Abstract
Background
Although vaccination against coronavirus disease (COVID-19) has several side effects, hypopituitarism due to hypophysitis has rarely been reported.
Case presentation
An 83-year-old healthy woman, who had received her fourth COVID-19 vaccine dose 2 days before admission, presented to the emergency department with difficulty moving. On examination, impaired consciousness (Glasgow Coma Scale: 14) and fever were observed. Computed tomography and magnetic resonance imaging of the head revealed swelling from the sella turcica to the suprasellar region. Her morning serum cortisol level was low (4.4 μg/dL) and adrenocorticotropic hormone level was normal (21.6 pg/mL). Central hypothyroidism was also suspected (thyroid stimulating hormone, 0.46 μIU/mL; free triiodothyronine, 1.86 pg/mL; free thyroxine, 0.48 ng/dL). Secondary adrenocortical insufficiency, growth hormone deficiency, delayed gonadotropin response, and elevated prolactin levels were also observed. After administration of prednisolone and levothyroxine, her consciousness recovered. On the 7th day of admission, the patient developed polyuria, and arginine vasopressin deficiency was diagnosed using a hypertonic saline test. On the 15th day, the posterior pituitary gland showed a loss of high signal intensity and the polyuria resolved spontaneously. On the 134th day, the corticotropin-releasing hormone loading test showed a normal response; however, the thyrotropin-releasing hormone stimulation test showed a low response. The patient’s disease course was stable with continued thyroid and adrenal corticosteroid supplementation.
Conclusions
Herein, we report a rare case of anterior hypopituitarism and arginine vasopressin deficiency secondary to hypophysitis following COVID-19 vaccination.
Keywords: COVID-19 vaccination, Hypopituitarism, ASIA, Secondary adrenocortical insufficiency, Arginine vasopressin deficiency
Background
Coronavirus disease (COVID-19) vaccines are produced by targeting the S protein of the virus. They have been reported to be effective in preventing COVID-19 and severe COVID-19, as well as reducing the incidence of sequelae [1]. BNT162b2 (Pfizer/BioNTech) and mRNA-173 (Moderna) as mRNA vaccines, ChAdOx1 nCOV-19 (AstraZeneca) as an adenovirus vector, and NVX-CoV 2373 (Novavax) as a recombinant S protein, have been used in Japan. These vaccines can cause various side effects such as pain, swelling, fever, headache, and diarrhea [2]. Regarding the pituitary gland, pituitary apoplexy [3–5] and arginine vasopressin (AVP) deficiency [6–11] have rarely been reported after COVID-19 vaccination. Only three cases of hypophysitis and anterior pituitary hormone deficiency have been reported: low insulin-like growth factor [11], isolated adrenocorticotropic hormone (ACTH) deficiency [12], and anterior hypopituitarism [11, 13].
Herein, we present a rare case of panhypopituitarism due to hypophysitis after COVID-19 vaccination, in which symptoms improved with hormone replacement therapy and hormonal secretion improved partially during the clinical course.
Case presentation
An 83-year-old previously healthy woman, with no growth or developmental abnormalities, presented to the emergency room with fever and immobility 2 days after her fourth dose of the COVID-19 vaccine (BNT16B2b2, an mRNA vaccine containing spike-protein mRNA), and was admitted to our hospital. She had previously received three doses of the same COVID-19 vaccine; however, after each session, she presented with only slight side effects such as pain, redness, and fever at the injection site, which disappeared within a few days. She also had hyperlipidemia, hyperuricemia, and an overactive bladder, for which she received rosuvastatin calcium, febuxostat, vibegron, and vonoprazan fumarate for an extended period. She was a social drinker and did not smoke.
On examination, the patient had impaired consciousness (Glasgow Coma Scale: 14 [E4V4M6]) and fever (37.9 ℃). Her pulse rate was 92 beats/min, blood pressure was 110/70 mmHg, height was 149.1 cm, and body weight was 53.2 kg. We observed discharge and skin redness around both eyelids. No abnormalities were observed in the thyroid gland, chest, or abdomen. Laboratory tests revealed an elevated inflammatory response (C-reactive protein, 2.89 mg/dL; Table 1). Computed tomography (CT) of the head revealed enlargement of the sella turcica with extension into the suprasellar region (Fig. 1). Magnetic resonance imaging (MRI) of the head also revealed a large-for-age pituitary gland and a thickened pituitary stalk (Fig. 2).
