Abstract
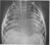
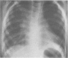
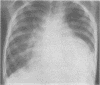
Two young patients with complex congenital heart disease developed congestive cardiac failure and unilateral pulmonary oedema following palliative Blalock-Taussig pulmonary artery to systemic artery shunts. Following the failure of medical therapy these shunts were constricted by using braided silk ligature material, after which the heart failure and pulmonary oedema resolved.
Full text
PDF





Images in this article
Selected References
These references are in PubMed. This may not be the complete list of references from this article.
- Albers W. H., Nadas A. S. Unilateral chronic pulmonary edema and pleural effusion after systemic-pulmonary artery shunts for cyanotic congenital heart disease. Am J Cardiol. 1967 Jun;19(6):861–866. doi: 10.1016/0002-9149(67)90509-7. [DOI] [PubMed] [Google Scholar]
- BAUERSFELD S. R., MCNAMARA D. G., TAUSSIG H. B., WHITE B. D. Five-year postoperative results of first 500 patients with Blalock-Taussig anastomosis for pulmonary stenosis or atresia. Circulation. 1956 Oct;14(4 Pt 1):512–519. doi: 10.1161/01.cir.14.4.512. [DOI] [PubMed] [Google Scholar]
- BLALOCK A., HANLON C. R. The surgical treatment of complete transposition of the aorta and the pulmonary artery. Surg Gynecol Obstet. 1950 Jan;90(1):1-15, illust. [PubMed] [Google Scholar]
- PAUL M. H., MILLER R. A., POTTS W. J. Long-term results of aortic-pulmonary anastomosis for tetralogy of Fallot. An analysis of the first 100 cases eleven to thirteen years after operation. Circulation. 1961 Apr;23:525–533. doi: 10.1161/01.cir.23.4.525. [DOI] [PubMed] [Google Scholar]
- ROSS R. S., TAUSSIG H. B., EVANS M. H. Late hemodynamic complications of anastomotic surgery for treatment of the tetralogy of Fallot. Circulation. 1958 Oct;18(4 Pt 1):553–561. doi: 10.1161/01.cir.18.4.553. [DOI] [PubMed] [Google Scholar]
- TAUSSIG H. B., CRAWFORD H., PELARGONIO S., ZACHARIOUDAKIS S. Ten to thirteen year follow-up on patients after a Blalock-Taussig operation. Circulation. 1962 Apr;25:630–634. doi: 10.1161/01.cir.25.4.630. [DOI] [PubMed] [Google Scholar]
- WATERSTON D. J. [Treatment of Fallot's tetralogy in children under 1 year of age]. Rozhl Chir. 1962 Mar;41:181–183. [PubMed] [Google Scholar]







