Abstract
The prostate gland secretes many proteins in a prostatic fluid that combines with seminal vesicle derived fluids to promote sperm activation and function. Proximal fluids of the prostate that can be collected clinically are seminal plasma and expressed-prostatic secretion (EPS) fluids. EPS represents the fluid being secreted by the prostate following a digital rectal prostate massage, which in turn can be collected in voided urine post-exam. This collection is not disruptive to a standard urological exam, and it can be repeatedly collected from men across all prostatic disease states. A direct EPS fluid can also be collected under anesthesia prior to prostatectomy. While multiple genetic assays for prostate cancer detection are being developed for the shed epithelial cell fraction of EPS urines, the remaining fluid that contains many prostate-derived proteins has been minimally characterized. Approaches to optimization and standardization of EPS collection consistent with current urological exam and surgical practices are described, and initial proteomic and glycomic evaluations of the of EPS fluid are summarized for prostate specific antigen and prostatic acid phosphatase. Continued characterization of the prostate specific protein components of EPS urine combined with optimization of clinical collection procedures should facilitate discovery of new biomarkers for prostate cancer.
Keywords: prostate cancer, proximal fluid, prostate specific antigen, prostatic acid phosphatase, biomarker
1. Overview
Large scale clinical detection of prostate specific antigen (PSA) levels in serum as a biomarker of prostate cancer has been ongoing since the 1990s [1, 2]. The assay continues to evolve to reflect new knowledge about disease specific isoforms, free PSA versus bound complexes with serum proteins, PSA velocity and PSA density considerations [3–6]. While the overall benefits and risks of population PSA screening for prostate cancer continues to be assessed [7, 8], the known problems with PSA being an excellent organ specific marker, but not cancer specific marker [3], will continue to be a clinical problem. This is further compounded with a longer living, aging population and the known increases in PSA levels associated with increasing age [9]. For example, guidelines continue to be debated about when to start PSA testing, generally between 40 and 50 years old [10], but there are minimal guidelines for what age PSA testing is no longer effective beyond the treatment decision “10 year rule” matrix of estimating life expectancy of 10 years or greater [11, 12]. With men increasingly living to 85 years and older, an assay is needed that could be used to follow someone from testing initiation at 50 years old throughout their remaining 30+ years, without having to do repeated invasive biopsies based on rising PSA values due to age or other non-cancer causes [3]. We propose that to achieve identification of new prostate biomarkers, the primary source for such a biomarker should be proximal fluids which are more reflective of the physiological state of the prostate. Ideally this fluid must still be easily obtainable in a minimally invasive manner, as well as allow for repeated collections over time.
Proximal fluids are found adjacent to a given tissue or organ and represent a repertoire of secreted proteins and shed cells reflective of the physiological state of that tissue, and thus are potential sources of protein and genetic biomarkers for cancers. For the prostate, seminal plasma and expressed-prostatic secretion (EPS) fluids are proximal fluids that can readily be obtained. In this review, approaches for the collection of EPS fluids and characterization of secreted or shed proteins from the prostate is described, with emphasis on two known biomarkers, PSA and prostatic acid phosphatase (PAP). Clinical issues of collection, storage and stability of these EPS proteins are described, as well as an initial overview of approaches for purification and mass spectrometry based characterizations. Additionally, an approach for collection of direct EPS fluid not diluted in urine from prostate massage prior to prostatectomy is also described.
2. The clinical need for new prostate cancer biomarkers
Prostate cancer (PCa) continues to have a high incident rate with over 186,000 new cases estimated in 2008 in the U.S., and second only to lung cancer in cancer death rate (29 per 100,000 men) [13]. Early detection screening for prostate cancers has relied on PSA detection in serum [8]. Although far from ideal, PSA screening is one of the widest utilized oncological screening methods in current practice, and has facilitated treatment by prostatectomy to remove cancers at their earliest, more treatable stages. Despite this early detection, there are no curative treatments for prostate cancers in patients with minimal residual disease following prostatectomy, or for those who have metastases at the time of diagnosis. Additionally, in spite of the high incidence of prostate cancers, the majority are not lethal, suggesting most tumors detected by routine screening may be clinically insignificant [3, 14]. Overall, the methods to establish the risk of progression and prognosis of disease are suboptimal, chiefly the histopathological grading (Gleason’s score) system, and a large number of patients are over treated with a significant negative financial impact on health care [7, 14, 15].
Our translational research group is targeting two major gaps in the prostate cancer diagnostics and clinical decision making process. The first gap involves the determination of which patients with abnormal DRE (digital rectal exam) and/or PSA levels should undergo biopsy. Frequently, serum PSA levels detected in the clinical gray area of less than 10 ng/ml will prompt a biopsy decision as a cautious default, although upwards of 80% of these biopsies have turned out to be uninformative regarding presence of cancer. The second gap is related to the inability to better define the tumors requiring surgical or other interventions. Current clinical practice involves treating each tumor as if it is aggressive when a majority may not require that level of therapy [14, 16]. Thus, new diagnostics that could predict disease course and discriminate indolent tumors from aggressive tumors would have major benefits to patients and significantly impact costs.
For current detection and screening, the combination of serum PSA, digital rectal examination (DRE) and transrectal ultrasound (TRUS) guided biopsy are the standard of care. PSA levels effectively indicate the presence of cancers when levels are above 10 ng/ml, yet PSA is limited in its ability to differentiate prostate cancer from benign prostate hyperplasia (BPH) [3, 17–19]. The Prostate Cancer Prevention Trial results highlighted a surprising number of subjects (15%) with prostate cancer in the low-risk placebo group with PSA values below the previously established 4 ng/ml cut-off value [20, 21]. Lowering the cut-off value for PSA levels below 4.0 significantly increases the sensitivity of the assay to detect cancers, but it comes with a corresponding decrease in specificities and therefore increased numbers of unnecessary biopsies [22]. Historically, prior to PSA screening, DRE and determination of serum prostatic acid phosphatase (PAP) were the principal method for prostate cancer detection and staging, and they too have many limitations [23, 24]. Determination of serum PAP activity was reported in the 1930’s [25] and was used routinely until the 1980’s. Serum PAP is still used as an indicator of metastatic disease and possibly recurrence prediction [26, 27], but it proved to have low specificities and sensitivities as a detection biomarker, especially compared with PSA [28]. A DRE alone is reported to miss 44–59% of cancers [29].
In the U.S. for example, the increasing numbers of healthy aging men of the “baby boomer” generation born after 1945 and an increasing lifespan is further compounding these issues. It is well documented that prostate cancer risk doubles from age 50 to 65, and the rate is even higher in African American men[30, 31]. Thus, because the front end of the “baby boomer” generation is already approaching 65 years old, new approaches for monitoring prostate cancer will be needed for tracking men in their 70’s and living well into their 80’s or longer. Confounding this are co-morbidity issues related to cardiovascular disease and metabolic syndromes. For example, androgen deprivation therapy (ADT) is commonly used for men with recurrent or metastatic prostate cancers. The hypogonadism resulting from ADT treatment brings with it increased risk of cardiovascular disease, diabetes, other metabolic syndromes and osteoporosis [32–35]. Aging and the side effects of therapy decisions will continue to confound the process of effective prostate cancer treatment decision making. Overall, it is clear that new biomarkers for prostate cancer detection and treatment decisions are needed.
