Abstract
The case of an upper oesophageal perforation as a concomitant injury of an isolated fracture of the upper thoracic spine without neurological compromise has not been described so far. A Case report and review of the literature is presented here. Concomitant oesophageal perforations carry a high risk of being missed initially. CT alone can visualize the subtle indirect signs like peri-oesophageal air. The literature revealed that only peri-oesophageal air might be a valid indicator of oesophageal injury. There are no systematic data on thoracic spine fractures with concomitant oesophageal perforations. Mediastinitis secondary to oesophageal perforation might be treated conservatively with endoscopic stent placement rather than surgically. As the radiological signs of concomitant soft tissue injury, like oesophageal perforations, in fractures of the upper thoracic spine are subtle and easily missed initially only anticipation of concomitant injuries by the treating physician based on the trauma mechanism ensures a timely diagnosis.
Keywords: Spine trauma, Extension injury, Esophageal rupture, Esophageal stent, Conservative therapy
Introduction
High-energy collisions in restrained drivers subject the spine to substantial acceleration/deceleration moments. The mechanical effects of a three-point seat belt can add relevant torsional moments. The physician can only hardly anticipate the exact trauma mechanism and its effect on the spine and the surrounding soft tissues from post hoc information.
The diagnostic strategy should not be based solely on the clinical presentation, but also on the energy and the mechanism of the accident. Generally, only a thorough analysis of CT images is the only means to understand the full complexity of the injury. Special attention has to be paid to the usually discrete signs of concomitant injuries.
We report a case of an extension fracture of vertebrae Th3 and Th4 with concomitant perforation of the oesophagus that was overlooked in the initial survey and became clinically obvious when the patient became septic.
Case report
A 58-year-old restrained vehicle driver sustained a high velocity rear impact. Due to the high velocity mechanism of the accident, the patient was transferred from the scene to a level 1 trauma centre by the aero-medical rescue services. Upon arrival in the ER, the patient was mentally alert and complained of severe pain in the chest and the upper thoracic spine. After completion of the trauma protocol, the diagnosis of an extension injury of the thoracic spine with a fracture of thoracic vertebrae 3/4 (Fig. 1) was made. There were no signs or symptoms indicating spinal cord compromise.
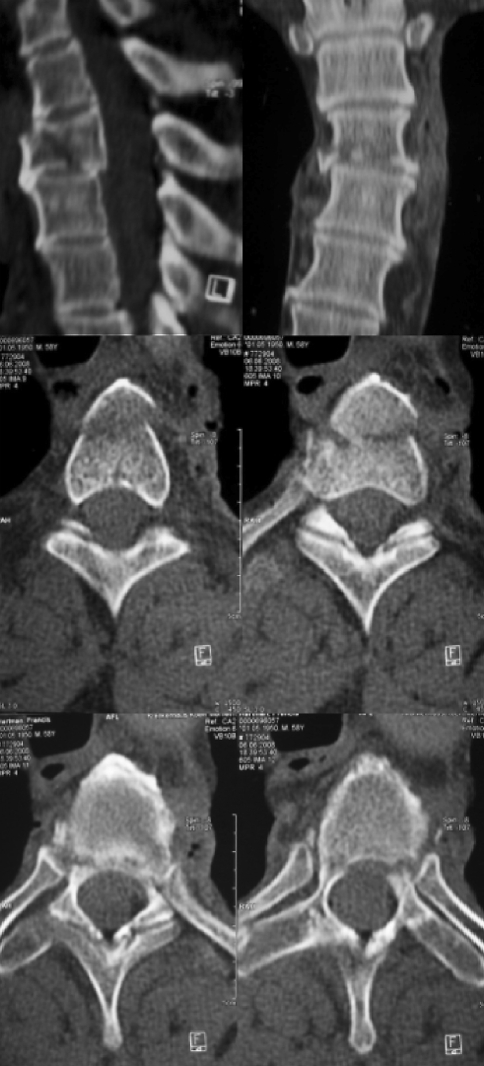
Fig. 1.
