Abstract
Elevated skull fractures form a rare subset of compound skull fractures. Owing to the paucity of cases studied and reported, these fractures still remain an under-recognized entity. We attempt to highlight the incidence of these relatively rare presentations of head injury. We had prospectively studied eight cases of elevated skull fractures in a mixed population of adults (five patients) and pediatric age group (three patients). Patients were evaluated in terms of clinical presentation, mode and mechanism of injury, treatment options, and final outcome, highlighting the appropriate management strategies taken in each case. The injury in these patients was due to tangential impact of a heavy object or assault weapon. Compounding of the fracture externally and dural tears was an inconstant feature. Associated intracranial injuries were cerebral contusions and extradural hematomas. An initial conservative therapy was given to all pediatric patients while adult patients underwent explorative craniectomy and evacuation of hematoma. Although an unusual presentation of skull fractures, elevated skull fractures warrant an early diagnosis, careful clinical evaluation, and prompt surgical therapy (whenever needed) for a successful outcome.
Keywords: Elevated skull fracture, Duraplasty, Head injury
Introduction
Elevated or everted skull fracture is defined as a fracture in which the fractured portion is elevated above the level of intact skull [1]. This pathological entity, even though infrequently encountered in modern surgical practice, was described as early as 1650–1550 BC where it finds a distinct mention in Edwin Smith Papyrus which is a didactic trauma treatise of neurosurgical interest [2, 3]. Either owing to the rarity of occurrence or neglect, this fracture remained unreported in surgical texts till as late as 1976 when Ralston mentioned its occurrence and reviewed the pathology [4]. In recent years, these fractures have drawn an increased interest of authors but still only a handful of cases have been reported. These testimonies are seldom able to cite the varied presentation of these pathological entities. We present a series (one of the largest in English literature, to the best of our knowledge) of eight cases we had experienced in our clinical practice.
Materials and Methods
Over the past 6 years, eight patients with elevated skull fractures had reported to our institution. The mode of injury ranged from assault and road traffic accidents to blunt trauma to the skull due to fall. The patients were managed either conservatively or by performing decompressive craniectomies.
The following demographic and treatment factors were examined retrospectively for prognostic importance: patient age group (pediatric vs. adult), gender, mode and mechanism of injury, Glasgow Coma Scale or pediatric Glasgow Coma Scale at admission and discharge, features of injury, radiological findings, and treatment modalities. The cases are summarized in Table 1.
Table 1.
Case summary of patients with elevated skull fractures
| Case no. | Age/sex | Mode of injury | Mechanism of injury | GCS/pGCS at admission | Scalp wound | Dural tears | Associated cranial and intracranial injury | Treatment | GCS/pGCS at discharge | Outcome |
|---|---|---|---|---|---|---|---|---|---|---|
| 1. | 72 years/m | Assault by axe | Lateral drag of weapon while retrieving | E3V3M6 | Present | Absent | Elevated left parietal # with EDH | Exploration and evacuation of EDH | E4V5M6 | Complete recovery |
| 2. | 45 years/m | Assault by sharp object | Lateral drag of weapon while retrieving | E4V5M6 | Present | Present | Elevated right high parietal # with underlying contusion | Exploration, debridement, and duraplasty | E4V5M6 | Complete recovery |
| 3. | 36 years/m | Assault by axe | Lateral drag of weapon while retrieving | E4V5M6 | Present | Absent | Elevated right parietal # with right temporoparietal region extra cranial subgaleal hematoma | Exploration and debridement | E4V5M6 | Complete recovery |
| 4. | 2 years/m | Fall from height over a stone | Tangential force | E3V3M4 | Absent | Absent | Elevated left parietal # with underlying contusion | Conservative | E4V5M6 | Developed growing skull #, duraplasty and cranioplasty done at 4 years of age |
| 5. | 15 days/f | Fall of heavy wooden object over head | Tangential force | E4V5M6 | Absent | Absent | Elevated left temporoparietal # with underlying EDH communicating with subcutaneous collection | Conservative | E4V5M6 | Developed growing skull #, duraplasty and cranioplasty done at 3 months of age |
| 6. | 24 years/m | Fall of stone over head | Tangential force | E4V5M6 | Present | Present | Elevated left parietal # with small underlying contusion | Exploration, debridement, and dural tear repair | E4V5M6 | Complete recovery |
