Abstract
Left ventricular (LV) diastolic dysfunction (DD) is an initially asymptomatic condition that can progress to heart failure, either with preserved or reduced ejection fraction. As such, DD is a growing public health problem. Impaired relaxation, the first stage of DD, is associated with altered LV filling. With progression, reducing LV compliance leads to restrictive cardiomyopathy. While cardiac magnetic resonance (CMR) imaging is the reference for LV systolic function assessment, transthoracic echocardiography (TTE) with Doppler flow measurements remains the standard for diastolic function assessment. Rather than simply replicating TTE measurements, CMR should complement and further advance TTE findings. We provide herein a step-by-step review of CMR findings in DD as well as imaging features which may help identify the underlying cause.
Keywords: cardiac magnetic resonance, diastolic dysfunction, HFpEF, diastolic function, relaxation, relaxometry
Introduction
Diastole is the phase of the cardiac cycle that begins with the closure of the aortic valve and ends with the closure of the mitral valve. This valvular definition is one of many as diastole may be approached from pressure (onset of myocardial relaxation just before left ventricle [LV] pressure falls below aortic pressure), ECG (near-end of T wave correlates to start of diastole), and volume (end-systolic volume coinciding with the isovolumetric relaxation phase) perspectives.
Normal diastolic function is defined as the ability of the LV to fill to a normal end-diastolic volume, both at rest and during exercise, with a normal left atrial (LA) pressure (normal <12 mm Hg).
The successive phases of normal diastole are as follows:
isovolumetric relaxation of the LV (LV pressure has to fall below LA pressure before LV filling can occur)
-
LV filling including successively;
a rapid passive filling phase in early diastole (defined as E-wave on TTE or MRI velocity encoding sequences [Venc]),
diastasis (slow filling),
atrial contraction, leading to active filling in late diastole (defined as A wave on TTE or Venc).
Diastolic dysfunction (DD)1,2 is not uncommon, encountered in approximately 30% of the general population.3 This condition may be secondary to ageing, hypertension, obesity, diabetes, or coronary artery disease. It refers to abnormal, prolonged relaxation of the LV with abnormal distensibility related to reduced LV compliance. Other causes include infiltrative disorders, such as amyloidosis, storage disorders such as Fabry cardiomyopathy, hypertrophic and/or restrictive cardiomyopathy, endomyocardial or valvular heart disease. Chronic constrictive pericarditis is one major differential diagnosis in which both cardiac magnetic resonance (CMR) imaging and CT play an important role.
Although even moderate DD may be asymptomatic, knowledge of this condition is paramount, given the risk of progression to heart failure (HF). Diastolic dysfunction can be seen in isolation, may be a precursor to systolic dysfunction, or both may co-exist together. When DD predominates in a patient presenting symptoms of HF with an LV ejection fraction (EF) >50%, the diagnosis of HF with preserved EF (HFpEF) can be made.4 With an increasing prevalence, HFpEF now accounts for approximately 50% of all cases of HFs and carries a poor prognosis, with outcomes similar to those of patients with reduced EF.5
In current clinical practice, the evaluation of diastolic function is mainly based on TTE,6 or alternatively on cardiac catheterisation. On TTE, the maximal size of the LA (at end ventricular systole), transmitral flow profile (E/A ratio), and longitudinal relaxation velocity of the LV lateral basal wall (e′ wave) are the major components of assessment.
Three grades of DD have been described,6 summarised in Table 1.
Table 1.
Diastolic dysfunction grades.
| Diastolic dysfunction | Description | E/A ratioa | e′ velocityb | Left atrium volume c |
|---|---|---|---|---|
| Grade I (mild) | Impaired relaxation and decreased suction of the LV | <0.8 | Reduced | Non-dilated |
| Grade II (moderate) | Pseudonormalisation, reduced compliance of the LV, and possible elevated filling pressure | >0.8 | Reduced | Dilated |
| Grade III (severe) | Restrictive filling with elevated filling pressure and noncompliant LV | >1.5 | Reduced | Dilated |
Normal value >0.8.
Normal values vary with age: in <55-year-old patients, e′ > 10 cm/s; in 55- to 65-year-old patients e′ > 9 cm/s; in >65-year-old patients e′ > 8 cm/s.
Considered as dilated if >34 mL/m2.
Abbreviation: LV = left ventricle.
In addition, a reduced deceleration time of the E wave (<140 ms) is found in grade III DD.
E/e′ ratio can also be used to evaluate the LV filling pressure, with an E/e′ ratio being:
Likely normal when E/e′ < 8,
Likely abnormal when E/e′ > 12, suggesting elevated LV filling pressures,
Indeterminate with E/e′ between 8 and 12.
In practice, patient factors, equipment, and operator experience may influence the diagnostic accuracy of TTE. In certain cases, measurements may not be acquired accurately or may not be acquired at all. Furthermore, TTE results may remain ambiguous in some cases, even in experienced hands. Recent evidence suggests that CMR could assist with the diagnosis and help to improve our understanding of the disease.
In our opinion, CMR should complement TTE findings rather than simply replicating measurements for the following reasons;
In the clinical context of HF, the patient’s ability to tolerate the examination needs to be taken into account. Patients may find it difficult to remain in a supine position in the MRI scanner for a prolonged period of time, as well as comply with the required successive breath-holds which may induce premature fatigue. Current standards suggest that most CMR examinations should be completed within a 30-min timeframe.7
Given the sustained rapid increase in demand for CMR, there are current limitations surrounding access to resources including equipment, as well as a sufficient number of adequately trained radiologists to interpret studies.
