Full text
PDF























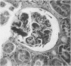
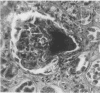
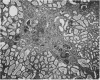
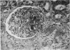
Images in this article
Selected References
These references are in PubMed. This may not be the complete list of references from this article.
- Bell E. T. Renal Lesions in the Toxemias of Pregnancy. Am J Pathol. 1932 Jan;8(1):1–42.5. [PMC free article] [PubMed] [Google Scholar]