Table 1.
Patient’s laboratory test results on admission
| Test | Result | Reference range | |
|---|---|---|---|
| Arterial blood gas (room air) | |||
| pH | 7.45 | 7.35 − 7.45 | |
| pO2 | 82.8 | mmHg | 76 − 94 |
| pCO2 | 34.9 | mmHg | 35 − 46 |
| HCO3- | 23.7 | mmol/L | 21 − 26 |
| Base excess | 0.3 | mmol/L | -2 − + 2 |
| Blood count | |||
| WBC | 8310 | /μL | 3300 − 8600 |
| Hb | 14.9 | g/dL | 11.6 − 14.8 |
| Plt | 22.8 | 104/μL | 15.8 − 34.8 |
| Biochemistry | |||
| TP | 6.6 | g/dL | 6.6 − 8.1 |
| Alb | 3.8 | g/dL | 4.1 − 5.1 |
| CRP | 2.83 | mg/dL | ≤ 0.14 |
| T-bil | 1.1 | mg/dL | 0.4 − 1.5 |
| AST | 23 | U/L | 13 − 30 |
| ALT | 13 | U/L | 7 − 23 |
| LDH | 177 | U/L | 124 − 222 |
| ALP | 49 | U/L | 38 − 113 |
| γGTP | 17 | U/L | 9 − 32 |
| CK | 125 | U/L | 41 − 153 |
| BUN | 10 | mg/dL | 8 − 20 |
| Cre | 1.35 | mg/dL | 0.46 − 0.79 |
| Na | 138 | mEq/L | 138 − 145 |
| K | 3.7 | mEq/L | 3.6 − 4.8 |
| Cl | 102 | mEq/L | 101 − 108 |
| Ca | 9.7 | mg/dL | 8.8 − 10.1 |
| Plasma glucose | 112 | mg/dL | 73 − 109 |
| Morning Cortisol | 4.4 | μg/dL | 6.4 − 21.0 |
| ACTH | 21.6 | pg/mL | 7.2 − 63.3 |
| TSH | 0.46 | μIU/mL | 0.38 − 4.31 |
| fT3 | 1.86 | pg/mL | 2.10 − 3.80 |
| fT4 | 0.48 | ng/dL | 0.82 − 1.63 |
| Prolactin | 55.45 | ng/mL | 6.12 − 30.54 |
| IgG | 1,113 | mg/dL | 861 − 1,747 |
| IgG4 | 41.9 | mg/dL | 11 − 121 |
| ACE | 9.4 | IU/L | 7.7 − 29.4 |
WBC White blood cell, Plt Platelet, TP Total protein, Alb Albumin, CRP C-reactive protein, IgG Immunoglobulin G, ACE Angiotensin converting enzyme
Fig. 1.

Computed tomography (CT) sagittal image of the brain (2nd day of admission). The arrow shows the enlargement of the sella turcica to the suprasellar region
Fig. 2.

T1-weighted sagittal and T2- weighted coronal MRI of the brain (3rd day of admission). The arrow shows a mass-like lesion from the sella turcica to the suprasellar region and a thickened pituitary stalk. MRI, Magnetic resonance imaging
The next morning, her serum cortisol was low (4.4 μg/dL) and adrenocorticotrophic hormone (ACTH) level was normal (21.6 pg/mL). All thyroid hormones including thyroid-stimulating hormone (TSH, 0.46 μIU/mL); free triiodothyronine (1.86 pg/mL); and free thyroxine (0.48 pg/mL) were low; hence, central hypothyroidism was suspected. Her prolactin levels were elevated (55.45 ng/mL). Immunoglobulin G (IgG), IgG4, and angiotensin-converting enzyme levels were within the normal ranges (Table 1).