Data requiring a high temporal resolution (eg, transmitral and pulmonary venous flow or early diastolic mitral annular velocity) can be obtained using MRI; however, it should preferably be obtained using pulse waved Doppler.
The capabilities of CMR including anatomic and functional assessment, myocardial characterisation and delayed enhancement (DE) can refine the diagnosis of DD and may help to identify a specific underlying cause.
In case of lack of identification of specific underlying cardiac cause, CMR changes can support the diagnosis of DD mediated by the patient’s status (age, diabetes, hypertension, obesity).
The aim of this educational paper is to provide imaging professionals with a series of high-yield pearls when interpreting CMR that may be used to confirm the diagnosis of DD, as well as determine potential underlying causes without having to increase the number of sequences performed or increase the time of examination. For educational purposes, we detail in this article: (1) a standard CMR protocol, (2) information provided by each sequence, and (3) a practical approach to CMR analysis to suggest DD and rule out cardiac condition leading to DD. We finally further detail the CMR changes that can be encountered in DD secondary to the patient’s status and comorbidities.
CMR technical protocol
Measurements indexed to body surface area (BSA) are of importance in routine cardiology. For this reason, weight and height should be measured rather than inferred from the patient’s self-declaration.
The typical CMR protocol includes7,8;
-
Multiplanar CINE imaging (balanced fast field echo +/- compressed sensing)
Contiguous short-axis (SA) views covering both ventricles from the base to the apex
2-, 4- and 3-chamber views (2C, 4C, 3C)
SA view of the aortic valve
-
T1 and T2 mapping
3 SA views (base, mid ventricle, and apex) and 4C views ideally, but at least one slice of mid-ventricular SA
-
T2* mapping (if clinically indicated)
Mid-ventricular SA view
-
Gadolinium injection
Ideally in 5 planes including 3 SA, 1 4C, and 1 2C views
-
Delayed enhancement
At least 6-7 contiguous SA views
Ideally around 8-10 minutes post-gadolinium
-
Post-gadolinium T1 mapping (optional, for diagnostic confirmation and prognostic purposes)
Same planes as T1 mapping before injection
Ideally around 15 minutes post-gadolinium
In cases of suboptimal TTE, optional Venc 2D through-plane gradient echo sequences can be performed in addition to the routine protocol, at the expense of a moderately prolonged examination (e.g. to explore transmitral/pulmonary venous flow or mitral annulus displacement). Positioning and the choice of Venc for such 2D sequences require expert technicians and live monitoring of images.
Information derived from each sequence with emphasis on DD findings9
Multiplanar CINE-derived parameters
LV hypertrophy and volumes
Patients are usually referred to CMR when LV hypertrophy is shown by ECG and/or TTE. Left ventricular hypertrophy can be diffuse or segmental, both being potentially associated with DD.
Although increased LV mass has been shown to be an independent marker of cardiac events and HF,10 its variation with time or treatments is relatively modest. It is therefore necessary to take a measurement using a technique that is as accurate as possible. Given its precision, MRI is a very useful tool in the diagnosis of hypertrophy as well as in the follow-up of treated patients.
On MRI, LV myocardial volume is derived from the sum of the areas between endocardial and epicardial contours (Figure 1) of the contiguous CINE SA views multiplied by the interslice distance. The myocardial mass (in grams) is the product of this volume by a specific density factor (1.05 g/mL). The reasonably good spatial and temporal resolution, the absence of geometric assumption, and the absence of blind segment support the performance of CMR in assessing key parameters. The LV mass is assessed jointly with end-diastole/end-systole volumes and the LVEF. In recent years, advances in artificial intelligence-based software have effectively improved this previously time-consuming task.
Figure 1.

Short-axis view of the heart at diastole drawn from a CINE-segmented balanced FFE acquisition: artificial intelligence-based contouring of left ventricular endo- (red contour) and epicardium (green contour) and right ventricular endocardium (yellow contour).
A precise evaluation of global LV mass should not preclude segmental measurements of LV myocardial thickness. Although myocardial hypertrophy in the setting of hypertrophic cardiomyopathy (HCM) is defined as an increased myocardial wall thickness, myocardial hypertrophy can also be defined as an increased indexed myocardial mass with (eg, in aortic valve stenosis or hypertension) or without (eg, in dilated cardiomyopathy or valvular regurgitations) increased wall thickness. Increased myocardial thickness may be inferred from measurements performed orthogonally to the myocardium that should be performed manually or automatically on CINE imaging at diastole (Figure 2).
Figure 2.

Focal hypertrophy of the medial anterior septum at 16 mm (green line length) on diastole in a patient with hypertrophic cardiomyopathy.
The segmentation of ventricles on contiguous CINE SA views allows the assessment of end-diastole and end-systole absolute volumes that may be indexed to the patient’s BSA (with caution in obese patients).
The most recent segmentation tools using artificial intelligence allow complete segmentation of the left ventricular endocardium, including all slices and temporal phases, not just systolic and diastolic ones. Automated full segmentation10 should be used in this context since it provides clues for possible DD by generating the LV filling curve (ie, changes in LV volume over time), such as (Figure 3):
Figure 3.
