Abstract
Background:
The objective is to study intracranial complications of HIV/AIDS using brain-computed tomography in patients who presented with neurological features before the advent of subsidized HIV/AIDS treatment program with highly active antiretroviral therapy (HAART) in Nigeria.
Materials and Methods:
Retrospective study of patients’ records retrieved from radiology and medical records departments of the hospital. The studied patients had HIV/AIDS and presented with neurological features and underwent CT scan.
Results:
A total of 36 patients who tested positive for HIV and who presented with neurological features suspected to be complications of AIDS were examined with CT scan. They consisted of 24 male and 12 females. The male to female ratio was 2:1. The age of the patients ranged from 27 to 45 years. Seventeen patients (47.2%) were aged 30-34 years. Twenty-four patients (60%) were single while 12 (40%) were married. Twenty-seven patients (75%) were infected with HIV 1 and 2, five patients (13.9%) were infected only with HIV-1 while four were infected with only HIV-2. Presenting neurological complaints include left hemiplegia 13 (36.1%), right hemiplegia 6 (16.7%), coma 7 (19.4%), memory loss/dementia complex 5 (13.9%), convulsion with coma 2 (5.6%), left hemi-pariesis with memory loss 2 (5.6%), and staggering gait 1 (2.8%). The findings in CT scan include infarcts-like lesions 14 (38.9%), multiple ring-enhancing lesions 7 (19.4%), cerebral atrophy 5 (13.9%), multiple nodular lesions 4 (11.1%), acute intracerebral hemorrhage 3 (8.3%), cerebral hemiatrophy 2 (5.6%), and solitary ring-enhancing lesions 1 (2.8%). Eight patients with single or multiple ring enhancing lesions were treated with empirical treatment for toxoplasmosis but only three (37.5%) made full recovery.
Conclusion:
Brain CT scan showed extensive structural damages in patients with HIV/AIDS who were not treated with HAART. Out-of-pocket payment for investigations and treatment and absence of HAART could be partly responsible for high rate of advanced disease.
Keywords: Brain-computed tomography, HIV/AIDS, neurological features, Nigeria, poverty
INTRODUCTION
Computed tomography was first installed in Nigeria in November 19, 1987 at the University College Hospital (UCH) Ibadan.1 Ten years later, 10 other teaching hospitals in the country acquired the facilities in 1996 to 1998.2,3 This was at the time of high prevalence of HIV/AIDS in Nigeria reported at 5.9%.4 Treatment for HIV/AIDS and other medical services at that time was through out-of-pocket payment with high cost of investigations, drugs and high rate of drop-out from treatment.4–6 The minimum wage of workers in Nigeria in the year 2000 was five thousand five hundred naira (N5,500) which translated to about fifty five dollars ($55).7,8 All the comorbidities or opportunistic infections of HIV/AIDS were also treated through out-of-pocket payment because there was no health insurance scheme in Nigeria at that time and government had not started to subsidize investigations and treatment for patient with HIV/AIDS.9–13 The payment for CT scan services and other radiological services by patients with HIV/AIDS in this period was also through out-of-pocket making CT scan to be unaffordable to majority of the patients who needed it.14–16 The cost of CT scan in 1999 to 2003 was thirty thousand naira (N30,000) or three hundred dollars ($300) and the minimum wage of workers ranged from five thousand five hundred naira only (N5,500) to seven thousand five hundred naira only or fifty five to seventy five dollars only ($55-$75). Therefore the cost of CT scan was at least six times the total take home pay of the minimum wage earner and over 50% of Nigerians were living on less than one US dollar per day as at 1998.7–9
The result of these was high rate of advanced disease and inadequate investigations and treatment since the patients must paid through out-of-pocket for practically every aspect of medical expenses.4,5 At this time the campaign for voluntary HIV/AIDS testing could not answer the question of the payment modality and therefore did not gain appreciable momentum. Highly active antiretroviral therapy (HAART) was not yet available in the country.4–6,12 Cases of patients with neurological complication of HIV/AIDS and who could afford CT scan were studied. This study aimed to document experiences in Nigeria regarding the neurological complication of HIV/AIDS in 1999-2003, when there was no government intervention in the investigations and treatment.
