Abstract
Background
Although microvascular dysfunction is a widespread phenomenon in type 2 diabetes (T2D) and is recognized as a main cause of T2D-aggravated ischemic stroke injury, the underlying mechanisms by which T2D-mediated exacerbation of cerebral damage after ischemic stroke is still largely uncharacterized. Here, we found that methylglyoxal-mediated miR-148a-3p decline can trigger blood-brain barrier dysfunction, thereby exacerbating cerebrovascular injury in diabetic stroke.
Methods
Using T2D models generated with streptozotocin plus a high-fat diet or db/db mice, and then inducing focal ischemic stroke through middle cerebral artery occlusion and reperfusion (MCAO/R), we established a diabetic stroke mouse model. RNA-sequencing was applied to identify the differentially expressed miRNAs in peri-cerebral infarction of diabetic stroke mice. RT-qPCR confirmed the potential miRNA in the plasma of ischemic stroke patients with or without T2D. Fluorescence in situ hybridization was used to image the localization of the miRNA. Brain pathology was analyzed using magnetic resonance imaging, laser-Doppler flowmetry, and transmission electron microscope in diabetic stroke mice. Immunofluorescence and immunoblotting were performed to elucidate the molecular mechanisms.
Results
miR-148a-3p level was downregulated in the peri-infarct cortex of stroke mice and this downregulation was even more enhanced in diabetic stroke mice. A similar decrease in miR-148a-3p expression was also confirmed in the plasma of ischemic stroke patients with T2D compared to patients with ischemic stroke only. This miR-148a-3p downregulation intensified the severity of BBB damage, infarct size, and neurological function impairment caused by stroke. Notably, the reduction in miR-148a-3p levels was primarily triggered by methylglyoxal, a toxic byproduct of glucose metabolism commonly associated with T2D. Furthermore, methylglyoxal somewhat replicated the influence of T2D in exacerbating BBB damage and increasing infarct size caused by ischemia. Mechanistically, we found that downregulation of miR-148a-3p de-repressed SMAD2 and activated matrix metalloproteinase 9 signaling pathway, promoting blood-brain barrier impairment, and exacerbating the cerebral ischemic injury.
Conclusions
Blood-brain barrier damage caused by methylglyoxal-mediated miR-148a-3p downregulation may provide a novel target for the therapeutic intervention for the treatment of stroke patients with diabetes.
Supplementary Information
The online version contains supplementary material available at 10.1186/s12916-024-03768-3.
Keywords: Diabetic stroke, Blood-brain barrier, Methylglyoxal, MiR-148a-3p, SMAD2
Background
Diabetes is a well-known independent risk factor and is associated with poorer long-term outcomes after ischemic stroke (IS) [1]. Diabetic hyperglycemia impairs glucose metabolism and causes vascular lesions that make it challenging to manage brain injury after IS [2]. Although the pathological role of microvascular injury in diabetic complications remains unclear, accumulating evidence has suggested that microvascular dysfunction is one of the key underlying mechanisms by which diabetic hyperglycemia induces greater cerebral injury after IS [3]. In addition, preclinical and clinical studies have revealed that aggressive blood glucose control might be an effective way to reduce the risk of initial stroke as well as its prognosis [4, 5]. However, the mechanistic role of diabetic hyperglycemia in the aggravation of central nervous system (CNS) injury after IS has not been fully elucidated.
The blood-brain barrier (BBB) is crucial for controlling the entry of materials from the peripheral circulation into the CNS for maintaining its metabolic homeostasis. As such, prolonged diabetes-induced dysfunction of BBB can exacerbate CNS damage after stroke [3, 6]. It has been proposed that BBB could be a target for therapeutic agents in stroke patients with diabetes [7]. BBB dysfunction is not simply a complication of brain damage, but may also be the cause of CNS deterioration. In diabetic stroke, hyperglycemia and glucose metabolite are thought to cause the loss of tight junction proteins (TJs) and vascular inflammation [8]. This process heightens the risk of atherothrombotic stroke by facilitating the advancement of atherosclerotic plaques [9] and exacerbating cerebral damage subsequent to the stroke [10]. Methylglyoxal (MG), a major by-product of glycolysis, is increased in diabetic hyperglycemia [11]. This increase in MG levels specifically targets vascular endothelial cells [12], leading to excessive oxidative stress and dysfunction of fibrinolysis within the BBB [13]. As a result, this process leads to the disruption of TJs and an increase in the hyperpermeability of the endothelial barrier [14]. Long-term diabetic hyperglycemia induces elastin degradation and oxidation-modified collagen deposition in the extracellular matrix (ECM), which triggers vascular fibrosis, enhances vascular permeability, and exacerbates CNS deterioration [6]. These events can be attributed to the activation of matrix metalloproteinases (MMPs) involved in ECM degradation and chronic inflammation, resulting in TJs depolarization and the loss of the anchor site of cellular elements in BBB [15]. Our previous studies have revealed that circ-FoxO3 maintains BBB integrity and reduces the risk of bleeding by inducing autophagy to block TJs depolarization [16, 17]. Additionally, we found that MG scavengers could ameliorate vascular damage, attenuate ROS accumulation, and reduce the apoptosis of cerebrovascular endothelial cells in diabetic stroke models [18]. These studies suggest that therapeutic intervention of BBB damage might contribute to the reduction of cerebrovascular injury in IS patients with type 2 diabetes (T2D). However, the mechanism underpinning BBB breakdown in the pathological progress of diabetic stroke is still largely unknown.
MicroRNA (miRNA), a class of endogenous non-coding short single-stranded RNA with a length of about 20 nucleotides, plays a pivotal role in biological functions and diseases by directly binding to the target genes and regulating their expression. Evidence suggests that miR-126 is involved in neurovascular protection by inhibiting the transcription of inflammatory genes during stroke [19, 20], suggesting that clinical miRNA application might be an effective therapeutics in brain diseases, including diabetic stroke [21, 22].
In this study, we identified that miR-148a-3p was the unique miRNA in the peri-infarct cortex that was downregulated in the stroke model and further decreased in the subsequent diabetic stroke model. In addition, the downregulation of miR-148a-3p could be largely caused by MG which exacerbated BBB damage by activating the SMAD2-MMP9 signaling pathway, resulting in aggravated cerebral ischemic injury. These results provided a novel insight into the mechanistic role of mi-148a-3p in diabetes-exacerbated ischemic damage after stroke and identified potential therapeutic targets for IS patients with T2D.
Methods
Blood from patients
Full ethical approval for this study was obtained from the Medical Ethics Committee of the First Affiliated Hospital of Jinan University (KY-2023–251). Individuals who have been diagnosed with acute IS are referred to as patients with IS. Patients with glycosylated hemoglobin A1c greater than or equal to 6.5% are defined as T2D patients. The IS patients with T2D are those individuals who have been diagnosed with T2D and are currently going through their confirmed diagnosis of IS. Blood samples were taken when the patients arrived at our hospital. Magnetic resonance imaging (MRI) scans were performed on patients with IS before undergoing endovascular therapy. n (IS patients with T2D) = 19 with 11 females and 8 males. n (IS patients without T2D) = 28 with 12 females and 16 males. The IS patients were onset within 24 h and aged from 35 to 59 years. Blood donations from volunteers with no cardio-cerebrovascular diseases and diabetes were used as controls. n (control) = 16 with 9 females and 7 males. Age: 41–55 years. The demographic and clinical characteristics of participants were presented in Additional file 1: Table S1.
Diabetic stroke mice model
All animal protocols were approved by the Institutional Animal Care and Use Committee of Jinan University (IACUC-20220825–05). Mice (C57BL/6 J, male, 22–25 g) were purchased from Vital River in Guangzhou and were given a high-fat diet (HFD, 60% of calories from fat) for 6 weeks. At the 5 weeks of HFD feeding, the mice were daily conducted with an intraperitoneal injection of streptozotocin (STZ; Solarbio, 45 mg/kg) for 1 week. The blood glucose of mice was recorded during the period. Additionally, db/db mice and their corresponding control db/m mice (male) were obtained from Changzhou Cavins Laboratory Animal Co., LTD, and were utilized as a T2D model in the present study. After diabetes model mice generation, the mice underwent middle cerebral artery occlusion (MCAO) for 1 h and reperfusion (R) for 24 h as described in our previous report [16]. To construct (MG and MCAO/R)-mediated diabetic stroke, mice were intraperitoneally injected with MG (M0252, Sigma-Aldrich, 50 mg/kg) daily for 1 month, followed by MCAO for 1 h and reperfusion for 24 h. MG in blood and peri-infarct cortex was detected by an ELISA kit (ELK Biotechnology, China) following its instructions. For neutralization of MG, aminoguanidine (AG, 1937-19-5, Sigma) was intraperitoneally injected daily at 15 mg/kg for 1 week. For analysis of sex differences in the presentation of stroke and diabetes, we used both female and male mice to compare levels of miR-148-3p between MCAO/R and HFD/STZ mice.
Neurobehavioral assessment
The Zea-Longa scoring system is employed in this study to assess neurological function in animals [23]. The operating procedures and recording parameters of the corner test refer to the methods described in previous study [24]. In the corner test, mice were positioned 12 cm away from the corner so that their whiskers made simultaneous contact with the plates on both sides of their faces while navigating around the corner. To exit the corner, the mice would either turn left (L) or right (R). This process was repeated 10 times with a minimum interval of 30 s between trials. The percentage of left turns was calculated using the formula: Corner turn score (%) = [(R) / (R + L)] × 100%.