Cardiac magnetic resonance imaging findings and left ventricle volume-time curves in a healthy individual (A) compared to an overweight subject with diastolic dysfunction (B). Note the greater amount of epicardial adipose tissue (orange contour) in patient B, that could participate in diastolic dysfunction. The qualitative analysis of the left ventricle volume-time curves (blue) shows a diastolic dysfunction in patient B, with a decrease of the filling slope (normalised peak filling rate—NPFR, red), an increase of the time-to-peak filling rate (TPFR, green), and an increase of the diastolic volume recovery time (DVR80, dashed line). The NPFR is defined as the maximal slope of Δvolume/Δtime normalised by left ventricle stroke volume. The DVR80 is defined as the proportion of diastolic time necessary to recover 80% of left ventricle stroke volume (the cut-off of 80% recovery of the stroke volume was used based on the literature8).
peak filling rate: maximal slope of LV volume versus time (that can be normalized to stroke volume) reflecting the LV filling rate,
time-to-peak filling rate: time between end-systole and peak filling rate, schematically reflecting the LV filling time,
diastolic volume recovery: proportion of diastolic phases required to recover a given stroke volume, grossly reflecting LV filling before LA contraction.
Although these 3 indices remain quantitative CMR parameters derived from the LV filling curve, they are currently not automatically calculated by standard processing software and are mostly used in research. As of yet, there are no established standardised thresholds for the diagnosis of DD. However, despite this, a quick visual analysis of the LV filling curve can provide a useful estimate of these parameters. Typically, a patient with mild DD will have a reduced peak filling rate, an increased time-to-peak filling rate, and an increased diastolic volume recovery.11 Identification of an early diastolic septal bounce, indicating possible constriction, can be a more trivial feature suggesting DD. This septal bounce can be easily identified on TTE and can prompt CMR to look for constrictive pericardial disease and/or underlying restrictive cardiomyopathy evolution.
Increased LA volume
When confounding factors such as atrial fibrillation and mitral valve disease have been excluded, a dilated LA is a marker of chronic DD1,2 as a result of increased LV filling pressures. By convention, the maximal LA volume or surface should be recorded; hence, it should be taken at the end of LV systole and indexed to the BSA.
At least 3 methods can be used to calculate LA volume;
The most straightforward method consists of measuring the LA area on the CINE 4C view (excluding LA appendage and pulmonary veins). Left atrial planimetry exceeding approximately 30 cm2 in adults indicates LA enlargement.12 This measurement is generally sufficient for patients with a normal-sized LA. However, as optimal positioning of the 4C plane is required to ensure that the maximal LA area is taken, this simple method cannot be recommended to support the diagnosis of diastolic dysfunction and follow-up patients.
-
When a volumetric measurement is required, the biplane area-length method13 can be performed. The LA area is measured in CINE 4C and 2C views. The length of the cavity is also recorded in both planes. The LA volume is derived from the following formula: 0.85 × 4C view area × 2C view area/smallest length. Recent software developments allow for automated measurement of biplanar LA volume (Figure 4). This method is widely adopted. A threshold of LA >34 mL/m2 has been reported as predictive of HF.14
Finally, Simpson method can provide real LA volume and EF based on the same principle as for the LV but requires a more extensive examination of the heart, including atria. Therefore, this can lead to a longer examination time. This technique is not routinely performed, but a LA volume >53 mL/m2 is considered enlarged in adults.12
Figure 4.
An illustration of the bi planar area-length method for assessing the maximal left atrial volume from vertical (A) and horizontal (B) long axis views of the left heart cavities. Blue contour to determine the left atria area on both view, and green line to determine the left atria length.
Abnormal strain
Strain and strain rate are markers of myocardial deformation. Mostly studied by TTE, strain measurements are now readily available on CMR and documented as a result of recently described feature tracking imaging (Figure 5). Feature tracking is much more convenient than the previously used tagging sequences, as results may be obtained from conventional CINE sequences without the need for complex processing tools. Strain techniques can easily be applied to the LV. As recently shown by Erdei et al in patients with hypertensive heart disease,15 impaired LV longitudinal systolic function causes reduced LA filling and emptying, leading to impaired LV filling and DD. Moreover, in the context of DD, LA strain can also be appealing as LA strain abnormalities could precede LA dilatation.16
Figure 5.
Abnormal left ventricular global longitudinal strain (−13.5%) in a patient with cardiac amyloidosis and diastolic dysfunction. Global longitudinal strain curve (B) was derived from endocardial (red) and epicardial (green) contours (A) throughout cardiac cycle.
Myocardial relaxometry
The established T1, T2, and T2* mapping pulse sequences are unique in their ability to characterising myocardial tissue.17 Analysis of T1, T2, and T2* values complemented by clinical information relevant to the patient, ECG, and biochemical results provide insight into the structure of the myocardium. Relaxometry does not per se identify DD but helps approach the diagnosis of any underlying condition which could lead to a restrictive profile.
Measurements of pre- and post-gadolinium T1 values of the myocardium and of the blood pool, in combination with the patient’s haematocrit, allow segmental and global myocardial extra-cellular volume (ECV) calculation (Figure 6), following the equation ECV = (1 − Hemotacrit) × (). Extra-cellular volume mapping provides unique and unbiased information that may orient the diagnosis of patients with DD.
Figure 6.
Myocardial extracellular volume (ECV) map (C) can be derived from native (A) and post-gadolinium (B) T1 mapping values of the myocardium (epicardium outlined in green and endocardium outlined in red, with an offset of 15% to avoid partial volume from bloodpool) and bloodpool (orange ROIs), knowing the patient's haematocrit.
Myocardial oedema has been previously inferred from a high signal on black-blood short-tau inversion recovery (STIR) pulse sequences. In current practice, robust and sensitive T2 mapping sequences tend to replace STIR sequences in the diagnosis and quantification of oedema and inflammation. When myocardial water content increases, native T1 is increased in parallel to the T2 increase, so segmental and global T1 and T2 can be followed up to monitor the treatment of any inflammatory cardiac disease.18
While an increase in T2 is specific to oedema, T1 mapping is much less specific but probably of more interest in the context of chronic DD, especially when values are dramatically abnormal. T1 mapping is increased in many conditions including oedema and inflammation, extracellular deposition disorders (e.g. amyloid), and fibrosis. T1 mapping should therefore be interpreted according to the clinical context and the CMR examination as a whole.
