Abstract
Background
Osteosarcoma (OSA) is a common malignant bone tumor of large breed dogs that occurs at predictable anatomic sites. At the time of initial diagnosis, most affected dogs have occult pulmonary metastases. Even with aggressive surgical treatment combined with chemotherapy, the majority of dogs diagnosed with OSA live less than 1 year from the time of diagnosis. The ability to identify canine OSA cases most responsive to treatment is needed. In humans, OSA is also an aggressive tumor that is histologically and molecularly similar to canine OSA. The expression of the tumor suppressor gene product P16 by human OSA tissue has been linked to a favorable response to chemotherapy.
Results
We identified an antibody that binds canine P16 and developed a canine OSA tissue microarray in order to test the hypothesis that P16 expression by canine OSA tissue is predictive of clinical outcome following amputation and chemotherapy. Although statistical significance was not reached, a trend was identified between the lack of canine OSA P16 expression and a shorter disease free interval.
Conclusions
The identification of a molecular marker for canine OSA is an important goal and the results reported here justify a larger study.
Keywords: Canine, Osteosarcoma, P16, Immunohistochemistry, Tissue microarray
Background
Canine osteosarcoma (OSA) is an aggressive and highly metastatic tumor of bone and although it can occur at any age and in any dog breed, it is most often diagnosed in adult to older large to giant breed dogs. OSA is the most common canine skeletal tumor, accounting for approximately 80–85% of all bone tumors in dogs [1–3] and tends to occur at the most active metaphyseal regions of the appendicular skeleton. Relative to other skeletal sarcomas, canine osteosarcoma pursues a more rapid clinical course with earlier lung metastasis than either chondrosarcoma or fibrosarcoma of bone [4]. Early metastatic spread to the lungs contributes to the poor overall prognosis for canine OSA. Human OSA is histologically and molecularly similar to canine OSA [5–7] and both can be difficult to manage clinically [8, 9].
The current treatment of choice for canine OSA is surgical excision (involving limb amputation or limb-salvage surgery) followed by adjuvant platinum-based chemotherapy. Stereotactic radiation therapy has been reported as an alternative means to achieve local control [10, 11]. The survival time of canine appendicular OSA with adequate local control and without adjuvant chemotherapy is 119–175 days with a 12 month survival rate of only 11–21% [12]. In addition to surgery, platinum-based chemotherapy alone or in combination with doxorubicin has been shown to improve survival time [13]. A large study involving 470 dogs identified no difference in outcome between dogs with appendicular osteosarcoma treated with carboplatin vs. alternating carboplatin and doxorubicin [14]. Radiation therapy, bisphosphonates, and analgesics such as non-steroidal anti-inflammatory drugs and opioids can be utilized for palliative therapies. Reflecting owner choices, the use of palliative therapies alone generally result in relatively short survival times [12].
In an attempt to predict biological behavior, canine OSA has been categorized into a number of different histologic subtypes. Some studies have indicated that canine OSA histologic subtyping is not predictive of biological outcome [15] while others have indicated that specific OSA subtypes, such as telangiectatic or fibroblastic, may have negative or positive prognostic implications, respectively [2, 16]. Histological classifications have been frequently shown to be less informative than molecular phenotypes when applied to therapeutic outcome across a wide range of cancer types. A molecular biomarker that is predictive of canine OSA disease progression may assist prognostic determinations and treatment decisions.
Expression of the tumor suppressor gene product P16 by tumor tissue has recently been shown to significantly correlate with chemotherapeutic response in human osteosarcoma [9] and loss of P16 expression by OSA cells has been associated with decreased survival time in human patients with OSA [17–20]. Inactivation of tumor suppressor gene products like P16 is an important event in oncogenesis that may contribute to the development of canine OSA. Therefore, P16 expression has the potential to be a predictive signature of canine OSA tumor biology.
The tumor suppressor gene product P16 belongs to a family of cyclin-dependent kinase inhibitors. When bound to their respective cyclin dependent kinase, these proteins increase the inhibitory effects of the retinoblastoma tumor suppressor gene at the G1-S checkpoint, a ‘point of no return’ for cell division [21, 22]. In a normally regulated cell, growth-inhibiting signals result in P16 expression, blocking DNA synthesis and cell cycle progression [23]. Deletion or mutational inactivation of P16 can defeat the protective effect of the G1-S checkpoint, potentially leading to unregulated cellular division in a genetically damaged cell. Four of 6 previously reported canine OSA cell lines have been shown to have undetectable P16 protein or mRNA expression [23] and numerous human cancers are associated with P16 gene mutations, including osteosarcoma [21, 23].
We hypothesized that the presence or absence of P16 expression by canine OSA tissue is predictive of clinical outcome. In order to test this hypothesis, the identification of a P16 antibody that reliably binds canine P16 protein in immunoblot and immunohistochemistry (IHC) assays was needed. Utilizing a set of control human and canine tissues with known P16 expression patterns [24], we identified an anti-P16 antibody with appropriate binding affinity in both immunoblot and IHC assays. In addition, we developed a set of canine tissue microarrays comprised of retrospective case material from 33 dogs with appendicular OSA with known treatment regimens and long-term outcomes.