| 7. | 48 years/m | Fall from height over a stone | Tangential force | E3V4M5 | Absent | Absent | Elevated left temporal # with temporoparietal EDH communicating with mastoid air cells | Conservative (pt. did not consent for surgery) | E4V5M6 | Complete recovery |
| 8. | 15 years/m | Assault by an iron angle | Tangential force | E3V4M5 | Present | Absent | Elevated right frontal # with underlying contusion | Wound sutured (elsewhere) without repositioning of bone | E4V5M6 | Complete recovery |
GCS Glasgow Coma Scale, pGCS pediatric Glasgow Coma Scale, E best eye opening, M best motor response, V best verbal response, m male, f female, EDH extradural hematoma, # fracture
Illustrated Case 1
A 72-year-old male was brought to our emergency unit with alleged history of assault by an axe. There was history of loss of consciousness for 2 h and three to four episodes of vomiting. There was no history of ear or nosebleed or seizures. His Glasgow Coma Scale (GCS) score was E3V3M4. Examination revealed that there was traumatic avulsion of calvarium along with the scalp flap in the left parietal region (Fig. 1). The underlying dura was intact. Non-contrast computerized tomography (NCCT) of the head with a bone window revealed left parietal bone elevated fracture along with underlying left parietal extradural hemorrhage (EDH). An emergency exploration was conducted with debridement of the wound and evacuation of hematoma. Dura was found to be intact. The bone flap was repositioned and secured in its correct position. He improved to E4V5M6 status, was discharged, and is now on regular follow-up.
Fig. 1.

Intraoperative photograph of scalp wound with elevated skull segment
Illustrated Case 2
A 2-year-old male child presented after a fall from a height of ≈10 ft with the left side of the head hitting stone. There was history of loss of consciousness for 1/2 h. There was no history of vomiting, ear or nosebleed, or seizures. The child was drowsy, crying, and moving all four limbs equally. At admission, GCS was E2V3M5 without any external scalp wound. There was a ≈4 × 4-cm fluctuant swelling at the left parietal region. NCCT head showed an elevated fracture of the temporoparietal bone with a subgaleal hematoma communicating with extradural space via the defect and an underlying temporoparietal contusion. The child was conservatively managed and recovered completely with GCS at discharge being E4V5M6. The child was on a regular follow-up and developed a growing skull fracture by the age of 4 years. Duraplasty and cranioplasty were performed at 4 years of age.
Results
Clinical Characteristics
Of the eight patients presented to us, five were adults and three of pediatric age group. Ages of adult patients ranged from 24 to 72 years, whereas the three children were of 15 days, 2 years, and 15 years, respectively. Incidentally, all our adult patients were males, which correspond to the increased likelihood of outdoor activities they engage in Indian scenario.
The modes of injury in our patients were due to assault by a sharp weapon, fall over a protruding object, and fall of a heavy object over head. Tangential force of a heavy object upon impact was mechanism of elevation of fractured segment in five patients, whereas lateral drag of assault weapon while retrieving it caused elevation of calvarium in three patients.
Glasgow Coma Scale (GCS) and pediatric Glasgow Coma Scale (pGCS) evaluated the severity of injury upon admission. GCS of four patients at admission was 15, and the rest of the patients had a worse GCS ranging from 5 to 12. Four of the elevated fractures compounded externally with a scalp wound overlying the calvarial fracture segment, and one elevated fracture compounded internally with mastoid air cells. The two patients in pediatric age group did not have external or internal compounding.
The associated intracranial injuries were commonly cerebral contusions as seen in four patients, whereas three patients had underlying extradural hematomas. Dural tear associated with fractures were only seen in two patients.
Treatment and Outcome
An initial conservative course was undertaken in both pediatric patients. One patient in the adult group did not comply for surgical intervention and hence was managed conservatively. The rest of the patients underwent an emergency explorative craniectomy and evacuation of hematoma. Evacuation of contusion was not carried out in any patient. The two pediatric patients later developed growing skull fracture fractures, which were managed with a cranioplasty after a variable time interval. All patients are on a regular follow-up and have recovered well with no mortalities and complications.
Discussion
Fractures of calvarium are common following trauma and are defined as any breach in the continuity of skull bone. Classification of skull fractures is based on type (simple or compound), communication with exterior (open or closed), location (vault or basilar), and pattern (linear, diastatic, comminuted, depressed).
