Abstract
Epigenetic marks that specify silent heterochromatic domains in eucaryotic genomes include methylation of histone H3 lysine 9. Strikingly, active loci in the vicinity of silent domains are sometimes characterized by acetylation of histone H3 lysine 9, suggesting that the balance between these two competitive modifications is important for the establishment of specific chromatin structures. Some euchromatic genes, targeted by the retinoblastoma protein Rb, are also believed to be regulated by histone H3 lysine 9 methylation. Here, we study the dihydrofolate reductase promoter, which is repressed in G0 and at the beginning of G1 by p107 or p130, two Rb-related proteins. We found that these two pocket proteins share with Rb the ability to associate with the histone methyl transferase SUV39H1. SUV39H1 can be recruited to the E2F transcription factor and functions as a transcriptional corepressor. With ChIP assays followed by real-time PCR, we showed that K9 of histone H3 evolves from a hypermethylated state in G0 to a hyperacetylated state at the G1/S transition. Taken together, these results indicate that the temporal regulation of euchromatic promoters may involve controlling the balance between methylation and acetylation of histone H3 lysine 9, a feature previously described for the spatial regulation of chromatin function.
Many genes which encode proteins required for S-phase progression are specifically expressed at the end of G1 and at the G1/S transition. Some of these genes are controlled by the E2F transcription factor. This transcription factor, a heterodimer, is composed of an E2F protein and a DP protein (19). So far, six E2F proteins (E2F1 to -6) and two DP proteins (DP1 and -2) have been described. E2F1 to -5 share a C-terminal domain which possesses the ability to activate transcription. This domain also contains the binding site for a family of proteins (called pocket proteins) which are critical regulators of E2F activity (20). The founding member of this family is the product of the retinoblastoma susceptibility gene, the Rb protein. Rb binds specifically to E2F1, E2F2, E2F3, and with lower affinity to E2F4, whereas the two other pocket proteins, p107 and p130, both target E2F4 and E2F5.
Binding of pocket proteins to the E2F transcription factor is cell cycle regulated. In resting cells or in cells at the beginning of G1, Rb, p107, and p130 are in an active hypophosphorylated state and are recruited to E2F-regulated promoters through their interaction with E2F. When cells progress into S phase, pocket proteins are gradually phosphorylated by cyclins/cdk's (26). These phosphorylation events lead to their inactivation and the appearance of some E2F transcription factor not bound by a pocket protein (called free E2F). This free E2F can thus activate transcription of E2F-regulated genes, thereby allowing cell progression into S phase. Consequently, E2F binding sites are believed to be occupied in G0 and at the beginning of G1 by a complex containing the E2F transcription factor and a pocket protein, and later in G1, by free E2F (19).
When recruited on E2F-regulated promoters, pocket proteins function as transcriptional repressors (11) through a mechanism involving, at least in part, histone deacetylases (HDACs) (3, 16, 17). Consistent with that, chromatin immunoprecipitation (ChIP) experiments have confirmed that histones are largely deacetylated in G0 on many E2F-regulated promoters (30). Furthermore, cell cycle-dependent recruitment of HDAC1 to the E2F-regulated dihydrofolate reductase (DHFR) promoter has recently been shown (9).
In addition, we and others have shown that transcriptional repression by Rb could also be mediated through the recruitment of the histone methyl transferase (HMT) SUV39H1 (24, 31). The cell cycle regulation of some E2F-regulated genes could thus involve a complex interplay between histone methylation and acetylation.
Strikingly, these two modifications also play a crucial role in the establishment and maintenance of chromatin domains. Methylation on lysines is a posttranslational modification of nucleosomal histones which has been known for some time (21; for a recent review, see reference 33) but which has received renewed attention since the molecular characterization of the first HMT, SUV39H1 (27). SUV39H1 was known as the mammalian homologue of Schizosaccharomyces pombe or Drosophila melanogaster proteins required for heterochromatin silencing (1). SUV39H1 methylates specifically K9 of histone H3 (27). This methylation creates a binding site on chromatin for the members of the HP1 (heterochromatin protein 1) family (2, 14, 22), which are also required for silencing at heterochromatic loci (reviewed in reference 13). These proteins recognize the methylated lysine by use of their chromodomain. Thus, heterochromatin silencing is believed to involve methylation of lysine 9 of histone H3 by SUV39H1, followed by HP1 recruitment and, subsequently, transcriptional repression (13). Genetic experiments indicate that pericentric heterochromatin silencing is also dependent on HDACs (7, 10). Furthermore, the specification of silent versus active domains in chromatin often involves the balance between two competitive modifications of histone H3 K9, methylation and acetylation (12, 15). This has led to the proposal that during the propagation of heterochromatin, HDACs function first to deacetylate K9, thereby allowing its subsequent methylation by SUV39H1 (33).
A similar mechanism has already been suggested for E2F-regulated promoters (24). However, little is known about the cell cycle regulation of histone H3 K9 modifications on E2F-responsive promoters. Here we studied the DHFR promoter, which is controlled by p107 or p130 and which has been the focus of a recent detailed study (9).
We found that both p107 and p130 associate with SUV39H1, as does Rb. Furthermore, we demonstrate that SUV39H1 can function as a transcriptional corepressor for p107 and p130. Studies of histone modifications on the DHFR promoter indicate that methylation of K9 can be detected in serum-starved 3T3 cells and decreases in cells at the G1/S transition. Conversely, acetylation of histone H3 K9 increases from G0 to G1/S. Taken together, these data indicate that the temporal regulation of the DHFR promoter involves a shift from the methylated to the acetylated isoforms of histone H3 lysine 9.
MATERIALS AND METHODS
Cell culture and transfection.
