Abstract
Background
Macroscopic fat pulmonary embolism is extremely uncommon. Most cases occur in the context of fat grafting or long bone fractures. Macroscopic fat pulmonary embolism may be associated with cardiopulmonary compromise and is associated with high mortality. Mechanical thrombectomy is an emerging technique in interventional radiology, primarily investigated as a therapeutic approach for thrombotic pulmonary embolism.
Case presentation
We present a case report of a 73-year-old woman with macroscopic fat pulmonary embolism after a neck of femur fracture. Initially, she had severe circulatory shock, requiring multiple vasopressors and admission to the Intensive Care Unit. A percutaneous large-bore mechanical thrombectomy was performed, after which notable improvements to haemodynamic function and overall clinical trajectory were observed.
Conclusions
To our knowledge, this is the first report of mechanical thrombectomy in macroscopic fat pulmonary embolism. Further research is required to better delineate the role of mechanical thrombectomy in this rare condition.
Keywords: Pulmonary embolism, Pulmonary fat embolism, CT pulmonary angiogram, Thrombectomy, Mechanical thrombectomy
Background
Fat embolism refers to the presence of fat in the circulation. Fat embolism may lead to fat embolism syndrome, a life-threatening condition characterised by cardiac, respiratory and neurological dysfunction [1]. Most cases of fat embolism involve microscopic fat deposits [2]. Macroscopic fat pulmonary embolism is extremely rare [2]. The few cases reported in the literature have occurred in the setting of liposuction/fat grafting [3, 4] and orthopaedic injury [2, 5, 6]. Diagnosis occurs through the identification of filling defects with fatty attenuation in the pulmonary vasculature on CT pulmonary angiography. The treatment for macroscopic fat pulmonary embolism is not well established, and is based primarily on general cardiorespiratory support [7]. In cases associated with acute cardiopulmonary collapse, extracorporeal membrane oxygenation (ECMO) may be considered [7].
Percutaneous mechanical thrombectomy refers to the manual aspiration of an embolus through a large-lumen catheter advanced endovascularly. Percutaneous mechanical thrombectomy may be an effective treatment option for thrombotic pulmonary embolism, but its use in fat pulmonary embolism has not been previously described in the literature [8, 9]. Here, we present a case of macroscopic fat pulmonary embolism after a neck of femur fracture treated with the percutaneous large-bore mechanical thrombectomy.
Case presentation
A 73-year-old female patient sustained a displaced right femoral neck fracture after a fall. Her comorbidities included type 2 diabetes mellitus, hypertension, dyslipidaemia and osteoporosis. She had no significant preexisting cardiorespiratory disease. A right hip hemiarthroplasty was performed 36 h after initial presentation. Intraoperatively, on relocation of the hip joint, a sudden and profound drop in blood pressure was observed. A 12-lead electrocardiogram showed sinus tachycardia and signs of right ventricular strain, including right bundle branch block, T wave inversion in V1–V3, ST segment changes and the SIQIIITIII pattern. Intravenous fluid resuscitation was commenced, and a noradrenaline infusion was started after the insertion of a right internal jugular central venous catheter. Postoperatively, she remained intubated and was transferred to the Intensive Care Unit.
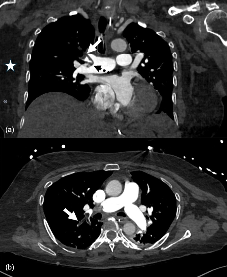
A CT pulmonary angiogram showed multiple pulmonary emboli involving the distal right main pulmonary artery and right upper lobe proximal segmental branches (Fig. 1). The density values of these emboli were between −80 and −100 Hounsfield units, compatible with macroscopic fat. There was imaging evidence of right heart strain with bowing of the interventricular septum and an enlarged pulmonary arterial trunk. The calculated RV/LV ratio was 3.39. A transthoracic echocardiogram demonstrated multiple features of right heart dysfunction, including a dilated right ventricle with severely impaired contraction, McConnell’s sign, and a D-shaped left ventricle. Her cardiac troponin I was elevated, peaking at 7863 ng/L. This was measured with the Abbott high sensitivity assay, with a reference range of < 16 ng/L, based on the gender-specific 99th percentile for women.
Fig. 1.

