Abstract
Chemokines are important players in the migration of leukocytes to sites of injury and are also involved in angiogenesis, development and wound healing. In this study, we performed microarray analyses to identify chemokines that play a role during the inflammatory and repair phase after renal ischemia/reperfusion (I/R) injury and investigated the temporal relationship between chemokine expression, leukocyte accumulation and renal damage/repair. C57Bl/6 mice were subjected to unilateral ischemia for 45 min and sacrificed 3 h, 1 day and 7 days after reperfusion. From ischemic and contralateral kidney, RNA was isolated and hybridized to a microarray. Microarray results were validated with quantitative real-time reverse transcription–PCR (QRT–PCR) on RNA from an independent experiment. (Immuno)histochemical analyses were performed to determine renal damage/repair and influx of leukocytes. Twenty out of 114 genes were up-regulated at one or more reperfusion periods. All these genes were up-regulated 7 days after I/R. Up-regulated genes included CC chemokines MCP-1 and TARC, CXC chemokines KC and MIP-2α, chemokine receptors Ccr1 and Cx3cr1 and related genes like matrix metalloproteinases. Microarray data of 1 and 7 days were confirmed for 17 up-regulated genes by QRT–PCR. (Immuno)histochemical analysis showed that the inflammatory and repair phase after renal I/R injury take place after, respectively, 1 and 7 days. Interestingly, chemokine expression was highest during the repair phase. In addition, expression profiles showed a biphasic expression of all up-regulated CXC chemokines coinciding with the early inflammatory and late repair phase. In conclusion, we propose that temporal expression of chemokines is a crucial factor in the regulation of renal I/R injury and repair.
Keywords: chemokine, I/R, kidney, microarray
Introduction
Renal ischemia/reperfusion (I/R) injury is a major cause of acute (1) and chronic (2) renal failure. Ischemia is caused by a sudden transient drop in blood flow, frequently occurring in shock, sepsis and during transplantation. Despite the progresses made in health care, there are still only supportive therapies available for this major clinical problem. Therefore, more insights into the mechanisms that regulate ischemic injury and post-ischemic repair are needed.
Chemokines are chemotactic cytokines that are well known for their ability to direct the migration and activation of inflammatory cells. Chemokines can be divided into four families based on their amino acid sequence in relation to their cysteine moieties/differences in structure: CC, CXC, CX3C and XC (reviewed in 3). Within these chemokine families, functional homology exists; the CXC chemokines attract mainly polymorphonuclear leukocytes to sites of acute inflammation and the CC chemokines attract mainly mononuclear cells to sites of chronic inflammation (3).
Originally studied for their role in inflammation, it has now become clear that chemokines are also involved in other processes including angiogenesis, homeostasis, development, migration of stem cells and wound healing (4,5). During renal I/R injury, infiltrated leukocytes (6–8) as well as all types of renal cells including the tubular epithelial cells (TEC) (9) start to produce chemokines. In different experimental models of renal injury, the functional role of several of these chemokines has already been investigated (reviewed by Anders et al. 10). In lupus nephritis, for example, blocking the interaction between Ccl2/MCP-1 and Ccr2 (11–13) or neutralizing Cx3cr1 (14) ameliorated the initiation and progression of renal damage. In experimental diabetic nephropathy, Ccl2/MCP-1 deficiency (15, 16) or neutralizing Cxcl10/IP-10 (17) decreased renal damage by reducing the accumulation of macrophages or T cells, respectively. In ischemic renal injury, a protective role of inhibiting Ccl2/MCP-1 signaling (18, 19), neutralizing Cxcl1/KC (20) or Cxcl2/MIP-2 (20) and blocking the chemokine receptor Cx3cr1 (21, 22) during the inflammatory response has been reported.
Although several studies have identified chemokines as participants in renal diseases, there is little information regarding their temporal expression. As tissue damage and repair are dependent on a timely induction and suppression of chemokines and are modulated by the influx of leukocytes, it is important to identify alterations in chemokine expression during renal ischemic injury. Therefore, our aim was to determine the expression of chemokines and their receptors in a self-healing in vivo model of I/R injury during different phases of I/R injury and to investigate the temporal relationship between the altered chemokine expression with renal damage/repair and influx of leukocytes.
Methods
Mice
Seven-week-old male C57Bl/6 mice were purchased from Charles River (Maastricht, The Netherlands) and housed under specific pathogen-free conditions receiving food and water ad libitum. All experimental procedures were approved by the local Animal Care and Use Committee of the University of Amsterdam, The Netherlands.
Renal I/R injury model
Unilateral and bilateral renal I/R injury was induced by clamping, respectively, the right or both renal arteries for 45 min under general anesthesia [0.07 mg per 10 g mouse of fentanyl citrate fluanisone midazolam mixture, containing 1.25 mg ml−1 midazolam (Roche, Mijdrecht, The Netherlands), 0.08 mg ml−1 fentanyl citrate and 2.5 mg ml−1 fluanisone (Janssen Pharmaceuticals, Beerse, Belgium)]. The contralateral (left) or sham-operated kidney was used as control when appropriate. After removal of the clamp, the kidneys were inspected for restoration of blood flow. For analgesic purposes, mice received a subcutaneous injection of 50 μg kg−1 buprenorphin (Temgesic; Schering-Plough, Brussels, Belgium) after closing the abdomen. Mice were sacrificed several time points after surgery. Kidneys were harvested and of each kidney one half was fixed in formalin and embedded in paraffin, and the other half was snap frozen in N2(l) and stored at –80°C until further use.
(Immuno)histochemistry and antibodies
For (immuno)histological examination, 4 μm paraffin sections were cut. Tubular injury was determined on sections stained with periodic acid Schiff after diastase (PasD). Immunohistochemical stainings to detect macrophages, neutrophils, T cells, apoptosis and proliferation were performed using rat anti-mouse F4/80 (Serotec, Oxford, UK), FITC-labeled anti-mouse Ly-6G (BD Biosciences), rabbit anti-human CD3 (clone Sp7; Lab Vision Corp., Fremont, CA, USA), rabbit anti-mouse active caspase 3 (Cell Signaling Technology, Beverly, MA, USA) and rabbit anti-human Ki67 (clone Sp6; Lab Vision Corp.) respectively. Macrophages, neutrophils, T cells and apoptotic and proliferating TEC were counted in the corticomedullar region in 10 randomly chosen, non-overlapping high power fields (×40 magnification).