Hormone replacement therapy comprising prednisolone (30 mg/day) and levothyroxine (12.5 μg/day) was administered, after which her consciousness improved. On the 4th day, the cosyntropin stimulation test was performed and secondary adrenal insufficiency was suspected as the peak value was < 18 µg/dL (Fig. 3a). Thyrotropin-Releasing hormone (TRH) and gonadotropin-releasing hormone loading tests on the 8th day also revealed growth hormone deficiency and delayed responses to TSH, luteinizing hormone, and follicle-stimulating hormone (Fig. 3b–d). Growth Hormone (GH)-releasing peptide-2 testing performed on the same day revealed a peak value below 9 µg/L, hence the diagnosis of adult GH deficiency [14]. These anterior pituitary hypofunctions suggested panhypopituitarism.
Fig. 3.

Pituitary provocation tests on admission. a, b, c, d represent the results after a: CRH (250 μg, intravenous [i.v.]), b: TRH (200 μg, i.v.), c: GnRH (100 μg, i.v.), and d: GHRP-2 (100 μg, i.v.) load. e: Result of hypertonic saline test. CRH, corticotrophin-releasing hormone; TRH, thyrotropin-releasing hormone; TSH, thyroid-stimulating hormone; PRL, prolactin; GnRH, gonadotropin-releasing hormone; LH, luteinizing hormone; FSH, follicle-stimulating hormone; GHRP-2, growth hormone-releasing peptide-2; GH, growth hormone; AVP, arginine vasopressin
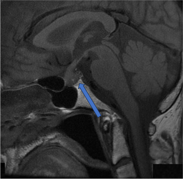
On the 7th day of hospitalization, the patient developed polyuria (4150 mL/day). AVP deficiency was diagnosed using a hypertonic saline test (Fig. 3e). Her MRI showed that the high signal intensity (bright spots) in the posterior pituitary lobes had disappeared (Fig. 4). Polyuria resolved spontaneously on the 15th day. Replacement therapy comprising thyroid and adrenal corticosteroid hormones was continued. Growth hormone replacement was not initiated due to the absence of symptoms. The patient was discharged on the 19th day.
Fig. 4.

T1-weighted sagittal magnetic resonance imaging (MRI) of the pituitary (10th day of admission). The arrow shows the disappearance of the bright spots in the posterior pituitary gland
On the 134th day, the patient was readmitted for evaluation of endocrine function. The cosyntropin stimulation test showed a normal response; however, the TRH stimulation test had a low response. Luteinizing hormone-releasing hormone and GH-releasing peptide-2 load tests also showed low responses (Fig. 5). Contrast-Enhanced MRI of the pituitary gland showed further improvement in the edematous changes in the pituitary stalk (Fig. 6). As hormonal secretion partially improved, supplementation with thyroid and adrenal corticosteroid hormones was continued. The patient’s condition stabilized after hormone supplementation.
Fig. 5.

Pituitary provocation tests after 3 months. a, b, c, d represent the results after a: CRH (250 μg, i.v.), b: TRH (200 μg, i.v.), c: GnRH(100 μg, i.v.), and d: GHRP-2 (100 μg, i.v.) load. CRH, corticotropin-releasing hormone; ACTH, adrenocorticotropic hormone; TRH, thyrotropin-releasing hormone; TSH, thyroid-stimulating hormone; PRL, prolactin; GnRH, gonadotropin-releasing hormone; LH, luteinizing hormone; FSH, follicle-stimulating hormone; GHRP-2, growth hormone-releasing peptide-2; GH, growth hormone
Fig. 6.

Contrast-enhanced T1-weighted sagittal and T2- weighted coronal MRI of the brain (137th day after admission). The arrow shows improvement of edematous changes in the pituitary stalk. MRI, magnetic resonance imaging
Discussion
This was a rare case of hypopituitarism possibly due to hypophysitis 2 days after COVID-19 vaccination. It is well known that COVID-19 vaccination can induce endocrine dysfunctions such as subacute thyroiditis, Graves' disease [15], adrenal crisis [16, 17], and type 1 diabetes mellitus [18]. Pituitary disorders after vaccination, including pituitary apoplexy [3–5], AVP deficiency [6–11], isolated ACTH deficiency [12], and anterior hypopituitarism [11, 13], have rarely been reported.