3. Expressed Prostatic Secretions (EPS) in urine as a new source of biomarkers
The prostate gland secretes many protein molecules in a prostatic fluid that combines with seminal fluid and sperm from the seminal vesicles during ejaculation. In seminal fluids, many of these prostatic proteins perform functions that promote the ability of sperm to become activated and escape the vaginal immune micro-environment. PSA performs the critical function of liquefaction in this process by degrading semenogelin, while the exact role of PAP is not known but is suspected to be involved in similar activation processes within the vaginal tract[36]. Expressed prostate secretions (EPS) are collected when the clinician performs a digital rectal exam and gently massages each side of the prostate gland, thus stimulating release and movement of prostate fluids and detached epithelial cells into the urethra. These prostate fluids and cells are collected when the patient voids urine following the massage, and the fluid is largely devoid of seminal vesicle derived proteins or sperm.
EPS urine has been collected for the diagnosis of prostatitis and chronic pelvic inflammatory disease since the 1960’s [37–39]. For prostate cancer uses, it has recently been assessed for metabolomic markers [40], while most of the research emphasis has focused on characterizing genetic components in the epithelial cells in the sediment obtained after low-speed centrifugation. In particular, detection of the prostate cancer antigen 3 (PCA3) mRNA from the sediment/cells has emerged as a promising diagnostic assay for prostate cancer detection [41–46]. Using a commercial assay (APTIMA PCA3, Gen-Probe Inc.), reports from multiple sites detected PCA3 sensitivities in the 60–70% range and specificities of 70–80% [42, 43, 45], as well as slightly less values for predictions in repeat biopsy individuals [41]. A larger study from a total of 534 men from multiple sites in the Netherlands determined PCA3 mRNA levels yielded a sensitivity of 65% and specificity of 66% [44]. Other studies have used the sedimented EPS urine cells to detect TMPRSS2-ERG fusion transcripts [47, 48], the presence of which are emerging in a large proportion of prostate cancers [49]. In one combination study of 78 men with prostate cancer and 30 men with prostate cancer-negative biopsies, it was reported that the combination of detection of both TMPRSS2-ERG fusion transcripts and PCA3 in EPS urine sediments increased the sensitivity of the assay to 73%, compared to 37% for TMPRSS2-ERG and 62% for PCA3 alone, respectively [47]. A recent report examined four genes (GOLPH2, SPINK1, PCA3, TMPRSS2:ERG) by qPCR in EPS sediments from 234 patients presenting for biopsy or radical prostatectomy [48]. Determined sensitivity and sensitivity for the four genes was 65.9% and 76.0%, respectively [48]. It is clear that transcript based tests from EPS, either singly or multiplexed, will continue to be developed in the efforts to improve prostate cancer detection and decrease the numbers of unnecessary prostate biopsies.
The proteomic components of EPS fluids have not yet been routinely analyzed. While detection of PSA protein levels in non-expressed urine has been reported previously [50–53], routine detection of prostate derived proteins in urine alone is not widely done. In a small cohort of urine samples from control, BPH and prostate cancer subjects, it was reported that determining the ratio of serum PSA to urine PSA levels could have diagnostic utility [50]. PSA levels have also been determined in EPS urines following prostate massage [54]. EPS fluids directly obtained from the prostate via collection from the penis following aggressive prostate massage [55], or from squeezing fluid from excised prostate tissue post-prostatectomy have been reported [56]. In the first study, over 100 proteins present in the prostatic fluids were identified by mass spectrometry approaches [55]. In the second study, the expression levels of a panel of 174 cytokines were assayed in prostatic fluids reflective of different cancer severities [56]. The potential use of the fluid component as a source of protein biomarkers from EPS urines has not been exploited, yet there is much baseline proteomic data reported for other clinical fluids that comprise components of EPS urines. In this regards, a comprehensive mass spectrometry analysis of the urine and seminal plasma proteomes have been reported [57, 58]. There have been over 1,500 proteins reported to be present in the urine proteome for example [57], and over 900 proteins were identified in the seminal plasma report [58]. Cumulatively, both of these proteomes contain the constituents of the EPS urines, but do not provide information distinguishing proteins specifically originating from the prostate. In the following sections, we describe the characterization approaches we have taken for initiating analysis of the EPS urine proteome using PSA and PAP as model targets. This approach is entirely compatible with moving assays forward toward proteomic-based assays using EPS urines as the diagnostic sample source.
4. Clinical Collection of Expressed Prostate Secretions (EPS) in Urine
We have concentrated on collecting EPS urine samples from men reporting to the clinic for a prostate biopsy procedure, as this group of men reflects a population where new biomarker assays would be most useful for distinguishing benign prostatic disease from cancers. The EPS samples are initially classified using the currently accepted risk stratification system [6, 59, 60], and include the results of a biopsy with a minimum of 12 cores. Within this group, individuals with no evidence of cancer, and those with biopsy confirmed BPH, generally will have serum PSA values in the 1–10 ng/ml range. The EPS fluids were obtained following gentle prostate massage during digital rectal examination (DRE) prior to biopsy. The massage consists of three strokes on each side of the median sulcus of the prostate. This forces the expressed fluid from the glandular network of the prostate directly into the urethra. Urine (10–20 ml) containing the EPS were then collected from each individual and stored on ice for no longer than 1 hour. At the biorepository, 9 ml of each sample are centrifuged to remove the cell pellet/sediment, and supernatant aliquoted in tubes of 0.5 ml, 1 ml (×4) and 4.5 ml, stored at −80°C. The cell pellet/sediment for each samples are stored at −80°C. Using this protocol, more than 400 EPS urine samples have been collected over an 18 month period. Because of the focus on collection of samples from biopsy patients, accrual rates are highest for the BPH and cancer low and intermediate risk cohorts. For a subset of patients, “pre-EPS” urine samples were collected an hour prior to the DRE massage and matched to their respective EPS urines.
We have also been collecting what we term a “direct EPS” fluid from patients just prior to a prostatectomy. For this collection, under anesthesia, the prostate is massaged during the pre-prostatectomy exam and prostatic fluid (0.5–1 ml) is collected in a 10 ml tube directly from the penis. Each sample is diluted with saline to 5 ml and stored on ice until transport to the biorepository. Like EPS urines, cell pellet/sediment are removed by low speed centrifugation, and supernatant aliquots of 1 ml are stored at −80°C. All of these samples are procured from men about to undergo prostatectomy for cancer treatment, and include risk stratification classifications (pre and post prostatectomy) based on pathology assessments.
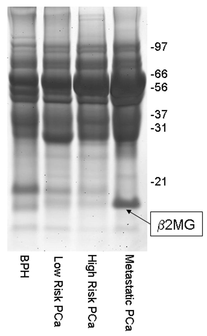
An example of the protein separation profile of benign prostatic hyperplasia, low risk cancer, high risk cancer and metastatic EPS urine pools are shown in Figure 1. The 17 kDa protein differentially overexpressed in the metastatic EPS urine samples was identified as β-2-microglobulin. This protein has been previously reported to be secreted directly by the prostate in advanced cancer states, and was detected as being overexpressed in serum from patients with metastatic, androgen independent prostate cancer [61]. In addition to follow up studies for measurement of β-2-microglobulin differences in the individual EPS urine samples, we anticipate using these samples for biomarker discovery studies for distinguishing BPH from cancer in the clinical gray area of serum PSA (1–10 ng/ml), monitoring for watchful waiting and detection of insignificant cancers.