RNA isolation and quality control
Total RNA was isolated from a one-fourth snap frozen kidney using the TRIzol® reagent (Invitrogen, Breda, The Netherlands) method. The isolated RNA solution was treated with DNAseI (Qiagen, Venlo, The Netherlands) to remove any residual DNA. Subsequently, a RNA cleanup kit (RNeasy; Qiagen) was used to obtain highly purified and concentrated RNA samples.
As high-quality RNA is essential for acquiring good microarray results, the concentration and purity of the RNA were determined with a NanoDrop spectrophotometer ND-1000 (NanoDrop Technologies, Wilmington, DE, USA) and the ribosomal RNA band integrity was determined on an Agilent 2001 BioAnalyzer® (Agilent Technologies, Amstelveen, The Netherlands). RNA samples used for microarray experiments met all of the following criteria: A260/A280 ratio >2.0, A260/A230 ratio >1.7 and a sharp distinction at the small site of both the 18S and 28S ribosomal RNA bands/peaks.
Synthesis, labeling and amplification of cRNA
The TrueLabeling-AMP™ 2.0 kit (SuperArray, Frederick, MD, USA) was used to amplify and label complementary RNA (cRNA) according to the manufacturer's protocol. In short, from 10 μg of starting material (total RNA), complementary DNA (cDNA) was synthesized. Thereafter, cRNA was synthesized and labeled with biotinylated-UTP (Roche) during an incubation of 4 h to yield enough material for one microarray per sample. The obtained cRNA was purified using the ArrayGrade cRNA cleanup kit (SuperArray) and the concentration was determined with a NanoDrop.
Hybridization, detection and data analysis of microarrays
Mouse chemokines and receptors’ pathway-specific Oligo GEArray® microarrays from SuperArray were used. The array membranes were pre-hybridized as described by the manufacturer. Overnight, the membranes were hybridized with 4 μg biotinylated cRNA at 60°C with continuous but slow agitation. After washing, the Chemiluminescent Detection kit from SuperArray was used to visualize the biotinylated cRNA on the membranes. The chemiluminescent array image was captured with a CCD camera (LAS-3000; Fujifilm, Düsseldorf, Germany) and analyzed with the web-based GEArray Expression Analysis Suite (SuperArray). The expression of genes was normalized toward a set of housekeeping genes (Ppia, B2m and Hspcb) present on the microarrays. The data are presented as fold increase in ischemic kidney compared with the contralateral kidney. The expression was considered to be up-regulated when the fold increase was ≥2 and statistically significant.
Quantitative real-time reverse transcription–PCR analysis
The genes up-regulated 1 and/or 7 days after I/R injury were selected to confirm their upregulation by quantitative real-time PCR on an independent data set obtained from mice subjected to bilateral renal I/R injury or sham surgery. Primer sequences were designed based on Primer3 software (23) and obtained from the Universal ProbeLibrary Assay Design Center (Roche). All primers (Table 1) were synthesized by Sigma (Zwijndrecht, The Netherlands).
Table 1.
Primers used for real-time RT–PCR quantification
| GenBank | Gene | Primer forward | Primer reverse |
| NM_009735 | B2m | cgagacatgtgatcaagcatc | tggatttgtaattaagcaggttca |
| NM_011333 | Ccl2 | catccacgtgttggctca | gatcatcttgctggtgaatgagt |
| NM_011333 | Ccl6 | ctccaagactgccatttcatt | gcgacgatcttctttttcca |
| NM_011333 | Ccl8 | tcagcccagagaagctgact | gggggatcttcagctttagtaca |
| NM_011331 | Ccl12 | ccaccatcagtcctcaggtatt | cggacgtgaatcttctgctt |
| NM_011332 | Ccl17 | tgcttctggggacttttctg | gaatggcccctttgaagtaa |
| NM_009912 | Ccr1 | ctgtgtggacaaaatactctgga | tggggtaggcttctgtgaaa |
| NM_024217 | Cklfsf3 | atggcagggtttgtgctg | tggagatgacgaagtagatgagg |
| NM_133978 | Cklfsf7 | accagagtggcctggtagc | tgtaggacagccacaagctc |
| NM_007778 | Csf1 | ggctccaggaactctccaata | atggaaagttcggacacagg |
| NM_009987 | Cx3cr1 | cgtgagactgggtgagtgac | aaggaggtggacatggtgag |
| NM_008176 | Cxcl1 | ataatgggcttttacattctttaacc | agtcctttgaacgtctctgtcc |
| NM_009140 | Cxcl2 | ccctggttcagaaaatcatcc | cttccgttgagggacagc |
| NM_019932 | Cxcl4 | catctcctctgggatccatct | ttttcctcccattcttcagg |
| NM_021274 | Cxcl10 | gctgccgtcattttctgc | tctcactggcccgtcatc |
| NM_008302 | Hspcb | tccctcatcatcaacactttct | gctctcatatcgaatcttgtcca |
| NM_008360 | Il18 | catgtacaaagacagtgaagtaagagg | tttcaggtggatccatttcc |
| NM_008610 | MMP2 | ataacctggatgccgtcgt | tcacgctcttgagactttgg |
| NM_010810 | MMP7 | ttctgctttgtgtgtctgctg | ccttctttgttttagagtcatgagg |
| NM_010851 | Myd88 | tggccttgttagaccgtga | aagtatttctggcagtcctcctc |
| NM_021297 | Tlr4 | ggactctgatcatggcactg | ctgatccatgcattggtaggt |
| NM_008907 | Ppia | tgccagggtggtgactttac | gatgccaggacctgtatgct |
| NM_008510 | Xcl1 | tcctgactttcctgggagtct | ccgctgggtttgtaagttca |
cDNA was synthesized using the M-MLV RT enzyme kit (Invitrogen), oligo dT primers (Sigma) and RNAse inhibitor (Applied Biosystem, Nieuwerkerk a/d IJssel, The Netherlands) according to the manufacturer's protocol. Quantitative real-time reverse transcription PCR (QRT–PCR) was performed on a LightCycler® 480 System (Roche) using LightCycler® 480 SYBR Green I Master mix (Roche). Forty-five cycles were carried out at an annealing temperature of 56–58°C. The starting concentrations of messenger RNAs (mRNAs) were calculated by the LinRegPCR program (version 9.30 beta) as described previously (24). The expression of genes was normalized toward a set of housekeeping genes (Ppia, B2m and Hspcb). The data are presented as fold increase in ischemic kidney compared with sham kidney. The expression was considered to be up-regulated when the fold increase was ≥2 and statistical significant.
