Abstract
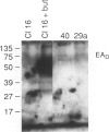
The authors recently demonstrated that 40% of Epstein-Barr virus (EBV) associated lymphoproliferative lesions contained lytic as well as latent EBV DNA. To examine more fully the replicative state of EBV in these disorders, the authors studied protein extracts of EBV-associated lymphoid lesions from 13 patients, most of whom were immunosuppressed, for expression of the diffuse early antigen (EA-D) of EBV, by immunoblotting techniques. The reagent used was a mouse monoclonal antibody. Seven of thirteen samples (54%) contained EA-D. These data indicate that in EBV-associated lymphoproliferative lesions, lytic viral replication occurs frequently, manifested by the presence of EBV diffuse early antigen as well as by the presence of lytic EBV DNA replication.
Full text
PDF







Images in this article
Selected References
These references are in PubMed. This may not be the complete list of references from this article.
- Andiman W. A., Eastman R., Martin K., Katz B. Z., Rubinstein A., Pitt J., Pahwa S., Miller G. Opportunistic lymphoproliferations associated with Epstein-Barr viral DNA in infants and children with AIDS. Lancet. 1985 Dec 21;2(8469-70):1390–1393. doi: 10.1016/s0140-6736(85)92557-7. [DOI] [PubMed] [Google Scholar]
- Bonagura V. R., Katz B. Z., Edwards B. L., Valacer D. J., Nisen P., Gloster E., Mir R., Lanzkowsky P. Severe chronic EBV infection associated with specific EBV immunodeficiency and an EBNA+ T-cell lymphoma containing linear, EBV DNA. Clin Immunol Immunopathol. 1990 Oct;57(1):32–44. doi: 10.1016/0090-1229(90)90020-q. [DOI] [PubMed] [Google Scholar]
- Bornkamm G. W., Stein H., Lennert K., Rüggeberg F., Bartels H., zur Hausen H. Attempts to demonstrate virus-specific sequences in human tumors. IV. EB viral DNA in European Burkitt lymphoma and immunoblastic lymphadenopathy with excessive plasmacytosis. Int J Cancer. 1976 Feb 15;17(2):177–181. doi: 10.1002/ijc.2910170205. [DOI] [PubMed] [Google Scholar]
- Brichácek B., Hirsch I., Síbl O., Vilikusová E., Vonka V. Association of some supraglottic laryngeal carcinomas with EB virus. Int J Cancer. 1983 Aug 15;32(2):193–197. doi: 10.1002/ijc.2910320209. [DOI] [PubMed] [Google Scholar]
- Brichácek B., Hirsch I., Síbl O., Vilikusová E., Vonka V. Presence of Epstein-Barr virus DNA in carcinomas of the palatine tonsil. J Natl Cancer Inst. 1984 Apr;72(4):809–815. [PubMed] [Google Scholar]
- Case records of the Massachusetts General Hospital. Weekly clinicopathological exercises. Case 40-1990. A 16-year-old boy with a seizure disorder and past meningitis, current hepatic failure, and free intraperitoneal air. N Engl J Med. 1990 Oct 4;323(14):973–984. doi: 10.1056/NEJM199010043231407. [DOI] [PubMed] [Google Scholar]
- Colby B. M., Shaw J. E., Elion G. B., Pagano J. S. Effect of acyclovir [9-(2-hydroxyethoxymethyl)guanine] on Epstein-Barr virus DNA replication. J Virol. 1980 May;34(2):560–568. doi: 10.1128/jvi.34.2.560-568.1980. [DOI] [PMC free article] [PubMed] [Google Scholar]
- Fåhraeus R., Fu H. L., Ernberg I., Finke J., Rowe M., Klein G., Falk K., Nilsson E., Yadav M., Busson P. Expression of Epstein-Barr virus-encoded proteins in nasopharyngeal carcinoma. Int J Cancer. 1988 Sep 15;42(3):329–338. doi: 10.1002/ijc.2910420305. [DOI] [PubMed] [Google Scholar]
- Greenspan J. S., Greenspan D., Lennette E. T., Abrams D. I., Conant M. A., Petersen V., Freese U. K. Replication of Epstein-Barr virus within the epithelial cells of oral "hairy" leukoplakia, an AIDS-associated lesion. N Engl J Med. 1985 Dec 19;313(25):1564–1571. doi: 10.1056/NEJM198512193132502. [DOI] [PubMed] [Google Scholar]
