Abstract
The mechanisms of action and regulation of the human cytomegalovirus (HCMV) lytic-phase DNA replicator, oriLyt, which spans more than 2 kbp in a structurally complex region near the middle of the unique long region (UL), are not understood. Because oriLyt is thought to be essential for promoting initiation of lytic DNA synthesis and may participate in regulating the switch between lytic and latent phases, we undertook a mutational study to better define its sequence requirements. Kanr gene cassette insertions located an oriLyt core region between nucleotides (nt) 91751 and 93299 that is necessary but not sufficient for replicator activity in transient assays. In contrast, insertions into auxiliary regions flanking either side of this core—also required for significant replicator activity—had little effect. To search for essential components within the core region, we made a series of overlapping, roughly 200-bp deletions, and qualitatively and quantitatively assessed the abilities of the resulting constructs to mediate replication. All but one of these deletions produced a significant (i.e., greater than twofold) loss of activity, arguing that sequences across this entire region contribute to replicator function. However, two particularly critical segments separated by a dispensable region, here called essential regions I and II, were identified. Within essential region I, which overlaps the previously identified early transcript SRT, two adjacent but nonoverlapping, roughly 200-bp deletions abolished detectable replication. No single element or motif from the left half of essential region I was found to be essential. Thus, essential region I probably promotes replication through the cooperation of multiple elements. However, four small deletions in the right half of essential region I, which included or lay adjacent to the conserved 31-nt oligopyrimidine tract (referred to as the Y block), abolished or virtually abolished oriLyt activity. Together, these results identify candidate oriLyt sequences within which molecular interactions essential for initiation of oriLyt-mediated DNA synthesis are likely to occur.
Human cytomegalovirus (HCMV) infection is endemic throughout human populations (1). The lytic phase of HCMV infection often poses life-threatening diseases in immunocompromised individuals, including patients with AIDS, recipients of organ transplants, and those with malignancies undergoing chemotherapy (14). HCMV lytic-phase DNA replication is not well understood, but the overall picture appears to resemble that of herpes simplex virus type 1 (HSV-1). After entering permissive cells and uncoating, the HCMV genome is transported to the nucleus and the genomic termini become fused to form a circular molecule which serves as the template for subsequent transcription and replication (19). The HCMV genome is replicated by a mechanism that produces concatemers, probably some form of a rolling circle (7, 23), although other possibilities have not been excluded (6, 21). The concatemers are subsequently cleaved to unit length and packaged during virion assembly (29).
The only identified HCMV lytic-phase replicator, oriLyt, was mapped near the center of the unique long (UL) segment by using a transient assay (3, 5, 22). Moreover, this region contains an origin of DNA synthesis (13). Previous deletion analysis defined a region of more than 3.0 kbp, extending roughly from nucleotides (nt) 90500 to 93930, which contains sequences that contribute to HCMV oriLyt replicator activity in transient assays (3). This oriLyt region contains a strikingly elevated density of direct and inverted-repeat sequence elements, as well as base composition biases and strand asymmetries (3, 22). On the basis of differing replicator structures and the absence of an origin binding protein homolog, the mechanism of HCMV oriLyt activation appears distinct from that of HSV-1 oriS and oriL (4, 25, 27). Recently, we identified an essential oligopyrimidine sequence that we called the Y block, which overlaps the heterogeneous 3′ end of a 210- to 250-nt, nonpolyadenylated, early transcript (SRT), and we hypothesized that the Y block and SRT may cooperate to promote initiation of oriLyt-mediated DNA synthesis (17). At least three other transcripts initiate near or cross oriLyt (16, 17). Whether any of these transcription units contributes to replicator activation remains to be determined.
Despite these previous observations, oriLyt sequence requirements have not been determined. Identification of the essential components is a crucial first step toward understanding the mechanisms of oriLyt function. In this study, we first differentiated an oriLyt core region that is surrounded by auxiliary sequences by using insertion mutagenesis. We then dissected the core region with a comprehensive series of deletions and identified two essential segments. Further analysis identified the critical elements in one of the essential segments and confirmed the essential role of the Y block.
MATERIALS AND METHODS
Virus and cells.
Low- to moderate-passage-number human foreskin fibroblasts obtained from local hospitals or from Clonetics (San Diego, Calif.) were used for all experiments. HCMV AD169 (American Type Culture Collection VR-538) was passaged at low multiplicity and stored as frozen stocks for which titers were determined. HCMV nucleotide sequence coordinates are from the published DNA sequence data (GenBank accession no. X17403 [8]).
Recombinant plasmids.
pGEM-7Zf(−)-based plasmids pSP54 and pSP50, both containing fully active HCMV oriLyt (3), were the progenitors of all the mutant plasmids. Kanr cassette insertions (1.15 kbp) were made after linearizing pSP50 (or pSP54 for insertion into the EcoRI site) by partial digestion with either RsaI (100 series), AluI (200 series), HaeIII (300 and L series), EcoRI (KanEco), HincII (Kan601), PmlI (Kan500), or BssHII (Kan403). In the case of BssHI, the ends were blunted by using T4 DNA polymerase. The Kanr cassette was excised from pKK5 by treatment with EcoRI or BamHI, the ends were blunted by treatment with T4 DNA polymerase (except for insertion into the EcoRI site), the blunted fragment was agarose gel purified, and the purified fragment was ligated with the linearized pSP50. Transformants were selected on kanamycin-containing plates, and selected clones were characterized by restriction digestion and by DNA sequencing to determine the site of insertion; insertion sites for the plasmids discussed here are given in Fig. 1A. Corresponding Kanr cassette deletion constructs were made by excising the inserted Kanr cassette with PstI, leaving a linker fragment composed of the sequences between the Kanr cassette EcoRI or BamHI sites used for insertion and the interior Kanr cassette PstI sites.
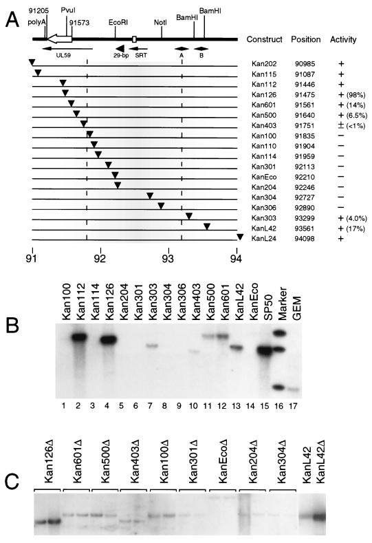
FIG. 1.