Methods
Pathology and clinical features
In this retrospective study, 33 excisional biopsies (amputations) diagnosed as canine appendicular OSA were utilized from patients enrolled in a randomized prospective study comparing the adjuvant use of single-agent carboplatin or alternating carboplatin and doxorubicin [13]. The inclusion criteria for the current study were the availability of sufficient high quality, formalin fixed, paraffin embedded tumor tissue and known treatment and clinical outcome data. Representative bone and soft tissue biopsy samples had been previously sectioned and fixed in 10% buffered formalin for a minimum of 48 h. Mineralized tissue was thinly sectioned and decalcified in 15% formic acid for 2–4 days, as needed. Tissue samples were routinely processed, cut into 4 μm thick sections, placed on positively charged glass slides and stained with hematoxylin and eosin according to routine protocols. All specimens were confirmed to be consistent with the diagnosis of osteosarcoma by a single pathologist (MYM) based upon published criteria [2]. Canine OSA tumors were subclassified as osteoblastic, chondroblastic, fibroblastic or mixed subtypes based upon published criteria [2].
Tissue microarray
For each paraffin embedded tumor, optimal sites of the formalin-fixed paraffin embedded blocks for core sampling were identified. Characteristics of optimal sites included the following features: high cellularity, minimal necrosis, minimal hemorrhage and minimal matrix or bone deposition. The construction of the tissue microarray (TMA) was based upon a 2009 review by Parsons and Grabsh [25]. An Advanced Tissue Arrayer (model ATA-100, Chemicon International) was used to cut and insert canine OSA tissue core samples, in triplicate, into pre-cast paraffin blocks (Paraplast Plus, Sigma Aldrich). For the 33 canine cases, four canine OSA TMAs were constructed using a 9 × 6 grid pattern. Three, 2 mm diameter core biopsies from each donor tissue block, along with 2 positive control core biopsies (canine glioblastoma tissue) were semi-randomly arranged in the paraffin block while the outer circumferential border was generally comprised of negative control tissue (normal canine cerebrum or renal cortical tissue). To generate unstained paraffin sections, each assembled TMA was cut into 4 μm thick sections with a microtome and placed on positively charged glass slides. TMA sections were stained with either hematoxylin and eosin stains according to standard protocols or were further processed for P16 immunohistochemistry.
Immunohistochemistry for P16
Immunohistochemistry (IHC) assays were performed on whole sections of the positive control tissue (canine glioblastoma), negative control tissue (normal canine brain tissue and canine renal cortical tissue) and the constructed tissue microarrays. IHC assays were performed on 4 μm thick, formalin-fixed, paraffin-embedded tissue sections, mounted on charged slides, and air-dried overnight at 37o C. In order to ensure reproducible and homogeneous results between the IHC assays, a consistent development time and protocol was utilized.
Sections were deparaffinized through xylene to reagent alcohol, and treated with 0.3% hydrogen peroxide in methanol for 30 min. Sections were then rehydrated to water through graded reagent alcohols, and stabilized in 0.1 M Phosphate Buffered Saline, pH 7.4 (PBS). Antigen retrieval required exposure of sections to Dako Target Retrieval Solution, pH 9 (Dako, S2368) at 95o C for 30 min, followed by a 20 min cool down at room temperature. Sections were blocked for 20 min in 10% normal horse serum in PBS. The primary antibody, a rabbit anti-P16 (SC-373695, F-8, Santa Cruz Biotechnology) diluted 1:100 in PBS-Tween 20 (0.02%) was applied for 1 h. All reagent incubations were at room temperature, and PBS-Tween 20 rinses occurred twice between reagent applications for 3 min each change. Envision + System-HRP (Dako, K4003) was applied for 30 min to label bound rabbit anti-P16 antibodies. The label was visualized with NovaRed for peroxidase (Vector, SK-4800). Sections were counterstained in Mayer’s Hematoxylin, air-dried and coverslipped. Non-specific background was evaluated with a duplicate section receiving diluent in place of the primary antibody.
The sub-cellular location of the P16 antigen was determined microscopically as nuclear, cytoplasmic or membranous. To determine the level of P16 expression, a semiquantitative scoring system was used based upon the percent of neoplastic cells expressing P16 in a 100× field of magnification: negative (0%), 1+ (<25%), 2+ (26–79%), 3+ (80–100%) (at 100× magnification the entire TMA biopsy section filled the field of view). The intensity of P16 staining was not scored. The semiquantitative ordinal scoring system was developed in accordance with recommended histopathologic principles [26]. For each canine OSA lesion on the TMA, one, two or three tissue biopsies were examined and scored for P16 expression, as described above (Table 1). For each case, a consensus P16 staining pattern was determined (1 of 1, 2 of 2, 2 of 3, or 3 of 3 sections). Discordant cases (1 of 2 sections) were re-reviewed by two anatomic pathologists (MYM and BGM) until a consensus could be reached. All IHC sections were examined in a blinded fashion where the pathologists were not aware of case signalment, diagnosis or outcome.