Hypophysitis is defined as a primary or secondary inflammation of the pituitary gland. Although a rare cause, accounting for 1.6% of all cases of hypopituitarism, the incidence of hypopituitarism is on the rise with the increased use of checkpoint inhibitors in cancer treatment [19]. Patients with hypopituitarism typically present with headaches and deficiencies in anterior and/or posterior pituitary hormones. In contrast to the two previous cases of hypophysitis with secondary adrenal insufficiency (Table 2), this case was characterized by the onset of difficulty in moving and impaired consciousness rather than gastrointestinal symptoms. Various types of hypophysitis are associated with autoimmune diseases, IgG4-related diseases, sarcoidosis, and immune checkpoint inhibitors [20]. The differential diagnoses of hypophysitis are pituitary tumors, including metastases; pituitary apoplexy; and lymphoproliferative disease.
Table 2.
Review of previous case reports of hypopituitarism associated with COVID-19 vaccination
| Authors | Age, sex | Diagnosis | Vaccine | Symptoms | Onset after vaccination | Thyrotropin Axis | Gonadal Axis | Corticotropin Axis | Lactotropin Axis | AVP-D* | Images | Treatment | Clinical course | Replacement therapy |
|---|---|---|---|---|---|---|---|---|---|---|---|---|---|---|
| Cases of arginine vasopressin deficiency | ||||||||||||||
| Ishay A, et al | 59 y, F | AVP-D | BNT162b2 | Polyuria, thirst, fatigue, weight loss | 8 weeks | N | N | N | N | Y | Thickened pituitary stalk, disappearance of bright spots in posterior lobe | Desmopressin | Symptoms improved | Continued (18 months) |
| Bouça B, et al | 37 y, M | AVP-D | BNT162b2 | Polyuria, thirst | 7 days | N | N | N | N | Y | Disappearance of bright spots in posterior lobe | Desmopressin | Symptoms improved | Continued (2 months) |
| Partenope C, et al | 16 y, M | AVP-D | BNT162b2 | Polyuria, thirst, fatigue | a few days | N | N | N | N | Y | Thickened pituitary stalk, disappearance of bright spots in posterior lobe | Desmopressin | Symptoms improved | Continued (3 months) |
| Matsuo T, et al | 74y, F | AVP-D, multiple sclerosis | BNT162b2 |
Polyuria, thirst, fatigue, gait disturbance, intentional tremor |
1 month | N | N | N | N | Y | Thickened pituitary stalk, disappearance of bright spots in posterior lobe | Desmopressin | Symptoms improved | N/M |
| Ach T, et al | 54 y, F | AVP-D | ChAdOx1 |
Polyuria, thirst weight loss |
3 days | N | N | N | N | Y | Thickened pituitary stalk | Desmopressin | N/M | N/M |
| Ankireddypalli AR, et al | 48 y, F | HP | BNT162b2 | Polyuria, thirst, headache, fatigue, polyarthralgia | 2 days | N | Hypo-gonadism | N | N | Y | Thickened pituitary stalk, partially empty sella | Desmopressin | Symptoms partially improved | Continued |
| Cases of anterior pituitary hormone deficiency | ||||||||||||||
| Ankireddypalli AR, et al | 48 y, F | HP | BNT162b2 | Amenorrhea | 2 days | N | Hypo-gonadism | N | N | Y | Thickened pituitary stalk, partially empty sella | N | Menstrual recovery | N |
| Murvelashvili N, Tessnow A | 51 y, M | HP | mRNA-173 | Nausea, vomiting, abdominal pain, decreased libido, erectile dysfunction | 3 days | Hypo-thyroidism | Hypo-gonadism | Adrenocortical insufficiency | N | N | Enlargement of pituitary gland |
Glucocorticoid Levothyroxine |
Testosterone normalized Pituitary gland enlargement diminished with empty sella |
Continued (1 month) |
| Morita S, et al | 31 y, M | IAD | BNT162b2 | Fever, headache, malaise, nausea, diarrhea | 1 day | N | N | Adrenocortical insufficiency | Hyper prolactinemia | N | Atrophy of the anterior pituitary lobe | Glucocorticoid | Symptoms improved | Continued (3 months) |
| Current case | 83 y, F | HP | BNT162b2 | Fever, unable to move, impaired consciousness | 2 days | Hypo-thyroidism | Hypo-gonadism | Adrenocortical insufficiency | Hyper prolactinemia | Y |
enlargement of pituitary gland Thickened pituitary stalk, disappearance of bright spots in posterior lobe |
Glucocorticoid Levothyroxine |
Symptoms, Corticotropin axis and AVP-D* improved Pituitary stalk edema improved |
Continued (140 days) |
F Female, M Male, AVP-D arginine vasopressin deficiency, HP hypophysitis, IAD isolated ACTH deficiency, N/M not mentioned, ACTH adrenocorticotrophic hormone
MRI findings are characterized by moderate pituitary gland enlargement, homogeneous contrast enhancement, a thickened pituitary stalk, the absence of posterior pituitary bright spots, and an empty sella turcica after the inflammatory process [21]. In the present case, the presence of an enlarged pituitary gland with an edematous and thickened pituitary stalk supported the diagnosis of hypophysitis. The spontaneous improvement in pituitary imaging and hormone levels over time suggests transient immune abnormalities and inflammation after vaccination. Blood tests and whole-body CT showed no evidence of sarcoidosis, IgG4-related diseases, or other diseases that could cause pituitary inflammation. There was also no history of use of immune checkpoint inhibitors or other medications. In addition, pituitary inflammation following vaccination has been previously reported to develop within 5 days of vaccination [11]. In our patient, it developed two days after vaccination, suggesting an association with vaccination.
