Abstract
The type II secretion (T2S) system is an essential device for Erwinia chrysanthemi virulence. Previously, we reported the key role of the OutF protein in forming, along with OutELM, an inner membrane platform in the Out T2S system. Here, we report that OutF copurified with five proteins identified by matrix-assisted laser desorption ionization-time of flight analysis as AcsD, TogA, SecA, Tsp, and DegP. The AcsD protein was known to be involved in the biosynthesis of achromobactin, which is a siderophore important for E. chrysanthemi virulence. The yeast two-hybrid system allowed us to gain further evidence for the OutF-AcsD interaction. Moreover, we showed that lack of OutF produced a pleiotropic phenotype: (i) altered production of the two siderophores of E. chrysanthemi, achromobactin and chrysobactin; (ii) hypersensitivity to streptonigrin, an iron-activated antibiotic; (iii) increased sensitivity to oxidative stress; and (iv) absence of the FbpA-like iron-binding protein in the periplasmic fraction. Interestingly, outE and outL mutants also exhibited similar phenotypes, but, outD and outJ mutants did not. Moreover, using the yeast two-hybrid system, several interactions were shown to occur between components of the T2S system inner membrane platform (OutEFL) and proteins involved in achromobactin production (AcsABCDE). The OutL-AcsD interaction was also demonstrated by Ni2+ affinity chromatography. These results fully confirm our previous view that the T2S machinery is made up of three discrete blocks. The OutEFLM-forming platform is proposed to be instrumental in two different processes essential for virulence, protein secretion and iron homeostasis.
Pathogenicity is a multifactorial process that includes virulence factors that act directly on the target and general metabolic functions that ensure adaptation of the pathogen to its host environment. The enterobacterium Erwinia chrysanthemi causes the so-called soft-rot disease of almost all dicotyledons it has been tested on (40, 58). This disease is responsible for severe losses in harvests of many plants, such as potatoes, chicories, and ornamental flowers. E. chrysanthemi-caused soft-rot disease is therefore an issue of great economic importance.
Major virulence factors produced by E. chrysanthemi include a series of secreted plant cell wall-degrading enzymes, such as pectinases (pectate lyases, pectin methyl esterases, and polygalacturonases) and cellulases (4, 28). Most of these extracellular enzymes are secreted by the type II secretion (T2S) system, referred to as Out in E. chrysanthemi. Accordingly, out mutants are nonpathogenic, underscoring the major role of the T2S system in E. chrysanthemi virulence (1). T2S systems have been identified in a wide variety of Proteobacteria and are composed of over 10 proteins that presumably form a trans-envelope complex (11, 27, 50). The E. chrysanthemi Out T2S system is made up of 14 proteins. Two of them, OutD and OutS, are located in the outer membrane and are thought to form the exit pore (54, 55). Four Out proteins, referred to as OutGHIJ pseudopilins, form a pilus-like fiber spanning the cell envelope, as was shown for T2S pseudopilins of Klebsiella oxytoca and Pseudomonas aeruginosa (27). The current hypothesis is that the T2S pseudopilins form a periplasm-spanning pilus-like piston to extrude proteins through the outer membrane. The remaining OutEFLM proteins, which we suggested form a platform in the inner membrane, anchor the pseudopilus (12, 44, 45). Overall, the T2S system allows proteins to follow a stepwise secretion process: proteins are first synthesized with a signal peptide and are transported into the periplasmic compartment by a Sec- or Tat-dependent process and eventually across the outer membrane by using the T2S system (11, 42, 50, 60).
Due to the poor bioavailability of iron, its acquisition is one of the most important issues for pathogens to solve (9, 34, 47). E. chrysanthemi overcomes this difficulty by synthesizing and excreting siderophores that are high-affinity Fe(III)-scavenging/solubilizing molecules (15, 38). E. chrysanthemi produces two siderophores, chrysobactin and achromobactin, which are both necessary for full virulence (15, 16, 35). A telling example of the role of iron is Fe/S protein biogenesis. We showed that both the Suf and Isc machineries, which are necessary for making Fe/S proteins, are required for successful adaptation to plants (36, 37, 48). Interestingly, while the Suf system was important for pathogenicity on Saintpaulia ionantha, the Isc system was required for adaptation to Arabidopsis thaliana as a host. This was interpreted as reflecting, at least in part, a difference in iron bioavailability between the two hosts. Also, recently, two proteins devoted to iron storage, FtnA and the Bfr, were shown to contribute differently to the virulence of E. chrysanthemi depending on the host (7).
Besides its role as a nutriment or cofactor, several studies have demonstrated additional roles of iron in the host-pathogen interaction. In particular, under aerobic conditions, iron can provoke oxidative stress by the Fenton reaction (26, 59). The ability to resist oxidative stress for successful pathogenic development was underlined in several studies. For instance, mutations in superoxide dismutase and methionine sulfoxide reductase were all found to cause decreased virulence of E. chrysanthemi (13, 52). Furthermore, synthesis of the secreted pectate lyases was also found to be regulated by iron availability (17). Importantly, signaling of iron status to all three virulence factors, pectate lyases, siderophores, and the Suf machinery, occurs through the same Fur-controlled pathway (15, 17, 18, 37). Thus, iron has emerged as a key signal in the adaptation of E. chrysanthemi to the environmental conditions encountered upon infection.
Because T2S systems are likely to have spread throughout many bacterial species via lateral transfer, we were interested in finding out whether the Out T2S system has evolved a particular partnership with cellular processes, related or unrelated to protein secretion. This led us to discover an unprecedented connection with proteins of the achromobactin biosynthesis pathway. Moreover, we showed that the lack of a subset of the Out proteins exerts a pleiotropic phenotype on iron homeostasis. This unexpected link between the Out system and iron metabolism is discussed in the context of E. chrysanthemi virulence and the functional organization of the T2S system.
MATERIALS AND METHODS
Bacterial strains and growth conditions.
The bacterial strains and plasmids used in this study are listed in Table 1. Standard E. chrysanthemi and Saccharomyces cerevisiae growth conditions and media were as described previously (45). Luria-Bertani (LB) rich medium was used for routine bacterial growth. M9 minimal medium was supplemented with vitamin B1 (1 μg/ml), Casamino Acids (0.4%), and a carbon source as indicated (0.4%). The soft top agar was prepared by adding 7.5 g of agar per liter of liquid LB medium. For siderophore production, E. chrysanthemi strains were grown in low-iron minimal medium, Tris medium (16), supplemented with glycerol (0.2%) as a carbon source, and all glassware was treated with 6 M HCl to remove contaminating iron. The E. chrysanthemi nonpolar outE, outF, outL, and outD mutants were constructed by marker exchange-eviction mutagenesis, as described previously (8), using the nptI-sacB-sacR (kanamycin resistance) cartridge. The outJ mutant was obtained after recombination, in the chromosome of E. chrysanthemi, of the outJ gene inactivated by insertion of the nonpolar aphA3 cassette at the HpaI restriction site. The E. chrysanthemi double and triple mutants were obtained by transduction with ΦEC2 phage.
TABLE 1.
