Abstract
Hepatocyte-derived liver progenitor-like cells (HepLPCs) exhibit a remarkable capacity to support liver function by detoxifying ammonia, promoting native liver regeneration, and suppressing inflammation, which leads to improvements in the recovery and survival of animals with acute liver failure (ALF). However, the mechanism through which HepLPCs promote liver regeneration is unclear. Here, we isolated HepLPC-derived extracellular vesicles (HepLPC-EVs) from conditioned media and performed microRNA sequencing analysis. Our results showed HepLPC-EVs promoted liver regeneration in mice with carbon tetrachloride or acetaminophen induced ALF. Cell cycle progression and proliferation of primary human hepatocytes were promoted after coculture with HepLPC-EVs. Exosomal miRNA sequencing confirmed that HepLPC-EVs were enriched with miR-183-5p, which played an essential role in ameliorating ALF. Mechanistically, HepLPC-derived exosomal miR-183-5p negatively regulated the expression of the target gene FoxO1, activated the Akt/GSK3β/β-catenin signaling pathway, and thereby promoted liver regeneration and restoration of normal liver function. These results indicate that during ALF, HepLPC-Exos mediate liver regeneration mainly through a paracrine exosome-dependent mechanism and these effects accelerate liver regeneration and lead to the restoration of normal liver function.
Graphical Abstract
Supplementary Information
The online version contains supplementary material available at 10.1007/s10565-024-09954-6.
Keywords: Liver progenitor cells, Extracellular vesicles, Hepatocyte proliferation, FoxO1, Paracrine mechanism
Introduction
Acute liver failure (ALF) is characterized by substantial hepatocyte necrosis, rapid liver function deterioration and secondary multiple organ failure and is associated with high mortality (Stravitz and Lee 2019). Orthotopic liver transplantation is the most effective treatment for ALF but is highly limited by donor shortages as well as surgical contraindications and complications (Bernal and Wendon 2013). In recent years, nonautologous hepatocyte infusion has been considered a promising method for liver regeneration in patients with severe liver diseases (Huch et al. 2013; Matsumoto et al. 2020). However, this approach cannot be widely applied in the clinic due to the limited availability of cells and the inability of primary hepatocytes to expand in vitro. A population of liver stem/progenitor cells can be activated in the liver. If hepatocyte proliferation is insufficient to facilitate recovery from liver injury, progenitor cells are activated to participate in the regenerative process. Stem/progenitor cells exhibit bipotential plasticity and can differentiate into hepatocytes and bile duct cells to restore the hepatic parenchyma and liver function (Lazzeri et al. 2019; Miyajima et al. 2014). Thus, cell-based therapy with stem/progenitor cells may become a novel approach for regenerating the liver during ALF.
The origin of liver progenitor cells remains a matter of debate. Hepatocytes are the principal sources of liver progenitor cells with high proliferative capacities (Raven et al. 2017; Tarlow et al. 2014). This feature may be explained by the heterogeneity of hepatocytes, which are more likely to transform into liver progenitor cells following hepatic damage (Wang et al. 2015). Thus, improving the transformation of mature hepatocytes into liver progenitor cells might promote liver regeneration. We converted mouse and human primary hepatocytes into expandable hepatocyte-derived liver progenitor-like cells (HepLPCs), which could differentiate back into mature hepatocytes following our previous stdudies (Fu et al. 2019; Wu et al. 2017). Moreover, we generated immortalized and functionally enhanced HepLPCs by introducing FOXA3 and developed an air–liquid interactive bioartificial liver (Ali-BAL) support system embedded with human immortalized HepLPCs arranged in 3-dimensional (3D) layers. This extracorporeal liver support device exhibited a strong capacity to support liver function by detoxifying ammonia, promoting native liver regeneration, and suppressing inflammation, which led to substantial improvements in the recovery and survival of animals with ALF (Li et al. 2020a). However, the mechanisms through which HepLPCs exert these regulatory effects during liver regeneration remain unclear. Various human growth factors, including hepatocyte growth factor (HGF) and transforming growth factor-α (TGF-α), have been found in plasma from piglets treated with Ali-BAL, which indicates that exogenous secretory products play an important role in mitigating hepatotoxicity and restoring physiological function in the early stage of liver injury.
Paracrine effects regulate various cellular biological functions, such as promoting angiogenesis, inhibiting apoptosis and enhancing proliferation and differentiation (Bird et al. 2018; Stanger and Greenbaum 2012). In addition to engaging in cell‒cell communication and directly releasing soluble molecules to exert paracrine effects, extracellular vesicles (EVs) derived from cells mediate short-range and distant communication between cells (Bruno et al. 2019; Thietart and Rautou 2020). EVs regulate cell‒cell communication and can be transferred to recipient cells to activate cellular processes, such as cell proliferation, cell differentiation and antiviral responses, in the liver regenerative microenvironment. EVs contain specific proteins and nucleic acids, including mRNAs, microRNAs (miRNAs) and other noncoding RNAs, that reflect the host cell conditions. miRNAs are small noncoding RNAs that negatively regulate gene expression at the post-transcriptional level by directly binding to the 3'-untranslated regions (3'-UTRs) of target genes (Sato et al. 2016). Exosomal miRNAs may help researchers understand the physiological mechanism underlying liver disease and provide new therapeutic targets for the treatment of liver diseases.
Here, we showed that HepLPC-derived EVs (HepLPC-EVs) participated in reinitiating liver regeneration and improving survival during ALF at least in part via miRNA-183-5p. These findings may identify novel targets and strategies for the treatment of ALF.
Materials and methods
Animal models
All animal experiments were approved by the Renji Hospital Institutional Animal Care and Use Committee and performed in accordance with the Institutional Guide for the Care and Use of Laboratory Animals. Male 6- to 8-week-old C57BL/6 J mice were purchased from Shanghai SLAC Laboratory. The mice were housed in a temperature-controlled room with a 12-h light/dark cycle and given water and pelleted chow ad libitum.
Carbon tetrachloride (CCl4)-induced acute liver injury
The mice were intraperitoneally injected with 1 mL/kg CCl4 (Sigma-Aldrich, 319,961, diluted 1 to 4 in peanut oil and filtered through a 0.22-μm filter prior to administration). The uninjured control mice received an intraperitoneal injection of 1 mL/kg peanut oil. Liver tissues and blood samples were collected 24 h and 48 h after CCl4 injection. The deaths of the animals were recorded for 7 days, and the survival rates were calculated.
Acetaminophen (APAP)-induced acute liver injury
The mice were fasted for 24 h without food and bedding but with free access to water. The mice were intraperitoneally injected with 350 mg/kg body weight APAP and had free access to food and water after the APAP injection. Liver tissues and blood were collected 24 h after APAP injection, and the deaths of the animals were recorded every 6 h over a 24-h period.
Human primary hepatocyte culture and expansion
Primary human hepatocytes (Lot #201,904,001) were purchased from Liver BioTech (Guangzhou, China). Detailed donor information is listed in Table S1.
Cell culture and expansion
The viability of the purified hepatocytes was approximately 90%, as determined by Trypan blue (Sigma-Aldrich) staining. The cells were plated on a Matrigel-coated (Corning) culture dish at different densities and cultured in modified TEM (Chen et al. 2021), which was based on DMEM/F12 (Invitrogen) with N2 and B27 (both from Invitrogen) and the following factors: 20 ng/mL HGF, 20 ng/mL EGF (both from PeproTech), 10 μM Y27632, 3 μM MCHIR99021, 1 μM A8301 (all from TargetMol), 1 μM S1P and 5 μM LPA (both from Santa Cruz). Six to 12 days after seeding, clonal cells were passaged at a ratio of 1:3–6 after dissociation with Accutase (eBioscience). The medium was changed every other day.