U2OS, NIH 3T3, and HeLa cells were maintained in Dulbecco's modified Eagle's medium supplemented with 10% fetal calf serum (FCS), antibiotics, and 1% sodium pyruvate. 3T3 cells from Suv39H knockout (KO) mice or controls were maintained as described above but in the presence of 0.2% β-mercaptoethanol and 1% nonessential amino acids. Jurkat cells were maintained in RPMI medium supplemented with 10% FCS and antibiotics. All media were from Gibco-BRL.
U2OS cells were transfected at a density of 2 × 106 cells/10-cm-diameter dish by calcium phosphate coprecipitation and were harvested 48 h later. HeLa cells were transfected at a density of 4 × 104 cells/2-cm-diameter dish using Fugene (Roche Diagnostics) and were harvested 60 h later. The amount of cytomegalovirus (CMV) promoter in the transfections was kept constant by use of empty vectors. Luciferase and β-galactosidase activities were measured using Promega and Tropix kits, respectively. NIH 3T3 cells were synchronized by serum starvation for 48 h (G0) and reinduced or not with 20% FCS. For cell cycle analysis, 106 cells were harvested, washed in phosphate-buffered saline (PBS), and resuspended in 300 μl of cold PBS. Cells were fixed and permeabilized by the addition of 900 μl of cold ethanol (95%). After centrifugation, cells were resuspended in 1 ml of PBS supplemented with RNase (100 μg/ml) and propidium iodide (10 μg/ml), incubated for 30 min at 37°C, and subsequently analyzed by fluorescence-activated cell sorting (Becton Dickinson).
Immunoprecipitations, pull-down experiments, Western blots, and HMT assays.
Glutathione S-transferase (GST) fusion proteins were expressed and purified as described previously (23). Methylation reactions using recombinant GST-SUV39H1 were performed as described by Rea et al. (27).
Immunoprecipitations and GST pull-down experiments were performed as described previously (23). Briefly, transfected cells (10-cm-diameter dishes) were directly lysed in 500 μl of lysis buffer (50 mM Tris [pH 8], 300 mM NaCl, 0.4% NP-40, 10 mM MgCl2, supplemented with protease inhibitors [Complete; Roche Diagnostics]). Lysates were then diluted with 500 μl of dilution buffer (50 mM Tris [pH 8], 0.4% NP-40, supplemented with protease inhibitors, 5 mM CaCl2, and DNase I), precleared, and subjected to immunoprecipitation. Immunoprecipitations of endogenous proteins were performed with 200 μl of Jurkat cell nuclear extracts diluted twice with IPH buffer (50 mM Tris [pH 8], 150 mM NaCl, 0.5% NP-40, 5 mM EDTA, 5 mM CaCl2, DNase I, supplemented with protease inhibitors [Complete; Roche Diagnostics]) or 50 μl of W8 or D5 nuclear extracts diluted 20 times in IPH buffer. For pull-down experiments using transfected cell extracts, 40 μl of transfected cell extracts were diluted 10 times in IPH buffer. In the case of pull-down experiments using biotinylated oligonucleotides, transfected cell extracts were precleared with 20 μl of streptavidin-agarose beads (Sigma) in the presence of 20 μg of herring sperm DNA (Roche Diagnostics). After centrifugation (20 min, 20,000 × g, 4°C), 1.5 μg of biotinylated double-stranded oligonucleotides was added to the supernatant for 1 h. The sequence of the wild-type E2F oligonucleotide was derived from the b-Myb promoter. The sequences of the oligonucleotides were as follows: wild-type E2F, 5′CCGGGAATTCGCCGACGCGCTTGGCGGGAGATAGAAAAGT3′; mutated E2F, 5′CCGGGAATTCGCCGACGCGCTTGTATGGAGATAGAAAAGT3′.
Ten microliters of streptavidin-agarose beads was then added for 1 h. Beads were washed three times with washing buffer (50 mM Tris [pH 8], 0.4% NP-40, 150 mM NaCl, 5 mM MgCl2, supplemented with protease inhibitors).
Bound proteins were subjected to an HMT assay as described previously (31) or to Western blotting with anti-Myc 9E10 (Roche Diagnostics), anti-p107 C-18, anti-p130 C20 (Santa Cruz Biotechnology), anti-Flag M2 (Sigma), or anti-hemagglutinin (HA) 16B12 (Babco) antibody.
Plasmids.
pGEMT-DHFR and pGEMT-GAPDH were kind gifts from A. Harel-Bellan (9). pCMVNeoBam p107, pGEX-DP1 59-410, pGEX-E2F1 89-437, pCMVNeoBam Rb 379-928, pGEX p107 252-816, pGEX Rb 379-928, pCMVGT-E2F4, pCMV myc-E2F4, and empty vectors were described previously (8, 17, 18). pGEX-E2F4 and pGEX-E2F5 were kind gifts from C. Sardet. pCMV myc-SUV39H1 and pCMV Flag-EMT1 were kind gifts from T. Jenuwein (27) and Y. Nakatani (25), respectively. pCMV HA-SUV39H1, pCMV HA-SUV39H1 ΔSET, pCMVlacZ, and Gal4-luc vectors were described previously (31). Details of constructions are available upon request.
ChIP assays.
ChIP assays were performed essentially as previously described (9). Briefly, following formaldehyde cross-linking in living cells, chromatin was purified and subjected to sonication to obtain a mean length of DNA fragments of about 500 base pairs. Sonicated chromatin was then divided into three samples and immunoprecipitated with 10 μl of anti-acetyl histone H3 (K9), anti-acetyl histone H3 (K14), or anti-dimethyl histone H3 (Lys9) antibody (all from Upstate Biotechnology) or without antibody as a control. After cross-link reversion and DNA recovery, samples were analyzed by quantitative PCR (ICyclerQ; Bio-Rad) with Sybr green (Sigma) and Platinum Quantitative PCR Supermix-UDG (Invitrogen) to detect DHFR promoter or glyceraldehyde-3-phosphate dehydrogenase (GAPDH) sequences as described previously (9).
