Abstract
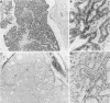
BACKGROUND: It has been shown that CD44 variants are differentially expressed in normal and neoplastic breast tissues. The diagnostic value of these markers in distinguishing benign from malignant breast lesions has not been well examined. AIMS: To evaluate the diagnostic value of CD44s in distinguishing between intraductal papillomas and papillary carcinomas of the breast, which may be difficult morphologically. METHODS: Expression of CD44s detected by immunohistochemistry was studied in a series of intraductal papillomas (11) and papillary carcinomas (10). The normal breast tissues surrounding the lesions of these cases served as a control. The number of CD44s positive epithelial cells was scored and categorised as < 10%, 10-70%, or > 70%. RESULTS: Normal breast epithelial cells and all intraductal papillomas (11 of 11) expressed CD44s in a high proportion of cells (> 70%). In contrast, the majority of papillary carcinoma cases (eight of 10) expressed this marker in < 10% of the cells. In the remaining two papillary carcinoma cases, positivity was seen in more than 10% but still less than 70% of the cells. CONCLUSIONS: CD44s detection by immunohistochemistry is useful in distinguishing intraductal papillomas from papillary carcinomas of the breast.
Full text
PDF


Images in this article
Selected References
These references are in PubMed. This may not be the complete list of references from this article.
- Bànkfalvi A., Terpe H. J., Breukelmann D., Bier B., Rempe D., Pschadka G., Krech R., Böcker W. Gains and losses of CD44 expression during breast carcinogenesis and tumour progression. Histopathology. 1998 Aug;33(2):107–116. doi: 10.1046/j.1365-2559.1998.00472.x. [DOI] [PubMed] [Google Scholar]
- Friedrichs K., Franke F., Lisboa B. W., Kügler G., Gille I., Terpe H. J., Hölzel F., Maass H., Günthert U. CD44 isoforms correlate with cellular differentiation but not with prognosis in human breast cancer. Cancer Res. 1995 Nov 15;55(22):5424–5433. [PubMed] [Google Scholar]
- Guriec N., Marcellin L., Gairard B., Caldéroli H., Wilk A., Renaud R., Bergerat J. P., Oberling F. CD44 exon 6 expression as a possible early prognostic factor in primary node negative breast carcinoma. Clin Exp Metastasis. 1996 Oct;14(5):434–439. doi: 10.1007/BF00128959. [DOI] [PubMed] [Google Scholar]
- KRAUS F. T., NEUBECKER R. D. The differential diagnosis of papillary tumors of the breast. Cancer. 1962 May-Jun;15:444–455. doi: 10.1002/1097-0142(196205/06)15:3<444::aid-cncr2820150303>3.0.co;2-0. [DOI] [PubMed] [Google Scholar]
- Murad T. M., Swaid S., Pritchett P. Malignant and benign papillary lesions of the breast. Hum Pathol. 1977 Jul;8(4):379–390. doi: 10.1016/s0046-8177(77)80003-8. [DOI] [PubMed] [Google Scholar]
- Papotti M., Eusebi V., Gugliotta P., Bussolati G. Immunohistochemical analysis of benign and malignant papillary lesions of the breast. Am J Surg Pathol. 1983 Jul;7(5):451–461. doi: 10.1097/00000478-198307000-00008. [DOI] [PubMed] [Google Scholar]
- Price E. A., Coombe D. R., Murray J. C. Endothelial CD44H mediates adhesion of a melanoma cell line to quiescent human endothelial cells in vitro. Int J Cancer. 1996 Feb 8;65(4):513–518. doi: 10.1002/(SICI)1097-0215(19960208)65:4<513::AID-IJC20>3.0.CO;2-9. [DOI] [PubMed] [Google Scholar]
- Regidor P. A., Callies R., Regidor M., Günthert U., Zöller M., Schindler A. E. Expression of the CD44 variant isoforms 6 and 4/5 in breast cancer. Correlation with established prognostic parameters. Arch Gynecol Obstet. 1996;258(3):125–135. doi: 10.1007/s004040050113. [DOI] [PubMed] [Google Scholar]
- Schumacher U., Horny H. P., Horst H. A., Herrlich P., Kaiserling E. A CD44 variant exon 6 epitope as a prognostic indicator in breast cancer. Eur J Surg Oncol. 1996 Jun;22(3):259–261. doi: 10.1016/s0748-7983(96)80014-x. [DOI] [PubMed] [Google Scholar]