Chemokine ELISA
Kidneys obtained from mice subjected to bilateral renal I/R injury were homogenized in PBS containing 1% Triton X-100, 4 mM EDTA and 1% protease inhibitor cocktail (P8340, Sigma). Concentrations of the chemokines Ccl2/MCP-1 and Cxcl1/KC were measured in renal homogenates by specific ELISA according to the manufacturer's instructions (R&D, Minneapolis, MN, USA). Chemokine levels were corrected for the amount of protein present using the BioRad protein assay (BioRad Laboratories, Veenendaal, The Netherlands) with IgG as standard.
Statistical analysis
Results are expressed as mean ± SEM, unless mentioned otherwise. Data were analyzed by Mann–Whitney U-test or unpaired Student's t-test when appropriate. Values of P ≤ 0.05 were considered statistically significant. All statistical analyses were performed using GraphPad Prism4 (GraphPad Software, San Diego, CA, USA).
Results
Microarray analysis of post-ischemic kidney
Microarray experiments were performed to determine the temporal expression of several genes involved in renal I/R injury. The analysis was limited to genes that express chemokines and chemokine receptors or related genes like growth factors and cytokines. Of the total of 114 genes present on the microarray, 20 were up-regulated at one or more of the reperfusion periods. These transcripts were sorted according to the reperfusion time as illustrated in the Venn diagram (Fig. 1). In Table 2, the up-regulated genes are expressed as a fold change compared with the contralateral kidney. The up-regulated genes included CC chemokines (e.g. Ccl2/MCP-1 and Ccl17/TARC), CXC chemokines (e.g. Cxcl1/KC and Cxcl2/MIP-2α), chemokine receptors (Ccr1 and Cx3cr1) and other related genes like CSF1, matrix metalloproteinases (MMPs), TLR4 and the TLR adaptor molecule MyD88 gene. Interestingly, all these genes were up-regulated 7 days after I/R injury. In addition, six of these genes were up-regulated 1 day after ischemia and two genes (Cxcl2/MIP-2α and Cxcl10/IP-10) were up-regulated at all reperfusion periods (i.e. 3 h, 1 and 7 days). We could not detect any down-regulated genes in the ischemic kidney.
Fig. 1.
Venn diagram illustrating the number of genes that were up-regulated ≥2-fold at each of the three reperfusion periods examined.
Table 2.
Up-regulated genes 3 h, 1 day or 7 days after renal I/R injury, expressed as a fold change compared with the contralateral kidney (n = 4)
| Group | Symbol | Synonym | Time after I/R injury |
||
| 3 h | 1 day | 7 days | |||
| CC chemokines | Ccl2 | MCP-1 | 13.8 | 24.6 | |
| Ccl6 | C10 | 12.2 | |||
| Ccl8 | MCP-2 | 26.8 | |||
| Ccl12 | MCP-5 | 3.2 | |||
| Ccl17 | TARC | 34.5 | |||
| CXC chemokines | Cxcl1 | KC | 14.9 | 14.0 | |
| Cxcl2 | MIP-2α | 4.2 | 30.0 | 147.4 | |
| Cxcl4 | PF4 | 26.1 | |||
| Cxcl10 | IP-10 | 3.9 | 8.9 | 14.2 | |
| Other chemokines | Cklfsf3 | Cmtm3 | 11.6 | ||
| Cklfsf7 | Cmtm7 | 5.8 | |||
| Xcl1 | Lymphotactin | 10.6 | |||
| Chemokine receptors | Ccr1 | MIP-1α/RANTES receptor | 28.8 | ||
| Cx3cr1 | Fractalkine receptor | 10.3 | |||
| Other | CSF1 | M-CSF | 5.6 | 8.6 | |
| IL18 | IFNγ-inducing factor | 2.8 | 2.2 | ||
| MMP2 | 72kDa type IV collagenase | 7.8 | |||
| MMP7 | Matrilysin, uterine | 220.1 | |||
| MyD88 | 2.8 | ||||
| TLR4 | 31.8 | ||||
Validation of microarray results by QRT–PCR
The microarray data of 1 day and 7 days after I/R injury were validated by means of QRT–PCR on mRNA obtained from an independent experiment. Although the extent of change in gene expression is not entirely the same, in general the gene expression levels determined by microarray analysis corresponded well with QRT–PCR data. Seventeen out of the 20 genes up-regulated 7 days after ischemic injury could be confirmed (Fig. 2). One day after ischemic injury, we could validate two out of the six genes. Interestingly, also with QRT–PCR, we observed the highest expression of the majority of up-regulated genes 7 days after ischemic injury. These results confirmed the microarray data obtained in the present study.
Fig. 2.
Validation of the microarray results by quantitative real-time reverse transcription PCR (QRT–PCR). Expression of the up-regulated CC chemokines, chemokine receptors, CXC chemokines, other chemokines and other genes 1 day (hatched bar) and 7 days (solid bar) after ischemic injury compared with sham (open bar). Seventeen out of the 20 genes had an increased expression 7 days after ischemic injury. Four of these genes were also up-regulated 1 day after ischemic injury. MyD88 and TLR4 (other genes) had no altered expression after I/R injury; IL18 expression was down-regulated 1 day after I/R injury. Data are expressed as mean ± SEM, n = 7–8. *P ≤ 0.05.
