Abstract
Background
Hip-protecting wearable airbags are a novel development, designed for improved efficacy and improved wearer experience compared to traditional hard shell hip protectors. The latter, though effective when worn, are seldom used due to their discomfort to the wearer. Though commercially available, there is limited published data on the efficacy, acceptability or safety of hip-protecting wearable airbags. Here we report on a serious adverse incident (SAE) in one individual wearing one such device.
Case presentation
A community-dwelling 83 year old female participated in a clinical trial exploring the acceptability and usability of hip-protecting wearable airbags in older adults. She had normal cognition and used a zimmer frame or two walking sticks to mobilise. She had had no falls in the last year but had a marked Fear of Falling (FoF). She had osteoporosis without a fracture history and had centripetal obesity. She was fitted with a commercially-available hip-protecting wearable airbag worn around the waist as a belt with a snap buckle closure, and an elasticated component to ensure fit. Researchers were satisfied that she was able to fit, wear and remove it correctly after instruction and demonstration. On day three of study participation, the participant was walking outdoors and whilst unnoticed to her, the belt was observed by a passer-by to have slipped down to her thighs, ultimately straddling her stride resulting in a fall and distal femur fracture. The participant was found on the ground with the hip-protecting wearable airbag positioned just above her knees, with the buckle still fastened. She required surgical fixation of the fracture and had a prolonged, complicated hospital stay.
Conclusions
Hip-protecting wearable airbags, though a promising development, may cause serious injury due to slippage risk, particularly in those with centripetal obesity. A manufacturer’s warning should accompany these commercially-available devices to safeguard the user until design change is considered.
Keywords: Hip protector, Airbag, Hip fracture prevention, Wearable
Background
Despite numerous interventions that have been proven to reduce falls risk in older people, falls they remains a serious public health problem as our population ages [1, 2]. At least 10% of falls in older adults are reported to result in injury, and falls are a leading threat to healthy ageing [1, 2]. A hip fracture is one of the most serious consequences of a fall, with a significant mortality and morbidity excess, and concerningly, hip fracture incidence is rising globally due to the increased life expectancy seen in most developed and developing countries [3, 4]. Though many osteoporosis drugs will (indirectly) reduce hip fracture risk and specific exercise programmes will reduce falls risk, there is still a great, unmet need for more direct means of injury protection in the event of a fall [5, 6]. Traditional hard shell hip protectors are one such proven strategy for nursing home residents, however their use is limited by discomfort for the wearer, as is borne out in clinical trials demonstrating high attrition rates [7, 8]. There is also a report of fractures occurring as a result of wearing these hip protectors [9]. There has also been little research on their use in community-dwelling older adults, most studies being in residential care settings [5–8].
More recently, technology developments have led to ‘smart’ hip protectors entering the consumer market. These are devices which use an airbag or an expandable cushion linked to in-built sensors designed to detect a fall [10–16]. The airbag hip protectors are belt-like devices with an airbag which inflates to cover the hip in the event of a sideways fall, as detected by an on-board accelerometer, gyroscope and associated machine learning algorithm. They have a gas canister containing either carbon dioxide or helium which is released to inflate the airbag when triggered by the sensing system. Their in-built rechargeable battery requires charging on a daily or alternate day basis for 2–5 h, varying with airbag type. Whilst these devices would appear to have great potential utility in high risk fallers, there is limited evidence supporting their acceptability or efficacy in the target user: the older adult at risk of falls and fractures [10, 14–16]. Here we report on a study participant who sustained a serious injury while wearing one such device during participation in a pilot study evaluating their use in older people (NCT06204471).
Case presentation
An 83 year old female who was cognitively-intact, was recruited to a clinical trial designed to explore the acceptability and usability of hip-protecting wearable airbags in community dwelling older adults. Written, informed consent was gained, and the study was approved by the local ethics committee. The participant lived alone in her own home, was independent in her daily activities and received no home care. Her co-morbidities included osteoporosis without a fracture history, orthostatic hypotension and chronic lower back pain since a lumbar spine discectomy. She regularly used mobility aids including a motorised scooter and/or a walking frame when outdoors. She had experienced a number of falls in the past but none in the preceding year, however had a marked fear of falling (FoF).
