Abstract
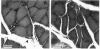
Malignant hyperthermia is a main cause of death during general anesthesia, particularly in children. However, research has been hampered by the lack of a convenient animal model, the only one available being a special strain of pig. In this study, we describe spontaneous myopathy and a fatal syndrome of generalized muscle rigidity triggered by halothane in an outbred strain of rat. Histological examination of skeletal muscle reveals severe abnormalities indicating chronic underlying myopathy. The association of histological abnormalities with an acute, fatal syndrome clinically resembling malignant hyperthermia provides a strong basis for a new and extremely useful animal model to study this fatal disorder.
Full text
PDF




Images in this article
Selected References
These references are in PubMed. This may not be the complete list of references from this article.
- Bendixen D., Poulsen T. D., Knudsen F., Nielsen J., Ording H. Clinical variability of possible malignant hyperthermia as revealed by two cases. Acta Anaesthesiol Belg. 1994;45(3):93–98. [PubMed] [Google Scholar]
- Britt B. A., Kalow W. Malignant hyperthermia: a statistical review. Can Anaesth Soc J. 1970 Jul;17(4):293–315. doi: 10.1007/BF03004694. [DOI] [PubMed] [Google Scholar]
- Brownell A. K. Malignant hyperthermia: relationship to other diseases. Br J Anaesth. 1988 Feb;60(3):303–308. doi: 10.1093/bja/60.3.303. [DOI] [PubMed] [Google Scholar]
- Calore E. E., Cavaliere M. J., Perez N. M., Russo D. H., Wakamatsu A., Razzouk D. Hyperthermic reaction to haloperidol with rigidity, associated to central core disease. Acta Neurol (Napoli) 1994 Aug;16(4):157–161. [PubMed] [Google Scholar]
- Cawley G. D., Bradley R. Presumed congenital myodegeneration in a calf. Vet Rec. 1979 Oct 27;105(17):398–399. doi: 10.1136/vr.105.17.398. [DOI] [PubMed] [Google Scholar]
- Citino S. B., Bush M., Phillips L. G. Dystocia and fatal hyperthermic episode in a giraffe. J Am Vet Med Assoc. 1984 Dec 1;185(11):1440–1442. [PubMed] [Google Scholar]
- Denborough M. A., Ebeling P., King J. O., Zapf P. Myopathy and malignant hyperpyrexia. Lancet. 1970 May 30;1(7657):1138–1140. doi: 10.1016/s0140-6736(70)91215-8. [DOI] [PubMed] [Google Scholar]
- Ellis F. R., Keaney N. P., Harriman D. G. Histopathological and neuropharmacological aspects of malignant hyperpyrexia. Proc R Soc Med. 1973 Jan;66(1 Pt 1):66–67. doi: 10.1177/00359157730661P132. [DOI] [PMC free article] [PubMed] [Google Scholar]
- Eng G. D., Epstein B. S., Engel W. K., McKay D. W., McKay R. Malignant hyperthermia and central core disease in a child with congenital dislocating hips. Arch Neurol. 1978 Apr;35(4):189–197. doi: 10.1001/archneur.1978.00500280007002. [DOI] [PubMed] [Google Scholar]
- Gonzalez L. E., File S. E. A five minute experience in the elevated plus-maze alters the state of the benzodiazepine receptor in the dorsal raphe nucleus. J Neurosci. 1997 Feb 15;17(4):1505–1511. doi: 10.1523/JNEUROSCI.17-04-01505.1997. [DOI] [PMC free article] [PubMed] [Google Scholar]
- Harriman D. G., Sumner D. W., Ellis F. R. Malignant hyperpyrexia myopathy. Q J Med. 1973 Oct;42(168):639–664. [PubMed] [Google Scholar]
- Heiman-Patterson T. D., Rosenberg H., Fletcher J. E., Tahmoush A. J. Halothane-caffeine contracture testing in neuromuscular diseases. Muscle Nerve. 1988 May;11(5):453–457. doi: 10.1002/mus.880110507. [DOI] [PubMed] [Google Scholar]
- Henderson W. A. Succinylcholine-induced cardiac arrest in unsuspected Duchenne muscular dystrophy. Can Anaesth Soc J. 1984 Jul;31(4):444–446. doi: 10.1007/BF03015422. [DOI] [PubMed] [Google Scholar]