Kanr cassette insertion mutants. (A) Plasmid constructs. Positions of the Kanr cassette insertions are plotted in relation to landmark features of oriLyt. The name, insertion coordinate, and relative activity for each mutant are noted at the right. Features located on the oriLyt line above the mutants include the UL59 open reading frame and transcript (16), the 29-bp repeats (triangle), the Y block (hollow box), and the two large, imperfect dyad symmetries A and B (3). The core region is shaded and bound by dotted lines, and the flanking regions within which partially inactivated insertions are represented by a gradient. (B) Transient transfection assay of the Kanr cassette insertion constructs. The abilities of the constructs described in panel A to mediate DNA replication were tested as described in Materials and Methods (lanes 1 to 14). DpnI-resistant products of replication were detected by Southern blotting; a replica of the resulting autoradiogram is shown. The tested plasmids are indicated at the top of the panel. The marker (lane 16) contains 0.1 ng each of EcoRI-treated plasmids SP54, SP50, and pGEM7Zf(−). Plasmid SP50 (lane 15), the parent to most of the insertions, and the vector pGEM7Zf(−) (lane 17) were transfected in parallel as wild-type and negative standards, respectively, for comparison. (C) Transient assay of the Kanr cassette insertion constructs from which the insertion was deleted by PstI treatment, leaving a residual PstI linker insertion. Each plasmid was tested in duplicate. The autoradiogram is reproduced here. The deletion constructs, which correspond to the Kanr insertions described in panel A, are indicated at the top of each lane.
Most of the large, overlapping deletions, including pYZ13, pYZ14, pYZ15, pYZ16, pYZ17, pYZ18, and pYZ19, as well as the smaller deletions pYZ1, pYZ3, pYZ3′, pYZ4, pYZ5, pYZ6, pYZ7, pYZ8, pYZ9, pYZ10, pYZ11, and pYZ12 were constructed by using a PCR-based overlap extension method (15). The designed deletions were each introduced into DNA fragments through two steps of PCR with a pair of central and a pair of flanking primers and pSP54 as the template. Each engineered DNA fragment was cloned into pGEM-7Zf(−), sequenced, and then excised with appropriate restriction enzymes and ligated into pSP54 in place of the corresponding wild-type segment. Deletion plasmids, the respective primers, the restriction sites used, and the deletion coordinates are summarized in Table 1. Primer sequences and coordinates are summarized in Table 2. Except for deletions in pYZ1, pYZ3, pYZ3′, pYZ4, pYZ5, and pYZ6, the PCR-generated deletions were designed to introduce a unique PstI site in place of the deleted sequence. Plasmid YZ15L was constructed by ligating the PstI-XcmI fragment of pYZ15 into the corresponding sites of pYZ14, thus combining the deletions of pYZ15 and pYZ14. By the same strategy, pYZ15R, pYZ15LR, pYZ18L, and pYZ18LL were constructed by combining deletions of pYZ16 and pYZ15, of pYZ16 and pYZ14, of pYZ18 and pYZ17, and of pYZ18 and pYZ16, respectively.
TABLE 1.
Deletion plasmids
| Plasmid | Central primer(s) | Flanking primer(s) | Site/vector | Coordinates (nt) | Reference or source |
|---|---|---|---|---|---|
| pSP54 | XbaI-NheI/pSP51 | 90504–94860 | 3 | ||
| pSP50 | KpnI/pSP38, pGEM | 89795–94860 | 3 | ||
| pYZ1 | YUAO3 and -4 | YUAO1 and -2 | EcoRI-NotI/pSP54 | Δ92227–92255 | This paper |
| pYZ3a | YUAO7 and -8 | YUAO1 and 2 | EcoRI-NotI/pSP54 | Δ92294–92322 | This paper |
| pYZ3′ | YUAO7 and -8 | YUAO1 and -2 | NsiI-XcmI/pSP54 | Δ92294–92322 | This paper |
| pYZ4 | YUAO9 and -10 | YUAO1 and -2 | EcoRI-NotI/pSP54 | Δ92338–92360 | This paper |
| pYZ5 | YUAO11 and -12 | YUAO1 and -2 | EcoRI-NotI/pSP54 | Δ92361–92390 | This paper |
| pYZ6 | YUAO13 and -14 | YUAO1 and -2 | EcoRI-NotI/pSP54 | Δ92227–92322 | This paper |
| pYZ7 | YUAO15 and -16 | YUAO1 and -2 | EcoRI-NotI/pSP54 | Δ92400–92420 | This paper |
| pYZ8 | YUAO17 and -18 | YUAO1 and -2 | EcoRI-NotI/pSP54 | Δ92439–92453 | This paper |
| pYZ9 | YUAO19 and -20 | YUAO1 and -2 | NsiI-XcmI/pSP54 | Δ92471–92492 | 17 |
| pYZ9R | RP1 and RP2 | NsiI-XcmI/pSP54 | Δ92471–92492 | 17 | |
| pYZ9R2 | 9RP1 and 9RP2 | NsiI-XcmI/pSP54 | Δ92471–92492 | 17 | |
| pYZ10 | YUAO21 and -22 | YUAO1 and -2 | EcoRI-NotI/pSP54 | Δ92506–92516 | This paper |
| pYZ11 | YUAO23 and -24 | YUAO1 and -2 | EcoRI-NotI/pSP54 | Δ92517–92533 | This paper |
| pYZ12 | YUAO25 and -26 | YUAO1 and -2 | EcoRI-NotI/pSP54 | Δ92542–92573 | This paper |
| pYZ13 | YUAO31 and -32 | YUAO29 and -30 | BsmI-EcoRI/pSP54 | Δ91498–91697 | This paper |
| pYZ14 | YUAO33 and -34 | YUAO29 and -30 | BsmI-EcoRI/pSP54 | Δ91598–91797 | This paper |
| pYZ15 | YUAO35 and -36 | YUAO29 and -30 | BsmI-EcoRI/pSP54 | Δ91698–91897 | This paper |
| pYZ15L | PstI-XcmI/pYZ14/pYZ15 | Δ91598–91897 | This paper | ||
| pYZ15R | PstI-XcmI/pYZ15/pYZ16 | Δ91698–91997 | This paper | ||
| pYZ15LR | PstI-XcmI/pYZ14/pYZ16 | Δ91598–91997 | This paper | ||
| pYZ16 | YUAO37 and -38 | YUAO29 and -30 | BsmI-EcoRI/pSP54 | Δ91798–91997 | This paper |
| pYZ17 | YUAO39 and -40 | YUAO29 and -30 | BsmI-EcoRI/pSP54 | Δ91898–92097 | This paper |
| pYZ18 | YUAO41 | YUAO29 | BsmI-EcoRI/pSP54 | Δ91998–92219 | This paper |
| pYZ18L | PstI-XcmI/pYZ17/pYZ18 | Δ91898–92219 | This paper | ||
| pYZ18LL | PstI-XcmI/pYZ16/pYZ18 | Δ91798–92219 | This paper | ||
| pSP68 | EcoRI-ExoIII/pSP54 | Δ92111–92391 | 3 | ||
| pYZ19 | YUAO43 and -44 | YUAO1 and 92654 | EcoRI-XcmI/pSP54 | Δ92400–92573 | This paper |
| pSP90 | NotI, ExoIII/pSP61 | Δ92454–92979 | This paper | ||
| pSP72-24 | SphI, ExoIII/pSP62 | Δ92574–92979 | This paper | ||
| pYZ20 | NotI-BstXI/pSP54 | Δ92887–93145 | This paper | ||
| pYZ22 | BstXI-BamHI/pSP54 | Δ93142–93361 | This paper | ||
| pLH13Δ | PstI/pSP50Kan13 | Δ93163–93561 | This paper | ||
| pLH34Δ | PstI/pSP50Kan34 | Δ93701–94370 | This paper | ||
| pLH50Δ | PstI/pSP50Kan50 | Δ93561–94370 | This paper |
pYZ3 contains a single base substitution in the remaining 29-bp repeat as indicated at the bottom of Fig. 4A.
