Abstract
Synovial fluid (SF) is a viscous ultrafiltrate of plasma that lubricates articulating joint motion. During acute trauma and certain cartilage repair procedures, blood is introduced into the joint and mixes with variable amounts of SF. The hypothesis of this study was that the dilution of blood with SF alters the rheological properties of the blood and the mechanical properties of the clot formed. The objectives were to determine the composition (solid fraction, protein content), coagulation (fibrin polymerization time, torsional strength), and mechanical (stiffness, permeability) properties of mixtures of blood with 10 or 50% SF. While the initial stages of coagulation of blood were not markedly affected by the presence of the SF, dilution with SF altered the coagulation torque profile over time, decreased the final clot structure mechanical stiffness (42 to 90% decrease), and increased the fluid permeability of the clots (41 to 468-fold). Compared to diluting blood with PBS, SF had a smaller effect on the mechanical properties of the clot, possibly due to the presence of high molecular weight hyaluronan. These properties of blood/SF mixtures may facilitate an understanding of the repair environment in the joint and of mechanisms of cartilage repair.
Keywords: blood rheology, synovial fluid, hemarthrosis, TEG, cartilage repair
Introduction
Synovial fluid (SF) is a viscous ultrafiltrate of plasma that lubricates articulating joint motion. SF contains several lubricant molecules, including high molecular weight hyaluronan (HA, ~2–10MDa, ~1–4mg/mL)1–3 and proteoglycan 4 (PRG4, also called lubricin or SZP, ~0.05–0.5mg/mL)4. Articular cartilage, lubricated by SF, normally provides a low-friction, low-wear, load-bearing surface on the ends of bones, in part through the ability of cartilage to facilitate fluid pressurization during load bearing.5 Focal defects in cartilage due to trauma, and less localized degradation common in osteoarthritis (OA), increase the local strain in cartilage near the defects,6 while deficiencies in lubricating molecules increase the friction generated between cartilage surfaces during boundary lubrication.7,8
During acute trauma, advanced stage OA, and bone marrow stimulation cartilage repair procedures, blood is introduced into the joint and mixes with variable amounts of SF, creating the conditions in the joint when repair is initiated. Hemarthosis, or bleeding into the joint, can occur during traumatic events, such as intra-articular fracture and ACL rupture, as well as in advanced OA. Although evidence exists that hemarthrosis may lead to cartilage erosion9 and decreased matrix synthesis,10 certain cartilage repair procedures used to treat focal defects, such as microfracture,11 encourage hemarthrosis through subchondral penetrations as a source of hematopoietic stem cells for repair. Whole blood entering the intra-articular space mixes with SF, or is diluted with saline during surgeries, and these mixtures can form the initial structural material for cartilage repair.
The rheological properties and coagulation cascade of blood are analyzed by clinical tests, including activated thromboplastin time (aPTT) and thromboelastography (TEG). An aPTT test indicates the time to fibrin fiber formation and lateral aggregation of fibers, typically by measuring solution turbidity using a sample of blood plasma combined with phospholipid and an activator, such as kaolin or silica.12 TEG testing is typically used during orthotopic liver transplantation and cardiopulmonary bypass to monitor the clotting time and tensile strength of a patient’s blood during coagulation.13 A sample of whole blood is placed in a cup that rotates ±4.75° over ~11s, with a torsion-sensing pin suspended in the sample.14 As the sample coagulates, increasing torque is sensed by the pin, describing the torsional strength of the clot over time. A TEG system was recently used to evaluate solidification of a chitosan-glycerol phosphate/blood implant.15 However, comparisons of the coagulation properties of mixtures of blood with SF have not yet been described.
Thus, the hypothesis of this study was that the dilution of blood with SF alters the rheological properties of the blood and the mechanical properties of the clot formed. The objectives were to determine the compositional (solid fraction, protein content), coagulation (fibrin polymerization time, torsional strength), and mechanical (stiffness, permeability) properties of mixtures of blood and SF.