Figure 1. SDS-PAGE separation of different prostatic disease EPS urine pools.

Individual EPS urine sample pools (n=6) representative of BPH, low risk prostate cancer (PCa), high risk PCa and metastatic PCa conditions were generated by 10X concentration through a 5000 MW Amicon cut-off filter (Millipore). Protein loading was normalized to 20 ug total protein per pool, and separated on a 12% Bis-Tris NuPAGE SDS-gel (Invitrogen) visualized by silver staining (Invitrogen). The indicated protein band at 17 kDa was identified by LC-MS/MS as β-2-microglobulin (β-2-MG; Mascot score of 1264), essentially as described in the legend to Table 1.
5. Concentration of PSA and PAP in EPS
From a diagnostic perspective, two of the most abundant and assayable proteins that should be present in the EPS fluids are PSA and PAP. An ELISA assay format was adapted from one previously reported for use with nipple aspirate fluids [62], which involves coating each plate well with unprocessed EPS sample and then assaying for individual proteins with an appropriate primary/secondary antibody combination. Using this assay, for most EPS urines we can detect 10–40 ug/ml PSA and 3–10 ug/ml PAP. In the direct EPS fluids from cancer patients, there is 80–120 ug/ml PSA and 20–40 ug/ml PAP.
Example results of PSA and PAP levels across non-cancer (normal and BPH) and prostate cancer disease states in EPS urines is shown in the graphs in Figure 2. There is a clear trend for lower levels of both proteins being expressed in prostate cancers (across all risk stratification groups), and a wider range of values determined in noncancer normal or BPH samples. Interestingly, there is no correlation to serum PSA levels, as the non-cancer group had an average serum PSA level of 4.6 ng/ml (+/− 2.0; range 0.7–7.9), and the cancer group 6.8 ng/ml (+/− 5.0; range 0.1–24.5). For the cancer samples, 3 metastatic samples were excluded in the calculation as they had serum PSA values of 121, 178 and 500 ng/ml, yet their respective PSA levels in EPS urine were 7.0, 7.0, and 15.0 ug/ml. In comparison, two other metastatic EPS samples with low serum PSA values below 2 ng/ml had PSA EPS urine levels of 7.0 and 12.0 ug/ml. This trend in decreasing levels of PSA from prostate cancer patients relative to healthy and BPH samples was also detected in non-EPS urine samples [50], but at ng/ml levels roughly 1000 fold lower than what was detected in our EPS urine samples. Clearly greater numbers of samples need to be assayed to further define the concentration ranges and differences across disease states, but we believe these initial results validate use of these proximal fluids as a source for identifying protein biomarkers of prostatic disease.
Figure 2. Concentration of PSA and PAP in non-cancer and prostate cancer EPS urines.
An ELISA assay was done by directly adsorbing the EPS fluids (50 ul) diluted 1:1 in coating buffer (10 mM NaCl/50 mM NaPO4, pH 7.5) incubated overnight at 4°C. Wells were subsequently blocked with the same buffer plus 0.5% bovine serum albumin, followed by primary antibody incubation overnight at 4°C with rabbit polyclonal antibodies for PSA (1:500 dilution) or PAP (1:1000) (Abcam). Detection was done the following day with a secondary antibody conjugated peroxidase (Bio-Rad) assay. Linear standard curves for PAP and PSA were generated using commercially available purified standards from seminal fluids (Fitzgerald Industries). The box plot plots the mean, 10th, 25th, 75th and 90th percentiles as vertical boxes with error bars. Outlier samples are shown as dots outside of the box.
6. Proteomic Characterization of PAP and PSA in EPS Urines
Based on the determined concentrations of PSA and PAP in the EPS fluids, these proteins should be readily detectable using mass spectrometry based methods. To facilitate their analysis, we applied a thiophilic adsorption chromatography (TAC) approach previously reported for purification of PSA from seminal plasma [63]. As described in Figure 3, pooled samples from prostate cancer patients for seminal plasma, EPS urine and direct EPS were applied to TAC resins. PAP does not bind to this resin when loaded in 1M sodium sulfate, while PSA elutes in the 0.6 and 0.4 M sodium sulfate fractions. The identities of both proteins were confirmed by molecular mass on SDS-gels, Western blot and mass spectrometry sequencing, as indicated in Figure 3. The different protein patterns shown for each fluid in Figure 3 also highlight the relative enrichment of prostate derived proteins in EPS fluids, compared to the more complex proteomic constituents of the seminal plasma fluids. A 30 ml pool of 10 EPS urine samples, independent of clinical diagnosis, was concentrated 10X through a 10000 MW filtration membrane, depleted of albumin and immunoglobulins, and used for two dimensional gel and Western blot analysis of PSA and PAP. Shown in Figure 4 is the resulting gel, and the specific immunoblots are shown in the insets for both proteins. The presence of inactive and active forms of PSA in the 25–34 kDa range are apparent, as well as multiple glycoforms of both PAP and PSA.
Figure 3. SDS-PAGE separation of thiophilic adsorption chromatography purified pooled seminal plasma, EPS urines and direct EPS from prostate cancer subjects.
Pooled seminal plasma (n =10; 2 mg), EPS urine (n = 6; 1 mg) or direct EPS (n = 4; 2 mg) pools were loaded onto 3 cm × 1 cm columns in a total of 1.0 ml 1M NaSO4/25mM HEPES and batch eluted as Unbound, in 0.8M, 0.6M or 0.4M NaSO4/25mM HEPES fractions. Aliquots of each fraction were separated on 12% Bis-Tris NuPAGE SDS-gels (Invitrogen) and visualized by silver staining (Invitrogen). The migration of PAP (*) and PSA (**) were confirmed in the above fractions by staining, western blotting and MALDI-TOF analysis.
Figure 4. Two-dimensional SDS-PAGE separation of EPS urine and western blot of PSA and PAP.
Pooled EPS urines (n=10) inclusive of all prostatic disease conditions was concentrated 10X to 3ml, and a 0.3 ml aliquot was depleted of albumin and immunoglobulin using a ProteoPrep column (Sigma). Two protein aliquots (50 ug) were denatured for isoelectrofocusing on 11 cm pH 3-10 IEF strips (Bio-Rad), followed by separation on Criterion 8–16% Tris/glycine gels as per manufacturer’s directions (Bio-Rad). One gel was silver stained, and the other blotted to PVDF for anti-PAP and anti-PSA western blot analysis via ECL detection (Pierce). The ECL developed film images are inset to indicate the western blot pattern of PAP and PSA relative to their silver stained patterns.
Further mass spectrometry-based identifications of the most abundant proteins stained in these 2D gel separations of EPS urine samples is ongoing. The most abundant of these proteins identified are summarized in Table 1, and a Supplemental table with additional peptide sequence information. Many of the proteins listed in Table 1 are also readily detected in other body fluid types like blood and seminal plasma. Particularly in blood, these acute phase reactant proteins are generally assumed to be produced by the liver or circulating immune cells. However, as illustrated by β-2-microglobulin secretion from the prostate [61], the source of the majority of proteins listed in Table 1 could be directly secreted by the prostate, from immune cells in the organ microenvironment, or tumor microvasculature leakage. Immunohistochemistry of prostate tissues linked with corresponding EPS fluids could effectively address this, and remains to be done.