Isolation and identification of EVs
EV isolation
EVs were isolated from hepatocytes and HepLPC culture media. Briefly, 2 × 106 cells/5 mL were cultured with conditioned media with 5% exosome-free FBS (System Biosciences) in 150-mm plates. The cells were cultured overnight, and the medium was then changed. Forty-eight hours later, the medium was harvested for EV isolation. The commercial kit ExoQuick-TC (System Biosciences, Mountain View, CA, USA) was used for the isolation of EVs from cell culture media.
EV identification
The morphology and purity of the EVs were detected by transmission electron microscopy. EVs were fixed with 4% paraformaldehyde and 1% glutaraldehyde and stored at room temperature to prepare the samples for transmission electron microscopy. Microscopy observations were obtained with a transmission electron microscope (JEM-2000FX, JEOL). The size distribution and concentration of the EVs were measured using a Zetasizer Nano (Malvern Instruments, Malvern, UK). The characterization of the EVs was confirmed by measuring the expression of the exosome-specific marker TSG101 and the EV-associated protein marker CD63 by western blotting and/or flow cytometry.
Exosome miRNA-Seq
Twenty milliliters of cellular supernatant was mixed with Ribo™ Exosome Isolation Reagent, and exosome isolation was performed according to the manufacturer’s instructions (RiboBio, China). Exosomal RNA was extracted by a HiPure Liquid miRNA Kit miRNA Kit (Megan, China). The quantity and integrity of exosomal RNA were assessed using Qubit®2.0 (Life Technologies, USA) and Agilent 2200 TapeStation (Agilent Technologies, USA), respectively. Fifty nanograms of exosomal RNA from each sample was used to prepare small RNA libraries with an NEBNext® Multiplex Small RNA Library Prep Set for Illumina (NEB, USA) according to the manufacturer’s instructions. The libraries were sequenced using HiSeq 2500 (Illumina, USA) with a single-end 50-bp sequence by RiboBio Co., Ltd. (RiboBio, China).
Cell treatment
For experiments analyzing the function of EVs, we cultured primary human hepatocytes until confluence. The medium was changed, and different protein concentrations of Exos (0, 1, 10, 100 μg/mL) were added. Twenty-four hours later, we collected the cells for further detection.
For cell transection experiments, isolated primary human hepatocytes were transduced with lentivirus encoding FOXO1 at a multiplicity of infection (MOI) of 50. miR-183-5p mimics, miR-183-5p inhibitor and their negative controls (NC and anti-NC, respectively) were purchased from RiboBio (Guangzhou, China). miR-183-5p mimics (50 nM) or miR-183-5p inhibitor (100 nM) were used for the transfection of hepatocytes with Lipofectamine 3000® (Invitrogen, USA). The negative control RNA (NC or anti-NC) for the miR-183-5p mimic or miR-183-5p inhibitor was nonhomologous to any human genome sequence.
Flow cytometry
Specific surface markers expressed on EVs were assessed by flow cytometry. EVs were resuspended in PBS and stained with antibodies against CD63 (BD Pharmingen). Dead cells were excluded during the flow cytometry analysis, and gating was performed based on isotype controls. The stained cells were analyzed using a FACSCanto II cytometer and FACSDiva software (BD Biosciences).
Real-time quantitative PCR (RT‒qPCR)
Total RNA was extracted from liver tissues and primary human hepatocytes using TRIzol reagent (Invitrogen Life Technologies) according to the manufacturer’s instructions. RNA transcripts were quantified with brilliant SYBR Green qPCR (TaKaRa, Kyoto, Japan) using a Roche Light-Cycler 4800II real-time PCR system (Roche). The primers are indicated in Table S1. All the data were analyzed using 18S rRNA as an internal control. The relative copies of the target gene were determined using the 2−ΔΔCt method.
Western blotting
Liver samples and cells were harvested and lysed using RIPA buffer with PMSF and a complete protease inhibitor cocktail. The samples were mixed continuously by inversion in a rotating agitator at 4 °C for 1 h and then centrifuged at 12,000 × g and 4 °C for 15 min to pellet insoluble material. The supernatants were collected, and the protein concentrations were determined using a BCA protein assay kit (Pierce, USA). Briefly, the proteins were separated by SDS‒PAGE and transferred to polyvinylidene fluoride membranes (Hybond-P, GE Healthcare, Singapore). The membranes were incubated for 1 h in 5% nonfat milk and Tris-buffered saline with Tween-20 and then incubated overnight at 4 °C with primary antibodies. The membranes were then incubated with HRP-conjugated secondary antibodies for 1 h at room temperature. The proteins were visualized with an enhanced chemiluminescence kit (Pierce, USA) on a Chemi-Doc™ XRS+ system (Bio-Rad). Antibody references are shown in Table S2.
Cell proliferation assays
Primary human hepatocytes (1 × 104 per well) were seeded in a 96-well plate and incubated overnight at 37 °C in DMEM/F12 medium (Thermo Fisher) with 10% fetal bovine serum (Eurobio). Forty-eight hours after seeding, cell proliferation was measured by a BrdU colorimetric ELISA (Abcam) according to the manufacturer’s instructions.
Cell cycle analysis
PHHs were digested with trypsin and resuspended in PBS. Cold 95% ethanol was then added dropwise. After dilution of the cell suspension and removal of the supernatant, PI was added, and the cells were incubated at 37 °C for 30 min. A flow cytometer (BD) was used for detection, and FlowJo V10 software was used for analysis. All of the samples used to determine the cell cycle state were obtained from and analyzed in a single experiment.
Luciferase activity
For generation of luciferase reporter constructs, the 3'-UTR fragment of FOXO1 containing the predicted binding sites of miR-183-5p was cloned into the pmirGLO luciferase vector (Ambion) using synthesized fragments. The corresponding mutant plasmid was also constructed. The cells were cotransfected with wild-type/mutant pmirGLO-h. FOXO1-3'-UTR plasmid and miR-183-5p mimics were generated using Lipofectamine 3000® (Invitrogen, USA). Each group was run in triplicate in 48-well plates. Forty-eight hours after transfection, the luciferase activities were measured using the Dual-Luciferase Reporter Assay System (Promega) and normalized to Renilla luciferase activity.
Histology and immunohistochemistry
Liver tissues were fixed immediately with 4% formaldehyde for histological analysis. Sections (4-µm thick) were prepared from paraffin-embedded tissues and subjected to either H&E staining or immunostaining. Images of H&E-stained sections were captured under a microscope (Biozero BZ-9000 Series; Keyence, Osaka, Japan). The percentage of necrotic area was estimated by random evaluation of 5 low power fields (× 40) per each H&E section. The sections were also stained for proliferating cell nuclear antigen (Ki67) (Abcam), and the levels were measured. Each treatment group comprised 5 mice per time point. The number of Ki67-positive hepatocytes per 1000 hepatocytes was counted in 6separate high-power fields (400 ×) per animal. The percentage of Ki67-positive cells was then calculated by the Image J software, and the results are expressed as a Ki67-labeling index.
Immunofluorescence staining
Liver samples were collected, fixed with 4% formaldehyde and then cryoprotected in 30% sucrose for 48 h. Liver tissues were cut in the coronal plane on a cryostat (Leica) at 10 μm and processed for immunofluorescence staining. The liver sections were permeabilized in 0.3% Triton X-100 (Sigma) for 10 min, blocked in PBS containing 5% BSA for 1 h and incubated overnight with the following primary antibodies at 4 °C. The sections were then washed with PBST and incubated with the appropriate secondary antibodies for 1 h at 37 °C. The slides were covered with glass slide covers applied with mounting media containing 4,6-diamidino-2-phenylindole (DAPI). Images were acquired with a confocal microscope (Olympus FV3000) and FV31S-SW software, and the images were analyzed using ImageJ (version 6.0).