Table 1.
Clinical and pathologic data for canine appendicular osteosarcomas
| case | De/NDe | tx | sex | breed | tumor location | subtype | # sct | p16 exp |
|---|---|---|---|---|---|---|---|---|
| 1 | De | C/D | MC | Mix | Proximal tibia | C | 2 | 1+ |
| 2 | De | C/D | FS | GSD | Proximal radius | O | 3 | 3+ |
| 3 | NDe | C | MC | Lab | Proximal humerus | O | 3 | 3+ |
| 4 | NDe | C | FS | Grt Dane | Distal radius | C | 3 | 2+ |
| 5 | NDe | C | FS | Rott | Proximal tibia | O | 3 | neg |
| 6 | NDe | C | MC | Gold | Ulnar diaphysis | O | 3 | 1+ |
| 7 | De | C/D | MC | Mix | Distal radius | O | 3 | 3+ |
| 8 | De | C/D | FS | St. Bern | Distal tibia | O | 3 | 3+ |
| 9 | Nde | C | FS | Gold | Distal femur | O | 3 | 2+ |
| 10 | De | C | FS | Rott | Distal femur | O | 3 | 3+ |
| 11 | De | C | MC | Rott | Distal tibia | O | 3 | neg |
| 12 | NDe | C/D | FS | G Pyr | Distal tibia | O | 3 | 2+ |
| 13 | De | C/D | MC | Bernese MD | Distal radius | O | 2 | neg |
| 14 | NDe | C | FS | Rott | Distal radius | O | 3 | neg |
| 15 | De | C | FS | Mix | Distal femur | O | 3 | 3+ |
| 16 | NDe | C | FS | OESD | Distal radius | O | 1 | 3+ |
| 17 | NDe | C/D | FS | Curly C Ret | Proximal humerus | O | 3 | 3+ |
| 18 | De | C/D | FS | Rott | Proximal tibia | O | 1 | 1+ |
| 19 | De | C/D | FS | Mix | Distal radius | O | 3 | 3+ |
| 20 | NDe | C | FS | Lab | Proximal humerus | O | 3 | 3+ |
| 21 | NDe | C/D | MC | Grey | Prox humerus | O | 1 | 2+ |
| 22 | NDe | C/D | MC | Mix | Distal radius | F | 3 | 2+ |
| 23 | Nde | C/D | FS | GSD | Distal tibia | O | 3 | 3+ |
| 24 | Nde | C/D | FS | Malam | Distal radius | O | 3 | 3+ |
| 25 | De | C/D | FS | Rott | Distal femur | O | 3 | neg |
| 26 | De | C | MC | Mix | Proximal humerus | O | 3 | 3+ |
| 27 | NDe | C/D | FS | Mix | Distal tibia | O | 3 | neg |
| 28 | De | C/D | MC | Bernese MD | Distal femur | C | 3 | 1+ |
| 29 | De | C | FS | Leonberger | Distal radius | O | 3 | 1+ |
| 30 | De | C/D | MC | Ana Shep | Distal radius | O | 2 | 2+ |
| 31 | De | C | FS | Lab | Distal femur | O | 3 | 2+ |
| 32 | De | C | MC | GS Pointer | Proximal humerus | C | 3 | 2+ |
| 33 | De | C | M | Rhod Rback | Distal radius | M | 3 | 1+ |
Abbreviations: De- decalcified section, NDe- non-decalcified section, tx- treatment, C- carboplatin, D- doxorubicin, MC- male castrated, FS- female spayed, GSD- German Shepherd dog, Lab- Labrador Retriever, Grt Dane- Great Dane, Rott- Rottweiler, Gold- Golden Retriever, St. Bern- Saint Bernard, G Pyr- Great Pyrenees, Bernese MD- Bernese Mountain dog, OESD- Old English Sheep dog, Curly C Ret- Curly Coat Retriever, Grey- Greyhound, Malam- Malamute, Ana Shep- Anatolian Shepherd, GS Pointer- German Shorthair Pointer, Rod Rback- Rhodesian Ridgeback, C- chondroblastic OSA, O- osteoblastic OSA, F- fibroblastic OSA, M- Mixed type OSA, # sct- number of P16 IHC sections examined
Immunoblot
Control human and canine tissues were obtained from cell culture, surgical biopsy or necropsy as previously described [24]. Tissues know to express P16 (positive controls) included the SAOS2 human osteosarcoma cell line, a canine high grade oligodendroglioma (O8) and a canine grade IV astrocytoma/glioblastoma (GBM, G2); canine tissues previously demonstrated to not express P16 (negative controls) included a different canine GBM (G4), a high grade oligodendroglioma (O5) and normal canine cerebrum (NB) [24].