- Isaacs H., Barlow M. B. Malignant hyperpyrexia during anaesthesia: possible association with subclinical myopathy. Br Med J. 1970 Jan 31;1(5691):275–277. doi: 10.1136/bmj.1.5691.275. [DOI] [PMC free article] [PubMed] [Google Scholar]
- Jones E. W., Nelson T. E., Anderson I. L., Kerr D. D., Burnap T. K. Malignant hyperthermia of swine. Anesthesiology. 1972 Jan;36(1):42–51. doi: 10.1097/00000542-197201000-00008. [DOI] [PubMed] [Google Scholar]
- Kelly D., Brull S. J. Neuroleptic malignant syndrome and mivacurium: a safe alternative to succinylcholine? Can J Anaesth. 1994 Sep;41(9):845–849. doi: 10.1007/BF03011591. [DOI] [PubMed] [Google Scholar]
- Kirmayer A. H., Klide A. M., Purvance J. E. Malignant hyperthermia in a dog: case report and review of the syndrome. J Am Vet Med Assoc. 1984 Nov 1;185(9):978–982. [PubMed] [Google Scholar]
- López J. R., Pérez C., Linares N., Allen P., Terzic A. Hypersensitive response of malignant hyperthermia-susceptible skeletal muscle to inositol 1,4,5-triphosphate induced release of calcium. Naunyn Schmiedebergs Arch Pharmacol. 1995 Oct;352(4):442–446. doi: 10.1007/BF00172783. [DOI] [PubMed] [Google Scholar]
- MacLennan D. H. Discordance between phenotype and genotype in malignant hyperthermia. Curr Opin Neurol. 1995 Oct;8(5):397–401. doi: 10.1097/00019052-199510000-00013. [DOI] [PubMed] [Google Scholar]
- MacLennan D. H., Phillips M. S. Malignant hyperthermia. Science. 1992 May 8;256(5058):789–794. doi: 10.1126/science.1589759. [DOI] [PubMed] [Google Scholar]
- Muiños P. A., Ortells M. A., Sánchez G., Carrasco M. S. Un caso de hipertermia maligna sin hipertermia. Rev Esp Anestesiol Reanim. 1995 Dec;42(10):436–436. [PubMed] [Google Scholar]
- Nelson T. E., Jones E. W., Henrickson R. L., Falk S. N., Kerr D. D. Porcine malignant hyperthermia: observations on the occurrence of pale, soft, exudative musculature among susceptible pigs. Am J Vet Res. 1974 Mar;35(3):347–350. [PubMed] [Google Scholar]
- Nielsen J. C., Nicholson K., Pitzner-Jørgensen B. L., Undén M. Misbrug af Ecstasy (3,4-metylendioxymetamfetamin). Farmakologiske, neuropsykiatriske og adfaerdsmaessige aspekter. Ugeskr Laeger. 1995 Feb 6;157(6):724–727. [PubMed] [Google Scholar]
- Ranklev E., Henriksson K. G., Fletcher R., Germundsson K., Oldfors A., Kalimo H. Clinical and muscle biopsy findings in malignant hyperthermia susceptibility. Acta Neurol Scand. 1986 Dec;74(6):452–459. doi: 10.1111/j.1600-0404.1986.tb07870.x. [DOI] [PubMed] [Google Scholar]
- Ryan J. F., Tedeschi L. G. Sudden unexplained death in a patient with a family history of malignant hyperthermia. J Clin Anesth. 1997 Feb;9(1):66–68. doi: 10.1016/S0952-8180(96)00207-3. [DOI] [PubMed] [Google Scholar]
- Sato N., Brum J. M., Mitsumoto H., DeBoer G. E. Effect of cocaine on the contracture response to 1% halothane in patients undergoing diagnostic muscle biopsy for malignant hyperthermia. Can J Anaesth. 1995 Feb;42(2):158–162. doi: 10.1007/BF03028270. [DOI] [PubMed] [Google Scholar]
- Wappler F., Roewer N., Lenzen C., Köchling A., Scholz J., Steinfath M., Schulte am Esch J. High-purity ryanodine and 9,21-dehydroryanodine for in vitro diagnosis of malignant hyperthermia in man. Br J Anaesth. 1994 Feb;72(2):240–242. doi: 10.1093/bja/72.2.240. [DOI] [PubMed] [Google Scholar]
- Wedel D. J., Nelson T. E. Malignant hyperthermia--diagnostic dilemma: false-negative contracture responses with halothane and caffeine alone. Anesth Analg. 1994 Apr;78(4):787–792. doi: 10.1213/00000539-199404000-00031. [DOI] [PubMed] [Google Scholar]
- de Jong R. H., Heavner J. E., Amory D. W. Malignant hyperpyrexia in the cat. Anesthesiology. 1974 Dec;41(6):608–609. doi: 10.1097/00000542-197412000-00014. [DOI] [PubMed] [Google Scholar]