ALT and AST
Blood from the mice was collected, and sera were extracted from the blood. The serum ALT and AST levels were measured with the following colorimetric assays according to the manufacturer’s recommendations: Liquid ALT (SGPT) and Liquid AST (SGOT) (Pointe Scientific).
In vivo image system
C57BL/6 J mice were chosen to serve as an in vivo model for assessment of the hepatic accumulation ability of the miR-183-5p agomir. First, Cy5-labeled miR-183-5p agomir (200 μL) was injected into the mice through the tail vein. At different time points (6, 12, 24 and 72 h), the mice were anesthetized by intraperitoneal injection with 10% chloral hydrate (300 mg/kg), and the fluorescence signal of brain tissue was then measured using an in vivo imaging system (IVIS Spectrum, Caliper) with suitable excitation (Ex)/emission (Em) wavelengths (Ex/Em: 640/680 nm).
Statistical analysis
GraphPad Prism software (version 8.0 for Windows, GraphPad Software, Inc., La Jolla, CA) was used for the statistical analyses. The band intensity in the western blot images was quantified with ImageJ Software. The values are expressed as the means ± SDs of at least three independent experiments. The statistical significance of the differences between two groups was assessed by Student’s t test. For comparisons among multiple groups, the statistical significance was evaluated by one-way ANOVA followed by a Student-Newman‒Keuls test. The survival rates were analyzed by the log-rank (Mantel‒Cox) test. In all the analyses, p < 0.05 was considered to indicate statistical significance.
For further details regarding the materials and methods used, please refer to the Supplementary Information.
Results
HepLPC-EVs improved survival and reinitiated liver regeneration during ALF in vivo
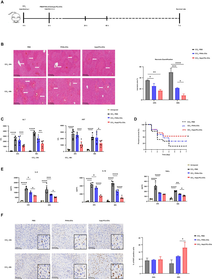
Given that HepLPC-based bioartificial liver-assisted devices could strongly promote liver regeneration in a pig model of ALF through extracorporeal circulation, we speculated that HepLPCs might not only support liver function but also activate hepatocyte proliferation through paracrine effects. To determine whether paracrine signaling via EVs is involved in mediating liver regeneration, we isolated EVs from primary human hepatocytes (PHHs) and HepLPCs, and these EVs were round vesicles with cup-shaped structures (Fig. S1A). The size distribution of the purified EVs was approximately 100 to 150 nm (Fig. S1B). The flow cytometry and western blotting results showed that the EVs released by PHHs and HepLPCs were positive for the EV-related protein CD63 and the exosomal-specific marker TSG101 and negative for markers of early endosomes (EEA-1) or the endoplasmic reticulum (Grp78) (Fig. S1C and D). To explore the therapeutic effect of EVs derived from HepLPCs on ALF, we administered CCl4 to the mice and then treated them with PHH-EVs or HepLPC-EVs (400 μg of total protein) by tail vein injection (Fig. 1A). The uptake of EVs by the liver was examined following intravenous injection of PKH26-labeled EVs (Fig. S2). An assessment of the liver tissues from the PBS and PHH-EV groups revealed notable histopathological alterations, including severe hemorrhagic necrosis, destruction of the liver architecture and inflammatory cell infiltration. However, substantially less prominent damage was observed in the liver tissues of the HepLPC-EV group after 48 h of treatment (Fig. 1B), as shown by the intact structures of hepatic cords and lobules despite the presence of hepatocyte swelling and inflammatory cell infiltration. The serum aspartate aminotransferase (AST) and alanine transaminase (ALT) levels were also significantly attenuated by HepLPC-EV treatment compared with the control treatments (Fig. 1C). Notably, HepLPC-EV treatment resulted in a significant decrease in the ALF-induced death of the animals; specifically, HepLPC-Exo injection resulted in a mortality rate of 46.7% after 72 h, after which time no more deaths were observed, whereas PBS and PHH-EV administration resulted in mortality rates of 86.7% and 66.7% within 7 days (Fig. 1D). These results indicate that HepLPC-EVs exert a protective effect against CCl4-induced ALF. Furthermore, several inflammatory markers were measured in circulating blood to evaluate the systemic inflammatory response after liver injury. IL-1β, IL-6 and TNFα were decreased at least twofold compared to those in the control groups (Fig. 1E). Importantly, Ki67 immunohistochemical staining revealed that the HepLPC-EV treatment group exhibited a significantly increased number of Ki67-positive cells at 48 h compared with the control groups (p < 0.05), which indicates that liver regeneration was effectively initiated (Fig. 1F). Taken together, the data suggest that HepLPC-EVs exert beneficial effects in reducing liver injury and promoting liver regeneration during ALF.
Fig. 1.
HepLPC-EVs improve survival and promote liver regeneration in mice during ALF. (A) Schematic overview of the experimental procedures used for the establishment of CCl4-induced ALF in mice and the subsequent treatments. Male C57BL/6 mice were administered 1 mL/kg CCl4 (diluted 1:4 in peanut oil) or peanut oil (i.p.) to induce ALF, and PHH-EVs, HepLPC-EVs or PBS was then injected via the tail vein. Samples were collected 24 and 48 h later. (B) Histopathological damage in the liver was assessed by H&E staining; scale bar = 200 μm. (C) Survival rates were recorded daily for 7 days. (D) The serum levels of ALT and AST were measured. (E) Serum IL-1β, IL-6 and TNF-α expression was determined by ELISAs. (F) The proliferation index (Ki67) in the liver was determined by immunohistochemistry (IHC); scale bar = 200 μm. The data are expressed as the mean ± SD of three independent experiments performed in triplicate and analyzed by ANOVA. (n = 6–8 mice per group in panels B, D-F, n = 15 mice per group in panel C; *p < 0.05, **p < 0.01, ***p < 0.001, ****p < 0.0001)
HepLPC-EVs promoted hepatocyte proliferation in vitro
To investigate whether HepLPC-EVs could modulate hepatocyte proliferation, we labeled EVs with PKH26 and cocultured them with primary hepatocytes. Fluorescent EVs were clearly observed inside the cells after 24 h of coculture, which suggested that EVs were indeed taken up by the hepatocytes (Fig. 2A). The effect on hepatocyte proliferation was then detected. The BrdU results showed that PHH-EVs and HepLPC-EVs promoted the proliferation of hepatocytes in a concentration-dependent manner, and the greatest efficacy was observed with a concentration of 100 μg/mL (Fig. 2B). The coculture of hepatocytes with 100 μg/mL HepLPC-EVs for 24 h promoted hepatocyte proliferation, as shown by a higher percentage of EdU-positive cells and a higher number of cells coexpressing Ki67 compared with the results obtained from the coculture of hepatocytes with PHH-EVs (Fig. 2C and S3A). Furthermore, we assessed cell cycle progression and cell cycle-related molecule expression. The population of hepatocytes treated with HepLPC-EVs showed a notable decrease in the proportion of cells at the G0/G1 phase and a significantly increased proportion of cells at the S and G2/M phases compared with the hepatocytes treated with PHH-EVs (Fig. 2D), indicating that HepLPC-EVs accelerated cell cycle progression. Moreover, HepLPC-EVs significantly upregulated the expression of the cell cycle-related gene cyclin A and downregulated the expression of p27, which is an inhibitor of G1 cyclin-CKD protein kinase (Figs. 2E and S3B). Collectively, these results showed that HepLPC-EVs could promote hepatocyte proliferation in vitro by regulating cell cycle progression.