First, native T1 is increased in myocardial fibrosis, a common endpoint of many cardiac diseases including dilated or HCM (Figure 7). Native T1 is a useful adjunct to DE, especially when fibrosis is diffuse. In such cases, DE may be misleading in the absence of normal myocardium for reference.
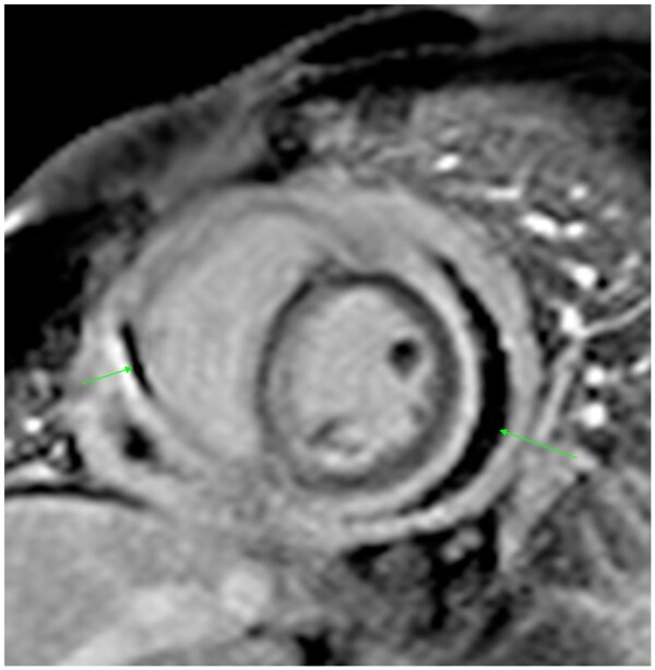
Secondly, native T1 mapping is sensitive in the diagnosis of Fabry cardiomyopathy,19,20 a rare lysosomal disease with glycosphingolipid storage (Figure 8). Septal T1 values are usually decreased in patients with Fabry disease even in patients with advanced forms and lateral-basal fibrosis.21
Finally, CMR is valuable in ruling out cardiac amyloidosis, where protein infiltration generates a diffuse increase of native T1 and ECV (Figure 9).22
Figure 7.

Delayed enhancement short axis view in a 66-year-old male patient with long-standing hypertrophic cardiomyopathy. Note the increased thickness of the septum (here measured 17 mm) and the strong enhancement of both anterior and inferior walls of the left ventricle (green arrows).
Figure 8.
Left ventricular bull’s eye view (American Heart Association [AHA]) of T1 mapping (A) at 1.5 Tesla in a 53 years-old patient with hypertrophy and diastolic dysfunction. T1 values were diffusely decreased (normal local values; 940-1010 ms) to the exception of the basal inferolateral segment (pseudo-normalised T1 due to fibrosis). Delayed enhancement (green arrows) was present in the basal inferolateral segment of the left ventricle (B). Diagnosis of Fabry disease was suggested on cardiac magnetic resonance imaging grounds and later confirmed by biology and genetics.
Figure 9.
Cardiac MRI in a 59-year-old male patient with history of surgery for bilateral carpal tunnel syndrome and complains of dyspnoea on exertion. Echocardiogram showed diastolic dysfunction. CINE bFFE 4-chamber view showing concentric mild LV hypertrophy (A), short-axis showing (C) and 2-chamber view (D) diffuse subendocardial delayed enhancement and left atrium wall delayed enhancement (arrows). Left ventricular bull’s eye view derived from maps from Figure 6 with native T1 maps (B), T1 map post-gadolinium (E) and ECV (F). Maps showed corresponding diffusely increased values of native T1 and ECV with, respectively, global mean of 1166 ms (T1 normal local values; 940-1010 ms) and 51% (upper limit of normal 30%). Final diagnosis was cardiac amyloidosis (TTR).
Typically, end-stage Fabry or amyloidosis will result in restrictive cardiomyopathy, which should not be mistaken for a “simple” evolution of DD. Similarly, iron overload (eg, hemochromatosis) will result in restrictive cardiopathy if not treated, and could be detected as a decrease (typically <10-20 ms) of T2* in mid-septum of LV myocardium. T1 values are also decreased in this condition. Exclusion of such cardiac disorders should precede any hasty conclusion of the progression of DD as treatments are available.
Delayed enhancement
The seminal article by Kim et al23 published in 2000 in the New England Journal of Medicine turned CMR from a research technique into a routine method in cardiology. The injection of a Gadolinium chelate bolus enables sequential T1 shortening of the vascular space and then of the extracellular space. The bolus can be monitored through a first-pass perfusion sequence. It is then followed 10 min later by an inversion recovery heavily T1-weighted sequence aiming at identifying areas of gadolinium retention corresponding to DE. The anatomic location of DE (vascular systematisation, endocardial versus epicardial versus transmural extension, atrial involvement) orients the diagnosis, while the percentage of myocardial extent was shown to correlate with the patient’s outcome in a series of diseases.24,25). Although quantification of the percentage of LGE may have an impact on risk stratification,26,27 visual assessment of LGE is usually preferred in daily practice. One should keep in mind that the extent of myocardial fibrosis is associated with the degree of DD.28
Optional Venc sequences
Transmitral flow can be obtained from a through-plane Venc sequence placed at the apex of the mitral valve29 and using relatively low encoding velocities (80-100 cm/s). The E/A ratio ranges normally from 1 to 2. Relaxation anomaly is present when E < A (Figure 10).2 When E is much superior to A (E/A > 2), a restrictive pattern is present. In some cases, a pseudonormal pattern is observed, and other criteria such as pulmonary vein flow or LA volume should be taken into account1 (Table 1). Of note, if a Venc sequence was not performed to obtain E and A waves, E and A waves can be indirectly obtained by a first derivative of the LV filling curve.11,30 Transmitral flow assessment by CMR shows good agreement with echocardiography assessment.31 New parameters, such as LV blood flow kinetic energy or pulmonary artery pressure, derived from 4D flow imaging show good correlation and even stronger association than the usual 2D metrics.31–33
Figure 10.