MRI for mice
Under anesthesia with 2% isoflurane through a nose cone, the mice performed MIR with a 9.4 Tesla small-animal MRI scanner (Bruker PharmaScan). T2-weighted image was used to assess the infarct volume [25]. Parameters of T2WI: visual field = 26 × 26 mm; matrix = 256 × 256; section thickness = 0.5 mm; repeat time (TR) = 4600 ms; echo time (TE) = 34 ms. The body temperature and respiratory rate of mice were maintained during the scanning.
Small RNA screening
The miRNA in the peri-infarct cortex from the groups of control, MCAO/R, and HFD/STZ + MCAO/R were screened and analyzed by Personalbio Technology Co., Ltd. (Shanghai, China). In brief, the total RNA of each sample was extracted using a miRNeasy mini kit. Small RNA libraries were prepared using the truSeq small RNA sample prep kit for Illumina and then scanned on the Illumina HiSeq X ten platform. miRNA expression analysis was performed using miRDeep2.
Fluorescence in situ hybridization (FISH)
Tissue sections were sequentially washed twice with DEPC, then fixed with 4% paraformaldehyde (PFA) for 15 min. After proteinase K (1 μg/mL in PBS) treatment for 10 min at 37 °C, the sections were incubated with 0.25% PBS-Triton solution for 20 min. The hybridization solution (Thermo Fisher Scientific, AM8670) was prepared and dropped onto the sections for 1 h prehybridization at 37 °C. Then, the prehybridization solution was decanted, the hybridization solution containing the Cy3-labeled miR-148a-3p probe (50 nmol/L; synthesized by GenePharma Co., Ltd) was added to the sections, and the hybridization was carried out in an incubator at 42 °C overnight. Next, the hybridization solution was washed off, followed by 2 × SSC at 37 °C for 10 min, 1 × SSC at 37 °C for 2 × 5 min, and 0.5 × SSC at room temperature for 10 min. After that, samples were incubated with an anti-CD31 antibody (Invitrogen, 14-0311-82), Alex Fluor 488-conjugated goat anti-mouse (Jackson Laboratory, 115-095-003), and DAPI. Finally, images were captured using a microscope.
Intracerebroventricular injection
According to our previous description [17], the Cy3-labeled agomiR-148a-3p or negative control (1 µM; RiboBio) was injected into the mice left lateral ventricle using a stereotaxic device (NanojectIII, Drummond) under the following microinjection coordinates (relative to bregma): anteroposterior, - 1.2 mm; lateral, 1.2 mm; and ventral, 2.1 mm. The injections of agomir (Additional file 1: Table S2) were performed 3 days before MCAO.
TTC staining
The 2-mm-thick mice brain slices were incubated in the 2% 2,3,5-triphenyl tetrazolium chloride (TTC) saline solution at 37 °C for 15 min. Next, the brain slices were dripped in a 4% PFA solution at 4 °C for 10 min and then imaged.
Brain edema measurement
The left hemispheres of mice were harvested at 24 h after MCAO/R, which were immediately weighed to obtain the wet weight. Next, after drying in an oven at 105 °C for 24 h, they were weighed again to obtain the dry weight. The percentage of water content was calculated: ([wet weight − dry weight]/wet weight) × 100%.
Measurement of BBB leakage
Paracellular permeability, reflecting the barrier property of the BBB, was measured in vivo and in vitro. C57BL/6 J mice (male) were used to conduct Evans blue extravasation to assess cerebrovascular integrity. Briefly, Evans blue dye (2% in saline, 4 mL/kg) was injected into the lateral tail vein. After circulating for 20 min, the mice were anesthetized with isopentane and sequentially perfused through the left ventricle with ice-cold saline and 4% PFA. Subsequently, the brains were harvested to visualize the extravasation of Evans blue.
To quantify the extravasated Evans blue, brain tissues containing the dye were homogenized in 1000 mL of PBS and then centrifuged for 30 min at 15,000 × g to collect the supernatant. The supernatant was mixed with 500 µL of 50% trichloroacetic acid and incubated at 4 °C for 12 h. After centrifugation (15,000 × g) for 30 min at 4 °C, the supernatant was collected for measurement using a spectrophotometer (Thermo Fisher Scientific, 3020) at 610 nm. The paracellular permeability of the endothelial monolayer of bEnd.3 or HBMEC (purchased from Shanghai Bioleaf Biotech Co., Ltd) was evaluated based on our previous study [17].
Immunofluorescence (IF) staining and immunoblotting
The microvessel density of mice brain was analyzed by IF staining. The antibodies include CD31 (Invitrogen, 14-0311-82) and the second antibody (Alex Fluor 488-conjugated goat anti-mouse IgG, Abcam). For analysis of the IgG extravascular deposits, the antibodies include CD31 (Invitrogen, 14-0311-82), biotin-rabbit anti-mouse IgG (Solarbio, K1031R-Bio), Alex Fluor 488-conjugated goat anti-mouse IgG, and SAlexa Fluor 555-labeled streptavidin. The localization and expression of CLDN5 (Invitrogen, 35-2500) and ZO-1 (Invitrogen, 40-2200) in the monolayers of BMECs (brain microvascular endothelial cells) were imaged by using a STELLARIS 8 confocal microscope (Leica, Germany). For immunoblotting, the peri-infarction cortex and BMECs were homogenized in a RIPA buffer mixed with a protease inhibitor (Beibo, China), and ultrasonic extraction was performed under precooling conditions. Equal amounts of protein measured by BCA assays were separated by dodecyl sulfate-polyacrylamide gel electrophoresis and subsequently transferred to polyvinylidene fluoride membranes (Millipore, ISEQ00010). Next, the membranes were blocked and incubated in primary antibodies (anti-ZO-1, Invitrogen, 40-2200; anti-OCLN (occludin), Invitrogen, 33-1500; anti-CLDN5, Invitrogen, 35-2500; anti-MMP9, Cell Signaling Technology, 13,667; anti-SMAD2, Cell Signaling Technology, 5339; anti-pSMAD2, Affinity, AF3449; anti-IgG, Servicebio, GB111738-100) overnight at 4 °C, and subsequently with horseradish peroxidase-conjugated secondary antibody. Western blot bands were imaged using the Gel-Imaging System (Tanon 4600, Shanghai, China).
Transmission electron microscope (TEM)
Vascular structures in the peripheral area of cerebral infarction were imaged by TEM as described in our previous study [17]. In brief, the specimens were fixed with 2.5% glutaraldehyde and 1% osmium tetroxide in 0.2 mol/L sodium phosphate buffer for 12 h. Following dehydration in increasing concentrations of ethanol (50%, 75%, 95%), the samples were sliced into 70-nm-thick sections and stained with uranyl acetate and lead citrate. The autophagic vacuoles were visualized using an electron microscope (Thermo Fisher, TECNAI G2 Spirit TWIN).
Cell culture and treatment
The oxygen-glucose deprivation/reoxygenation (OGD/R) model was established in the confluent monolayer of BMECs (HBMEC and bEnd.3). Briefly, the DMEM medium without serum and glucose was added to the cells and placed in a three-gas incubator (0.1% O2, 5% CO2, and 95% N2) for 4 h. Then, the medium was replaced with normal DMEM (10% fetal bovine serum) for 24 h culture in a humidified incubator (5% CO2, 95% air, and 37 °C). To investigate whether MG directly influences the levels of miR-148a-3p in BMECs, a monolayer of BMECs was exposed to MG (1 mmol/L) for 24 h with or without prior exposure to AG (2 mmol/L) for 48 h. Following these treatments, the levels of miR-148a-3p were quantified using qPCR. To simulate the BBB damage suffered from diabetic stroke in vitro, the BMECs were first treated with MG (1 mmol/L) for 24 h before establishing the OGD/R model. The mimic and inhibitor (50 nmol/L; RiboBio) of the miR-148a-3p were transfected into the cells according to the manufacturer’s instructions. The small interfering RNA (siRNA; Additional file 1: Table S3) and plasmid (Additional file 2: Fig. S1A and B) of SMAD2 were served by GenPharma Co., Ltd (Shanghai, China) and were transfected into BMECs to either reduce or enhance SMAD2 expression.
Dual-luciferase reporter gene assay
Dual-luciferase reporter gene assay was applied to analyze the binding size between miR-148a-3p and SMAD2. In brief, the HEK-293 T cells were co-transfected with miR-148a-3p mimics/NC and SMAD2 wild-type 3′ untranslated regions (UTR) or mutant 3′ UTR (RiboBio Co., Ltd.) for 48 h. The cells were harvested, lysed, and centrifuged at 12,000 rpm. Next, luciferase activity was measured by a spectrophotometer following the manual of the Dual-Luciferase Reporter Gene Assay kit (Promega Dual-Luciferase system).
RT-qPCR
The total RNA from BMECs and brain tissues was extracted by Trizol reagent and was checked by Thermo Scientific NanoDrop 2000C. The obtained RNAs were reverse-transcribed into cDNAs (Mir-X miRNA First-Strand Synthesis Kit, Takara) in accordance with the manufacturer’s instructions, and the PCR (Mir-X miRNA qRT-PCR TB Green® Kit, Takara) were subsequently proceeded in the Bio-Rad CFX96 TouchTM system. Using the comparative CT method (2−ΔΔCT), genes were normalized to β-actin. The primer sequences needed in the research are displayed in Additional file 1: Table S4.