Methods
Study Design
Bovine SF (bSF) and whole blood were obtained from adult bovine animals via an abattoir and stored at 4°C for up to 2 wks until use. Whole blood was obtained in 4 lots, anticoagulated by addition of sodium citrate to 3.8% (Animal Technologies Inc., Tyler, TX), each from a single animal. Fresh arterial blood was also obtained from 5 anesthetized rabbits, under a protocol approved by the UCSD IACUC. Bovine SF lots were pooled from ~10 animal donors (Animal Technologies Inc.). Mixtures of blood diluted with SF or phosphate buffered saline (PBS) at 10% or 50% by volume were prepared and analyzed as follows.
Clot Composition
Uniform discs of clotted blood and PBS or SF mixtures were created and weighed. Clotting was initiated in citrated blood mixtures by addition of CaCl2 to 28mM (enough CaCl2 to saturate the citrate anticoagulant and result in even clotting based on theoretical calculations and pilot experiments) in a custom 2×3.6×0.16cm silastic mold between two glass plates, followed by incubation at 37°C and 5% CO2 for 1 hr. Cylindrical disks initially of 1.6mm thickness and 10mm diameter were removed from the clotted material using a dermal biopsy punch. Clots were allowed to equilibrate with PBS for at least 1hr before being weighed wet, lyophilized overnight, and reweighed.
The protein content of the clotted mixtures was evaluated. Lyophilized clots were digested in 1mL of PBS with 0.2mg/ml trypsin (Sigma-Aldrich, St. Louis, MO) for 18hr at 37°C. Portions of the digests were assayed for protein content using the Pierce BCA Protein Assay kit (Thermo Scientific, Rockford, IL) according to the manufacturer’s instructions.
Additional clots were prepared for histology. Clots were fixed in 1mL of 4% paraformaldehyde (USB Corp., Cleveland, OH) in PBS overnight, snap frozen in embedding medium (Tissue-Tek, Andwin Scientific, Addison, IL), and cut to 10µm sections. Sections were stained with hematoxylin and eosin Y (H&E, Sigma-Aldrich) and imaged on a microscope (Eclipse TE300, Nikon, Melville, NY) at 20× magnification.
Coagulation Properties
An aPTT-like test was performed to determine the time to clot formation based on solution turbidity. Plasma was substituted for whole blood in the mixture for this test to mimic clinical aPTT assays.12 Bovine plasma was obtained by spinning down whole blood at 800g for 30min and decanting the supernatant. 0.3mL of each mixture (plasma with 10 or 50% PBS or SF) were prepared in duplicate, combined with 0.3mL of 0.1% kaolin in PBS (Sigma-Aldrich), and incubated for 1hr at 37°C. 0.3mL of PBS was added to one replicate of each group and used to blank the spectrophotometer (Beckman DU640, Beckman Instruments, Inc., Fullerton, CA), and 0.3 mL of CaCl2 was added to the other sample to 8.3mM to initiate clotting immediately before measuring absorbance. Absorbance was recorded at 460nm every 10s for up to 12min. Absorbance versus time data were fit to a generalized logistic function using a least square error nonlinear regression (MATLAB R2008b, The MathWorks, Inc., Natick, MA). The clotting time was determined as the time at half-maximum absorbance.
A TEG-like test was performed to determine the coagulation torque over time and reaction time (r) and maximum amplitude (MA) parameters. Sample mixtures (472 µL) were stimulated to clot by addition of 28µL CaCl2 to 10mM (following the protocol for citrated samples by the manufacturer of a clinical TEG apparatus; TEG Model 5000 Analyzer; Haemoscope Inc., Niles, IL), and were placed in a custom cup base that was rotated between 0 and 4.75° at 1.357°/s, with 2s delays at 0 and 4.75°, around a pin suspended in the mixture and connected to a torque cell (ElectroForce ELF-3220, Bose-Enduratec, Eden Prairie, MN). The gap width between the pin and cup was 1.0mm, and a small volume of mineral oil was layered above the sample to prevent evaporation. The torque generated on the suspended pin due to the coagulating mixture during rotation was recorded at 5Hz over a period of 3.5hr. The absolute difference in torque between the min and max values per cycle was plotted and used to determine r and MA. The r parameter was determined as the time that the torque increased at least two standard deviations above the baseline average, and MA as the maximum torque amplitude achieved during the test.
