Abstract
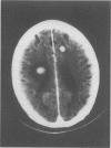
In the majority of cases plasma cell leukaemia is a rapidly fatal disease with a mean survival time of five months. There have been reports of increased survival using various regimens of chemotherapy although most cases eventually relapse. We describe a patient with primary plasma cell leukaemia who responded to a combination of oral melphalan and prednisolone with control of the disease in the bone marrow but relapsed with extramedullary disease in the central nervous system and testes, and died 22 months after diagnosis. Melphalan poorly penetrates the central nervous system and its testicular penetration is unknown.
Full text
PDF



Images in this article
Selected References
These references are in PubMed. This may not be the complete list of references from this article.
- Andaloro V. A., Jr, Babott D. Testicular involvement in plasma-cell leukemia. Urology. 1974 May;3(5):636–638. doi: 10.1016/s0090-4295(74)80266-9. [DOI] [PubMed] [Google Scholar]
- Ardiet C., Tranchand B., Biron P., Rebattu P., Philip T. Pharmacokinetics of high-dose intravenous melphalan in children and adults with forced diuresis. Report in 26 cases. Cancer Chemother Pharmacol. 1986;16(3):300–305. doi: 10.1007/BF00293997. [DOI] [PubMed] [Google Scholar]
- BICHEL J., EFFERSØE P., GORMSEN H., HARBOE N. Leukemic myelomatosis (plasma cell leukemia); a review with report of four cases. Acta radiol. 1952 Mar-Apr;37(3-4):196–207. doi: 10.3109/00016925209139868. [DOI] [PubMed] [Google Scholar]
- Brumana N., Grampa A., Oldrini R., Parravicini U., Salmini G. Multiple myeloma and plasma cell leukemia: two different diseases. Haematologica. 1985 Jan-Feb;70(1):85–86. [PubMed] [Google Scholar]
- Gailani S., Seon B. K., Henderson E. S. Plasma cell leukemia: response to conventional myeloma therapy. J Med. 1977;8(6):403–414. [PubMed] [Google Scholar]
- Gouyette A., Hartmann O., Pico J. L. Pharmacokinetics of high-dose melphalan in children and adults. Cancer Chemother Pharmacol. 1986;16(2):184–189. doi: 10.1007/BF00256174. [DOI] [PubMed] [Google Scholar]
- Hobbs J. R. Growth rates and responses to treatment in human myelomatosis. Br J Haematol. 1969 Jun;16(6):607–617. doi: 10.1111/j.1365-2141.1969.tb00441.x. [DOI] [PubMed] [Google Scholar]
- Kyle R. A., Maldonado J. E., Bayrd E. D. Plasma cell leukemia. Report on 17 cases. Arch Intern Med. 1974 May;133(5):813–818. doi: 10.1001/archinte.133.5.813. [DOI] [PubMed] [Google Scholar]
- Lazarus H. M., Herzig R. H., Graham-Pole J., Wolff S. N., Phillips G. L., Strandjord S., Hurd D., Forman W., Gordon E. M., Coccia P. Intensive melphalan chemotherapy and cryopreserved autologous bone marrow transplantation for the treatment of refractory cancer. J Clin Oncol. 1983 Jun;1(6):359–367. doi: 10.1200/JCO.1983.1.6.359. [DOI] [PubMed] [Google Scholar]
- Lishner M., Lang R., Jutrin I., Ravid M. Favorable response to aggressive chemotherapy in a patient with primary plasma cell leukemia. Acta Haematol. 1985;74(1):49–51. doi: 10.1159/000206165. [DOI] [PubMed] [Google Scholar]