Bacterial strains and plasmids used in this study
| Strain or plasmid | Relevant genotype | Reference or source |
|---|---|---|
| E. chrysanthemi | ||
| A350 | Lac− derivative from 3937 | 25 |
| A350 outF | A350 ΔoutF | G. Condemine, laboratory collection |
| A350 outD | A350 ΔoutD | G. Condemine, laboratory collection |
| A350 outE | A350 ΔoutE | G. Condemine, laboratory collection |
| A350 outL | A350 ΔoutL | G. Condemine, laboratory collection |
| A350 outJ | A350 outJ::aphA3 (Kanr) | This study |
| A1077 | A350 kdgR::MudIPR13 (Cmr) | N. Hugouvieux, laboratory collection |
| V1077 | A350 ΔoutFkdgR::MudIPR13 (Cmr) | This study |
| 3937 cbsE | 3937 cbsE-1 (Spcr) | 33 |
| A350 cbsE | A350 cbsE-1 | This study |
| A350 cbsEoutF | A350 cbsE-1 ΔoutF | This study |
| A350 cbsEoutD | A350 cbsE-1 ΔoutD | This study |
| A350 cbsEoutE | A350 cbsE-1 ΔoutE | This study |
| A350 cbsEoutL | A350 cbsE-1 ΔoutL | This study |
| A350 cbsEoutJ | A350 cbsE-1outJ::aphA3 | This study |
| 3937 acsD | 3937 acsD-uidA (Kanr) | 16 |
| 3937 fur | 3937 fur::Ω | 18 |
| A350 acsD | A350 acsD-uidA | This study |
| A350 acsDoutF | A350 acsD-uidA ΔoutF | This study |
| A350 acsDfur | A350 acsD-uidAfur::Ω | This study |
| A350 acsDfur outF | A350 acsD-uidAfur::Ω ΔoutF | This study |
| 3937 fct | 3937 fct-lacZ34 (Kanr) | 33 |
| A350 fct | A350 fct-lacZ34 (Kanr) | This study |
| A350 fctoutF | A350 fct-lacZ34 ΔoutF | This study |
| PPV20 | 3937 derivative acsA-37cbsE-1 | 16 |
| Plasmids | ||
| pCPP2228 | pCPP19 cosmid carrying the outF gene | 32 |
| p-FntA | pUC18 derivative vector carrying the ftnA gene of E. chrysanthemi | 7 |
| pBAD24 | Arabinose regulation | 21 |
| pBADI | pBAD24 derivative | 45 |
| pBADIK | pBADI derivative | 45 |
| pD-HisAcsD | pBADI derivative vector producing the N-terminally His-tagged version of AcsD | This study |
| pK-Lc | pBADIK derivative vector producing the vesicular stomatitis virus-tagged version of OutLC | 45 |
| pSH18-34 | Carrying the lexAop-lacZ reporter gene | 19 |
| pJG4-5 | Cloning vector to produce a hybrid protein containing the B42 motif | 19 |
| pB-AcsA | pJG4-5 expressing B42-AcsA hybrid protein | This study |
| pB-AcsB | pJG4-5 expressing B42-AcsB hybrid protein | This study |
| pB-AcsC | pJG4-5 expressing B42-AcsC hybrid protein | This study |
| pB-AcsD | pJG4-5 expressing B42-AcsD hybrid protein | This study |
| pB-AcsE | pJG4-5 expressing B42-AcsE hybrid protein | This study |
| pEG202 | Cloning vector to produce a hybrid protein containing LexA | 19 |
| pA-OutE | pEG202 expressing LexA-OutE hybrid protein | 45 |
| pA-OutFN | pEG202 expressing LexA-OutFN hybrid protein | 44 |
| pA-OutFC | pEG202 expressing LexA-OutFC hybrid protein | 44 |
| pA-OutLC | pEG202 expressing LexA-OutLC hybrid protein | 45 |
Immunization and antibody purification using blotted antigen.
Antibodies against OutF were raised in rabbits by using acrylamide bands, obtained after sodium dodecyl sulfate-polyacrylamide gel electrophoresis (SDS-PAGE), containing the His-tagged N-terminal cytosolic region of OutF (OutFN-His6) obtained after purification on a Hitrap column (Pharmacia) (44). The acrylamide bands were excised, crushed, and mixed with Freund's adjuvant. Before being immobilized on a CNBr-activated Sepharose 4B column, the anti-OutF antibodies were purified using blotted antigen. This purification step for the anti-OutF antibodies was performed in order to reduce nonspecific binding during immunoaffinity chromatography. Briefly, purified OutFN-His6 was loaded onto a preparative (single-well) SDS-PAGE gel and electroblotted onto nitrocellulose. After Ponceau S staining, the portion that contained the antigen was cut out and washed with copious amounts of distilled water. The strip of antigen was incubated with 5% milk in Tris-buffered saline-Tween 20 (TBST) for at least 20 min and rinsed twice with TBST. Then, 10 ml of crude serum with antibody was added and incubated for 4 h. The unbound fraction was poured off, and the strip was washed three times with 10 ml TBST. Bound antibodies were eluted by incubation (5 min) with glycine buffer, pH 2.7. The eluted fraction was immediately neutralized by the addition of 2 M Tris, pH 8.0 (1/10 V).
Purification by immunoaffinity chromatography.
The E. chrysanthemi strains A1077 and V1077 were grown in minimal M9-glycerol medium until the cultures reached an optical density at 600 nm (OD600) of 1. The cells were pelleted, and Triton X-100-soluble cell extracts were prepared as described previously (51), except that spheroplasts were incubated for 2.5 h at 4°C. Immobilization of purified anti-OutF antibodies on a CNBr-activated Sepharose 4B column was performed according to the manufacturer's instructions (Amersham). The column was equilibrated at 4°C with buffer A (10 mM Tris [pH 7.5], 1 mM EDTA, 150 mM NaCl, 1% Triton X-100). The cell extracts were then loaded onto the column. After three washes with buffer A, the eluted fractions were obtained by the addition of elution buffer (200 mM Tris-HCl [pH 8.8], 5 mM EDTA, 9% SDS, 150 mM dithiothreitol). Proteins were separated by electrophoresis on an SDS-polyacrylamide gel.
Protein identification by mass spectrometry.
Proteins were excised from the SDS-polyacrylamide gel, stained with Coomassie blue, and digested with trypsin. Peptides were desalted with formic acid (5%) and extracted with α-cyano-4-hydroxycinnamic acid (20 mg/ml in acetonitrile-trifluoroacetic acid [70:30], 0.1%). Samples were loaded on a matrix-assisted laser desorption ionization (MALDI)-time of flight Voyager DE-RP (Perseptive) and analyzed in reflectron mode. Peptide masses derived from MALDI mass spectra were used to query an amino acid sequence database. Proteins were identified by correlating the measured peptide masses with a theoretical tryptic digest of all the proteins present in the database. A mass deviation of 20 ppm was allowed, and one missed cleavage was authorized. Proteins were identified by Profound and/or Protein prospector software.
Plasmid construction.
The pB-AcsA, pB-AcsB, pB-AcsC, pB-AcsD, and pB-AcsE plasmids were constructed in order to express Acs proteins fused to the transcriptional activation motif B42. The acs inserts were obtained by PCR amplification using E. chrysanthemi chromosomal DNA as a template and appropriate primers. The inserts were digested with MunI-XhoI and cloned into the EcoRI-XhoI-digested pJG4-5, yielding the pB plasmid series. The pD-HisAcsD vector was constructed in order to express an N-terminally His-tagged version of AcsD. A nucleotide sequence encoding a six-His tag was included in the acsD 5′ primer used to generate the acsD-containing PCR fragment. The PCR DNA fragment was then cloned in pBADI. All the inserts obtained by PCR were verified by sequencing them. The primer sequences are available upon request.
Yeast two-hybrid system.
The yeast two-hybrid system was used as described previously (12, 19, 45).
Siderophore detection.
The biological activity of achromobactin was determined in bioassays under iron-depleted conditions as described previously (16). Briefly, L agar supplemented with the iron chelator ethylenediamine-N,N′-bis(2-hydroxy-phenylacetic acid) (Sigma Chemical; 40 μM) was poured into plates, which were seeded with an overnight L broth culture of the indicator strain (3937 acsA-37 cbsE1). Under these conditions, the indicator strain was unable to grow, unless an iron source, such as ferric siderophores, was provided. Sterile filter discs (6-mm diameter) were placed on the agar surface. Then, 15 μl of filter-sterilized culture supernatants of the strains to be tested, grown in low-iron minimal medium, were added to the filter disc. The diameters of the zones of growth of the indicator strains were measured after 24 h. The siderophore activity was determined using a Chrome Azurol S assay with shuttle solution, with desferrioxamine (DFO) (Desferal; Novartis Pharma SA) as the standard (53). The amount of chrysobactin produced was determined by a catechol-specific chemical assay using dihydrobenzoic acid as the standard (3).