Mechanical and Structural Properties
Clots of citrated bovine or fresh rabbit blood mixed with PBS and SF were tested in confined compression in PBS to determine a confined compression aggregate modulus (HA) and strain-dependent hydraulic permeability (kp). The thickness of each clot was measured in 3 locations using a non-contacting laser micrometer and then averaged for use in the compression test. The clots were placed in a confining ring between two porous platens in a mechanical testing machine (Dynastat, Northern Industrial, Albany, NY) and tested by sequential static compression to 15, 30, and 45% compressive strain based on thickness and low-amplitude oscillations at 0.01–1 Hz superimposed on static offsets.16 The data were fit to theoretical models to determine HA, and kp at 30% compressive strain.17
The molecular weight of hyaluronan in bSF and clotted mixtures was analyzed using gel electrophoresis. Clots of each sample mixture were prepared as above and digested with 0.5mg/mL proteinase K (Roche Applied Science, Indianapolis, IN) in PBE at 60°C overnight. Portions of digests, a hyaluronan ladder, and bSF were run on a 1% agarose gel at 10V/cm for 100min in tris-acetate-EDTA buffer. The gel was fixed in 25% isopropanol, stained with Stains-all (Sigma-Aldrich) in formamide according to the manufacturer’s instructions, destained in water, and imaged with a digital camera (D80, Nikon).
Statistical Analysis
The data are presented as mean±SEM for n=4 lots of bovine blood or n=5 rabbits. The effects of dilution (10 or 50%) and diluent (PBS or SF) on dry weight, protein, clotting time, r, MA, HA, and kp for mixture groups (+10%PBS, +10%SF, +50%PBS, +50%SF) normalized to the whole blood values were assessed using 2-way ANOVAs, with Tukey post-hoc tests to determine differences between groups where significant effects were found. To compare the mixture groups to whole blood, the effect of experimental group on all outcome measures was assessed with 1-way ANOVAs, with differences between mixture groups and whole blood assessed with Dunnett tests where significant effects were found. The hydraulic permeability data were log10 transformed to improve homoscedasticity.18 Significance was set as P<0.05 and analyses were performed using Systat 10.2 (Systat Software Inc., Chicago, IL).
Results
Composition
Differences in clot size after equilibration in PBS were apparent in the digital images. The clots contracted with increasing dilution of PBS and expanded with increasing dilution of SF (Fig. 1, left column). The H&E stained sections showed the red blood cell density in each clot was reasonably uniform, though lower cell densities occurred in the 50%SF dilution and, to a lesser extent, the 50%PBS dilution compared to either 10% dilution or blood alone (Fig. 1, right column).
Figure 1.
Digital images of clots from each group (left column). Clots were fixed, sectioned, stained with H&E, and imaged under a microscope at 20× magnification (right column).
The clot dry weights per volume and protein content per volume varied with sample mixture, decreasing with increased dilution. Dry weights varied with dilution (P<0.0001), though not with diluent (P=0.12), and with a significant interaction effect (P<0.05) of dilution (10 vs 50%) and diluent (PBS vs SF, Fig. 2A). The dry weight of the 50%PBS and 50%SF clots were 47% and 36% lower, respectively, than that of the 10%PBS (P<0.001) and 10%SF (P<0.001) clots. In addition, the dry weight per volume of 10%SF (P<0.05), 50%PBS (P<0.001), and 50%SF (P<0.001) mixtures were significantly lower than blood alone. Protein content varied with dilution (P<0.0001), though not with diluent (P=0.13) and without an interaction effect P=0.70, Fig. 2B). The protein content of the 50%PBS and 50%SF clots were 41% and 34% lower, respectively, than that of the 10%PBS (P<0.001) and 10%SF (P<0.001) clots. In addition, the protein content of 50%PBS (P<0.001), and 50%SF (P<0.01) mixtures were significantly lower than blood alone.