The amount of DHFR or GAPDH sequence present at each point was calculated relative to a standard curve obtained using serial dilutions of pGEMT-DHFR or pGEMT-GAPDH vector, respectively. Three different dilutions of each sample (immunoprecipitates and inputs) were analyzed in parallel. After calculating the mean value for these three dilutions, the efficiency of the immunoprecipitation was calculated by dividing the amount of sequence present in the immunoprecipitates by the amount of input material. The background was then subtracted to obtain the quantifications shown in Fig. 7. For each experiment, two independent real-time PCRs were performed. The amount of DHFR promoter present in the Met K9 (from G0 cells), Ac K9, and Ac K14 (from G1/S cells) immunoprecipitates was around 0.3, 8, and 0.1% of the input, respectively, whereas the amount of GAPDH sequence in the same immunoprecipitates was about 2, 0.3, and 0.3% of the input, respectively.
FIG. 7.
Specific variations in histone H3 modification on the DHFR promoter during G1 phase progression. (A) Cell cycle analysis of NIH 3T3 cells starved for serum for 48 h and then reinduced with serum for the indicated time. (B) Chromatin from NIH 3T3 cells in G0 or G1/S was immunoprecipitated using antibodies specific for histone H3 acetylated on K9 (K9 Ac), histone H3 acetylated on K14 (K14 Ac), or histone H3 methylated on K9 (K9 Met). The amount of the DHFR and GAPDH promoters present in immunoprecipitations from G0 (d0 or g0, respectively) or G1/S cells (d1 or g1, respectively) was calculated relative to the input (as described in Materials and Methods). The relative enrichment was obtained by the following formula: relative enrichment = (dx/d0)/(gx/g0) (x is 0 or 1). The means of two (K9 Ac and K14 Ac) or three (K9 Met) entirely independent experiments are shown.
RESULTS
Endogenous p107 and p130 associate with an HMT.
Since Rb interacts with the HMT SUV39H1 (24, 31), we predicted that the two related p107 and p130 proteins could also associate with the HMT SUV39H1. To test this hypothesis, we immunoprecipitated endogenous p107 or p130 from Jurkat cell nuclear extracts. Immunoprecipitates were then assayed for HMT activity by adding S-adenosyl [3H]methyl methionine (SAM) as the methyl donor group and a peptide corresponding to the first 24 amino acids of the histone H3, which is a good substrate for SUV39H1. We found that immunoprecipitation of endogenous p107 and p130 led to the coimmunoprecipitation of HMT activity specific for the histone H3 N-terminal tail (Fig. 1A). This coimmunoprecipitation was specific, since no activity was detected in control immunoprecipitates, indicating that p107 and p130 are physically associated with an HMT.
FIG. 1.
p107 and p130 associate with a histone H3 K9-specific HMT. (A) Jurkat nuclear extracts (200 μl) were immunoprecipitated with the indicated antibody (anti-p107 C-18, anti-p130 C-20, or anti-HA Y-11 [Santa-Cruz Biotechnology]), and immunoprecipitates were tested for HMT activity by the filter binding assay using a peptide derived from the first 24 amino acids of the histone H3 N-terminal tail. (B) The same experiment as that shown in panel A, except that the immunoprecipitate was divided into four samples and subjected to an HMT assay using the indicated peptide as substrate (K4Mut, K9Mut, and K14Mut contain the first 24 amino acids of the histone H3 N-terminal tail with K4, K9, or K14, respectively, replaced by alanine).
To identify the specificity of the HMT coimmunoprecipitated with p107 and p130, we used peptides derived from the histone H3 N-terminal tail mutated either at lysine 4, lysine 9, or lysine 14 (Fig. 1B). Both K4- and K14-mutated peptides (K4Mut and K14Mut, respectively) were methylated by the p107- and p130-associated enzyme with an efficiency comparable to that of the wild-type peptide [wt (1-24)]. In contrast, the peptide mutated at K9 (K9Mut) was a very poor substrate, thereby indicating that the HMT associated with p107 and p130 specifically methylates lysine 9 of histone H3.
SUV39H1 could interact with p107 and p130.
This strict specificity is consistent with the possibility that the p107- and p130-associated HMT is SUV39H1. To test directly whether p107 has the ability to associate with SUV39H1, we performed coimmunoprecipitation experiments. We transiently expressed p107 and SUV39H1 tagged with a Myc epitope in U2OS cells. Immunoprecipitation of myc-SUV39H1 led to the strong coimmunoprecipitation of p107 (Fig. 2A). This coimmunoprecipitation was specific, since no p107 could be detected in Myc immunoprecipitates in the absence of exogenous p107 or in the absence of myc-SUV39H1. Similarly, we found that myc-SUV39H1 could be specifically coimmunoprecipitated with p130 (Fig. 2B). Taken together, these data indicate that p107 and p130 interact with SUV39H1 in living cells and suggest that the p107- and p130-associated HMT is SUV39H1.