Characterization of renal I/R injury
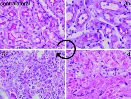
To correlate the chemokine expression with tubular damage and repair and the influx of different subsets of leukocytes, (immuno)histological stainings were performed. Tubular damage 3 h, 1 day and 7 days after unilateral I/R injury was visualized with PasD staining (Fig. 3). Hallmarks of tubular damage are dilation, loss of brush border, necrosis and cast deposition. Three hours after I/R, there is dilation of the tubules and edema in the interstitial space. After 1 day, the tubular damage is increased, the tubules show extensive coagulative necrosis characterized by the presence of numerous ghost cells in the tubules, loss of nuclei and decrease of staining. Seven days after I/R injury, tubules are still abnormal although coagulative necrosis is much less pronounced compared with day 1. Important is the chaotic arrangement of TEC that are dedifferentiated (absence of polarization, absence of brush border, high nuclear/cytoplasm ratio) and the presence of numerous mitotic figures, indicating high proliferation and hence reparative processes within the tubules. Indeed, proliferation of TEC was most abundant 7 days after I/R injury (Fig. 4f) as determined by staining for Ki67 (Fig. 4a). The number of apoptotic TEC was increased at all stages after I/R injury with the highest number of apoptotic TEC 7 days after I/R injury (Fig. 4e) as shown by quantitative analysis of active caspase-3 immunostaining (Fig. 4a).
Fig. 3.
Histological characteristics. Representative pictures of PasD-stained contralateral (unaffected) kidney and kidney 3 hours (3h), 1 day (1d) and 7 days (7d) after I/R injury. The first hallmarks of renal injury are tubular dilation and interstitial edema (3h), thereafter loss of brush border and extensive coagulative necrosis in the tubules is observed (1d), followed by a decrease in tubular necrosis and a chaotic arrangement of dedifferentiated TEC and presence of numerous mitotic figures (7d). Original magnification: ×40.
Fig. 4.
Quantification of infiltrating leukocytes and TEC apoptosis and proliferation. (a) Representative pictures of neutrophil (Ly6), macrophage (F4/80), T cell (CD3), apoptosis (active caspase-3) and proliferation (Ki67) immunostaining of contralateral kidney and kidneys 3 h, 1 day and 7 days after I/R injury. Original magnification: ×40. (b) Neutrophils are increased at all three reperfusion periods, with the highest numbers 1 day after ischemic injury. (c) Macrophages are only increased 7 days after ischemic injury. (d) T cells are present in low amounts at all reperfusion periods, and only significantly increased 7 days after ischemic injury. (e) The number of apoptotic TEC is significantly increased at all three reperfusion periods and peaks 7 days after ischemic injury. (f) The number of proliferating TEC is only significantly increased 7 days after ischemic injury. Positive cells are given per high power field (hpf, ×40 magnification). Data are expressed as mean ± SEM, n = 4. *P ≤ 0.05.
The influx of neutrophils, macrophages and T cells was determined by immunohistochemical staining (Fig. 4a). Neutrophils were the first inflammatory cells after I/R injury with a peak after 1 day (Fig. 4b). Macrophages were almost not detectable in the ischemic kidney until 7 days after I/R injury (Fig. 4c). T cells could be detected at very low levels at all time points, but were only significantly increased 7 days after I/R injury (Fig. 4d).
Biphasic expression of CXC chemokines and monophasic expression of CC chemokines after I/R injury
Chemokines are mainly known for their ability to attract inflammatory cells to sites of injury. Since we observed the highest levels of chemokine expression at the stage of active repair (i.e. 7 days after ischemic injury), we wanted to examine the temporal chemokines expression pattern in more detail. The expression of the CC and CXC chemokines at additional reperfusion periods after ischemic injury was evaluated to determine if there is a biphasic expression coinciding with the inflammatory and reparative response after ischemic injury.
In Fig. 5, the expression patterns of the up-regulated CC and CXC chemokines after renal I/R injury are depicted. The four CC chemokines were expressed in a monophasic fashion with a clear peak 7 days after ischemic injury. In contrast, the CXC chemokines had a biphasic expression after ischemic injury with the first peak in the early (i.e. inflammatory) phase and the second peak during the reparative phase. The CXC chemokines Cxcl1/KC, Cxcl2/MIP-2α and Cxcl10/IP-10 had the highest expression during the inflammatory phase. The influx of neutrophils occurred along with the early peak of CXC chemokine mRNA expression. The kinetics of the CC chemokines mRNA expression paralleled those of the influx of macrophages into the interstitium.
Fig. 5.
Expression profile of CC and CXC chemokines up to 14 days after renal ischemic injury. To obtain an expression profile of the up-regulated CC and CXC chemokines during the whole course of renal ischemic injury and post-ischemic repair, additional reperfusion periods (2 h, 1, 3, 7 and 14 days) were analyzed by QRT–PCR. CC chemokine expression peaked only at 7 days after I/R injury. CXC chemokine expression was biphasic, with a peak during the early inflammatory response (2 h and 1 day) and a second peak during the later repair phase (3 and 7 days). Data are expressed as mean ± SEM, n = 6–8.
Ccl2/MCP-1 and Cxcl1/KC protein levels
To further examine whether the expression patterns of selected chemokines identified by microarray and QRT–PCR studies correlated with protein levels, we next performed ELISA on total kidney homogenate. Since renal I/R injury is characterized by the early influx of neutrophils and a later monocyte influx, we determined protein levels of Cxcl1/KC and Ccl2/MCP-1 that are potent chemoattractants for neutrophils (25) and monocytes (26), respectively. In accordance with our mRNA data, Ccl2/MCP-1 protein level is highest 7 days after renal ischemia (Fig. 6a). Cxcl1/KC is significantly increased 1 and 7 days after renal ischemia compared with sham (Fig. 6b). Furthermore, in line with our mRNA data, Cxcl1/KC protein levels peak 1 day after renal I/R.