Figure 2.
The dry weights (A) and protein content (B) of the clots normalized to volume. **: P<0.01, ***:P<0.001, #:P<0.05 vs blood, ###:P<0.001 vs blood.
Coagulation Properties
The time to clot as measured by the aPTT-like assay did not vary with sample mixture. aPTT time did not vary with dilution (P=0.25) or diluent (P=0.21), and without an interaction effect (P=0.09, Fig. 3). However, the clotting time of the 50%PBS mixture was 46% higher than blood alone (P<0.01).
Figure 3.
Clotting time for each group as measured by the aPTT-like test. ##:P<0.01 vs blood.
The torque trace over time indicated differences between the mixtures’ coagulation parameters and clot strength. While the blood line (Fig. 4A, solid line) displayed the typical shape for a TEG-trace of normal blood, including little torque during the clotting time, a steep increase towards the maximum, and eventual decline, the other mixtures displayed altered characteristics. At the 10% dilution level, the shape of the curves was similar to blood alone at a decreased magnitude, though the PBS dilution did not peak and decline (Fig. 4A, dotted line and large dashed line). At the 50% dilution level, the shape of the curves changed to a more gradual increase without maximum or decline (Fig. 4A, dot-dash line and small dashed line), with a smaller magnitude of torque for the mixtures diluted with SF compared to PBS.
Figure 4.
Average torque trace for each group during TEG-like testing (A), clotting time as determined by the r parameter (B), maximum torque amplitude (MA) reached during TEG-like testing (C). #:P<0.05 vs blood, ##:P<0.01 vs blood.
The time to clot as measured by the r parameter in the TEG-like assay did not vary with sample mixture. r time did not vary with dilution (P=0.71) or diluent (P=0.32), and without an interaction effect (P=0.65, Fig. 4B). The MA parameter did not vary with dilution (P=0.82), but tended to vary with diluent (P=0.05), and a trend for an interaction effect (P=0.08, Fig. 4C). The MA of the 10%PBS (P<0.05), 10%SF (P<0.05), and 50%SF (P<0.01) mixtures were significantly lower than blood alone.
Mechanical and Structural Properties
The clot aggregate compressive moduli from citrated bovine blood varied with sample mixture, decreasing with dilution level. Aggregate moduli varied with dilution (P<0.001), though not with diluent (P=0.09), while the interaction effect was significant (P<0.05, Fig. 5A). The modulus of the 10%PBS and 50%SF clots were 54% (P<0.05) and 82% (P<0.01) lower, respectively, than that of the 10%SF clots. In addition, the aggregate moduli of all groups (10%PBS, P<0.01; 10%SF, P<0.01; 50%PBS, P<0.001; 50%SF, P<0.001) were significantly less than blood alone. The clotted mixtures were more permeable than blood alone, but the hydraulic permeability did not vary between mixture groups. Hydraulic permeability did not vary with dilution (P=0.30) or diluent (P=0.13), and no interaction effect was found (P=0.26, Fig. 5B). However, the hydraulic permeability of all groups (10%PBS, P<0.001; 10%SF, P<0.05; 50%PBS, P<0.001; 50%SF, P<0.001) were greater than blood alone.
Figure 5.
Aggregate compression modulus HA and hydraulic permeability kp at 30% compression for each blood/SF mixture from citrated bovine blood (A, B) or fresh rabbit blood (C, D). *: P<0.05, **: P<0.01, #:P<0.05 vs blood, ##:P<0.01 vs blood, ###:P<0.001 vs blood.