TABLE 2.
Oligonucleotides used in mutagenesis
| Oligo- nucleo- tide | Sequence | Coordinates (nt) |
|---|---|---|
| YUAO1 | 5′-GGCTTCTCCGTCTACCGG-3′ | 91963–91970 |
| YUAO2 | 5′-CTCGCGCTCCCTAGGTGC-3′ | 92892–92909 |
| YUAO3 | 5′-CACGCATACGCCGTATGTCCGGAATTCC-3′ | 92209–92265 |
| YUAO4 | 5′-GGACATACGGCGTATGCGTGCGTCATCT-3′ | 92217–92273 |
| YUAO7 | 5′-AACGGACTGATCAGAGATGATTTCCGCC-3′ | 92277–92332 |
| YUAO8 | 5′-TCATCTCTGATCAGTCCGTTTTACGTAT-3′ | 92284–92340 |
| YUAO9 | 5′-GCCCCTACGGCGTAAAACGGACTGATGA-3′ | 92320–92370 |
| YUAO10 | 5′-CCGTTTTACGCCGTAGGGGCGGAGCCTA-3′ | 92328–92378 |
| YUAO11 | 5′-TATGCATCCTGGCGTCGCCTAGCATCCG-3′ | 92343–92400 |
| YUAO12 | 5′-AGGCGACGCCAGGATGCATACCCTATAT-3′ | 92351–92408 |
| YUAO13 | 5′-AACGGACTGACCGTATGTCCGGAATTCC-3′ | 92209–92332 |
| YUAO14 | 5′-GGACATACGGTCAGTCCGTTTTACGTAT-3′ | 92217–92340 |
| YUAO15 | 5′-GTTTCGTTAGCTGCAGATGCATCCTAGGGGTGG-3′ | 92383–92430 |
| YUAO16 | 5′-TAGGATGCATCTGCAGCTAACGAAACGTTCTAC-3′ | 92390–92437 |
| YUAO17 | 5′-GGTTCCCGTTCTGCAGCGTAGAACGTTTCGTTA-3′ | 92422–92463 |
| YUAO18 | 5′-ACGTTCTACGCTGCAGAACGGGAACCACCGTAA-3′ | 92429–92470 |
| YUAO19 | 5′-CGGAGGAGAACTGCAGTTACGGTGGTTCCCGTT-3′ | 92454–92502 |
| YUAO20 | 5′-ACCACCGTAACTGCAGTTCTCCTCCGGAACCGG-3′ | 92461–92509 |
| YUAO21 | 5′-GTAAAAATTTCTGCAGTTCCGGAGGAGAAGGGG-3′ | 92489–92526 |
| YUAO22 | 5′-TCCTCCGGAACTGCAGAAATTTTTACCAAATTT-3′ | 92496–92533 |
| YUAO23 | 5′-ATGGTTGCCCCTGCAGGCCCCCCCCGGTTCCGG-3′ | 92500–92543 |
| YUAO24 | 5′-CGGGGGGGGCCTGCAGGGGCAACCATGATTTCC-3′ | 92507–92550 |
| YUAO25 | 5′-GACTGCGCATCTGCAGGGTTGCCCAAATTTGGT-3′ | 92525–92583 |
| YUAO26 | 5′-TTGGGCAACCCTGCAGATGCGCAGTCGGGGCGA-3′ | 92532–92590 |
| YUAO29 | 5′-TGTAACCTGAAACCGCCGTG-3′ | 91381–91400 |
| YUAO30 | 5′-CCGTATGTCCGGAATTCCAC-3′ | 92207–92226 |
| YUAO31 | 5′-GACGTTGGCACTGCAGCGATCGCCACATTCGAT-3′ | 91481–91707 |
| YUAO32 | 5′-GTGGCGATCGCTGCAGTGCCAACGTCATAATCA-3′ | 91488–91714 |
| YUAO33 | 5′-ATATGGCTACCTGCAGTGCCTGTTCTTATGCCG-3′ | 91581–91807 |
| YUAO34 | 5′-AGAACAGGCACTGCAGGTAGCCATATCCGCTTA-3′ | 91588–91814 |
| YUAO35 | 5′-CGTACAAGGGCTGCAGTCTGGCACCGCCTCTTG-3′ | 91681–91907 |
| YUAO36 | 5′-CGGTGCCAGACTGCAGCCCTTGTACGGAAATTT-3′ | 91688–91914 |
| YUAO37 | 5′-AGCGTCTACGCTGCAGACGTAATGGGTGTGGCT-3′ | 91781–92007 |
| YUAO38 | 5′-CCCATTACGTCTGCAGCGTAGACGCTACTCCCG-3′ | 91788–92014 |
| YUAO39 | 5′-ACAGAGGAAGCTGCAGGTGGAGTCTAGGGAGGG-3′ | 91881–92107 |
| YUAO40 | 5′-TAGACTCCACCTGCAGCTTCCTCTGTTTTGGCC-3′ | 91888–92114 |
| YUAO41 | 5′-TCCGGAATTCCTGCAGTCAGCAGGTGTATATTT-3′ | 91981–92219 |
| YUAO42 | 5′-CACCTGCTGACTGCAGGAATTCCGGACATACGG-3′ | 91988–92226 |
| YUAO43 | 5′-GACTGCGCATCTGCAGATGCATCCTAGGGGTGG-3′ | 92383–92583 |
| YUAO44 | 5′-TAGGATGCATCTGCAGATGCGCAGTCGGGGCGA-3′ | 92390–92590 |
| 92654 | 5′-CGGCGCATGCGCACTCGAGT-3′ | 92635–92654 |
| RP1 | 5′-TTCTAGAACCGCTGGATGCA-3′ | |
| RP2 | 5′-TCCAGCGGTTCTAGAATGCA-3′ | |
| 9RP1 | 5′-TTCTAGACGCGATGCA-3′ | |
| 9RP2 | 5′-TCGCGTCTAGAATGCA-3′ |
A version of pSP54 with the vector BstXI site eliminated by T4 DNA polymerase treatment was selected and named pSP54ΔBstXI(v). Plasmid YZ20 was constructed by cleaving pSP54ΔBstXI(v) at the unique NotI (nt 92,887) and BstXI (nt 93,142) sites, blunting with T4 DNA polymerase, and religating. The region between nt 93,101 and 93,240 of the HCMV (AD169) genome spans a large dyad symmetry and is variably reiterated (2). In pYZ20, this sequence is not reiterated and thus does not contain a complete copy of the dyad. Another selected clone containing the pYZ20 deletion, pYZ20+1r, carries a complete copy of the reiterated segment. Plasmid YZ22 was made by restricting pSP54ΔBstXI(v) with BstXI and BamHI (93,361), blunting with T4 DNA polymerase, and religating.
