Abstract
The aim of this study is to investigate the relationship between the presence of the cervical lymph node with central necrosis as on the preoperative imaging and postoperative histopathological identification of the lymph node extra capsular spread. This study is a prospective study conducted at J.L.N. Hospital and Research Centre, Bhilai (C.G), from August 2011 to January 2014. Thirty patients with metastatic head and neck squamous cell carcinoma were enrolled. All candidates were subjected to a detailed history taking and clinical examination. Their preoperative computed tomography (CT) scans were assessed with attention to the presence and absence of lymph node, lymph node size, shape, level, presence or absence of the lymph node central necrosis and other signs of the ECS such as thick walled enhancing nodal margin, loss of margin definition, alteration of adjacent fat planes. These patients then underwent surgery which included resection of the primary with the neck dissection. The preoperative records of the lymph node size and location were observed radio-graphically and analyzed with the resected lymph node histopathologically. These data was used for finding out correlation. Of the total 30 patients studied, 24 patients were male and 6 patients female with ratio of 4:1. The most common group of the patients were of malignancy of gingivobuccal sulcus. Out of the 30 patients 19 patients had the radiographic evidence of the central necrosis, out of which 11 had the extra capsular spread on the histological analysis. In no patients did we found histopathology extra capsular spread without central necrosis. Thus the central necrosis on the CT has the high sensitivity for detection of the extra capsular spread. Out of the 19 lymph node without extra capsular spread, 11 lymph nodes had no central necrosis on the preoperative CT, remaining 8 lymph node were having central necrosis on CT whereas post op histopathology of these 8 lymph nodes showed metastatic deposit, indicating the low specificity of the central necrosis in detection of the ECS. Lymph node central necrosis on pre-operative CT is sensitive indicator with a high negative predictive value for lymph node extra capsular spread. Future studies focusing on identifying molecular mediator involved in ECS to determine targets for adjuvant therapies in this subset of patients are recommended.
Keywords: Lymph node, Central necrosis, Computed tomography (CT), Extra capsular spread
Introduction
Head and neck cancer accounts for 3–4% of all malignancies with approximately 65,000 new cases detected every year, of which 90% of these cancer are squamous cell carcinoma. [1] Cancer management and prognosis depends to a great extent on the presence and the degree of the tumour metastasis. These are evaluated by staging tumour according to the internationally accepted tumour node metastasis (TNM) system. This staging classification includes; Stage 0—pre-invasive neoplasia; Stage 1—tumour confined to the organ of the origin; Stage 2—direct tumour spread outside the organ of the origin; Stage 3—metastasis to the regional lymph node and Stage 4—metastasis to distinct site. With each successive increase in stage in the TNM system, it indicates a significant decrement in the prognosis. Presence of the nodal metastasis is the poor prognostic indicator and if the extra capsular spread is present it reduces the five year survival rate by 50% and approximately 1.5 to 3.5-fold increase in regional recurrence [2–4].
Extra capsular spread is the most important predictor of the survival, loco regional recurrence and the distant metastasis. The spread of the metastatic disease beyond lymph node capsule demands aggressive therapy directed towards loco regional disease. Therefore the ability to predict lymph node extra capsular spread prior to the treatment may be helpful in guiding subsequent therapy both in nonsurgical case (which would benefit from the concurrent chemotherapy) and in the surgical case (which would require adjuvant chemotherapy). Extra nodal spread and microscopically involved resected margin are most significant prognostic predictors of the poor outcome, and also two of the strongest indication of adjuvant radiotherapy [5]. Improvement in radiological accuracy of preoperative detection of extra capsular spread aids in planning of adjuvant radiotherapy. The loco regional control rates can be improved with addition of the chemotherapy. [6]. The main therapeutic implication of our current finding involves the role of the adjuvant treatment.
The present study uses computed tomography for the lymph node assessment and the central necrosis in the lymph node as the diagnostic criteria for the extra capsular spread. The purpose of this study is to determine the sensitivity, specificity and predictive value of CT criteria (central necrosis) for diagnosis of the extra nodal spread of metastatic head and neck carcinoma. Histology reports were used as the gold standard for comparison. The primary aim of the study is to investigate the relationship between the presence of the cervical lymph node with central necrosis as on the preoperative imaging and postoperative histopathological identification of the lymph node extra capsular spread.
