Highlights
-
•
Phyllodes is an uncommon tumour of the breast that should be considered in the middle age women with a rapidly enlarging breast mass.
-
•
There is no hallmark imaging characteristic of phyllodes tumour.
-
•
It is difficult to diagnose phyllodes based on a core biopsy due to the subjective nature of interpretation of the degree of stromal cellularity and degree of atypia.
-
•
Even if a phyllodes is diagnosed on core biopsy, an excision biopsy is always required to determine if it is a benign or malignant phyllodes tumour.
-
•
Complete systemic review of patient is important as in this case report, the patient’s malignant parotid tumour was diagnosed when she presented with her benign phyllodes tumour.
Keywords: Cellular fibroepithelial lesion, Benign phyllodes tumour, Malignant phyllodes tumour, Giant phyllodes tumour
Abstract
Introduction
Phyllodes tumours are uncommon fibroepithelial lesions that typically grow up to 4 cm in size but 10 cm tumours known as giant phyllodes tumours have been described. We present a case report of a 20 cm benign phyllodes tumour and a literature review.
Presentation of case
A 54 years old lady with an enlarging left breast mass measuring 20 cm of 6 months duration presented to our outpatient breast clinic. She also had an incidental right parotid lump. Core biopsy of the left breast mass returned as a cellular fibroepithelial lesion. A mastectomy and axillary lymph node sampling were done and skin cover was obtained from a split skin graft from the thigh. Final histology returned as a benign phyllodes tumour. Her post-operative recovery was uneventful.
Discussion
Phyllodes tumours are suspected in middle age women with rapidly enlarging painless breast masses. Though there are some suggestive features on ultrasound and MRI, the key to diagnosis is still histopathology. However, a pre-operative diagnosis may not always be possible as the interpretation of stromal cellularity and degree of atypia needed to differentiate cellular fibroadenoma from a phyllodes tumour is subjective. When a phyllodes tumour is suspected, adequate margins should be taken for optimal outcome.
Conclusion
Successful management of phyllodes tumour involves obtaining a pre-operative diagnosis via a core biopsy when possible and planning for adequate margins.
1. Introduction
Phyllodes tumours are uncommon fibroepithelial lesions whose histological diagnosis is based on subjective criteria. A core biopsy accurately interpreted by a pathologist is important in suggesting this diagnosis. Phyllodes tumours typically grow up to 4 cm in size but 10 cm tumours known as giant phyllodes tumours have been described. We present our approach to a patient who presented in the community with a 20 cm benign phyllodes tumour and an up to date literature review. This case report is reported in line with the SCARE criteria [19].
2. Presentation of case
A 54 year old female presented to KK Women and Children Hospital Breast Clinic with a 6 month history of enlarging left breast lump associated with left chest wall discomfort. There were no associated nipple discharge or skin changes. Her systemic review was unremarkable. She reported a significant family history of breast cancer − her sister had breast cancer when she was in her forties and is now well. She does not have any past medical history and is not on any regular medications. She is a lifelong non-smoker and does not take any alcohol.
On clinical examination, there was a large lobulated well circumscribed left breast mass measuring 20 cm. The overlying skin appeared thickened with prominent capillaries over the lateral aspects but there was no ulceration noted (Fig. 1). There were no palpable axillary or supra-clavicular lymph nodes. Incidentally, she had a right parotid lump. On enquiry, she reported the right parotid lump had been present for the past year and did not cause her any concerns. She adamantly declined a mammography due to concerns of discomfort and only an ultrasound of bilateral breasts was done. The ultrasound revealed a large heterogeneous mass in the left breast and suspicious looking left axilla lymph nodes. The contralateral breast was normal. A computed tomography (CT) of the chest revealed a 17 cm left breast mass contacting the thoracic wall (Fig. 2). Otherwise there were no suspicious lesions seen in the chest CT.
Fig. 1.
Large left breast mass on clinical examination.
Fig. 2.
Computed Tomography of Chest demonstrating the left breast mass.
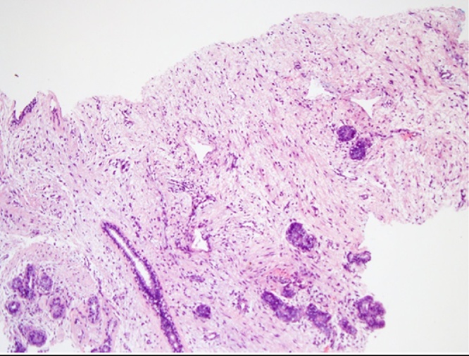
She underwent a core biopsy of the left breast mass and left axilla lymph node. The left breast mass biopsy showed a cellular fibro epithelial lesion with mild increase in stromal cellularity. No stromal atypia or mitoses were seen (Fig. 3). The left axilla lymph node returned as sinus histiocytosis, no malignancy was seen. She was referred to an ENT surgeon and a fine needle aspiration of the parotid lump returned as malignant cells.
