Abstract
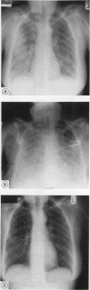
BACKGROUND: Low dose methotrexate has become established in the treatment of refractory rheumatoid arthritis. Until recently it has been considered that the use of a low dose regimen (< 20 mg/week) would avoid the pulmonary toxicity associated with the higher doses prescribed in malignant disease. Although initial experience with low dose methotrexate was encouraging, an increasing number of cases of an acute, life threatening pneumonitis are being reported in patients with refractory rheumatoid arthritis. PATIENTS: Since 1984 43 patients with refractory rheumatoid arthritis have been established on low dose methotrexate in the Oxford Health District. Five of these patients have subsequently developed acute methotrexate induced pneumonitis. The clinical and radiological features of these cases are described and previous reports reviewed. RESULTS: Five patients having low dose methotrexate treatment developed acute pneumonitis. Presentation was subacute and dominated by constitutional features. Respiratory symptoms developed insidiously but progressed rapidly with increasing dyspnoea associated with severe hypoxia. Chest radiographs were non-specific, showing diffuse interstitial infiltration and alveolar shadowing. Microbiological investigation gave negative results. In all cases methotrexate was discontinued and high dose corticosteroids started, with rapid clinical and radiological improvement. After withdrawal of steroid both clinical and radiological resolution was maintained at follow up. CONCLUSION: Acute pneumonitis is an uncommon but serious adverse effect of low dose methotrexate treatment for refractory rheumatoid arthritis. The initial presentation is non-specific and a high index of suspicion is required as respiratory failure may develop rapidly. Management depends on exclusion of infection, withdrawal of methotrexate, and high dose corticosteroid treatment. Full supportive treatment is indicated as the prognosis in such patients is good.
Full text
PDF





Images in this article
Selected References
These references are in PubMed. This may not be the complete list of references from this article.
- Akoun G. M., Gauthier-Rahman S., Mayaud C. M., Touboul J. L., Denis M. F. Leukocyte migration inhibition in methotrexate-induced pneumonitis. Evidence for an immunologic cell-mediated mechanism. Chest. 1987 Jan;91(1):96–99. doi: 10.1378/chest.91.1.96. [DOI] [PubMed] [Google Scholar]
- Akoun G. M., Mayaud C. M., Touboul J. L., Denis M. F., Milleron B. J., Perrot J. Y. Use of bronchoalveolar lavage in the evaluation of methotrexate lung disease. Thorax. 1987 Sep;42(9):652–655. doi: 10.1136/thx.42.9.652. [DOI] [PMC free article] [PubMed] [Google Scholar]
- Anderson L. L., Collins G. J., Ojima Y., Sullivan R. D. A study of the distribution of methotrexate in human tissues and tumors. Cancer Res. 1970 May;30(5):1344–1348. [PubMed] [Google Scholar]
- Cannon G. W., Ward J. R., Clegg D. O., Samuelson C. O., Jr, Abbott T. M. Acute lung disease associated with low-dose pulse methotrexate therapy in patients with rheumatoid arthritis. Arthritis Rheum. 1983 Oct;26(10):1269–1274. doi: 10.1002/art.1780261015. [DOI] [PubMed] [Google Scholar]
- Carson C. W., Cannon G. W., Egger M. J., Ward J. R., Clegg D. O. Pulmonary disease during the treatment of rheumatoid arthritis with low dose pulse methotrexate. Semin Arthritis Rheum. 1987 Feb;16(3):186–195. doi: 10.1016/0049-0172(87)90021-7. [DOI] [PubMed] [Google Scholar]
- Clarysse A. M., Cathey W. J., Cartwright G. E., Wintrobe M. M. Pulmonary disease complicating intermittent therapy with methotrexate. JAMA. 1969 Sep 22;209(12):1861–1868. [PubMed] [Google Scholar]
- Cooper J. A., Jr, White D. A., Matthay R. A. Drug-induced pulmonary disease. Part 1: Cytotoxic drugs. Am Rev Respir Dis. 1986 Feb;133(2):321–340. doi: 10.1164/arrd.1986.133.2.321. [DOI] [PubMed] [Google Scholar]
- Engelbrecht J. A., Calhoon S. L., Scherrer J. J. Methotrexate pneumonitis after low-dose therapy for rheumatoid arthritis. Arthritis Rheum. 1983 Oct;26(10):1275–1278. doi: 10.1002/art.1780261016. [DOI] [PubMed] [Google Scholar]
- Ettensohn D. B., Roberts N. J., Jr, Condemi J. J. Bronchoalveolar lavage in gold lung. Chest. 1984 Apr;85(4):569–570. doi: 10.1378/chest.85.4.569. [DOI] [PubMed] [Google Scholar]
- Filip D. J., Logue G. L., Harle T. S., Farrar W. H. Pulmonary and hepatic complications of methotrexate therapy of psoriasis. JAMA. 1971 May 3;216(5):881–882. [PubMed] [Google Scholar]
- From E. Methotrexate pneumonitis in a psoriatic. Br J Dermatol. 1975 Jul;93(1):107–110. doi: 10.1111/j.1365-2133.1975.tb06485.x. [DOI] [PubMed] [Google Scholar]
