Abstract
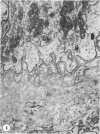
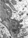
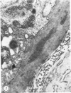
Immunopathologic findings in efferent ducts of 36 rhesus macaques vasectomized as many as 12 years earlier and of 11 age-matched control animals were compared. Electron-microscopic observation of these ducts revealed changes after vasectomy. The epithelium shortened from a prevasectomy height of 25 mu to 14 mu as the ducts stretched after vasectomy. The number of sperm and macrophages in the lumen increased. The basement membrane was 300-700 A wide in nonvasectomized animals but several times that in animals vasectomized 6 or more years before; the mean width significantly increased with time after vasectomy. Numerous electron-dense immune complexes were found within the thickened lamina in 33% of vasectomized animals and in none of the controls. The mean size of the electron-dense areas varied from 0.01 sq mu in a monkey vasectomized 3 years earlier to 0.18 sq mu in an animal vasectomized 7 years earlier; the mean area significantly increased with time after vasectomy. Frozen sections of testis and epididymis were evaluated through the use of fluorescein-conjugated antibodies. Of the nonvasectomized controls, 18% showed immune deposits. Of the vasectomized animals, 53% revealed C3 deposition in the basement membrane surrounding the efferent ducts. The presence of electron-dense deposits plus the finding of putative immune complexes as revealed by immunofluorescence suggested that vasectomy enhances leakage of sperm antigens, particularly in the region of the efferent duct.
Full text
PDF





Images in this article
Selected References
These references are in PubMed. This may not be the complete list of references from this article.
- Alexander N. J. Vasectomy: long-term effects in the rhesus monkey. J Reprod Fertil. 1972 Dec;31(3):399–406. doi: 10.1530/jrf.0.0310399. [DOI] [PubMed] [Google Scholar]
- Bigazzi P. E., Kosuda L. L., Hsu K. C., Andres G. A. Immune complex orchitis in vasectomized rabbits. J Exp Med. 1976 Feb 1;143(2):382–404. doi: 10.1084/jem.143.2.382. [DOI] [PMC free article] [PubMed] [Google Scholar]
- Nydegger U. E. Biologic properties and detection of immune complexes in animal and human pathology. Rev Physiol Biochem Pharmacol. 1979;85:63–123. doi: 10.1007/BFb0036116. [DOI] [PubMed] [Google Scholar]
- Ramos A. S., Jr, Dym M. Ultrastructure of the ductuli efferentes in monkeys. Biol Reprod. 1977 Oct;17(3):339–349. doi: 10.1095/biolreprod17.3.339. [DOI] [PubMed] [Google Scholar]
- Suzuki F., Nagano T. Regional differentiation of cell junctions in the excurrent duct epithelium of the rat testis as revealed by freeze-fracture. Anat Rec. 1978 Aug;191(4):503–519. doi: 10.1002/ar.1091910409. [DOI] [PubMed] [Google Scholar]
- Tung K. S., Alexander N. J. Monocytic orchitis and aspermatogenesis in normal and vasectomized rhesus macaques (Macaca mulatta). Am J Pathol. 1980 Oct;101(1):17–29. [PMC free article] [PubMed] [Google Scholar]
- Vracko R., Benditt E. P. Basal lamina: the scaffold for orderly cell replacement. Observations on regeneration of injured skeletal muscle fibers and capillaries. J Cell Biol. 1972 Nov;55(2):406–419. doi: 10.1083/jcb.55.2.406. [DOI] [PMC free article] [PubMed] [Google Scholar]







