Abstract
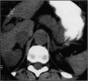
Primary aldosteronism due to an adrenal tumor is rare. When found, it can be treated surgically and cured. This is a case report of a 41-year-old man with a long history of severe hypertension who complained of weakness and weight loss. Laboratory studies revealed hypokalemia and marked elevation of the serum aldosterone level. A computed tomography scan revealed a left adrenal mass that increased in size over 3 months' time. A left adrenalectomy was done, and the patient has had a dramatic decrease in his blood pressure and has returned to work.
Full text
PDF


Images in this article
Selected References
These references are in PubMed. This may not be the complete list of references from this article.
- CONN J. W. Presidential address. I. Painting background. II. Primary aldosteronism, a new clinical syndrome. J Lab Clin Med. 1955 Jan;45(1):3–17. [PubMed] [Google Scholar]
- Hunt T. K., Schambelan M., Biglieri E. G. Selection of patients and operative approach in primary aldosteronism. Ann Surg. 1975 Oct;182(4):353–361. doi: 10.1097/00000658-197510000-00001. [DOI] [PMC free article] [PubMed] [Google Scholar]
- Lim R. C., Jr, Nakayama D. K., Biglieri E. G., Schambelan M., Hunt T. K. Primary aldosteronism: changing concepts in diagnosis and management. Am J Surg. 1986 Jul;152(1):116–121. doi: 10.1016/0002-9610(86)90160-1. [DOI] [PubMed] [Google Scholar]
- Milsom S. R., Espiner E. A., Nicholls M. G., Gwynne J., Perry E. G. The blood pressure response to unilateral adrenalectomy in primary aldosteronism. Q J Med. 1986 Dec;61(236):1141–1151. [PubMed] [Google Scholar]
- Sealey J. E., Cholst I., Glorioso N., Troffa C., Weintraub I. D., James G., Laragh J. H. Sequential changes in plasma luteinizing hormone and plasma prorenin during the menstrual cycle. J Clin Endocrinol Metab. 1987 Jul;65(1):1–5. doi: 10.1210/jcem-65-1-1. [DOI] [PubMed] [Google Scholar]