Plasmids SP90 and SP72-24 were generated by bidirectional exonuclease III digestion as described previously (5), with the Erase-a-base system (Promega, Madison, Wis.), after cutting pSP62 and pSP61 (3) with NotI and SphI, respectively. The extent of deletions was determined by sequencing. Plasmids LH13Δ, LH34Δ, and LH50Δ were produced by excising the Kanr cassette from pSP50Kan13, pSP50Kan34, and pSP50Kan50, respectively, with PstI and religating.
The manipulated region of all mutant plasmids was sequenced to confirm the intended mutations and to ensure the integrity of the flanking regions.
Transient replication assays.
Transient replication assays were done essentially as described elsewhere (5, 26, 30) by a modified calcium phosphate method (9). Each dish received 10 μg of plasmid DNA. Dishes were washed twice with calcium- and magnesium-free phosphate-buffered saline 20 h posttransfection, and Dulbecco modified Eagle medium containing 10% (vol/vol) fetal calf serum was added. Transfected cells were infected with HCMV AD169 at about 50 PFU per cell, and total-cell DNA was harvested 96 h after infection. The purified DNA preparations were digested with DpnI and EcoRI unless otherwise indicated and subjected to electrophoresis through a 0.8% agarose gel in TAE buffer (40 mM Tris-acetate [pH 8.0], 1 mM EDTA) and then transferred to a Zeta probe nylon membrane (Bio-Rad, Richmond, Calif.) and probed with random primer, 32P-labeled pGEM-7Zf(−). Each plasmid was tested at least three times.
To estimate relative replication efficiencies, pSP54 or pSP50 and pGEM-7Zf(−) were cotransfected with the test plasmid as internal wild-type and negative standards, respectively. The total amount of DNA transfected per dish was 10 μg, and the molar ratio of pSP50 or pSP54:test plasmid:pGEM-7Zf(−) was 1:10:10. As in the qualitative assay, the transfected cells were infected with HCMV, and 96 h later total DNA was purified, treated with DpnI and EcoRI, subjected to electrophoresis, transferred to Zeta probe nylon membrane, and hybridized with 32P-labeled pGEM-7Zf(−). DpnI-resistant bands were quantified with a PhosphorImager (Molecular Dynamics, Sunnyvale, Calif.). The replication efficiency of each deletion was estimated relative to those of pSP54 and pSP50 and expressed as the ratio of test plasmid to wild type following normalization against the ratio of pSP50 to pSP54 wild-type controls. Each plasmid was tested quantitatively at least three times.
RESULTS
Kanr cassette insertions defining an oriLyt core region.
Previous studies established minimal oriLyt boundaries on the basis of nested exterior deletions (3, 22); no individual elements that are mechanistically essential can reside outside the minimal region defined by such experiments. However, the boundaries defined in these earlier studies are inadequate descriptions of the replicator, in that progressive exterior deletions into either side of the oriLyt region extending from roughly nt 90500 to 93930 produced increasingly defective replication. Moreover, constructs combining the minimal boundaries defined by such exterior deletions failed to replicate (3, 22). These results suggested that oriLyt consists of a core functional region flanked on both sides by auxiliary elements. Replicator auxiliary elements, like transcription enhancers, can sometimes function when separated from core elements (11). Therefore, to test this possibility and to better define the oriLyt core region, we first made a series of 1.15-kbp Kanr cassette insertions across the previously defined oriLyt region in the context of pSP50, which contains the full-length replicator (Fig. 1A). These plasmids were tested several times for their abilities to mediate HCMV-directed DNA synthesis in a transient assay (5, 26, 30). The relative replication efficiency of each plasmid in this experiment was estimated by measuring band intensities with a PhosphorImager.
All tested Kanr cassette insertions from nt 91835 to 92890, inclusive, reproducibly reduced replicator activity to levels indistinguishable from that of the pGEM vector control in our transient assay and, therefore, were scored replication negative (Fig. 1B, lanes 1, 5, 6, 8, 9, and 14). The two largest gaps between insertions—from nt 92246 to 92747 and from nt 92890 to 93299 (Fig. 1A)—overlap critical segments defined by deletions described below. We did not systematically test for differences between oppositely oriented insertions, but in the cases examined, both insertion orientations inactivated. Insertions between 91475 and 91835 on the left and between 92890 and 94098 on the right reproducibly produced increasing defects as they approached the center of the oriLyt region (Fig. 1B, lanes 7 and 10 to 13). Insertions around the boundary were less deleterious than exterior deletion of flanking sequence to corresponding positions. For example, deletions of right flanking sequence extending past the SacI site at nt 93715 fail to replicate (3, 22), but an insertion at nt 93299 retained activity (Fig. 1B). Insertions to the left of nt 91561 or to the right of nt 93561 had no significant effect on replicator activity, in the context of pSP50 (Fig. 1A and B, lanes 2 and 4; data not shown). Moreover, in the few examples that we tested, insertion of other, unrelated sequences within the core also disrupted the replicator (31). Thus, it is unlikely that the Kanr cassette itself specifically inhibits replicator function.