To the best of our knowledge, only eight cases of hypopituitarism associated with COVID-19 vaccination have been reported (six cases of AVP deficiency and three cases of anterior pituitary hormone deficiency; Table 2). In contrast to previous studies, our case was an older patient with at least three pituitary hormone deficiencies, later onset of transient AVP deficiency symptoms that did not require treatment, and partial hormonal recovery and improvement of imaging findings during the clinical course.
Although the mechanism by which hypophysitis occurs after vaccination is unknown, several hypotheses have recently been proposed, including the possibility of molecular mimicry, vaccinia adjuvants, and innate immune activation [22]. In individuals with certain genetic backgrounds, cross-reactivity may occur due to similarities between vaccine components and their own proteins, called molecular mimicry. Reactions to self-antigens can cause autoimmune disease. In addition, adjuvants in vaccines may cause autoimmune/inflammatory syndrome (ASIA) [23], which is defined as exposure to an external stimulus, development of symptoms suggestive of an autoimmune syndrome, and improvement after removal of the triggering substance. The mRNA vaccine, BNT162b2, does not contain insoluble aluminum but lipid nanoparticles for structural stabilization [24], which may be responsible for the adjuvant activity that causes ASIA [25]. The mRNA and DNA vaccines themselves can stimulate Toll-like receptors 7 and 9, which lead to autoimmune diseases as a result of elevated type 1 interferon and increased immunoglobulin via age-related B-cell proliferation [26]. AVP deficiency and hyperprolactinemia may be partially due to thickening of the pituitary stalk, which may have resulted in impairment of AVP and dopamine, a prolactin-suppressing hormone [27]. Therefore, the AVP deficiency improved with amelioration of the pituitary pattern thickening.
The prognosis of hypopituitarism after COVID-19 vaccination remains unclear. Drug-induced hypopituitarism, caused by immune checkpoint inhibitors such as cytotoxic T-lymphocyte antigen-4, often requires long-term hormone replacement therapy with glucocorticoids [28]. Lymphocytic hypopituitarism requires at least one type of hormone replacement therapy in 73% of patients [29]. The course of ASIA is generally good, with a good response to steroids and other medications; however, the response to drug withdrawal is unknown [22]. There is no description of the recovery of hormone levels in the three previous cases of hypopituitarism induced by COVID-19 vaccines [11–13]. In some cases of AVP deficiency, long-term replacement of vasopressin is necessary [6–8, 11]. Nevertheless, it is also reported that in about half cases of thyroid disorder, at least partial recovery was observed within 5 months [11], indicating a relatively better prognosis in ASIA than other etiologies. In our case, hypopituitarism occurred within a short time after vaccination, the symptoms of AVP deficiency and pituitary MRI imaging spontaneously improved, and the ACTH-cortisol system normalized. All these facts support the fact that the endocrine abnormalities in these patients were due to hypophysitis related to COVID-19 vaccination, probably via an ASIA mechanism. However, because of a persistently low response to the TRH stimulation test, the patient continued to receive cortisol and thyroid hormone supplementation. Further hormonal evaluations during follow-up should be conducted to determine whether the recovery time may differ between endocrine organs and whether these hormone replacements should be continued.