Fig. 2.
HepLPC-EVs promote hepatocyte proliferation in vitro. (A) PHH-EVs and HepLPC-EVs were directly labeled with PKH26 and internalized by target hepatocytes. (B) The proliferation of primary hepatocytes after treatment with different concentrations of EVs for 24 h was measured by BrdU incorporation. Primary hepatocytes were cocultured with 100 μg/mL EVs for 24 h. (C) A proliferation assay was conducted using a Cell-Light EdU Apollo 567 in vitro kit; scale bar = 100 μm. (D) Flow cytometry was used for the analysis of cell cycle progression to determine the percentage of cells at each phase of the cell cycle. (E) The expression of cell cycle-regulated proteins was detected by western blotting. The data are expressed as the mean ± SD of three independent experiments performed in triplicate and analyzed by ANOVA. (n = 3; *p < 0.05, **p < 0.01, ***p < 0.001, ****p < 0.0001)
Specific miRNAs were enriched in EVs secreted by HepLPCs
To identify differential miRNA expression between PHH-EVs and HepLPC-EVs, we screened the differentially expressed miRNAs by miRNA-Seq analysis (GSE226645). The overall distribution of the differentially expressed genes (|log2(fold change)|> 1 and p value < 0.05) is presented in the volcano plot. The analysis identified 113 miRNAs with upregulated expression and 60 miRNAs with downregulated expression in HepLPC-EVs compared with PHH-EVs (Fig. 3A). The top 15 upregulated and downregulated miRNAs are presented in the cluster heatmap (Fig. 3B and Table S3); GO and KEGG pathway enrichment analysis revealed the principal pathways affected and suggested that miRNAs are related mainly to PI3K/Akt and AMPK signaling pathway (Fig. 3C and D). Among these miRNAs, 9 upregulated miRNAs related to liver regeneration and liver diseases were chosen for further analysis. The levels of 7 miRNAs (hsa-miR-182, hsa-miR-183-5p, hsa-miR-149, hsa-miR-215, hsa-miR-574, hsa-miR-654 and hsa-miR-675) were confirmed to be significantly increased in both HepLPCs and HepLPC-EVs (Fig. 3E and F).
Fig. 3.
Analysis of differentially expressed miRNAs between PHH-EVs and HepLPC-EVs. (A) Volcano plot of 173 significantly differentially expressed miRNAs in HepLPC-EVs [|log2(fold change)|> 1 and p value < 0.05]. (B) Heatmap of differentially expressed miRNAs between PHH-EVs and HepLPC-EVs. (C) The target genes of differentially expressed miRNAs were analyzed by KEGG pathway enrichment. (D) Top 30 enriched GO terms of the miRNA target genes. (E) The expression of candidate miRNAs in different cells was detected by RT‒qPCR. (F) The expression of candidate miRNAs in EVs secreted from different cell types was detected by RT‒qPCR. The data are expressed as the mean ± SD of three independent experiments performed in triplicate and analyzed by ANOVA. (n = 3; *p < 0.05)
To identify the miRNA responsible for promoting hepatocyte proliferation during liver regeneration, we evaluated the effects of these miRNAs on hepatocyte proliferation by miRNA mimic transfection in vitro. BrdU staining revealed that the hsa-miR-182, hsa-miR-183-5p and hsa-miR-574 mimics significantly promoted proliferation compared with the negative control (NC) (p < 0.05) (Fig. S4A). Moreover, EdU incorporation was significantly enhanced in the hepatocytes transfected with the miR-183-5p mimic, whereas the hepatocytes transfected with other molecules exhibited lower EdU incorporation rates (Fig. S4B). Thus, these findings indicate that miR-183-5p is a key factor in promoting liver regeneration.
Exosomal miR-183-5p promoted hepatocyte proliferation by targeting FoxO1
Consistent with the notion that miR-183-5p promotes proliferation, the cell proliferation rate, as measured by the percentage of Ki67-positive cells (Fig. 4A), was significantly increased in the hepatocytes transfected with the miR-183-5p mimic. Moreover, the miR-183-5p mimic-treated cells exhibited a decreased proportion of cells at the G0/G1 phase and an increased proportion of cells at the S phase (Fig. 4B). In addition, we found that miR-183-5p overexpression enhanced the expression of cyclin A2 and decreased the expression of p27 Kip1 (Fig. 4C and D). Thus, miRNA-183-5p might accelerate cell cycle progression from the G1 phase to the S phase, which indicates its role in promoting hepatocyte proliferation.
Fig. 4.
miR-183-5p promotes hepatocyte proliferation by accelerating cell cycle progression. Primary hepatocytes were transiently transfected with the NC mimic or miR-183-5p mimic for 48 h. (A) Positive expression of Ki67 was detected by immunofluorescence staining; scale bar = 100 μm. (B) Cell cycle progression was analyzed by flow cytometry. The mRNA and protein expression levels of cell cycle-related factors were detected by RT‒qPCR (C) and western blotting (D). The data are expressed as the mean ± SD of three independent experiments performed in triplicate and analyzed by ANOVA. (n = 3; *p < 0.05, **p < 0.01, ***p < 0.001)
The downstream target genes of miR-183-5p were then analyzed using TargetScan, miRTarBase, miRDB and miRWalk, and common targets predicted by multiple databases were considered candidate target genes of this miRNA (Fig. S5A and Table S4). To further establish the regulatory role of miR-183-5p, we transfected hepatocytes with the miR-183-5p mimic and measured the changes in the expression of 10 candidate target genes by RT‒qPCR, and among these genes, the forkhead transcription factor family member FoxO1 was found to be significantly downregulated (Fig. S5B). FoxO1 is a multifunctional transcription factor that regulates the transcription of downstream target genes, including those involved in cell cycle regulation (Accili and Arden 2004; Cheng et al. 2009). To determine whether miR-183-5p directly binds to the 3'-UTR of FoxO1 mRNA, we conducted a transient transfection experiment using a FoxO1 3'-UTR luciferase reporter plasmid containing a putative miR-183-5p-binding site (Fig. 5A). Cells were cotransfected with the NC mimic/miR-183-5p mimic and pmirGlo-FoxO1-3'-UTR-WT/pmirGlo-FoxO1-3'-UTR-Mut, and as shown in Fig. 5B, the luciferase activity was significantly reduced in the FoxO1-3'-UTR-WT group transfected with the miR-183-5p mimic, whereas no change was found in the FoxO1-3'-UTR-Mut group transfected with the miR-183-5p mimic, which suggested that FOXO1 may be a direct target gene of miR-183-5p.
Fig. 5.
miR-183-5p directly targets and inhibits FoxO1 expression. (A) Putative binding site of miR-183-5p in the 3'-UTR of FoxO1 mRNA. (B) Dual-luciferase activity was detected after the cotransfection of pmirGLO plasmids carrying WT or Mut FoxO1 3'-UTR sequences with miR-NC or miR-183-5p mimics. (C) The protein expression of FoxO1 in hepatocytes after the different treatments was examined by western blotting, and the protein bands were assessed. The data are expressed as the mean ± SD of three independent experiments performed in triplicate and analyzed by ANOVA. (n = 3; *p < 0.05, **p < 0.01, ***p < 0.001)
In addition, the expression of FoxO1 was significantly downregulated after transfection with the miR-183-5p mimic and was upregulated after transfection with the miR-183-5p inhibitor. The protein level of FoxO1 was decreased in the hepatocytes treated with HepLPC-EVs but was not decreased in the hepatocytes treated with PHH-EVs. Furthermore, treatment of HepLPC-EVs with the miR-183-5p inhibitor restored the protein expression of FoxO1 in hepatocytes (Fig. 5C). Taken together, the data indicate that miR-183-5p directly targets FoxO1 and inhibits FoxO1 protein expression.