To test whether small insertions at corresponding positions similarly disrupted oriLyt replicator function, the Kanr cassette was excised with PstI, the proximal flanking restriction sites, leaving linker-size insertions of approximately 12 nt (depending on the restriction sites used for insertion). In all cases in which insertions eliminated or greatly reduced replicator activity, excising the Kanr cassette with PstI restored replicator function (Fig. 1C and data not shown). These results demonstrate that loss of function was not due to accidental changes elsewhere in oriLyt and argue that loss of function subsequent to Kanr cassette insertion is not simply due to disruption of an essential protein binding site. Thus, we conclude that these mutants define a core replicator domain between nt 91751 and 93299, which is slightly smaller than the minimal oriLyt region defined by our previous exterior deletions (3).
Deletions spanning the oriLyt core region.
To identify essential oriLyt components, we systematically examined the core domain using a series of overlapping, roughly 200-bp deletions across the core domain. Again, each of the deletions was made in the context of the fully active replicator (Fig. 2A). The replication competence of each deletion mutant was assessed by a quantitative assay. For these experiments, we cotransfected each deletion plasmid with a wild-type oriLyt-containing plasmid as the positive internal standard and with the parent vector pGEM-7Zf(−) as the negative internal standard. The intensity of each replicated signal was measured with a PhosphorImager, and the relative replication efficiency was calculated as described in Materials and Methods. Plasmid SP50 served as the internal positive control for most test plasmids. However, pSP54 was used as the internal positive standard for the pSP50-derived plasmids SP90, SP72-24, LH13Δ, LH34Δ, and LH50Δ; thus, for these plasmids, the test signals were at the pSP50 position (Fig. 2B, lanes 16, 17, 21, 22, and 23). Also, the internal standard for pSP68 comigrated with pGEM because that sample was treated with both EcoRI and HindIII as well as DpnI (Fig. 2B, lane 14). The quantitative assays were each repeated at least three times, and the relative replication efficiencies of each plasmid are summarized to the right in Fig. 2A.
FIG. 2.
Overlapping deletions across HCMV oriLyt. (A) A schematic of the PvuII (nt 89796)-to-KpnI (nt 94860) fragment encompassing oriLyt and deletion constructs. The deleted region of each plasmid is indicated by nucleotide coordinates and by a gap in the line corresponding to the position in the oriLyt core. The open box in the line of pYZ20+1r represents the reiterated dyad sequence (2). Relative replication efficiencies are given at the right; ND, none detected. (B) Quantitative replication assay. The indicated test plasmids were cotransfected with pSP50 or pSP54 and pGEM-7Zf(−) as described in Materials and Methods. An autoradiogram of the resulting Southern blot is reproduced here. Deletion mutants pSP90, pSP72-24, pLH13Δ, pLH34Δ, and pLH50Δ were cotransfected with pSP54 as the positive internal standard. The other deletion mutants were pSP54 derived, and SP50 was used for the internal wild-type comparison. The pSP68 sample was treated with DpnI plus EcoRI and HindIII because pSP68 lacks an EcoRI site, and thus the pSP50 internal standard migrated to the position of pGEM-7Zf(−). (C) Qualitative assay. The indicated test plasmids were assayed for replication competence by transient transfection as described in Materials and Methods. A representative autoradiogram is reproduced here; only the region of the autoradiogram containing replicated (rep’d) signals is shown.
The deletions in plasmids pYZ15, pYZ16, pYZ17, and pYZ18 reduced replication to 1 to 6% of that of the wild type (Fig. 2B, lanes 5 and 9 to 11), whereas deletions further to the left, outside the core domain defined by the Kanr cassette insertion, reduced replication to 13 to 47% of the wild-type level as shown by pYZ13 and pYZ14 (Fig. 2B, lanes 3 and 4). Likewise, the deletion in pYZ22 reduced oriLyt function to 5% of the wild-type level (Fig. 2B, lane 20), and deletions further to the right, outside the core domain, had little or no effect on replication (Fig. 2B, lanes 21 to 23). Expansions of the deletions in pYZ15 and pYZ18, namely, pYZ15L, pYZ15R, pYZ15LR, and pYZ18L and pYZ18LL, each further reduced replication as compared to their respective progenitors but nevertheless retained minimal activity (Fig. 2B, lanes 6 to 8, 12, and 13 and data not shown). Therefore, even though these two regions are important for oriLyt activity, they were not scored as essential sequences.
In contrast, pSP68, pYZ19, pSP90, pYZ20, and pYZ20+1r reproducibly replicated at levels less than or equal to those for the internal vector control (Fig. 2B, lanes 14, 15, 16, 18, and 19). A drawback of the quantitative assay is that cotransfection with replicating plasmids enhanced the background DpnI-resistant signal produced by nonreplicating plasmids, including the vector control (e.g., Fig. 2B, lane 2), to as much as 0.1% of pSP50. As a result, plasmids replicating at very low efficiency were sometimes difficult to distinguish from nonreplicating plasmids. Therefore, the replication competence of each mutant plasmid was also examined by a qualitative replication assay without cotransfected control plasmids. Deletions pYZ15 and pYZ18, which in quantitative assays were estimated to retain only about 1% of pSP54 replicator activity (Fig. 2B, lanes 5 and 11), gave readily detectable replicated signals in the qualitative assay (Fig. 2C, lanes 5 and 8). These assays confirmed the subtle differences between weakly replicating constructs (Fig. 2C, lanes 5 to 9). Plasmids SP68, pYZ19, pSP90, and pYZ20 did not replicate detectably in the qualitative assays (Fig. 2C, lanes 9, 10, 11, and 13). Plasmids that failed to replicate detectably in both quantitative and qualitative assays were given scores of ND (none detected). Plasmids that gave relative replication efficiencies of less than 10% were rescued by restoring the wild-type sequence to the manipulated regions to ensure that the observed phenotypes were not due to unanticipated changes elsewhere in oriLyt (data not shown).