Materials and Methods
This is the prospective study carried in the Department of the ENT, Jawaharlal Nehru hospital and research centre, Bhilai (C.G), a multi disciplinary 860 bedded tertiary and referral hospital, providing free medical services to the employees and their dependants of Bhilai Steel Plant. It also caters to referred employees of other related industries, local nursing homes, private practitioners, district hospitals and health centers. This study was carried out from August 2011 to January 2014.
Inclusion Criteria of the Patients
Patients with squamous cell carcinoma of head and neck with cervical lymphadenopathy.
Patients who underwent surgery as the primary modality of treatment.
Exclusion Criteria of the Patients
Cases of squamous cell carcinoma, who received radiotherapy as primary treatment, were excluded from study.
Patients with N0 neck(radiologically).
Malignant neoplasm other than squamous cell carcinoma,
Delay in surgery longer than 6 weeks from the time of staging computed tomography,
Neck metastases appearing after surgery/radiotherapy were excluded.
A preoperative study of the lymph node size, level and mobility was made. All these patients underwent contrast enhanced computed tomography. The preoperative CT scans were assessed by the expert radiologist with attention to presence and absence of lymph node, lymph node size, shape, level, presence or absence of the lymph node central necrosis as well as other signs of the ECS such as thick walled enhancing nodal margin, loss of margin definition, alteration of adjacent fat planes. These patients then underwent surgery which included resection of the primary with the neck dissection. The specimen was oriented by having lymph node level 1 to level 5 marked individually with flags.
The resected surgical specimen was then examined by the pathologist specifically noting the size, shape, number; central necrosis, macroscopic and microscopic signs of the extra capsular spread, calcification and fibrosis.
The preoperative records of the lymph node size and location were observed radio-graphically and analyzed with the resected lymph node histopathologically.
Statistical Analysis
The data was used to correlate radiological identification of the lymph node central necrosis with the histopathological finding of the lymph node extra capsular spread. The sensitivity; specificity; positive predictive value and negative predictive value of CT were calculated.
True positive; it is defined as CT showing central necrosis, and histopathology showing ECS.
True negative; it is defined as the CT is negative for central necrosis and histology does not show ECS.
False positive; CT shows central necrosis but histology is negative for ECS.
False negative; CT negative for central necrosis but histology is positive for ECS.
Sample Size
On an average about 100 cases of the malignancy come in ENT OPD annually at JLN hospital. Many patients did not give consent for the study. Finally a sample size of 30 patients fulfilling above inclusion and exclusion criteria was taken and considered for statistical analysis.
Observation and Results
Out of the total 30 patients studied, 24(80%) patients were male and 6(20%) patients female with a sex ratio of 4:1 (Fig. 1). The mean age was found to be 52.97 ± 15.23. The primary tumour site involvement of the overall 30 patients is as shown in Table 1. Majority of the patients (43.33%) were having malignancy of the gingivobuccal sulcus. All the patients, underwent preoperative CT scans followed by the surgery (neck dissection), the mean interval between CT and surgery was 30 days.
Fig. 1.
Age and sex distribution
Table 1.
Site of malignancy
| Sr. no | Site of malignancy | N | % |
|---|---|---|---|
| 1 | Tongue | 3 | 10 |
| 2 | Larynx | 2 | 6.67 |
| 3 | SQ Cell CA GBS | 13 | 43.33 |
| 4 | Buccal mucosa | 4 | 13.33 |
| 5 | Others | 8 | 26.67 |
Taking into consideration central necrosis, Out of the 30 patients 19 patients had the radiographic evidence of the central necrosis whereas 11 patients did not showed central necrosis. Out of 19 patients whose pre-op CT showed central necrosis; 11 had ECS and remaining 8 did not have ECS on histopathological examination. In no patients did we histopathologically found extra capsular spread without central necrosis. Thus the central necrosis on the CT has the high sensitivity for detection of the extra capsular spread.