The miR-183-5p-FoxO1/Akt/GSK3β/β-catenin axis regulated hepatocyte proliferation and promoted liver regeneration
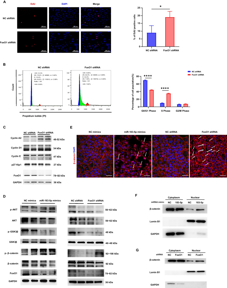
To explore the underlying mechanism through which miR-183-5p promoted liver regeneration, we performed KEGG pathway and GO enrichment analyses. The results showed that miR-183-5p was enriched in metabolic pathway regulation and several signaling cascades, such as the PI3K-Akt pathway and AMPK pathway. FoxO1 was previously reported to be a major mediator of the Akt-dependent regulation of liver proliferation after partial hepatectomy[20]. Therefore, we explored whether FoxO1 modulates Akt signaling in regulating cell proliferation during hepatic injury. ShRNAs were transfected into hepatocytes to inhibit the expression of FoxO1. Inhibition of FoxO1 robustly increased EdU-positive cells and promoted cell cycle progression (Fig. 6A and B). Moreover, silencing FoxO1 caused upregulation of the expression of the cell cycle-related gene cyclin A and downregulation of p27 expression (Fig. 6C). Interestingly, transfection miR-183-5p mimic and knockdown of FoxO1 inhibited the phosphorylation of Akt and inactivated the Wnt/beta-catenin pathway by phosphorylating GSK3β and inhibiting its activity (Fig. 6D). These results demonstrated that the inhibition of FoxO1 might promote hepatocyte proliferation through the AKT/GSK3β/β-catenin pathways.
Fig. 6.
The miR-183-5p-FoxO1/Akt/GSK3β/β-catenin axis regulates hepatocyte proliferation and promotes liver regeneration. Knockdown of FoxO1 in primary hepatocytes was performed using a lentiviral vector carrying FoxO1 shRNA, and a nonloaded shRNA lentiviral vector was used as a negative control. (A) A proliferation assay was conducted using a Cell-Light EdU Apollo 567 in vitro kit; scale bar = 100 μm. (B) Cell cycle progression was analyzed by flow cytometry. (C) The expression of cell cycle-regulated proteins was detected by western blotting. (D) The protein levels of FoxO1 and the levels of phosphorylated Akt, GSK3β and β-catenin in hepatocytes were detected by western blotting. (E) The distribution of β-catenin in the cytoplasm and nucleus of hepatocytes with stable FoxO1 knockdown was analyzed by immunofluorescence assays (White arrows indicate nuclear translocation of β-catenin). The levels of β-catenin in the nucleus and cytoplasm of hepatocytes after the cells were transfected with (F) miRNA-183-5p mimic/inhibitor or (G) FoxO1 shRNA were detected by western blotting. The data are expressed as the mean ± SD of three independent experiments performed in triplicate and analyzed by ANOVA. (n = 3; *p < 0.05, ****p < 0.0001)
The canonical Wnt signaling pathway includes the stabilization of β-catenin in the cytosol and its nuclear translocation. Wnt ligand binding inhibits the destruction of β-catenin in the cytoplasm, which allows β-catenin to accumulate and translocate into the nucleus[21]. miR-183-5p mimic transfection inhibited FoxO1 expression, and the expression of β-catenin and its levels in the nucleus were significantly increased (Fig. 6E and F). The expression results obtained after the knockdown of FoxO1 were consistent with those obtained after transfection with the miR-183-5p mimic (Fig. 6G). Overall, our results showed that miR-183-5p could promote hepatocyte proliferation by inhibiting FoxO1 and positively regulate the Akt/GSK3β/β-catenin axis.
miR-183-5p accelerated liver regeneration in mice with ALF
Given that miR-183-5p promoted hepatocyte proliferation in vitro, we subsequently investigated the effect of miR-183-5p on liver regeneration in vivo. Two models of liver injury were used: models of CCl4- and APAP-induced acute liver toxicity. Mice with ALF were injected with miR-183-5p agomir/miR-NC agomir or control/miR-183-5p KD HepLPC-EVs via the tail vein (Figs. 7A and S9A). The expression of miR-183-5p was significantly upregulated in the miR-183-5p agomir-treated mice (Fig. S6A-B). To protect the miRNAs from degradation and prolong the release period, we constructed a nanopolymer-encapsulated miR-183-5p agomir. The contrast of the in vivo fluorescence images was enhanced, and maximal hepatic accumulation was delayed (Fig. S7). We knocked down miR-183-5p in HepLPCs using a lentiviral vector carrying a miR-183-5p sponge. A nonloaded miRNA lentiviral vector was used as a control. EVs were isolated from these cells and named HepLPC-EVscontrol and HepLPC-EVsmiR−183−5p KD. The qRT‒PCR results showed that miR-183-5p expression was successfully knocked down in the HepLPC-EVsmiR−183−5p KD (Fig. S6C).
Fig. 7.
miR-183-5p accelerates liver regeneration in mice with ALF. (A) Schematic overview of the experimental procedures used for the establishment of CCl4-induced ALF in mice and the subsequent treatments. Male C57BL/6 mice were administered 1 mL/kg CCl4 (diluted 1:4 in peanut oil) or peanut oil alone (i.p.) to induce ALF; miR-NC agomir, miR-183-5p agomir, HepLPC-EVscontrol or HepLPC-EVsmiR−183−5p.KD were then injected via the tail vein; and samples were collected 24 and 48 h later. (B) The survival rates were recorded daily for 7 days. (C) Histopathological damage in the liver was detected by H&E staining; scale bar = 200 μm. The serum levels of ALT (D) and AST (E) were measured. (F) The proliferation index (Ki67) in the liver was determined by IHC) The data are expressed as the mean ± SD of three independent experiments performed in triplicate and analyzed by ANOVA. (n = 6–8 mice per group in panels C-G, n = 15 mice per group in panel B; *p < 0.05, **p < 0.01, ****p < 0.0001)
Among the mice with CCl4-induced ALF, the mortality rate within 48 h was more than 70% in the NC group but only 20% in the miR-183-5p agomir group (Fig. 7B). Hematoxylin and eosin (H&E) staining revealed that vacuolization, hepatocyte necrosis, inflammatory infiltration and liver lobule destruction were substantially improved in the miR-183-5p agomir group compared with the miR-NC agomir group at 48 h (Fig. 7C). As shown in Fig. 7D and E, the serum AST and ALT levels gradually increased and peaked at approximately 48 h. The serum AST and ALT levels in the miR-183-5p agomir group were significantly lower than those in the miR-NC group (p < 0.05). Furthermore, we compared the regeneration of the liver in the two groups over a time course of 24 and 48 h and detected the expression of Ki67. The number of Ki67-positive cells in the miR-183-5p agomir group was higher than that in the miR-NC agomir group at 48 h (p < 0.05; Fig. 7F), which indicated that liver regeneration was effectively initiated. Moreover, miR-183-5p knockdown in HepLPCs reversed the beneficial outcomes and functional recovery of HepLPC-EV treatment, suggesting that miR-183-5p in HepLPC-EVs was essential in promoting liver regeneration and rehabilitation. Mechanistically, the FoxO1 levels in the mouse livers showed a significant and gradual decrease after miR-183-5p agomir treatment in a time-dependent manner (Fig. S8).