The trends in aggregate compressive modulus and hydraulic permeability from fresh rabbit blood were similar to those from citrated bovine blood, though the modulus was higher in magnitude. Aggregate modulus varied with dilution (P<0.001), though not with diluent (P=0.35) and without an interaction effect (P=0.58, Fig. 5C). The moduli of the 10%PBS (P<0.05), 50%PBS (P<0.001), and 50%SF (P<0.001) mixtures were significantly less than that of blood alone. More variation occurred among animals in the fresh rabbit blood than the citrated bovine blood, and though the average hydraulic permeabilities tended to decrease with dilution, the differences were not significant (Fig. 5D).
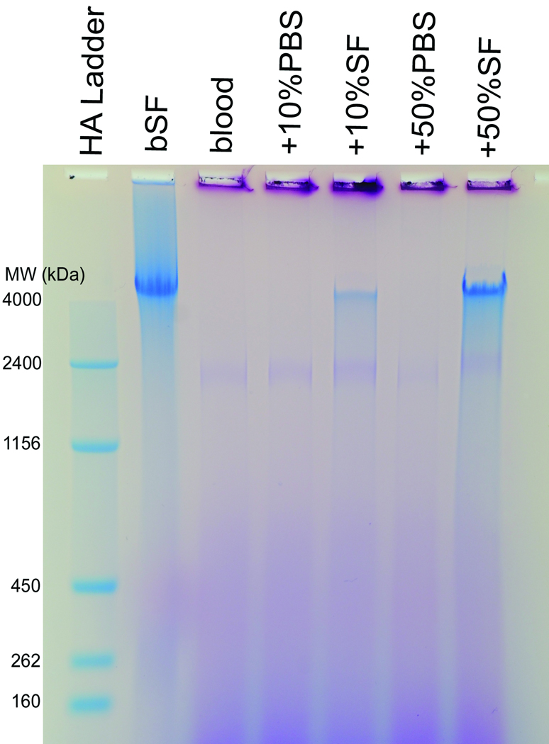
Gel electrophoretic analysis of portions of clot digests demonstrated that the molecular weight of hyaluronan in the digests was unaffected by exposure to blood or by the clotting process. The electrophoretic mobility of the main band in the bSF was slightly slower than the 4000Da HA standard, indicating relatively high molecular weight HA (~4000Da) in the bSF (Fig. 6, lanes 1 and 2). Bands of similar staining and mobility were found in both mixtures with SF and were more pronounced in 50%SF vs 10%SF (Fig. 6, lanes 5 and 7). The staining in lanes containing samples without SF was similar to blood alone (Fig. 6, lanes 3, 4, and 6).
Figure 6.
An HA ladder (lane 1), bSF (lane 2), and portions of blood/SF clots digested with proteinase K (lanes 3–7) were electrophoresed on a 1% agarose gel and stained with Stains-all.
Discussion
These results demonstrate the effects of SF on blood clot formation and help to characterize the initial repair environment in the synovial joint post-trauma or during bone marrow stimulation cartilage repair procedures. The properties of blood with little or no (0 or 10%) dilution with PBS or SF are likely applicable to the types of blood clotting that occur during the controlled bleeding in marrow stimulation cartilage repair techniques. In contrast, the properties of blood with higher (50%) dilutions with SF are likely applicable to traumatic bleeding, where clotted blood/SF mixtures are found post-hemarthrosis. In these experiments, the initial stages of coagulation of blood were not markedly affected by the presence of the SF, Figs. 3 and 4B), the SF altered the coagulation torque profile over time (Fig. 4A), decreased the final clot structure mechanical stiffness (Figs. 4C, 5A, and 5C), and increased the fluid permeability (Fig. 5B and 5D) of the clots. Compared to diluting blood with PBS, diluting with SF had a smaller effect on the mechanical properties of the clot, possibly due to the protein content and presence of high molecular weight hyaluronan (Fig. 6) as a structural component.