Briefly, cells and tumor samples were lysed in radioimmunoprecipitation assay buffer (RIPA) lysis buffer (Boston BioProducts, Worcester, MA, USA) with 1X Halt protease and phosphatase inhibitors (Thermo Fisher Scientific, Rockford, IL, USA) and kept on ice or stored at −80 C if not used immediately. Cell lysates were electrophoresed in 4–20% SDS Precast Polyacrylamide Gels (Expedeon) at 150 V for 45 min. The lysates were transferred overnight onto a PVDF membrane (BioRad) at 50 V in a 5 C cold room (PAGEgel Dual Run & Blot Vertical Mini-Gel System). The PVDF membrane was washed three times in tris-buffered saline with 0.1% Tween-20 (TBST), blocked for 1 h with 5% nonfat milk/TBST (blocking buffer), and subsequently washed 3 more times with TBST. The PVDF membrane was then incubated overnight at 5C with mouse monoclonal anti-P16 (1:500, SC-373695, F-8, Santa Cruz Biotechnology) diluted in blocking buffer. Membranes were then washed 3× and incubated with HRP conjugated-goat anti-mouse IgG antibody (Santa Cruz Biotechnology, IgG-HRP sc-2005) for 1 h at room temperature. Finally, membranes were washed 3×, incubated for 1 min with Pierce ECL reagent (Thermo Fisher Scientific, Catalog number 32106) and imaged using a FluorChem E digital imaging system (ProteinSimple).
Analysis and statistics
Disease free interval (DFI) and survival were defined as described in Skorupski et al. [13]. The Kaplan-Meier method was used to estimate DFI and survival and the log-rank test was used to compare DFI and survival times between P16 expression groups. Statistical analyses were performed using commercial software (GraphPad Prism version 6.0f) and a p-value of <0.05 was considered significant. To determine if the decalcification process interfered with P16 detection, the putative correlation between P16 expression and decalcification was determined using Fisher’s exact test.
Results
Pathology and clinical features
The anatomic locations of the canine OSA tumors, in general, followed a predictable pattern reflecting the most active growth plates of the appendicular skeleton. There were two exceptions to this rule, in case 2, the OSA lesion was identified in the proximal radius while in case 6, the tumor was identified in the ulnar diaphysis (Table 1). Consistent with the tendency of OSA to occur in larger dogs, most of the dogs were large to giant breeds. Approximately equal numbers of patients received each chemotherapeutic protocol. The majority of the tumors were of the osteoblastic subtype (n = 27), with fewer numbers of chondroblastic (n = 4) and one case each of fibroblastic and mixed subtypes. Sections of the tissue microarrays stained with hematoxylin and eosin demonstrated histologically recognizable canine positive control (GBM), canine negative control (normal renal cortical or brain tissue) and canine osteosarcoma tissues (Figs. 2 and 3).
Fig. 2.

The organization and appearance of slides derived from canine OSA TMA stained with H&E stains or anti-P16 antibody (IHC). The TMA are arranged in 9 columns (1–9) by 6 rows (A-F) comprising a 9 × 6 grid. The majority of 2 mm diameter biopsy cores are present in hematoxylin & eosin-stained slides (TMA4) (a) and anti-P16 IHC (TMA3) (b). The outer row (columns 1 and 9, rows A and F) are generally comprised of negative control tissue (canine renal cortical or brain tissue). Triplicate canine OSA biopsy (test) samples are located within the boxed regions and are identified by case numbers (b). The location of positive control samples (GBM) are indicated (+) (b)
Fig. 3.

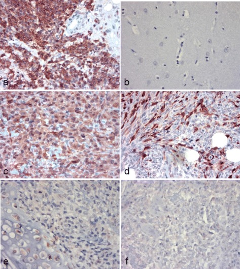
Immunohistochemistry assays reveal the proportion of neoplastic cells expressing P16. Canine glioblastoma cells demonstrate abundant red-brown staining in both the cytoplasm and nucleus (GBM, + control P16 IHC) (a). Normal canine brain tissue demonstrates an absence of red-brown stained cells (NB, negative control P16 IHC) (b). In a canine OSA, a majority of the neoplastic cells demonstrate red-brown cytoplasmic staining (3+ staining, case 19) (c). In a canine OSA, approximately 50% of the neoplastic cells demonstrate red-brown cytoplasmic staining (2+ staining, case 9) (d). In canine OSA, less than 25% of the neoplastic cells demonstrate red-brown cytoplasmic staining (1+ staining, case 4) (e). In canine OSA, none of the neoplastic cells demonstrate red-brown cytoplasmic staining (0+ staining, case 13). P16 immunohistochemistry, original magnification 400×
Immunoblot
Immunoblot assay with the primary anti-P16 antibody (F-8) revealed the presence of a 15-16 kDa band representing the P16 protein in the SAOS-2 human cell line (lane 1), a canine high grade oligodendroglioma (08, lane 2) and a canine GBM (G2, lane 3) (Fig. 1). No evidence of P16 protein expression was observed in negative control lanes 4–6 representing a different canine GBM (G4), a canine high grade oligodendroglioma (O5), and normal canine cerebrum (NB). These results were consistent with previous results using a different P16 antibody [24].