Among the mice with APAP-induced ALF, miR-183-5p agomir treatment also led to a notably improved survival rate within 24 h compared with that obtained with miR-NC agomir treatment (p < 0.05; Fig. S9B). At 24 h after injury, the miR-183-5p agomir group showed reduced pathological damage (Fig. S9C). Biochemical assays indicated that miR-183-5p agomir treatment significantly decreased the serum levels of ALT and AST (Fig. S9D). In addition, the number of proliferating Ki67-positive cells was increased with marginal significance in the miR-183-5p agomir group compared with the miR-NC agomir group (Fig. S9E). Overall, we inferred that miR-183-5p ameliorated liver damage and promoted liver regeneration in mice with ALF, which suggests the therapeutic potential of HepLPC-derived exosomal miRNAs for ALF.
Discussion
This study provided the first evidence of a functional role of HepLPC-EVs in murine ALF. We demonstrated that EVs derived from HepLPCs improved liver function, reduced liver damage, and promoted liver regeneration in ALF. Furthermore, we showed that miR-183-5p was a key component of HepLPC-EVs that played a role in liver regeneration. Specifically, miR-183-5p participated in the regulation of proliferation via the FoxO1/Akt/GSK3β/β-catenin axis, which resulted in self-renewal and survival. Thus, our findings suggest that HepLPC-EVs can restore homeostasis after liver injury, and miR-183-5p shows clinical promise as a novel therapeutic strategy for ALF.
The liver is a vital organ that regulates many essential metabolic functions and maintains body homeostasis (Li et al. 2020b; Michalopoulos 2017). Liver regeneration is a compensatory process that occurs following liver injury or disease and is mainly achieved by two mechanisms: the self-duplication of mature hepatocytes and the renewal and differentiation of liver progenitor cells (Forbes and Newsome 2016). Upon 2/3 partial hepatectomy, regeneration is primarily initiated by the self-duplication of parenchymal cells. In the case of persistent liver injury, endogenous hepatocytes are not only unable to self-renew to replenish the loss of liver parenchyma but also cannot reshape the regenerative microenvironment due to their insufficient transformation ability (Espanol-Suner et al. 2012; Grompe 2014). Therefore, exogenous supplementation with LPCs may promote the recovery of liver function. Our previous studies have demonstrated that mature hepatocytes can be transformed into HepLPCs by small molecule reprogramming in vitro. HepLPCs can also differentiate into mature hepatocytes (Fu et al. 2019; Wu et al. 2017) and promote liver regeneration in vivo (Huang et al. 2021; Li et al. 2020a). Interestingly, our previous study found various human growth factors in piglet plasma after bioartificial liver treatment, which indicates that exogenous secreted factors can prevent hepatotoxicity and accelerate liver recovery at the early stage of liver impairment, but the underlying mechanism is still unclear (Li et al. 2020a).
Previous studies have emphasized that EVs, chemokines, miRNAs and other soluble substances secreted by target cells act in a paracrine manner to affect biological functions (Bruno et al. 2019; Tsuruya et al. 2015). Among these substances, EVs, including microvesicles and Exos, are key components in paracrine secretion (Sahoo et al. 2011; Thietart and Rautou 2020). The direct injection of Exos isolated from humans into the mouse liver alleviated CCl4-induced acute liver injury in vivo (Chen et al. 2017). In addition to our findings, mesenchymal stem cell-derived Exos could partially repair hepatic damage and promote liver repair (Damania et al. 2018). Nojima et al. demonstrated that hepatocyte-derived Exos induce hepatocyte proliferation in vitro and liver regeneration in mouse models of liver ischemia/reperfusion injury or partial hepatectomy by transferring neutral ceramidase and sphingosine kinase 2, which led to increased synthesis of sphingosine-1-phosphate in the recipient hepatocytes (Nojima et al. 2016). Our results showed that HepLPC-EVs could promote hepatocyte proliferation in vitro and enhance liver regeneration in ALF in vivo. Furthermore, exosomal miR-183-5p directly inhibited FoxO1, which is involved in cell survival and cell cycle control, accelerated cell cycle progression and promoted liver regeneration by regulating the Akt/GSK3β/β-catenin signaling pathway.
Emerging evidence indicates that Exos can shuttle miRNAs into neighboring or distant cells. Notably, miRNAs do not randomly enter Exos; instead, specific miRNAs selectively enter Exos. The entry of exosomal miRNA into recipient cells results in a wide range of biological effects through post-transcriptional regulation (Guduric-Fuchs et al. 2012). Although the effects of other exosomal cargos on recipient cells cannot be completely excluded, miRNAs are considered the key functional elements. Analyses of exosomal miRNAs may help researchers understand the mechanisms underlying liver disease and may provide new ideas for the development of targeted therapeutic approaches in the future (Sato et al. 2016; Valadi et al. 2007). Previous studies have shown that miRNA-183, a member of the miRNA-183–96-182 cluster, regulates cell proliferation, apoptosis, metabolism and differentiation (Ichiyama et al. 2016; Pellicano et al. 2018). Furthermore, miR-183 could attenuate hepatic ischemia‒reperfusion injury by inhibiting Apaf1/caspase-3/9-mediated apoptosis (Lin et al. 2017). In this study, the administration of miR-183-5p agomir significantly increased the survival rates and promoted liver regeneration in mice with ALF, which indicates a protective role of miR-183-5p in liver regeneration. Accumulating evidence shows that Exos exhibit superior biocompatibility, biostability and low immunogenicity compared with traditional cell therapy, allowing their extensive application in growing fields of translational medicine (El Andaloussi et al. 2013; Kamerkar et al. 2017). Therefore, the development of engineered Exos and exosomal miRNAs is important for the development of novel diagnostic and therapeutic approaches to prevent and treat liver diseases.
A few limitations of this study should be acknowledged. The potential mechanisms of the therapeutic effects of HepLPC-EVs remain unclear. Our findings suggest that the exosomal transfer of miR-183-5p may be a novel mechanism underlying the paracrine effects of HepLPC-EVs, although other mechanisms of action are probably also important. HepLPC-EVs have shown promising efficacy in acute models of liver injury, but further research is needed to explore their effects in more chronic liver damage models. Moreover, clinical studies in humans are warranted to examine the effectiveness of HepLPC-EVs in liver diseases.
Conclusion
In summary, we showed that HepLPCs secrete exosomal miRNAs that influence liver regeneration. Treatment with HepLPC-EVs or miR-183-5p agomir promoted liver regeneration by regulating FoxO1/Akt/GSK3β/β-catenin signaling in mice with ALF. These findings may pave the way for future translational applications in the fabrication of “super” Exos for liver disease diagnostics and targeted therapy.
Supplementary Information
Below is the link to the electronic supplementary material.
Acknowledgements
This work was supported by National Key R&D Program (2018YFA0108200); the National Natural Science Foundation of China (82270635&32030043&82070619); Shanghai Engineering Research Center of Peri-operative Organ Support and Function Preservation (20DZ2254200); Shanghai Municipal Key Clinical Specialty (shslczdzk03601); Shanghai Academic/Medical Research Leader Program (2018BR14), the Shanghai Municipal Education Commission (Grant number 2019-01-07-00-01-E00074) and the Shanghai Pudong New Area Municipal Commission of Health and Family Planning Funding (PWZXQ2017-06). The authors thank Lin Zeng (NewCore Biodata Studio, Shanghai) for sequencing data analysis.