Statistical analysis
All results are presented as means ± standard error. Prism 8 software (GraphPad software) was used for performing the Student’s t-test and Mann-Whitney test for comparing the mean of the two groups. When there are three or more groups, the differences are analyzed by one-way ANOVA. All experiments were repeated three times. The level of significance shown in the figures is as follows: *P < 0.05, **P < 0.01.
Results
miR-148a-3p is downregulated in diabetic stroke
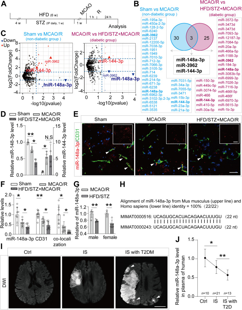
Although miRNAs have been well-characterized in clinical and animal studies regarding the pathology of stroke and diabetes, their role in exacerbating IS injury with T2D is still unclear [26]. In this study, we constructed the diabetic stroke model through MCAO/R in the HFD/STZ-induced diabetic mice (Fig. 1A), and we verified that these mice showed elevated blood glucose levels and obstruction of cerebral blood flow (CBF) after the surgery (Additional file 2: Fig. S2). To determine the diabetes-dependent changes in miRNAs that were involved in stroke pathology, we collected the peri-infarct tissues (which are relevant to the cerebral protection after stroke) in the non-diabetic group (Sham vs MCAO/R) and diabetic group (HFD/STZ + MCAO/R vs MCAO/R). Subsequently, we performed miRNA-Seq analysis. In an attempt to identify the miRNAs specifically associated with diabetes-dependent stroke-induced changes in expression, we focused on the differentially expressed miRNAs that were common in the non-diabetes stroke group and diabetic stroke group. To this end, we performed a Venn diagram analysis involving the two groups and found that miR-148a-3p, miR-3962, and miR-144-3p were the common differentially expressed miRNAs (Fig. 1B). The volcano plot revealed that MCAO/R led to a reduction in the expression of miR-148a-3p and an elevation in the expression of miR-144-3p within the non-diabetic group. These expression patterns were similarly validated in the diabetic group (Fig. 1C, |log2(FoldChange)|> 1.5). Furthermore, the results of qPCR and FISH confirmed that miR-148a-3p expression was reduced in both non-diabetic and diabetic groups. In contrast, the elevated level of miR-144-3p induced by MCAO/R did not present an increase in the diabetic group (Fig. 1D, *P < 0.05, **P < 0.01, N.S = 0.8179). Notably, this similar downregulation pattern of miR-148a-3p was additionally confirmed in a T2D model of db/db mice following MCAO/R treatment (Additional file 2: Fig. S3A, P = 0.0267 for MCAO/R vs Sham in db/m mice, P = 0.0047 for db/db + MCAO/R vs db/m + MCAO/R). Hence, it is postulated that the level of miR-148a-3p might be potentially related to the worsening of stroke damage caused by diabetes. Next, our study aimed to determine if the change in miR-148a-3p was present in cerebral vessels. To achieve this, we utilized a combination of CD31 antibody, an endothelial marker, and miR-148a-3p probe to perform co-staining in the peri-infarct cortex of mouse brain tissue sections. Interestingly, the findings revealed a significant co-localization of miR-148a-3p with CD31 + cells (white arrowheads), and the decrease in miR-148a-3p expression correlated with a reduction in the integrated optical density (IOD) of CD31 + cells (Fig. 1E and F), suggesting that miR-148a-3p might be associated with cerebrovascular pathology in diabetic stroke mice. To determine whether diabetes or stroke serves as the primary factor contributing to the downregulation of miR-148a-3p in a diabetic stroke model, we compared the levels of miR-148a-3p in the peri-infarcted cortical tissues of the stroke model with those in similar cortical regions of the diabetic model, involving both female and male mice. The results pointed to HFD/STZ and indicated that this HFD/STZ-mediated miR-148a-3p downregulation was independent of gender differences (Fig. 1G, P = 0.0043 for male, P = 0.0008 for female). The discoveries reveal a potential correlation between the decline in miR-148a-3p levels, largely resulting from HFD/STZ, and the deterioration of cerebral damage witnessed in diabetic stroke.
Fig. 1.
miR-148a-3p was downregulated in peri-cerebral infarction of diabetic stroke mice and in the plasma of stroke patients with diabetes. A The experimental approach for producing diabetic stroke mice included the induction of diabetes via a high-fat diet and streptozotocin, subsequently followed by MCAO/R treatment. B Venn diagram showing the distribution of differentially expressed miRNAs in the peri-infarct cortical tissues of non-diabetic group (MCAO/R vs Sham) and diabetic group (MCAO/R + HFD/STZ vs MCAO/R). Male mice, n = 3. C Volcano plot displaying the up-(or down-) regulated miRNAs from the cerebral peri-infarct tissues of diabetic stroke mice. D The levels of miR-148a-3p and miR-144-3p in the peri-infarct tissues of diabetic stroke mice (male) were detected by qPCR. n = 4. One-way ANOVA with Dunnett’s multiple comparisons test. E miR-148a-3p was co-stained with CD31 using FISH and IF in the peri-cerebral infarction. Male mice. Scale bar: 10 μm. F Quantitative integrated optical density (IOD) of miR-148a-3p, CD31, and their co-localization. n = 8. One-way ANOVA with Dunnett’s multiple comparisons test. G In both female and male mice, the level of miR-148a-3p was measured by qPCR in the peri-infarction cortical tissue of MCAO/R mice and similar cortical areas of HFD/STZ mice. n = 5. T-test. H Homology analysis of miR-148a-3p in Homo sapiens and Mus musculus. nt: nucleotide. I The cerebral infarct of IS patients with or without T2D was imaged by T2WI. Scale bar: 3 cm. J The level of miR-148a-3p in plasma of IS patients with or without T2D. The P value identified between the IS and the control group is 0.0210, with 95% confidence intervals extending from 0.7107 to 1.159. In comparison, the P value between the IS with T2D and the IS group is 0.0076, supported by 95% confidence intervals that range from 0.4886 to 0.9166. Mann-Whitney. Control: female, n = 5, male, n = 5. IS: female, n = 10, male, n = 11. IS with T2D: female, n = 6, male, n = 7. All data are presented as the mean ± SEM. *P < 0.05, **P < 0.01
In order to extend our findings from mice to humans, we first analyzed the sequence homology of miR-148a-3p between mice and humans by miRbase and found that the alignment of miR-148a-3p in mice and human species was 100% consistent, suggesting that it is highly conserved in these two species (Fig. 1H). Then, we analyzed the infarct size and plasma level of miR-148a-3p in IS patients with and without T2D. The findings demonstrated that IS patients who also have T2D exhibited an increased volume of infarction, with several of these individuals presenting multiple infarcted lesions as identified through MRI imaging (Fig. 1I). Additionally, these patients exhibited lower plasma levels of miR-148a-3p (Fig. 1J, P = 0.0210 for IS vs Ctrl, 95% confidence intervals extending from 0.7107 to 1.1590, P = 0.0076 for IS with T2D vs IS, supported by 95% confidence intervals that range from 0.4886 to 0.9166). The results imply that a reduction in miR-148a-3p might be involved in the cerebral damage observed in patients with diabetic stroke.
Downregulation of miR-148a-3p aggravates cerebral ischemic injury in diabetic mice
To investigate the role of miR-148a-3p in T2D exacerbation of IS injury, we compensated miR-148-3p by intracerebroventricular injection of agomiR-148a-3p and analyzed the neurological function, CBF, and infarct size of the diabetic stroke mice as shown in Fig. 2A. It was established that 3 days after the injection of Cy3-linked agomiR-148a-3p, the level of miR-148a-3p was significantly elevated in the cortex surrounding lateral ventricles (Fig. 2B, C). Notably, part of the Cy3 signal was detected in the vessel-like structures (white arrowheads in Fig. 2B), indicating potential expression of miR-148a-3p in cerebral vessels. Results of neurological tests measured by neurological score and corner test showed that the exacerbated motor dysfunction of diabetic stroke mice was significantly improved by agomiR-148a-3p (Fig. 2D and E). Based on our observation that miR-148-3p is mainly expressed in CD31 + cells, we speculated that the improved neurological function by agomiR-148a-3p might be due to the improved CBF and reduced cerebral infarction size as reported previously [27]. To test this hypothesis, we conducted an experiment as illustrated in Fig. 2A. The outcomes revealed that the exacerbation of brain ischemic damage in diabetes was evidenced by the reduced CBF and increased infarct size in the MCAO/R model in HFD/STZ or db/db mice (Fig. 2F–K, Additional file 2: Fig. S3B–E). Hemorrhagic transformation was more readily observed in db/db mice than in db/m mice following the induction of MCAO/R (white asterisk in Additional file 2: Fig. S3D). This may be attributed to the vulnerability of blood vessels in db/db mice. Importantly, our findings demonstrated that diabetic stroke mice treated with agomiR-148a-3p exhibited improved CBF and reduced cerebral infarction size as judged by MRI T2WI and TTC staining (Fig. 2F–K). Taken together, these results suggest that the decrease in miR-148a-3p plays a role in the deterioration of cerebral blood flow and the reduction of infarct size in diabetic stroke.
Fig. 2.