β-Glucuronidase and β-galactosidase assays.
An appropriate volume of an E. chrysanthemi LB culture was pelleted and resuspended in low-iron minimal medium supplemented or not with FeCl3 (20 μM) in order to start a culture at an OD600 of 0.1. Throughout the culture, samples were collected and assayed for β-glucuronidase and β-galactosidase activities by following the degradation of p-nitrophenyl-β-d-glucuronide or o-nitrophenyl-β-d-galactopyranoside, respectively (37). The β-galactosidase and β-glucuronidase activities obtained were expressed in Miller units (OD420 min−1 liter−1 OD600 unit−1) and modified Miller units (OD405 min−1 liter−1 OD600 unit−1), respectively.
Streptonigrin sensitivity test.
An overnight culture grown in LB medium was used to inoculate at an OD600 of 0.1 fresh LB medium supplemented with streptonigrin (Sigma), in dimethyl formamide (DMF) solution, at a final concentration of 1 μg/ml. Control cultures received equivalent amounts of DMF only. The OD600 values were measured, and the percentage of growth was determined with respect to the growth of the DMF-treated control culture. Sensitivity to streptonigrin was also assayed in the presence of 2-2′-dipyridyl at a final concentration of 0.32 mM in the cultures treated or not with streptonigrin.
Paraquat sensitivity test.
Cells from overnight LB cultures of E. chrysanthemi strains were spun down and resuspended in minimal M9 medium supplemented with 0.2% succinate and FeCl3 (30 μM). The cell suspension was used to inoculate a minimal M9-succinate-FeCl3 medium culture at an OD600 of 0.1. When the culture reached an OD600 of 0.25 to 0.3, it was separated into two halves. Paraquat (2 μM final concentration) was added to one half, while the other half was untreated. Growth was followed by measuring the OD600 values of the cultures.
H2O2 sensitivity test.
Overnight LB cultures of E. chrysanthemi strains were diluted to an OD600 of approximately 0.1 in LB medium and grown to an OD600 of approximately 0.6 to 0.8. A 200-μl aliquot was plated on an LB plate with 3 ml of soft agar. The overlaid plates were allowed to dry at room temperature for 30 min. A sterile Whatman filter disc (6-mm diameter) soaked with 15 μl of hydrogen peroxide (125 mM) was placed on the middle of each overlaid plate, and the plates were incubated at 30°C. The diameter of the zone of inhibition of bacterial growth was measured after 16 to 18 h. The values indicated in Results are the means of three independent experiments ± standard errors of the mean (SEM).
Preparation of the E. chrysanthemi periplasmic fraction.
E. chrysanthemi strains were grown in Tris-glycerol medium until the OD600 reached 1. The periplasmic fraction was obtained after cell fractionation by a previously described procedure that was adapted to E. chrysanthemi cells (6). The cell fractionation procedure combined spheroplasting and osmotic- shock techniques (6). The periplasmic fraction was analyzed by SDS-PAGE, followed by Coomassie blue staining.
Copurification by Ni2+ affinity chromatography.
DH5α cells carrying pD-HisAcsD or pK-Lc were grown in LB medium to an OD600 of 0.35 to 0.5. l-Arabinose was added at 0.2% to the cultures, and the cells were incubated for 4 h at 37°C, harvested, and disrupted twice by French pressure treatment in 25 ml buffer N (100 mM Tris, pH 7.5, 50 mM NaCl). Soluble cell extracts were obtained after centrifugation (15,000 rpm; 30 min; 4°C). After each loading with a soluble cell extract, the Ni-nitrilotriacetic acid (NTA) column (1 ml) was washed with buffer N (25 ml). Then, a 10-ml buffer N-imidazole gradient wash (0 to 40 mM imidazole) and a 15-ml buffer N-imidazole gradient elution (40 to 500 mM imidazole) were performed. In the control experiment, we used DH5α cell extracts instead of the DH5α/pD-HisAcsD cell extracts; otherwise, the procedures were identical.
RESULTS
OutF coimmunopurifies with SecA, Tsp, AcsD, DegQ, and TogA.
To investigate whether the Out T2S system interacts with other cellular processes, we looked for proteins that might interact with one of the Out proteins. To this end, OutF was used as a hook. Whole-cell extract from E. chrysanthemi strain A1077 was passed through a column coated with purified anti-OutF antibodies. As expected, OutF was recovered in the eluted fraction, as indicated by immunoblot analysis (see Fig. S1 in the supplemental material). In the eluted fraction, eight proteins, referred to as p170, p162, p92, p81, p63, p50, p48, and p42, were immunopurified (Fig. 1). However, p170, p92, and p50 were also detected, albeit very faintly, in a control experiment in which cell extracts were prepared from the outF mutant strain (V1077), suggesting that binding of these proteins to the column was OutF independent (Fig. 1). Thus, we focused on the p162, p81, p63, p48, and p42 proteins. These proteins were subjected to tryptic digestion and MALDI-time of flight-mass spectrometry analysis. The p162, p81, p63, p48, and p42 proteins were identified as SecA, Tsp, DegQ, TogA, and AcsD, respectively. SecA is an ATPase motor that binds to the inner membrane SecYEG channel to form the essential protein translocase core (39). Tsp and DegQ are periplasmic serine proteases (29-37). TogA is the ATPase subunit of the ABC transporter that imports oligogalacturonides (24). AcsD is involved in achromobactin biosynthesis and shows homologies with the synthase components of several siderophore biosynthesis pathways (15).
FIG. 1.

Isolation of OutF-associated proteins by immunoaffinity chromatography. Proteins recovered after elution were analyzed by SDS-PAGE and stained with Coomassie blue (lane 1). For a control, eluted proteins were recovered after a similar experiment using the E. chrysanthemi outF mutant (lane 2).
OutF interacts with AcsD.
A partnership between OutF and AcsD was puzzling yet of great potential interest because it connected two pathogenicity-related processes, protein secretion and iron acquisition. Therefore, we decided to validate the OutF-AcsD interaction by using another reporter for protein-protein interaction, i.e., the yeast two-hybrid system. Full-length AcsD was fused to the transcriptional activator B42 and tested for its interactions with the two cytoplasmic regions of OutF, namely, OutFN and OutFC, fused to LexA (44). Yeast diploid cells expressing the OutFN/AcsD protein pair exhibited β-galactosidase activity when plated on an X-Gal (5-bromo-4-chloro-3-indolyl-β-d-galactopyranoside)-containing plate (Fig. 2). In contrast, yeast diploid cells expressing the OutFC-AcsD protein pair did not exhibit β-galactosidase activity (data not shown). These tests showed that the cytoplasmic N-terminal domain of OutF was able to directly interact with AcsD. Taken together with results from coimmunopurification, these data demonstrated a direct interaction between members of the achromobactin biosynthesis pathway and the T2S system.
FIG. 2.

Interactions between components of the T2S system and the achromobactin biosynthesis proteins, using the yeast two-hybrid assay. Mating was carried out between appropriate strains in order to produce diploids producing the indicated LexA- and B42-containing hybrid proteins. The diploid strains were tested on solid selective CM-X-Gal medium for activation of the lacZ reporter gene. Experiments were run at least in triplicate, and the results of one typical experiment are shown. The B42-OutLC hybrid protein was used as a positive control, since its interactions with LexA-OutE, LexA-OutFN, and LexA-OutLC have been characterized (44, 45).