These in vitro experiments present a detailed view of the rheology of mixtures of blood and SF in a controlled setting using standard and clinical-like assays, with results that relate to the joint environment post-trauma or surgery. Although these experiments were conducted in vitro for more control over the level of dilution and mixing for each sample, additional translational work to verify the applicability of these findings in vivo could be undertaken using an intra-articular fracture animal model to create physiological hemarthrosis and blood/SF mixtures or using a defect/microfracture animal model to replicate the initial repair environment. Such experimental models could also be used to determine clotting times, homogeneity of clotted material, and diluent effects, which may be different in vivo compared to these in vitro data.
Similar trends in aggregate modulus and hydraulic permeability were found with anticoagulated and fresh blood, though differences in magnitude occurred, which may be due to the anticoagulant or the difference in species. The effects of the anticoagulant on the coagulation properties of blood were not investigated, but the anticoagulant, even after addition of Ca2+ to saturate the citrate, likely slowed the clotting time as measured by aPTT and TEG. The TEG and aPTT clinical tests are typically performed on proprietary systems where the exact nature of the measured variable is unclear; for TEG, the torque is translated into a ‘deflection length’ for historical reasons,14 while the criteria for coagulation by aPTT varies by test system company. Thus, these experimental tests were replicated in our lab to allow more control over how the measurements were made.
The initial fibrin polymerization time was apparently unaffected by dilution or diluent, though later stages of coagulation were abnormal as assessed by TEG-like testing. Changes in the turbidity of plasma correspond to changes in fibrin diameter,19 indicating fibrin polymerization. Neither this polymerization time, nor the time for significant torque to be generated by the clot in the TEG test were substantially altered, though dilution with 50%PBS tended to increase this time compared to blood alone. However, the TEG trace (Fig. 4A) displayed an abnormal clotting profile. The dilution effect appeared to decrease the magnitude of the normal profile at 10% for both SF and PBS, while dilution to 50% altered the profile shape. At 50% dilution, SF as the diluent resulted in a further decrease in magnitude compared to PBS. Such results on a classical TEG test are indicative of dilutional coagulopathy,20 which is appropriate here as the blood samples were diluted. During surgery, lower than normal MA values are treated with additional platelets, while slowly increasing torque traces such as the 50% dilution profiles, would be treated with cryoprecipitate,21 which includes factor VIII, fibrinogen, von Willibrand factor, and factor XIII, which are likely at low concentrations in these diluted samples.
Dilution of blood with 10%PBS resulted in lower clot stiffness than dilution with 10%SF, suggesting additional structural organization in clots with SF, possibly due to the content of high molecular weight hyaluronan. Although there was swelling of clots diluted with SF and contraction of clots diluted with PBS due to variations in osmolality between whole blood (~300mOsm/kg),22 SF (~400mOsm/kg),22 and PBS (150mOsm/kg), those differences did not result in increased clot stiffness with more compaction. The largest (50%SF) and smallest 50%PBS) clots were of similar stiffness (Fig. 5A), and the marginally expanded 10%SF clot was significantly stiffer than the marginally contracted 10%PBS clot, suggesting a component of SF is increasing the clot stiffness. High molecular weight hyaluronan (~4MDa) in SF and within the clotted mixtures (Fig. 6) could be responsible for the increased stiffness, possibly through the ‘swelling pressure’ generated by its charged molecule segments.