Fig. 1.

P16 antibody (F-8) binds human and canine P16 protein in a immunoblot assay. An appropriate size band (~15–16 kDa) is present in protein lysates derived from cells or tissues known to express P16 (lane 1- human osteosarcoma SAOS2; lane 2-high grade canine oligodendroglioma 08; lane 3- canine GBM G2). No bands are present in protein lysates derived from tissues known to not express P16 (lane 4 canine GBM G4; lane 5- canine oligodendroglioma; lane 6- normal canine brain NB)
Immunohistochemistry
Using the same P16 antibody (F-8) as used in the immunnoblot assay, P16 immunoreactivity was noted within the cytoplasm and nuclei of the neoplastic cells comprising the canine GBM (G2, positive expression control) but was absent in normal canine cerebrum and canine renal cortical tissue (negative expression controls) (Figs. 2 and 3). Hence, an antibody capable of identifying the expression of P16 in IHC assays was identified.
OSA biopsy tissues in the TMA were assigned an ordinal value based upon the percent of neoplastic cells expressing P16 in a 100× magnification field: negative (0% cells), 1+ (<25% cells), 2+ (26–79% cells), 3+ (80–100% cells). In the majority of cases, three biopsy cores were examined and scored (n = 26 cases). In the remaining 6 cases, less than 3 biopsy cores were available for scoring as a result of loss during sectioning of the TMA blocks. In 3 cases, two biopsy cores were examined, and in 3 cases, a single core was examined and scored (Table 1). Although decalcification had no significant effect on the immunohistochemical scoring for P16 expression (p = 1.0) (Table 1), the effect of treatment or lack of treatment with decalcifying agents was not assessed within the same sample.
Survival
Dogs with negative P16 immunoreactivity had a median disease free interval (DFI) of 125 days compared to 201 days for dogs with any evidence of P16 immunoreactivity (1+, 2+ or 3+ P16 immunoreactivity, Fig. 4). This difference approached statistical significance with a p value 0.055. Dogs with negative P16 immunoreactivity had a median survival time of 179 days compared to 353 days for dogs with any P16 immunoreactivity. This difference was not significant (p = 0.2). A comparison of samples with strong p16 immunoreactivity (+2 or +3) versus negative immunoreactivity was performed and found to be not significant (p = 0.09 for DFI and 0.3 for survival, respectively; data not shown).
Fig. 4.

For dogs with OSA, the disease free interval (DFI) is shorter for tumors expressing P16 relative to tumors without P16 expression. The percent survival of dogs with OSA that exhibit any P16 staining (+1, +2 or +3, dashed line) and dogs with OSA that lack P16 staining (solid line) are plotted in this survival plot
Fourteen dogs treated with a combined chemotherapy regimen (carboplatin and doxorubicin) demonstrated at least some P16 expression while 3 dogs treated with a combined therapy lacked P16 expression. 13 dogs treated with carboplatin alone had P16 expression while 3 dogs treated with carboplatin alone lacked P16 expression (Table 1). As a result, P16 expression did not correlate with chemotherapy protocol (p = 1.00).
Discussion
In this study, we identified an anti-P16 antibody that specifically labeled canine and human cells/tissues previously shown to express P16 protein in immunoblots and immunohistochemistry assays (positive controls); and failed to label cells and tissues known to not express P16 protein (negative controls). The Santa Cruz F-8 antibody is directed towards an epitope mapping between amino acids 4–31 at the N-terminus of human P16. Within this region, there are 4 amino acid mismatches between the human and canine P16 protein sequence (data not shown). This difference between the human and canine P16 sequences is apparently insufficient to abrogate antibody binding.
Using this antibody in IHC assays with a set of 4 canine OSA tissue microarrays demonstrated P16 expression varying from no expression (0% of the neoplastic cells express P16), up to 3+ expression (80–100% of the neoplastic cells express P16). Although statistical significance was not reached, a trend was identified between the lack of P16 expression (negative staining) and a shorter DFI. This finding in canine OSA is intriguing as inactivation of P16 expression by mutation, deletion, or promoter hypermethylation has been associated with continuous cell proliferation in human OSA [9] and loss of P16 expression has been correlated with decreased survival time in human OSA [17].
In all of the examined canine OSA biopsy sections, P16 protein expression, when present, was determined to be cytoplasmic. In the positive control tissue (canine GBM), P16 expression was identified in both the nucleus and cytoplasm of the neoplastic cells. Although the specificity and validity of cytoplasmic localization of P16 observed in some tumors has been questioned, P16 has been shown to be expressed in the cytoplasm of a wide variety of cell types [27–29]. Studies have reported the localization of P16 protein in both the nucleus and the cytoplasm in multiple neoplasms.