MATERIALS AND METHODS
The study consisted of retrospective analysis of case notes, CT scan request cards, CT scan reports, CT scan films of patients with HIV/AIDS retrieved from radiology and medical records departments of the hospital. The study of the medical records was done from April 1, 2010 to September 30, 2011. The patients were referred for the CT scan on account of development of focal or generalized neurological symptoms and signs suspected to be central nervous complication of HIV/AIDS. The studied medical records and radiology images covered a-4-year period (April 1, 1999 to March 30, 2003). Third-generation single slice scanner, SOMATOM AT (Siemens AG, Germany 1994), was used in the brain imaging.
The CT scans were all cranial CT scans. Ten millimeter slices were taken from the base of the skull to the vertex. However, 2 mm slices were taken in the areas with lesions. Low-osmolar contrast medium (iopamidol, 40 ml) was administered intravenously to those patients in whom acute hemorrhage had been excluded by the initial non-contrast scans. The result was analysed using Microsoft Excel (Microsoft Inc., USA, 2006).
RESULTS
A total of 36 patients whose clinical and laboratory results had proven their HIV/AIDS status as positive and who presented clinically with neurological symptoms and signs were examined with CT scan in the unit of the authors. They consisted of 24 males and 12 females with male-to-female ratio of 2:1. Twenty-four patients (60%) were single while 12 (40%) were married. Majority of the patients were young adults [Table 1]. Twenty-seven patients (75%) were infected with HIV I and II, 5 patients (13.89%) were infected only with HIV-I while 4 were infected with only HIV-II. The patients’ age ranged from 27 to 45 years. Seventeen patients (47.22%) were aged 30-34 years. On the whole 36 patients presented with focal or generalized neurological symptoms suspected to be consistent with stroke, intracranial mass lesion, neurological, and neurobehavioural diseases as well as other coexisting symptoms [Table 2]. The presenting complaints are shown in Table 2. The findings in the CT scan are shown in Table 3, Figures 1–4. Seven of the patients died. The other twenty-six patients could not be followed up for long time due to lack of adequate communication facilities and non-compliance to regular clinic visit probably resulting from stigmatization or inability to continue the expensive out-of-pockect payment for their treatment.
Table 1.
Age range of the patients

Table 2.
Presenting complaints

Table 3.
Findings in brain CT scan

Figure 1.

(a) Non-contrast CT scan showing an extensive hypodense lesion in the area of the right basal ganglia with mass effect. (b) Contrast enhancement shows multiple ring enhancing lesions within the hypodense mass. This was a case of cerebral toxoplasmosis as the patient recovered completely with drug treatment for this condition
Figure 4.

CT scan image of the brain showing solitary ring enhancing lesion in the left frontal lobe in a patient with HIV/AIDS
DISCUSSION
In sub-Saharan African with high rate of poverty out-of-pocket payment method during the study period, illiteracy, and advanced stages of HIV/AIDS were frequently observed in the hospitals.7,8 In previous studies by several authors, central nervous system (CNS) complications were observed in 75% of patients with HIV/AIDS showing that this might be a leading cause of death. For patients with HIV/AIDS who were attending clinics for the first time, 25% presented neurological symptoms.4,6,14,17
In this study, 27 patients (75%) were aged 25 to 39 years which is the most productive period of their life. This finding is consistent with reports by other authors.4,6,14,17,18 Twenty-four males (60%) were investigated with CT scan compared to 12 females (40%). This sex ratio is at variance with what was obtained by other authors who studied the prevalence rate of HIV/AIDS in other populations.15,16 However, in a system where the mode of payment was out-of-pocket, it may reflect the ability of more males to pay for expensive investigations compared to females since males are often the breadwinners, more literate, more likely to be employed and more capable financially.7,8
