Abstract
Sjogren’s syndrome is a distinct clinical condition which includes xerostomia, ocular dryness, rheumatoid arthritis and other connective tissue disorders. Major oral problems reported by such patients include high caries rate, burning of oral mucosa, early tooth loss, increased tooth wear, poor tolerance for dentures and repeated failure of dental restorations. Prosthodontic therapy for this unique patient group is challenging and neglected due to the limited number of abutments, loss of vertical dimension and poor occlusion. Two year follow up of a patient of Sjogren’s syndrome, rehabilitated by a combination of fixed and removable prostheses with a simplified palatal salivary reservoir is presented. Though the patient felt an improvement in quality of life due to the prosthesis, slurred speech and frequent reservoir refilling remained problems.
Keywords: Sjogren’s syndrome, Xerostomia, Palatal salivary reservoir, Salivary substitutes
Introduction
Xerostomia may be a result of certain medications, radiotherapy, anxiety, depression, Sjogren’s syndrome, etc. [1, 2]. Sjogren’s syndrome is a chronic autoimmune disorder characterized by lymphocytic infiltration of exocrine glands mainly salivary and lacrimal, causing oral and ocular dryness. It occurs predominantly in women over 40 years of age with a female:male ratio of approximately 10:1. Its prevalence in the adult population ranges from 0.5 to 3.0% making it a common autoimmune disorder [3, 4]. It may be primary (Sicca Complex)—involving salivary and lacrimal glands only, or secondary—associated with connective tissue disorders like rheumatoid arthritis, systemic lupus erythmatosus, polyarteritis nodosa, scleroderma, etc. [5].
Patients with this syndrome may suffer from dry eyes and mouth, painful burning oral mucosa, furrowed atrophic tongue with candidiasis, rampant caries in cervical region of teeth, dry lips, difficulty in chewing, swallowing and speaking, loss of taste sensation, grittiness and burning of eyes, tiredness, photophobia, atrophic gastritis, cranial nerve lesions, peripheral neuropathy and Raynaud’s phenomenon. Dental management aims at preventing and treating caries and oral candidiasis, enhancing salivary output, saliva substitution, hydration and monitoring [6]. Unfortunately, more attention is given to symptomatic treatment, often neglecting rehabilitation which may adversely affect the individual’s personal and social life quality [7].
Case Report
A 45 year old female patient came to the institute complaining of reduced salivation, pain and food lodgment in multiple teeth, and difficulty in eating. A systemic examination revealed dry eyes, reduced blink rate, dry mouth, cracking of corners of mouth and lack of appetite. Considering patient’s signs, symptoms, age and gender, diagnostic tests were made to rule out Sjogren’s syndrome. Labial salivary gland biopsy showed lymphocytic infiltration with serum testing positive for rheumatoid factor, anti nuclear antibodies and elevated levels of IgG and IgM. Sialography was also confirmatory for Sjogren’s syndrome [8].
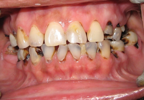
Oral examination showed multiple grossly decayed teeth and reduced vertical dimension of occlusion with 7 mm free way space (Fig. 1). Teeth # 17, 26, 27, 36, 46 were missing and teeth # 16, 45, 47 were extracted because of periapical pathologies and extensive coronal structure loss [9]. Routine endodontic treatment of teeth with carious exposures (# 14, 23, 25, 31, 32, 34, 35, 37, 41, 42, 43, 44) was done followed by post and core build up (C-Post, Bisco Inc, Schamburg, Illinosis) in teeth # 14, 31, 32, 34, 35, 37, 41, 42, 43, 44 as most of their coronal tooth structure was destroyed [10]. Teeth # 23, 25, 33 required core restorations with composite resin (Filtek Z250, 3M ESPE, St. Paul, Minnesota). Teeth with minor carious involvement (# 13, 12, 11, 21, 22) were restored with light cured Glass ionomer cement (Fuji LC GC, Alsip, Illinosis).
Fig. 1.
Pre-operative intraoral view
After making diagnostic impressions and measuring the inter occlusal gap, a decision was taken to restore the vertical dimension by 3 mm. The casts were surveyed to finalize the mouth preparation required for fabricating partial dentures for a Kennedy’s Class II modification I condition in the mandibular arch and a Kennedy’s Class I condition in the maxillary arch, followed by appointments to perform axial reductions for teeth # 14, 23, 25, 31, 32, 33, 34, 35, 37, 41, 42, 43, 44 and mouth preparation [11, 12]. A facebow transfer was made and prepared casts with the reduced abutments were mounted on a Whipmix articulator (Whipmix Corporation, Louisville, Kentucky) at the increased vertical dimension (VDO) with an interocclusal record at centric relation. The patient was given temporary removable partial dentures and provisional restorations at this VDO for adaptation for 8 weeks.