Table 1.
Abundant EPS Urine Proteins Identified Following 2D-Gel Separation
| Protein Namea | Score | Peptide matches |
|---|---|---|
| AMBP/Alpha-1-microglobulin | 1160 | 254 |
| Gelsolin | 1097 | 97 |
| Serotransferrin | 1001 | 32 |
| Basement membrane-specific HS proteoglycan | 981 | 60 |
| Serum albumin | 890 | 66 |
| Ig kappa chain C regions | 673 | 102 |
| Inter-alpha-trypsin inhibitor heavy chain H4 | 657 | 45 |
| Alpha-1B-glycoprotein | 518 | 28 |
| Prostate-specific antigen | 478 | 31 |
| Vesicular integral-membrane protein, VIP36 | 477 | 12 |
| Ig lambda chain C regions | 455 | 41 |
| Complement C3 | 432 | 9 |
| Actin, cytoplasmic 1 | 391 | 18 |
| Epithelial cadherin | 352 | 7 |
| Prostatic acid phosphatase | 349 | 17 |
| Protein S100-A9 | 312 | 11 |
| Cell adhesion molecule 4 | 234 | 5 |
| Apolipoprotein D | 230 | 9 |
| Prostaglandin-H2 D-isomerase | 227 | 5 |
| Carboxypeptidase E | 217 | 6 |
| Zinc-alpha-2-glycoprotein | 208 | 7 |
| Triosephosphate isomerase | 202 | 4 |
| Cathepsin H | 185 | 7 |
| Alpha-1-antitrypsin | 151 | 2 |
| Histidine-rich glycoprotein | 134 | 2 |
| Annexin A5 | 133 | 5 |
| Uromodulin precursor | 124 | 5 |
| 14-3-3 protein epsilon | 119 | 3 |
| Proactivator polypeptide/Saposin-A | 118 | 10 |
| Monocyte differentiation antigen CD14 | 85 | 2 |
| Endothelial protein C receptor | 77 | 3 |
| Metalloproteinase inhibitor 1 | 76 | 2 |
| 14-3-3 protein zeta/delta | 70 | 2 |
| Neural cell adhesion molecule 1 | 68 | 2 |
Gel spots were excised from 2D gels, then reduced, alkylated and digested with trypsin to release peptides. Mass spectrometric analysis was performed on an LTQ™ Linear Ion Trap (ThermoFinnigan, San Jose, CA) mass spectrometer in the data-dependent acquisition mode. Survey full scan MS spectra (from m/z 300 to 1800) were acquired and the four most intense ions in a scan were sequentially isolated and fragmented in the linear ion trap (MS/MS). The peptide sequences were identified from their tandem mass spectra using Mascot a probability based search engine (www.matrixscience.com) using the SwissProt database. The following search criteria were used: variable modifications; carbamido-methylation of cysteine and oxidation of methionine residues, 1 missed enzyme cleavage site and an error tolerance of 1.5Da for MS and 0.8 Da for MS/MS.
Both PSA and PAP are known to contain N-linked glycosylations, and there are clearly many other abundant secreted glycoproteins present in the EPS. We utilized the same EPS pool used in Figure 4 for incubation with different carbohydrate binding lectins. A combination of concanavalin A (ConA) and wheat germ agluttinin (WGA) were used to broadly capture most glycoproteins. Specific combinations of lectins that bind fucose (Anguilla anguilla, AAA and Aleuria aurantia, AAL) or sialic acid (Sambucus nigra 1, SNA1 and Maackia amurensis, MAL) were also used. Bound proteins from each lectin were separated on SDS-gels as shown in Figure 5. Besides PSA and PAP, other prevalent glycoproteins identified were α-1-microglobulin, uromodulin, serotransferrin and zinc α-2-glycoprotein. We are currently using pooled EPS fluids and combinations of lectin chromatography, isotope tagging and gel electrophoresis to more fully characterize the protein composition. For development of new prostate cancer diagnostics, it will be key to distinguish identified proteins that are secreted by the prostate from other proteins present in urine. Use of the matched pre-DRE urines and post-DRE EPS urines that have been collected from the same donors facilitate this approach.
Figure 5. Differential lectin capture of EPS urine glycoproteins.
Aliquots (0.3 ml) of the EPS urine pool were incubated with 0.3 ml of agarose-bound lectin bead slurry pairs, either ConA/WGA, AAA/AAL or SNA1/MAL (E.Y. Labs and Vector Laboratories) in binding buffer (25 mM Tris, pH 7.5, 150mM NaCl, 1mM MnCl2 and 1 mM CaCl2) overnight. Bound proteins were eluted with competitive sugar combinations 0.2M mannose/0.2M GlcNAc, 0.2M fucose, or 0.1M lactose/0.1M glycine, pH 3.5. Eluted proteins were precipitated in 10% TCA, and resuspended in gel loading buffer for separation on a Criterion 8–16% Tris/glycine gel (Bio-Rad) and silver staining. The lanes were rearranged after processing to create the representative gel image shown. Protein identities were determined following in-gel trypsin digestion and MALDI-TOF peptide mass fingerprinting (UltraFlex III, Bruker Daltonics). FlexAnalysis software (Bruker Daltonics) running the MASCOT search algorithm with the NCBI protein database was used.
7. MALDI-TOF profiling of total glycans from urine EPS and direct EPS fractions
As an initial assessment for global glycan profiling, pooled EPS proteins (0.3 mg) from BPH and cancer subjects and 0.3 mg of direct EPS protein pools from low and intermediate risk prostate cancer subjects have been used. Each protein solution was digested with trypsin for 18 hours, followed by overnight digestion with PNGase F to release N-linked glycans. Total glycans were permethylated [64] and spotted for preliminary MALDI-TOF profiling. Based on the identified normalized mass ions, we have detected at least 32 possible glycan structures in the EPS urine samples, and 22 structures in the direct EPS samples. A MALDI profile example of the most prevalent permethylated total glycans from an intermediate risk direct EPS sample is shown in Figure 6. The major constituents are bi-, tri- and tetra-antennary glycans of the complex type, rich in sialic acid and fucose content. Differences in fucosylation and sialylation have been associated with progression of many types of cancer [65–67], so we are therefore targeting each glycan for MS/MS structural confirmation for inclusion in an EPS glycan structural database. Characterization of the individual glycan constituents of PSA and PAP across the different prostatic disease states are also in progress.
Figure 6. MALDI-TOF analysis of permethylated glycans from direct EPS fluids.
An aliquot (0.3 ml) of pooled direct EPS fluids (n=6) from intermediate risk prostate cancer subjects were digested in-solution with 25 ul of immobilized trypsin beads (Agro-Bio) overnight. The resulting peptide solution was incubated with 1500 units of PNGase F (New England Biolabs) to release N-glycans. N-glycans were permethylated following the protocol described by Ciucanu and Kerek [64], and reconstituted in 20 ul of 100% methanol. Sample was mixed 1:1 with 2,5-Dihydroxybenzoic acid (DHB) matrix and spotted on a polished steel MALDI-TOF plate for analysis in positive ion mode on an UltraFlex III MALDI-TOF/TOF instrument (Bruker Daltonics). The Consortium for Functional Glycomics (http://www.functionalglycomics.org) glycan database was used to search permethylated glycan masses correlating to peaks of interest in MALDI-TOF spectra. Glycan “cartoons” representing mass peaks were built using GlycanBuilder ver 1.2 build 3353 [68]. Cartoon representations are as follows:
=GlcNAc,
=Mannose,
=Galactose,
=Fucose,
=NeuAc.