Twenty-four patients (60%) were single and 12 (40%) were married. This agreed with the reports by other authors.4,19 All the patients presented with advanced diseases, with serious CNS complaints or symptoms that encouraged them or their relations to pay for the CT scan study. All the features which the patients presented with were serious neurological features making this group a highly selected group. The high cost of CT scan compared to the patients earnings, mean that only very serious symptoms and signs convinced the patient or relations to pay for the CT study.12,13 The features seen on CT scan showed that cerebral infarct-like lesions 14 (38.9%) were the most common findings on CT scan. These were moderate in size and multiple in majority of the cases. The next highest recorded finding was multiple ring-enhancing lesions with associated hypodense mass effect due to surrounding oedema. These lesions have many differential diagnosis including toxoplasmosis, lymphoma, tuberculosis, bacterial meningitis with cerebral abscess, progressive multifocal leucoencephalopathy, cytomegalovirus infection, and cerebral fungal infection and it is impossible to differentiate each of these as the cause in each case using computed tomography alone.20–22 Two or more of these causes of multiple ring-enhancing lesions could coexist. Biopsy for histology was not done because of the absence of facilities for this in our centre at that time. Three patients with single or multiple ring-enhancing lesions recovered following drug treatment for cerebral toxoplasmosis [Figures 1 and 4]. Coexistence of more than one cause of single or multiple ring-enhancing lesions could be responsible for incomplete response in other patients treated for cerebral toxoplasmosis. Other causes of ring-enhancing lesions could not be conclusively diagnosed. Cerebral atrophy (15.9%) was the third highest lesion noted. Multiple nodular lesions which were mostly hyperdense, suggestive of granulomatous lesions were seen in four patients (11.1%) [Figure 2]. Other lesions recorded are shown in the table. These findings are consistent with the report of other authors that the main diagnoses to exclude in patient with HIV/AIDS which led to request for brain CT scans were stroke, tuberculosis, toxoplasmosis and lymphoma.4,6,10,17,18 Cerebral infarct-like lesions [Figure 3], presenting clinically as stroke, is recognized as one of the radiological findings of many CNS conditions in patients with AIDS who develop focal mass-like effect and ring-enhancing lesions.21–27 In this study, brain mass lesion was seen in 11.1%. This finding agrees with the findings by other authors that brain mass lesions were seen in 10% of patient with HIV/AIDS.4,17–26,28
Figure 2.

Multiple hyperdense nodular densities due to cerebral granulomas in a patience with HIV/AIDS
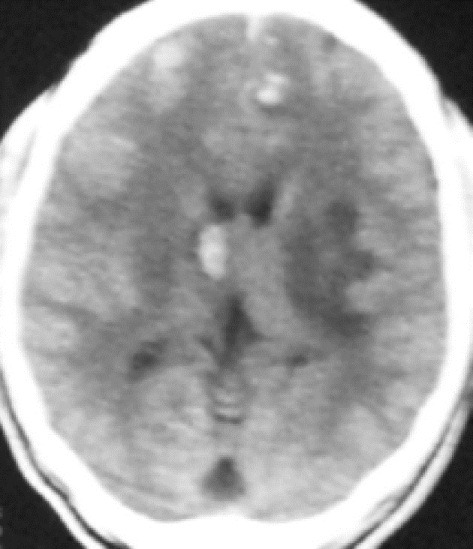
Figure 3.

CT scan image of the brain showing infarct-like lesion in the right frontal-parietal lobe in a patient with HIV/AIDS
The importance of the study is that brain mass lesions in patients with HIV/AIDS were often caused by oedema of the CNS due to infections such as cerebral bacterial abscess, toxoplasmosis, tuberculosis, and other granulomatous lesions [Figures 1, 2 and 4]. The patients’ conditions could be improved by the relieve of the oedema with appropriate drug treatment of the causes.4,10,18,24,25 For instance, some of the patients with toxoplasmosis improved with the correct treatment for this condition in this study. CNS lymphoma and other noninfections conditions are however very difficult to exclude using imaging alone and thus biopsy for histology and other diagnostic investigations are invaluable where facilities are available.
In conclusion, patients with HIV/AIDS in Nigeria in the study period made late presentations partly due to out-of-pocket payment for investigations and treatment. Those who presented with neurological features who had CT scan had very serious structural brain abnormalities some of which were treatable. Even though it is expensive compared to the patients’ earning power in sub-Saharan Africa, when affordable CT scan is advocated for patients with HIV/AIDS who develop focal neurological symptoms for early diagnosis and treatment of treatable structural brain lesions. Advocacy and attitudinal change to a more healthy lifestyle, fidelity, adherence to one partner, and the use of condoms remain the key to prevention of HIV/AIDS and thus its complications in our environment.