Diabetes aggravated cerebral ischemic damage via miR-148a-3p downregulation. A The experimental procedure for intracerebroventricular injection of agomiR-148a-3p injection in diabetic stroke mice. B The localization of Cy3 in the cortex surrounding lateral ventricles after intracerebroventricular injection of Cy3-labeled agomiR-148a-3p for 3 days. Arrowheads: vessel-like structure. Scale bar: 50 μm. C The expression of miR-148a-3p in peri-infarct tissues. n = 5. T-test. Neurologic score (D), corner test (E), CBF (F and G), T2 in MRI (H and I), and TTC staining (J and K) were performed and analyzed in MCAO/R mice, HFD/STZ + MCAO/R mice, and HFD/STZ + MCAO/R mice with intraventricular injection of agomiR-148a-3p. Scale bars in F, H, and J were 2 mm. n = 5. STZ: streptozotocin, 45 mg/kg; Ago: agomir-148a-3p, 1 μL; NC: agomir NC; IP: intraperitoneal injection; ICV: intraventricular injection. One-way ANOVA with Dunnett’s multiple comparisons test. All data are presented as the mean ± SEM. *P < 0.05, **P < 0.01
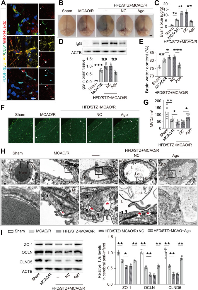
Downregulation of miR-148a-3p aggravates BBB damage in diabetic stroke mice
BBB is an essential physiological barrier that acts as a gatekeeper between peripheral blood and CNS. In diabetes, BBB is perpetually subjected to stress due to fluctuations in blood glucose levels, which can easily intensify stroke-induced vascular lesions [6]. Our previous studies have shown that maintaining BBB integrity reduced the risk of hemorrhage, suggesting that BBB might be a therapeutic target for neurovascular injury [16, 17]. Therefore, we inferred that the miR-148a-3p plays an important role in BBB integrity in diabetic stroke. To test this idea, we initially conducted experiments to examine the presence of miR-148a-3p within the BBB using FISH and IF techniques. The findings revealed that miR-148a-3p co-localized with CD31 (an endothelial marker), GFAP (an astrocyte marker), and PDGFR-β (a pericyte marker) in normal mice (white arrowheads in Fig. 3A). This suggests the presence of miR-148a-3p within the BBB, particularly in endothelial cells, as evidenced by its colocalization with CD31 and the demonstration of a vessel-like structure (as shown by the asterisk in Fig. 3A). Next, we utilized the agomir of miR-148a-3p to evaluate its effect on BBB integrity by Evans blue (EB) and IgG leakage across BBB into brain parenchyma. As expected, the diabetic mice induced by HFD/STZ showed further exacerbation of BBB permeability after MCAO/R (Fig. 3B–D). A similar observation was made in db/db mice subjected to MCAO/R (Additional file 2: Fig. S3D top panel). Importantly, the use of agomir to restore miR-148a-3p alleviated BBB leakage (Fig. 3B–D), which was accompanied by a significant reduction of brain edema (Fig. 3E) and vascular cell density (Fig. 3F and G). Given that the BBB permeability is dependent on the paracellular and transcellular transports, which in turn are determined by intercellular junctions and endothelial endocytosis [28], we used the TEM to image vascular ultrastructure around cerebral infarction in stroke and diabetic stroke mice. As shown in Fig. 3H, stroke mice showed collapsed cell junctions and endothelial vesicles (as indicated by red asterisks and black arrowheads, respectively) in the peri-infarct cerebral microvessels, whereas diabetic stroke mice exhibited more severe phenotypes. However, agomiR-148a-3p treatment could mitigate these defects in diabetics stroke mice. These results suggest that diabetic stroke could aggravate endothelial endocytosis and paracellular transports for enhancing the BBB permeability, and that agomiR-148a-3p could alleviate these impairments. To corroborate these observations, we measured the expression levels of key proteins involved in cell-cell junctions. As shown in Fig. 3I, diabetic stroke mice showed declined function of the tight junction as revealed by the reduced expression of ZO-1, OCLN, and CLND5, while agomiR-148a-3p significantly elevated the diabetic stroke-induced TJs decline. Overall, these results reveal that agomiR-148a-3p can alleviate BBB damage during T2D exacerbation of IS injury. This suggests that the downregulation of miR-148a-3p aggravates BBB damage in diabetic stroke mice.
Fig. 3.
Diabetes aggravates ischemic BBB damage via miR-148a-3p downregulation. A miR-148a-3p was co-stained with CD31 (an endothelial cell marker), GFAP (an astrocyte marker), and PDGFRβ (a pericyte marker) using FISH and IF in normal mice. Male mice. Arrowheads: colocalization. *: vessel-like structure. Scale bar: 10 μm. n = 5. B–D BBB permeability was measured by evaluating the exfiltration of Evans blue and IgG in HFD/STZ and MCAO/R mice injected with agomiR-148a-3p in the lateral ventricle. Scale bar: 2 mm. n = 5. E Brain water content was determined by the dry–wet weight method. n = 5. F and G Microvessel density was analyzed to assess BBB integrity overall. White asterisk: infarct area. Scale bar: 50 μm. n = 7. H TEM images of cerebral microvessel. The lower panel shows high-magnification scans of the area labeled by black squares in the upper panel. White dotted line: cell-cell junction. Red asterisk: the collapse of extracellular junction. Black arrowhead: endocytic vesicle. L: lumen. Leu: leukocyte. Hem: hemocyte. M: mitochondria. ASP: the astrocyte processes. P: pericyte. Scale bar: 500 nm. I TJs were quantified by immunoblotting in periinfarct tissues. n = 5. NC: agomir NC. Ago: agomir-148a-3p. One-way ANOVA with Dunnett’s multiple comparisons test. All data are presented as the mean ± SEM. *P < 0.05, **P < 0.01
Methylglyoxal aggravates ischemia-induced BBB injury in T2D by inducing miR-148a-3p downregulation
Because miR-148a-3p downregulation in diabetic stroke was mainly induced by T2D (Fig. 1G), we speculated that abnormal glucose metabolism might be involved in the reduction of miR-148a-3p expression. MG is a major by-product of glycolysis and has been generally implicated in the pathogenesis of T2D [29], especially in vascular endothelial cells [13]. In addition, we previously reported that MG functioned as a pathogenic factor in Alzheimer’s disease [30], epilepsy [31], and diabetic stroke [18]. To test whether MG was involved in the observed deficits in our diabetic stroke model, we measured the MG level in diabetic or stroke model mice, comparing those that received treatment with AG, an MG scavenger. The findings demonstrated that MG levels were elevated in the plasma of HFD/STZ mice (Fig. 4A, P < 0.0001 for HFD/STZ vs Ctrl). Additionally, the peri-infarct cortex of MCAO/R mice showed a similar increase in MG levels, which was further enhanced in db/db mice after MCAO/R treatment (Additional file 2: Fig. S3F, P = 0.0430 for db/m + MCAO/R vs db/m + Sham; Fig. S4A, P = 0.0027 for MCAO/R vs Sham; Additional file 2: Fig. S3F, P = 0.0004 for db/db + MCAO/R vs db/m + MCAO/R). Nevertheless, the administration of AG significantly decreased these elevated MG levels (Fig. 4A, P = 0.0082 for HFD/STZ + AG vs HFD/STZ; Additional file 2: Fig. S4A, P = 0.0269 for MCAO/R + AG vs MCAO/R). The extravasation of Evans blue and IgG into the brain parenchyma across BBB was alleviated when AG was administered in HFD/STZ mice (Fig. 4B–E). Moreover, the study confirmed similar findings about the advantageous influence of AG on the TJs levels (Fig. 4F and G). However, the beneficial effects of AG in reducing the BBB hyperpermeability were not detected in MCAO/R mice (Additional file 2: Fig. S4B and C, P = 0.8268). This discrepancy could be attributed to the fact that acute brain injury induced by MCAO/R involves multiple factors such as inflammation and oxidative stress. Thus, the intricate characteristics of BBB disruption in this context may pose challenges for AG to be effective. Although MG may not serve as a primary and direct inducer of IS, it is insufficient to assert that MG does not inflict harm on the brain in the context of IS. Particularly in cases of diabetic stroke, MG is one of the initiating factors triggering BBB damage in T2D, potentially leading to complications for stroke patients with diabetes [32]. To examine the role of MG in miR-148a-3p levels in the cerebral cortex of diabetic stroke mice, we treated the HFD/STZ mice with AG and found that diabetes-induced downregulation of miR-148a-3p was significantly alleviated by AG treatment (Fig. 4H, P < 0.0001 for HFD/STZ vs Ctrl, P = 0.0082 for HFD/STZ + AG vs HFD/STZ). Furthermore, the decline of miR-148a-3p in MG-treated BMECs was found to be attenuated by AG (Fig. 4I, P = 0.0004 for MG vs Ctrl in HBMEC, P = 0.0262 for MG + AG vs MG in HBMEC; P = 0.0008 for MG vs Ctrl in bEnd.3, P = 0.0349 for MG + AG vs MG in bEnd.3). These results suggest that MG generated as a consequence of glucose metabolism disorders in diabetic stroke could primarily contribute to the reduced expression of miR-148a-3p. Furthermore, the protective effects on brain damage in diabetic stroke, achieved through the removal of MG, may be realized by preventing the downregulation of miR-148a-3p.
Fig. 4.