Transmitral flow obtained from a through plane velocity encoding sequence set at 80 cm/s in a 62-year-old man. Cine bFFE 4-chamber view in diastole (passive filling phase) showing the positioning of the 2D velocity encoding short-axis plane (A). Short-axis velocity sequence (phase image) at mitral valve maximal opening (B). Resulting transmitral flow (C) showing relaxation impairment (grade I diastolic dysfunction with E < A).
Practical diagnostic approach on CMR to rule out cardiac condition for DD
In this last section, we propose a practical step-by-step approach to performing and reading a CMR examination performed on a patient in whom TTE and/or CMR have demonstrated DD.
Are there signs of diastolic wall motion abnormality?
Although increased myocardium thickness in systole relates to normal contraction of the myocardium, diastolic regional wall motion abnormality may suggest a different diagnosis. Septum is the segment most often involved with diastolic wall motion abnormality, with the traditional description as “septal bounce”. Although subtle septum diastolic wall motion abnormality can be seen in normal, healthy young patients, apart from conduction abnormality (eg, left bundle branch block), right ventricle abnormality should be looked for. Right ventricle overload such as pulmonary hypertension, right-sided valvular regurgitation, or left-to-right shunt, can lead to septal motion abnormality identifiable either in diastole (in case of volume overload) or throughout the cardiac cycle (in case of pressure overload). More rare condition of DD but relatively easily excludable by MRI is chronic constrictive pericarditis. Although TTE is excellent in assessing the presence of pericardial fluid, it is limited in the diagnosis of pericardial thickening. Most CMR pulse sequences (often complemented by non-enhanced ECG-gated CT for the detection of calcifications) are able to depict and measure an abnormally thickened pericardium (>4-5 mm) (Figure 11). In such situations, tubulated ventricles may be present as well as enlarged atria, dilated vena cavae, hepatic veins, and coronary sinuses. Free-breathing real-time CINE sequences are useful to show transient ventricular uncoupling, which predominates on the basal septum and correlates with constriction.34,35 DE sequences can be useful to identify pericardial inflammation.36
Figure 11.

Chronic constrictive pericarditis in a young migrant lady with unproven tuberculosis. Delayed enhancement short-axis view showing a thickened and inflammatory pericardium with a small amount of pericardial fluid (green arrow).
Is LV hypertrophy present?
Rule out differential diagnosis
The primary role of CMR is to rule out cases of false hypertrophy. The most common situation is that of a suspicion of apical HCM on TTE. As the apex of the LV is challenging to assess on non-enhanced TTE, some of those patients will be found on CINE MRI sequences to have LV hypertrabeculation. Even if the distinction between left ventricular non-compaction and HCM remains somewhat unclear and debated, the spatial resolution provided by CINE sequences is useful in helping to distinguish them from the other. Inappropriate inclusion of the basal septo-marginal trabeculation in the myocardium could also lead to the wrong diagnosis of hypertrophy. A less common situation is represented by patients with hypereosinophilia in whom the diagnosis of endomyocardial fibrosis can be drawn from CMR showing subendocardial DE and adjacent thrombus in the LV apex or even of both ventricular apices (bi apical filling).
Symmetric hypertrophy
In cases of diffuse hypertrophy, increased afterload conditions (including frequent ones such as systemic hypertension and severe aortic stenosis, or rarer conditions such as aortic coarctation) have to be thought of first. Then, cardiac amyloidosis and, less frequently, Fabry disease should be ruled out; in those two situations, T1 mapping and DE are key sequences as stated above. Symmetric hypertrophy can occur in athletes; CMR is useful in this situation, showing homogeneously dilated cardiac cavities, reduced EF at rest, and often low ECV values associated with myocytic hypertrophy. DE is generally absent. Improvements in cardiac findings are usually seen after deconditioning.
Asymmetric hypertrophy
Ischaemic cardiomyopathy is a frequent cause of relative asymmetric hypertrophy. Although rarely exceeding 12-15 mm, hypertrophy involves the viable segments, remotely from infarcted ones that are usually thinned. The association of CINE sequences and DE were shown to be efficient in differentiating non-ischaemic from ischaemic cardiomyopathy in patients with HF.
Segmental hypertrophy is a frequent situation in moderate forms of HCM. Its location and extent should be precisely described (basal septal is frequent in the case of sarcomeric HCM) as well as its functional consequences, which may include systolic anterior motion of the mitral valve, mitral regurgitation, and accelerated sub-aortic flow. DE should be performed, as it has been shown to correlate with adverse events. In their study25 involving patients with HCM and preserved EF, Mentias et al showed that a mass portion of myocardium showing DE superior to 15% was associated with an increased risk of events including sudden death and therefore implantation of cardioverter-defibrillator is appropriate.