Interestingly, four of the six dogs with no P16 expression were Rottweilers, while only two of the 27 dogs with some P16 expression were Rottweilers (Table 1). This finding is intriguing as Rottweilers, along with Greyhounds and Great Danes, have been shown to have an increased risk of developing OSA [30]. McNeill and co-workers found that relative to other dog breeds, Rottweilers are more likely to have an aggressive form of OSA with a higher likelihood of brain metastasis [31]. However, the McNeil study did not confirm that these differences were associated with a worse outcome. Studies have demonstrated an association between specific dog breeds, like Rottweillers, and the distribution of genomic copy number imbalances in canine appendicular osteosarcoma [32]. Such results indicate that individual genetic backgrounds, as defined by dog breed, influence tumor karyotypes in cancers like OSA with extensive genomic instability. Reconciling the findings reported here with these previous studies will require a larger population of animals.
This pilot study had several limitations. Due to sporadic sectional loss in the TMA, three biopsy cores were not available for examination for every case. The concordance for IHC staining between tissue arrays with triplicate cores per tumor and full sections has been shown to be 96–98% [33]. In the study described here, the majority of cases (n = 26) had three examined biopsy cores. However, as a result of tissue loss in some of the TMA sections, only two biopsy cores were examined for 3 cases, and a single core was examined and scored for 3 cases. The percent mismatch (nonconcordance) between the immunohistochemical scoring of biopsy cores and the full section has been determined to be 3.7, 4.4 and 9.4% for 3, 2 and 1 core, respectively [33]. Although the examination and scoring of less than 3 sections is considered suboptimal, a nonconcordance rate of <10% was considered to be acceptable for this pilot study.
Overall case numbers were low (n = 33), and the number of cases completely lacking P16 expression (n = 6) was particularly low. This limitation might have resulted in a type II error (“false negative”) in results comparing P16 staining to overall outcome (DFI). This possibility is suggested by the close p-value for DFI and large difference in median survival despite a non-significant p-value. In addition, dogs included in the study received 2 different adjuvant chemotherapy protocols and the study from which the cases were collected showed a significant difference between DFI in these protocols. Although we found no association between P16 staining and chemotherapy protocol, larger studies with uniform treatment would be more ideal.
Conclusions
This study, demonstrating a trend between the lack of P16 expression in canine appendicular OSA lesions and a shorter DFI, provides preliminary data justifying a larger study. The identification of a molecular marker reliably indicating prognosis for canine appendicular OSA is needed.
Acknowledgements
The authors would like to thank the histology technicians of the University of California, Davis School of Veterinary Medicine. We are also grateful to Mike Manzer for performing the IHC assays and Stefan Keller for performing the P16 epitope alignment (human vs. canine). Santa Cruz Biotechnology provided the anti-P16 antibody used in this study.
Funding
This work was funded by a resident training grant (MYM) provided by the UC Davis Center for Companion Animal Health.
Availability of data and materials
All data generated or analyzed during this study are included in this published article and are available from the corresponding author on reasonable request.
Authors’ contributions
BGM and MYM originally conceived of this study, wrote the training grant proposal and interpreted the histopathology. BGM assisted in the data interpretation, wrote all of the manuscript drafts and created the figures. MYM made all of the tissue microarrays, assisted in performing immunoblots, data interpretation, figure design and manuscript editing. DY performed immunoblot assays, data interpretation and manuscript editing. RR assisted in the experimental design, data interpretation and manuscript editing. KDW assisted in experimental design, data interpretation and manuscript editing. CH performed immuno blot assays, assisted in data interpretation and manuscript editing. PD assisted with the experimental design, data interpretation and manuscript editing. KS assisted with the experimental design, provided the case series database, assisted in data interpretation, performed the statistical analyses, draft editing and created Fig. 4. All of the authors read and approved the final manuscript.
Competing interests
The authors declare that they have no competing interests.
Consent for publication
Not applicable.
Ethics approval and consent to participate
For this retrospective study, formalin-fixed paraffin embedded tissue was obtained from the archives of the UC Davis Veterinary Medical Teaching Hospital. This study fully complied with UC Davis ethical guidelines.
Publisher’s Note
Springer Nature remains neutral with regard to jurisdictional claims in published maps and institutional affiliations.