MG promotes BBB damage and reduces the level of miR-148a-3p. A The level of MG in HFD/STZ mice. MG: methylglyoxal. AG: aminoguanidine, a kind of MG scavenger that was intraperitoneally injected into the HFD-fed mice daily for 1 week after the intraperitoneal injection of STZ. n = 5. B and C Evans blue extravasation was detected in HFD/STZ mice. White asterisk: Evans blue extravasation. Scale bar: 2 mm. n = 3. D and E Representative images of IgG extravascular deposits. Scale bar: 10 μm. n = 5. F and G TJs levels were analyzed by immunoblotting in the peri-infarct of HFD/STZ mice. n = 3. H The miR-148a-3p levels in the cortex in HFD/STZ mice. n = 4. I After AG pretreatment for 48 h, the miR-148a-3p levels were measured by qPCR in BMECs (bEnd.3 and HBMEC) after exposure to MG for 24 h. n = 4. AG treated in mice: 15 mg/kg. MG treated in mice: 50 mg/kg. AG treated in BMECs: 2 mmol/L. MG treated in BMECs: 1 mmol/L. One-way ANOVA with Dunnett’s multiple comparisons test. All data are presented as the mean ± SEM. *P < 0.05, **P < 0.01
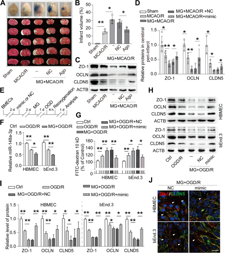
Given that miR-148a-3p downregulation can be triggered by MG and worsen ischemic BBB damage and motor dysfunction in diabetic stroke, we hypothesize that the downregulation of miR-148a-3p mediated by MG contributes to BBB damage, thereby exacerbating the subsequent CNS damage. To test this hypothesis, we treated MCAO/R mice with MG and investigated the effect of agomiR-148a-3p on BBB damage. Evans blue leakage was enhanced in MCAO/R mice after MG pretreatment, which could be rescued by miR-148a-3p compensation (top panel in Fig. 5A). This protective effect of miR-148a-3p against cerebral ischemic injury aggravated by MG was also demonstrated in the analysis of infarct volume (bottom panel in Fig. 5A, Fig. 5B) and TJs expression (Fig. 5C and D).
Fig. 5.
MG-mediated miR-148a-3p downregulation aggravates BBB damage in the diabetic stroke model in vivo and in vitro. A and B Evans blue extravasation (top panel) and TTC staining (bottom panel) were conducted in the diabetic stroke mouse model. The infarcted region is denoted by the black dotted line. After IP injection with MG for 1 month, MCAO for 1 h and reperfusion for 24 h were used to induce diabetic stroke in mice. AgomiR-148a-3p was injected in the lateral cerebral ventricle 3 days before MCAO. 3 pmol/g, 0.5 μL/min, 1 μL. Scale bar: 2 mm. n = 3. C and D TJs were analyzed by immunoblotting in MG and MCAO/R mice. n ≥ 3. E Experimental procedure of diabetic stroke in vitro. F The miR-148a-3p level in BMECs that suffered from MG and OGD/R. n = 4. G The infiltration of FITC-dextran (10 kDa) across the monolayer of BMECs was detected for analyzing the role of miR-148a-3p downregulation on endothelial barrier permeability. n = 6. H and I TJs levels were measured by immunoblotting in BMECs treated with MG and OGD/R. n = 4. J The localization of ZO-1 and Cldn5 was imaged in BMECs treated with MG and OGD/R. White arrowheads: the loss of TJs in the membrane. Scale bar: 10 μm. ANOVA with Dunnett’s multiple comparisons test. All data are presented as the mean ± SEM. *P < 0.05, **P < 0.01
To determine whether the observed effects were directly on endothelial cells, we used BMECs (HBMEC and bEnd.3) to examine the effect of MG and miR-148a-3p on endothelial barrier integrity after OGD/R treatment. The experimental procedures are shown in Fig. 5E. We found that the reduction of miR-148a-3p level caused by OGD/R was further aggravated by MG (Fig. 5F). Downregulation of miR-148a-3p was accompanied by a corresponding increase in endothelial permeability (infiltration of FITC-dextran) and loss of TJs (ZO-1, OCLN, and CLDN5). Notably, these changes were reversed by treatment of miR-148a-3p mimic (Fig. 5G–I). In addition, immunofluorescent staining showed that miR-148a-3p mimic could attenuate the loss of TJs membrane localization (white arrowheads in Fig. 5J), a crucial factor for preserving the polarity of the endothelial barrier and ensuring normal permeability [16]. We further showed that miR-148a-3p inhibitor increased the endothelial barrier permeability and TJs loss, while these adverse effects could be suppressed by miR-148a-3p mimic (Additional file 2: Fig. S5).
Collectively, these findings suggest that MG plays a crucial role in the vascular damage associated with glucose metabolism disorders in diabetic stroke. Furthermore, the downregulation of miR-148a-3p induced by MG may contribute to the worsening of ischemic BBB impairment and neurological deficits following a stroke.
SMAD2 is the target of miR-148a-3p in the endothelial barrier injury model of diabetic stroke simulated by MG and OGD/R
The role of miRNA on gene expression is dependent on their binding to complementary sequences of mRNA transcripts, thereby directing silencing complexes to degrade RNA or prevent mRNA translation into protein [33]. To explore the mechanisms of miR-148a-3p downregulation in exacerbation of ischemic BBB damage by T2D, the targets of miR-148a-3p were firstly screened in the intersection of algorithmic programs (miRDB, miRwalk, Targetscan, and miRTarBase). Then, we selected the top five genes related to IS and T2D, and further analyzed them by the intersection in the comparative toxicogenomics database (CTD) and maximal clique centrality (MCC) (Fig. 6A–D). These analyses identified SMAD2, DMNT1, and PRNP (Fig. 6D). We further verified their expression in BMCEs lines (HBMEC and bEnd.3) and confirmed that SMAD2 expression level was increased in OGD/R-induced BMECs. Also, we found that MG treatment further increased SMAD2 expression in both the cell lines (Fig. 6E). Consistently, the plasma SMAD2 protein expression level was increased in IS patients compared with control, whereas the SMAD2 level was further elevated in IS patients with T2D (Fig. 6F, P = 0.0021 for IS vs Ctrl, with 95% confidence intervals spanning from 0.8321 to 1.9830; P = 0.0157 for IS with T2D vs IS, with 95% confidence intervals spanning from 1.0294 to 2.9408). In addition, a previous study revealed that SMAD2 was involved in BBB damage in neurovascular disease [34]. These studies, together with our observation that miR-148a-3p level was reduced in (MG + OGD/R)-treated BMECs (Fig. 5F), suggest that miR-148a-3p downregulation might be involved in the upregulation of SMAD2 and mediation of BBB damage in diabetic stroke.
Fig. 6.
miR-148a-3p targets SMAD2. A Venn diagram showing the potential targets of miR-148a-3p according to algorithmic programs (miRDB, miRwalk, Targetscan, and miRTarBase). B The top 5 genes (DMNT1, PRNP, KLF6, SMAD2, ITGA5) associated with IS and T2D in the overlapped targets in A according to the CTD database. C The top 5 hub genes in the overlapped targets in A according to the PPI network. D Venn diagram displaying the overlapped genes (SMAD2, DMNT1, and PRNP). E The mRNA levels of SMAD2, DMNT1, and PRNP were confirmed by qPCR in BMECs (HBMEC and bEnd.3 cell lines) with MG and OGD/R. One-way ANOVA with Dunnett’s multiple comparisons test. n = 5. F Plasma levels of SMAD2 protein in IS patients with or without T2D were detected by ELISA. n (Ctrl) = 13, n (IS) = 20, n (IS with T2D) = 15. The P value of 0.0021 was found when comparing the IS to the control group, with 95% confidence intervals spanning from 0.8321 to 1.9830. Additionally, the P value between the IS and the IS with T2D group is 0.0157, with 95% confidence intervals ranging from 1.0294 to 2.9408. G Predictions from the Targetscan online database indicate that identical binding sites, marked in green, for miR-148a-3p have been detected in the 3′ UTR of SMDA2 in both human and mouse species. H A dual luciferase reporter assay was developed to evaluate the interaction between miR-148a-3p and SMDA2. I The luciferase activity was measured to identify the direct interaction between miR-148a-3p and SMDA2 in HEK-293 T cells. n = 3. Unpaired t-test. J The measurement of SMAD2 proteins and their phosphorylation was conducted through immunoblotting in BMECs with MG and OGD/R. n = 4. One-way ANOVA with Dunnett’s multiple comparisons test. All data are presented as the mean ± SEM. *P < 0.05, **P < 0.01
For inhibition of translation of their targets, miRNAs mainly bind to the 3′ UTR portion of mRNAs [35]. Our findings indicated that the 3′ UTR segment of SMAD2 exhibited identical complementary sequences with the miR-148a-3p in both humans and mice (Fig. 6G). Subsequently, a dual-luciferase reporter system was developed and implemented to confirm the interaction between miR-148a-3p and SMAD2 (Fig. 6H). The results demonstrated that miR-148a-3p reduced the luciferase activity in SMAD2-WT, but not in SMAD2-MUT (Fig. 6I, P = 0.0002 for hsa-miR-148a-3p vs NC in HEK-293 cells transfected with human wild type of SMAD2; P = 0.2012 for hsa-miR-148a-3p vs NC in HEK-293 cells transfected with human mutant of SMAD2), suggesting that miR-148a-3p directly binds to the 3′ UTR portion of SMAD2. Furthermore, we performed western blot analysis and showed that miR-148a-3p treatment increased levels of SMAD2 and phosphorylated SMAD2 expression (Fig. 6J).