An outF mutation decreased achromobactin production.
To investigate whether the AcsD-OutF interaction described above had any physiological significance, we asked whether an outF mutation impaired achromobactin biosynthesis. (i) A bioassay was used, in which the supernatant of an outF mutant was tested for its ability to cross-feed an indicator strain that did not produce siderophores. The results showed that the supernatant of the E. chrysanthemi strain producing only achromobactin (A350 cbsE) allowed efficient growth of the indicator strain (Table 2). In contrast, after introduction of the outF mutation into the cbsE strain, the supernatant allowed residual growth of the indicator strain (Table 2). Moreover, the supernatant of the outF mutant carrying outF in trans (pCPP2228) restored growth of the indicator strain (Table 2). (ii) The amounts of achromobactin present in the culture supernatants of strains grown in low-iron minimal medium were quantified by a biochemical test. The culture supernatant of the outF mutant contained twofold less achromobactin (13 ± 1 μM DFO equivalent) than that of the isogenic wild-type (wt) strain (26 ± 3 μM DFO equivalent). (iii) Expression of the acsD gene was studied in the outF mutant. The acsD gene is the third gene of a 13-kb-long operon comprising seven genes required for the biosynthesis (acs) and extracellular release (yhcA) of achromobactin (16). Using a chromosomal uidA fusion in acsD, we showed that in low-iron minimal medium, expression of the fusion was reduced (twofold) in the outF mutant compared to the wt strain (Fig. 3). Thus, the results of the three tests used all converged to indicate that inactivation of outF impinged on achromobactin production.
TABLE 2.
Achromobactin production in the E. chrysanthemi outF mutant
| Tested straina | Indicator strain growth halo diam (mm)b |
|---|---|
| A350 cbsE | 20.6 ± 1.7 |
| A350 cbsEoutF | 6.8 ± 2.1 |
| A350 cbsEoutF/pCPP2228 | 18.6 ± 0.2 |
| A350 cbsEacsD | 0 ± 0 |
Strains were grown in low-iron minimal medium until late exponential phase. Achromobactin was assayed in the culture supernatant by a bioassay using the 3937 acsA-37 cbsE-1 strain as an indicator.
The diameters of the zones of growth of the indicator strain were measured after 24 h. The data are means of three independent experiments ± SEM.
FIG. 3.

Inactivation of outF results in reduced expression of the acsD-uidA gene fusion. Expression of the acsD-uidA gene fusion was assessed in outF (A350 outF) and wt (A350) cells, or their fur derivatives, grown in low-iron minimal medium for 10 h. β-Glucuronidase activities were measured and expressed in Miller units, except that the OD was measured at 405 nm instead of 420 nm. The values are means of three independent experiments plus SEM (error bars).
Effect of the fur mutation on acs gene expression in an outF genotype.
Expression of the acs genes is repressed by the ferric uptake regulatory protein Fur (16). Since we reported above that outF mutation reduced acsD expression, we next tested whether Fur was involved in this effect. In the wt strain, introduction of the fur mutation led to a twofold increase in acsD expression (Fig. 3). Similarly, the fur mutation in an otherwise outF background also yielded a twofold increase in acsD expression, indicating that Fur repression activities were similar in the wt and the outF mutant (Fig. 3). Moreover, in the outF fur double mutant, expression of acsD was reduced (twofold) compared to that observed in the fur single mutant (Fig. 3). Altogether, these results indicated that Fur and OutF influenced expression of acsD in two opposite and independent ways.
An outF mutation increased chrysobactin production.
We then wished to investigate whether the outF mutation also altered production of the second siderophore, chrysobactin. This was tested in two ways. (i) A specific assay for cathecol compounds was used to quantify the chrysobactin contents in culture supernatants of the wt and the outF mutant strains. Larger amounts (three- to fourfold) of chrysobactin were detected in the supernatant of the outF mutant than in that of the wt strain (Fig. 4). Convincingly, introduction of the complementing pCPP2228 (outF+) plasmid lowered the level of chrysobactin found in the outF mutant to wt levels (Fig. 4). (ii) The influence of the outF mutation on expression of the genes involved in chrysobactin biosynthesis was tested. The genes involved in chrysobactin uptake (fct) and chrysobactin biosynthesis (cbsA, cbsB, cbsC, and cbsE) are organized in the fct-cbsCEBA operon. The fct-lacZ fusion was introduced into the outF mutant. During growth in low-iron medium, expression of the fusion was increased in the outF mutant compared to that of the wt strain (Fig. 5). Thus, the results from both assays converged to indicate that an outF mutation exerted a positive effect on chrysobactin production, that is, an effect opposite to that previously seen with achromobactin production.
FIG. 4.
Chrysobactin production in E. chrysanthemi out mutants. Chrysobactin present in the culture supernatants of the strains tested was assayed after 15 h of growth in low-iron minimal medium. The values are means of three independent experiments plus SEM (error bars).
FIG. 5.
The outF mutation results in increased expression of the fct-lacZ gene fusion. Expression of the fct-lacZ gene fusion was assessed in outF (A350 outF) (squares) and wt (A350) (triangles) cells grown in high-iron (20 μM) (open symbols) and low-iron (solid symbols) minimal medium. β-Galactosidase activities were measured and expressed in Miller units. Experiments were carried out in triplicate, and the results of one typical experiment are shown.
The outF mutant exhibited increased sensitivity to streptonigrin.
The results described above indicated that the outF mutation might exert a complex pleiotropic effect on multiple iron-related pathways. Therefore, we tested whether outF mutation altered cellular iron homeostasis in a general way. To do this, we investigated its effect on the ability of the strain to resist streptonigrin, an iron-activated antibiotic (5). The outF mutant was found to be hypersensitive to the presence of streptonigrin, and this could be suppressed by introducing the complementing pCPP2228 plasmid (Table 3). Moreover, the hypersensitivity of the outF mutant to streptonigrin was suppressed by (i) addition of 2-2′-dipyridyl, a strong ferrous iron chelator, into the culture medium (Table 3) and (ii) overproduction of the iron storage protein FtnA of E. chrysanthemi (Table 3) (7). Finally, we excluded the possibility that streptonigrin sensitivity was due to membrane alteration because the outF mutant exhibited wt-like resistance to several detergents, such as SDS, Triton X-100, and deoxycholate (data not shown). Together, these results indicated that the outF mutant had a higher-than-normal level of free intracellular iron.
TABLE 3.
Streptonigrin sensitivity of E. chrysanthemi out mutantsa
| Strain | Growth (%) of culture treated with:
|
|
|---|---|---|
| Streptonigrin (1 μg/ml) | Streptonigrin (1 μg/ml), 2-2′-dipyridyl (0.32 mM) | |
| A350 | 77.8 ± 9 | 86.9 ± 3.2 |
| A350 outF | 28.5 ± 0.7 | 86 ± 9.3 |
| A350 outF/pCPP2228 | 82.1 ± 3.1 | ND |
| A350 outF/pFtnA | 78.6 ± 2.4 | ND |
| A350/pFtnA | 86.7 ± 8.9 | ND |
| A350 outE | 29.5 ± 7.7 | ND |
| A350 outL | 29.5 ± 3.3 | ND |
| A350 outJ | 69.5 ± 0.7 | ND |
| A350 outD | 54 ± 5.6 | ND |
Strains grown in rich medium (LB) were treated or not with streptonigrin. When the untreated culture reached the stationary phase, the OD600values of the treated and untreated cultures were measured. The values given are the percentages of growth of a streptonigrin-treated culture, using the growth of the untreated control culture as 100%. When indicated, the experiment was also performed in the presence of the iron chelator 2-2′-dipyridyl. The values given correspond to means of three independent experiments ± SEM (ND, not determined).
The outF mutant exhibited increased sensitivity to oxidative stress.