8. Time and Temperature Stability of EPS Urine Proteins
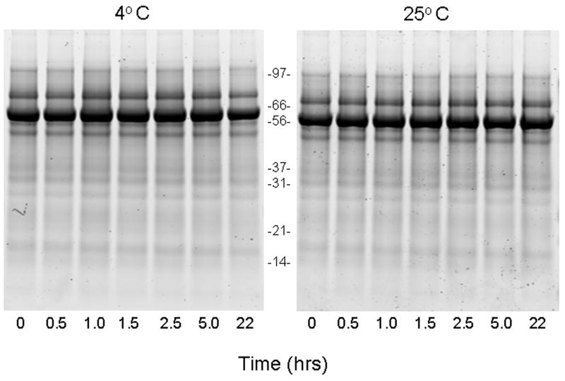
Like for any clinical fluid, it will be necessary to standardize collection procedures for EPS urines and determine time and temperature parameters that facilitate sample stability. We have determined that for most samples, removal of the cell pellet from the supernatant can be done routinely within 20–30 min of collection. We have not yet assessed the effect of the sediment components on stability of proteins beyond 30 minutes exposure. A pilot study was done on an EPS urine and direct EPS sample for temperature and time stability of proteins after removal of cell sediment. Aliquots were removed at different time points (0.5 to 22 hrs) and different temperatures (room and ice), followed by separation on an SDS gel. Two example gels for the EPS urine protein profiles are shown in Figure 7. At least up to 5 hrs, there does not appear to be any significant changes in the stabilities of the most prevalent EPS urine proteins at either temperature. Assessing long term storage stability across many samples, as well as determining the effect that different disease states may have on protein stabilities is ongoing.
Figure 7. Time and temperature stability of EPS urine proteins.
Following removal of cell sediment, 3 ml each of EPS urine supernatant was set aside at room temperature (25°C) or on ice (4°C). Aliquots of EPS urine (0.1 ml) were removed at time zero, 0.5, 1, 1.5, 2, 5.0 and 22 hrs for SDS-PAGE separation on Criterion 8–16% Tris/glycine gels (Bio-Rad). Protein was visualized by silver staining (Bio-Rad).
9. Summary and Future Directions
EPS urine is routinely collected for diagnosing prostatitis and increasingly for development of genetic and metabolic markers of prostate cancer. It is also a rich source of prostate derived proteins, particularly secreted glycoproteins, and by extension, their glycan constituents. Our initial proteomic studies have focused on characterizing the most prevalent constituents in these EPS fluids that we believe will be the initial targets for biomarker assay development. The relative high expression of these proteins makes the fluid amenable to all current forms of mass spectrometry analysis with minimal front-end processing or purification. The fluid is particularly attractive for emerging selective reaction monitoring and multiple reaction monitoring approaches currently being developed for MS based assays. Our ongoing efforts are focusing on characterizing and comparing N-linked glycan constituents of PSA, PAP and total protein from EPS fluids.
From a clinical chemistry standpoint for its use in protein based diagnostics, there remain many unknowns for what constitutes a “good” EPS urine sample for clinical assays. At the individual patient level, the known limitations of the digital rectal exam will also affect collection of the EPS urine samples. This includes parameters such as the size of the urologist’s hand and their ability to reach the base of the prostate with their finger, as well as known problems performing DRE’s on obese patients. How much discomfort individual subjects can tolerate is also an issue, but at least for cancer diagnostic purposes, the prostate massage is gentle in comparison to the procedure done routinely for EPS collection for prostatitis assays. As with standard DRE practices, repositioning of the patient on the exam table can address some of the aforementioned aspects, but physical collection variabilities will always remain a concern and will require development of internal standards of sample quality. For the emerging genetic assays from the EPS urine derived sediment/cells, the ratio of PSA to GAPDH housekeeping transcript levels has been used as a standardization measure [46, 48]. As these genetic assays rely on amplification reactions of signal, it is likely and probable that transcript levels may not reflect the levels of expressed proteins. This remains to be directly evaluated. Following initial assessments as shown in Figure 7, stability of the major proteins does not appear to be a problem under normal clinical laboratory conditions. Determining what concentration of protein constitutes a minimally acceptable clinical sample, as well as the significance of outlier samples with abnormally high or low levels of proteins, remains to be done. Identifying an appropriate prostate derived protein as a potential internal standard, alone or in combination with a resident urine protein, and its relationship to the standards used in the genetic assays, will be necessary before moving protein based assays in EPS urine toward clinical use.
In conclusion, full cataloguing and characterization of the cellular, genetic, metabolomic, proteomic and glycomic constituents of EPS urines could generate multiple biomarker candidates for prostatic diseases. The EPS urines can be readily obtained in any urology clinical practice, so implementation and standardization of collection protocols should be relatively straightforward.
Supplementary Material
Acknowledgments
This work was funded in part by NIH/NCI grant 2U01 CA98028 (OJS)
Footnotes
Publisher's Disclaimer: This is a PDF file of an unedited manuscript that has been accepted for publication. As a service to our customers we are providing this early version of the manuscript. The manuscript will undergo copyediting, typesetting, and review of the resulting proof before it is published in its final citable form. Please note that during the production process errors may be discovered which could affect the content, and all legal disclaimers that apply to the journal pertain.
