. doi: 10.1016/0022-2836(84)90303-6. [DOI] [PubMed] [Google Scholar]
- 50.Seto Y, Shi Y, Shenk T. YY1 is an initiator sequence-binding protein that directs and activates transcription in vitro. Nature. 1991;354:241–245. doi: 10.1038/354241a0. [DOI] [PubMed] [Google Scholar]
- 51.Shi Y, Seto E, Chang L-S, Shenk T. Transcriptional repression by YY1, a human GL1-Krüppel-related protein, and relief of repression by adenovirus E1A protein. Cell. 1991;67:377–388. doi: 10.1016/0092-8674(91)90189-6. [DOI] [PubMed] [Google Scholar]
- 52.Snyder R O, Im D-S, Ni T-H, Xiao X, Samulski R J, Muzyczka N. Features of the adeno-associated virus origin involved in substrate recognition by the viral Rep protein. J Virol. 1993;67:6096–6104. doi: 10.1128/jvi.67.10.6096-6104.1993. [DOI] [PMC free article] [PubMed] [Google Scholar]
- 53.Snyder R O, Samulski R J, Muzyczka N. In vitro resolution of covalently joined AAV chromosome ends. Cell. 1990;60:105–113. doi: 10.1016/0092-8674(90)90720-y. [DOI] [PubMed] [Google Scholar]
- 54.Srivastava A. Replication of the adeno-associated virus DNA termini in vitro. Intervirology. 1987;27:138–147. doi: 10.1159/000149732. [DOI] [PubMed] [Google Scholar]
- 55.Srivastava A, Lusby E W, Berns K I. Nucleotide sequence and organization of the adeno-associated virus 2 genome. J Virol. 1983;45:555–564. doi: 10.1128/jvi.45.2.555-564.1983. [DOI] [PMC free article] [PubMed] [Google Scholar]
- 56.Tratschin J-D, Miller I L, Carter B J. Genetic analysis of adeno-associated virus: properties of deletion mutants constructed in vitro and evidence for an adeno-associated virus replication function. J Virol. 1984;51:611–619. doi: 10.1128/jvi.51.3.611-619.1984. [DOI] [PMC free article] [PubMed] [Google Scholar]
- 57.Urcelay E, Ward P, Weiner S M, Safer B, Kotin R M. Asymmetric replication in vitro from a human sequence element is dependent on adeno-associated virus Rep protein. J Virol. 1995;69:2038–2046. doi: 10.1128/jvi.69.4.2038-2046.1995. [DOI] [PMC free article] [PubMed] [Google Scholar]
- 58.Usheva A, Shenk T. YY1 transcription initiator: protein interactions and association with a DNA site containing unpaired strands. Proc Natl Acad Sci USA. 1996;93:13571–13576. doi: 10.1073/pnas.93.24.13571. [DOI] [PMC free article] [PubMed] [Google Scholar]
- 59.Wang X-S, Ponnazhagan S, Srivastava A. Rescue and replication signals of the adeno-associated virus 2 genome. J Mol Biol. 1995;250:573–580. doi: 10.1006/jmbi.1995.0398. [DOI] [PubMed] [Google Scholar]
- 60.Wang X-S, Ponnazhagan S, Srivastava A. Rescue and replication of adeno-associated virus type 2 as well as vector DNA sequences from recombinant plasmids containing deletions in the viral inverted terminal repeats: selective encapsidation of viral genomes in progeny virions. J Virol. 1996;70:1668–1677. doi: 10.1128/jvi.70.3.1668-1677.1996. [DOI] [PMC free article] [PubMed] [Google Scholar]
- 61.Wang X-S, Qing K Y, Ponnazhagan S, Srivastava A. Adeno-associated virus type 2 DNA replication in vivo: mutation analyses of the D sequence in viral inverted terminal repeats. J Virol. 1997;71:3077–3082. doi: 10.1128/jvi.71.4.3077-3082.1997. [DOI] [PMC free article] [PubMed] [Google Scholar]
- 62.Wang X-S, Srivastava A. A novel terminal resolution-like site in the adeno-associated virus type 2 genome. J Virol. 1997;71:1140–1146. doi: 10.1128/jvi.71.2.1140-1146.1997. [DOI] [PMC free article] [PubMed] [Google Scholar]
- 63.Ward P, Berns K I. In vitro rescue of an integrated hybrid adeno-associated virus/simian virus 40 genome. J Mol Biol. 1991;218:791–804. doi: 10.1016/0022-2836(91)90267-a. [DOI] [PubMed] [Google Scholar]
- 64.Ward P, Urcelay E, Kotin R M, Safer B, Berns K I. Adeno-associated virus DNA replication in vitro: activation by a maltose-binding protein/Rep68 fusion protein. J Virol. 1994;68:6029–6037. doi: 10.1128/jvi.68.9.6029-6037.1994. [DOI] [PMC free article] [PubMed] [Google Scholar]
- 65.Yakobson B, Koch T, Winocour E. Replication of adeno-associated virus in synchronized cells without the addition of a helper virus. J Virol. 1987;61:972–981. doi: 10.1128/jvi.61.4.972-981.1987. [DOI] [PMC free article] [PubMed] [Google Scholar]