The participant was fitted with a Hip’Guard airbag (Helite, France) as part of the clinical study [11]. This commercially-available device is designed to be worn as a belt around the waist in the region of the umbilicus, held in place by a snap buckle. The device is available in five sizes according to waist size, and the belt has a section of elasticated material which provides additional stretch to accommodate the user’s body shape. As per the manufacturers guidelines, sizing is according to waist measurement at the maximal point of the central abdomen with the buckle positioned at the region of the umbilicus. Waist size was measured by two researchers, as per study protocol for all participants (with discrepant readings re-measured until agreed by both researchers). This participant’s waist circumference was 105 cm and hip circumference was 104 cm as confirmed by both researchers. The participant was tried with a large size (manufacturer’s guidance to fit a waist size of 92–105 cm) and an extra-large size (to fit a 102–120 cm waist size). Due to reported discomfort and excess tightness with the large size, the extra-large Hip’Guard was allocated to the participant. Fitting of the Hip’Guard was demonstrated by the researchers, then fitted independently by the participant under supervision by the researchers several times, to ensure ability to do so correctly and with ease.
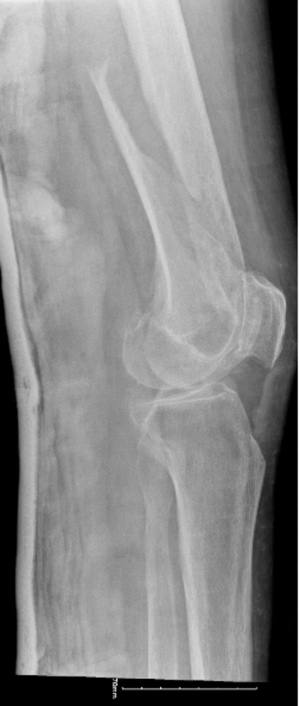
On a follow up call on day 2 (one day after first fitting, as per study protocol), the participant confirmed that she was wearing the airbag around her home, and that she had no problems in using or charging the device. On day 3, the participant, having fitted the airbag herself, attended her family doctor for a routine appointment. She would normally employ the use of a motorised mobility scooter when making this journey however on this day, her mobility scooter battery was not sufficiently charged so she attended by taxi instead. She opted for the use of two walking sticks for ease of travel by car instead of her 4-wheeled walking frame that she would normally use outdoors. On leaving the doctor’s premises, she walked outside to a waiting taxi. The taxi driver observed her standing on the pavement and that she was wearing “a belt” (the Hip’Guard) which appeared to be falling down from her waist onto her upper thighs. He called out to alert her as she seemed unaware of it having slipped down but she did not hear what he was saying, she later reported. She reported that she was focused solely on using her two walking sticks as she was fearful of falling, and was anxious to make her way safely to the car. As she stepped forward the Hip’Guard impeded her stride and she immediately fell, sustaining an oblique, comminuted fracture of the right distal femur (Fig. 1).
Fig. 1.

Distal femur fracture sustained by the participant
The belt which is waist-worn (Fig. 2), was described as positioned just above her knees as she lay on the ground, with the snap buckle still closed without deployment of the airbag (Fig. 3).
Fig. 2.

Correct positioning of the Helite Hip’Guard hip protecting airbag (©Helite, France)
Fig. 3.
HipGuard airbag hip protector positioning
The fracture was successfully repaired with internal fixation however the post-operative clinical course was complicated by a post-operative haematoma requiring transfusion, recurrent bowel ileus, delirium and a prolonged hospitalisation (Fig. 4).
Fig. 4.

Post-operative x-rays following fixation of distal femur fracture
Six months following the fracture, despite intensive rehabilitation efforts, she was only able to transfer with assistance on one person. She never returned to baseline mobility.
Following this serious adverse event, the clinical trial was immediately halted for safety review, and due to ongoing concerns about slippage risk of this hip protecting airbag, and no adaptions to the design being readily-available from manufacturers, the Hip’Guard was discontinued from further use in the clinical study. The study was recommenced with an updated protocol using a different airbag hip protector (which excluded the HipGuard) following discussion with the local ethics committee.
