When a congenital diaphragmatic hernia (CDH) is left-sided, radiographic diagnosis is usually straightforward. Right-sided CDH is clinically and radiographically more difficult.
CASE HISTORY
Dichorionic twins, a girl (twin 1) and a boy (twin 2), were born at 37 weeks by emergency caesarean section for prolonged rupture of membranes and fetal tachycardia in twin 1. At first they were in good condition but at ten hours of age twin 2 developed signs of respiratory distress with mild hypercapnia (pCO2 7–8 kPa) but no significant acidosis. A chest radiograph showed infiltrative changes in the right middle and lower lobes with the diaphragm apparently normal (Figure 1). Because the infant was irritable on handling, lumbar puncture was performed in addition to a partial sepsis screen. Antibiotics were given and the respiratory distress settled in forty-eight hours without respiratory support. C-reactive protein peaked at 89 mg/L on day 4 and was normal by day 7; all cultures were subsequently reported negative. Twin 1, who likewise received antibiotics, had a raised C-reactive protein and group B streptococcus was grown from surface swabs.
Figure 1.
Initial chest radiograph showing infiltrative changes in the right middle and lower lobes with normal diaphragmatic appearance
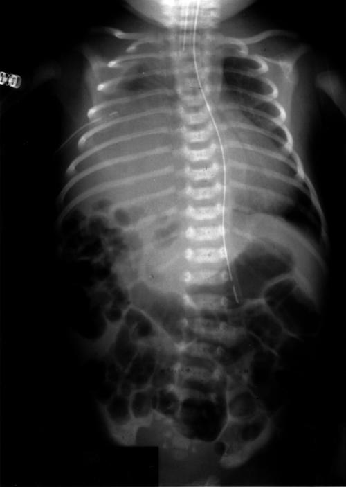
On day 9 twin 2 became severely distressed with tachypnoea and a respiratory acidosis (pCO2 10 kPa). The chest radiograph (Figure 2) showed complete opacification of the right hemithorax consistent with a pleural effusion. In addition the nasogastric tube was noted to deviate to the left at the level of the mid-oesophagus. The infant was placed on continuous positive airway pressure with supplemental oxygen. An intercostal drain was inserted at the fourth intercostal space in the mid-axillary line and 27 mL clear serous fluid was obtained. When the drain ceased to show respiratory swings but clinical signs persisted, 20 mL of clear fluid was removed by thoracocentesis. The chest radiograph now revealed a liver shadow and bowel gas in the right hemithorax (Figure 2). An ultrasound scan, likewise indicating that the liver was in the right hemithorax, suggested that the intercostal drain was embedded in the right lobe of the liver. The infant was then transferred to the regional neonatal surgical centre with the chest drain in situ. On arrival he was intubated and mechanically ventilated. CT confirmed that the intercostal drain was in the liver. At operation on day 11 the liver and bowel contents were returned to the abdomen and a small defect in the centre of the right diaphragm was repaired. He recovered without incident.
Figure 2.
Chest radiograph following insertion of chest drain, showing partial drainage of the pleural effusion. The liver shadow and bowel gas are now seen in the right hemithorax
COMMENT
We suspect that both twins initially had group B streptococcal sepsis. In twin 2, herniation of liver and bowel through the diaphragmatic defect (perhaps intermittent1,2) then caused the pleural effusion by obstructing hepatic venous outflow and causing transudative weeping from the liver surface. The rapid onset of respiratory distress at day 9 was presumably due to the combined effects of the hernia and the effusion.
This is not the first report of accidental insertion of an intercostal drain into a baby's liver when radiological appearances have suggested pleural effusion or pneumothorax.3-5 One lesson of this case, which fortunately ended happily, is that a previously normal chest radiograph does not preclude the diagnosis of a delayed presentation of congenital diaphragmatic hernia. Moreover, evidence of mediastinal shift, as seen here with the feeding tube, must be taken seriously. These observations are not new: indeed, more than 20 years ago Akierman and Maycock2 proposed that congenital diaphragmatic hernia should be considered in exactly these circumstances—when early-onset group B streptococcal infection is followed by a period of improvement and then increased respiratory distress, right-sided pleural effusion and partial or complete opacification of the right side of the thorax associated with mediastinal shift to the left.
References
- 1.Kirchner SG, Burko H, O'Neill JA, et al. Delayed radiographic presentation of congenital right diaphragmatic hernia. Radiology 1975; 115: 155-6 [DOI] [PubMed] [Google Scholar]
- 2.Akierman AR, Maycock DE. Group B streptococcal septicemia and delayed-onset congenital right-sided diaphragmatic hernia. Can Med Assoc J 1983;129: 1289-90 [PMC free article] [PubMed] [Google Scholar]
- 3.Chilton HW. Right-sided congenital diaphragmatic herniae presenting as pleural effusions in the newborn: dangers and pitfalls. Arch Dis Child 1978;53: 600-3 [DOI] [PMC free article] [PubMed] [Google Scholar]
- 4.Khwaja MS, Al-Arfaj AL, Dawoodu AH. Congenital right-sided diaphragmatic hernia: a heterogeneous lesion. J R Coll Surg Edinb 1989;34: 219-22 [PubMed] [Google Scholar]
- 5.Elhalaby EA, Abo Sikeena MH. Delayed presentation of congenital diaphragmatic hernia. Paediatr Surg Int 2002;18: 480-5 [DOI] [PubMed] [Google Scholar]