Fig. 6.
Renal Ccl2/MCP-1 and Cxcl1/KC protein levels after ischemic injury. (a) Renal Ccl2/MCP-1 protein levels were significantly up-regulated 7 days after ischemic injury (solid bars) compared with sham (open bar) and 1-day post-ischemia (hatched bars) kidney. (b). Renal Cxcl1/KC protein levels were significantly up-regulated 1 (hatched bar) and 7 (solid bar) days after renal ischemia compared with sham kidney (open bar). Data are expressed as mean ± SEM, n = 4 (sham) and n = 9 (1 and 7 days). *P ≤ 0.05 compared with sham.
Discussion
In the present study, we identified chemokine, chemokine receptor and chemokine-related genes whose expression is affected in renal I/R injury. Instead of using whole genome microarrays for which data analysis could be complicated, we conducted pathway-specific oligonucleotide arrays that contain 114 chemokines or related genes. Using QRT–PCR, we validated the microarray results and finally obtained 18 genes with an altered expression 1 and/or 7 days after I/R injury, of which the majority of these genes were chemokines. Interestingly, all genes were significantly up-regulated during the repair phase, suggesting that they play a major role in the resolution of ischemic injury.
Chemokines promote cell infiltration and activation observed in many disease states (27). In addition, chemokines are involved in other processes including angiogenesis, homeostasis, development, migration of stem cells and wound healing (4, 5). Therefore, chemokines are important players in the initiation and progression of the inflammatory response and in addition might have a great impact in the reparative stage taking place after tissue injury. In the present study, we found a tight temporal relationship between chemokine expression and renal repair. Usually, chemokines are regarded as playing an essential role in mediating leukocyte recruitment and activation during initiation as well as progression of renal inflammation. The current study however demonstrates that both CC and CXC chemokines are mainly expressed during the reparative phase of renal I/R injury. Additionally, we found that the time of influx of the different types of leukocytes correlated with the upregulation of certain chemokines.
In general, at an inflammatory or diseased site, neutrophils are the first leukocytes to be recruited. In line with previous studies by our group (28–32), we currently found that neutrophils are the first inflammatory cells infiltrating the damaged site in renal I/R injury. These recruited neutrophils can not only clear dead cells and debris but also amplify renal tissue injury (33). The ELR+ CXC chemokines (posses the ELR amino acid motif) are the main neutrophil chemoattractants and play an important role in regulating neutrophil chemotaxis and activation in ischemic tissue (34). Among them are Cxcl1/KC and Cxcl2/MIP-2α, which are up-regulated early after ischemic injury. The early expression of Cxcl1/KC was already described in 1991 by Safirstein et al. (35). Cxcl1/KC and Cxcl2/MIP-2α have already been described as being important in the onset of inflammatory response after renal I/R by regulating neutrophil influx (20). In addition, the chemokine receptor Ccr1 is of functional relevance for neutrophil recruitment during I/R (36).
Macrophages are believed to play a dual role in kidney injury. Although widely recognized as contributing to the pathogenesis of renal fibrosis, glomerular and interstitial macrophages may also play beneficial, reparative and matrix remodeling roles during tissue repair. Indeed, in this study, we see significantly more macrophages in the repair phase (t = 7 days) of renal I/R. In addition, it has previously been shown that adoptive macrophage transfer in the regenerative period not only leads to better tissue preservation but also contributes to increased regeneration in renal I/R injury (37). However, decreasing Ccr2-positive macrophage by administering an antagonist for Ccl2/Mcp-1 early during renal I/R injury is proposed as a profitable therapy for I/R injury in the kidney (18). In addition, Ccr2-deficient mice had decreased F4/80-positive cell infiltration and were protected from acute tubular necrosis in renal I/R injury (19). The majority of the macrophages express the receptor Cx3cr1 (38), suggesting that this receptor might mediate macrophage trafficking to the kidney. In our I/R model, Cx3cr1 expression is significantly increased 7 days after injury, the peak moment of macrophage influx. Furuichi et al. (38) has shown that Cx3cr1 is up-regulated at later stages in renal I/R injury and that Cx3cr1 deficiency attenuates macrophage influx 7 days after renal I/R injury. In contrast, Oh et al. (21) concluded that early ischemic acute tubular necrosis (ATN) is partially a Cx3cr1-dependent process as serum creatinine, ATN score and macrophage infiltration are reduced by Cx3cr1 inhibition at early stages of post-ischemic reperfusion. It is important to acknowledge the heterogeneity of macrophages; functionally distinct subpopulations may exist in the same tissue and play critical roles in both the initiation and recovery phases (reviewed in 39).
The numbers of T cells in the post-ischemic kidney are low, but they are significantly increased 7 days after renal I/R injury. This upregulation coincides with an increased expression of several chemokines (e.g. Cxcl10/IP-10 and Ccl17/TARC) involved in T-cell chemotaxis. Direct evidence supporting a role of T cells as both mediators and protectors of I/R in rodent models is reviewed by Huang et al. (40). Recently, it has been shown that kidney ischemia induces long-term T-cell infiltration (41). However, the role of chemokines in T-cell influx in post-ischemic kidneys has not yet been studied in detail.