Discussion and conclusions
Wearable airbag technology has grown in use for personal protective equipment (PPE) in contexts such as motorcycling and high impact sports, but the use of this same technology aimed at mitigating fractures and injury from falls in older adults is a novel development [17–19]. There are a number of different hip-protecting wearable airbags products on the market presently which have been designed to protect the hip from fracturing in older people who fall. They have however, very limited clinical research beyond their testing in the laboratory simulation setting [8, 10–14]. There is one published clinical study using the Hip’Guard (as our participant was wearing) in a rehabilitation ward setting which reported low uptake and usage [14]. No adverse events were reported in the nine users who wore it for longer than a 24 h period. There is preliminary work in the nursing home setting using other manufacturers’ hip-protecting wearable airbag models, which report observational data pre- and post- introduction of of the device [15, 16]. Whilst both papers report a reduction in hip fracture incidence in the time period following introduction of the airbags, sample size and methodological rigour limit conclusions on efficacy in these studies. There was a reported incident of airbag slippage in one of the two studies but no adverse consequence occurred [15]. As no study to date has assessed their use among community-dwelling older adults, we wished to explore the acceptability and useablity of these devices in this group in our feasibility study, which the participant was enrolled in.
In this case we report a number of factors that led to the participant’s fall and injury, including osteoporosis, fear of falling, using walking aids she wouldn’t normally employ and possibly her body habitus. The patient had centipedal obesity which is a common body type in older women, as her waist circumference was larger than her hip circumference [20]. This means that the device could have been placed in the incorrect position below the waist by the participant but she stated that she had fitted it correctly and comfortably around her waist as instructed. Alternatively, even with the airbag fitted correctly, during the motion of walking it is possible that it might slowly slip from its correct position in those with a higher waist to hip ratio. Though only wearing it for two days, she had not experienced any slippage with it the previous day. The waist-worn airbag hip protector design does not take into account such ‘funnel-shape’ body habitus common in older women, though the Hip’Guard is worn over a person’s clothing which depending on clothing material, might help stop it from falling. There is no additional means of holding it in place apart from the snap buckle, nor do the manufacturer’s instructions alert a user to such slippage risk, and this would appear to be the first reported event of a Hip’Guard slipping down whilst closed and causing serious injury. Until such time as an adaptive device to hold the airbag in place is made available, this hip-protecting wearable airbag does not appear to be safe for people with a waist circumference equal to or greater than that of their hips. Even in those without this body shape, this case illustrates the potential risk of slippage of hip-protecting wearable airbags and the serious injury that can result.
These personal protective devices, designed to prevent hip fractures in the older population at risk of falls, are licenced as personal protective equipment and so do not undergo the more stringent regulation of a medical device [21, 22]. They have also only been assessed in residential care settings rather than on community dwellers, though are marketed to, and available for purchase by the general public. Generally in the residential care setting, there would be more assistance in application and removal of such devices and supervision of the wearer therefore they are probably safer to use in that context. Manufacturers should include a warning in their instruction leaflet when retailing these devices to consumers until such time as the design is altered. It is important however that further research and development in this field of technology to address injury prevention in older adults continues. Clinical trials and real world data including usability, acceptance, safety, technical validity of detection algorithms, and clinical efficacy are also critical to ensuring that these products bring value to users without undue risk.
Acknowledgements
We are grateful to the particiant for agreeing to the writing and publication of this case, and to Helite, France and Vividcare, UK for contribution towards cost of the hip-protecting wearable airbags. The work was supported by a Royal College of Surgeons in Ireland (RCSI) Translational Seed Fund grant.
Abbreviations
- SAE
Serious Adverse Event
- FoF
Fear of Falling
- PPE
Personal Protective Equipment
Author contributions
E.S. and F.D. wrote this case report. F.D. contributed to clinical management of the case. R.A., D.W., O.S. co-designed and managed the clinical study in which the subject of this case report was enrolled and have also contributed to writing of this report. All authors reviewed the manuscript.
Funding
Royal College of Surgeons in Ireland (RCSI) Translational Seed Fund grant.
Data availability
No datasets were generated or analysed during the current study.
Declarations
Ethics approval and consent to participate
Approved by Beaumont Hospital Ethics Committee (REC), which is in compliance with the Helsinki declaration (Beaumont REC reference 23/30). Written consent gained from patient for this case report.