- Furst D. E., Erikson N., Clute L., Koehnke R., Burmeister L. F., Kohler J. A. Adverse experience with methotrexate during 176 weeks of a longterm prospective trial in patients with rheumatoid arthritis. J Rheumatol. 1990 Dec;17(12):1628–1635. [PubMed] [Google Scholar]
- Gispen J. G., Alarcón G. S., Johnson J. J., Acton R. T., Barger B. O., Koopman W. J. Toxicity of methotrexate in rheumatoid arthritis. J Rheumatol. 1987 Feb;14(1):74–79. [PubMed] [Google Scholar]
- Hanrahan P. S., Scrivens G. A., Russell A. S. Prospective long term follow-up of methotrexate therapy in rheumatoid arthritis: toxicity, efficacy and radiological progression. Br J Rheumatol. 1989 Apr;28(2):147–153. doi: 10.1093/rheumatology/28.2.147. [DOI] [PubMed] [Google Scholar]
- Kremer J. M., Lee J. K. The safety and efficacy of the use of methotrexate in long-term therapy for rheumatoid arthritis. Arthritis Rheum. 1986 Jul;29(7):822–831. doi: 10.1002/art.1780290702. [DOI] [PubMed] [Google Scholar]
- Nesbit M., Krivit W., Heyn R., Sharp H. Acute and chronic effects of methotrexate on hepatic, pulmonary, and skeletal systems. Cancer. 1976 Feb;37(2 Suppl):1048–1057. doi: 10.1002/1097-0142(197602)37:2+<1048::aid-cncr2820370811>3.0.co;2-v. [DOI] [PubMed] [Google Scholar]
- Nyfors A. Benefits and adverse drug experiences during long-term methotrexate treatment of 248 psoriatics. Dan Med Bull. 1978 Oct;25(5):208–211. [PubMed] [Google Scholar]
- Phillips T. J., Jones D. H., Baker H. Pulmonary complications following methotrexate therapy. J Am Acad Dermatol. 1987 Feb;16(2 Pt 1):373–375. doi: 10.1016/s0190-9622(87)70052-8. [DOI] [PubMed] [Google Scholar]
- Ridley M. G., Wolfe C. S., Mathews J. A. Life threatening acute pneumonitis during low dose methotrexate treatment for rheumatoid arthritis: a case report and review of the literature. Ann Rheum Dis. 1988 Sep;47(9):784–788. doi: 10.1136/ard.47.9.784. [DOI] [PMC free article] [PubMed] [Google Scholar]
- Robbins K. M., Gribetz I., Strauss L., Leonidas J. C., Sanders M. Pneumonitis in acute lymphatic leukemia during methotrexate therapy. J Pediatr. 1973 Jan;82(1):84–88. doi: 10.1016/s0022-3476(73)80018-6. [DOI] [PubMed] [Google Scholar]
- Roschmann R. A., Rothenberg R. J. Pulmonary fibrosis in rheumatoid arthritis: a review of clinical features and therapy. Semin Arthritis Rheum. 1987 Feb;16(3):174–185. doi: 10.1016/0049-0172(87)90020-5. [DOI] [PubMed] [Google Scholar]
- Schwartz G. F., Anderson S. T. Methotrexate induced pneumonitis in a young woman with psoriasis and rheumatoid arthritis. J Rheumatol. 1990 Jul;17(7):980–980. [PubMed] [Google Scholar]
- Shiel W. C., Jr, Prete P. E. Pleuropulmonary manifestations of rheumatoid arthritis. Semin Arthritis Rheum. 1984 Feb;13(3):235–243. doi: 10.1016/0049-0172(84)90027-1. [DOI] [PubMed] [Google Scholar]
- Sostman H. D., Matthay R. A., Putman C. E., Smith G. J. Methotrexate-induced pneumonitis. Medicine (Baltimore) 1976 Sep;55(5):371–388. doi: 10.1097/00005792-197609000-00002. [DOI] [PubMed] [Google Scholar]
- St Clair E. W., Rice J. R., Snyderman R. Pneumonitis complicating low-dose methotrexate therapy in rheumatoid arthritis. Arch Intern Med. 1985 Nov;145(11):2035–2038. doi: 10.1001/archinte.145.11.2035. [DOI] [PubMed] [Google Scholar]
- Thompson R. N., Watts C., Edelman J., Esdaile J., Russell A. S. A controlled two-centre trial of parenteral methotrexate therapy for refractory rheumatoid arthritis. J Rheumatol. 1984 Dec;11(6):760–763. [PubMed] [Google Scholar]
- Verdich J., Christensen A. L. Pulmonary disease complicating intermittent methotrexate therapy of psoriasis. Acta Derm Venereol. 1979;59(5):471–473. [PubMed] [Google Scholar]
- Weinblatt M. E., Coblyn J. S., Fox D. A., Fraser P. A., Holdsworth D. E., Glass D. N., Trentham D. E. Efficacy of low-dose methotrexate in rheumatoid arthritis. N Engl J Med. 1985 Mar 28;312(13):818–822. doi: 10.1056/NEJM198503283121303. [DOI] [PubMed] [Google Scholar]
- White D. A., Rankin J. A., Stover D. E., Gellene R. A., Gupta S. Methotrexate pneumonitis. Bronchoalveolar lavage findings suggest an immunologic disorder. Am Rev Respir Dis. 1989 Jan;139(1):18–21. doi: 10.1164/ajrccm/139.1.18. [DOI] [PubMed] [Google Scholar]
- Williams H. J., Willkens R. F., Samuelson C. O., Jr, Alarcón G. S., Guttadauria M., Yarboro C., Polisson R. P., Weiner S. R., Luggen M. E., Billingsley L. M. Comparison of low-dose oral pulse methotrexate and placebo in the treatment of rheumatoid arthritis. A controlled clinical trial. Arthritis Rheum. 1985 Jul;28(7):721–730. doi: 10.1002/art.1780280702. [DOI] [PubMed] [Google Scholar]
- van Deursen C. T., Koudstaal J., Maesen F. P. A patient with methotrexate lung and granulomatous changes in the liver--or just sarcoidosis? Int J Clin Pharmacol Ther Toxicol. 1988 Jun;26(6):293–296. [PubMed] [Google Scholar]


