Skip to main content
. 1978 Jul;38(1):64–76. doi: 10.1038/bjc.1978.164

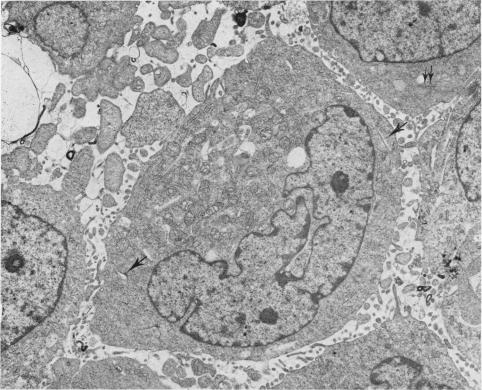
Fig. 4.

Fig. 4