Conclusions
Herein, we presented a rare case of hypopituitarism due to hypophysitis after COVID-19 vaccination, which was followed by partial improvement of hypopituitarism. In cases of impaired consciousness after COVID-19 vaccination, it may be important to consider hypophysitis in the differential diagnosis. However, as COVID-19 vaccination has been shown to reduce the risk of disease severity, and cases of hypopituitarism as a side effect are rare, the benefits outweigh the risks [30]. Hence, the possibility of hypopituitarism as an adverse reaction to vaccination should not influence vaccination decisions. Even high-risk individuals should be appropriately vaccinated.
Acknowledgements
Not applicable.
Abbreviations
- ACTH
Adrenocorticotropic hormone
- ASIA
Adjuvant-associated autoimmune/inflammatory syndrome
- AVP
Arginine vasopressin
- COVID-19
Coronavirus disease
- CT
Computed tomography
- GH
Growth hormone
- MRI
Magnetic resonance imaging
- TRH
Thyrotropin-releasing hormone
- TSH
Thyroid stimulating hormone
Authors' contributions
SW, KO, and YC performed the clinical tests, provided medical care to the patients as a team, and wrote a draft of the manuscript. SK, MS, RK, and KT contributed to the interpretation of clinical data. YT and AA contributed to the interpretation of clinical data and critically reviewed the manuscript.
Funding
There are no funding sources to be declared in this case report.
Availability of data and materials
The datasets used in this case report are available from the corresponding author upon request.
Declarations
Ethics approval and consent to participate
No ethical approval was required.
Consent for publication
Written informed consent for the publication of this case report was obtained from the patient.
Competing interests
The authors declare no competing interests.
Footnotes
Publisher's Note
Springer Nature remains neutral with regard to jurisdictional claims in published maps and institutional affiliations.
References
- 1.Tenforde MW, Self WH, Adams K, Gaglani M, Ginde AA, McNeal T, et al. Association between mRNA vaccination and COVID-19 hospitalization and disease severity. JAMA. 2021;326:2043–2054. doi: 10.1001/jama.2021.19499. [DOI] [PMC free article] [PubMed] [Google Scholar]
- 2.Beatty AL, Peyser ND, Butcher XE, Cocohoba JM, Lin F, Olgin JE, et al. Analysis of COVID-19 vaccine type and adverse effects following vaccination. JAMA Net Open. 2021;4:e2140364. doi: 10.1001/jamanetworkopen.2021.40364. [DOI] [PMC free article] [PubMed] [Google Scholar]
- 3.Zainordin NA, Hatta SFWM, Ab Mumin N, Shah FZM, Ghani RA. Pituitary apoplexy after COVID-19 vaccination: a case report. J Clin Transl Endocrinol Case Rep. 2022;25:100123. doi: 10.1016/j.jecr.2022.100123. [DOI] [PMC free article] [PubMed] [Google Scholar]
- 4.Roncati L, Manenti A. Pituitary apoplexy following adenoviral vector-based COVID-19 vaccination. Brain Hemorrhages. 2023;4:27–29. doi: 10.1016/j.hest.2022.04.002. [DOI] [PMC free article] [PubMed] [Google Scholar]
- 5.Piñar-Gutiérrez A, Remón-Ruiz P, Soto-Moreno A. Case report: pituitary apoplexy after COVID-19 vaccination. Med Clin. 2022;158:498–499. doi: 10.1016/j.medcli.2021.09.028. [DOI] [PMC free article] [PubMed] [Google Scholar]
- 6.Ishay A, Shacham EC. Central diabetes insipidus: a late sequela of BNT162b SARS-CoV-2 mRNA vaccine? BMC Endocr Disord. 2023;23:47. doi: 10.1186/s12902-023-01296-4. [DOI] [PMC free article] [PubMed] [Google Scholar]