Is there myocardial oedema?
Myocardial inflammation is not specific to acute conditions; it may be present in chronic cardiac diseases and could provide the “substrate” for fibrosis. As an example, in the context of Fabry disease, Augusto et al37 have shown that segmental T2 values were globally increased, corresponding to the presence of oedema, in patients with DE of the LV basal inferolateral segment, a marker of fibrosis.
Are there any arguments in favour of fibrosis?
The diagnosis of fibrosis should be raised with caution as it carries a poor prognosis. Delayed enhancement is the key sequence and most commonly correlates with fibrosis. Delayed enhancement presents when fibrotic and non-fibrotic segments are adjacent. Protein infiltration in cases of cardiac amyloidosis can lead to DE, the extent of which is associated with the risk of all-cause mortality.38 In cardiac amyloidosis, diffuse increased values of T1 and ECV and a reduced TI scouting time support the diagnosis, with sometimes the inability to find an adequate nulling time due to a lack of normal myocardium.
More generally, when diffuse fibrosis is present, DE may not be visible. In such situations, the diagnosis may be drawn from the association between increased T1 and ECV values and normal T2, while increased T1, ECV, and T2 may represent edema.
Cardiac MR changes in DD secondary to the patient’s status
When no specific cardiac condition is identified as responsible for the DD, the patient’s risk factors and comorbidities are the most common cause, namely hypertension, diabetes mellitus, obesity, and age. Most common and easily identifiable change is myocardial hypertrophy in hypertensive patients. In addition to typical circumferential hypertrophy and without the phenotypic features of sarcomeric HCM, left ventricle strain abnormality can be seen in hypertensive patients and is a driver of LA alteration.15 All causes of myocardial hypertrophy can lead to increased myocardial stiffness that can be assessed with a dedicated elastography sequence.39 Ultimately, because of interstitial myocardial fibrosis, increased native T1 values and DE can be seen in hypertensive patients. Because hypertension, just like obesity and diabetes mellitus, plays a role in coronary microvascular dysfunction,40 perfusion defects can be identified on stress CMR in those comorbid patients as a circumferential subendocardial defect.41 This visual assessment can be performed in daily practice, but myocardial blood flow and myocardial perfusion reserve can also be quantified by signal intensity analysis between rest and stress perfusion.42
Conclusion
The diagnosis of diastolic dysfunction is mainly based on trans-thoracic echocardiography findings. The role of CMR is complementary to TTE as it may help to identify the underlying cause based on tissue characterisation and support a comprehensive diagnosis of patients with diastolic dysfunction.
Contributor Information
Farah Cadour, Cardiac Imaging Unit, Department of Radiology, University Hospital of Rouen, Rouen 76000, France; UNIROUEN, Inserm U1096, UFR Médecine Pharmacie, Rouen 76000, France.
Adrien Cour, Cardiac Imaging Unit, Department of Radiology, University Hospital of Rouen, Rouen 76000, France.
Jules Senlis, Cardiac Imaging Unit, Department of Radiology, University Hospital of Rouen, Rouen 76000, France.
Stanislas Rapacchi, Aix-Marseille University, CNRS, CRMBM, Marseille 13005, France; APHM, CHU Timone, CEMEREM, Marseille 13005, France.
Hajer Chennoufi, Cardiac Imaging Unit, Department of Radiology, University Hospital of Rouen, Rouen 76000, France.
Paul Michelin, Cardiac Imaging Unit, Department of Radiology, University Hospital of Rouen, Rouen 76000, France.
Colin McQuade, Department of Medical Imaging, University Medical Imaging Toronto, Toronto General Hospital, University Health Network, University of Toronto, Toronto, ON M5G 2N2, Canada.
Matthieu Demeyere, Cardiac Imaging Unit, Department of Radiology, University Hospital of Rouen, Rouen 76000, France.
Jean-Nicolas Dacher, Cardiac Imaging Unit, Department of Radiology, University Hospital of Rouen, Rouen 76000, France; UNIROUEN, Inserm U1096, UFR Médecine Pharmacie, Rouen 76000, France.
Funding
None declared.
Conflicts of interest
None declared.