Fig. 3.
Core biopsy of left breast mass show a cellular fibroepithelial lesion. The intervening stroma is mildly cellular. H & E 40X.
The patient was counselled that based on the core biopsy result of cellular fibroeithelial lesion, a malignant phyllodes tumour could not be excluded. The surgery would be both diagnostic and therapeutic. The principles of surgery would be to obtain wide margins. Breast conservation was not possible due to the size of the mass necessitating a mastectomy. It was emphasized to her the possibility of further surgery or adjuvant treatment depending on the final histology. She was referred to a plastic surgeon colleague for reconstruction options but she was not keen for any reconstruction. Her main concern was to remove the mass as soon as possible and she was not concerned with cosmesis. She underwent a left simple mastectomy and left axillary lymph node sampling with skin cover from a split skin graft from her left thigh. Intra-operatively, a cuff of pectoralis major muscle was removed en bloc with the left breast mass due to concern of involvement and to ensure adequate margins. Multiple left enlarged axillary lymph nodes were also removed.
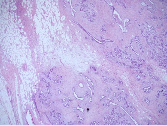
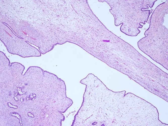
The final histology returned as completely excised benign phyllodes. All 7 sampled axillary lymph nodes were negative for malignancy. The mastectomy specimen (Fig. 4) was largely replaced by a pinkish lobulated and fleshy mass with foci of cystic change. It measured 187 mm (ML) × 190 mm (SI) × 80 mm (AP). The features were of a cellular fibroepithelial lesion with predominantly a well circumscribed margin which only focally exhibited a pushing edge (Fig. 5). The lesion comprised breast ducts separated by a mildly cellular stroma which exhibited a phyllodial architecture with slit like compressed ducts imparting a leaf like architecture (Fig. 6). There was no stromal atypia or increased mitoses or stromal overgrowth thus it was consistent with findings of a benign phyllodes tumour.
Fig. 4.
Left mastectomy specimen.
Fig. 5.
Focally pushing borders of the lesion H & E 40x.
Fig. 6.
Leaf like (phyllodial architecture) of the lesion; H & E 40x.
Her post-operative recovery was uneventful and she was home post-operative day 5. A month later she underwent a right total parotidectomy by an ENT surgeon. This returned as a 4.5 cm high grade invasive myoepithelial carcinoma ex pleomorphic adenoma with perineural invasion and margin involvement. She underwent adjuvant radiotherapy for her parotid carcinoma.
She has been seen 3 months after her breast surgery and is recovering well.
3. Discussion
Phyllodes tumours are rare tumours of the breast accounting for 0.3–0.5% of all breast tumours [1]. Most of the tumours occur in females of a median age 42–45 [2], [3], [4], with higher grade tumours more common in the elderly [5]. Phyllodes tumours occur approximately 10–15years older than the mean age of patients presenting with fibroadenomas of the breast [5].
The term “phyllodes” means leaf like and refers to the papillary projections that are seen on microscopic examination [6]. The diagnosis of phyllodes has been well established in the recommendations of WHO [7]. It is diagnosed when the fibroepithelial architecture shows an exaggerated intracanalicular pattern with leaf like fronds protruding into cystically dilated spaces accompanied by hypercellularity. A benign phyllodes tumour is characterized by mildly increased stromal cellularity and irregular borders. In contrast, a fibroadenoma whilst may have increased stromal cellularity usually has a circumscribed margin but this cannot be assessed on the biopsy. Therefore it may be difficult to distinguish a fibroadenoma and phyllodes tumour on biopsy. Furthermore, the distinction of benign and borderline phyllodes using the criteria of increased stromal cellularity, stromal atypia and mitoses can be very subjective and hence the accurate diagnosis is usually made only on the excision specimen. A malignant phyllodes tumour is distinguished from a benign/borderline phyllodes tumour by the presence of marked stromal cellularity, cellular atypia, permeative margins and mitotic activity of at least 10/10 HPF. However, because there is no objective criterion to distinguish stromal hypercellularity and atypia, the pre-operative diagnosis of phyllodes tumour may not always be possible, as seen in our patient case.