Literature Citations
- 1.Catalona WJ, Smith DS, Ratliff TL, Dodds KM, Coplen DE, Yuan JJ, Petros JA, Andriole GL. Measurement of prostate-specific antigen in serum as a screening test for prostate cancer. N Engl J Med. 1991;324:1156–61. doi: 10.1056/NEJM199104253241702. [DOI] [PubMed] [Google Scholar]
- 2.Shibata A, Ma J, Whittemore AS. Prostate cancer incidence and mortality in the United States and the United Kingdom. J Natl Cancer Inst. 1998;90:1230–1. doi: 10.1093/jnci/90.16.1230. [DOI] [PubMed] [Google Scholar]
- 3.Roobol MJ, Zappa M, Maattanen L, Ciatto S. The value of different screening tests in predicting prostate biopsy outcome in screening for prostate cancer data from a multicenter study (ERSPC) Prostate. 2007;67:439–46. doi: 10.1002/pros.20545. [DOI] [PubMed] [Google Scholar]
- 4.Sokoll LJ, Wang Y, Feng Z, Kagan J, Partin AW, Sanda MG, Thompson IM, Chan DW. [-2]proenzyme prostate specific antigen for prostate cancer detection: a national cancer institute early detection research network validation study. J Urol. 2008;180:539–43. doi: 10.1016/j.juro.2008.04.015. discussion 543. [DOI] [PMC free article] [PubMed] [Google Scholar]
- 5.Loeb S, Roehl KA, Thaxton CS, Catalona WJ. Combined prostate-specific antigen density and biopsy features to predict “clinically insignificant” prostate cancer. Urology. 2008;72:143–7. doi: 10.1016/j.urology.2007.11.009. [DOI] [PubMed] [Google Scholar]
- 6.Thompson I, Thrasher JB, Aus G, Burnett AL, Canby-Hagino ED, Cookson MS, D’Amico AV, Dmochowski RR, Eton DT, Forman JD, Goldenberg SL, Hernandez J, Higano CS, Kraus SR, Moul JW, Tangen CM. Guideline for the management of clinically localized prostate cancer: 2007 update. J Urol. 2007;177:2106–31. doi: 10.1016/j.juro.2007.03.003. [DOI] [PubMed] [Google Scholar]
- 7.Lin K, Lipsitz R, Miller T, Janakiraman S. Benefits and harms of prostate-specific antigen screening for prostate cancer: an evidence update for the U.S. Preventive Services Task Force. Ann Intern Med. 2008;149:192–9. doi: 10.7326/0003-4819-149-3-200808050-00009. [DOI] [PubMed] [Google Scholar]
- 8.Barry MJ. Clinical practice. Prostate-specific-antigen testing for early diagnosis of prostate cancer. N Engl J Med. 2001;344:1373–7. doi: 10.1056/NEJM200105033441806. [DOI] [PubMed] [Google Scholar]
- 9.Oesterling JE, Jacobsen SJ, Chute CG, Guess HA, Girman CJ, Panser LA, Lieber MM. Serum prostate-specific antigen in a community-based population of healthy men. Establishment of age-specific reference ranges. Jama. 1993;270:860–4. [PubMed] [Google Scholar]
- 10.Ross KS, Carter HB, Pearson JD, Guess HA. Comparative efficiency of prostate-specific antigen screening strategies for prostate cancer detection. Jama. 2000;284:1399–405. doi: 10.1001/jama.284.11.1399. [DOI] [PubMed] [Google Scholar]
- 11.Chodak GW, Thisted RA, Gerber GS, Johansson JE, Adolfsson J, Jones GW, Chisholm GD, Moskovitz B, Livne PM, Warner J. Results of conservative management of clinically localized prostate cancer. N Engl J Med. 1994;330:242–8. doi: 10.1056/NEJM199401273300403. [DOI] [PubMed] [Google Scholar]
- 12.Krahn MD, Bremner KE, Asaria J, Alibhai SM, Nam R, Tomlinson G, Jewett MA, Warde P, Naglie G. The ten-year rule revisited: accuracy of clinicians’ estimates of life expectancy in patients with localized prostate cancer. Urology. 2002;60:258–63. doi: 10.1016/s0090-4295(02)01712-0. [DOI] [PubMed] [Google Scholar]
- 13.Jemal A, Siegel R, Ward E, Hao Y, Xu J, Murray T, Thun MJ. Cancer statistics, 2008. CA Cancer J Clin. 2008;58:71–96. doi: 10.3322/CA.2007.0010. [DOI] [PubMed] [Google Scholar]
- 14.Draisma G, Boer R, Otto SJ, van der Cruijsen IW, Damhuis RA, Schroder FH, de Koning HJ. Lead times and overdetection due to prostate-specific antigen screening: estimates from the European Randomized Study of Screening for Prostate Cancer. J Natl Cancer Inst. 2003;95:868–78. doi: 10.1093/jnci/95.12.868. [DOI] [PubMed] [Google Scholar]
- 15.Etzioni R, Penson DF, Legler JM, di Tommaso D, Boer R, Gann PH, Feuer EJ. Overdiagnosis due to prostate-specific antigen screening: lessons from U.S. prostate cancer incidence trends. J Natl Cancer Inst. 2002;94:981–90. doi: 10.1093/jnci/94.13.981. [DOI] [PubMed] [Google Scholar]
- 16.Albertsen PC, Hanley JA, Fine J. 20-year outcomes following conservative management of clinically localized prostate cancer. Jama. 2005;293:2095–101. doi: 10.1001/jama.293.17.2095. [DOI] [PubMed] [Google Scholar]
- 17.Chan DW, Sokoll LJ. Prostate-specific antigen: update 1997. J Int Fed Clin Chem. 1997;9:120–5. [PubMed] [Google Scholar]
- 18.Gann PH, Hennekens CH, Stampfer MJ. A prospective evaluation of plasma prostate-specific antigen for detection of prostatic cancer. Jama. 1995;273:289–94. [PubMed] [Google Scholar]
- 19.Partin AW, Oesterling JE. The clinical usefulness of percent free-PSA. Urology. 1996;48:1–3. doi: 10.1016/s0090-4295(96)00602-4. [DOI] [PubMed] [Google Scholar]
- 20.Thompson IM, Ankerst DP, Chi C, Goodman PJ, Tangen CM, Lucia MS, Feng Z, Parnes HL, Coltman CA., Jr Assessing prostate cancer risk: results from the Prostate Cancer Prevention Trial. J Natl Cancer Inst. 2006;98:529–34. doi: 10.1093/jnci/djj131. [DOI] [PubMed] [Google Scholar]
- 21.Thompson IM, Goodman PJ, Tangen CM, Lucia MS, Miller GJ, Ford LG, Lieber MM, Cespedes RD, Atkins JN, Lippman SM, Carlin SM, Ryan A, Szczepanek CM, Crowley JJ, Coltman CA., Jr The influence of finasteride on the development of prostate cancer. N Engl J Med. 2003;349:215–24. doi: 10.1056/NEJMoa030660. [DOI] [PubMed] [Google Scholar]
- 22.Thompson IM, Ankerst DP, Chi C, Lucia MS, Goodman PJ, Crowley JJ, Parnes HL, Coltman CA., Jr Operating characteristics of prostate-specific antigen in men with an initial PSA level of 3.0 ng/ml or lower. Jama. 2005;294:66–70. doi: 10.1001/jama.294.1.66. [DOI] [PubMed] [Google Scholar]
- 23.Makarov DV, Carter HB. The discovery of prostate specific antigen as a biomarker for the early detection of adenocarcinoma of the prostate. J Urol. 2006;176:2383–5. doi: 10.1016/j.juro.2006.08.019. [DOI] [PubMed] [Google Scholar]
- 24.Wilkinson BA, Hamdy FC. State-of-the-art staging in prostate cancer. BJU Int. 2001;87:423–30. doi: 10.1046/j.1464-410x.2001.02146.x. [DOI] [PubMed] [Google Scholar]