Extent of injury to brain and its coverings depends on depth of weapon penetration and amount of impact transmitted to brain [4]. Since the agent of wounding is often directed inwards, the floating fracture is usually driven intracranially by the applied force generating a depressed skull fracture [5]. However, in some cases, the fractured segment can be elevated above the level of the intact skull. Several mechanisms are proposed for such an injury: (1) injury by sharp object that breaches the skull and elevates the fractured portion by lateral drag of weapon while retrieving it (similar to opening lid of a tin can), (2) tangential force applied to calvarium by a heavy object while falling on it, and (3) rotation of head at the time of impact [6]. Authors have noted that dural lacerations are always coupled with these fractures [4–6]. We had noted similar mechanisms causing injury in all our cases.
In these cases, as much of the force is dissipated tangentially to cortical surface and away from it; hence, the degree of scalp and bone injury may be relatively large compared to that of underlying brain and dura [4]. Injury to underlying dura although frequently seen is not a constant feature as seen in our series where only two patients had associated dural tears. This was also noted by Sharma et al., Borkar et al., and Mohinder et al. [7–10]. Scalp injuries were also an inconstant finding in our cases. Elevated skull fractures are not always compound fractures as has been proposed by several authors [7–9, 11]. In our series, not all fractures were compound. Also none of the reports comment about internal compounding of elevated skull fractures as was noted in one of our patients.
Hematomas (subdural and/or extradural) and contusions are the most common underlying intracranial injuries. Rarely, presentations are complicated with intraventricular hemorrhage [7] and superior sagittal sinus occlusion [11]. Although a few pediatric cases have been reported, none of them have quoted a long-term follow-up data [12]. We observed that elevated fractures in pediatric age group when managed conservatively progressed to a growing skull fracture.
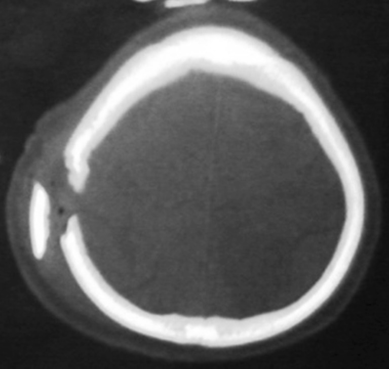
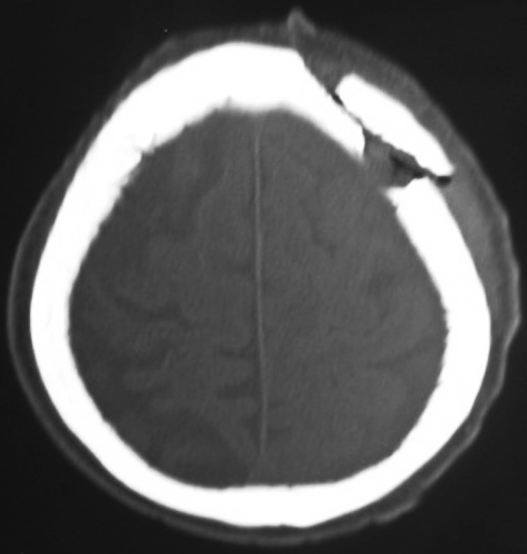
NCCT head is the investigation of choice as in other emergent head injuries (Figs. 2 and 3). It demonstrates the elevation of fractured segment as well as associated underlying intracranial injury and hematomas, all of which are associated with worse prognosis [5–10].
Fig. 2.

NCCT brain showing right parietal elevated skull fracture
Fig. 3.

Non-contrast computed tomography of head with elevated left frontal skull fragment and underlying contusion
A patient without an external wound and minimal intracranial injury can be treated conservatively. Management principles of elevated skull fractures depend on factors like scalp injury, compounding (external or internal), dural breach, and intracranial injuries. The cases with abovementioned features should be surgically remedied. Surgical therapy is essentially similar to that of depressed skull fractures. Key elements of surgery are evacuation of hematomas, dural repair, further decompression (if brain is tense and bulging), thorough debridement and judicious replacement of elevated bone segment (depending on degree of contamination, protrusion of brain, and adequacy of debridement), and a scalp repair over a subgaleal or extradural drain [7–12]. A primary dural repair should always be attempted. Alternatively, a cranioplasty can be performed later, and bone flap can be preserved. Temporalis fascia can be harvested to cover a larger breach, and artificial duraplasty should be avoided as far as possible to avoid postoperative infective complications. Delay or failure to operate these may result in complications such as meningitis, brain abscesses, and CSF fistula formation.
Wound contamination may be relatively less in this group of fractures owing to tangential direction of impact which would introduce less amount of foreign material in the wound as compared to depressed skull fractures [7]. None of our cases had infectious complications after prompt debridement and repair was undertaken and appropriate antimicrobial therapy was instituted.