Consent for publication
Written patient consent gained.
Competing interests
The authors declare no competing interests.
Footnotes
Publisher’s note
Springer Nature remains neutral with regard to jurisdictional claims in published maps and institutional affiliations.
Contributor Information
Emma Skelly, Email: emmaskelly@rcsi.ie.
Frances Dockery, Email: francesdockery@rcsi.ie.
References
- 1.Moreland B, Kakara R, Henry A. Trends in nonfatal falls and Fall-Related injuries among adults aged ≥ 65 Years - United States, 2012–2018. MMWR Morb Mortal Wkly Rep. 2020;69:875–81. 10.15585/mmwr.mm6927a5. [DOI] [PMC free article] [PubMed] [Google Scholar]
- 2.James SL, Lucchesi LR, Bisignano C, Castle CD, Dingels ZV, Fox JT, Hamilton EB, Henry NJ, Krohn KJ, Liu Z, McCracken D, Nixon MR, Roberts NLS, Sylte DO, Adsuar JC, Arora A, Briggs AM, Collado-Mateo D, Cooper C, Dandona L, Dandona R, Ellingsen CL, Fereshtehnejad SM, Gill TK, Haagsma JA, Hendrie D, Jürisson M, Kumar GA, Lopez AD, Miazgowski T, Miller TR, Mini GK, Mirrakhimov EM, Mohamadi E, Olivares PR, Rahim F, Riera LS, Villafaina S, Yano Y, Hay SI, Lim SS, Mokdad AH, Naghavi M, Murray CJL. The global burden of falls: global, regional and National estimates of morbidity and mortality from the global burden of disease study 2017. Inj Prev. 2020;26(Supp 1):i3–11. 10.1136/injuryprev-2019-043286. [DOI] [PMC free article] [PubMed] [Google Scholar]
- 3.Borgström F, Karlsson L, Ortsäter G, Norton N, Halbout P, Cooper C, Lorentzon M, McCloskey EV, Harvey NC, Javaid MK, Kanis JA. International osteoporosis foundation. Fragility fractures in Europe: burden, management and opportunities. Arch Osteoporos. 2020;15:59. 10.1007/s11657-020-0706-y. [DOI] [PMC free article] [PubMed] [Google Scholar]
- 4.Feng JN, Zhang CG, Li BH, Zhan SY, Wang SF, Song CL. Global burden of hip fracture: the global burden of disease study. Osteoporos Int. 2024;35:41–52. 10.1007/s00198-023-06907-3. [DOI] [PubMed] [Google Scholar]
- 5.Crandall CJ, Newberry SJ, Diamant A, Lim YW, Gellad WF, Booth MJ, Motala A, Shekelle PG. Comparative effectiveness of Pharmacologic treatments to prevent fractures: an updated systematic review. Ann Intern Med. 2014;161:711–23. 10.7326/M14-0317. [DOI] [PubMed] [Google Scholar]
- 6.Montero-Odasso M, van der Velde N, Alexander NB, Becker C, Blain H, Camicioli R, Close J, Duan L, Duque G, Ganz DA, Gómez F, Hausdorff JM, Hogan DB, Jauregui JR, Kenny RA, Lipsitz LA, Logan PA, Lord SR, Mallet L, Marsh DR, Martin FC, Milisen K, Nieuwboer A, Petrovic M, Ryg J, Sejdic E, Sherrington C, Skelton DA, Speechley M, Tan MP, Todd C, van der Cammen T, Verghese J, Kamkar N, Sarquis-Adamson Y, Masud T. Task force on global guidelines for falls in older adults. New horizons in falls prevention and management for older adults: a global initiative. Age Ageing. 2021;50:1499–507. 10.1093/ageing/afab076. [DOI] [PubMed] [Google Scholar]
- 7.Santesso N, Carrasco-Labra A, Brignardello-Petersen R. Hip protectors for preventing hip fractures in older people. Cochrane Database Syst Rev. 2014;2014:CD001255. 10.1002/14651858.CD001255.pub5. [DOI] [PMC free article] [PubMed] [Google Scholar]
- 8.Da Q, Xiao Y, Wu F, Chen Y, Li L. Does hip protector prevent falls and hip fractures? An umbrella review of meta-analyses. BMC Geriatr. 2024;24:514. 10.1186/s12877-024-05122-x. [DOI] [PMC free article] [PubMed] [Google Scholar]
- 9.Cameron I, Kurrle S. External hip protectors. J Am Geriatr Soc. 1997;45:1158. 10.1111/j.1532-5415.1997.tb05992.x. [DOI] [PubMed] [Google Scholar]
- 10.Hu K, Guan Z, He Z, Luo S, Fang H, Zhang Y, Ding L, Xu Y, Jiang L, Fu C, Zhao X, Jia J, Wu C. Mechanical property, efficacy, and user experience of an innovative wearable device in preventing Fall-Induced injuries Innov. Aging. 2024;8:igae066. 10.1093/geroni/igae066. [DOI] [PMC free article] [PubMed] [Google Scholar]
- 11.Hip’Guard. https://hipguard.eu/en/. Accessed December 2024.