- Hennessy K., Fennewald S., Hummel M., Cole T., Kieff E. A membrane protein encoded by Epstein-Barr virus in latent growth-transforming infection. Proc Natl Acad Sci U S A. 1984 Nov;81(22):7207–7211. doi: 10.1073/pnas.81.22.7207. [DOI] [PMC free article] [PubMed] [Google Scholar]
- Ho M., Jaffe R., Miller G., Breinig M. K., Dummer J. S., Makowka L., Atchison R. W., Karrer F., Nalesnik M. A., Starzl T. E. The frequency of Epstein-Barr virus infection and associated lymphoproliferative syndrome after transplantation and its manifestations in children. Transplantation. 1988 Apr;45(4):719–727. doi: 10.1097/00007890-198804000-00011. [DOI] [PMC free article] [PubMed] [Google Scholar]
- Ho M., Miller G., Atchison R. W., Breinig M. K., Dummer J. S., Andiman W., Starzl T. E., Eastman R., Griffith B. P., Hardesty R. L. Epstein-Barr virus infections and DNA hybridization studies in posttransplantation lymphoma and lymphoproliferative lesions: the role of primary infection. J Infect Dis. 1985 Nov;152(5):876–886. doi: 10.1093/infdis/152.5.876. [DOI] [PMC free article] [PubMed] [Google Scholar]
- Hochberg F. H., Miller G., Schooley R. T., Hirsch M. S., Feorino P., Henle W. Central-nervous-system lymphoma related to Epstein-Barr virus. N Engl J Med. 1983 Sep 29;309(13):745–748. doi: 10.1056/NEJM198309293091301. [DOI] [PubMed] [Google Scholar]
- Katz B. Z., Niederman J. C., Olson B. A., Miller G. Fragment length polymorphisms among independent isolates of Epstein-Barr virus from immunocompromised and normal hosts. J Infect Dis. 1988 Feb;157(2):299–308. doi: 10.1093/infdis/157.2.299. [DOI] [PubMed] [Google Scholar]
- Katz B. Z., Raab-Traub N., Miller G. Latent and replicating forms of Epstein-Barr virus DNA in lymphomas and lymphoproliferative diseases. J Infect Dis. 1989 Oct;160(4):589–598. doi: 10.1093/infdis/160.4.589. [DOI] [PubMed] [Google Scholar]
- Klein G., Giovanella B. C., Lindahl T., Fialkow P. J., Singh S., Stehlin J. S. Direct evidence for the presence of Epstein-Barr virus DNA and nuclear antigen in malignant epithelial cells from patients with poorly differentiated carcinoma of the nasopharynx. Proc Natl Acad Sci U S A. 1974 Dec;71(12):4737–4741. doi: 10.1073/pnas.71.12.4737. [DOI] [PMC free article] [PubMed] [Google Scholar]
- Klein G., Giovanella B. C., Lindahl T., Fialkow P. J., Singh S., Stehlin J. S. Direct evidence for the presence of Epstein-Barr virus DNA and nuclear antigen in malignant epithelial cells from patients with poorly differentiated carcinoma of the nasopharynx. Proc Natl Acad Sci U S A. 1974 Dec;71(12):4737–4741. doi: 10.1073/pnas.71.12.4737. [DOI] [PMC free article] [PubMed] [Google Scholar]
- Leyvraz S., Henle W., Chahinian A. P., Perlmann C., Klein G., Gordon R. E., Rosenblum M., Holland J. F. Association of Epstein-Barr virus with thymic carcinoma. N Engl J Med. 1985 May 16;312(20):1296–1299. doi: 10.1056/NEJM198505163122006. [DOI] [PubMed] [Google Scholar]
- Li J. S., Zhou B. S., Dutschman G. E., Grill S. P., Tan R. S., Cheng Y. C. Association of Epstein-Barr virus early antigen diffuse component and virus-specified DNA polymerase activity. J Virol. 1987 Sep;61(9):2947–2949. doi: 10.1128/jvi.61.9.2947-2949.1987. [DOI] [PMC free article] [PubMed] [Google Scholar]
- Luka J., Deeb Z. E., Hartmann D. P., Jenson B., Pearson G. R. Detection of antigens associated with Epstein-Barr virus replication in extracts from biopsy specimens of nasopharyngeal carcinomas. J Natl Cancer Inst. 1988 Sep 21;80(14):1164–1167. doi: 10.1093/jnci/80.14.1164. [DOI] [PubMed] [Google Scholar]