Clinically, phyllodes tumours tend to present as enlarging painless breast masses that stretch the overlying skin like the patient presented. Though ulceration and nipple retraction have been reported, they remain uncommon [8], [9]. The median size of phyllodes tumours are usually 4 cm [1] though recently in the literature there has been reports of large tumour size up to 50 cm and these are mostly malignant [10], [11]. Palpable axillary lymphadenopathy has been reported in up to 20% of cases but these are often reactive in nature and metastatic involvement of axillary lymph nodes is extremely rare [9]. However, as we were proceeding with a mastectomy for our patient, we decided to proceed with sentinel lymph node sampling as it would no longer be possible to do so had an invasive cancer been detected in the large mass after surgery. There are no pathognomonic mammographic or ultrasound features of phyllodes tumour. However, a recent retrospective study suggests a tumour size of greater than 3 cm, irregular shape, microlobulated margins, complex internal echo pattern and hypervascularity were significant findings of phyllodes tumour [12]. Presence of internal cystic areas on MRI also was predictive of phyllodes tumours [12]. Thus imaging may still serve as an aid to identify phyllodes tumour. However, a core biopsy remains the best investigation for pre-operative diagnosis.
In the absence of definitive histological findings characterizing phyllodes tumour, sometimes only a pre-operative diagnosis of cellular fibroepithelial lesion can be obtained as was the case in this patient. Though most cellular fibroepithelial lesions are fibroadenomas, surgeons should take into account the clinical presentation, image findings and the pathologist input how likely a phyllodes is present [13], [14], [15]. This allows planning of the intended surgical margins. In our patient, phyllodes was thought more likely than a fibroadenoma therefore wide margins of 1 cm were taken. This also highlights the importance of adequate pre operative counselling to forewarn the patient about the possibility of further surgery and adjuvant treatment depending on the final histology.
Successful management of phyllodes tumour involves wide excision with adequate margins. Most advocate a surgical margin of 1 cm [16], [17], [18]. Routine axillary dissection is not recommended but was done in our case due to the suspicious nature of the lymph nodes seen on imaging and the concern of possibility of presence of invasive cancer in such a large breast mass. Adjuvant chemotherapy and radiotherapy have not been proven to be useful in the treatment of phyllodes tumour.
It is of interest to note that the patient’s presentation for the benign phyllodes tumour of her breast led to the diagnosis of a much more aggressive parotid tumour. This reminds us the importance of always doing a full systemic review for every patient.
4. Conclusion
Phyllodes tumours are rare causes of rapidly enlarging painless breast masses in middle age women.A core biopsy is needed for diagnosis but often, definitive diagnosis is only obtained after excision. The surgeon should take into account the clinical and imaging characteristics to assess the likelihood of presence of phyllodes to decide the extent of margins needed during surgery. The patient must be adequately counselled for possibility of further surgery and adjuvant treatment depending on the final histology. Lastly, this case report highlights the importance of a full systemic review for every patient. This led to the timely diagnosis and management of the patient’s incidental malignant parotid tumour.
Conflicts of interest
There are no conflicts of interest.
Funding
No source of funding.
Ethical approval
Not applicable for this case report.
Consent
Written informed consent was obtained from the patient for publication of this case report and accompanying images. A copy of the written consent is available for review by the Editor-in-Chief of this journal on request.
Author contribution
All authors contributed to the writing of the paper.
Registration of research studies
Not applicable.
Guarantor
Guarantor is Dr Yan Zhiyan.
References
- 1.Rowell M.D., Perry R.R., Hsiu J.G., Barranco S.C. Phyllodes tumors. Am. J. Surg. 1993;165(3):376–379. doi: 10.1016/s0002-9610(05)80849-9. [DOI] [PubMed] [Google Scholar]