Sagittal and coronal profiles of the upper thoracic spine. Unstable fracture type but no spinal canal compromise (upper panel). Sagittal profile of Th3 indicating a coronal split fracture (middle panel) and coronal profile of Th4 with fracture at the pedicle based and the posterior arch (lower panel)
Internal fixation of the fracture using an image guidance system was performed on the day of admission. The postoperative course was initially uneventful. However, the patient recovered only slowly and inflammatory markers remained moderately elevated for a prolonged period of time. On day 6, the patient developed temperatures of up to 40°C. Clinically the patient appeared septic with fever, general malaise, elevated infection parameters, elevated liver enzymes and tachycardia and an episode of dyspnoea. Additionally, the patient reported that he had an infection with tropical malaria 20 years ago with similar symptoms. As there was no evidence of wound related infection, pneumonia or urinary tract infection an additional CT scan of the chest was ordered (Fig. 2). The patient was transferred to the SICU for further workup and stabilisation. A calculated antibiotic therapy with piperacillin/tazobactam and fluconazole was initiated. A reactivated malaria as cause of the condition was ruled out. Analysis of the CT scan of the chest revealed air inclusions and an abscess formation in the paravertebral soft tissues at the level of the vertebral fracture with no evidence of a pneumothorax. Re-evaluation of the first series of CT scans revealed that there too small air inclusions were present at the fracture level (Fig. 3). As these findings suggested an oesophageal rupture, a contrast study of the oesophagus was ordered. The diagnosis of oesophageal rupture was confirmed (Figs. 4, 5). On day 11, an esophageal stent (partially covered, MicroTec, Japan) was placed endoscopically over the site of perforation. The position of the stent was controlled with a CT scan with oral contrast and showed that the perforation was successfully sealed. Concomitant pleural effusions were drained with a chest tube. The further course of the patient was uneventful. The patient was transferred to the general ward on day 19. The inflammatory parameters gradually decreased. On day 30, the antibiotic therapy was discontinued. To protect the stent the patient was kept on liquid enteral nutrition and discharged 37 days after admission. Removal of the stent is scheduled for the eighth week after insertion.
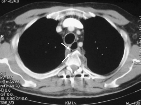
Fig. 2.
Computed tomography of the chest obtained after septic decompensation of the patient with abscess formation and peri-oesophageal air inclusions at the level of the fractured vertebrae
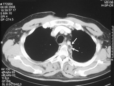
Fig. 3.
Initial computed tomography of the chest. Except for small collections of free air in the peri-oesophageal tissues that were not interpreted adequately during initial survey, there are no other injuries visible
Fig. 4.
Oesophageal contrast study demonstrating the presence of a leak in the oesophagus at the level of the fractured vertebrae
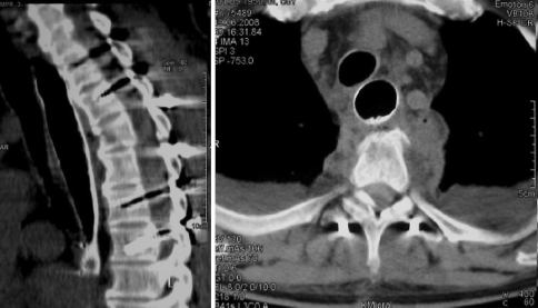
Fig. 5.
Computed tomography of the chest demonstrating correct positioning of the oesophageal stent in the sagittal plane (left panel) and the coronal plane (right panel)
Discussion
High-energy rear impact motor vehicle collisions typically result in distraction–flexion injuries of the thoracolumbar junction in restraint drivers [10]. In those cases where a three-point belt system is deployed the driver is more likely to sustain a burst type fracture [2]. The injury described here with a coronal split fracture of Th3 and fracture at the pedicle base of Th4 with a simultaneous fracture of the lamina at the same level is suggestive of significant rotational moments. The incidence of injuries associated with flexion distraction injuries of the thoracolumbar and lumbar spine is well described. Chapman et al. [5] report an incidence of spinal injuries in 25% and intraabdominal injuries in 30% of patients suffering a thoracolumbar injury. The rate of missed injuries in this population is 3.9 and 0.9%, respectively. However, there is no systematic data on the incidence of concomitant injuries and the rate of delayed diagnosis in fractures of the upper thoracic spine.
The oesophagus is in very close contact to the spinal column between C5 and Th4 [15], i.e. in this area forces acting on the spine are directly transferred to the surrounding tissues. However, the oesophageal rupture can only result from severe distraction of the oesophagus although Maroney et al‘s. [13] report on an oesophageal perforation due to entrapment of the organ between the fractured vertebral body resulting in occlusion of the oesophagus. A perforation secondary to an ischemic event due to an extension mechanism resulting in a disturbed micro perfusion in the as suggested by Stothert et al. [19] and Chilimindris et al. [7] is certainly not an option in the present case. In case of a perforation secondary to ischemia there would have been no free air on the initial CT scan, as a perforation due to ischemic tissue damage will take some time to become radiologically apparent.
The signs and symptoms of this condition are nonspecific and usually are the same that arise from blunt impact to the chest, which typically goes along with this type of injury.
Delayed diagnosis and treatment of oesophageal perforation is a common problem. If undiscovered, an oesophageal perforation inevitably results in mediastinitis and sepsis. The mortality rate of this condition is up to 40% [4, 11, 12, 14, 16, 18, 22]. Cherveniakov et al. [6] emphasise the importance of early treatment, and report a delayed diagnosis due to failure to recognise the clinical symptoms in 55% and due to misinterpretation of X-ray findings in another 25% in their series of 147 patients. Generally, a delay between diagnosis and therapy of more than 24 h has been found to adversely affect the outcome [4, 9].