References
- 1. Caudron J, Fares J, Bauer F, Dacher JN. Evaluation of left ventricular diastolic function with cardiac MR imaging. Radiographics. 2011;31(1):239-259. [DOI] [PubMed] [Google Scholar]
- 2. Jeong EM, Dudley SC. Diastolic dysfunction. Circ J. 2015;79(3):470-477. [DOI] [PMC free article] [PubMed] [Google Scholar]
- 3. Kuznetsova T, Herbots L, López B, et al. Prevalence of left ventricular diastolic dysfunction in a general population. Circ Heart Fail. 2009;2(2):105-112. [DOI] [PubMed] [Google Scholar]
- 4. Writing Committee Members, ACC/AHA Joint Committee Members. 2022 AHA/ACC/HFSA guideline for the management of heart failure. J Card Fail. 2022;28(5):e1-167. [DOI] [PubMed] [Google Scholar]
- 5. Owan TE, Hodge DO, Herges RM, Jacobsen SJ, Roger VL, Redfield MM. Trends in prevalence and outcome of heart failure with preserved ejection fraction. N Engl J Med. 2006;355(3):251-259. [DOI] [PubMed] [Google Scholar]
- 6. Mitter SS, Shah SJ, Thomas JD. A test in context: E/A and E/e’ to assess diastolic dysfunction and LV filling pressure. J Am Coll Cardiol. 2017;69(11):1451-1464. [DOI] [PubMed] [Google Scholar]
- 7. Raman SV, Markl M, Patel AR, et al. 30-minute CMR for common clinical indications: a Society for Cardiovascular Magnetic Resonance white paper. J Cardiovasc Magn Reson. 2022;24(1):13. [DOI] [PMC free article] [PubMed] [Google Scholar]
- 8. Kramer CM, Barkhausen J, Bucciarelli-Ducci C, Flamm SD, Kim RJ, Nagel E. Standardized cardiovascular magnetic resonance imaging (CMR) protocols: 2020 update. J Cardiovasc Magn Reson. 2020;22(1):17. [DOI] [PMC free article] [PubMed] [Google Scholar]
- 9. Chamsi-Pasha MA, Zhan Y, Debs D, Shah DJ. CMR in the evaluation of diastolic dysfunction and phenotyping of HFpEF: current role and future perspectives. JACC Cardiovasc Imaging. 2020;13(1 Pt 2):283-296. [DOI] [PubMed] [Google Scholar]
- 10. Armstrong AC, Gidding S, Gjesdal O, Wu C, Bluemke DA, Lima JAC. LV mass assessed by echocardiography and CMR, cardiovascular outcomes, and medical practice. JACC Cardiovasc Imaging. 2012;5(8):837-848. [DOI] [PMC free article] [PubMed] [Google Scholar]
- 11. Kawaji K, Codella NCF, Prince MR, et al. Automated segmentation of routine clinical cardiac magnetic resonance imaging for assessment of left ventricular diastolic dysfunction. Circ Cardiovasc Imaging. 2009;2(6):476-484. [DOI] [PubMed] [Google Scholar]
- 12. Petersen SE, Khanji MY, Plein S, Lancellotti P, Bucciarelli-Ducci C. European Association of Cardiovascular Imaging expert consensus paper: a comprehensive review of cardiovascular magnetic resonance normal values of cardiac chamber size and aortic root in adults and recommendations for grading severity. Eur Heart J Cardiovasc Imaging. 2019;20(12):1321-1331. [DOI] [PubMed] [Google Scholar]
- 13. Nacif MS, Barranhas AD, Türkbey E, et al. Left atrial volume quantification using cardiac MRI in atrial fibrillation: comparison of the Simpson’s method with biplane area-length, ellipse, and three-dimensional methods. Diagn Interv Radiol. 2013;19(3):213-220. [DOI] [PubMed] [Google Scholar]
- 14. Abhayaratna WP, Seward JB, Appleton CP, et al. Left atrial size: physiologic determinants and clinical applications. J Am Coll Cardiol. 2006;47(12):2357-2363. [DOI] [PubMed] [Google Scholar]
- 15. Erdei T, Rodrigues JCL, Hartley-Davies R, et al. The effect of left ventricular longitudinal strain on left atrial function and ventricular filling in hypertension. Clin Radiol. 2022;77(5):e379-e386. [DOI] [PubMed] [Google Scholar]
- 16. Cau R, Bassareo P, Suri JS, Pontone G, Saba L. The emerging role of atrial strain assessed by cardiac MRI in different cardiovascular settings: an up-to-date review. Eur Radiol. 2022;32(7):4384-4394. [DOI] [PMC free article] [PubMed] [Google Scholar]
- 17. Messroghli DR, Moon JC, Ferreira VM, et al. Clinical recommendations for cardiovascular magnetic resonance mapping of T1, T2, T2* and extracellular volume: a consensus statement by the Society for Cardiovascular Magnetic Resonance (SCMR) endorsed by the European Association for Cardiovascular Imaging (EACVI). J Cardiovasc Magn Reson. 2017;19(1):75. [DOI] [PMC free article] [PubMed] [Google Scholar]
- 18. Bohnen S, Radunski UK, Lund GK, et al. Tissue characterization by T1 and T2 mapping cardiovascular magnetic resonance imaging to monitor myocardial inflammation in healing myocarditis. Eur Heart J Cardiovasc Imaging. 2017;18(7):744-751. [DOI] [PubMed] [Google Scholar]
- 19. Deborde E, Dubourg B, Bejar S, et al. Differentiation between Fabry disease and hypertrophic cardiomyopathy with cardiac T1 mapping. Diagn Interv Imaging. 2020;101(2):59-67. [DOI] [PubMed] [Google Scholar]
- 20. Sado DM, White SK, Piechnik SK, et al. Identification and assessment of Anderson-Fabry disease by cardiovascular magnetic resonance noncontrast myocardial T1 mapping. Circ Cardiovasc Imaging. 2013;6(3):392-398. [DOI] [PubMed] [Google Scholar]
- 21. Soulat G, Dacher JN. Fatty infiltration of inferolateral left ventricular wall in Fabry disease. Eur Heart J. 2023;44(9):781. [DOI] [PubMed] [Google Scholar]