- Marín C., Orbuch S., De Pizzolatto M. B., Rodríguez Fuchs C., Battilana N., Tezanos Pinto M. Mieloma de Bence-Jones con derrame pleural bilateral y leucemia de cĺulas plasmáticas. Presencia de componentes "M" en líquido pleural y lquido cefalorraquídeo. Sangre (Barc) 1982;27(4A):558–563. [PubMed] [Google Scholar]
- McElwain T. J., Powles R. L. High-dose intravenous melphalan for plasma-cell leukaemia and myeloma. Lancet. 1983 Oct 8;2(8354):822–824. doi: 10.1016/s0140-6736(83)90739-0. [DOI] [PubMed] [Google Scholar]
- NEWMAN W., DIEFENBACH W. C. L., QUINN M., MEYER L. M. A case of acute plasma-cell leukemia supporting the concept of unity of plasmacellular neoplasia. Cancer. 1952 May;5(3):514–520. doi: 10.1002/1097-0142(195205)5:3<514::aid-cncr2820050311>3.0.co;2-b. [DOI] [PubMed] [Google Scholar]
- Ogawa M., Kochwa S., Smith C., Ishizaka K., McIntyre O. R. Clinical aspects of IgE myeloma. N Engl J Med. 1969 Nov 27;281(22):1217–1220. doi: 10.1056/NEJM196911272812204. [DOI] [PubMed] [Google Scholar]
- Osanto S., Müller H. P., Schuit H. R., Van Nieuwkoop J. A., Willemze R. Primary plasma cell leukaemia. A case report and a review of the literature. Acta Haematol. 1983;70(2):122–129. doi: 10.1159/000206705. [DOI] [PubMed] [Google Scholar]
- Otsuka T., Kimura N., Niho Y. Multiple myeloma terminating in the leukemic stage with lobular nucleated eccentric plasma cells: a good response to therapy. Nihon Ketsueki Gakkai Zasshi. 1984 Feb;47(1):150–157. [PubMed] [Google Scholar]
- Pacilli L., Ferraro P., Cochi S., De Laurenzi A. Plasma cell leukemia: a report on three patients. Tumori. 1983 Dec 31;69(6):589–591. doi: 10.1177/030089168306900618. [DOI] [PubMed] [Google Scholar]
- Pinkel D. Current issues in the management of children with acute lymphocytic leukaemia. Postgrad Med J. 1985 Feb;61(712):93–102. doi: 10.1136/pgmj.61.712.93. [DOI] [PMC free article] [PubMed] [Google Scholar]
- Pruzanski W., Platts M. E., Ogryzlo M. A. Leukemic form of immunocytic dyscrasia (plasma cell leukemia). A study of ten cases and a review of the literature. Am J Med. 1969 Jul;47(1):60–74. doi: 10.1016/0002-9343(69)90241-1. [DOI] [PubMed] [Google Scholar]
- Shaw M. T., Twele T. W., Nordquist R. E. Plasma cell leukemia: detailed studies and response to therapy. Cancer. 1974 Mar;33(3):619–625. doi: 10.1002/1097-0142(197403)33:3<619::aid-cncr2820330305>3.0.co;2-0. [DOI] [PubMed] [Google Scholar]
- Toma V. A., Retief F. P., Potgieter G. M., Anderson J. D. Plasma cell leukaemia. Diagnostic problems in our experience with 11 cases. Acta Haematol. 1980;63(3):136–145. doi: 10.1159/000207385. [DOI] [PubMed] [Google Scholar]
- Van Eys J., Sullivan M. P. Letter: Testicular leukaemia and temperature. Lancet. 1976 Jul 31;2(7979):256–257. [PubMed] [Google Scholar]
- Weiner L. P., Anderson P. N., Allen J. C. Cerebral plasmacytoma with myeloma protein in the cerebrospinal fluid. Neurology. 1966 Jun;16(6):615–618. doi: 10.1212/wnl.16.6.615. [DOI] [PubMed] [Google Scholar]
- Woodruff R. K., Malpas J. S., Paxton A. M., Lister T. A. Plasma cell leukemia (PCL): A report on 15 patients. Blood. 1978 Oct;52(4):839–845. [PubMed] [Google Scholar]
- Zawadzki Z. A., Kapadia S., Barnes A. E. Leukemic myelomatosis (plasma cell leukemia). Am J Clin Pathol. 1978 Oct;70(4):605–611. doi: 10.1093/ajcp/70.4.605. [DOI] [PubMed] [Google Scholar]