Now if we consider patients with ECS; 11 lymph node had ECS whereas 19 lymph node had no extra capsular spread on histopathological analysis. On analysis of these 19 lymph nodes without ECS we found that 11 lymph nodes had no central necrosis on the preoperative CT whereas remaining 8 lymph node were having central necrosis on CT and post op histopathology of these 8 lymph nodes showed only metastatic deposit, indicating the low specificity of the central necrosis in detection of the ECS (Tables 2, 3; Fig. 2a–d).
Table 2.
Relationship between CT Scan Findings and Extracapsular Spread
| CT (central necrosis) | Extra capsular | Total | p value | |
|---|---|---|---|---|
| + | – | |||
| + | 11 | 8 | 19 | 0.0016 HS |
| − | 0 | 11 | 11 | |
| Total | 11 | 19 | 30 | |
Table 3.
Relationship between CT scan findings and metastatic deposit
| CT (central necrosis) | Metastatic deposit | Total | p value | |
|---|---|---|---|---|
| + | – | |||
| + | 8 | 11 | 19 | 0.10 NS |
| − | 1 | 10 | 11 | |
| Total | 9 | 21 | 30 | |
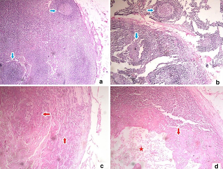
Fig. 2.
Photograph of histopathological examination (a, b) showing Lymph node with maintained normal architecture and no evidence of metastatic deposits or extracapsular spread [blue arrow] {H&E, 10X}, c showing Lymph node with metastatic deposits [red arrow] {H&E, 10X}and d showing Lymph node with metastatic deposits [red arrow] and cystification [red star] {H&E, 10X}
In no case did we observe more than one lymph node with radiographic central necrosis or histopathological ECS in a single nodal station, which helped ensure reliable clinico pathological matching.
Mean nodal diameter of the lymph node with ECS (2.89 cm) and those without ECS (2.33) did not differ much However it was found that lymph node showing central necrosis on preoperative CT scanning were significantly larger than those without central necrosis (2.89 vs 2.33, respectively) providing a P value of 0.27 which is not statistically significantly (Table 4). There were 4 patients in the study group who did not have clinically palpable lymph node and CT showed lymphadenopathy. Out of this one lymph node was positive for ECS.
Table 4.
Relationship between extracapsular spread and lymph node diameter
| Extra capsular spread | Lymph node diameter | p value | |
|---|---|---|---|
| Mean | SD | ||
| Yes | 2.89 | 1.27 | 0.27 NS |
| No | 2.33 | 1.19 | |
Accuracy of CT for the detection of extra capsular spread was as mentioned in (Table 5). We observed that for determination of histopathological ECS, a finding of the lymph node central necrosis on the preoperative CT has a sensitivity of 100% and specificity of 57.89% with the PPV 57.89% of and NPV of 100%.
Table 5.
Accuracy of CT for the detection of extra capsular spread
| S. no | Results | % | 95% Confidence interval |
|---|---|---|---|
| 1 | Sensitivity | 100% | 71.33–100% |
| 2 | Specificity | 57.89% | 33.53–79.70% |
| 3 | Positive likelihood ratio | 2.38 | 1.40–4.02 |
| 4 | Negative likelihood ratio | 0 | – |
| 5 | Disease prevalence | 36.67% | 19.95–56.14% |
| 6 | PPV | 57.89% | 33.53–79.70% |
| 7 | NPV | 100% | 71.33–100.00% |
Discussion
The best radiological predictor of lymph node metastasis is the finding of the central necrosis which has been reported to carry nearly 100% accuracy in predicting the presence of the metastatic disease [7, 8]. The detection of the malignant disease is based on the fact that as cancer cell invade the lymph node, its size shape and character changes so that as it enlarges, its centre dies and appears as necrosis, and there is the thin rim of the inflammation around edges, which shows up on scanning as the rim enhancement (Fig. 3a–d). On CT lymph node central necrosis is defined as a central area of the low attenuation surrounded by a rim of the enhancing tissue (Fig. 4a–d). The entities that mimic central necrosis are lipid metaplasia and abscess. Lipid metaplasia is the fatty degeneration secondary to the inflammation or irradiation and is usually found at the periphery of the lymph node, while central necrosis is in the centre. Abscess can be differentiated from central necrosis clinically.