FIG. 2.
p107 and p130 physically interact with SUV39H1. (A) Total cell extracts of U2OS cells transfected with expression vectors for p107 (10 μg) and/or myc-SUV39H1 (20 μg) were immunoprecipitated using the anti-Myc antibody. Immunoprecipitates were then tested for the presence of p107 by Western blotting (upper panel). For the lower panels, 10 μl (1/100th of the immunoprecipitation volume) of total cell lysates was directly loaded and subjected to p107 (middle panel) or Myc (lower panel) Western blotting. (B) Total cell extracts of U2OS cells transfected with expression vectors for p130 (10 μg) and/or HA-SUV39H1 (20 μg) were immunoprecipitated using the anti-p130 antibody (P) or an irrelevant antibody (I). Immunoprecipitates were then tested by Western blotting for the presence of HA-SUV39H1 (upper panel) and p130 (middle panel). For the lower panel, 10 μl (1/100th of the immunoprecipitation volume) of total cell lysates was directly loaded and subjected to HA Western blotting. The star indicates a band derived from the immunoglobulin heavy chain of the immunoprecipitating antibody. (C) Nuclear extracts from 3T3 cells derived from Suv39H−/− mice (D5) or controls (W8) were subjected to an immunoprecipitation using either an anti-p107 or an anti-p130 antibody as indicated. Immunoprecipitates were then assayed for HMT activity using a peptide derived from the first 24 amino acids of the histone H3 N-terminal tail. After subtraction of the background activity found in control immunoprecipitates, HMT activity was calculated relative to 100% for immunoprecipitation from W8 cells. The mean of three independent experiments is shown. For the lower panels, immunoprecipitates were subjected to p107 or p130 Western blotting (as indicated). A representative Western blot is shown.
To demonstrate this possibility further, we analyzed the HMT activity associated with p107 and p130 in 3T3 cells derived from the Suv39H KO mice (cells deficient for SUV39H1 and for the related protein Suv39H2) (Fig. 2C). Immunoprecipitation of p130 and p107 from control cell extracts led to the coimmunoprecipitation of significant levels of HMT activity. Surprisingly, we found that p107 was still associated with high levels of HMT activity in Suv39H−/− cells, indicating that p107 interacts with an HMT other than SUV39H1, at least in these cells. However, a much lower HMT activity was found associated with p130 in extracts from Suv39H−/− cells, although p130 expression was higher (Fig. 2C). This result indicates that a large part of the HMT activity that associates with p130 in normal cells is indeed due to the presence of SUV39H1 or SUV39H2 and is consistent with the possibility that SUV39H1 plays a major role in the regulation of the E2F-responsive promoters.
EMT1 could associate with p107.
Since p107 readily associates with a K9-specific methyl transferase other than SUV39H1 (see above), we investigated whether p107 could interact with the recently described EMT1 enzyme. Indeed, this methyl transferase is specific for K9 of histone H3 and has already been proposed to participate in the control of E2F-regulated genes through its interaction with E2F6 (25). We found that immunoprecipitation of exogenous p107 led to the coimmunoprecipitation of exogenous EMT1 from transfected cell extracts (Fig. 3, upper panel, lane 1). This coimmunoprecipitation was specific, since in the absence of exogenous p107, coimmunoprecipitation of EMT1 was not detected (lane 3), although it was expressed at high levels (lower panel, lane 3). This result indicates that p107 physically associates with EMT1 and that this enzyme is likely to be responsible for the p107-associated HMT activity that is detected in SUV39H1−/− cells.
FIG. 3.
p107 could interact with EMT1. Total cell extracts of U2OS cells transfected as indicated with expression vectors for p107 (10 μg) and/or Flag-EMT1 (30 μg) were immunoprecipitated using the anti-p107 antibody. Immunoprecipitates were then tested by Western blotting for the presence of Flag-EMT1 (using the anti-Flag M2 antibody [Sigma]). For the lower panels, 10 μl (1/100th of the immunoprecipitation volume) of total cell lysates was directly loaded and subjected to p107 (middle panel) and Flag (lower panel) Western blotting. The star indicates a band derived from the immunoglobulin heavy chain of the immunoprecipitating antibody.
Taken together, our data indicate that multiple K9-specific HMTs can associate with proteins of the Rb family, highlighting the functional importance of K9 methylation for the regulation of E2F-responsive promoters.
SUV39H1 could be targeted to E2F sites.
Our attempts to directly detect binding of the K9-specific HMT SUV39H1 to the DHFR promoter by ChIP analysis have been unsuccessful so far, most likely because of the low efficiency of cross-linking or immunoprecipitation. We therefore investigated whether a K9-specific HMT could be targeted to E2F binding sites through its interaction with pocket proteins. We transfected U2OS cells with expression vectors for Myc-tagged SUV39H1, p107, and Myc-tagged E2F4 and DP1, and we incubated transfected cell extracts with biotinylated oligonucleotides harboring either a wild-type or mutated E2F site. Proteins bound to these oligonucleotides were then collected by use of streptavidin beads and analyzed by Western blotting (Fig. 4). We found that in the presence of all four proteins, SUV39H1 was able to bind to the wild-type oligonucleotide but not to the mutated one (upper panel, compare lanes 1 and 2). This binding was dependent on the presence of exogenous E2F4 (upper panel, compare lanes 1 and 3). Unfortunately, we could not test whether it was also dependent on the presence of exogenous p107, because in the absence of exogenous p107, binding of exogenous E2F4 to E2F sites was very weak (data not shown), probably reflecting a higher affinity of E2F4-p107 complexes than of free E2F4 for E2F sites. Taken together, these data suggest that the K9-specific HMT SUV39H1 can be recruited to E2F sites through a physical interaction with the E2F4-p107 repressor complex.
FIG. 4.
SUV39H1 is targeted to E2F sites. Total cell extracts of U2OS cells transfected with 10 μg of the indicated expression vector and 10 μg of DP1 expression vector were subjected to a pull-down analysis using biotinylated oligonucleotides harboring either a wild-type E2F site (w) or a mutated E2F site (m). Bound proteins were then analyzed by Western blotting using an anti-Myc antibody or a p107 antibody, as indicated. For the lower panel, the expression levels of exogenous myc-E2F4 and myc-SUV39H1 or p107 were analyzed by Western blotting using the anti-Myc antibody or the anti-p107 antibody, respectively.
SUV39H1 cooperates with p107 and p130 to repress transcription.