ACKNOWLEDGMENTS
We are very grateful to the staff of Medicine and Radiology and Medical Records Departments of University of Benin Teaching Hospital, Benin City for their cooperation during this study. Part of materials for this study was submitted as ‘Collection of Short Cases’ by Dr Kenneth. C. Eze, to the National Postgraduate Medical College of Nigeria, Lagos, Faculty of Radiology, in partial fulfillment of the award of Fellowship of the College (Part II) in November 2003.
Footnotes
Source of Support: Nil
Conflict of Interest: None declared.
REFERENCES
- 1.Onyechi NN. Owerri, Nigeria: Nigeriana Publications; 1999. Nigerian books of firsts; p. 142. [Google Scholar]
- 2.Aguloye AM, Adeyinka AO, Obajimi MO, Malomo A, Shokumbi MT. Computerised Tomography of Intracranial Subdural Haematoma in Ibadan. Afr J Med Med Sci. 2003;32:235–8. [PubMed] [Google Scholar]
- 3.Ogunseyinde AO, Obayimi MO, Ogundare SM. Radiological Evaluation of Head Trauma by Computed Tomography in Ibadan. West Afr J Med. 1999;18:33–8. [PubMed] [Google Scholar]
- 4.Adeolu AA, Malomo AO, Shokunbi MT, Shokunbi WA, Obajimi MO, Komolafe EO. Cranial Computed Tomography (CT) finding in HIV-positive Nigerians patients presenting for neurological evaluation. West Afr J Med. 2006;25:69–74. doi: 10.4314/wajm.v25i1.28249. [DOI] [PubMed] [Google Scholar]
- 5.Mahal A, Canning D, Odumosu K, Okonkwo P. Assessing the economic impact of HIV/AIDS on Nigerian households: A propensity score matching approach. AIDS. 2008;22(Suppl 1):S95–101. doi: 10.1097/01.aids.0000327629.62350.59. [DOI] [PubMed] [Google Scholar]
- 6.Ogunseyinde AO, Familusi JB. HIV-associated lymphoma. A case report. Afr J Med Med Sci. 2002;31:283–5. [PubMed] [Google Scholar]
- 7.Kashner Z, editor. New York: World almanac books; 2007. The world almanac and book of facts 2007; p. 806. [Google Scholar]
- 8.McGeveran WA Jr, editor. New York: World almanac books; 2003. The world almanac and year book of facts 2003; p. 824. [Google Scholar]
- 9.Adeneye AK, Brieger WR, Mafe MA, Adeneye AA, Salami KK, Titiloye MA, et al. Willingness to seek HIV testing and counseling among pregnant women attending antenatal clinics in Ogun State, Nigeria. Int Q Community Health Educ. 2006-2007;26:337–53. doi: 10.2190/IQ.26.4.c. [DOI] [PubMed] [Google Scholar]
- 10.Emeka EU, Ogunrin AO, Olubunmi A. Cerebellar toxoplasmosis in HIV/AIDS: A case report. West Afr J Med. 2010;29:123–6. doi: 10.4314/wajm.v29i2.68208. [DOI] [PubMed] [Google Scholar]
- 11.Adedigba MA, Naidoo S, Ogunbodede EO. Cost implications for the treatment of five oral lesions commonly found in HIV/AIDS. Odontostomatol Trop. 2009;32:17–24. [PubMed] [Google Scholar]
- 12.Oluwagbemiga AE. HIV/AIDS and family support systems: A situation analysis of people living with HIV/AIDS in Lagos State. Sahara J. 2007;4:668–77. doi: 10.1080/17290376.2007.9724890. [DOI] [PMC free article] [PubMed] [Google Scholar]
- 13.Sadoh WE, Oviawe O. The economic burden to families of HIV and HIV/tuberculosis coinfection in a subsidized HIV treatment program. J Natl Med Assoc. 2007;99:627–31. [PMC free article] [PubMed] [Google Scholar]
