Abstract
Sinus venosus defects account for 15% of all atrial septal defects. They are frequently associated with partial anomalous pulmonary venous drainage of the right superior pulmonary vein into the superior vena cava (SVC). These defects require surgical correction and accurate pre-operative imaging assessment is critical. We present a case of sinus venosus atrial septal defect in which multidetector computed tomography (MDCT) angiography identified separate sites of pulmonary venous return.
Keywords: Computed tomography (CT), atrial septal defect, sinus venosus
A 32-year-old man with no significant past medical history presented with a history of exertional dsyncope and palpitations. Clinical examination was unremarkable. Electrocardiogram showed partial right bundle branch block with abnormal repolarisation in V2-V4 and a transthoracic echocardiogram (TTE) showed a dilated and hypertrabeculated right ventricle (Figure 1A). A cardiac MRI study was undertaken for suspected arrythmogenic right ventricular cardiomyopathy. This showed a superior sinus venosus type atrial septal defect (SV-ASD) with partial anomalous pulmonary venous return (PAPVR) of the right superior pulmonary vein into the superior vena cava (SVC) as the cause for right heart enlargement (Figure 1B-D). Volumetric MRI data showed a left to right shunt fraction of 2:1. A multidetector computed tomography (MDCT) angiography study was undertaken to map the pulmonary veins prior to surgical referral. This showed the anterior and posterior right upper lobe segmental veins draining via a common channel into the distal SVC at the mouth of the SV-ASD and also showed the apical right upper lobe segmental vein draining separately into the proximal SVC, 2 cm cranial to the SV-ASD (Figure 2).
Figure 1.

(A) 4-chamber apical TTE image showing a dilated hypertrabeculated and volume loaded right ventricle; (B) 4-chamber SSFP MRI image confirming right ventricular enlargement and flattening of the interventricular septum in keeping with volume loading; (C) Axial SSFP MRI image through the superior aspect of the interatrial septum showing the sinus venosus ASD (arrow); (D) Axial SSFP MRI image slightly cranial to (C) showing anomalous venous return of the right superior pulmonary vein into the distal SVC (arrows). RV, right ventricle; LV, left ventricle; Ao, aorta; LA, left atrium; RA, right atrium; RPA, right pulmonary artery; TTE, transthoracic echocardiogram; SSFP, steady state free precession; SVC, superior vena cava; ASD, atrial septal defect.
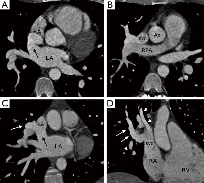
Figure 2.

(A) Axial MDCT image showing the sinus venosus ASD (arrow); (B) Axial MDCT image showing drainage of the anterior and posterior segmental pulmonary veins from the right upper lobe via a common channel into the distal SVC (arrows); (C) Axial oblique MDCT reconstruction through the right atrium-SVC junction showing the confluence of the anomalous venous return and sinus venosus ASD (arrow); (D) Coronal oblique MDCT reconstruction showing separate anomalous pulmonary venous return from the anterior and posterior segmental right upper lobe veins (arrows) and the apical segmental vein into the SVC (arrowheads). RV, right ventricle; Ao, aorta; LA, left atrium; RA, right atrium; RPA, right pulmonary artery; MDCT, multidetector computed tomography; ASD, atrial septal defect; SVC, superior vena cava.
SV-ASD represents 2-12% of all ASDs and most commonly involves a communication between the right atrium-SVC junction and the left atrium (superior SV-ASD) (1). There is a frequent association with PAPVR of the right upper lobe into the SVC in 80-90% of cases which further enhances the volume of left to right shunting with an increased likelihood of pulmonary hypertension (2). Standard TTE windows may struggle to identify both a SV-ASD and PAPVR. Recently MRI and MDCT have been shown as reliable techniques for establishing the diagnosis, defining pulmonary venous anatomy and quantifying the left to right shunt fraction (3). MDCT is particularly well suited to pulmonary venous assessment because of its high spatial resolution (0.4-0.6 mm), fast acquisition speed and wide volume coverage which enables detection of very small anomalous vessels which may be overlooked on standard MRI sequences. While other forms of ASD may be amenable to percutaneous closure, treatment of SV-ASD usually requires surgery to close the defect and redirect any PAPVR (4).
Acknowledgments
Disclosure: The authors declare no conflict of interest.
References
- 1.Oliver JM, Gallego P, Gonzalez A, Dominguez FJ, Aroca A, Mesa JM. Sinus venosus syndrome: atrial septal defect or anomalous venous connection? A multiplane transoesophageal approach. Heart 2002;88:634-8. [DOI] [PMC free article] [PubMed] [Google Scholar]
- 2.Gaca AM, Jaggers JJ, Dudley LT, Bisset GS, 3rd. Repair of congenital heart disease: a primer--Part 2. Radiology 2008;248:44-60. [DOI] [PubMed] [Google Scholar]
- 3.Kafka H, Mohiaddin RH. Cardiac MRI and pulmonary MR angiography of sinus venosus defect and partial anomalous pulmonary venous connection in cause of right undiagnosed ventricular enlargement. AJR Am J Roentgenol 2009;192:259-66. [DOI] [PubMed] [Google Scholar]
- 4.Hildick-Smith DJ, O’Sullivan M, Wisbey CR. Amplatzer device closure of atrial septal defects in mature adults: analysis of 76 cases. Heart 2004;90:334-5. [DOI] [PMC free article] [PubMed] [Google Scholar]