To determine what could be the functional consequence of K9 methylation, we decided to investigate the effect of SUV39H1 binding on p107 and p130 activity. We first mapped the p107 domain responsible for interacting with SUV39H1. We expressed in bacteria and purified a fusion protein of GST and the p107 pocket domain, which is sufficient for E2F interaction and transcriptional repression. Using GST pull-down experiments with transfected cell extracts expressing myc-SUV39H1, we found that the pocket domain of p107 (p107 365-937) is sufficient for myc-SUV39H1 binding (Fig. 5A). Moreover, a peptide derived from the SV40 T antigen and containing an LXCXE motif (a pocket protein-binding motif found in many proteins of viral or cellular origin) could specifically interfere with the interaction between p107 and SUV39H1 (Fig. 5A). p107, therefore, interacts with SUV39H1 through its LXCXE-binding domain.
FIG. 5.
SUV39H1 functions as a corepressor for p107 and p130. (A) Total cell extracts of U2OS cells transfected with 20 μg of the myc-SUV39H1 expression vector were subjected to a GST pull-down analysis using beads harboring the indicated GST fusion protein. Prior to the pull-down assay, beads were preincubated with 10 μg of an LXCXE-containing peptide derived from the SV40 T antigen (SV40) or of an irrelevant peptide (Irr), as indicated. Bound proteins were then analyzed by Western blotting using the anti-Myc antibody. For lane 4, 10 μl of transfected cell extracts was directly loaded (Inp). (B) HeLa cells were transiently transfected with 2 μg of the GAL4 luciferase reporter vector (which contains five GAL4 binding sites cloned upstream of a minimal promoter controlling luciferase expression), 100 ng of pCMV-βGal as a transfection efficiency control, and the indicated amount of pCMVGT E2F4 (which expresses the E2F4 activation domain fused to the GAL4 DNA binding domain), pCMV SUV39H1, and pCMV p107. The amount of CMV promoter in the transfection was kept constant using empty vectors. Sixty hours after transfection, cells were harvested and extracts were tested for luciferase and β-galactosidase activities. β-Galactosidase activity did not vary significantly within the experiment. (C) The same experiment is shown as that in panel A, except that pCMV p130 was used instead of pCMV p107. RLUs, relative light units.
Since this domain is involved in transcriptional repression by p107 (28), we tested whether SUV39H1 was involved in transcriptional repression by p107 or p130. HeLa cells, which express low levels of endogenous SUV39H1 (1), were transiently transfected with a reporter construct containing Gal4 sites upstream of the luciferase reporter gene, in the presence or absence of a fusion protein (Gal4-E2F4) comprising the heterologous Gal4 DNA-binding domain and the activation domain of E2F4, a major target of p107 and p130. As expected, the presence of Gal4-E2F4 increased the promoter activity (Fig. 5B and C), whereas cotransfection of an expression vector for p107 (Fig. 5B) or p130 (Fig. 5C) repressed E2F4 activity in a dose-dependent manner. In the absence of exogenous pocket protein, cotransfection of an expression vector for SUV39H1 led to a small increase, if anything, in Gal4-E2F4 activity. However, in the presence of exogenous p107 (Fig. 5B) or p130 (Fig. 5C), coexpression of exogenous SUV39H1 led to the repression of E2F4 activity. Consequently, the efficiency of transcriptional repression by pocket proteins increased in the presence of SUV39H1. For example, transcriptional repression of Gal4-E2F4 activity using 5 μg of the p107 expression vector went from about 2-fold in the absence of exogenous SUV39H1 up to about 15-fold in the presence of exogenous SUV39H1 (Fig. 5B). This was unlikely to be due to any change in cotransfected protein expression, since Gal4-E2F4, p107, or p130 expression was driven from a CMV promoter that was unaffected by SUV39H1 (data not shown). Thus, this result indicates that SUV39H1 can act as a transcriptional corepressor of p107 and p130. In a similar assay, we found that a mutant of SUV39H1 with a deletion of the amino acids critical for its enzymatic activity was not able to cooperate with p107 and p130 to repress E2F4 activity (data not shown), suggesting that the HMT activity is required for SUV39H1 to work as a corepressor for p107 and p130.
Recombinant proteins involved in E2F regulation are not methylated in vitro by SUV39H1.
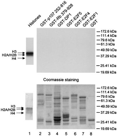
Results from the above experiments were obtained with a transiently transfected reporter vector. Although it is well known that under such conditions histones are deposited on the vector, its chromatin structure is not likely to be canonical. This led us to test whether the repressive effects of SUV39H1 could be due to methylation of another protein other than histones. Indeed, the effect of many histone acetyltransferases and HDACs on transcription relies in part on acetylation of sequence-specific transcription factors, such as E2F1 and Rb. To test this hypothesis, we investigated whether recombinant SUV39H1 could methylate factors involved in the control of E2F-responsive genes. We tested bacterially produced recombinant E2F1, E2F4, E2F5, DP1, Rb, and p107, and we found that none of these proteins was significantly methylated by SUV39H1 in vitro, whereas an equivalent amount of histones was very efficiently methylated in a parallel experiment (Fig. 6). Although we cannot rule out the possibility that these proteins are real substrates of SUV39H1 in vivo or that SUV39H1 methylates other proteins such as general transcription factors, this result suggests that the repressive effects of SUV39H1 are due to histone methylation.
FIG. 6.
Recombinant SUV39H1 does not methylate various factors of E2F regulation in vitro. Four micrograms of core histones (corresponding to 1 μg of histone H3; lane 1) or 1 μg of the indicated GST fusion protein (produced in Escherichia coli and purified on glutathione-agarose beads; lanes 2 to 8) was tested for methylation using bacterially produced recombinant GST-SUV39H1 in the presence of radiolabeled SAM. Reaction products were then analyzed by sodium dodecyl sulfate-polyacrylamide gel electrophoresis (10% acrylamide for GST fusion proteins and 15% acrylamide for histones) followed by fluorography (top panel). The bottom panel shows Coomassie staining of the GST fusion proteins and histones used as substrates in the methylation reaction. Note the presence in most lanes of truncated protein products, which most likely reflects premature termination and/or protein degradation during the production of GST fusion proteins in bacteria.