- 14.Imran S, Idrees M. Role of CT scan in the diagnosis of brain infection. J Ayub Med Coll Abbottabad. 2002;14:10–13. [PubMed] [Google Scholar]
- 15.Lopez AD, Mathers CD, Ezzati M, Jamison DT, Murray CJ. Global and regional burden of disease and risk factors, 2001: Systematic analysis of population health data. Lancet. 2006;367:1747–57. doi: 10.1016/S0140-6736(06)68770-9. [DOI] [PubMed] [Google Scholar]
- 16.Mathers CD, Loncar D. Projections of global mortality and burden of disease from 2002 to 2030. PLoS Med. 2006;3:e442. doi: 10.1371/journal.pmed.0030442. [DOI] [PMC free article] [PubMed] [Google Scholar]
- 17.Pucchioni M, Favorato AC, Andre C, Pexoto CA, Novis SA. Acquired Immunodeficiency Syndrome.Analysis of neurological complications in 44 cases. Arq Neuropsiquiatr. 1989;47:385–91. doi: 10.1590/s0004-282x1989000400002. [DOI] [PubMed] [Google Scholar]
- 18.Barber CJ, Rowland PC, McCarty M, Choudhri AH, Stevens JM. Clinical Utility of cranial CT in HIV and AIDS patients with neurological disease. Clin Radiol. 1990;4293:164–5. doi: 10.1016/s0009-9260(05)81925-7. [DOI] [PubMed] [Google Scholar]
- 19.Gifford AL, Hecht FM. Evaluating HIV-infected patients with headache: Who needs computed tomography? Headache. 2001;41:441–8. doi: 10.1046/j.1526-4610.2001.01081.x. [DOI] [PubMed] [Google Scholar]
- 20.Olatunji PO, Olawumi HO. HIV/AIDS in Ilorin: Changing trend, emerging risk factors. Niger Postgrad Med J. 2006;13:107–10. [PubMed] [Google Scholar]
- 21.Gallo P, De Rossi A, Amadori A, Tarolato B, Chieco- Bianchi L. Central nervous system involvement in HIV infection. AIDS Res Hum Retroviruses. 1988;4:211–21. doi: 10.1089/aid.1988.4.211. [DOI] [PubMed] [Google Scholar]
- 22.Bhigjee AI, Naidoo K, Patal VB, Govender D. Intracranial mass lesion in HIV-positive patients of the Kwazulu/Natal experience.Neuroscience Aids Research Group. S Afr Med J. 1999;89:1284–8. [PubMed] [Google Scholar]
- 23.Petly RK, Kennedy PG. The neurological features of HIV-positive patients in Glasgow-A retrospective study of 90 cases. Q J Med. 1992;82:223–4. [PubMed] [Google Scholar]
- 24.Cimino C, Lipton RB, Williams A, Ferani E, Harris C, Hirschfield A. The evaluation of patients with human immunodeficiency virus-related disorder and brain mass lesion. Arch Intern Med. 1992;152:2139–40. [PubMed] [Google Scholar]
- 25.Cordero E, Lara C, Canas E, Romero J, Trujillo F, Clincho I, et al. usefulness of Cerebral biopsy in focal cerebral lesions in patients with human immunodeficiency virus infection. Med Clin (BARC) 1996;167:738–41. [PubMed] [Google Scholar]
- 26.Tso EL, Todd WC, Groleau GA, Hooper FJ. Cranial Computed Tomography in the emergency department evaluation of HIV-infected patients with neurologic complaints. Ann Emerg Med. 1993;2297:1169–76. doi: 10.1016/s0196-0644(05)80984-9. [DOI] [PubMed] [Google Scholar]
- 27.Wery D, Lemort M, Cattau A, Hermans P, Clumeck N, Jeanmark L. Computed tomography aspect of cerebral toxoplasmosis in AIDS. J Belge Radiol. 1990;73:162–72. [PubMed] [Google Scholar]
- 28.Marik PE, Rakusin A, Sandhu SS. The impact of the accessibility of cranial CT scans on patient evaluation and management decisions. J Intern Med. 1997;241:237–43. doi: 10.1046/j.1365-2796.1997.102116000.x. [DOI] [PubMed] [Google Scholar]