A plot comparing the relative replicator activities of insertion and deletion constructs reveals how closely the results of these two experimental approaches parallel (Fig. 3). Considered together, these results unambiguously demonstrate that the core region between nt 91751 and 93299 is critical to replicator activity. Moreover, the deletions identified at least two essential regions in oriLyt: essential region I situated between nt 92209 and 92573, defined by pSP68, pYZ19, and pSP90; and essential region II between nt 92979 and 93145, defined by pYZ20 and pYZ20+1r. These two essential regions were separated by a deletable segment extending from nt 92574 to 92979, which was defined by pSP72-24 (Fig. 2B, lane 17).
FIG. 3.
Replicator activities of insertion and deletion mutants relative to those of the wild type. Exterior deletions that impinge upon the oriLyt region (thick grey bar) progressively reduce activity (3, 22). The positions and relative replicator activities of insertions (closed triangles) and deletions (thin grey bars) are plotted. The trough in the activity plot defines the core region (cross-hatched rectangle). Essential regions I and II, defined by deletions that completely abrogated replicator activity (black rectangles I and II), and the intervening deletable segment (open rectangle D) are indicated.
Small deletions within essential region I.
Results from reconstitution experiments (31), together with the overlapping adjacent deletion (pYZ18), indicated that no single element in the pSP68-deleted segment is essential. This region, as well as the rest of essential region I, contains various previously noted sequence elements, including two copies of a 29-bp sequence, and we were interested in their potential roles in oriLyt activity. Thus, we made several deletions in the context of pSP54, including either or both of the two 29-bp repeats, a dyad symmetry, G-C- and A-T-rich stretches, and conjoining sequences (Fig. 4A). The replication efficiencies of constructs containing these deletions were then assessed both qualitatively and quantitatively. Plasmids YZ1, YZ3, YZ4, YZ5, YZ6, and YZ3′ all replicated, with efficiencies ranging from 2 to 100% (Fig. 4B, lanes 3 to 7 and 14). Deleting copy B of the 29-bp repeat reduced replication to about 4% of wild-type activity (pYZ3′; Fig. 4B, lane 14), whereas deleting copy A of the 29-bp repeat did not measurably affect replication in our assays (pYZ1; Fig. 4B, lane 3). Plasmid YZ3, a version of pYZ3′ with a point mutation in the remaining copy of the 29-bp repeat (Fig. 4A, bottom), reduced replication to about the same level as that for pYZ6, in which both 29-bp repeats were deleted (Fig. 4B, lanes 4 and 7). This result suggests the importance of the presence of at least one copy of the 29-bp element for oriLyt activity.
FIG. 4.
Mutations in essential region I. (A) A schematic of the mutations in essential region I. Essential region I is enlarged directly below a schematic of the oriLyt region highlighting landmark features. For each plasmid, the deleted sequence is indicated by nucleotide coordinates and by a gap in the line. Relative replication efficiencies estimated in the quantitative replication assay are noted at the right; ND, none detected. (B) Quantitative replication assay of the small deletions. For each test plasmid, pSP50 and pGEM-7Zf(−) were used as wild-type and negative internal standards, respectively. The relative replication efficiencies of each plasmid were measured as described in Materials and Methods and are indicated at the right of in panel A. Samples for lanes 14 to 17 were from a transfection experiment and blot separate from those for lanes 1 to 13.
Except for pYZ7, which retained about 4% of wild-type activity (Fig. 4B, lane 8), the tested small deletions in the pYZ19-deleted portion of essential region I drastically reduced (pYZ8, pYZ10, pYZ11, and pYZ12) or abolished (pYZ9) oriLyt activity (Fig. 4B, lanes 9 to 13, and data not shown). These deletions all fall into the 3′ half of the srt gene. Plasmids YZ9, YZ9R, and YZ9R2 contain a deletion, an insertion, and a random sequence substitution of the Y block, respectively (17). The Y block is an oligopyrimidine tract shown to be essential for oriLyt activity (17). These Y-block mutants reproducibly gave replicated signals equivalent to the internal pGEM-negative standard in the quantitative assay (Fig. 4B, lanes 15 to 17) and failed to replicate in the qualitative assay. Rescuing each mutant by replacing the deleted sequence with wild-type sequence restored oriLyt activity (data not shown), demonstrating that any unintended mutations could not be responsible for the observed phenotypes. Thus, the quantitative results confirmed that the Y block is essential for oriLyt activity.
DISCUSSION
The oriLyt core.
We identify a core domain between nt 91751 and 93299 on the basis of insertions in the context of the complete replicator. Several lines of evidence support the significance of these results. First, all 200-bp deletion constructs within the core region, except pSP72-24, likewise impaired or abrogated replication (Fig. 3). Second, the core region defined by the work reported here is similar to but slightly smaller than the minimal replicator defined by our previous studies (3). The minimal left boundary defined by insertions is coincident with our previous exterior deletion studies (see reference 3 and unpublished results). The right boundary was placed by deletion studies at approximately nt 93715, whereas in the present study a plasmid with an insertion at nt 93299 retained significant activity. Masse et al. (22) reported that a construct deleted to the left of nt 92210 retained limited activity, which we have not seen, and defined the minimal replicator as extending from nt 92210 to 93715. This discrepancy in previous studies may be due to strain variations in the reiterated sequences overlapping the large dyad symmetry elements (10, 18) or to methodological considerations. Regardless of the explanation, the difference is a minor one, because both prior studies agree that deletion on the left as far as nt 91750 greatly reduces activity (3, 22), and no essential components were located between nt 91750 and 92210. Our quantitative results demonstrate that the segment between nt 91751 and 92210 is important to replicator activity. Finally, alignment of HCMV AD169 and Towne sequences shows that, excluding the dispensable segment between essential regions I and II, the core domain is 99.4% identical, which is a level of conservation much higher than that in the genome as a whole (10, 24) and even higher than the level of 97.8 to 98.4% observed among AD169, Towne, and other strains for the major immediate-early enhancer-promoter region (20). In contrast, the dispensable segment retains only 91.7% identity.
The finding that insertions anywhere in the oriLyt core region, including the deletable segment, inactivated the replicator is of interest because it suggests that essential elements within the core region act collectively and have strict requirements for functional interactions. In this regard, we note that even precise substitution of the deletable segment with a heterologous sequence inactivated the replicator (31). However, the mechanism(s) by which these insertions inactivate the replicator is not known and may vary. Insertions may interrupt clusters of protein binding sites with cooperative binding interactions or spatially critical protein-protein contacts. Alternatively, insertion might prevent formation of unusual nucleic acid structures that could be required for replicator activity (28) or interrupt essential transcripts or RNA-DNA interactions that have been suggested to play a role in replicator activation (17, 27a).