Our data suggest that chemokines are not solely linked to the acute inflammatory response and the infiltration of different subsets of leukocytes in the post-ischemic kidney. Especially, the high expression of chemokines during the repair phase (t = 7 days) and the fact that all up-regulated CXC chemokines had a biphasic expression coinciding with the acute and reparative phases after renal I/R injury led us to propose a pleiotropic role of chemokines during the different phases after an ischemic insult in the kidney. For instance, hepatocyte growth factor (HGF)-mediated Cxcl1/KC production has been shown to influence the normal effects of HGF on epithelial morphogenesis, suggesting that Cxcl1/KC can act in an autocrine fashion in these cells, thereby playing a beneficial role in the repair process as well (42). In addition to Cxcl1/KC, Cxcl2/MIP-2α has also been shown to stimulate proliferation of epithelial cells (43). Conversely, Furuichi et al. (44) showed that the induction of Cxcl10/IP-10 in ischemic kidney inhibits tubular cell proliferation. This controversy can be explained by the presence or absence of the ELR motif in CXC chemokines. In general, ELR+ CXC chemokines (e.g. Cxcl1/KC and Cxcl2/MIP-2) have angiogenic properties while ELR– CXC chemokines (e.g. Cxcl4/PF4 and Cxcl10/IP-10) behave as angiostatic (4). Besides, CXC chemokines influence proliferation in several cell types including hepatocytes (45), gastric epithelial cells (46) and intestinal epithelial (crypt) cells (47). Apparently, chemokines integrate inflammatory responses and reparative processes that play crucial role in renal I/R injury. Interestingly, during the reparative phase, there is presumably a tight balance between ELR+ and ELR– CXC chemokines to regulate epithelial cell proliferation.
The chemokines Ccl6, Ccl8, Ccl12, Cxcl4, Cklfsf3, Cklfsf7 and Xcl1 are not discussed here. Their role in renal I/R injury and repair remains to be elucidated. Based on their expression profile we hypothesize that these chemokines are involved in the repair of the post-ischemic kidney. In addition, some other genes were up-regulated after renal I/R injury. Among them are MMP2 and MMP7. In general, MMPs degrade the extracellular matrix (ECM), however, recently new biological roles of MMPs by proteolytic action on a variety of non-ECM substrates have been described (reviewed in 48).The increased expression of both MMPs during the reparative phase after renal I/R injury suggests a role in remodeling tubular structure.
Functional studies in animal models of renal inflammatory diseases have generated conflicting results with regard to the role of chemokines (reviewed by Anders et al. 10, KI 2003). Our data indicate that these contradictory results could merely reflect the time points at which the chemokines were targeted. The analysis of temporal and spational chemokines expression will therefore be crucial for the design of effective therapies.
In conclusion, our study shows the expression profile of chemokines and related genes after renal I/R injury. Interestingly, all these chemokines are significantly increased during the reparative phase. A biphasic expression, coinciding with the acute inflammatory and the later reparative phase, of the CXC chemokines was observed. This study provides an important resource for exploring new therapeutic targets for the treatment of ischemic kidney injury and indicates that effective therapeutic interventional strategies will strongly depend on the exact time point at which the intervention takes place.
Funding
Dutch Kidney Foundation (C03.2059 to I.S., C06-6023 to L.B.); Dutch Organization for Scientific Research (916.56.168 to G.S. and J.L.).
Disclosure
None declared.
Acknowledgments
Part of this study has been presented in abstract form during the Renal Week 2007 in San Francisco.
References
- 1.Agrawal M, Swartz R. Acute renal failure. Am. Fam. Physician. 2000;61:2077. [PubMed] [Google Scholar]
- 2.Preston RA, Epstein M. Ischemic renal disease: an emerging cause of chronic renal failure and end-stage renal disease. J. Hypertens. 1997;15:1365. doi: 10.1097/00004872-199715120-00001. [DOI] [PubMed] [Google Scholar]
- 3.Charo IF, Ransohoff RM. The many roles of chemokines and chemokine receptors in inflammation. N. Engl. J. Med. 2006;354:610. doi: 10.1056/NEJMra052723. [DOI] [PubMed] [Google Scholar]
- 4.Le Y, Zhou Y, Iribarren P, Wang J. Chemokines and chemokine receptors: their manifold roles in homeostasis and disease. Cell Mol. Immunol. 2004;1:95. [PubMed] [Google Scholar]
- 5.Pelus LM, Fukuda S. Chemokine-mobilized adult stem cells; defining a better hematopoietic graft. Leukemia. 2008;22:466. doi: 10.1038/sj.leu.2405021. [DOI] [PMC free article] [PubMed] [Google Scholar]
- 6.Scapini P, Lapinet-Vera JA, Gasperini S, Calzetti F, Bazzoni F, Cassatella MA. The neutrophil as a cellular source of chemokines. Immunol. Rev. 2000;177:195. doi: 10.1034/j.1600-065x.2000.17706.x. [DOI] [PubMed] [Google Scholar]