- 2.Tavassoli F.A., Devilee P. World Health Organization Classification of Tumours. IARC, Press; Lyons: 2003. Pathology and genetics of tumours of the breast and female genital organs; p. 99. [Google Scholar]
- 3.Bernstein L., Deapen D., Ross R.K. The descriptive epidemiology of malignant cystosarcoma phyllodes tumors of the breast. Cancer. 1993;71:3020. doi: 10.1002/1097-0142(19930515)71:10<3020::aid-cncr2820711022>3.0.co;2-g. [DOI] [PubMed] [Google Scholar]
- 4.Barrio A.V., Clark B.D., Goldberg J.I. Clinicopathologic features and long-term outcomes of 293 phyllodes tumors of the breast. Ann. Surg. Oncol. 2007;14:2961. doi: 10.1245/s10434-007-9439-z. [DOI] [PubMed] [Google Scholar]
- 5.Karim R.Z., Gerega S.K., Yang Y.H. Phyllodes tumours of the breast: a clinicopathological analysis of 65 cases from a single institution. Breast. 2009;18:165. doi: 10.1016/j.breast.2009.03.001. [DOI] [PubMed] [Google Scholar]
- 6.Calhoun K., Allison K.H., Kim J.N. Phyllodes tumors. In: Harris J., Lippman M.E., Morrow M., Osborne K.C., editors. Diseases of the Breast. Lippincott Williams and Wilkins; 2014. [Google Scholar]
- 7.Lakhani S.R., Ellis I.O., Schnitt S.J., Tan P.H., van de Vijver M.J., editors. World Health Organization Classification of Tumours of the Breast. IARC Press; Lyon: 2012. [Google Scholar]
- 8.Barrio A.V., Clark B.D., Goldberg J.I. Clinicopathologic features and long-term outcomes of 293 phyllodes tumors of the breast. Ann. Surg. Oncol. 2007;14:2961. doi: 10.1245/s10434-007-9439-z. [DOI] [PubMed] [Google Scholar]
- 9.Reinfuss M., Mituś J., Duda K. The treatment and prognosis of patients with phyllodes tumor of the breast: an analysis of 170 cases. Cancer. 1996;77:910. doi: 10.1002/(sici)1097-0142(19960301)77:5<910::aid-cncr16>3.0.co;2-6. [DOI] [PubMed] [Google Scholar]
- 10.De Suza Juliana Alves, Ferreira Marques Elvira, Guatelli Camilla, Santiago Girao Deise, Queroz Thiago, Graziano Luciana. IMAGEM EM MEDICINA; 2011. Malignant Phyllodes Tumor of the Breast: Case Report. [PubMed] [Google Scholar]
- 11.Sarvanandan Ramesh, Thangaratnam Ramesh, Chen Leong A.J. Immediate Latissimus dorsi pedicle flap reconstruction following the removal of an eight kilogram giant phyllodes tumour of the breast: a case report. J. Med. Case Rep. 2011;5:44. doi: 10.1186/1752-1947-5-44. [DOI] [PMC free article] [PubMed] [Google Scholar]
- 12.Duman L., Gezer N.S., Balci P., Altay C., Basara I., Durak M.G., Sevince A.L. Differentiation between phyllodes tumours and fibroadenomas based on mammographic sonographic and MRI findings. Breast Care (Basel) 2016;11(April (2)):123–127. doi: 10.1159/000444377. (Epub 2016 Mar 23) [DOI] [PMC free article] [PubMed] [Google Scholar]
- 13.Tan Benjamin Y., Acs Geza, Apple Sophia K., Badve Sunil, Bleiweiss Ira J. Phyllodes tumours of the breast a concensus review. Histopathology. 2016;6891(January):5–21. doi: 10.1111/his.12876. [DOI] [PMC free article] [PubMed] [Google Scholar]
- 14.Tan P.H., Thike A.A., Tan W.J. Predicting clinical behaviour of breast phyllodes tumours: a nomogram based on histological criteria and surgical margins. J. Clin. Pathol. 2012;65:69–76. doi: 10.1136/jclinpath-2011-200368. [DOI] [PubMed] [Google Scholar]
- 15.Resetkova E., Khazai L., Albarracin C.T., Arribas E. Clinical and radiologic data and core needle biopsy findings should dictate management of cellular fibroepithelial lesions of the breast. Breast J. 2010;16(November-December (6)):573–580. doi: 10.1111/j.1524-4741.2010.01013.x. [DOI] [PubMed] [Google Scholar]
- 16.Guillot E., Couturaud B., Reyal F. Management of phyllodes breast tumors. Breast J. 2011;17:129–137. doi: 10.1111/j.1524-4741.2010.01045.x. [DOI] [PubMed] [Google Scholar]
- 17.Mangi A.A., Smith B.L., Gadd M.A., Tanabe K.K., Ott M.J., Souba W.W. Surgical management of phyllodes tumors. Arch. Surg. 1999;134:487–492. doi: 10.1001/archsurg.134.5.487. discussion 492–493. [DOI] [PubMed] [Google Scholar]
- 18.Reinfuss M., Mituś J., Duda K., Stelmach A., Ryś J., Smolak K. The treatment and prognosis of patients with phyllodes tumor of the breast: an analysis of 170 cases. Cancer. 1996;77:910–916. doi: 10.1002/(sici)1097-0142(19960301)77:5<910::aid-cncr16>3.0.co;2-6. [DOI] [PubMed] [Google Scholar]
- 19.Agha R.A., Fowler A.J., Saetta A., Barai I., Rajmohan S., Orgill D.P., for the SCARE Group The SCARE statement: consensus-based surgical case report guidelines. Int. J. Surg. 2016;34:180–186. doi: 10.1016/j.ijsu.2016.08.014. [DOI] [PubMed] [Google Scholar]