- 25.Gutman AB, Gutman EB. An “Acid” Phosphatase Occurring in the Serum of Patients with Metastasizing Carcinoma of the Prostate Gland. J Clin Invest. 1938;17:473–8. doi: 10.1172/JCI100974. [DOI] [PMC free article] [PubMed] [Google Scholar]
- 26.Han M, Piantadosi S, Zahurak ML, Sokoll LJ, Chan DW, Epstein JI, Walsh PC, Partin AW. Serum acid phosphatase level and biochemical recurrence following radical prostatectomy for men with clinically localized prostate cancer. Urology. 2001;57:707–11. doi: 10.1016/s0090-4295(00)01073-6. [DOI] [PubMed] [Google Scholar]
- 27.Moul JW, Connelly RR, Perahia B, McLeod DG. The contemporary value of pretreatment prostatic acid phosphatase to predict pathological stage and recurrence in radical prostatectomy cases. J Urol. 1998;159:935–40. [PubMed] [Google Scholar]
- 28.Stamey TA, Yang N, Hay AR, McNeal JE, Freiha FS, Redwine E. Prostate-specific antigen as a serum marker for adenocarcinoma of the prostate. N Engl J Med. 1987;317:909–16. doi: 10.1056/NEJM198710083171501. [DOI] [PubMed] [Google Scholar]
- 29.Chang JJ, Shinohara K, Bhargava V, Presti JC., Jr Prospective evaluation of lateral biopsies of the peripheral zone for prostate cancer detection. J Urol. 1998;160:2111–4. doi: 10.1097/00005392-199812010-00044. [DOI] [PubMed] [Google Scholar]
- 30.Reed A, Ankerst DP, Pollock BH, Thompson IM, Parekh DJ. Current age and race adjusted prostate specific antigen threshold values delay diagnosis of high grade prostate cancer. J Urol. 2007;178:1929–32. doi: 10.1016/j.juro.2007.07.045. discussion 1932. [DOI] [PubMed] [Google Scholar]
- 31.Thompson IM, Pauler Ankerst D, Chi C, Goodman PJ, Tangen CM, Lippman SM, Lucia MS, Parnes HL, Coltman CA., Jr Prediction of prostate cancer for patients receiving finasteride: results from the Prostate Cancer Prevention Trial. J Clin Oncol. 2007;25:3076–81. doi: 10.1200/JCO.2006.07.6836. [DOI] [PubMed] [Google Scholar]
- 32.Tsai HK, D’Amico AV, Sadetsky N, Chen MH, Carroll PR. Androgen deprivation therapy for localized prostate cancer and the risk of cardiovascular mortality. J Natl Cancer Inst. 2007;99:1516–24. doi: 10.1093/jnci/djm168. [DOI] [PubMed] [Google Scholar]
- 33.Braga-Basaria M, Dobs AS, Muller DC, Carducci MA, John M, Egan J, Basaria S. Metabolic syndrome in men with prostate cancer undergoing long-term androgen-deprivation therapy. J Clin Oncol. 2006;24:3979–83. doi: 10.1200/JCO.2006.05.9741. [DOI] [PubMed] [Google Scholar]
- 34.Malcolm JB, Derweesh IH, Kincade MC, DiBlasio CJ, Lamar KD, Wake RW, Patterson AL. Osteoporosis and fractures after androgen deprivation initiation for prostate cancer. Can J Urol. 2007;14:3551–9. [PubMed] [Google Scholar]
- 35.Lage MJ, Barber BL, Markus RA. Association between androgen-deprivation therapy and incidence of diabetes among males with prostate cancer. Urology. 2007;70:1104–8. doi: 10.1016/j.urology.2007.08.012. [DOI] [PubMed] [Google Scholar]
- 36.Brillard-Bourdet M, Rehault S, Juliano L, Ferrer M, Moreau T, Gauthier F. Amidolytic activity of prostatic acid phosphatase on human semenogelins and semenogelin-derived synthetic substrates. Eur J Biochem. 2002;269:390–5. doi: 10.1046/j.0014-2956.2001.02667.x. [DOI] [PubMed] [Google Scholar]
- 37.Meares EM, Stamey TA. Bacteriologic localization patterns in bacterial prostatitis and urethritis. Invest Urol. 1968;5:492–518. [PubMed] [Google Scholar]
- 38.Nickel JC, Alexander RB, Schaeffer AJ, Landis JR, Knauss JS, Propert KJ. Leukocytes and bacteria in men with chronic prostatitis/chronic pelvic pain syndrome compared to asymptomatic controls. J Urol. 2003;170:818–22. doi: 10.1097/01.ju.0000082252.49374.e9. [DOI] [PubMed] [Google Scholar]
- 39.Ludwig M, Schroeder-Printzen I, Ludecke G, Weidner W. Comparison of expressed prostatic secretions with urine after prostatic massage--a means to diagnose chronic prostatitis/inflammatory chronic pelvic pain syndrome. Urology. 2000;55:175–7. doi: 10.1016/s0090-4295(99)00464-1. [DOI] [PubMed] [Google Scholar]
- 40.Serkova NJ, Gamito EJ, Jones RH, O’Donnell C, Brown JL, Green S, Sullivan H, Hedlund T, Crawford ED. The metabolites citrate, myo-inositol, and spermine are potential age-independent markers of prostate cancer in human expressed prostatic secretions. Prostate. 2008;68:620–8. doi: 10.1002/pros.20727. [DOI] [PubMed] [Google Scholar]
- 41.Marks LS, Fradet Y, Deras IL, Blase A, Mathis J, Aubin SM, Cancio AT, Desaulniers M, Ellis WJ, Rittenhouse H, Groskopf J. PCA3 molecular urine assay for prostate cancer in men undergoing repeat biopsy. Urology. 2007;69:532–5. doi: 10.1016/j.urology.2006.12.014. [DOI] [PubMed] [Google Scholar]
- 42.Tinzl M, Marberger M, Horvath S, Chypre C. DD3PCA3 RNA analysis in urine--a new perspective for detecting prostate cancer. Eur Urol. 2004;46:182–6. doi: 10.1016/j.eururo.2004.06.004. discussion 187. [DOI] [PubMed] [Google Scholar]
- 43.van Gils MP, Cornel EB, Hessels D, Peelen WP, Witjes JA, Mulders PF, Rittenhouse HG, Schalken JA. Molecular PCA3 diagnostics on prostatic fluid. Prostate. 2007;67:881–7. doi: 10.1002/pros.20564. [DOI] [PubMed] [Google Scholar]
- 44.van Gils MP, Hessels D, van Hooij O, Jannink SA, Peelen WP, Hanssen SL, Witjes JA, Cornel EB, Karthaus HF, Smits GA, Dijkman GA, Mulders PF, Schalken JA. The time-resolved fluorescence-based PCA3 test on urinary sediments after digital rectal examination; a Dutch multicenter validation of the diagnostic performance. Clin Cancer Res. 2007;13:939–43. doi: 10.1158/1078-0432.CCR-06-2679. [DOI] [PubMed] [Google Scholar]
- 45.Groskopf J, Aubin SM, Deras IL, Blase A, Bodrug S, Clark C, Brentano S, Mathis J, Pham J, Meyer T, Cass M, Hodge P, Macairan ML, Marks LS, Rittenhouse H. APTIMA PCA3 molecular urine test: development of a method to aid in the diagnosis of prostate cancer. Clin Chem. 2006;52:1089–95. doi: 10.1373/clinchem.2005.063289. [DOI] [PubMed] [Google Scholar]
- 46.Deras IL, Aubin SM, Blase A, Day JR, Koo S, Partin AW, Ellis WJ, Marks LS, Fradet Y, Rittenhouse H, Groskopf J. PCA3: a molecular urine assay for predicting prostate biopsy outcome. J Urol. 2008;179:1587–92. doi: 10.1016/j.juro.2007.11.038. [DOI] [PubMed] [Google Scholar]