Careful management of iron homeostasis is particularly important, since iron can exacerbate oxidative stress via the Fenton reaction. Because iron metabolism appears to be altered in the outF mutant, we tested its sensitivity to oxidative stress. First, sensitivity to hydrogen peroxide was tested on a plate by a disc assay. An aliquot of a culture grown for 6 h in rich medium was plated on an LB plate. Filter discs containing hydrogen peroxide (125 mM) were placed on the overlaid plate, which then was incubated overnight. The growth inhibition zone was twice as large with the outF mutant (13 ± 1 mm) as with the wt strain (7 ± 1 mm). In contrast, in the presence of the outF-carrying plasmid (pCPP2228), the outF mutant exhibited a growth inhibition zone (6 ± 1 mm) similar to that of the wt. Second, sensitivity to a superoxide-generating agent, namely, paraquat, was tested in liquid cultures. Upon exposure to paraquat (2 μM), the outF mutant exhibited drastic growth reduction compared to that of the wt strain (see Fig. S3 in the supplemental material). All of these results showed that the E. chrysanthemi outF mutant exhibited increased sensitivity to oxidative stress.
The outF mutant has a reduced amount of the Fbp-like iron ABC transporter.
We next sought additional evidence supporting the notion that the outF mutation perturbs iron metabolism. To this end, we carried out an analysis of the periplasmic protein contents of wt and outF cells grown in low-iron medium. The cells were submitted to cellular fractionation, and cognate periplasmic fractions were run on an SDS-PAGE gel. A band corresponding to a protein with an apparent molecular mass of 35 kDa was present in the wt strain but was absent in the outF mutant (Fig. 6). The band was excised from the gel and identified by mass spectrometry as ECH_20233. BLAST analysis revealed that ECH_20233 was 90% identical to FbpA/SfuA of Serratia marcescens, 82% identical to YfuA of Yersinia pestis, and 35% identical to FbpA/HitA of Haemophilus influenzae (see Fig. S4 in the supplemental material). The FbpA and YfuA proteins are periplasmic iron-binding proteins that are part of an Fe3+ ABC transporter system that allows uptake of iron independently of an iron(III)-solubilizing siderophore (2, 20, 49, 56). Interestingly, genes encoding proteins homologous to the ABC membrane permeases FbpB/YfuB and the cytoplasmic ATPases FbpC/YfuC were found adjacent to the gene encoding ECH_20233 in the E. chrysanthemi genome (see Fig. S5 in the supplemental material). These results broadened the scope of defects associated with iron metabolism caused by the outF mutation. Additionally, another protein was also present in the wt strain but was absent in the outF mutant (Fig. 6). This 152-amino-acid protein was identified by mass spectrometry as ECH_001573, a protein of unknown function (see Fig. S6 in the supplemental material).
FIG. 6.

Reduced amounts of the FbpA-like iron-binding periplasmic proteins were present in the outF mutant. The outF (A350 outF) and wt strains were grown in low-iron minimal medium. Cells were collected and treated for cell fractionation. For each strain, the periplasmic fraction corresponding to cell culture at an OD600 of 0.25 was loaded onto an SDS-PAGE gel. The proteins were stained with Coomassie blue.
Multiple interactions between the Out platform and the achromobactin biosynthesis proteins.
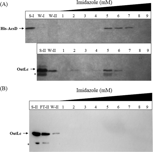
We then tested whether OutL and OutE, which directly interact with OutF within the T2S system, were also able to interact with AcsD or with other proteins involved in achromobactin biosynthesis, namely, AcsA, AcsB, AcsC, and AcsE (16, 44). For this purpose, we used the previously described LexA hybrid proteins containing the full-length form of OutE and the cytoplasmic region of OutL (amino acids 1 to 172) (45). Full-length AcsA, AcsB, AcsC, and AcsE were fused to the B42 motif. The β-galactosidase activities of yeast diploid cells expressing various pair combinations were scored on X-Gal-containing plates. The results suggested that OutE and OutL interacted with AcsD (Fig. 2). They also suggested the following interactions: OutE-AcsA, OutE-AcsB, OutL-AcsA, OutL-AcsC, and OutF-AcsB (Fig. 2). We then wished to assess the interaction of AcsD with OutL by a copurification method. A His-tagged version of AcsD, recovered from soluble cell extract, was first bound to the column. The column was washed and loaded with an OutLC-containing soluble cell extract. OutLC was eluted in the same fraction as AcsD (Fig. 7A, top and bottom, lanes 5). When His-AcsD was absent, OutLC was not detected in any of the eluted fractions (Fig. 7B). These results showed that the cytoplasmic domain of OutL interacts with AcsD. Aggregation of overproduced OutE prevented us from carrying out a similar characterization of the OutE-AcsD interaction. This partnership should therefore be considered with caution. Collectively, these results further supported the notion of connections between several of the Out and Acs proteins.
FIG. 7.
Interaction between OutL and AcsD during Ni2+ affinity chromatography. (A) The Ni2+ affinity column (Ni-NTA) was loaded first with the His-AcsD-containing soluble cell extract (lane S-I) and washed with buffer N (lane W-I). The same column was then loaded with the OutLC-containing soluble cell extract (lane S-II). The Ni-NTA column was washed with increasing imidazole concentrations: 0 mM (lanes W-II), 1 mM (lanes 1), 22 mM (lanes 2), and 40 mM (lanes 3). The Ni-NTA column was eluted with imidazole: 86 mM (lanes 4), 162 mM (lanes 5), 193 mM (lanes 6), 270 mM (lanes 7), 346 mM (lanes 8), and 422 mM (lanes 9). The asterisk indicates an OutLC proteolytic fragment. (B) Control experiment. The Ni-NTA column was first loaded with an E. coli cell extract that did not contain AcsD and washed with buffer N. Then, the OutLC-containing soluble cell extract was loaded (lane S-II).The flowthrough (lane FT-II) and the fraction obtained after the buffer N wash (W-II) were analyzed. The Ni-NTA column was washed (lanes 1 to 3) and eluted (lanes 4 to 9) with imidazole concentrations similar to those for panel A. The fractions were analyzed with His India probe (Pierce) (A, top) and by immunoblotting using anti-vesicular stomatitis virus antibodies (Roche) (A, bottom, and B) after SDS-PAGE and transfer to nitrocellulose membranes. The asterisk indicates an OutLC proteolytic fragment.
Mutations in other platform-encoding genes also cause iron-related pleiotropic defects.
Siderophore production and streptonigrin sensitivity were tested in other out mutants using the protocols described above. Strains with nonpolar mutations in the outE gene and outL gene were tested first for achromobactin production. The supernatants of the outE and outF single mutants contained reduced amounts of achromobactin, 16 ± 1 μM DFO equivalent for both strains. Second, the amounts of chrysobactin contained in the supernatants of outE and outF mutants were greater than in the wt strain (Fig. 4). Third, the outE and outL mutants exhibited the same increased streptonigrin sensitivity as the outF mutant compared to the wt (Table 3). We then asked whether mutations in genes encoding other parts of the T2S system conveyed similar defects in iron homeostasis. Strains defective in pseudopilus (outJ) and secretin (outD) were used. The production of achromobactin was unaltered (data not shown), while that of chrysobactin was, if at all, slightly increased (1.3-fold) (Fig. 4). The outJ mutant exhibited wt-like sensitivity to streptonigrin, while the outD mutant exhibited an intermediate sensitivity between those of the wt and the outF mutant. This result correlated nicely with results obtained when oxidative stress sensitivity was tested. Indeed, the outJ mutant grew as well as the wt in the presence of paraquat, while the outD mutant exhibited an intermediate sensitivity between those of the wt and the outF mutant (see Fig. S3 in the supplemental material). Collectively, these results further supported the unexpected link between the T2S system and iron homeostasis while showing that it concerned only those components of the inner membrane platform.