- 7.Bouça B, Roldão M, Bogalho P, Cerqueira L, Silva-Nunes J. Central diabetes insipidus following immunization with BNT162b2 mRNA COVID-19 vaccine: a case report. Front Endocrinol (Lausanne) 2022;13:889074. doi: 10.3389/fendo.2022.889074. [DOI] [PMC free article] [PubMed] [Google Scholar]
- 8.Partenope C, Pedranzini Q, Petri A, Rabbone I, Prodam F, Bellone S. AVP deficiency (central diabetes insipidus) following immunization with anti-COVID-19 BNT162b2 Comirnaty vaccine in adolescents: a case report. Front Endocrinol (Lausanne) 2023;14:1166953. doi: 10.3389/fendo.2023.1166953. [DOI] [PMC free article] [PubMed] [Google Scholar]
- 9.Matsuo T, Okubo K, Mifune H, Imao T. Bilateral optic neuritis and hypophysitis with diabetes insipidus 1 month after COVID-19 mRNA vaccine: case report and literature review. J Investig Med High Impact Case Rep. 2023;11:23247096231186046. doi: 10.1177/23247096231186046. [DOI] [PMC free article] [PubMed] [Google Scholar]
- 10.Ach T, Kammoun F, Fekih HE, Slama NBH, Kahloun S, Fredj FB, et al. Central diabetes insipidus revealing a hypophysitis induced by SARS-CoV-2 vaccine. Therapie. 2023;78:453–455. doi: 10.1016/j.therap.2022.09.007. [DOI] [PMC free article] [PubMed] [Google Scholar]
- 11.Ankireddypalli AR, Chow LS, Radulescu A, Kawakami Y, Araki T. A case of hypophysitis associated with SARS-CoV-2 vaccination. AACE Clin Case Rep. 2022;8:204–209. doi: 10.1016/j.aace.2022.06.001. [DOI] [PMC free article] [PubMed] [Google Scholar]
- 12.Morita S, Tsuji T, Kishimoto S, Uraki S, Takeshima K, Iwakura H, et al. Isolated ACTH deficiency following immunization with the BNT162b2 SARS-CoV-2 vaccine: a case report. BMC Endocr Disord. 2022;22:185. doi: 10.1186/s12902-022-01095-3. [DOI] [PMC free article] [PubMed] [Google Scholar]
- 13.Murvelashvili N, Tessnow A. A case of hypophysitis following immunization with the mRNA-1273 SARS-CoV-2 vaccine. J Investig Med High Impact Case Rep. 2021;9:23247096211043386. doi: 10.1177/23247096211043386. [DOI] [PMC free article] [PubMed] [Google Scholar]
- 14.Chihara K, Shimatsu A, Hizuka N, Tanaka T, Seino Y, Katofor Y, et al. A simple diagnostic test using GH-releasing peptide-2 in adult GH deficiency. Eur J Endocrinol. 2007;157:19–27. doi: 10.1530/EJE-07-0066. [DOI] [PubMed] [Google Scholar]
- 15.Jafarzadeh A, Nemati M, Jafarzadeh S, Nozari P, Mortazavi SMJ. Thyroid dysfunction following vaccination with COVID-19 vaccines: a basic review of the preliminary evidence. J Endocrinol Invest. 2022;45:1835–1863. doi: 10.1007/s40618-022-01786-7. [DOI] [PMC free article] [PubMed] [Google Scholar]
- 16.Markovic N, Faizan A, Boradia C, Nambi S. Adrenal crisis secondary to COVID-19 vaccination in a patient with hypopituitarism. AACE Clin Case Rep. 2022;8:17173. doi: 10.1016/j.aace.2022.04.004. [DOI] [PMC free article] [PubMed] [Google Scholar]
- 17.Maguire D, McLaren DS, Rasool I, Shah PM, Lynch J, Murray RD. ChAdOx1 SARS-CoV-2 vaccination: a putative precipitant of adrenal crises. Clin Endocrinol (Oxf.). 2023;99:470–3. doi: 10.1111/cen.14566. [DOI] [PMC free article] [PubMed] [Google Scholar]
- 18.Yano M, Morioka T, Natsuki Y, Sasaki K, Kakutani Y, Ochi A, et al. New-onset type 1 diabetes after COVID-19 mRNA vaccination. Intern Med. 2022;61:1197–1200. doi: 10.2169/internalmedicine.9004-21. [DOI] [PMC free article] [PubMed] [Google Scholar]