- Martin K., Katz B. Z., Miller G. AIDS and antibodies to human immunodeficiency virus (HIV) in children and their families. J Infect Dis. 1987 Jan;155(1):54–63. doi: 10.1093/infdis/155.1.54. [DOI] [PubMed] [Google Scholar]
- Pearson G. R., Vroman B., Chase B., Sculley T., Hummel M., Kieff E. Identification of polypeptide components of the Epstein-Barr virus early antigen complex with monoclonal antibodies. J Virol. 1983 Jul;47(1):193–201. doi: 10.1128/jvi.47.1.193-201.1983. [DOI] [PMC free article] [PubMed] [Google Scholar]
- Rowe M., Young L. S., Crocker J., Stokes H., Henderson S., Rickinson A. B. Epstein-Barr virus (EBV)-associated lymphoproliferative disease in the SCID mouse model: implications for the pathogenesis of EBV-positive lymphomas in man. J Exp Med. 1991 Jan 1;173(1):147–158. doi: 10.1084/jem.173.1.147. [DOI] [PMC free article] [PubMed] [Google Scholar]
- Saemundsen A. K., Berkel A. I., Henle W., Henle G., Anvret M., Sanal O., Ersoy F., Cağlar M., Klein G. Epstein-Barr-virus-carrying lymphoma in a patient with ataxia-telangiectasia. Br Med J (Clin Res Ed) 1981 Feb 7;282(6262):425–427. doi: 10.1136/bmj.282.6262.425. [DOI] [PMC free article] [PubMed] [Google Scholar]
- Sullivan J. L. Epstein-Barr virus and the X-linked lymphoproliferative syndrome. Adv Pediatr. 1983;30:365–399. [PubMed] [Google Scholar]
- Takada K., Ono Y. Synchronous and sequential activation of latently infected Epstein-Barr virus genomes. J Virol. 1989 Jan;63(1):445–449. doi: 10.1128/jvi.63.1.445-449.1989. [DOI] [PMC free article] [PubMed] [Google Scholar]
- Thomas J. A., Hotchin N. A., Allday M. J., Amlot P., Rose M., Yacoub M., Crawford D. H. Immunohistology of Epstein-Barr virus-associated antigens in B cell disorders from immunocompromised individuals. Transplantation. 1990 May;49(5):944–953. doi: 10.1097/00007890-199005000-00022. [DOI] [PubMed] [Google Scholar]
- Veltri R. W., Raich P. C., McClung J. E., Shah S. H., Sprinkle P. M. Lymphomatoid granulomatosis and Epstein-Barr virus. Cancer. 1982 Oct 15;50(8):1513–1517. doi: 10.1002/1097-0142(19821015)50:8<1513::aid-cncr2820500811>3.0.co;2-8. [DOI] [PubMed] [Google Scholar]
- Weigel R., Miller G. Major EB virus-specific cytoplasmic transcripts in a cellular clone of the HR-1 Burkitt lymphoma line during latency and after induction of viral replicative cycle by phorbol esters. Virology. 1983 Mar;125(2):287–298. doi: 10.1016/0042-6822(83)90202-7. [DOI] [PubMed] [Google Scholar]
- Wong K. M., Levine A. J. Identification and mapping of Epstein-Barr virus early antigens and demonstration of a viral gene activator that functions in trans. J Virol. 1986 Oct;60(1):149–156. doi: 10.1128/jvi.60.1.149-156.1986. [DOI] [PMC free article] [PubMed] [Google Scholar]
- Young L. S., Dawson C. W., Clark D., Rupani H., Busson P., Tursz T., Johnson A., Rickinson A. B. Epstein-Barr virus gene expression in nasopharyngeal carcinoma. J Gen Virol. 1988 May;69(Pt 5):1051–1065. doi: 10.1099/0022-1317-69-5-1051. [DOI] [PubMed] [Google Scholar]
- Young L. S., Finerty S., Brooks L., Scullion F., Rickinson A. B., Morgan A. J. Epstein-Barr virus gene expression in malignant lymphomas induced by experimental virus infection of cottontop tamarins. J Virol. 1989 May;63(5):1967–1974. doi: 10.1128/jvi.63.5.1967-1974.1989. [DOI] [PMC free article] [PubMed] [Google Scholar]
- Young L., Alfieri C., Hennessy K., Evans H., O'Hara C., Anderson K. C., Ritz J., Shapiro R. S., Rickinson A., Kieff E. Expression of Epstein-Barr virus transformation-associated genes in tissues of patients with EBV lymphoproliferative disease. N Engl J Med. 1989 Oct 19;321(16):1080–1085. doi: 10.1056/NEJM198910193211604. [DOI] [PubMed] [Google Scholar]