DISCUSSION
Pectinase secretion and iron acquisition have been shown to rank among the most influential factors in the virulence of E. chrysanthemi. Previously, it was reported that pectinase and siderophore syntheses are coregulated via the iron-sensing Fur protein (15-18). Here, we report another level of coordination between pectinases and iron homeostasis that involves components of the secretion pathway followed by pectinases to exit from the cell.
The OutF protein, a main component of the so-called membrane platform (see below) within the T2S system, was found to participate in iron homeostasis. Such an unexpected connection was first established by observing a physical interaction between OutF and AcsD, a protein participating in achromobactin biosynthesis. A series of phenotypic analyses confirmed that OutF not only participates in achromobactin biosynthesis, it is also involved in iron metabolism. Among the most telling dysfunctions caused by the absence of OutF were (i) hypersensitivity to the iron-activated antibiotic streptonigrin; (ii) increased synthesis of chrysobactin, the other siderophore of E. chrysanthemi; and (iii) absence of a predicted iron-importing protein. Interestingly, we also found that the outF mutant was hypersensitive to H2O2 and paraquat, a superoxide generator. The hypersensitivity of the outF mutant to oxidative stress may constitute another facet of its altered iron metabolism.
The molecular bases for the iron-related defects caused by the outF mutation remain enigmatic. A possibility was that OutF helps the Acs proteins to localize at the inner membrane, a location thought to favor coordinated synthesis and excretion of siderophores (22). Hence, disrupting Acs-Out interactions could conceivably have diminished the targeting efficiency of Acs and possibly achromobactin production. However, this was ruled out, since no OutF dependence of the AcsD location could be shown by cell fractionation analyses of AcsD and cellular-location studies of a green fluorescent protein-tagged version of AcsD (data not shown). Another possibility was that an outF mutation was somehow altering the Fur-based regulatory circuits, but this was also ruled out. Indeed, our analyses showed that expression of the acsD-uidA gene fusion was reduced in the fur outF double mutant compared to the single fur mutant. The variety of the phenotypes listed above, as well as their apparent opposite effects—decreased achromobactin versus increased chrysobactin production and increased free-iron concentration versus a decreased amount of an iron importer—prevents us from proposing any speculative model that could account for the data presented. However, a recent report from the Sandkvist laboratory (57) might serve as a framework for appreciating the results presented here. The authors reported that a mutation in out-like genes of Vibrio cholerae, called eps, exhibit pleiotropic defects in membrane integrity. As a consequence, the extracytosolic transcriptional factor rpoE activates the so-called stress response. We failed to observe any envelope-related defects in the outF mutant, and several early studies had ruled out the occurrence of such a situation in E. chrysanthemi (46). Still, it might be worth entertaining the hypothesis that defects in the T2S inner membrane platform might be perceived by global regulators that eventually deregulate iron homeostasis. In this light, one should emphasize that the effects observed with the outF mutant were within a limited range, and hence, they are expected to arise from regulatory dysfunction rather than structural blockades. Interestingly, such a regulatory connection between the T2S pathway and iron homeostasis may exist in other gram-negative bacteria. Indeed, a proteomic study revealed that disruption of the Pseudoalteromonas tunicata T2S pathway results in significantly reduced levels of several proteins that are not directly transported via the T2S pathway, such as TonB-dependent receptors involved in iron uptake (14).
A most remarkable observation during this work pertains to the functional organization of the T2S system. A few years ago, we proposed the concept that the Out T2S system would be made up of three parts, one being a platform located in the inner membrane. This came from a study aimed at defining the partnerships within all Out components. Likewise, interactions were identified between the OutEFLM proteins (12, 44, 45). Because these four proteins were all located in the inner membrane, it was then tempting to picture this as a subcomplex that would serve as a platform for anchoring the pseudopilus, which traverses the whole cell envelope. The results presented here produced remarkable support for the notion of the T2S system being organized in such subcomplexes. Indeed, mutations altering either the pseudopilus or the exit pore failed to have any effect on iron homeostasis. Conversely, mutations altering components of the platform all conferred pleiotropic phenotypes similar to those noted with the outF mutation. Moreover, our two-hybrid and copurification studies identified additional connections between the platform and components of the achromobactin biosynthesis pathway. Hence, these observations not only further the three-building-blocks model, they open the possibility that the platform might be endowed with some distinct functions in addition to cooperating with the pilus and the secretin. Identifying the molecular links between the platform and the iron-related pathways might serve as a lead to uncovering what these additional functions are.
Our initial objective was to address the question of the position of the T2S system within the cellular proteomic network. Indeed, T2S systems are well conserved throughout multiple bacterial species, and it is conceivable that they might have been spread through horizontal gene transfer. The question of how they subsequently fit into, and adapt to, regulatory circuits and/or cellular architecture within each species has never been addressed. Our coimmunoprecipitation analyses uncovered quite a number of potential partnerships with the Out T2S system. Among them were candidates that participate in cellular transactions related to that involving OutF. An obvious one is SecA, which catalyzes protein translocation through the cytoplasmic membrane and hence is thought to catalyze the first step of the T2S pathway (23, 41, 43). Involvement of SecA in the T2S pathway received some attention early on, and the present result strengthens the idea of contact between the housekeeping Sec machinery and the specialized Out T2S system (23, 41). Identification of Tsp and DegQ as potential partners of the Out T2S system is of particular interest, because they could either assist in the folding of exoproteins en route to the exterior or degrade exoprotein species that failed to reach a conformational state compatible with secretability (for a discussion, see reference 10). Finally, the identification of TogA, a component of an ABC transporter that helps in importing the very products resulting from the extracellular activities of the secreted pectinases, is, if proven to be correct, a very exciting issue to follow through with. It could eventually lead to the description of a regulatory circuit connecting the secretion of pectinases and the import of the products of their extracellular activities. All of these partnerships will need additional methods and means to be assessed. In the case of iron homeostasis, which we decided to focus on, it proved to be physiologically relevant, and it is certainly worth carrying out the characterization of the other potential connections.
Supplementary Material
Acknowledgments
Thanks are due to G. Condemine for the generous gift of the E. chrysanthemi out mutants and to all members of the F.B. group for discussions. We thank D. Moinier, S. Lignon, and R. Lebrun from IBSM (CNRS, Marseille, France) and F. Barrière from URBSP (INRA, Jouy en Josas, France) for mass spectrometry analysis.
This work was funded by CNRS, the Université Aix-Marseille II, and the INRA. V.D. was supported by a fellowship from the Ministère de la Recherche.
Footnotes
Published ahead of print on 31 October 2008.
Supplemental material for this article may be found at http://jb.asm.org/.