The findings suggest that miR-148a-3p inhibits the expression of SMAD2 by interacting with the 3′ UTR of the gene. Conversely, the downregulation of miR-148a-3p in the context of diabetic stroke results in the loss of its suppressive effect on SMAD2 expression, which may contribute to BBB impairment mediated by SMAD2.
miR-148b-3p downregulation facilitates MG-induced aggravation of ischemic endothelial dysfunction via activation of the SMAD2-MMP9 signaling
SMAD2 is a transcription factor that has been demonstrated to induce the expression of MMP9, leading to the degradation of the basement membrane of the BBB [36, 37]. Since miR-148a-3p exerted an inhibitory role in SMAD2 expression (Fig. 6J), we hypothesized that miR-148a-3p downregulation exacerbated BBB damage via activation of the SMAD2-MMP9 signaling pathway. To test this, the integrity of the endothelial barrier and MMP9 level were analyzed in (MG + OGD/R)-treated BMECs when the SMAD2 was knocked down (Additional file 2: Fig. S6A and B) or over-expressed (Additional file 2: Fig. S1, Additional file 2: Fig. S6C–E). We found that knockdown of SMAD2 inhibited the infiltration of FITC-dextran across the endothelial barrier, and increased the TJs (ZO-1, OCLN, CLDN5) expression in (MG + OGD/R)-treated BMECs, which was accompanied by the reduced expression of MMP9 (Fig. 7A–C). These results indicate that SMAD2 mediates MMP9 activation and TJs loss in this model. Next, we found that miR-148a-3p ameliorated (MG + OGD/R)-induced endothelial injury by inhibiting MMP9 expression and increasing TJs expression, while SMAD2 over-expression de-repressed MMP9 expression and decreased TJs expression in the BMECs (Fig. 7D–F). These results demonstrate that miR-148a-3p inhibits the SMAD2-MMP9 signaling and attenuates endothelial damage in (MG + OGD/R)-treated BMECs.
Fig. 7.
miR-148a-3p regulates endothelial barrier function through the SMAD2-MMP9 pathway. A–C Endothelial permeability and TJs expression were detected by FITC-dextran (10 Da) infiltration and immunoblotting, respectively, in (MG + OGD/R)-induced BMECs monolayers after the knockdown of SMAD2. T-test. n (A) = 5. n (C) ≥ 3. D–F After transfection with miR-148a-3p mimic in (MG + OGD/R)-induced BMECs, endothelial permeability, and TJs expression were detected when SMAD2 was over-expressed. n (D) = 5. n (F) = 3. One-way ANOVA with Dunnett’s multiple comparisons test. G The schematic diagram of miR-148a-3p downregulation contributed to exaggerated cerebral ischemic injury by T2D. MG: 1 mM for 24 h. OGD/R: oxygen–glucose deprivation for 4 h followed by reoxygenation for 12 h. T-test. All data are presented as the mean ± SEM. *P < 0.05, **P < 0.01
In summary, this study indicates that the downregulation of miR-148a-3p can be triggered by MG in diabetic stroke, particularly in T2D. This downregulation compromises the BBB integrity through the activation of the SMAD2-MMP9 signaling pathway. Consequently, this impairment may facilitate the onset of stroke and contribute to more significant CNS damage during a stroke (Fig. 7G).
Discussion
Diabetes is frequently seen in IS patients and is a significant risk factor for poor prognosis. However, the exact mechanism through which T2D worsens ischemic brain damage is not yet fully understood. In this study, we discovered that T2D promotes the vulnerability of BBB to ischemic damage through MG-mediated downregulation of miR-148a-3p which exacerbates cerebrovascular injury after IS.
Although microvascular dysfunction is a widespread phenomenon in chronic hyperglycemia and is recognized as a main cause of T2D-aggravated IS injury [38], the underlying mechanisms by which diabetes impairs cerebral vessels and intensifies brain damage following IS have not been fully addressed. miRNAs have been characterized in multiple diseases in which they primarily exert a negative regulatory role in gene expression by complementarily binding to target mRNA [39]. Our previous studies have indicated that miRNAs are involved in vascular diseases [40], and degenerative diseases [41], and might be the potential targets in diabetes-aggravated Alzheimer’s disease [42]. In the current study, we found that the miR-148a-3p is downregulated in the peri-infarct cortex of diabetic stroke mice induced by MCAO/R in HFD/STZ mice or db/db mice, and in the plasma of IS patients with T2D. In addition, miR-148a-3p is expressed in cerebral vessels in the diabetic stroke mouse model. Importantly, our findings indicate that miR-148a-3p downregulation plays a key role in the exacerbation of cerebrovascular injury in diabetes following stroke. This function of miR-148a-3p might potentially enhance the protection against brain damage, including brain edema and hemorrhagic transformation following cerebral infarction in diabetic stroke.
Defective BBB links between diabetic hyperglycemia and CNS diseases [6]. Normally, BBB functions as a gatekeeper to provide the proper environment for CNS and protect it from toxins in peripheral blood [43]. Collapsed BBB is a common complication in neurological disorders and can lead to secondary brain damage [44]. Our previous works have demonstrated that developmental malformation or pathological injury of BBB is critically involved in adverse outcomes of intracerebral hemorrhage [16, 17, 45]. This study further delineated a novel role of miR-148a-3p in BBB integrity in diabetic stroke. Compensation of miR-148a-3p alleviates BBB damage, cerebral edema, and neurological deficits in diabetic stroke mice.
In investigating the factors contributing to the decrease in miR-148a-3p levels mainly caused by T2D in this study, a key factor to consider is MG which is frequently elevated as a result of glyoxalase system dysfunction and hyperglycemia [11]. The rise in MG level is closely associated with various metabolic disorders and age-related diseases [29]. Our previous work has indicated that MG could trigger upregulation of miRNA expression in the pathogenesis of seizure, and that miRNA-based therapeutic strategies may target MG for seizure treatments [31]. In this study, we showed that elevated levels of MG were present in the plasma of HFD/STZ mice and in the peri-infarct cortex of MCAO/R mice. Moreover, it was found that BMECs exhibited a decrease in miR-148a-3p levels following MG exposure. Importantly, this reduction was effectively reversed upon the administration of AG, a known scavenger of MG. These findings indicate that MG could be a significant factor contributing to the reduction in miR-148a-3p levels, although further investigation is necessary. Subsequently, we replaced the HFD/STZ model with MG to simulate a diabetes model, which was then employed alongside MCAO/R to establish a diabetic stroke mouse model. The results revealed that the administration of miR-148a-3p partially mitigated the cerebral damage induced by MG and MCAO/R. These findings suggest that MG-mediated downregulation of miR-148a-3p levels contributes to brain damage in diabetic stroke.
Notably, the removal of MG did not reduce BBB hyperpermeability in MCAO/R mice. This may be largely attributed to the multitude of factors that cause BBB impairment following acute cerebral ischemia, which far exceeds the singular influence of MG. Additionally, a reduction in miR-148a-3p levels was observed in the peri-infarct cortex of MCAO/R mice, and its restoration has been shown to mitigate brain injury in cases of diabetic stroke. We proposed that the decline of miR-148a-3p in MCAO/R could be triggered by multiple factors, rather than solely by MG. Although MG induced by MCAO/R may not serve as an independent risk factor for stroke, it can initiate the downregulation of miR-148a-3p, leading to brain damage. Furthermore, the MG, arising from diabetic hyperglycemia, can inflict long-term harm on the BBB by reducing the expression of miR-148a-3p. This impairment can result in diminished cerebrovascular reactivity, thereby increasing the risk of subsequent stroke events.
Upon investigation into the impact of decreased miR-148a-3p levels on BBB damage, it was revealed that the reduction of miR-148b-3p triggers the activation of the SMAD2-MMP9 signaling pathway. This cascade of events leads to the BBB collapse and worsened brain damage post-cerebral ischemia in T2D. miRNAs are a class of endogenous small non-coding RNA molecules that function as negative regulators of gene expression by complementarily binding to sequences in the 3′ UTR of target mRNAs [46]. Our results suggest that SMAD2 is a key target of miR-148a-3p responsible for mediating BBB damage in IS with T2D. Interestingly, the level of SMAD2 was also upregulated in the plasma of IS patients, especially in IS patents with T2D. Moreover, miR-148b-3p binds to 3′ UTR of SMAD2 mRNA and blocks SMAD2 expression. SMAD2 is an upstream regulator of MMP9 that is widely recognized as a driver of BBB damage by hydrolyzing collagen and ECM [47], resulting in the rupture of elastic and collagen fibers, a decrease in mechanical strength, and the loss of integrity of the vascular wall [48]. Consistent with these reports, our research reveals that a decline in miR-148a-3p levels removes its inhibitory effect on SMAD2, which in turn activates the SMAD2-MMP9 signaling pathway. This pathway contributes to the impairment of the BBB by facilitating the degradation of the ECM.
This study has some limitations. First, it demonstrated a relationship between the levels of miR-148a-3p and MG; however, it did not establish a direct causal relationship between the reduction of miR-148a-3p and the elevation of MG. Furthermore, it could not eliminate the possibility that other factors may have directly or indirectly influenced the reduction of miR-148a-3p, especially under the condition of MCAO/R. Second, while we confirmed the involvement of the SMAD2-MMP9 pathway in endothelial barrier damage caused by the reduced levels of miR-148a-3p, it is important to note that miR-148a-3p is expressed not only in endothelial cells but also in astrocytes and pericytes. Therefore, we cannot exclude the potential involvement of other molecular pathways in the stroke damage aggravated by diabetes. Collectively, MG-mediated miR-148a-3p decline contributes to brain damage in diabetic stroke, which provides insights into the neurobiological mechanisms underlying other diseases related to diabetes or stroke.