When the patient had adapted to the new vertical, Porcelain fused to Metal crowns designed as per the requirements of the future cast partials, were seated on all reduced abutments. The maxillary cast partial denture framework was made with a narrow antero-posterior strap major connector to accommodate a salivary reservoir between the straps.
Following framework try in, jaw relation record and teeth setting procedures, a sheet of modeling wax with two stainless steel snap buttons was added between the straps of the maxillary major connector. The upper and lower cast partial dentures were then polymerized, finished and polished taking care not to damage the buttons. A thin layer of plaster was poured on the reservoir part of the upper denture as a spacer sparing the button and 2 mm of the periphery. The second portion of the reservoir was then created in autopolymerizing resin, incorporating the female parts of the snap buttons over the male parts, after applying a layer of separator on the first reservoir part. Care was taken to achieve proper contact of the male and female parts of the buttons (Fig. 2). After polymerization the two parts of reservoir were separated, plaster was removed and the assembly was checked for fit (Fig. 3). An entry hole of 2 mm diameter was drilled in the mid palatal region of first part of the reservoir and two exit holes, each with 1 mm diameter, were drilled in the second part. The patient was instructed to inject carboxymethyl cellulose (Xero-Lube, Colgate Oral Pharmaceuticals, Canton, MA) into the reservoir as per comfort and requirement and clean the reservoir daily [13, 14].
Fig. 2.
First (left) and second parts (right) of the reservoir
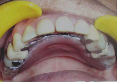
Fig. 3.
Maxillary cast partial denture in situ
The capacity of the reservoir was measured to be approximately 3.5 cc. Initially the patient complained of a slow flow rate, which was improved by making an extra exit hole. Speech alteration due to palatal thickness and patient awareness of constricted oral space were also present which gradually improved, though slight slurring remained. However, the reservoir required refilling at 3 h intervals, which was cumbersome for the patient. Two years post rehabilitation, the patient reported decreased incidence of mucosal inflammation and ulceration, satisfaction with the treatment outcome, improved comfort and confidence and an improvement of 60% on the visual analogue scale (VAS). Clinically, the prosthesis and abutments were in satisfactory condition though the snap buttons had to be replaced after a year (Fig. 4) [15].
Fig. 4.
Post-operative intraoral view at 2 years
Discussion
Saliva consists primarily of water (99%) plus a number of proteins and electrolytes. The fluid component contributes to irrigation of the oral cavity and dilution of oral contents and the protein assist with lubrication of mucosal surfaces and inhibiting the growth of microorganisms. The electrolytes provide the buffering capacity of saliva and may enhance remineralization of tooth enamel. Saliva also helps in formation of food bolus and swallowing [16].
In patients with xerostomia all these mechanisms are hampered leading to serious complications for the patient, ranging from an unhealthy oral environment to extremely painful oral conditions. They have cervical type of rampant caries which may lead to early involvement of pulp. This process is accelerated owing to a reduction in oral irrigation and an inability to clear foods from the oral cavity rapidly. In addition, buffering agents against acids are also diminished leading to more favorable environment for micro-organisms. Lack of saliva increases susceptibility to infection of the oral cavity Candida albicans, seen as erythema of the oral mucosa, white, curdlike patches and inflamed fissures at the corners of the mouth [17]. An attempt to preserve as many teeth as possible should be made in patients with xerostomia, as removable prosthesis can cause excessive soreness and ulcerations due to adverse mucosal conditions. Implants were presented as an option to the patient, but she was unwilling to undergo surgery.
The use of salivary substitutes was planned to improve lubrication and irrigating effect. In the past, many types of reservoirs have been given to patients [18, 19]. Toljanic and Zucuskie used palatal salivary reservoir as it offered benefits over a mandibular denture such as larger reservoir size, fluid and food in the floor of the mouth clogging holes of a mandibular reservoir, and maxillary reservoir providing flow of saliva to the whole mouth compared to the mandibular flow being restricted to the floor of mouth. The reservoirs mentioned in literature had volume ranging from 2.3 to 5.3 cc, and provided artificial saliva for 2–5 h [18, 20].
The reservoir planned here had a simple design, employing a time saving and economical technique. It was easy for the patient to clean the reservoir space. The major disadvantage of the design was bulk which can affect speech, comfort and retention. Also, the fit of snap buttons can get loose with time, though they are replaceable.
The general approach to management of such patients is directed towards relief of symptoms and prevention of complications. Patient is advised to have frequent sips of water, alcohol free mouth washes, gels, sugar free chewing gums and daily use of fluoridated dentifrices (0.05% NaF), varnishes and/or fluoride gels (1% NaF, 0.4% SnF2) for prevention of future decay. Drugs like cevimeline and pilocarpine may also be used as parasympathomimetic agents though they have side effects like sweating vasodilatation, headaches and urinary frequency [6]. Oral examinations should be carried out at regular time intervals based on past caries experience, periodontal status, quantity and quality of saliva and maintenance of oral hygiene.