Abbreviations
- HepLPCs
Hepatocyte-derived liver progenitor-like cells
- ALF
Acute liver failure
- PHH
Primary human hepatocytes
- Exos
Exosomes
- CCl4
Carbon tetrachloride
- APAP
Acetaminophen
- Ali-BAL
Air-liquid interactive bioartificial liver
- EVs
Extracellular vesicles
Author contributions
W.Y. and H.Y. conceptualized the study. The study was designed by Y.C. and supervised by H.Y. The manuscript was written by Y.C. Q.L., D.T., T.Y. and Y.J. provided important biological samples or research tools and provided important ideas and edited the manuscript. L.Y.,H.W., H.Z. and W.L. provided bioinformatics analysis. The other experiment and data analysis were performed by Y.C., Y.W., X.Z., S.X,W.H., C.C. and H.S.. All authors revised the manuscript critically.
Data availability
No datasets were generated or analysed during the current study.
Declarations
This work was supported in part by Shanghai Celliver Biotechnology Co. Ltd., Shanghai, China. H-D.Z. is a full-time employee of Shanghai Celliver Biotechnology Co. Ltd. H-X.Y. is the founder of Shanghai Celliver Biotechnology Co. Ltd., Shanghai, China and have an equity interest in Celliver Biotechnology Inc. All other authors declare that they have no competing interests.
Competing interests
The authors declare no competing interests.
Footnotes
Publisher's Note
Springer Nature remains neutral with regard to jurisdictional claims in published maps and institutional affiliations.
Yi Chen, Yuling Wu and Hanyong Sun are contributed equally to this work.
Contributor Information
Qigen Li, Email: qigenli@hotmail.com.
Hexin Yan, Email: hexinyw@163.com.
Weifeng Yu, Email: ywf808@yeah.net.
References
- Accili D, Arden KC. FoxOs at the crossroads of cellular metabolism, differentiation, and transformation. Cell. 2004;117:421–6. 10.1016/s0092-8674(04)00452-0. [DOI] [PubMed] [Google Scholar]
- Bernal W, Wendon J. Acute liver failure. N Engl J Med. 2013;369:2525–34. 10.1056/NEJMra1208937. [DOI] [PubMed] [Google Scholar]
- Bird TG, Mueller M, Boulter L, Vincent DF, Ridgway RA, Lopez-Guadamillas E, Lu W-Y, Jamieson T, Govaere O, Campbell AD, Ferreira-Gonzalez S, Cole AM, Hay T, Simpson KJ, Clark W, Hedley A, Clarke M, Gentaz P, Nixon C, Bryce S, Kiourtis C, Sprangers J, Nibbs RJB, Van Rooijen N, Bartholin L, McGreal SR, Apte U, Barry ST, Iredale JP, Clarke AR, Serrano M, Roskams TA, Sansom OJ, Forbes SJ. TGF beta inhibition restores a regenerative response in acute liver injury by suppressing paracrine senescence. Sci Trans Med. 2018;10. 10.1126/scitranslmed.aan1230. [DOI] [PMC free article] [PubMed]
- Bruno S, Kholia S, Deregibus MC, Camussi G. The Role of Extracellular Vesicles as Paracrine Effectors in Stem Cell-Based Therapies. In: Ratajczak MZ editor. Stem Cells: Therapeutic Appl. 2019. pp. 175–93. [DOI] [PubMed]
- Chen L, Xiang B, Wang X, Xiang C. Exosomes derived from human menstrual blood-derived stem cells alleviate fulminant hepatic failure. Stem Cell Res Ther. 2017;8:9. 10.1186/s13287-016-0453-6. [DOI] [PMC free article] [PubMed] [Google Scholar]
- Chen Y, Tang D, Wu H, Wu Y, Yuan T, Zhang H, Jiao Y, Yu W, Yan H. Assessment of long-term functional maintenance of primary human hepatocytes to predict drug-induced hepatoxicity in vitro. Arch Toxicol. 2021. 10.1007/s00204-021-03050-y. [DOI] [PubMed] [Google Scholar]
- Cheng Z, Guo S, Copps K, Dong X, Kollipara R, Rodgers JT, Depinho RA, Puigserver P, White MF. Foxo1 integrates insulin signaling with mitochondrial function in the liver. Nat Med. 2009;15:1307–11. 10.1038/nm.2049. [DOI] [PMC free article] [PubMed] [Google Scholar]
- Damania A, Jaiman D, Teotia AK, Kumar A. Mesenchymal stromal cell-derived exosome-rich fractionated secretome confers a hepatoprotective effect in liver injury. Stem Cell Res Ther. 2018;9:31. 10.1186/s13287-017-0752-6. [DOI] [PMC free article] [PubMed] [Google Scholar]
- El Andaloussi S, Maeger I, Breakefield XO, Wood MJA. Extracellular vesicles: biology and emerging therapeutic opportunities. Nat Rev Drug Discovery. 2013;12:348–58. 10.1038/nrd3978. [DOI] [PubMed] [Google Scholar]
- Espanol-Suner R, Carpentier R, Van Hul N, Legry V, Achouri Y, Cordi S, Jacquemin P, Lemaigre F, Leclercq IA. Liver progenitor cells yield functional hepatocytes in response to chronic liver injury in mice. Gastroenterology. 2012;143(1564–75): e7. 10.1053/j.gastro.2012.08.024. [DOI] [PubMed] [Google Scholar]
- Forbes SJ, Newsome PN. Liver regeneration - mechanisms and models to clinical application. Nat Rev Gastroenterol Hepatol. 2016;13:473–85. 10.1038/nrgastro.2016.97. [DOI] [PubMed] [Google Scholar]
- Fu GB, Huang WJ, Zeng M, Zhou X, Wu HP, Liu CC, Wu H, Weng J, Zhang HD, Cai YC, Ashton C, Ding M, Tang D, Zhang BH, Gao Y, Yu WF, Zhai B, He ZY, Wang HY, Yan HX. Expansion and differentiation of human hepatocyte-derived liver progenitor-like cells and their use for the study of hepatotropic pathogens. Cell Res. 2019;29:8–22. 10.1038/s41422-018-0103-x. [DOI] [PMC free article] [PubMed] [Google Scholar]
- Grompe M. Liver stem cells, where art thou? Cell Stem Cell. 2014;15:257–8. 10.1016/j.stem.2014.08.004. [DOI] [PubMed] [Google Scholar]
- Guduric-Fuchs J, O'Connor A, Camp B, O'Neill CL, Medina RJ, Simpson DA. Selective extracellular vesicle-mediated export of an overlapping set of microRNAs from multiple cell types. Bmc Genomics. 2012;13. 10.1186/1471-2164-13-357. [DOI] [PMC free article] [PubMed]
- Huang WJ, Zhou X, Fu GB, Ding M, Wu HP, Zeng M, Zhang HD, Xu LY, Gao Y, Wang HY, Yan HX. The combined induction of liver progenitor cells and the suppression of stellate cells by small molecules reverts chronic hepatic dysfunction. Theranostics. 2021;11:5539–52. 10.7150/thno.54457. [DOI] [PMC free article] [PubMed] [Google Scholar]
- Huch M, Dorrell C, Boj SF, van Es JH, Li VSW, van de Wetering M, Sato T, Hamer K, Sasaki N, Finegold MJ, Haft A, Vries RG, Grompe M, Clevers H. In vitro expansion of single Lgr5(+) liver stem cells induced by Wnt-driven regeneration. Nature. 2013;494:247–50. 10.1038/nature11826. [DOI] [PMC free article] [PubMed] [Google Scholar]