Conclusions
In conclusion, the results reveal that the reduction of miR-148a-3p may play a crucial role in exacerbating ischemic brain injury in T2D. The decrease in miR-148a-3p, observed in both diabetes and stroke, is largely driven by a major by-product of glycolysis known as MG. This decline contributes to BBB impairment through the activation of the SMAD2-MMP9 signaling pathway, thereby heightening the risk of stroke onset and aggravating ischemic brain damage in diabetes. This study highlights the potential therapeutic strategy by targeting MG or miR-148a-3p as a novel potential therapeutic target in the treatment of IS patients with T2D.
Supplementary Information
Additional file 1: Tables S1–S4. Table S1 Demographic and clinical characteristics of participants. Table S2 Sequences of miR-148a-3p mimic/inhibitor/agomir. Table S3 siRNA sequences of SMAD2. Table S4 The primer sequences used for RT-qPCR analyses.
Additional file 2: Figures S1–S6. Fig. S1 Information about plasmid containing SMAD2 and the alignment of SMAD2 between Homo sapiens and Mus musculus. Fig. S2 The blood glucose and cerebral blood flow were measured in diabetic stroke mice. Fig. S3 The levels of miR-148a-3p and the extent of brain damage in the MCAO/R model in db/db mice. Fig. S4 AG reduced MG level in the peri-infarct cortex but it did not attenuate the BBB hyperpermeability in MCAO/R mice. Fig. S5 The role of miR-148a-3p downregulation on the endothelial barrier integrity. Fig. S6 The protein level of SMAD2 in BMECs with SMAD2 knockdown and overexpression.
Additional file 3: Supplementary original western blots.
Acknowledgements
We thank all patients for participating in this research. We acknowledge Professor Huili Zhu and Heng Meng for their valuable suggestions regarding the experimental design of this study.
Abbreviations
- 3′ UTR
3′ Untranslated regions
- AG
Aminoguanidine
- BBB
Blood-brain barrier
- BMECs
Brain microvascular endothelial cells
- CNS
Central nervous system
- CBF
Cerebral blood flow
- ECM
Extracellular matrix
- FISH
Fluorescence in situ hybridization
- HFD/STZ
High-fat diet and streptozotocin
- IS
Ischemic stroke
- MG
Methylglyoxal
- MRI
Magnetic resonance imaging
- MCAO/R
Middle cerebral artery occlusion and reperfusion
- miRNA
MicroRNA
- OGD/R
Oxygen-glucose deprivation/reoxygenation
- PFA
Paraformaldehyde
- siRNA
Small interfering RNA
- T2D
Type 2 diabetes
- TEM
Transmission electron microscope
- TTC
2,3,5-Triphenyl tetrazolium chloride
Authors’ contributions
K.L. and Z.Y. conceptualized the experiments and project administration. C.H., Z.Y., W.H., C.Y. and X.W. conducted the experiments. D.H., H.X., K.H. C.H. and Z.Y. analyzed the data. Z.Y. and C.H. wrote the manuscript. K.L. and C.K.T edited and proofread the manuscript.
Funding
This work received funding from the National Natural Science Foundation of China (Grant No. 81971079 to K.L., 82171344 to Z.Y.), the Science and Technology Projects in Guangzhou (2023B03J1351 to K.L., 2023A04J0439 to W.H.), and the Basic and Applied Basic Research Foundation of Guangdong (2022A1515111052) to W.H.
Data availability
No datasets were generated or analysed during the current study.
Declarations
Ethics approval and consent to participate
Approval for this experimental animal study was obtained from the Ethics Committee for Animal Experiments of Jinan University (NO: IACUC-20220825–05). The protocol for the case–control study was conducted in accordance with the Declaration of Helsinki and received approval from the First Affiliated Hospital of Jinan University (NO: KY-2023–251). All participants provided written informed consent.
Consent for publication
Not applicable.
Competing interests
The authors declare no competing interests.
Footnotes
Publisher’s Note
Springer Nature remains neutral with regard to jurisdictional claims in published maps and institutional affiliations.
Zhenguo Yang, Cheng Huang and Wenhui Huang contributed equally to this work.
References
- 1.Krinock MJ, Singhal NS. Diabetes, stroke, and neuroresilience: looking beyond hyperglycemia. Ann N Y Acad Sci. 2021;1495(1):78–98. [DOI] [PubMed] [Google Scholar]
- 2.Kruyt ND, Biessels GJ, DeVries JH, Roos YB. Hyperglycemia in acute ischemic stroke: pathophysiology and clinical management. Nat Rev Neurol. 2010;6(3):145–55. [DOI] [PubMed] [Google Scholar]
- 3.van Sloten TT, Sedaghat S, Carnethon MR, Launer LJ, Stehouwer CD. Cerebral microvascular complications of type 2 diabetes: stroke, cognitive dysfunction, and depression. Lancet Diabetes Endo. 2020;8(4):325–36. [DOI] [PMC free article] [PubMed] [Google Scholar]
- 4.Laiteerapong N, Ham SA, Gao Y, Moffet HH, Liu JY, Huang ES, et al. The legacy effect in type 2 diabetes: impact of early glycemic control on future complications (the Diabetes & Aging Study). Diabetes Care. 2019;42(3):416–26. [DOI] [PMC free article] [PubMed] [Google Scholar]
- 5.ADVANCE Collaborative Group, Patel A, MacMahon S, Chalmers J, Neal B, Billot L, et al. Intensive blood glucose control and vascular outcomes in patients with type 2 diabetes. N Engl J Med. 2008; 358(24):2560–72. [DOI] [PubMed]
- 6.Venkat P, Chopp M, Chen J. Blood–brain barrier disruption, vascular impairment, and ischemia/reperfusion damage in diabetic stroke. J Am Heart Assoc. 2017;6(6): e005819. [DOI] [PMC free article] [PubMed] [Google Scholar]
- 7.Wicha P, Das S, Mahakkanukrauh P. Blood-brain barrier dysfunction in ischemic stroke and diabetes: the underlying link, mechanisms and future possible therapeutic targets. Anat cell biol. 2021;54(2):165–77. [DOI] [PMC free article] [PubMed] [Google Scholar]
- 8.Desilles JP, Syvannarath V, Ollivier V, Journé C, Delbosc S, Ducroux C, et al. Exacerbation of thromboinflammation by hyperglycemia precipitates cerebral infarct growth and hemorrhagic transformation. Stroke. 2017;48(7):1932–40. [DOI] [PubMed] [Google Scholar]
- 9.Herrington W, Lacey B, Sherliker P, Armitage J, Lewington S. Epidemiology of atherosclerosis and the potential to reduce the global burden of atherothrombotic disease. Circ Res. 2016;118(4):535. [DOI] [PubMed] [Google Scholar]
- 10.Simats A, Liesz A. Systemic inflammation after stroke: implications for post-stroke comorbidities. EMBO Mol Med. 2022;14(9): e16269. [DOI] [PMC free article] [PubMed] [Google Scholar]
- 11.Moraru A, Wiederstein J, Pfaff D, Fleming T, Miller AK, Nawroth P, et al. Elevated levels of the reactive metabolite methylglyoxal recapitulate progression of type 2 diabetes. Cell Metab. 2018;27(4):926-34.e8. [DOI] [PubMed] [Google Scholar]
- 12.Nigro C, Leone A, Longo M, Prevenzano I, Fleming TH, Nicolò A, et al. Methylglyoxal accumulation de-regulates HoxA5 expression, thereby impairing angiogenesis in glyoxalase 1 knock-down mouse aortic endothelial cells. Biochim Biophys Acta Mol Basis Dis. 2019;1865(1):73–85. [DOI] [PubMed] [Google Scholar]
- 13.Berends E, van Oostenbrugge RJ, Foulquier S, Schalkwijk CG. Methylglyoxal, a highly reactive dicarbonyl compound, as a threat for blood brain barrier integrity. Fluids Barriers CNS. 2023;20(1):75. [DOI] [PMC free article] [PubMed] [Google Scholar]
- 14.Li W, Maloney RE, Aw TY. High glucose, glucose fluctuation and carbonyl stress enhance brain microvascular endothelial barrier dysfunction: Implications for diabetic cerebral microvasculature. Redox biol. 2015;5:80–90. [DOI] [PMC free article] [PubMed] [Google Scholar]
- 15.Camp TM, Tyagi SC, Senior RM, Hayden MR, Tyagi SC. Gelatinase B (MMP-9) an apoptotic factor in diabetic transgenic mice. Diabetologia. 2003;46:1438–45. [DOI] [PubMed] [Google Scholar]
- 16.Yang Z, Lin P, Chen B, Zhang X, Xiao W, Wu S, et al. Autophagy alleviates hypoxia-induced blood-brain barrier injury via regulation of CLDN5 (claudin 5). Autophagy. 2021;17(10):3048–67. [DOI] [PMC free article] [PubMed] [Google Scholar]
- 17.Yang Z, Huang C, Wen X, Liu W, Huang X, Li Y, et al. Circular RNA circ-FoxO3 attenuates blood-brain barrier damage by inducing autophagy during ischemia/reperfusion. Mol Ther. 2022;30(3):1275–87. [DOI] [PMC free article] [PubMed] [Google Scholar]