The histone H3 K9 present on the DHFR promoter shifts from a methylated to an acetylated state during G1 progression.
To investigate histone methylation on an E2F-regulated promoter, we studied the DHFR promoter, which is bound by E2F4 (a target of p107 and p130) and for which histone modifications and the recruitment of histone-modifying enzymes have already been studied (9). In particular, it was shown that HDAC1 is recruited to this promoter in G0, concomitantly with a global histone deacetylation. Thus, together with our data, this result suggests that the DHFR promoter could be regulated by a complex interplay between histone acetylation and histone H3 K9 methylation. To gain insight into the mechanism of this interplay, we studied the cell cycle regulation of K9 histone H3 methylation on the DHFR promoter by use of a ChIP assay. In parallel, we also investigated acetylation of histone H3 on K9 and on K14, two acetylation sites already known to affect K9 methylation (22, 27). We decided to couple ChIP with quantitative real-time PCR to precisely monitor histone modification changes during the cell cycle (9).
3T3 cells were synchronized by serum starvation and reinduced or not reinduced by serum. Fluorescence-activated cell sorter analysis of a typical experiment confirmed that upon serum addition, these cells reenter the cell cycle synchronously (Fig. 7A), reaching the beginning of S phase about 12 h after serum addition. Therefore, for subsequent experiments we compared noninduced cells (referred to as G0 cells) to cells that were stimulated for 12 h with serum (referred to as G1/S cells).
When compared to the GAPDH control, we found that acetylation on K9 and K14 specifically increased 4-fold and 2.5-fold, respectively, from G0 to G1/S on the DHFR promoter (Fig. 7B), consistent with the global increase of histone H4 acetylation observed under similar conditions (9). Interestingly, methylation on lysine 9 varied in an opposite way (Fig. 7B). Thus, these data indicate that lysine 9 of histone H3 evolves during the cell cycle from a methylated to an acetylated state and suggest that this balance could be important for the temporal regulation of the DHFR promoter.
DISCUSSION
In this manuscript, we demonstrate that p107 and p130, two Rb-related proteins, associate with an HMT which could be the SUV39H1 enzyme. We found that on the DHFR promoter, which is targeted by p107 and p130, K9 of histone H3 is methylated when these pocket proteins repress the promoter (Fig. 7). This result suggests that transcriptional repression by pocket proteins is mediated, at least in part, through K9 methylation. Consistent with this hypothesis, SUV39H1 functions as a corepressor for all three pocket proteins (24, 31) (Fig. 5) through a molecular mechanism involving its enzymatic domain. However, it must be noted that we do not have any proof that histone methylation is involved in the corepressor effects of SUV39H1. Such proof would require the use of point-mutated histones, which is not possible in mammalian cells. Our results (Fig. 5) were obtained using a transiently transfected reporter vector on which chromatin structure is likely to be noncanonical (although Rb is already known to target histone modifications on such templates [16]). This suggests that transcriptional repression by SUV39H1 is due to methylation of a nonhistone protein. We tested several actors of E2F regulation and none of them was found to be methylated in vitro by recombinant SUV39H1 (Fig. 6). However, we cannot rule out the possibility that these proteins are in vivo substrates of SUV39H1 or that SUV39H1 methylates proteins from the transcription machinery. This is clearly a very interesting direction for future research.
Our results also suggest that the temporal regulation of the DHFR promoter involves a complex interplay between various histone modifications. Transcriptional repression in G0 and G1 correlates with deacetylation of histones (9; this study) and methylation of histone H3 K9, whereas activation at the G1/S transition is associated with increased acetylation of histones and decreased histone H3 K9 methylation.
Our results suggest that DHFR promoter transcriptional repression by p107 or p130 involves the concerted action of HDACs and the K9-specific HMT SUV39H1. Interestingly, many recent studies have indicated that HDACs and SUV39H1 are functionally linked. First, silencing at pericentric loci in S. pombe requires the S. pombe orthologue of SUV39H1, the Clr4 enzyme, and the HDACs Clr3 and Clr6 (10). Second, recruitment of HP1 proteins to heterochromatic foci in mammalian cells is dependent on the SUV39H1 enzyme and the activity of HDACs (14, 29). Finally, two recent studies have shown that SUV39H1 and HDAC1 physically interact in living cells and cooperate in the formation of pericentric heterochromatin in Drosophila (7) and in the transcriptional repression of heterologous promoters in mammals (32). What could be the molecular basis for this cooperation? Our results are entirely consistent with a model in which HDACs function to deacetylate K9 of histone H3 before its methylation by SUV39H1, since methylation and acetylation of this K9 are mutually exclusive. Indeed, K9 is a major acetylation site on the DHFR promoter, since up to 10% of the DHFR promoter can be immunoprecipitated by the anti-AcK9 antibody using chromatin from G1/S cells (data not shown).
The balance between K9 acetylation and methylation that we describe for the DHFR promoter is reminiscent of the establishment of chromatin domains, for which an anticorrelation between K9 acetylation and methylation was shown. For example, K9 methylation was found associated with the silent domains of the β-globin locus in chicken, whereas adjacent active domains harbored a hyperacetylated histone H3 K9 (15). Our results suggest that the DHFR promoter is regulated during the cell cycle by similar antagonistic molecular marks. However, in this case, they would specify temporal instead of spatial regulation. Strikingly, the establishment of facultative heterochromatin in mammals (X chromosome inactivation) is also associated with a shift from hyperacetylation to hypermethylation of histone H3 lysine 9 (12). Thus, our data underline once again the parallel that can be drawn between the molecular mechanisms of transcriptional repression of E2F-responsive promoters and of heterochromatin silencing. Interestingly, it has recently been proposed that transcriptional repression of a specific promoter in Candida elegans could also be mediated by the machinery responsible for X chromosome inactivation (5).