Finally, it is important to note that the oriLyt core region defined by deletion and insertion studies is not sufficient for replication and does not constitute the minimal replicator because, at least in transient assays, plasmid constructions containing only the core do not replicate (3, 22). Replicator activity requires the core plus flanking auxiliary sequence, even though no essential elements have been located in the flanking regions. The auxiliary segments, which presumably act to enhance and regulate the core replicator mechanism, are functionally distinct from the core. A limitation of both insertion and deletion approaches is that they cannot detect widely spaced redundant essential elements. The auxiliary regions likely contain functional redundancy, because either the left or the right auxiliary domain sufficed to activate the core in transient assays and because small deletions adjacent to the core were less defective than the corresponding insertions (Fig. 3). Such redundancy may also explain why some of the core failed to score as essential by deletion criteria.
Essential regions I and II.
Deletions that abrogated replicator activity identified segments that likely include mechanistically essential components. By this definition, we found two essential segments in the replicator core. Essential region I, which is situated between nt 92209 and 92573, contains the previously identified Y-block element and overlaps the srt gene (17), as well as several noted reiterated sequences (3, 13, 22). Our results suggest that the 29-bp repeated sequence is the most important contributor to replicator activity in the left half of essential region I. This element consists of an inverted pair of ATF-CREB consensus sequences, which are separated by an overlapping directly repeated sequence (3, 13, 22). Oligonucleotides containing this element are specifically bound in vitro by the ATF-CREB present in cellular extracts (31), but whether those interactions are relevant to replicator function as well as whether other proteins also bind is not known. The finding that several smaller deletions in the right half of essential region I that overlap the 3′ half of the srt gene either abolished or greatly reduced oriLyt activity is consistent with our previous hypothesis that the essential Y block and SRT may cooperate to promote oriLyt initiation (17) and argues that the entire segment that overlaps the 3′ half of SRT is crucial to replicator function. Further mutation analysis suggests that formation of a specific DNA-RNA structure may be essential to activity (31).
Essential region II, extending from nt 92979 to 93145, was not studied further, but several features are noteworthy. First, there are five consensus SP1 binding sites. SP1 binds to three sites in the Epstein-Barr virus oriLyt downstream component (12), although whether these SP1 binding sites contribute to Epstein-Barr virus oriLyt activation is not known. Second, essential region II overlaps a portion of the highly conserved large dyad A sequence that is variably reiterated in our laboratory strain AD169 line (2). The failure of a construct that retained a complete copy of this dyad (pYZ20+1r) to replicate shows that this dyad sequence itself is not sufficient to perform the essential region II function. However, the function of essential region II may require cooperation of the dyad element with adjacent sequences that are deleted in pYZ20. Sequences to the right of essential region II contain another large, conserved dyad sequence that is reiterated in other HCMV laboratory strains (10, 18). Neither of these two reiterated dyad sequences was found to be individually essential, but deleting the segment spanning both dyads inactivated the replicator. Third, essential region II is upstream of the srt gene, and sequences including essential region II have been shown to have promoter activity in transient assays (17). It is possible that essential region II controls or contributes to expression of a transcript that participates in oriLyt function. Finally, essential region II overlaps a region recently found to contain an RNA, termed vRNA, covalently incorporated into packaged HCMV genomes; this vRNA has the same sense as SRT (27a). The features of this vRNA suggest that it is the remnant of an initiating RNA. SRT and the vRNAs may functionally link essential regions I and II, but it remains to be established whether SRT and the newly observed vRNAs are independently transcribed or are derived by processing of a common precursor.
ACKNOWLEDGMENTS
We thank Suzanne M. Punturieri, Mary Beth Kinoshita, and David Franchi for excellent technical assistance; Tim Moran and Matt Shudt of the Wadsworth Center Molecular Genetics Core Facility for preparing oligonucleotides and DNA sequencing; and members of the lab for valuable discussions. Marilyn A. Kacica made pSP90 and pSP72-24.
This work was supported by NIH grant AI 31249.
REFERENCES
- 1.Alford C A, Britt W J. Cytomegalovirus. In: Roizman B, Whitley R I, Lopez C, editors. The human herpesviruses. 1st ed. New York, NY: Raven Press; 1993. pp. 227–255. [Google Scholar]
- 2.Anders, D. G., M. B. Coy, and Y. Zhu. Unpublished results.
- 3.Anders D G, Kacica M A, Pari G S, Punturieri S M. Boundaries and structure of human cytomegalovirus oriLyt, a complex origin for lytic-phase DNA replication. J Virol. 1992;66:3373–3384. doi: 10.1128/jvi.66.6.3373-3384.1992. [DOI] [PMC free article] [PubMed] [Google Scholar]
- 4.Anders D G, McCue L A. The human cytomegalovirus genes and proteins required for DNA synthesis. Intervirology. 1996;39:378–388. doi: 10.1159/000150508. [DOI] [PubMed] [Google Scholar]
- 5.Anders D G, Punturieri S M. Multicomponent origin of cytomegalovirus lytic-phase DNA replication. J Virol. 1991;65:931–937. doi: 10.1128/jvi.65.2.931-937.1991. [DOI] [PMC free article] [PubMed] [Google Scholar]
- 6.Challberg M D. Herpesvirus DNA replication. In: DePamphilis M L, editor. DNA replication in eukaryotic cells. New York, N.Y: Cold Spring Harbor Laboratory Press; 1996. pp. 721–750. [Google Scholar]
- 7.Challberg M D, Kelly T J. Animal virus DNA replication. Annu Rev Biochem. 1989;58:671–717. doi: 10.1146/annurev.bi.58.070189.003323. [DOI] [PubMed] [Google Scholar]
- 8.Chee M S, Bankier A T, Beck S, Bohni R, Brown C M, Cerny R, Horsnell T, Hutchinson III C A, Kouzarides T, Martignetti J A, Preddie E, Satchwell S C, Tomlinson P, Weston K M, Barrell B G. Analysis of the coding content of the sequence of human cytomegalovirus strain AD169. Curr Top Microbiol Immunol. 1990;154:125–169. doi: 10.1007/978-3-642-74980-3_6. [DOI] [PubMed] [Google Scholar]
- 9.Chen C, Okayama H. High-efficiency transformation of mammalian cells by plasmid DNA. Mol Cell Biol. 1987;7:2745–2752. doi: 10.1128/mcb.7.8.2745. [DOI] [PMC free article] [PubMed] [Google Scholar]
- 10.Chen Z, Watanabe S, Yamaguchi N. Strain-dependent differences in the human cytomegalovirus replication origin. Arch Virol. 1996;141:13–30. doi: 10.1007/BF01718585. [DOI] [PubMed] [Google Scholar]
- 11.DePamphilis, M. L. Origins of DNA replication, p. 45–86. In M. L. DePamphilis (ed.), DNA replication in eukaryotic cells. Cold Spring Harbor Laboratory Press, New York, N.Y.