As clinical findings alone are obviously insufficient to guide the physician, imaging studies are of special importance. White et al. [21] report that extraluminal air was the most useful CT finding which was present in 92% of their patients. Exarhos et al. [8] investigated sensitivity and specificity of CT imaging in acute mediastinitis. In the subgroup of traumatic mediastinitis secondary to iatrogenic perforation, sensitivity and specificity of peri-oesophageal fluid collections and free air were both 100%, albeit there were only seven patients in this subgroup. However, free air in the peri-oesophageal tissues may be the only early visible sign of oesophageal injury that needs to be looked for if an adequate trauma has occurred. Generally, the diagnostic focus in spine traumatology is centred on bony and ligamentous lesions. Relevant concomitant injuries of the surrounding soft tissues are usually not directly visualized with X-ray based imaging techniques. Thus, the most important moment to diagnose soft tissue injury on the initial survey is to anticipate the possibility of concomitant injuries based on the trauma mechanism. Additionally, double reading strategies of CT and X-ray images have been proven to reduce the incidence of missed injuries [1]. Berbaum et al. [3] analysed the ‘satisfaction of search’ effect, i.e. the effect that concomitant injuries are missed after one, often serious, injury has been detected, in diagnostic imaging by systematically adding fractures of different severity to the image collection of multiple trauma patients. Interestingly, the detection of subtle test fractures was substantially reduced when fractures of low morbidity were added, whereas the ‘satisfaction of search effect’ was absent if the added fractures were associated with high morbidity. It can be assumed that there is a tendency towards missing discrete indirect signs of soft tissue injury in the initial survey of spinal trauma patients.
The optimal treatment of mediastinitis due to oesophageal perforation remains an issue of continuing debate. Generally, the surgical option, i.e. primary repair, has to be weighted against a conservative approach. Traditionally, the surgical approach was reserved to perforations diagnosed within a timeframe of 24 h. If the diagnosis is not made early, surgery carries a high morbidity and mortality. Conservative therapy may be the better choice if the process is limited to the mediastinum, while surgery should be confined to those cases with simultaneous rupture or perforation of the pleura [20].
If conservative treatment is chosen, endoscopic stent placement has become a reasonable adjunct. Siersema et al. [17] report on good results using large diameter stents in the treatment of traumatic non-malignant perforations of the oesophagus and conclude that metallic large diameter stents can be safely used in this patient population, provided that there is no uncontrolled spread of the infection to the mediastinum and/or pleural cavities and broad-spectrum antibiotics are administered.
Conclusion
Oesophageal perforations secondary to extension fractures of the upper thoracic spine are rare concomitant injuries. If undiscovered on the initial survey, the ensuing mediastinitis and sepsis put the patients‘ life at risk. The most important measures to reduce the risk of missing this injury are, double reading of the radiographs, and before all, the anticipation of this injury based on the trauma energy and the fracture type.
Acknowledgments
Conflict of interest statement None of the authors has any potential conflict of interest.
References
- 1.Agostini C, Durieux M, Milot L, Kamaoui I, Floccard B, Allaouchiche B, Pilleul F. J Radiol. 2008;89:325–330. doi: 10.1016/S0221-0363(08)76524-7. [DOI] [PubMed] [Google Scholar]
- 2.Ball ST, Vaccaro AR, Albert TJ, Cotler JM. Injuries of the thoracolumbar spine associated with restraint use in head-on motor vehicle accidents. J Spinal Disord. 2000;13:297–304. doi: 10.1097/00002517-200008000-00005. [DOI] [PubMed] [Google Scholar]
- 3.Berbaum KS, El-Khoury GY, Ohashi K, Schartz KM, Caldwell RT, Madsen M, Franken EA., Jr Satisfaction of search in multitrauma patients: severity of detected fractures. Acad Radiol. 2007;14:711–722. doi: 10.1016/j.acra.2007.02.016. [DOI] [PMC free article] [PubMed] [Google Scholar]