CT pulmonary angiogram. a Coronal soft tissue window demonstrating straddling pulmonary embolism within the right lobar and proximal segmental upper lobe branch (black dotted arrow). The filling defect in the right upper lobe lobar artery (white arrow) is of similar density to chest wall subcutaneous fat (white star). b Axial soft tissue window demonstrating the heterogeneous appearance of the embolus, suggesting admixed bland thrombus (white arrow)
She had escalating vasopressor requirements, at one point needing noradrenaline 40 microg/min, argipressin, and milrinone. Considering this, she was discussed with the state-wide ECMO service. Due to her age, frailty, evidence of multi-organ failure (transaminitis and renal failure) and limited evidence supporting ECMO in fat embolism, it was decided not to commence ECMO. After extensive multidisciplinary discussion, a mechanical large-bore pulmonary thrombectomy was performed with the aim of reducing the embolic burden and alleviating the acute right heart failure. The procedure was performed in the Interventional Radiology angiography suite via right common femoral venous access. A 24 Fr Inari Intri introducer sheath (Inari Medical, Irvine, California) was inserted, followed by four thrombectomy aspirations in the right main and right upper lobe pulmonary arteries with a 24 Fr Inari FlowTriever. Although only a small amount of soft tissue was retrieved, a layer of fat was seen in the aspirated blood, suggesting the emboli were fragmented by the suction effect and filtration through the Inari FlowSaver blood return system (Fig. 2). A post-thrombectomy pulmonary angiogram showed clearance of the central emboli, with residual subsegmental emboli too distal for retrieval (Fig. 3). Immediately post procedure, her pulmonary pressure dropped from 50/13 mmHg to 41/16 mmHg. Over the ensuing days, she was weaned off vasopressor support and extubated. Histological assessment of the samples demonstrated thrombus with focal calcification and ischaemic focal adipocytes (Fig. 4). Given the finding of mixed thrombotic and fatty embolus, therapeutic enoxaparin was commenced.
Fig. 2.
Macroscopic images of blood and tissue evacuated during large-bore mechanical thrombectomy. (a) Evacuated blood showing layering micelles and lipid droplets in the uppermost layer following filtration with the FlowSaver blood return system (Inari Medical, Irvine, California). (b) Top layer of evacuated blood with better presentation of the fatty layer (white arrow). (c) A macroscopic piece of fat which was aspirated and sent for histological assessment
Fig. 3.
Pulmonary angiograms taken before and after large-bore mechanical thrombectomy (a) Pre-thrombectomy angiogram confirming right main and right upper lobe filling defects corresponding to CT pulmonary angiogram findings. (b) Post-thrombectomy angiogram demonstrating resolution of central emboli with residual small volume subsegmental right upper lobe emboli
Fig. 4.
Histology of blood and tissue evacuated during large-bore mechanical thrombectomy. a Microscopy of retrieved tissue with haematoxylin and eosin staining showing possible adipocytes and fibrin calcification. b S100 immunohistochemistry showing focal nuclear staining of possible adipocytes adjacent to calcification
The patient had a prolonged admission, complicated by ischaemic hepatitis, oliguric acute kidney injury requiring five days of continuous renal replacement therapy, and ventilator-associated pneumonia. Her acute medical issues improved over three weeks, and subsequently she was transferred to a subacute hospital for rehabilitation. After two months of rehabilitation, she was discharged home. A follow up ventilation-perfusion scan showed residual changes of pulmonary embolism. At the time this article was submitted, the patient remained under ongoing review at the haematology clinic.
Conclusions
Recent clinical trials on percutaneous mechanical thrombectomy in intermediate-risk and high-risk pulmonary thromboembolism show promising results, including significant reductions in RV/LV ratio and pulmonary artery pressure [8–10]. A major advantage of thrombectomy over systemic thrombolysis is the lower rate of major haemorrhage and intracranial bleeding, which can lead to death or severe disability [8]. However, mechanical thrombectomy for fat pulmonary embolism has not been previously reported. In the case of macroscopic fat pulmonary embolism presented here, mechanical thrombectomy led to the rapid resolution of haemodynamic instability and notable improvement in the patient’s overall clinical trajectory. Furthermore, it allowed for histological assessment of the embolus to guide clinical decision-making, particularly around the use of anticoagulation. Our report also underscores the fat embolus fragmentation due to the suction effect and filtration through the blood return system, an important technical consideration for proceduralists.
This case highlights the utility of large-bore mechanical thrombectomy in the treatment of macroscopic fat pulmonary embolism, where treatment options are often very limited. In such cases, mechanical thrombectomy may be an effective method to rapidly reduce embolic burden and address any associated circulatory dysfunction.
Acknowledgements
None.