Our results also raise the question of histone demethylation. Indeed, by using a ChIP assay we detected methylation of histone H3 K9 in resting cells but not in cells that had been reinduced with serum for 12 h (Fig. 7). Most importantly, this decrease was apparently concomitant with an increase in K9 acetylation. So far, we cannot rule out the possibility that these modifications occur on different histones on the DHFR promoter and that the reactivity of the methylated K9-specific antibody is altered during the cell cycle for reason other than an actual change in methylation. For example, some antibodies against histone H3 phosphorylated on serine 10 do not recognize the phosphorylated histone if phosphorylation is associated with acetylation at K14 (6). Nevertheless, our results suggest the possibility of histone demethylation on the DHFR promoter. This demethylation could be due to the activity of an enzyme which removes the methyl group from nucleosomes. Such an enzymatic activity has recently been proposed (4). Most importantly, this putative enzymatic activity was found in proteins harboring histone acetyltransferase activity, providing a potential molecular basis for the functional link between the histone demethylation and acetylation that we detected on the DHFR promoter during G1 phase progression (Fig. 7). Alternatively, demethylation could occur through the replacement of methylated histones by neosynthesized histones. Whether demethylation is targeted to E2F-regulated promoters and how it could be targeted are undoubtedly areas for an interesting future direction of research.
Acknowledgments
We thank L. Vandel, L. Daury, and C. Monod for critical reading of the manuscript; C. Chailleux and O. Fayet for help with real-time PCR; R. Ferreira for help with the chromatin immunoprecipitation experiments; and T. Jenuwein, C. Sardet, and Y. Nakatani for materials.
This work was supported by a grant from La Ligue Nationale Contre le Cancer to D.T., as an équipe labellisée. E.N. is supported by a studentship from the ARC (Association de Recherche contre le Cancer).
REFERENCES
- 1.Aagaard, L., G. Laible, P. Selenko, M. Schmid, R. Dorn, G. Schotta, S. Kuhfittig, A. Wolf, A. Lebersorger, P. B. Singh, G. Reuter, and T. Jenuwein. 1999. Functional mammalian homologues of the Drosophila PEV-modifier Su(var)3-9 encode centromere-associated proteins which complex with the heterochromatin component M31. EMBO J. 18:1923-1938. [DOI] [PMC free article] [PubMed] [Google Scholar]
- 2.Bannister, A. J., P. Zegerman, J. F. Partridge, E. A. Miska, J. O. Thomas, R. C. Allshire, and T. Kouzarides. 2001. Selective recognition of methylated lysine 9 on histone H3 by the HP1 chromo domain. Nature 410:120-124. [DOI] [PubMed] [Google Scholar]
- 3.Brehm, A., E. A. Miska, D. J. McCance, J. L. Reid, A. J. Bannister, and T. Kouzarides. 1998. Retinoblastoma protein recruits histone deacetylase to repress transcription. Nature 391:597-601. [DOI] [PubMed] [Google Scholar]
- 4.Chinenov, Y. 2002. A second catalytic domain in the Elp3 histone acetyltransferases: a candidate for histone demethylase activity? Trends Biochem. Sci. 27:115-117. [DOI] [PubMed] [Google Scholar]
- 5.Chu, D. S., H. E. Dawes, J. D. Lieb, R. C. Chan, A. F. Kuo, and B. J. Meyer. 2002. A molecular link between gene-specific and chromosome-wide transcriptional repression. Genes Dev. 16:796-805. [DOI] [PMC free article] [PubMed] [Google Scholar]
- 6.Clayton, A. L., S. Rose, M. J. Barratt, and L. C. Mahadevan. 2000. Phosphoacetylation of histone H3 on c-fos- and c-jun-associated nucleosomes upon gene activation. EMBO J. 19:3714-3726. [DOI] [PMC free article] [PubMed] [Google Scholar]
- 7.Czermin, B., G. Schotta, B. B. Hulsmann, A. Brehm, P. B. Becker, G. Reuter, and A. Imhof. 2001. Physical and functional association of SU(VAR)3-9 and HDAC1 in Drosophila. EMBO Rep. 2:915-919. [DOI] [PMC free article] [PubMed] [Google Scholar]
- 8.Ferreira, R., L. Magnaghi-Jaulin, P. Robin, A. Harel-Bellan, and D. Trouche. 1998. The three members of the pocket proteins family share the ability to repress E2F activity through recruitment of a histone deacetylase. Proc. Natl. Acad. Sci. USA 95:10493-10498. [DOI] [PMC free article] [PubMed] [Google Scholar]
- 9.Ferreira, R., I. Naguibneva, M. Mathieu, S. Ait-Si-Ali, P. Robin, L. L. Pritchard, and A. Harel-Bellan. 2001. Cell cycle-dependent recruitment of HDAC-1 correlates with deacetylation of histone H4 on an Rb-E2F target promoter. EMBO Rep. 2:794-799. [DOI] [PMC free article] [PubMed]
- 10.Grewal, S. I. 2000. Transcriptional silencing in fission yeast. J. Cell Physiol. 184:311-318. [DOI] [PubMed] [Google Scholar]
- 11.Harbour, J. W., and D. C. Dean. 2000. Chromatin remodeling and Rb activity. Curr. Opin. Cell Biol. 12:685-689. [DOI] [PubMed] [Google Scholar]