Conclusion
Sjogren’s syndrome is a common and underdiagnosed inflammatory disease of the exocrine glands with a significant impact on oral health. Dentists are likely to be the first health care providers to encounter early signs of Sjogren’s syndrome. Though the patient was successfully rehabilitated incorporating a modified palatal reservoir, importance of regular assessment of oral conditions should be understood to monitor future decay, ulcerations, failure of restorations and other critical oral conditions.
References
- 1.Sreebny LM, Schwartz SS. A reference guide to drugs and dry mouth. Gerodontology. 1986;5:75–99. doi: 10.1111/j.1741-2358.1986.tb00055.x. [DOI] [PubMed] [Google Scholar]
- 2.Cooper JS, Fu K, Marks J, et al. Late effects of radiation in the head and neck region. Int J Radiat Oncol Biol Phys. 1995;31:1141–1164. doi: 10.1016/0360-3016(94)00421-G. [DOI] [PubMed] [Google Scholar]
- 3.Shafer WG, Hine MK, Levy BM. A textbook of oral pathology. 4. Philadelphia: W. B. Saunders; 1983. p. 242. [Google Scholar]
- 4.Delaleu N, Jonsson R, Koller MM. Sjögren’s syndrome. Eur J Oral Sci. 2005;113:101–113. doi: 10.1111/j.1600-0722.2004.00183.x. [DOI] [PubMed] [Google Scholar]
- 5.Hughes GRV, Whaley K. Sjogren’s syndrome. Br Med J. 1972;4:533–536. doi: 10.1136/bmj.4.5839.533. [DOI] [PMC free article] [PubMed] [Google Scholar]
- 6.Al-Hashimi I. The management of Sjogren’s syndrome in dental practice. J Am Dent Assoc. 2001;132:1409–1417. doi: 10.14219/jada.archive.2001.0056. [DOI] [PubMed] [Google Scholar]
- 7.Stewart CM, Berg KM, et al. Salivary dysfunction and quality of life in Sjogren’s syndrome: a critical oral-systemic connection. J Am Dent Assoc. 2008;139:291–299. doi: 10.14219/jada.archive.2008.0158. [DOI] [PubMed] [Google Scholar]
- 8.Vitali C, Bombardieri S; the European Study Group on Diagnostic Criteria for SS (1997) The European classification criteria for Sjögren’s syndrome (SS): proposal for a modification of the rules for classification suggested by the analysis of the receiver operating characteristic (ROC) curve of the criteria performance (abstract 18). J Rheumatol 24:38
- 9.http://www.fdiworldental.org/content/two-digit-notation
- 10.Ingle JI, Backland LK. Endodontics. 5. Hamilton: B C Decker Inc; 2002. pp. 525–533. [Google Scholar]
- 11.Kazis HK. Complete mouth rehabilitation through restoration of lost vertical dimension. J Am Dent Assoc. 1948;37:19–39. doi: 10.14219/jada.archive.1948.0175. [DOI] [PubMed] [Google Scholar]
- 12.Grubb HD. Occlusal reconstruction. J Am Dent Assoc. 1938;25:372–383. [Google Scholar]
- 13.Dawes C. How much flow of saliva is enough for avoidance of xerostomia? Caries Res. 2004;38:236–240. doi: 10.1159/000077760. [DOI] [PubMed] [Google Scholar]
- 14.Smith QT. Xerostomia and salivary substitutes. Northwest Dent. 1981;60:90. [PubMed] [Google Scholar]
- 15.Wewers ME, Lowe NK. A critical review of visual analogue scales in the measurement of clinical phenomena. Res Nurs Health. 1990;13:227–236. doi: 10.1002/nur.4770130405. [DOI] [PubMed] [Google Scholar]
- 16.International Dental Federation. Working Group 10 of the Commission on Oral Health, Research and Epidemiology (CORE) (1992) Saliva: its role in health and disease. Int Dent J 42:287–304 [PubMed]
- 17.Rossie K, Guggenheimer J. Oral candidiasis: clinical manifestations, diagnosis, and treatment. Pract Periodontics Aesthet Dent. 1997;9:635–642. [PubMed] [Google Scholar]
- 18.Sinclair GF, Frost PM, Walter JD. New design for an artificial saliva reservoir for the mandibular complete denture. J Prosthet Dent. 1996;75:276–280. doi: 10.1016/S0022-3913(96)90484-9. [DOI] [PubMed] [Google Scholar]
- 19.Mendosa AR, Tomlinson MJ. The split denture: a new technique for artificial saliva reservoirs in mandibular dentures. Aust Dent J. 2003;48:190–194. doi: 10.1111/j.1834-7819.2003.tb00031.x. [DOI] [PubMed] [Google Scholar]
- 20.Toljanic JA, Zucuskie TG. Use of a palatal reservoir in denture patients with Xerostomia. J Prosthet Dent. 1984;52:540–544. doi: 10.1016/0022-3913(84)90342-1. [DOI] [PubMed] [Google Scholar]