The hydraulic permeability of clotted blood and SF in cartilage defects may facilitate the short-time distribution of load around a defect site via fluid pressurization, as well as restrict molecular transport. The small effective size of interstitial pores in articular cartilage results in a normally low hydraulic permeability (~1×10−15 to ~1×10−16 m2/[Pa·s])16 and also restricted transport of macromolecules. Fluid pressurization of cartilage supports most of the imposed loads5 and minimizes strain magnitudes. The presence of a full thickness cartilage defect exposes the permeable underlying subchondral bone,23 diminishing fluid pressurization and increasing the strain magnitudes in the surrounding tissue. Although the clot modulus is much lower than that of cartilage, clots, like other biphasic poroelastic materials, support fluid pressurization at short times (before stress relaxation occurs). For blood clots or clots with 10%SF (Fig. 5), the stress relaxation time constant, calculated from HA and kp for a 1mm thick sample,16 is on the order of ~10s, compared to ~10,000s for cartilage. Such clots may also hinder molecular convection of large molecules out of SF.24
The properties of clotted mixtures of blood with PBS and SF may be important not only in trauma and cartilage repair procedures, but also other procedures in which blood becomes clotted in repair constructs, including tendon, ligament, and meniscus repair. In such procedures, understanding the rheological and mechanical properties of the construct or repair tissue may facilitate an understanding of the mechanisms and time-course of repair.
Acknowledgements
This work was supported by grants from NIAMSD (NIH R01-AR051565 and R01-AR044058) and an award to UCSD from the Howard Hughes Medical Institute through the HHMI Professors Program (for RLS).
Footnotes
The authors have no professional or financial conflicts of interest to disclose.
References
- 1.Balazs EA. The physical properties of synovial fluid and the special role of hyaluronic acid. In: Helfet AJ, editor. Disorders of the Knee. Philadelphia: Lippincott Co.; 1974. pp. 63–75. [Google Scholar]
- 2.Dahl LB, Dahl IM, Engstrom-Laurent A, Granath K. Concentration and molecular weight of sodium hyaluronate in synovial fluid from patients with rheumatoid arthritis and other arthropathies. Ann Rheum Dis. 1985;44:817–822. doi: 10.1136/ard.44.12.817. [DOI] [PMC free article] [PubMed] [Google Scholar]
- 3.Mazzucco D, Scott R, Spector M. Composition of joint fluid in patients undergoing total knee replacement and revision arthroplasty: correlation with flow properties. Biomaterials. 2004;25:4433–4445. doi: 10.1016/j.biomaterials.2003.11.023. [DOI] [PubMed] [Google Scholar]
- 4.Schmid T, Lindley K, Su J, Soloveychik V, Block J, Kuettner K, Schumacher B. Superficial zone protein (SZP) is an abundant glycoprotein in human synovial fluid and serum. Trans Orthop Res Soc. 2001;26:82. [Google Scholar]
- 5.Soltz MA, Ateshian GA. Experimental verification and theoretical prediction of cartilage interstitial fluid pressurization at an impermeable contact interface in confined compression. J Biomech. 1998;31:927–934. doi: 10.1016/s0021-9290(98)00105-5. [DOI] [PubMed] [Google Scholar]
- 6.Gratz KR, Wong BL, Bae WC, Sah RL. The effects of focal articular defects on intra-tissue strains in the surrounding and opposing cartilage. Biorheology. 2008;45:193–207. [PubMed] [Google Scholar]
- 7.Schmidt TA, Sah RL. Effect of synovial fluid on boundary lubrication of articular cartilage. Osteoarthritis Cartilage. 2007;15:35–47. doi: 10.1016/j.joca.2006.06.005. [DOI] [PubMed] [Google Scholar]