- 12.Heard, E., C. Rougeulle, D. Arnaud, P. Avner, C. D. Allis, and D. L. Spector. 2001. Methylation of histone H3 at Lys-9 is an early mark on the X chromosome during X inactivation. Cell 107:727-738. [DOI] [PubMed] [Google Scholar]
- 13.Jenuwein, T. 2001. Re-SET-ting heterochromatin by histone methyltransferases. Trends Cell Biol. 11:266-273. [DOI] [PubMed] [Google Scholar]
- 14.Lachner, M., D. O'Carrol, S. Rea, K. Mechtler, and T. Jenuwein. 2001. Methylation of histone H3 lysine 9 creates a binding site for HP1 proteins. Nature 410:116-120. [DOI] [PubMed] [Google Scholar]
- 15.Litt, M. D., M. Simpson, M. Gaszner, C. D. Allis, and G. Felsenfeld. 2001. Correlation between histone lysine methylation and developmental changes at the chicken beta-globin locus. Science 293:2453-2455. [DOI] [PubMed] [Google Scholar]
- 16.Luo, R. X., A. A. Postigo, and D. C. Dean. 1998. Rb interacts with histone deacetylase to repress transcription. Cell 92:463-473. [DOI] [PubMed] [Google Scholar]
- 17.Magnaghi-Jaulin, L., R. Groisman, I. Naguibneva, P. Robin, S. Lorain, J. P. Le Villain, F. Troalen, D. Trouche, and A. Harel-Bellan. 1998. Retinoblastoma protein represses transcription by recruiting a histone deacetylase. Nature 391:601-605. [DOI] [PubMed] [Google Scholar]
- 18.Martin, K., D. Trouche, C. Hagemeier, T. S. Sorensen, N. B. La Thangue, and T. Kouzarides. 1995. Stimulation of E2F1/DP1 transcriptional activity by MDM2 oncoprotein. Nature 375:691-694. [DOI] [PubMed] [Google Scholar]
- 19.Muller, H., and K. Helin. 2000. The E2F transcription factors: key regulators of cell proliferation. Biochim. Biophys. Acta 1470:M1-M12. [DOI] [PubMed]
- 20.Mulligan, G., and T. Jacks. 1998. The retinoblastoma gene family: cousins with overlapping interests. Trends Genet. 14:223-229. [DOI] [PubMed] [Google Scholar]
- 21.Murray, K. 1964. The occurrence of e-N-methyl lysine in histones. Biochemistry 3:10-15. [DOI] [PubMed] [Google Scholar]
- 22.Nakayama, J., J. C. Rice, B. D. Strahl, C. D. Allis, and S. I. Grewal. 2001. Role of histone H3 lysine 9 methylation in epigenetic control of heterochromatin assembly. Science 292:110-113. [DOI] [PubMed] [Google Scholar]
- 23.Nicolas, E., V. Morales, L. Magnaghi-Jaulin, A. Harel-Bellan, H. Richard-Foy, and D. Trouche. 2000. RbAp48 belongs to the histone deacetylase complex that associates with the retinoblastoma protein. J. Biol. Chem. 275:9797-9804. [DOI] [PubMed] [Google Scholar]
- 24.Nielsen, S. J., R. Schneider, U. M. Bauer, A. J. Bannister, A. Morrison, D. O'Carroll, R. Firestein, M. Cleary, T. Jenuwein, R. E. Herrera, and T. Kouzarides. 2001. Rb targets histone H3 methylation and HP1 to promoters. Nature 412:561-565. [DOI] [PubMed] [Google Scholar]
- 25.Ogawa, H., K. Ishiguro, S. Gaubatz, D. M. Livingston, and Y. Nakatani. 2002. A complex with chromatin modifiers that occupies E2F- and Myc-responsive genes in G0 cells. Science 296:1132-1136. [DOI] [PubMed] [Google Scholar]
- 26.Planassilva, M. D., and R. A. Weinberg. 1997. The restriction point and control of cell proliferation. Curr. Opin. Cell Biol. 9:768-772. [DOI] [PubMed] [Google Scholar]
- 27.Rea, S., F. Eisenhaber, D. O'Carroll, B. D. Strahl, Z. W. Sun, M. Schmid, S. Opravil, K. Mechtler, C. P. Ponting, C. D. Allis, and T. Jenuwein. 2000. Regulation of chromatin structure by site-specific histone H3 methyltransferases. Nature 406:593-599. [DOI] [PubMed] [Google Scholar]
- 28.Starostik, P., K. N. Chow, and D. C. Dean. 1996. Transcriptional repression and growth suppression by the p107 pocket protein. Mol. Cell. Biol. 16:3606-3614. [DOI] [PMC free article] [PubMed] [Google Scholar]
- 29.Taddei, A., C. Maison, D. Roche, and G. Almouzni. 2001. Reversible disruption of pericentric heterochromatin and centromere function by inhibiting deacetylases. Nat. Cell. Biol. 3:114-120. [DOI] [PubMed] [Google Scholar]
- 30.Takahashi, Y., J. B. Rayman, and B. D. Dynlacht. 2000. Analysis of promoter binding by the E2F and pRB families in vivo: distinct E2F proteins mediate activation and repression. Genes Dev. 14:804-816. [PMC free article] [PubMed] [Google Scholar]
- 31.Vandel, L., E. Nicolas, O. Vaute, R. Ferreira, S. Ait-Si-Ali, and D. Trouche. 2001. Transcriptional repression by the retinoblastoma protein through the recruitment of a histone methyltransferase. Mol. Cell. Biol. 21:6484-6494. [DOI] [PMC free article] [PubMed] [Google Scholar]
- 32.Vaute, O., E. Nicolas, L. Vandel, and D. Trouche. 2002. Functional and physical interaction between the histone methyl transferase Suv39H1 and histone deacetylases. Nucleic Acids Res. 30:475-481. [DOI] [PMC free article] [PubMed] [Google Scholar]
- 33.Zhang, Y., and D. Reinberg. 2001. Transcription regulation by histone methylation: interplay between different covalent modifications of the core histone tails. Genes Dev. 15:2343-2360. [DOI] [PubMed] [Google Scholar]