- 12.Gruffat H, Renner O, Pich D, Hammerschmidt W. Cellular proteins bind to the downstream component of the lytic origin of DNA replication of Epstein-Barr virus. J Virol. 1995;69:1878–1886. doi: 10.1128/jvi.69.3.1878-1886.1995. [DOI] [PMC free article] [PubMed] [Google Scholar]
- 13.Hamzeh F M, Lietman P S, Gibson W, Hayward G S. Identification of the lytic origin of DNA replication in human cytomegalovirus by a novel approach utilizing ganciclovir-induced chain termination. J Virol. 1990;64:6184–6195. doi: 10.1128/jvi.64.12.6184-6195.1990. [DOI] [PMC free article] [PubMed] [Google Scholar]
- 14.Ho M. Cytomegalovirus biology and infection. 2nd ed. New York, N.Y: Plenum; 1991. [Google Scholar]
- 15.Ho S N, Hunt H D, Horton R M, Pullen J K, Pease L R. Site-directed mutagenesis by overlap extension using the polymerase chain reaction. Gene. 1989;77:51–59. doi: 10.1016/0378-1119(89)90358-2. [DOI] [PubMed] [Google Scholar]
- 16.Huang, L., and D. G. Anders. Unpublished results.
- 17.Huang L, Zhu Y, Anders D G. The variable 3′ ends of a human cytomegalovirus oriLyt transcript (SRT) overlap an essential, conserved replicator element. J Virol. 1996;70:5272–5281. doi: 10.1128/jvi.70.8.5272-5281.1996. [DOI] [PMC free article] [PubMed] [Google Scholar]
- 18.Kemble G, Duke G, Winter R, Spaete R. Defined large-scale alterations of the human cytomegalovirus genome constructed by cotransfection of overlapping cosmids. J Virol. 1996;70:2044–2048. doi: 10.1128/jvi.70.3.2044-2048.1996. [DOI] [PMC free article] [PubMed] [Google Scholar]
- 19.LaFemina R L, Hayward G S. Replicative forms of human cytomegalovirus DNA with joined terminii are found in permissively infected human cells but not in non-permissive Balb/c-3T3 mouse cells. J Gen Virol. 1983;64:373–389. doi: 10.1099/0022-1317-64-2-373. [DOI] [PubMed] [Google Scholar]
- 20.Lehner R, Stamminger T, Mach M. Comparative sequence analysis of human cytomegalovirus strains. J Clin Microbiol. 1991;29:2494–2502. doi: 10.1128/jcm.29.11.2494-2502.1991. [DOI] [PMC free article] [PubMed] [Google Scholar]
- 21.Martinez R, Sarisky R T, Weber P C, Weller S K. Herpes simplex virus type 1 alkaline nuclease is required for efficient processing of viral DNA replication intermediates. J Virol. 1996;70:2075–2085. doi: 10.1128/jvi.70.4.2075-2085.1996. [DOI] [PMC free article] [PubMed] [Google Scholar]
- 22.Masse M J, Karlin S, Schachtel G A, Mocarski E S. Human cytomegalovirus origin of DNA replication (oriLyt) resides within a highly complex repetitive region. Proc Natl Acad Sci USA. 1992;89:5246–5250. doi: 10.1073/pnas.89.12.5246. [DOI] [PMC free article] [PubMed] [Google Scholar]
- 23.McVoy M A, Adler S P. Human cytomegalovirus DNA replicates after early circularization by concatemer formation, and inversion occurs within the concatemer. J Virol. 1994;68:1040–1051. doi: 10.1128/jvi.68.2.1040-1051.1994. [DOI] [PMC free article] [PubMed] [Google Scholar]
- 24.Mocarski E S., Jr . Cytomegaloviruses and their replication. In: Fields N, Howley P M, Chanock R M, Melnick J L, Monath T P, Roizman B, Straus S E, editors. Fields’ virology. 3rd ed. Vol. 2. Philadelphia, Pa: Lippincott-Raven; 1996. pp. 2447–2492. [Google Scholar]
- 25.Pari G S, Anders D G. Eleven loci encoding trans-acting factors are required for transient complementation of human cytomegalovirus oriLyt-dependent DNA replication. J Virol. 1993;67:6979–6988. doi: 10.1128/jvi.67.12.6979-6988.1993. [DOI] [PMC free article] [PubMed] [Google Scholar]
- 26.Pari G S, Iskenderian A I, Anders D G. Transient genetic approaches to studying multifactor processes in complex DNA viruses. In: Adolph K W, editor. Viral genome methods. Boca Raton, Fla: CRC Press, Inc.; 1996. pp. 209–223. [Google Scholar]
- 27.Pari G S, Kacica M A, Anders D G. Open reading frames UL44, IRS1/TRS1, and UL36-38 are required for transient complementation of human cytomegalovirus oriLyt-dependent DNA synthesis. J Virol. 1993;67:2575–2582. doi: 10.1128/jvi.67.5.2575-2582.1993. [DOI] [PMC free article] [PubMed] [Google Scholar]
- 27a.Pari, G. S., and M. Pritchard. Personal communication.
- 28.Portes-Sentis S, Sergeant A, Gruffat H. A particular DNA structure is required for the function of a cis-acting component of the Epstein-Barr virus OriLyt origin of replication. Nucleic Acids Res. 1997;25:1347–1354. doi: 10.1093/nar/25.7.1347. [DOI] [PMC free article] [PubMed] [Google Scholar]
- 29.Stinski M F. Cytomegalovirus and its replication. In: Fields B N, Knipe D M, editors. Fundamental virology. 2nd ed. New York, N.Y: Raven Press; 1991. pp. 929–950. [Google Scholar]
- 30.Stow N D. Localization of an origin of DNA replication within the TRS/IRS repeated region of the herpes simplex virus type 1 genome. EMBO J. 1982;1:863–867. doi: 10.1002/j.1460-2075.1982.tb01261.x. [DOI] [PMC free article] [PubMed] [Google Scholar]
- 31.Zhu, Y., and D. G. Anders. Unpublished results.