- 4.Bladergroen MR, Lowe JE, Postlethwait RW. Diagnosis and recommended management of esophageal perforation and rupture. Ann Thorac Surg. 1986;42:235–239. doi: 10.1016/s0003-4975(10)62725-7. [DOI] [PubMed] [Google Scholar]
- 5.Chapman JR, Agel J, Jurkovich GJ, Bellabarba C. Thoracolumbar flexion–distraction injuries: associated morbidity and neurological outcomes. Spine. 2008;33:648–657. doi: 10.1097/BRS.0b013e318166df7b. [DOI] [PubMed] [Google Scholar]
- 6.Cherveniakov A, Cherveniakov P. Surgical treatment of acute purulent mediastinitis. Eur J Cardiothorac Surg. 1992;6:407–410. doi: 10.1016/1010-7940(92)90064-5. [DOI] [PubMed] [Google Scholar]
- 7.Chilimindris CP. Rupture of the thoracic esophagus from blunt trauma. J Trauma. 1977;17:968–971. doi: 10.1097/00005373-197712000-00014. [DOI] [PubMed] [Google Scholar]
- 8.Exarhos DN, Malagari K, Tsatalou EG, Benakis SV, Peppas C, Kotanidou A, Chondros D, Roussos C. Acute mediastinitis: spectrum of computed tomography findings. Eur Radiol. 2005;15:1569–1574. doi: 10.1007/s00330-004-2538-3. [DOI] [PubMed] [Google Scholar]
- 9.Gimenez A, Franquet T, Erasmus JJ, Martinez S, Estrada P (2002) Thoracic complications of esophageal disorders. Radiographics 22(Spec No):S247–S258 [DOI] [PubMed]
- 10.Inamasu J, Guiot BH. Thoracolumbar junction injuries after motor vehicle collision: are there differences in restrained and nonrestrained front seat occupants? J Neurosurg Spine. 2007;7:311–314. doi: 10.3171/SPI-07/09/311. [DOI] [PubMed] [Google Scholar]
- 11.Jougon J, Mc Bride T, Delcambre F, Minniti A, Velly JF. Primary esophageal repair for Boerhaave’s syndrome whatever the free interval between perforation and treatment. Eur J Cardiothorac Surg. 2004;25:475–479. doi: 10.1016/j.ejcts.2003.12.029. [DOI] [PubMed] [Google Scholar]
- 12.Kiernan PD, Sheridan MJ, Elster E, Rhee J, Collazo L, Byrne WD, Fulcher T, Hettrick V, Vaughan B, Graling P. Thoracic esophageal perforations. South Med J. 2003;96:158–163. doi: 10.1097/01.SMJ.0000054566.43066.B5. [DOI] [PubMed] [Google Scholar]
- 13.Maroney MJ, Mirvis SE, Shanmuganathan K. Esophageal occlusion caused by thoracic spine fracture or dislocation: CT diagnosis. AJR Am J Roentgenol. 1996;167:714–715. doi: 10.2214/ajr.167.3.8751687. [DOI] [PubMed] [Google Scholar]
- 14.Michel L, Grillo HC, Malt RA. Esophageal perforation. Ann Thorac Surg. 1982;33:203–210. doi: 10.1016/s0003-4975(10)61912-1. [DOI] [PubMed] [Google Scholar]
- 15.Nakai S, Yoshizawa H, Kobayashi S, Miyachi M. Esophageal injury secondary to thoracic spinal trauma: the need for early diagnosis and aggressive surgical treatment. J Trauma. 1998;44:1086–1089. doi: 10.1097/00005373-199806000-00024. [DOI] [PubMed] [Google Scholar]
- 16.Sawyers JL, Lane CE, Foster JH, Daniel RA. Esophageal perforation: an increasing challenge. Ann Thorac Surg. 1975;19:233–238. doi: 10.1016/s0003-4975(10)64010-6. [DOI] [PubMed] [Google Scholar]
- 17.Siersema PD, Homs MY, Haringsma J, Tilanus HW, Kuipers EJ. Use of large-diameter metallic stents to seal traumatic nonmalignant perforations of the esophagus. Gastrointest Endosc. 2003;58:356–361. doi: 10.1067/S0016-5107(03)00008-7. [DOI] [PubMed] [Google Scholar]
- 18.Skinner DB, Little AG, DeMeester TR. Management of esophageal perforation. Am J Surg. 1980;139:760–764. doi: 10.1016/0002-9610(80)90379-7. [DOI] [PubMed] [Google Scholar]
- 19.Stothert JC, Jr, Buttorff J, Kaminski DL. Thoracic esophageal and tracheal injury following blunt trauma. J Trauma. 1980;20:992–995. doi: 10.1097/00005373-198011000-00018. [DOI] [PubMed] [Google Scholar]
- 20.Tilanus HW, Bossuyt P, Schattenkerk ME, Obertop H. Treatment of oesophageal perforation: a multivariate analysis. Br J Surg. 1991;78:582–585. doi: 10.1002/bjs.1800780519. [DOI] [PubMed] [Google Scholar]
- 21.White CS, Templeton PA, Attar S. Esophageal perforation: CT findings. Ajr. 1993;160:767–770. doi: 10.2214/ajr.160.4.8456662. [DOI] [PubMed] [Google Scholar]
- 22.Zumbro GL, Anstadt MP, Mawulawde K, Bhimji S, Paliotta MA, Pai G. Surgical management of esophageal perforation: role of esophageal conservation in delayed perforation. Am Surg. 2002;68:36–40. [PubMed] [Google Scholar]