- 7.Yang L, Mosmann T. Synthesis of several chemokines but few cytokines by primed uncommitted precursor CD4 T cells suggests that these cells recruit other immune cells without exerting direct effector functions. Eur. J. Immunol. 2004;34:1617. doi: 10.1002/eji.200424939. [DOI] [PubMed] [Google Scholar]
- 8.Ciesielski CJ, Andreakos E, Foxwell BM, Feldmann M. TNFalpha-induced macrophage chemokine secretion is more dependent on NF-kappaB expression than lipopolysaccharides-induced macrophage chemokine secretion. Eur. J. Immunol. 2002;32:2037. doi: 10.1002/1521-4141(200207)32:7<2037::AID-IMMU2037>3.0.CO;2-I. [DOI] [PubMed] [Google Scholar]
- 9.Segerer S, Nelson PJ, Schlondorff D. Chemokines, chemokine receptors, and renal disease: from basic science to pathophysiologic and therapeutic studies. J. Am. Soc. Nephrol. 2000;11:152. doi: 10.1681/ASN.V111152. [DOI] [PubMed] [Google Scholar]
- 10.Anders HJ, Vielhauer V, Schlondorff D. Chemokines and chemokine receptors are involved in the resolution or progression of renal disease. Kidney Int. 2003;63:401. doi: 10.1046/j.1523-1755.2003.00750.x. [DOI] [PubMed] [Google Scholar]
- 11.Zoja C, Corna D, Benedetti G, et al. Bindarit retards renal disease and prolongs survival in murine lupus autoimmune disease. Kidney Int. 1998;53:726. doi: 10.1046/j.1523-1755.1998.00804.x. [DOI] [PubMed] [Google Scholar]
- 12.Hasegawa H, Kohno M, Sasaki M, et al. Antagonist of monocyte chemoattractant protein 1 ameliorates the initiation and progression of lupus nephritis and renal vasculitis in MRL/lpr mice. Arthritis Rheum. 2003;48:2555. doi: 10.1002/art.11231. [DOI] [PubMed] [Google Scholar]
- 13.Shimizu S, Nakashima H, Masutani K, et al. Anti-monocyte chemoattractant protein-1 gene therapy attenuates nephritis in MRL/lpr mice. Rheumatology (Oxford) 2004;43:1121. doi: 10.1093/rheumatology/keh277. [DOI] [PubMed] [Google Scholar]
- 14.Inoue A, Hasegawa H, Kohno M, et al. Antagonist of fractalkine (CX3CL1) delays the initiation and ameliorates the progression of lupus nephritis in MRL/lpr mice. Arthritis Rheum. 2005;52:1522. doi: 10.1002/art.21007. [DOI] [PubMed] [Google Scholar]
- 15.Chow FY, Nikolic-Paterson DJ, Ma FY, Ozols E, Rollins BJ, Tesch GH. Monocyte chemoattractant protein-1-induced tissue inflammation is critical for the development of renal injury but not type 2 diabetes in obese db/db mice. Diabetologia. 2007;50:471. doi: 10.1007/s00125-006-0497-8. [DOI] [PubMed] [Google Scholar]
- 16.Chow FY, Nikolic-Paterson DJ, Ozols E, Atkins RC, Rollin BJ, Tesch GH. Monocyte chemoattractant protein-1 promotes the development of diabetic renal injury in streptozotocin-treated mice. Kidney Int. 2006;69:73. doi: 10.1038/sj.ki.5000014. [DOI] [PubMed] [Google Scholar]
- 17.Panzer U, Steinmetz OM, Reinking RR, et al. Compartment-specific expression and function of the chemokine IP-10/CXCL10 in a model of renal endothelial microvascular injury. J. Am. Soc. Nephrol. 2006;17:454. doi: 10.1681/ASN.2005040364. [DOI] [PubMed] [Google Scholar]
- 18.Furuichi K, Wada T, Iwata Y, et al. Gene therapy expressing amino-terminal truncated monocyte chemoattractant protein-1 prevents renal ischemia-reperfusion injury. J. Am. Soc. Nephrol. 2003;14:1066. doi: 10.1097/01.asn.0000059339.14780.e4. [DOI] [PubMed] [Google Scholar]
- 19.Furuichi K, Wada T, Iwata Y, et al. CCR2 signaling contributes to ischemia-reperfusion injury in kidney. J. Am. Soc. Nephrol. 2003;14:2503. doi: 10.1097/01.asn.0000089563.63641.a8. [DOI] [PubMed] [Google Scholar]
- 20.Miura M, Fu X, Zhang QW, Remick DG, Fairchild RL. Neutralization of Gro alpha and macrophage inflammatory protein-2 attenuates renal ischemia/reperfusion injury. Am. J. Pathol. 2001;159:2137. doi: 10.1016/s0002-9440(10)63065-9. [DOI] [PMC free article] [PubMed] [Google Scholar]
- 21.Oh DJ, Dursun B, He Z, et al. Fractalkine receptor (CX3CR1) inhibition is protective against ischemic acute renal failure in mice. Am. J. Physiol. Renal Physiol. 2008;294:F264. doi: 10.1152/ajprenal.00204.2007. [DOI] [PubMed] [Google Scholar]
- 22.Fiorina P, Ansari MJ, Jurewicz M, et al. Role of CXC chemokine receptor 3 pathway in renal ischemic injury. J. Am. Soc. Nephrol. 2006;17:716. doi: 10.1681/ASN.2005090954. [DOI] [PubMed] [Google Scholar]
- 23.Rozen S, Skaletsky H. Primer3 on the WWW for general users and for biologist programmers. Methods Mol. Biol. 2000;132:365. doi: 10.1385/1-59259-192-2:365. [DOI] [PubMed] [Google Scholar]
- 24.Ramakers C, Ruijter JM, Deprez RH, Moorman AF. Assumption-free analysis of quantitative real-time polymerase chain reaction (PCR) data. Neurosci. Lett. 2003;339:62. doi: 10.1016/s0304-3940(02)01423-4. [DOI] [PubMed] [Google Scholar]
- 25.Bozic CR, Kolakowski LF, Jr, Gerard NP, et al. Expression and biologic characterization of the murine chemokine KC. J. Immunol. 1995;154:6048. [PubMed] [Google Scholar]
- 26.Lu B, Rutledge BJ, Gu L, et al. Abnormalities in monocyte recruitment and cytokine expression in monocyte chemoattractant protein 1-deficient mice. J. Exp. Med. 1998;187:601. doi: 10.1084/jem.187.4.601. [DOI] [PMC free article] [PubMed] [Google Scholar]
- 27.Rossi D, Zlotnik A. The biology of chemokines and their receptors. Annu. Rev. Immunol. 2000;18:217. doi: 10.1146/annurev.immunol.18.1.217. [DOI] [PubMed] [Google Scholar]