- 8.Schmidt TA, Gastelum NS, Nguyen QT, Schumacher BL, Sah RL. Boundary lubrication of articular cartilage: role of synovial fluid constituents. Arthritis Rheum. 2007;56:882–891. doi: 10.1002/art.22446. [DOI] [PubMed] [Google Scholar]
- 9.Hoaglund FT. Experimental hemarthrosis. The response of canine knees to injections of autologous blood. J Bone Joint Surg Am. 1967;49:285–298. [PubMed] [Google Scholar]
- 10.Roosendaal G, Vianen ME, Marx JJ, van den Berg HM, Lafeber FP, Bijlsma JW. Blood-induced joint damage: a human in vitro study. Arthritis Rheum. 1999;42:1025–1032. doi: 10.1002/1529-0131(199905)42:5<1025::AID-ANR23>3.0.CO;2-3. [DOI] [PubMed] [Google Scholar]
- 11.Mithoefer K, Williams RJ, 3rd, Warren RF, Potter HG, Spock CR, Jones EC, Wickiewicz TL, Marx RG. Chondral resurfacing of articular cartilage defects in the knee with the microfracture technique. Surgical technique. J Bone Joint Surg Am. 2006;88(Pt 2) Suppl 1:294–304. doi: 10.2106/JBJS.F.00292. [DOI] [PubMed] [Google Scholar]
- 12.Proven D, Singer C, Baglin T, Dokal I. Oxford Handbook of Clinical Haematology. Oxford University Press; 2009. [Google Scholar]
- 13.Salooja N, Perry DJ. Thrombelastography. Blood Coagul Fibrinolysis. 2001;12:327–337. doi: 10.1097/00001721-200107000-00001. [DOI] [PubMed] [Google Scholar]
- 14.Hartert H. Blutgerninnungstudien mit der thromboelastographic, einen neven untersuchingsver fahren. Klin Wochenschr. 1948;26:577–583. doi: 10.1007/BF01697545. [DOI] [PubMed] [Google Scholar]
- 15.Marchand C, Rivard GE, Sun J, Hoemann CD. Solidification mechanisms of chitosan-glycerol phosphate/blood implant for articular cartilage repair. Osteoarthritis Cartilage. 2009;17:953–960. doi: 10.1016/j.joca.2008.12.002. [DOI] [PubMed] [Google Scholar]
- 16.Chen AC, Bae WC, Schinagl RM, Sah RL. Depth- and strain-dependent mechanical and electromechanical properties of full-thickness bovine articular cartilage in confined compression. J Biomech. 2001;34:1–12. doi: 10.1016/s0021-9290(00)00170-6. [DOI] [PubMed] [Google Scholar]
- 17.Kwan MK, Hacker SA, Woo SL-Y, Wayne JS. The effect of storage on the biomechanical behavior of articular cartilage-a large strain study. J Biomech Eng. 1992;114:149–153. doi: 10.1115/1.2895440. [DOI] [PubMed] [Google Scholar]
- 18.Sokal RR, Rohlf FJ. Biometry. New York: WH Freeman and Co.; 1995. [Google Scholar]
- 19.Muzaffar TZ, Youngson GG, Bryce WA, Dhall DP. Studies on fibrin formation and effects of dextran. Thromb Diath Haemorrh. 1972;28:244–256. [PubMed] [Google Scholar]
- 20.Mallett SV, Cox DJ. Thrombelastography. Br J Anaesth. 1992;69:307–313. doi: 10.1093/bja/69.3.307. [DOI] [PubMed] [Google Scholar]
- 21.Pool JG, Gershgold EJ, Pappenhagen AR. High-Potency Antihaemophilic Factor Concentrate Prepared From Cryoglobulin Precipitate. Nature. 1964;203:312. doi: 10.1038/203312a0. [DOI] [PubMed] [Google Scholar]
- 22.Baumgarten M, Bloebaum RD, Ross SD, Campbell P, Sarmiento A. Normal human synovial fluid: osmolality and exercise-induced changes. J Bone Joint Surg Am. 1985;67:1336–1339. [PubMed] [Google Scholar]
- 23.Hwang J, Bae WC, Shieu W, Lewis CW, Bugbee WD, Sah RL. Increased hydraulic conductance of human articular cartilage and subchondral bone plate with progression of osteoarthritis. Arthritis Rheum. 2008;58:3831–3842. doi: 10.1002/art.24069. [DOI] [PMC free article] [PubMed] [Google Scholar]
- 24.Happel J, Brenner H. Low Reynolds Number Hydrodynamics: With Special Applications to Particulate Media. Hingham: Martinus Nihjoff; 1973. [Google Scholar]