Abbreviations
- DFI
Disease free interval
- GBM
Glioblastoma
- IHC
Immunohistochemistry
- NB
Normal canine cerebrum
- OSA
Osteosarcoma
- PBS
Phosphate buffered saline
- TMA
Tissue microarray
References
- 1.Kirpensteijn J, Kik M, Rutteman GR, Teske E. Prognostic significance of a new histologic grading system for canine osteosarcoma. Vet Pathol. 2002;39(2):240–246. doi: 10.1354/vp.39-2-240. [DOI] [PubMed] [Google Scholar]
- 2.Maxie MG. Jubb, Kennedy, and Palmer's pathology of domestic animals, sixth edition. Edn. St. Louis: Elsevier; 2016. [Google Scholar]
- 3.Boerman I, Selvarajah GT, Nielen M, Kirpensteijn J. Prognostic factors in canine appendicular osteosarcoma - a meta-analysis. BMC Vet Res. 2012;8:56. doi: 10.1186/1746-6148-8-56. [DOI] [PMC free article] [PubMed] [Google Scholar]
- 4.Meuten DJ. Tumors in domestic animals. 4. Ames, Iowa: Iowa State University Press; 2002. [Google Scholar]
- 5.Scott MC, Sarver AL, Gavin KJ, Thayanithy V, Getzy DM, Newman RA, et al. Molecular subtypes of osteosarcoma identified by reducing tumor heterogeneity through an interspecies comparative approach. Bone. 2011;49(3):356–67. [DOI] [PMC free article] [PubMed]
- 6.Fenger JM, London CA, Kisseberth WC. Canine osteosarcoma: a naturally occurring disease to inform pediatric oncology. ILAR J. 2014;55(1):69–85. doi: 10.1093/ilar/ilu009. [DOI] [PubMed] [Google Scholar]
- 7.Fowles JS, Brown KC, Hess AM, Duval DL, Gustafson DL. Intra- and interspecies gene expression models for predicting drug response in canine osteosarcoma. BMC bioinformatics. 2016;17:93. doi: 10.1186/s12859-016-0942-8. [DOI] [PMC free article] [PubMed] [Google Scholar]
- 8.Mertens WC, Bramwell V. Osteosarcoma and other tumors of bone. Curr Opin Oncol. 1994;6(4):384–390. doi: 10.1097/00001622-199407000-00010. [DOI] [PubMed] [Google Scholar]
- 9.Borys D, Canter RJ, Hoch B, Martinez SR, Tamurian RM, Murphy B, et al. P16 expression predicts necrotic response among patients with osteosarcoma receiving neoadjuvant chemotherapy. Hum Pathol. 2012;43(11):1948–54. [DOI] [PubMed]
- 10.Coomer A, Farese J, Milner R, Liptak J, Bacon N, Lurie D. Radiation therapy for canine appendicular osteosarcoma. Vet Comp Oncol. 2009;7(1):15–27. doi: 10.1111/j.1476-5829.2008.00177.x. [DOI] [PubMed] [Google Scholar]
- 11.Farese JP, Milner R, Thompson MS, Lester N, Cooke K, Fox L, et al. Stereotactic radiosurgery for treatment of osteosarcomas involving the distal portions of the limbs in dogs. J Am Vet Med Assoc. 2004;225(10):1567–72. 1548 [DOI] [PubMed]
- 12.North SM, Banks TA. Small animal oncology : an introduction. Edinburgh. New York: Saunders/Elsevier; 2009. [Google Scholar]
- 13.Skorupski KA, Uhl JM, Szivek A, Allstadt Frazier SD, Rebhun RB, Rodriguez CO., Jr Carboplatin versus alternating carboplatin and doxorubicin for the adjuvant treatment of canine appendicular osteosarcoma: a randomized, phase III trial. Vet Comp Oncol. 2016;14(1):81–87. doi: 10.1111/vco.12069. [DOI] [PMC free article] [PubMed] [Google Scholar]
- 14.Selmic LE, Burton JH, Thamm DH, Withrow SJ, Lana SE. Comparison of carboplatin and doxorubicin-based chemotherapy protocols in 470 dogs after amputation for treatment of appendicular osteosarcoma. J Vet Intern Med. 2014;28(2):554–563. doi: 10.1111/jvim.12313. [DOI] [PMC free article] [PubMed] [Google Scholar]
- 15.Straw RC, Powers BE, Klausner J, Henderson RA, Morrison WB, McCaw DL, et al. Canine mandibular osteosarcoma: 51 cases (1980-1992). J Am Anim Hosp Assoc. 1996;32(3):257–62. [DOI] [PubMed]
- 16.Sivacolundhu RK, Runge JJ, Donovan TA, Barber LG, Saba CF, Clifford CA, et al. Ulnar osteosarcoma in dogs: 30 cases (1992-2008). J Am Vet Med Assoc. 2013;243(1):96–101. [DOI] [PubMed]
- 17.Benassi MS, Molendini L, Gamberi G, Ragazzini P, Sollazzo MR, Merli M, et al. Alteration of pRb/p16/cdk4 regulation in human osteosarcoma. Int J Cancer. 1999;84(5):489–93. [DOI] [PubMed]