Abbreviation
- ECMO
Extracorporeal membrane oxygenation
Authors’ contributions
JMC contributed to project conception, data curation, and drafting of the initial manuscript. ZA and AG contributed to patient management and drafting of the initial manuscript, particularly around patient care in the Intensive Care Unit. BP and MNR contributed to patient management, data curation and drafting of the initial manuscript, particularly in the intraoperative setting. ADG and HYL contributed to patient management, data curation and interpretation, particularly with the histological assessment. MS, HKK and GM contributed to project conception, patient management, data interpretation, drafting of the initial manuscript and project supervision. All authors read and approved the final manuscript.
Funding
Not applicable.
Data availability
Not applicable.
Declarations
Ethics approval and consent to participate
Written informed consent was obtained from the patient. This study was approved by the Research Development and Governance Unit at Northern Health.
Consent for publication
Written informed consent was obtained from the patient for publication of this case report and any accompany images.
Competing interests
One of the authors of this manuscript, Associate Professor Hong Kuan Kok, is a member of the CVIR Endovascular Editorial Board. To reduce bias, the authors have requested Associate Professor Hong Kuan Kok be excluded from the editorial process. Aside from this, the authors declare that they have no competing interests.
Footnotes
Publisher’s Note
Springer Nature remains neutral with regard to jurisdictional claims in published maps and institutional affiliations.
References
- 1.Mellor A, Soni N. Fat embolism. Anaesthesia. 2001;56(2):145–54. [DOI] [PubMed] [Google Scholar]
- 2.Murphy R, Murray RA, O’HEireamhoin S, Murray JG. CT pulmonary arteriogram diagnosis of macroscopic fat embolism to the lung. Radiol Case Rep. 2024;19(5):2062–6. [DOI] [PMC free article] [PubMed] [Google Scholar]
- 3.Rapkiewicz AV, Kenerson K, Hutchins KD, Garavan F, Lew EO, Shuman MJ. Fatal Complications of Aesthetic Techniques: The Gluteal Region. J Forensic Sci. 2018;63(5):1406–12. [DOI] [PubMed] [Google Scholar]
- 4.Kaiser Ururahy Nunes Fonseca E, Chate RC. Macroscopic Fat Embolism after Cosmetic Surgery. Radiol Cardiothorac Imaging. 2022;4(2):e210316. [DOI] [PMC free article] [PubMed]
- 5.Ravenel JG, Heyneman LE, McAdams HP. Computed tomography diagnosis of macroscopic pulmonary fat embolism. J Thorac Imaging. 2002;17(2):154–6. [DOI] [PubMed] [Google Scholar]
- 6.Huang BK, Monu JU, Wandtke J. Pulmonary fat embolism after pelvic and long bone fractures in a trauma patient. Emerg Radiol. 2009;16(5):407–9. [DOI] [PubMed] [Google Scholar]
- 7.Lari A, Abdulshakoor A, Zogheib E, Assaf N, Mojallal A, Lari AR, et al. How to Save a Life From Macroscopic Fat Embolism: A Narrative Review of Treatment Options. Aesthet Surg J. 2020;40(10):1098–107. [DOI] [PubMed] [Google Scholar]
- 8.Tu T, Toma C, Tapson VF, Adams C, Jaber WA, Silver M, et al. A Prospective, Single-Arm, Multicenter Trial of Catheter-Directed Mechanical Thrombectomy for Intermediate-Risk Acute Pulmonary Embolism: The FLARE Study. JACC Cardiovasc Interv. 2019;12(9):859–69. [DOI] [PubMed] [Google Scholar]
- 9.Silver MJ, Gibson CM, Giri J, Khandhar S, Jaber W, Toma C, et al. Outcomes in High-Risk Pulmonary Embolism Patients Undergoing FlowTriever Mechanical Thrombectomy or Other Contemporary Therapies: Results From the FLAME Study. Circ Cardiovasc Interv. 2023;16(10):e013406. [DOI] [PMC free article] [PubMed] [Google Scholar]
- 10.Jaber WA, Gonsalves CF, Stortecky S, Horr S, Pappas O, Gandhi RT, et al. Large-bore Mechanical Thrombectomy Versus Catheter-directed Thrombolysis in the Management of Intermediate-risk Pulmonary Embolism: Primary Results of the PEERLESS Randomized Controlled Trial. Circulation. 2024. [DOI] [PMC free article] [PubMed]
Associated Data
This section collects any data citations, data availability statements, or supplementary materials included in this article.
Data Availability Statement
Not applicable.