- 47.Hessels D, Smit FP, Verhaegh GW, Witjes JA, Cornel EB, Schalken JA. Detection of TMPRSS2-ERG fusion transcripts and prostate cancer antigen 3 in urinary sediments may improve diagnosis of prostate cancer. Clin Cancer Res. 2007;13:5103–8. doi: 10.1158/1078-0432.CCR-07-0700. [DOI] [PubMed] [Google Scholar]
- 48.Laxman B, Morris DS, Yu J, Siddiqui J, Cao J, Mehra R, Lonigro RJ, Tsodikov A, Wei JT, Tomlins SA, Chinnaiyan AM. A first-generation multiplex biomarker analysis of urine for the early detection of prostate cancer. Cancer Res. 2008;68:645–9. doi: 10.1158/0008-5472.CAN-07-3224. [DOI] [PMC free article] [PubMed] [Google Scholar]
- 49.Mehra R, Han B, Tomlins SA, Wang L, Menon A, Wasco MJ, Shen R, Montie JE, Chinnaiyan AM, Shah RB. Heterogeneity of TMPRSS2 gene rearrangements in multifocal prostate adenocarcinoma: molecular evidence for an independent group of diseases. Cancer Res. 2007;67:7991–5. doi: 10.1158/0008-5472.CAN-07-2043. [DOI] [PubMed] [Google Scholar]
- 50.Bolduc S, Lacombe L, Naud A, Gregoire M, Fradet Y, Tremblay RR. Urinary PSA: a potential useful marker when serum PSA is between 2.5 ng/mL and 10 ng/mL. Can Urol Assoc J. 2007;1:377–81. doi: 10.5489/cuaj.444. [DOI] [PMC free article] [PubMed] [Google Scholar]
- 51.Takayama TK, Vessella RL, Brawer MK, True LD, Noteboom J, Lange PH. Urinary prostate specific antigen levels after radical prostatectomy. J Urol. 1994;151:82–7. doi: 10.1016/s0022-5347(17)34877-2. [DOI] [PubMed] [Google Scholar]
- 52.DeVere White RW, Meyers FJ, Soares SE, Miller DG, Soriano TF. Urinary prostate specific antigen levels: role in monitoring the response of prostate cancer to therapy. J Urol. 1992;147:947–51. doi: 10.1016/s0022-5347(17)37430-x. [DOI] [PubMed] [Google Scholar]
- 53.Pannek J, Rittenhouse HG, Evans CL, Finlay JA, Bruzek DJ, Cox JL, Chan DW, Subong EN, Partin AW. Molecular forms of prostate-specific antigen and human kallikrein 2 (hK2) in urine are not clinically useful for early detection and staging of prostate cancer. Urology. 1997;50:715–21. doi: 10.1016/S0090-4295(97)00324-5. [DOI] [PubMed] [Google Scholar]
- 54.Malavaud B, Salama G, Miedouge M, Vincent C, Rischmann P, Sarramon JP, Serre G. Influence of digital rectal massage on urinary prostate-specific antigen: interest for the detection of local recurrence after radical prostatectomy. Prostate. 1998;34:23–8. doi: 10.1002/(sici)1097-0045(19980101)34:1<23::aid-pros3>3.0.co;2-l. [DOI] [PubMed] [Google Scholar]
- 55.Li RGY, Han BM, Yan X, Utleg AG, Li W, Tu LC, Wang J, Hood L, Xia S, Lin B. Proteomics cataloging analysis of human expressed prostatic secretions reveals rich source of biomarker candidates. Proteomics Clinical Applications. 2008;2:543–555. doi: 10.1002/prca.200780159. [DOI] [PMC free article] [PubMed] [Google Scholar]
- 56.Fujita K, Ewing CM, Sokoll LJ, Elliott DJ, Cunningham M, De Marzo AM, Isaacs WB, Pavlovich CP. Cytokine profiling of prostatic fluid from cancerous prostate glands identifies cytokines associated with extent of tumor and inflammation. Prostate. 2008;68:872–82. doi: 10.1002/pros.20755. [DOI] [PMC free article] [PubMed] [Google Scholar]
- 57.Adachi J, Kumar C, Zhang Y, Olsen JV, Mann M. The human urinary proteome contains more than 1500 proteins, including a large proportion of membrane proteins. Genome Biol. 2006;7:R80. doi: 10.1186/gb-2006-7-9-r80. [DOI] [PMC free article] [PubMed] [Google Scholar]
- 58.Pilch B, Mann M. Large-scale and high-confidence proteomic analysis of human seminal plasma. Genome Biol. 2006;7:R40. doi: 10.1186/gb-2006-7-5-r40. [DOI] [PMC free article] [PubMed] [Google Scholar]
- 59.Thompson IM. Defining high risk prostate cancer--where do we set the bar? A translational science approach to risk stratification. J Urol. 2006;176:S21–4. doi: 10.1016/j.juro.2006.06.078. discussion S25–6. [DOI] [PubMed] [Google Scholar]
- 60.D’Amico AV, Whittington R, Malkowicz SB, Schultz D, Blank K, Broderick GA, Tomaszewski JE, Renshaw AA, Kaplan I, Beard CJ, Wein A. Biochemical outcome after radical prostatectomy, external beam radiation therapy, or interstitial radiation therapy for clinically localized prostate cancer. Jama. 1998;280:969–74. doi: 10.1001/jama.280.11.969. [DOI] [PubMed] [Google Scholar]
- 61.Gross M, Top I, Laux I, Kazt J, Curran J, Tindell C, Agus D. β-2-Microglobulin is an androgen-regulated secreted protein elevated in serum of patients with advanced prostate cancer. Clin Cancer Res. 2007;13:1979–86. doi: 10.1158/1078-0432.CCR-06-1156. [DOI] [PubMed] [Google Scholar]
- 62.Alexander H, Stegner AL, Wagner-Mann C, Du Bois GC, Alexander S, Sauter ER. Proteomic analysis to identify breast cancer biomarkers in nipple aspirate fluid. Clin Cancer Res. 2004;10:7500–10. doi: 10.1158/1078-0432.CCR-04-1002. [DOI] [PubMed] [Google Scholar]
- 63.Kawinski E, Levine E, Chadha K. Thiophilic interaction chromatography facilitates detection of various molecular complexes of prostate-specific antigen in biological fluids. Prostate. 2002;50:145–53. doi: 10.1002/pros.10042. [DOI] [PubMed] [Google Scholar]
- 64.Ciucanu I, Kerek F. A simple and rapid method for the permethylation of carbohydrates. Carbohydrate Research. 1984;131:209–217. [Google Scholar]
- 65.Lau KS, Dennis JW. N-Glycans in cancer progression. Glycobiology. 2008;18:750–60. doi: 10.1093/glycob/cwn071. [DOI] [PubMed] [Google Scholar]
- 66.Jankovic MM, Kosanovic MM. Glycosylation of urinary prostate-specific antigen in benign hyperplasia and cancer: assessment by lectin-binding patterns. Clin Biochem. 2005;38:58–65. doi: 10.1016/j.clinbiochem.2004.09.022. [DOI] [PubMed] [Google Scholar]
- 67.Fukuda M. Cell surface glycoconjugates as onco-differentiation markers in hematopoietic cells. Biochim Biophys Acta. 1985;780:119–50. doi: 10.1016/0304-419x(84)90002-7. [DOI] [PubMed] [Google Scholar]
- 68.Ceroni A, Dell A, Haslam SM. The GlycanBuilder: a fast, intuitive and flexible software tool for building and displaying glycan structures. Source Code Biol Med. 2007;2:3. doi: 10.1186/1751-0473-2-3. [DOI] [PMC free article] [PubMed] [Google Scholar]
Associated Data
This section collects any data citations, data availability statements, or supplementary materials included in this article.