- 19.Tanriverdi F, Dokmetas HS, Kebapcı N, Kilicli F, Atmaca H, Yarman S, et al. Etiology of hypopituitarism in tertiary care institutions in Turkish population: analysis of 773 patients from Pituitary Study Group database. Endocrine. 2014;47:198–205. doi: 10.1007/s12020-013-0127-4. [DOI] [PubMed] [Google Scholar]
- 20.Langlois F, Varlamov EV, Fleseriu M. Hypophysitis, the growing spectrum of a rare pituitary disease. J Clin Endocrinol Metab. 2022;107:10–28. doi: 10.1210/clinem/dgab672. [DOI] [PMC free article] [PubMed] [Google Scholar]
- 21.Caranci F, Leone G, Ponsiglione A, Muto M, Tortora F, Muto M, et al. Imaging findings in hypophysitis: a review. Radiol Med. 2020;125:319–328. doi: 10.1007/s11547-019-01120-x. [DOI] [PubMed] [Google Scholar]
- 22.Cohen Tervaert JW, Martinez-Lavin M, Jara LJ, Halpert G, Watad A, Amital H, et al. Autoimmune/inflammatory syndrome induced by adjuvants (ASIA) in 2023. Autoimmun Rev. 2023;22:103287. doi: 10.1016/j.autrev.2023.103287. [DOI] [PubMed] [Google Scholar]
- 23.Jara LJ, Vera-Lastra O, Mahroum N, Pineda C, Shoenfeld Y. Autoimmune post-COVID vaccine syndromes: does the spectrum of autoimmune/inflammatory syndrome expand? Clin Rheumatol. 2022;41:1603–1609. doi: 10.1007/s10067-022-06149-4. [DOI] [PMC free article] [PubMed] [Google Scholar]
- 24.Chatzikleanthous D, O'Hagan DT, Adamo R. Lipid-based nanoparticles for delivery of vaccine adjuvants and antigens: toward multicomponent vaccines. Mol Pharm. 2021;18:2867–2888. doi: 10.1021/acs.molpharmaceut.1c00447. [DOI] [PubMed] [Google Scholar]
- 25.Alameh MG, Tombácz I, Bettini E, Lederer K, Sittplangkoon C, Wilmore JR, et al. Lipid nanoparticles enhance the efficacy of mRNA and protein subunit vaccines by inducing robust T follicular helper cell and humoral responses. Immunity. 2021;54:2877–92.e7. doi: 10.1016/j.immuni.2021.11.001. [DOI] [PMC free article] [PubMed] [Google Scholar]
- 26.Lamprinou M, Sachinidis A, Stamoula E, Vavilis T, Papazisis G. COVID-19 vaccines adverse events: potential molecular mechanisms. Immunol Res. 2023;71:356–372. doi: 10.1007/s12026-023-09357-5. [DOI] [PMC free article] [PubMed] [Google Scholar]
- 27.Fukuoka H. Hypophysitis. Endocrinol Metab Clin North Am. 2015;44:143–149. doi: 10.1016/j.ecl.2014.10.011. [DOI] [PubMed] [Google Scholar]
- 28.Del Rivero J, Cordes LM, Klubo-Gwiezdzinska J, Madan RA, Nieman LK, Gulley JL. Endocrine-related adverse events related to immune checkpoint inhibitors: proposed algorithms for management. Oncologist. 2020;25:290–300. doi: 10.1634/theoncologist.2018-0470. [DOI] [PMC free article] [PubMed] [Google Scholar]
- 29.Caturegli P, Newschaffer C, Olivi A, Pomper MG, Burger PC, Rose NR. Autoimmune hypophysitis. Endocr Rev. 2005;26:599–614. doi: 10.1210/er.2004-0011. [DOI] [PubMed] [Google Scholar]
- 30.Alsudais AS, Alkanani RS, Fathi AB, Almuntashiri SS, Jamjoom JN, Alzhrani MA, et al. Autoimmune diabetes mellitus after COVID-19 vaccination in adult population: a systematic review of case reports. BMC Endocr Disord. 2023;23:164. doi: 10.1186/s12902-023-01424-0. [DOI] [PMC free article] [PubMed] [Google Scholar]
Associated Data
This section collects any data citations, data availability statements, or supplementary materials included in this article.
Data Availability Statement
The datasets used in this case report are available from the corresponding author upon request.