REFERENCES
- 1.Andro, T., J. P. Chambost, A. Kotoujansky, J. Cattaneo, Y. Bertheau, F. Barras, F. Van Gijsegem, and A. Coleno. 1984. Mutants of Erwinia chrysanthemi defective in secretion of pectinase and cellulase. J. Bacteriol. 1601199-1203. [DOI] [PMC free article] [PubMed] [Google Scholar]
- 2.Angerer, A., B. Klupp, and V. Braun. 1992. Iron transport systems of Serratia marcescens. J. Bacteriol. 1741378-1387. [DOI] [PMC free article] [PubMed] [Google Scholar]
- 3.Arnow, L. E. 1937. Colorimetric determination of the components of 3,4-dihydroxyphenylalanine-tyrosine mixtures. J. Biol. Chem. 118531-537. [Google Scholar]
- 4.Barras, F., F. Van Gijsegem, and A. K. Chatterjee. 1994. Extracellular enzymes and pathogenesis of soft-rot Erwinia. Annu. Rev. Phytopathol. 32201-234. [Google Scholar]
- 5.Bolzan, A. D., and M. S. Bianchi. 2001. Genotoxicity of streptonigrin. Mutat. Res. 48825-37. [DOI] [PubMed] [Google Scholar]
- 6.Bortoli-German, I., E. Brun, B. Py, M. Chippaux, and F. Barras. 1994. Periplasmic disulphide bond formation is essential for cellulase secretion by the plant pathogen Erwinia chrysanthemi. Mol. Microbiol. 11545-553. [DOI] [PubMed] [Google Scholar]
- 7.Boughammoura, A., B. F. Matzanke, L. Böttger, S. Reverchon, E. Lesuisse, D. Expert, and T. Franza. 2008. Differential role of ferritins in iron metabolism and virulence of the plant-pathogenic bacterium Erwinia chrysanthemi 3937. J. Bacteriol. 1901518-1530. [DOI] [PMC free article] [PubMed] [Google Scholar]
- 8.Bouley, J., G. Condemine, and V. E. Shevchik. 2001. The PDZ domain of OutC and the N-terminal region of OutD determine the secretion specificity of the type II out pathway of Erwinia chrysanthemi. J. Mol. Biol. 308205-219. [DOI] [PubMed] [Google Scholar]
- 9.Braun, V. 2005. Bacterial iron transport related to virulence, p. 210-233. In W. Russell and H. Herwald (ed.), Concepts in bacterial virulence. Karger, New York, NY. [DOI] [PubMed]
- 10.Chapon, V., M. Czjzek, M. El Hassouni, B. Py, M. Juy, and F. Barras. 2001. Type II protein secretion in gram-negative pathogenic bacteria: the study of the structure/secretion relationships of the cellulase Cel5 (formerly EGZ) from Erwinia chrysanthemi. J. Mol. Biol. 3101055-1066. [DOI] [PubMed] [Google Scholar]
- 11.Cianciotto, N. P. 2005. Type II secretion: a protein secretion system for all seasons. Trends Microbiol. 13581-588. [DOI] [PubMed] [Google Scholar]
- 12.Douet, V., L. Loiseau, F. Barras, and B. Py. 2004. Systematic analysis, by the yeast two-hybrid, of protein interaction between components of the type II secretory machinery of Erwinia chrysanthemi. Res. Microbiol. 15571-75. [DOI] [PubMed] [Google Scholar]
- 13.El Hassouni, M., J. P. Chambost, D. Expert, F. Van Gijsegem, and F. Barras. 1999. The minimal gene set member msrA, encoding peptide methionine sulfoxide reductase, is a virulence determinant of the plant pathogen Erwinia chrysanthemi. Proc. Natl. Acad. Sci. USA 96887-892. [DOI] [PMC free article] [PubMed] [Google Scholar]
- 14.Evans, F. F., M. J. Raftery, S. Egan, and S. Kjelleberg. 2007. Profiling the secretome of the marine bacterium Pseudoalteromonas tunicata using amine-specific isobaric tagging (iTRAQ). J. Proteome Res. 6967-975. [DOI] [PubMed] [Google Scholar]
- 15.Expert, D. 1999. Withholding and exchanging iron: interactions between Erwinia ssp. and their plant hosts. Annu. Rev. Phytopathol. 37307-334. [DOI] [PubMed] [Google Scholar]
- 16.Franza, T., B. Mahé, and D. Expert. 2005. Erwinia chrysanthemi requires a second iron transport route dependent of the siderophore achromobactin for extracellular growth and plant infection. Mol. Microbiol. 55261-275. [DOI] [PubMed] [Google Scholar]
- 17.Franza, T., I. Michaud-Soret, P. Piquerel, and D. Expert. 2002. Coupling of iron assimilation and pectinolysis in Erwinia chrysanthemi 3937. Mol. Plant-Microbe Interact. 151181-1191. [DOI] [PubMed] [Google Scholar]
- 18.Franza, T., C. Sauvage, and D. Expert. 1999. Iron regulation and pathogenicity in Erwinia chrysanthemi strain 3937: role of the Fur repressor protein. Mol. Plant-Microbe Interact. 12119-129. [DOI] [PubMed] [Google Scholar]
- 19.Golemis, E. A., J. Gyuris, and R. Brent. 1994. Interaction trap/two-hybrid system to identify interacting proteins, p. 13.14.1-13.14.17. In F. M. Ausubel et al. (ed.), Current protocols in molecular biology. John Wiley and Sons, New York, NY.
- 20.Gong, S., S. W. Bearden, V. A. Geoffroy, J. D. Fetherston, and R. D. Perry. 2001. Characterization of the Yersinia pestis Yfu ABC inorganic iron transport system. Infect. Immun. 692829-2837. [DOI] [PMC free article] [PubMed] [Google Scholar]
- 21.Guzman, L. M., D. Belin, M. J. Carson, and J. Beckwith. 1995. Tight regulation, modulation, and high-level expression by vectors containing the arabinose PBAD promoter. J. Bacteriol. 1774121-4130. [DOI] [PMC free article] [PubMed] [Google Scholar]
- 22.Hantash, F. M., and C. F. Earhart. 2000. Membrane association of the Escherichia coli enterobactin synthase proteins EntB/G, EntE, and EntF. J. Bacteriol. 1821768-1773. [DOI] [PMC free article] [PubMed] [Google Scholar]
- 23.He, S. Y., C. Schoedel, A. K. Chatterjee, and A. Collmer. 1991. Extracellular secretion of pectate lyase by the Erwinia chrysanthemi out pathway is dependent upon Sec-mediated export across the inner membrane. J. Bacteriol. 1734310-4317. [DOI] [PMC free article] [PubMed] [Google Scholar]
- 24.Hugouvieux-Cotte-Pattat, N., N. Blot, and S. Reverchon. 2001. Identification of TogMNAB, an ABC transporter which mediates the uptake of pectic oligomers in Erwinia chrysanthemi 3937. Mol. Microbiol. 411113-1123. [DOI] [PubMed] [Google Scholar]
- 25.Hugouvieux-Cotte-Pattat, N., and J. Robert-Baudouy. 1985. Lactose metabolism in Erwinia chrysanthemi. J. Bacteriol. 162248-255. [DOI] [PMC free article] [PubMed] [Google Scholar]
- 26.Imlay, J. A. 2006. Iron-sulphur clusters and the problem with oxygen. Mol. Microbiol. 591073-1082. [DOI] [PubMed] [Google Scholar]
- 27.Johnson, T. L., J. Abendroth, W. G. Hol, and M. Sandkvist. 2006. Type II secretion: from structure to function. FEMS Microbiol. Lett. 255175-186. [DOI] [PubMed] [Google Scholar]
- 28.Kazemi-Pour, N., G. Condemine, and N. Hugouvieux-Cotte-Pattat. 2004. The secretome of the plant pathogenic bacterium Erwinia chrysanthemi. Proteomics 43177-3186. [DOI] [PubMed] [Google Scholar]
- 29.Keiler, K. C., and R. T. Sauer. 1996. Sequence determinants of C-terminal substrate recognition by the Tsp protease. J. Biol. Chem. 2712589-2593. [DOI] [PubMed] [Google Scholar]
- 30.Keiler, K. C., K. R. Silber, K. M. Downard, I. A. Papayannopoulos, K. Biemann, and R. T. Sauer. 1995. C-terminal specific protein degradation: activity and substrate specificity of the Tsp protease. Protein Sci. 41507-1515. [DOI] [PMC free article] [PubMed] [Google Scholar]