- 18.Chen W, Huang W, Yang Y, Li K. Methylglyoxal scavengers attenuate angiogenesis dysfunction induced by methylglyoxal and oxygen-glucose deprivation. Oxid Med Cell Longev. 2022;2022:8854457. [DOI] [PMC free article] [PubMed] [Google Scholar]
- 19.Pan J, Qu M, Li Y, Wang L, Zhang L, Wang Y, et al. MicroRNA-126-3p/-5p overexpression attenuates blood-brain barrier disruption in a mouse model of middle cerebral artery occlusion. Stroke. 2020;51(2):619–27. [DOI] [PubMed] [Google Scholar]
- 20.Ebrahimi V, Rastegar-Moghaddam SH, Mohammadipour A. Therapeutic potentials of microRNA-126 in cerebral ischemia. Mol Neurobiol. 2023;60(4):2062–9. [DOI] [PubMed] [Google Scholar]
- 21.Gasecka A, Siwik D, Gajewska M, Jaguszewski MJ, Mazurek T, Filipiak KJ, et al. Early biomarkers of neurodegenerative and neurovascular disorders in diabetes. J Clin Med. 2020;9(9):2807. [DOI] [PMC free article] [PubMed] [Google Scholar]
- 22.Li G, Morris-Blanco KC, Lopez MS, Yang T, Zhao H, Vemuganti R, et al. Impact of microRNAs on ischemic stroke: from pre- to post-disease. Prog Neurobiol. 2018;163–164:59–78. [DOI] [PMC free article] [PubMed] [Google Scholar]
- 23.Longa EZ, Weinstein PR, Carlson S, Cummins R. Reversible middle cerebral artery occlusion without craniectomy in rats. Stroke. 1989;20(1):84–91. [DOI] [PubMed] [Google Scholar]
- 24.Manwani B, Liu F, Xu Y, Persky R, Li J, McCullough LD. Functional recovery in aging mice after experimental stroke. Brain Behav Immun. 2011;25(8):1689–700. [DOI] [PMC free article] [PubMed] [Google Scholar]
- 25.Wegner S, Uhlemann R, Boujon V, Ersoy B, Endres M, Kronenberg G, et al. Endothelial cell-specific transcriptome reveals signature of chronic stress related to worse outcome after mild transient brain ischemia in mice. Mol Neurobiol. 2020;57(3):1446–58. [DOI] [PMC free article] [PubMed] [Google Scholar]
- 26.Bloomgarden Z, Chilton R. Diabetes and stroke: an important complication. J Diabetes. 2021;13(3):184–90. [DOI] [PubMed] [Google Scholar]
- 27.Korte N, Ilkan Z, Pearson CL, Pfeiffer T, Singhal P, Rock JR, et al. The Ca 2+-gated channel TMEM16A amplifies capillary pericyte contraction and reduces cerebral blood flow after ischemia. J Clin Invest. 2022;132(9): e154118. [DOI] [PMC free article] [PubMed] [Google Scholar]
- 28.Abbott NJ. Astrocyte–endothelial interactions and blood–brain barrier permeability. J Anat. 2002;200(5):523–34. [DOI] [PMC free article] [PubMed] [Google Scholar]
- 29.Schalkwijk CG, Stehouwer CDA. Methylglyoxal, a highly reactive dicarbonyl compound, in diabetes, its vascular complications, and other age-related diseases. Physiol Rev. 2020;100(1):407–61. [DOI] [PubMed] [Google Scholar]
- 30.Jiang L, Wang J, Wang Z, Huang W, Yang Y, Cai Z, et al. Role of the glyoxalase system in Alzheimer’s disease. J Alzheimer’s Dis. 2018;66(3):887–99. [DOI] [PubMed] [Google Scholar]
- 31.Tao H, Zhou X, Zhao B, Li K. Conflicting effects of methylglyoxal and potential significance of miRNAs for seizure treatment. Front Mol Neurosci. 2018;11:70. [DOI] [PMC free article] [PubMed] [Google Scholar]
- 32.Wang B, Aw TY, Stokes KY. The protection conferred against ischemia-reperfusion injury in the diabetic brain by N-acetylcysteine is associated with decreased dicarbonyl stress. Free Radical Biol Med. 2016;96:89–98. [DOI] [PMC free article] [PubMed] [Google Scholar]
- 33.Treiber T, Treiber N, Meister G. Regulation of microRNA biogenesis and its crosstalk with other cellular pathways. Nat Rev Mol Cell Biol. 2019;20(1):5–20. [DOI] [PubMed] [Google Scholar]
- 34.Kim SY, Buckwalter M, Soreq H, Vezzani A, Kaufer D. Blood–brain barrier dysfunction–induced inflammatory signaling in brain pathology and epileptogenesis. Epilepsia. 2012;53:37–44. [DOI] [PMC free article] [PubMed] [Google Scholar]
- 35.Bartel DP. MicroRNAs: genomics, biogenesis, mechanism, and function. cell. 2004; 116(2):281–97. [DOI] [PubMed]
- 36.Preininger MK, Kaufer D. Blood–brain barrier dysfunction and astrocyte senescence as reciprocal drivers of neuropathology in aging. Int J Mol Sci. 2022;23(11):6217. [DOI] [PMC free article] [PubMed] [Google Scholar]
- 37.Obermeier B, Daneman R, Ransohoff RM. Development, maintenance and disruption of the blood-brain barrier. Nat Med. 2013;19(12):1584–96. [DOI] [PMC free article] [PubMed] [Google Scholar]
- 38.Khan MA, Schultz S, Othman A, Fleming T, Lebrón-Galán R, Rades D, et al. Hyperglycemia in stroke impairs polarization of monocytes/macrophages to a protective noninflammatory cell type. J Neurosci. 2016;36(36):9313–25. [DOI] [PMC free article] [PubMed] [Google Scholar]
- 39.Mori MA, Ludwig RG, Garcia-Martin R, Brandão BB, Kahn CR. Extracellular miRNAs: from biomarkers to mediators of physiology and disease. Cell Metab. 2019;30(4):656–73. [DOI] [PMC free article] [PubMed] [Google Scholar]
- 40.Li Y, Du C, Wang W, Ma G, Cui L, Zhou H, et al. Genetic association of MiR-146a with multiple sclerosis susceptibility in the Chinese population. Cell Physiol Biochem. 2015;35(1):281–91. [DOI] [PubMed] [Google Scholar]
- 41.Cui L, Li Y, Ma G, Wang Y, Cai Y, Liu S, et al. A functional polymorphism in the promoter region of microRNA-146a is associated with the risk of Alzheimer disease and the rate of cognitive decline in patients. PLoS ONE. 2014;9(2): e89019. [DOI] [PMC free article] [PubMed] [Google Scholar]
- 42.Huang C, Luo J, Wen X, Li K. Linking diabetes mellitus with Alzheimer’s disease: bioinformatics analysis for the potential pathways and characteristic genes. Biochem Genet. 2022;60(3):1049–75. [DOI] [PubMed] [Google Scholar]
- 43.Pandit R, Chen L, Götz J. The blood-brain barrier: physiology and strategies for drug delivery. Adv Drug Deliver Rev. 2020;165:1–14. [DOI] [PubMed] [Google Scholar]
- 44.Nation DA, Sweeney MD, Montagne A, Sagare AP, D’Orazio LM, Pachicano M, et al. Blood–brain barrier breakdown is an early biomarker of human cognitive dysfunction. Nat Med. 2019;25(2):270–6. [DOI] [PMC free article] [PubMed] [Google Scholar]
- 45.Yang Z, Wu S, Fontana F, Li Y, Xiao W, Gao Z, et al. The tight junction protein claudin-5 limits endothelial cell motility. J Cell Sci. 2021; 134(1). [DOI] [PubMed]
- 46.Bartel DP. Metazoan microRNAs. Cell. 2018;173(1):20–51. [DOI] [PMC free article] [PubMed] [Google Scholar]
- 47.Feng D, Zhou J, Liu H, Wu X, Li F, Zhao J, et al. Astrocytic NDRG2-PPM1A interaction exacerbates blood-brain barrier disruption after subarachnoid hemorrhage. Sci Adv. 2022; 8(39):eabq2423. [DOI] [PMC free article] [PubMed]
- 48.Aggarwal A, Khera A, Singh I, Sandhir R. S-nitrosoglutathione prevents blood–brain barrier disruption associated with increased matrix metalloproteinase-9 activity in experimental diabetes. J Neurochem. 2015;132(5):595–608. [DOI] [PubMed] [Google Scholar]
Associated Data
This section collects any data citations, data availability statements, or supplementary materials included in this article.
Supplementary Materials
Additional file 1: Tables S1–S4. Table S1 Demographic and clinical characteristics of participants. Table S2 Sequences of miR-148a-3p mimic/inhibitor/agomir. Table S3 siRNA sequences of SMAD2. Table S4 The primer sequences used for RT-qPCR analyses.
Additional file 2: Figures S1–S6. Fig. S1 Information about plasmid containing SMAD2 and the alignment of SMAD2 between Homo sapiens and Mus musculus. Fig. S2 The blood glucose and cerebral blood flow were measured in diabetic stroke mice. Fig. S3 The levels of miR-148a-3p and the extent of brain damage in the MCAO/R model in db/db mice. Fig. S4 AG reduced MG level in the peri-infarct cortex but it did not attenuate the BBB hyperpermeability in MCAO/R mice. Fig. S5 The role of miR-148a-3p downregulation on the endothelial barrier integrity. Fig. S6 The protein level of SMAD2 in BMECs with SMAD2 knockdown and overexpression.
Additional file 3: Supplementary original western blots.
Data Availability Statement
No datasets were generated or analysed during the current study.