- 28.Pulskens WP, Teske GJ, Butter LM, et al. Toll-like receptor-4 coordinates the innate immune response of the kidney to renal ischemia/reperfusion injury. PLoS ONE. 2008;3:e3596. doi: 10.1371/journal.pone.0003596. [DOI] [PMC free article] [PubMed] [Google Scholar]
- 29.Roelofs JJ, Rouschop KM, Leemans JC, et al. Tissue-type plasminogen activator modulates inflammatory responses and renal function in ischemia reperfusion injury. J. Am. Soc. Nephrol. 2006;17:131. doi: 10.1681/ASN.2005010089. [DOI] [PubMed] [Google Scholar]
- 30.Leemans JC, Stokman G, Claessen N, et al. Renal-associated TLR2 mediates ischemia/reperfusion injury in the kidney. J. Clin. Invest. 2005;115:2894. doi: 10.1172/JCI22832. [DOI] [PMC free article] [PubMed] [Google Scholar]
- 31.Stokman G, Leemans JC, Claessen N, Weening JJ, Florquin S. Hematopoietic stem cell mobilization therapy accelerates recovery of renal function independent of stem cell contribution. J. Am. Soc. Nephrol. 2005;16:1684. doi: 10.1681/ASN.2004080678. [DOI] [PubMed] [Google Scholar]
- 32.Rouschop KM, Roelofs JJ, Claessen N, et al. Protection against renal ischemia reperfusion injury by CD44 disruption. J. Am. Soc. Nephrol. 2005;16:2034. doi: 10.1681/ASN.2005010054. [DOI] [PubMed] [Google Scholar]
- 33.Klausner JM, Paterson IS, Goldman G, et al. Postischemic renal injury is mediated by neutrophils and leukotrienes. Am. J. Physiol. 1989;256:F794. doi: 10.1152/ajprenal.1989.256.5.F794. [DOI] [PubMed] [Google Scholar]
- 34.Bizzarri C, Beccari AR, Bertini R, Cavicchia MR, Giorgini S, Allegretti M. ELR+ CXC chemokines and their receptors (CXC chemokine receptor 1 and CXC chemokine receptor 2) as new therapeutic targets. Pharmacol. Ther. 2006;112:139. doi: 10.1016/j.pharmthera.2006.04.002. [DOI] [PubMed] [Google Scholar]
- 35.Safirstein R, Megyesi J, Saggi SJ, et al. Expression of cytokine-like genes JE and KC is increased during renal ischemia. Am. J. Physiol. 1991;261:F1095. doi: 10.1152/ajprenal.1991.261.6.F1095. [DOI] [PubMed] [Google Scholar]
- 36.Reichel CA, Khandoga A, Anders HJ, Schlondorff D, Luckow B, Krombach F. Chemokine receptors Ccr1, Ccr2, and Ccr5 mediate neutrophil migration to postischemic tissue. J. Leukoc. Biol. 2006;79:114. doi: 10.1189/jlb.0605337. [DOI] [PubMed] [Google Scholar]
- 37.Vinuesa E, Hotter G, Jung M, Herrero-Fresneda I, Torras J, Sola A. Macrophage involvement in the kidney repair phase after ischaemia/reperfusion injury. J. Pathol. 2008;214:104. doi: 10.1002/path.2259. [DOI] [PubMed] [Google Scholar]
- 38.Furuichi K, Gao JL, Murphy PM. Chemokine receptor CX3CR1 regulates renal interstitial fibrosis after ischemia-reperfusion injury. Am. J. Pathol. 2006;169:372. doi: 10.2353/ajpath.2006.060043. [DOI] [PMC free article] [PubMed] [Google Scholar]
- 39.Ricardo SD, van Goor H, Eddy AA. Macrophage diversity in renal injury and repair. J. Clin. Invest. 2008;118:3522. doi: 10.1172/JCI36150. [DOI] [PMC free article] [PubMed] [Google Scholar]
- 40.Huang Y, Rabb H, Womer KL. Ischemia-reperfusion and immediate T cell responses. Cell. Immunol. 2007;248:4. doi: 10.1016/j.cellimm.2007.03.009. [DOI] [PMC free article] [PubMed] [Google Scholar]
- 41.Ascon M, Ascon DB, Liu M, et al. Renal ischemia-reperfusion leads to long term infiltration of activated and effector-memory T lymphocytes. Kidney Int. 2009;75:526. doi: 10.1038/ki.2008.602. [DOI] [PMC free article] [PubMed] [Google Scholar]
- 42.Ueland JM, Gwira J, Liu ZX, Cantley LG. The chemokine KC regulates HGF-stimulated epithelial cell morphogenesis. Am. J. Physiol. Renal Physiol. 2004;286:F581. doi: 10.1152/ajprenal.00289.2003. [DOI] [PubMed] [Google Scholar]
- 43.Driscoll KE, Hassenbein DG, Howard BW, et al. Cloning, expression, and functional characterization of rat MIP-2: a neutrophil chemoattractant and epithelial cell mitogen. J. Leukoc. Biol. 1995;58:359. doi: 10.1002/jlb.58.3.359. [DOI] [PubMed] [Google Scholar]
- 44.Furuichi K, Wada T, Kitajikma S, et al. IFN-inducible protein 10 (CXCL10) regulates tubular cell proliferation in renal ischemia-reperfusion injury. Nephron Exp. Nephrol. 2008;109:c29. doi: 10.1159/000135675. [DOI] [PubMed] [Google Scholar]
- 45.Hogaboam CM, Bone-Larson CL, Steinhauser ML, et al. Novel CXCR2-dependent liver regenerative qualities of ELR-containing CXC chemokines. Faseb J. 1999;13:1565. doi: 10.1096/fasebj.13.12.1565. [DOI] [PubMed] [Google Scholar]
- 46.Suzuki H, Mori M, Seto K, et al. Rat CXC chemokine GRO/CINC-1 paradoxically stimulates the growth of gastric epithelial cells. Aliment Pharmacol. Ther. 2000;14(Suppl. 1):94. doi: 10.1046/j.1365-2036.2000.014s1094.x. [DOI] [PubMed] [Google Scholar]
- 47.Sasaki S, Yoneyama H, Suzuki K, et al. Blockade of CXCL10 protects mice from acute colitis and enhances crypt cell survival. Eur. J. Immunol. 2002;32:3197. doi: 10.1002/1521-4141(200211)32:11<3197::AID-IMMU3197>3.0.CO;2-1. [DOI] [PubMed] [Google Scholar]
- 48.Viappiani S, Sariahmetoglu M, Schulz R. The role of matrix metalloproteinase inhibitors in ischemia-reperfusion injury in the liver. Curr. Pharm. Des. 2006;12:2923. doi: 10.2174/138161206777947560. [DOI] [PubMed] [Google Scholar]