- 31.Kolmar, H., P. R. Waller, and R. T. Sauer. 1996. The DegP and DegQ periplasmic endoproteases of Escherichia coli: specificity for cleavage sites and substrate conformation. J. Bacteriol. 1785925-5929. [DOI] [PMC free article] [PubMed] [Google Scholar]
- 32.Lindeberg, M., G. P. Salmond, and A. Collmer. 1996. Complementation of deletion mutations in a cloned functional cluster of Erwinia chrysanthemi out genes with Erwinia carotovora out homologues reveals OutC and OutD as candidate gatekeepers of species-specific secretion of proteins via the type II pathway. Mol. Microbiol. 20175-190. [DOI] [PubMed] [Google Scholar]
- 33.Mahé, B., C. Masclaux, L. Rauscher, C. Enard, and D. Expert. 1995. Differential expression of two siderophore-dependent iron-acquisition pathways in Erwinia chrysanthemi 3937: characterization of a novel ferrisiderophore permease of the ABC transporter family. Mol. Microbiol. 1833-43. [DOI] [PubMed] [Google Scholar]
- 34.Miethke, M., and M. A. Marahiel. 2007. Siderophore-based iron acquisition and pathogen control. Microbiol. Mol. Biol. Rev. 71413-451. [DOI] [PMC free article] [PubMed] [Google Scholar]
- 35.Münzinger, M., H. Budzikiewicz, D. Expert, C. Enard, and J. M. Meyer. 2000. Achromobactin, a new citrate siderophore of Erwinia chrysanthemi. Z. Naturforsch. C 55328-332. [DOI] [PubMed] [Google Scholar]
- 36.Nachin, L., L. Loiseau, D. Expert, and F. Barras. 2003. SufC: an unorthodox cytoplasmic ABC/ATPase required for [Fe-S] biogenesis under oxidative stress. EMBO J. 22427-437. [DOI] [PMC free article] [PubMed] [Google Scholar]
- 37.Nachin, L., M. El Hassouni, L. Loiseau, D. Expert, and F. Barras. 2001. SoxR-dependent response to oxidative stress and virulence of Erwinia chrysanthemi: the key role of SufC, an orphan ABC ATPase. Mol. Microbiol. 39960-972. [DOI] [PubMed] [Google Scholar]
- 38.Neilands, J. B. 1995. Siderophores: structure and function of microbial iron transport compounds. J. Biol. Chem. 27026723-26726. [DOI] [PubMed] [Google Scholar]
- 39.Papanikou, E., S. Karamanou, and A. Economou. 2007. Bacterial protein secretion through the translocase nanomachine. Nat. Rev. Microbiol. 5839-851. [DOI] [PubMed] [Google Scholar]
- 40.Pérombelon, M. C. M. 2002. Potato diseases caused by soft rot erwinias: an overview of pathogenesis. Plant Pathol. 511-12. [Google Scholar]
- 41.Poquet, I., D. Faucher, and A. P. Pugsley. 1993. Stable periplasmic secretion intermediate in the general secretory pathway of Escherichia coli. EMBO J. 12271-278. [DOI] [PMC free article] [PubMed] [Google Scholar]
- 42.Pugsley, A. P. 1993. The complete general secretory pathway in gram-negative bacteria. Microbiol. Rev. 5750-108. [DOI] [PMC free article] [PubMed] [Google Scholar]
- 43.Pugsley, A. P., I. Poquet, and M. G. Kornacker. 1991. Two distinct steps in pullulanase secretion by Escherichia coli K12. Mol. Microbiol. 5865-873. [DOI] [PubMed] [Google Scholar]
- 44.Py, B., L. Loiseau, and F. Barras. 2001. An inner membrane platform in the type II secretion machinery of Gram-negative bacteria. EMBO Rep. 2244-248. [DOI] [PMC free article] [PubMed] [Google Scholar]
- 45.Py, B., L. Loiseau, and F. Barras. 1999. Assembly of the type II secretion machinery of Erwinia chrysanthemi. J. Mol. Biol. 289659-670. [DOI] [PubMed] [Google Scholar]
- 46.Py, B., G. P. C. Salmond, M. Chippaux, and F. Barras. 1991. Secretion of cellulases in Erwinia chrysanthemi and Erwinia carotovora is species-specific. FEMS Microbiol. Lett. 79315-322. [Google Scholar]
- 47.Ratledge, C., and L. G. Dover. 2000. Iron metabolism in pathogenic bacteria. Annu. Rev. Microbiol. 54881-941. [DOI] [PubMed] [Google Scholar]
- 48.Rincon-Enriquez, G., P. Crété, F. Barras, and B. Py. 2008. Biogenesis of Fe/S proteins and pathogenicity: IscR plays a key role in allowing Erwinia chrysanthemi to adapt to hostile conditions. Mol. Microbiol. 671257-1273. [DOI] [PubMed] [Google Scholar]
- 49.Sanders, J. D., L. D. Cope, and E. J. Hansen. 1994. Identification of a locus involved in the utilization of iron by Haemophilus influenzae. Infect. Immun. 624515-4525. [DOI] [PMC free article] [PubMed] [Google Scholar]
- 50.Sandkvist, M. 2001. Type II secretion and pathogenesis. Infect. Immun. 693523-3535. [DOI] [PMC free article] [PubMed] [Google Scholar]
- 51.Sandkvist, M., L. P. Hough, M. M. Bagdasarian, and M. Bagdasarian. 1999. Direct interaction of the EpsL and EpsM proteins of the general secretion apparatus in Vibrio cholerae. J. Bacteriol. 1813129-3135. [DOI] [PMC free article] [PubMed] [Google Scholar]
- 52.Santos, R., T. Franza, M. L. Laporte, C. Sauvage, D. Touati, and D. Expert. 2001. Essential role of superoxide dismutase on the pathogenicity of Erwinia chrysanthemi strain 3937. Mol. Plant-Microbe Interact. 14758-767. [DOI] [PubMed] [Google Scholar]
- 53.Schwyn, B., and J. B. Neilands. 1987. Universal chemical assay for the detection and determination of siderophores. Anal. Biochem. 16047-56. [DOI] [PubMed] [Google Scholar]
- 54.Shevchik, V. E., and G. Condemine. 1998. Functional characterization of the Erwinia chrysanthemi OutS protein, an element of a type II secretion system. Microbiology 1443219-3228. [DOI] [PubMed] [Google Scholar]
- 55.Shevchik, V. E., J. Robert-Baudouy, and G. Condemine. 1997. Specific interaction between OutD, an Erwinia chrysanthemi outer membrane protein of the general secretory pathway, and secreted proteins. EMBO J. 163007-3016. [DOI] [PMC free article] [PubMed] [Google Scholar]
- 56.Shouldice, S. R., D. E. McRee, D. R. Dougan, L. W. Tari, and A. B. Schryvers. 2005. Novel anion-independent iron coordination by members of a third class of bacterial periplasmic ferric ion-binding proteins. J. Biol. Chem. 2805820-5827. [DOI] [PubMed] [Google Scholar]
- 57.Sikora, A. E., S. R., Lybarger, and M. Sandkvist. 2007. Compromised outer membrane integrity in Vibrio cholerae type II secretion mutants. J. Bacteriol. 1898484-8495. [DOI] [PMC free article] [PubMed] [Google Scholar]
- 58.Toth, I. K., K. S. Bell, M. C. Holeva, and P. R. J. Birch. 2003. Soft rot Erwiniae: from genes to genomes. Mol. Plant Pathol. 417-30. [DOI] [PubMed] [Google Scholar]
- 59.Touati, D. 2000. Sensing and protecting against superoxide stress in Escherichia coli—how many ways are there to trigger soxRS response? Redox Rep. 5287-293. [DOI] [PubMed] [Google Scholar]
- 60.Voulhoux, R., G. Ball, B. Ize, M. L. Vasil, A. Lazdunski, L. F. Wu, and A. Filloux. 2001. Involvement of the twin-arginine translocation system in protein secretion via the type II pathway. EMBO J. 206735-6741. [DOI] [PMC free article] [PubMed] [Google Scholar]
Associated Data
This section collects any data citations, data availability statements, or supplementary materials included in this article.