- Ichiyama K, Gonzalez-Martin A, Kim BS, Jin HY, Jin W, Xu W, Sabouri-Ghomi M, Xu S, Zheng P, Xiao C, Dong C. The MicroRNA-183-96-182 cluster promotes T helper 17 cell pathogenicity by negatively regulating transcription factor Foxo1 expression. Immunity. 2016;44:1284–98. 10.1016/j.immuni.2016.05.015. [DOI] [PMC free article] [PubMed] [Google Scholar]
- Kamerkar S, LeBleu VS, Sugimoto H, Yang S, Ruivo CF, Melo SA, Lee JJ, Kalluri R. Exosomes facilitate therapeutic targeting of oncogenic KRAS in pancreatic cancer. Nature. 2017;546:498-+. 10.1038/nature22341. [DOI] [PMC free article] [PubMed]
- Lazzeri E, Angelotti ML, Conte C, Anders HJ, Romagnani P. Surviving acute organ failure: cell polyploidization and progenitor proliferation. Trends Mol Med. 2019;25:366–81. 10.1016/j.molmed.2019.02.006. [DOI] [PubMed] [Google Scholar]
- Li W, Li L, Hui L. Cell plasticity in liver regeneration. Trends Cell Biol. 2020b;30:329–38. 10.1016/j.tcb.2020.01.007. [DOI] [PubMed] [Google Scholar]
- Li W-J, Zhu X-J, Yuan T-J, Wang Z-Y, Bian Z-Q, Jing H-S, Shi X, Chen C-Y, Fu G-B, Huang W-J, Shi Y-P, Liu Q, Zeng M, Zhang H-D, Wu H-P, Yu W-F, Zhai B, Yan H-X. An extracorporeal bioartificial liver embedded with 3D-layered human liver progenitor-like cells relieves acute liver failure in pigs. Sci Trans Med. 2020a;12. 10.1126/scitranslmed.aba5146. [DOI] [PubMed]
- Lin H-C, Liu S-Y, Yen E-Y, Li T-K, Lai IR. microRNA-183 mediates protective postconditioning of the liver by repressing apaf-1. Antioxid Redox Signal. 2017;26:584–98. 10.1089/ars.2016.6679. [DOI] [PubMed] [Google Scholar]
- Matsumoto T, Wakefield L, Tarlow BD, Grompe M. In vivo lineage tracing of polyploid hepatocytes reveals extensive proliferation during liver regeneration. Cell Stem Cell. 2020;26. 10.1016/j.stem.2019.11.014. [DOI] [PMC free article] [PubMed]
- Michalopoulos GK. Hepatostat: liver regeneration and normal liver tissue maintenance. Hepatology. 2017;65:1384–92. 10.1002/hep.28988. [DOI] [PubMed] [Google Scholar]
- Miyajima A, Tanaka M, Itoh T. Stem/progenitor cells in liver development, homeostasis, regeneration, and reprogramming. Cell Stem Cell. 2014;14:561–74. 10.1016/j.stem.2014.04.010. [DOI] [PubMed] [Google Scholar]
- Nojima H, Freeman CM, Schuster RM, Japtok L, Kleuser B, Edwards MJ, Gulbins E, Lentsch AB. Hepatocyte exosomes mediate liver repair and regeneration via sphingosine-1-phosphate. J Hepatol. 2016;64:60–8. 10.1016/j.jhep.2015.07.030. [DOI] [PMC free article] [PubMed] [Google Scholar]
- Pellicano F, Park L, Hopcroft LEM, Shah MM, Jackson L, Scott MT, Clarke CJ, Sinclair A, Abraham SA, Hair A, Helgason GV, Aspinall-O’Dea M, Bhatia R, Leone G, Kranc KR, Whetton AD, Holyoake TL. hsa-mir183/EGR1-mediated regulation of E2F1 is required for CML stem/progenitor cell survival. Blood. 2018;131:1532–44. 10.1182/blood-2017-05-783845. [DOI] [PMC free article] [PubMed] [Google Scholar]
- Raven A, Lu W-Y, Man TY, Ferreira-Gonzalez S, O'Duibhir E, Dwyer BJ, Thomson JP, Meehan RR, Bogorad R, Koteliansky V, Kotelevtsev Y, Ffrench-Constant C, Boulter L, Forbes SJ. Cholangiocytes act as facultative liver stem cells during impaired hepatocyte regeneration. Nature. 2017;547:350-+. 10.1038/nature23015. [DOI] [PMC free article] [PubMed]
- Sahoo S, Klychko E, Thorne T, Misener S, Schultz KM, Millay M, Ito A, Liu T, Kamide C, Agrawal H, Perlman H, Qin G, Kishore R, Losordo DW. Exosomes from human CD34(+) stem cells mediate their proangiogenic paracrine activity. Circ Res. 2011;109:724–8. 10.1161/CIRCRESAHA.111.253286. [DOI] [PMC free article] [PubMed] [Google Scholar]
- Sato K, Meng F, Glaser S, Alpini G. Exosomes in liver pathology. J Hepatol. 2016;65:213–21. 10.1016/j.jhep.2016.03.004. [DOI] [PMC free article] [PubMed] [Google Scholar]
- Stanger BZ, Greenbaum L. The role of paracrine signals during liver regeneration. Hepatology. 2012;56:1577–9. 10.1002/hep.25911. [DOI] [PMC free article] [PubMed] [Google Scholar]
- Stravitz RT, Lee WM. Acute liver failure. Lancet. 2019;394:869–81. 10.1016/s0140-6736(19)31894-x. [DOI] [PMC free article] [PubMed] [Google Scholar]
- Tarlow BD, Pelz C, Naugler WE, Wakefield L, Wilson EM, Finegold MJ, Grompe M. Bipotential adult liver progenitors are derived from chronically injured mature hepatocytes. Cell Stem Cell. 2014;15:605–18. 10.1016/j.stem.2014.09.008. [DOI] [PMC free article] [PubMed] [Google Scholar]
- Thietart S, Rautou PE. Extracellular vesicles as biomarkers in liver diseases: A clinician’s point of view. J Hepatol. 2020. 10.1016/j.jhep.2020.07.014. [DOI] [PubMed] [Google Scholar]
- Tsuruya K, Chikada H, Ida K, Anzai K, Kagawa T, Inagaki Y, Mine T, Kamiya A. A paracrine mechanism accelerating expansion of human induced pluripotent stem cell-derived hepatic progenitor-like cells. Stem Cells Dev. 2015;24:1691–702. 10.1089/scd.2014.0479. [DOI] [PMC free article] [PubMed] [Google Scholar]
- Valadi H, Ekstrom K, Bossios A, Sjostrand M, Lee JJ, Lotvall JO. Exosome-mediated transfer of mRNAs and microRNAs is a novel mechanism of genetic exchange between cells. Nat Cell Biol. 2007;9:654–9. 10.1038/ncb1596. [DOI] [PubMed] [Google Scholar]
- Wang B, Zhao L, Fish M, Logan CY, Nusse R. Self-renewing diploid Axin2(+) cells fuel homeostatic renewal of the liver. Nature. 2015;524:180-+. 10.1038/nature14863. [DOI] [PMC free article] [PubMed]
- Wu H, Zhou X, Fu GB, He ZY, Wu HP, You P, Ashton C, Wang X, Wang HY, Yan HX. Reversible transition between hepatocytes and liver progenitors for in vitro hepatocyte expansion. Cell Res. 2017;27:709–12. 10.1038/cr.2017.47. [DOI] [PMC free article] [PubMed] [Google Scholar]
Associated Data
This section collects any data citations, data availability statements, or supplementary materials included in this article.
Supplementary Materials
Data Availability Statement
No datasets were generated or analysed during the current study.