- 12.Wolk. https://www.thuiszorgwebshop.be/en/micro-airbag-short.html. Accessed December 2024.
- 13.Smart airbag waist protection belt. https://ninelife.ie/products/smart-airbag-waist-protection-belt-018s-trigger-alarm-to-prevent-falls-and-injuries-suitable-for-elderly-people-with-reduced-mobility-body-protection-expert. Accessed December 2024.
- 14.Comini L, Olivares A, Marchina L, Suruniuc A, Vanoglio F, Bonometti GP, Luisa A, Corica G. Snapshot of fall prevention in patients referred to a neurorehabilitation unit: A feasibility study on the use of an airbag device. Sens (Basel). 2024;24:6272. 10.3390/s24196272. [DOI] [PMC free article] [PubMed] [Google Scholar]
- 15.Tarbert RJ, Singhatat W. Real world evidence of wearable smartbelt for mitigation of fall impact in older adult care. IEEE J Transl Eng Health Med. 2023;11:247–51. 10.1109/JTEHM.2023.3256893. [DOI] [PMC free article] [PubMed] [Google Scholar]
- 16.Nemeth B, van der Kaaij M, Nelissen R, van Wijnen JK, Drost K, Blauw GJ. Prevention of hip fractures in older adults residing in long-term care facilities with a hip airbag: a retrospective pilot study. BMC Geriatr. 2022;22:547. 10.1186/s12877-022-03221-1. [DOI] [PMC free article] [PubMed] [Google Scholar]
- 17.Wu D, Hours M, Ndiaye A, Coquillat A, Martin JL. Effectiveness of protective clothing for motorized 2-wheeler riders. Traffic Inj Prev. 2019;20:196–203. 10.1080/15389588.2018.1545090. [DOI] [PubMed] [Google Scholar]
- 18.Di Stefano LL, Della Libera B, Rodi PJ, Travel, Med. Effectiveness and use of avalanche airbags in mortality reduction among winter-recreationists. 2023;30:taac133. 10.1093/jtm/taac133 [DOI] [PubMed]
- 19.Tarbert RJ, Zhou J, Manor B. Potential solutions for the mitigation of hip injuries caused by falls in older adults: A narrative review. J Gerontol Biol Sci Med Sci. 2023;78:853–60. [DOI] [PMC free article] [PubMed] [Google Scholar]
- 20.Stevens J, Katz EG, Huxley RR. Associations between gender, age and waist circumference. Eur J Clin Nutr. 2010;64:6–15. 10.1038/ejcn.2009.101. [DOI] [PMC free article] [PubMed] [Google Scholar]
- 21.Regulation (EU). 2016/425 on personal protective equipment. https://osha.europa.eu/en/legislation/directive/regulation-eu-2016425-personal-protective-equipment. Accessed January 2025.
- 22.Regulation (EU). 2017/745 of the European Parliament and of the Council of 5 April 2017 on medical devices. https://eur-lex.europa.eu/legal-content/EN/ALL/?uri=uriserv:OJ.L_.2017.117.01.0001.01.ENG. Accessed January 2025.
Associated Data
This section collects any data citations, data availability statements, or supplementary materials included in this article.
Data Availability Statement
No datasets were generated or analysed during the current study.