- 22. Fontana M, Ćorović A, Scully P, Moon JC. Myocardial amyloidosis: the exemplar interstitial disease. JACC Cardiovasc Imaging. 2019;12(11 Pt 2):2345-2356. [DOI] [PubMed] [Google Scholar]
- 23. Kim RJ, Wu E, Rafael A, et al. The use of contrast-enhanced magnetic resonance imaging to identify reversible myocardial dysfunction. N Engl J Med. 2000;343(20):1445-1453. [DOI] [PubMed] [Google Scholar]
- 24. Hanneman K, Karur GR, Wasim S, Wald RM, Iwanochko RM, Morel CF. Left ventricular hypertrophy and late gadolinium enhancement at cardiac MRI are associated with adverse cardiac events in Fabry Disease. Radiology. 2020;294(1):42-49. [DOI] [PubMed] [Google Scholar]
- 25. Mentias A, Raeisi-Giglou P, Smedira NG, et al. Late gadolinium enhancement in patients with hypertrophic cardiomyopathy and preserved systolic function. J Am Coll Cardiol. 2018;72(8):857-870. [DOI] [PubMed] [Google Scholar]
- 26. Ommen SR, Mital S, Burke MA, et al. AHA/ACC Guideline for the diagnosis and treatment of patients with hypertrophic cardiomyopathy: a report of the American College of Cardiology/American Heart Association Joint Committee on clinical practice guidelines. Circulation. 2020;142(25):e558-631. [DOI] [PubMed] [Google Scholar]
- 27. Kiaos A, Daskalopoulos GN, Kamperidis V, Ziakas A, Efthimiadis G, Karamitsos TD. Quantitative Late gadolinium enhancement cardiac magnetic resonance and sudden death in hypertrophic cardiomyopathy: a meta-analysis. JACC Cardiovasc Imaging. 2023;S1936-878X(23)00346-7. [DOI] [PubMed] [Google Scholar]
- 28. Moreo A, Ambrosio G, De Chiara B, et al. Influence of myocardial fibrosis on left ventricular diastolic function: non-invasive assessment by CMR and ECHO. Circ Cardiovasc Imaging. 2009;2(6):437-443. [DOI] [PMC free article] [PubMed] [Google Scholar]
- 29. Rathi VK, Doyle M, Yamrozik J, et al. Routine evaluation of left ventricular diastolic function by cardiovascular magnetic resonance: a practical approach. J Cardiovasc Magn Reson. 2008;10(1):36. [DOI] [PMC free article] [PubMed] [Google Scholar]
- 30. Nacif MS, Almeida ALC, Young AA, et al. Three-dimensional volumetric assessment of diastolic function by cardiac magnetic resonance imaging: the Multi-Ethnic Study of Atherosclerosis (MESA). Arq Bras Cardiol. 2017;108(6):552-563. [DOI] [PMC free article] [PubMed] [Google Scholar]
- 31. Ramos JG, Fyrdahl A, Wieslander B, et al. Comprehensive cardiovascular magnetic resonance diastolic dysfunction grading shows very good agreement compared with echocardiography. JACC Cardiovasc Imaging. 2020;13(12):2530-2542. [DOI] [PubMed] [Google Scholar]
- 32. Crandon S, Westenberg JJM, Swoboda PP, et al. Impact of age and diastolic function on novel, 4D flow CMR biomarkers of left ventricular blood flow kinetic energy. Sci Rep. 2018;8(1):14436. [DOI] [PMC free article] [PubMed] [Google Scholar]
- 33. Ashkir Z, Myerson S, Neubauer S, Carlhäll CJ, Ebbers T, Raman B. Four-dimensional flow cardiac magnetic resonance assessment of left ventricular diastolic function. Front Cardiovasc Med. 2022;9:866131. [DOI] [PMC free article] [PubMed] [Google Scholar]
- 34. Francone M, Dymarkowski S, Kalantzi M, Rademakers FE, Bogaert J. Assessment of ventricular coupling with real-time cine MRI and its value to differentiate constrictive pericarditis from restrictive cardiomyopathy. Eur Radiol. 2006;16(4):944-951. [DOI] [PubMed] [Google Scholar]
- 35. Bogaert J, Francone M. Pericardial disease: value of CT and MR imaging. Radiology. 2013;267(2):340-356. [DOI] [PubMed] [Google Scholar]
- 36. Cremer PC, Tariq MU, Karwa A, et al. Quantitative assessment of pericardial delayed hyperenhancement predicts clinical improvement in patients with constrictive pericarditis treated with anti-inflammatory therapy. Circ Cardiovasc Imaging. 2015;8(5):e003125. [DOI] [PubMed] [Google Scholar]
- 37. Augusto JB, Nordin S, Vijapurapu R, et al. Myocardial edema, myocyte injury, and disease severity in Fabry disease. Circ Cardiovasc Imaging. 2020;13(3):e010171. [DOI] [PubMed] [Google Scholar]
- 38. Raina S, Lensing SY, Nairooz RS, et al. Prognostic value of late gadolinium enhancement CMR in systemic amyloidosis. JACC Cardiovasc Imaging. 2016;9(11):1267-1277. [DOI] [PubMed] [Google Scholar]
- 39. Burnhope E, Polcaro A, Runge JH, et al. Assessment of myocardial stiffness in patients with left ventricular hypertrophy: CMR elastography using intrinsic actuation. JACC Cardiovasc Imaging. 2022;15(6):1163-1165. [DOI] [PubMed] [Google Scholar]
- 40. Del Buono MG, Montone RA, Camilli M, et al. Coronary microvascular dysfunction across the spectrum of cardiovascular diseases: JACC state-of-the-art review. J Am Coll Cardiol. 2021;78(13):1352-1371. [DOI] [PMC free article] [PubMed] [Google Scholar]
- 41. Gerber BL, Raman SV, Nayak K, et al. Myocardial first-pass perfusion cardiovascular magnetic resonance: history, theory, and current state of the art. J Cardiovasc Magn Reson. 2008;10(1):18. [DOI] [PMC free article] [PubMed] [Google Scholar]
- 42. Sørensen MH, Bojer AS, Pontoppidan JRN, et al. Reduced myocardial perfusion reserve in type 2 diabetes is caused by increased perfusion at rest and decreased maximal perfusion during stress. Diabetes Care. 2020;43(6):1285-1292. [DOI] [PubMed] [Google Scholar]