Owing to the rarity of their occurrence and under-reporting, elevated skull fractures have been infrequently described and referenced [13]. There are few recent case series discussing this clinical entity and kindling a renewed interest in this pathology [6, 7]. We report the largest such series from a tertiary health-care center in Central India. Our case series demonstrates varied clinical presentations of this injury and also highlights its occurrence in pediatric population. The management strategies that helped us achieve a favorable outcome in our patients are also highlighted.
Conclusion
Even though elevated skull fractures are in atypical presentation, they show up time to time associated with head injury. They constitute uncharacteristic neurosurgical emergencies, which can be straightforwardly diagnosed with a NCCT scan and necessitate prompt management. Furthermore, their unique presentation calls for their inclusion as a separate entity in pattern-wise classification of skull fractures.
Abbreviations
- GCS
Glasgow Coma Scale
- pGCS
Pediatric Glasgow Coma Scale
- CSF
Cerebrospinal fluid
- NCCT
Non-contrast computed tomography
References
- 1.Geisler FH. Skull fractures. In: Wilkins RH, Rengachary SS, editors. Neurosurgery vol II. New York: McGraw Hill; 1996. pp. 2741–2754. [Google Scholar]
- 2.Breasted JH. The Edwin Smith Surgical Papyrus. Facsimile and hieroglyphic transliteration with translation and commentary, in two volumes. Chicago: University of Chicago Press; 1930. [Google Scholar]
- 3.Sanchez GM, Burridge AL. Decision making in head injury management in the Edwin Smith Papyrus. Neurosurg Focus. 2007;23(1):1–9. doi: 10.3171/FOC-07/07/E5. [DOI] [PubMed] [Google Scholar]
- 4.Ralston BL. Compound elevated fractures of skull. J Neurosurg. 1976;44:77–79. doi: 10.3171/jns.1976.44.1.0077. [DOI] [PubMed] [Google Scholar]
- 5.Chhiber SS, Wani MA, Kirmani AR, et al. Elevated skull fractures in pediatric age group: report of two cases. Turk Neurosurg. 2011;21(3):418–420. doi: 10.5137/1019-5149.JTN.2913-10.0. [DOI] [PubMed] [Google Scholar]
- 6.Adeolu AA, Shokumbi MT, Malomo AO, et al. Compound elevated skull fracture: a forgotten type of skull fracture. Surg Neurol. 2006;65:503–505. doi: 10.1016/j.surneu.2005.07.010. [DOI] [PubMed] [Google Scholar]
- 7.Sharma R, Kumar A, Bhat DI, et al. Compound elevated skull fractures in adults: a series of five patients and review of literature. Indian J Neurotrauma. 2012;9:112–116. doi: 10.1016/j.ijnt.2012.10.005. [DOI] [Google Scholar]
- 8.Borkar SA, Sinha S, Sharma BS. Post-traumatic compound elevated fracture of skull simulating a formal craniotomy. Turk Neurosurg. 2009;19(1):103–105. [PubMed] [Google Scholar]
- 9.Borkar SA, Prasad GL, Gupta DK, et al. Compound elevated skull fracture: a clinical series of three patients with a review of the literature. Turk Neurosurg. 2013;23(4):514. doi: 10.5137/1019-5149.JTN.3694-10.2. [DOI] [PubMed] [Google Scholar]
- 10.Mohindra S, Singh H, Savardekar A. Importance of an intact dura in management of compound elevated fractures: a short series and literature review. Brain Inj. 2012;26(2):194–198. doi: 10.3109/02699052.2011.635364. [DOI] [PubMed] [Google Scholar]
- 11.Khandaker AT, Selvapandian S, Khan A, et al. Compound elevated skull fracture with occlusion of the superior sagittal sinus. A case report. Kobe J Med Sci. 2009;54(5):260–263. [PubMed] [Google Scholar]
- 12.Sharma R, Saligouda P, Bhat DI, et al. Compound elevated skull fracture mimicking a frontotemporoorbitozygomatic craniotomy flap. Neurol India. 2012;60(4):448–449. doi: 10.4103/0028-3886.100727. [DOI] [PubMed] [Google Scholar]
- 13.Bhaskar S. Compound “elevated” fracture of the cranium. Neurol India. 2010;58(1):149–151. doi: 10.4103/0028-3886.60421. [DOI] [PubMed] [Google Scholar]