- 18.Maitra A, Roberts H, Weinberg AG, Geradts J. Loss of p16(INK4a) expression correlates with decreased survival in pediatric osteosarcomas. Int J Cancer. 2001;95(1):34–38. doi: 10.1002/1097-0215(20010120)95:1<34::AID-IJC1006>3.0.CO;2-V. [DOI] [PubMed] [Google Scholar]
- 19.Mohseny AB, Tieken C, van der Velden PA, Szuhai K, de Andrea C, Hogendoorn PC, et al. Small deletions but not methylation underlie CDKN2A/p16 loss of expression in conventional osteosarcoma. Genes Chromosom Cancer. 2010;49(12):1095–103. [DOI] [PubMed]
- 20.Righi A, Gambarotti M, Sbaraglia M, Sisto A, Ferrari S, Dei Tos AP, et al. p16 expression as a prognostic and predictive marker in high-grade localized osteosarcoma of the extremities: an analysis of 357 cases. Hum Pathol. 2016;58:15–23. [DOI] [PubMed]
- 21.Robbins SL, Kumar V, Cotran RS. Robbins and Cotran pathologic basis of disease. 8. Philadelphia: Saunders/Elsevier; 2010. [Google Scholar]
- 22.Scott MC, Sarver AL, Tomiyasu H, Cornax I, Van Etten J, Varshney J, et al. Aberrant retinoblastoma (RB)-E2F transcriptional regulation defines molecular phenotypes of Osteosarcoma. J Biol Chem. 2015;290(47):28070–83. [DOI] [PMC free article] [PubMed]
- 23.Levine RA, Fleischli MA. Inactivation of p53 and retinoblastoma family pathways in canine osteosarcoma cell lines. Vet Pathol. 2000;37(1):54–61. doi: 10.1354/vp.37-1-54. [DOI] [PubMed] [Google Scholar]
- 24.Boudreau CE, York D, Higgins RJ, LeCouteur RA, Dickinson PJ. Molecular signalling pathways in canine gliomas. Vet Comp Oncol. 2015;15(1):133–150. doi: 10.1111/vco.12147. [DOI] [PubMed] [Google Scholar]
- 25.M. Parson HG. How to make tissue microarrays. Diagnostic Histpathology. 2009;15(3):142–150. doi: 10.1016/j.mpdhp.2009.01.010. [DOI] [Google Scholar]
- 26.Gibson-Corley KN, Olivier AK, Meyerholz DK. Principles for valid histopathologic scoring in research. Vet Pathol. 2013;50(6):1007–1015. doi: 10.1177/0300985813485099. [DOI] [PMC free article] [PubMed] [Google Scholar]
- 27.Nilsson K, Landberg G. Subcellular localization, modification and protein complex formation of the cdk-inhibitor p16 in Rb-functional and Rb-inactivated tumor cells. Int J Cancer. 2006;118(5):1120–1125. doi: 10.1002/ijc.21466. [DOI] [PubMed] [Google Scholar]
- 28.Lai S, Wenaas AE, Sandulache VC, Hartman C, Chiao E, Kramer J, et al. Prognostic significance of p16 cellular localization in Oropharyngeal Squamous cell carcinoma. Ann Clin Lab Sci. 2016;46(2):132–9. [PubMed]
- 29.Zhao N, Ang MK, Yin XY, Patel MR, Fritchie K, Thorne L, et al. Different cellular p16(INK4a) localisation may signal different survival outcomes in head and neck cancer. Br J Cancer. 2012;107(3):482–90. [DOI] [PMC free article] [PubMed]
- 30.Rosenberger JA, Pablo NV, Crawford PC. Prevalence of and intrinsic risk factors for appendicular osteosarcoma in dogs: 179 cases (1996-2005) J Am Vet Med Assoc. 2007;231(7):1076–1080. doi: 10.2460/javma.231.7.1076. [DOI] [PubMed] [Google Scholar]
- 31.McNeill CJ, Overley B, Shofer FS, Kent MS, Clifford CA, Samluk M, et al. Characterization of the biological behaviour of appendicular osteosarcoma in Rottweilers and a comparison with other breeds: a review of 258 dogs. Vet Comp Oncol. 2007;5(2):90–8. [DOI] [PubMed]
- 32.Thomas R, Wang HJ, Tsai PC, Langford CF, Fosmire SP, Jubala CM, et al. Influence of genetic background on tumor karyotypes: evidence for breed-associated cytogenetic aberrations in canine appendicular osteosarcoma. Chromosom Res. 2009;17(3):365–77. [DOI] [PMC free article] [PubMed]
- 33.Hoos A, Urist MJ, Stojadinovic A, Mastorides S, Dudas ME, Leung DH, et al. Validation of tissue microarrays for immunohistochemical profiling of cancer specimens using the example of human fibroblastic tumors. Am J Pathol. 2001;158(4):1245–51. [DOI] [PMC free article] [PubMed]
Associated Data
This section collects any data citations, data availability statements, or supplementary materials included in this article.
Data Availability Statement
All data generated or analyzed during this study are included in this published article and are available from the corresponding author on reasonable request.