Fig. 3.
CT scan neck axial view (a, b) showing central necrosis in the level 1A Lymph node [red arrow], c showing right sided large level 1B lymph node and small level 3 lymph node with central necrosis [blue arrow] and d showing bilateral level 1B lymph node with central necrosis [blue arrow]
Fig. 4.
CT scan neck axial view (a, b) showing central necrosis in the level 1B Lymph node [blue arrow], (c, d) showing Level 2 lymph node with central necrosis [red arrow] with a primary lesion in the right GB sulcus [blue arrow]
Similar imaging finding can be seen on MRI, including a focal defect in enhancement centrally on gadolinium enhanced T1 weighted images. This non enhancing central region is typically hyper intense on fat suppressed T2 weighted images, but may show variable signal characteristic depending on the makeup of the necrotic tissue.
Although it is difficult to apply these characteristic to small foci of necrosis less than 3 mm in size but CT and MRI are generally accurate in diagnosing central necrosis with sensitivity 91 and 93% and specificity of 93 and 89% respectively [9]. Although some studies have suggested that CT is superior to MRI in detection of central nodal necrosis. Both are more sensitive than US [9, 10].
Once the presence of the regional metastasis is confirmed, staging is the next important step. With guidelines determined by the American joint committee on cancer, lymph node staging is ranging from Stage Nx to Stage N3 as given by UICC, 2009; Sobin et al. [11].
There are several other additional feature that must be known preoperatively as they have significant impact on prognosis and management. These features are Presence of the extra capsular extension, Carotid encasement/invasion and Extension/fixation to skull base. Of these factors preoperative knowledge of the extra capsular spread is important. Extra nodal spread positive nodes are defined as those with macroscopic or microscopic cancer spread beyond the nodal capsule. The presence of extra capsular extension of metastatic disease increases the local recurrence rate by 3.5 times, when compared with the absence of nodular metastasis or metastatic adenopathy without extra capsular spread in patients with squamous cell cancer [4]. When 2 or more nodes shows extra capsular spreads regional recurrence rate is 58.3% and the rate of distant metastasis is 33.3% with median survival of less than 1 year [12]. It is also likely that ECS may have differential impact depending on primary site. For instance Oosterkamp et al. [13] showed that ECS adversely affect the survival in laryngeal cancer the risk of metastasis nine times compared to a three times greater risk in patients without this finding.
Currently it is not clear whether or not ECS represents an increase in tumour burden or increase in tumour aggressiveness. As previously described by, Toker demonstrated that primary deposit of tumour emboli within the node capsule may lead to ECS occurring quiet early in the metastatic process [14] and as such may represent an anatomical variation rather than an aggressive tumour.
Lymph node size is also an indicator of extra capsular spread. Although 25% of the malignant lymphnode ≤ 1 cm in size may be associated with microscopic extra capsular extension, 75% the node ≥3 cm are associated with such extra capsular spread [3, 15].
Extra capsular spread is a histological diagnosis. Histological grading system [16] includes following grades which plays a vital role in the overall outcome.
Grade 0—tumor within substance of lymph node so surrounded by a rim of lymphoid tissue or tumor in sub capsular sinus without associated thickening of the capsule (Fig. 5a–d).
Grade 1—tumor filling sub-capsular sinus with thickened capsule, but no irregular edge or obvious extension of tumor beyond the capsule (Fig. 6a–d),
Grade 2—tumor extending less than or equal to 1 mm beyond the capsule,
Grade 3—tumor extending more than 1 mm beyond the capsule, (Fig. 7a–d).
Grade 4—masses of tumor with no residual nodal tissue or architecture such as discrete lymphoid tissue with germinal centers or a sub capsular sinus.
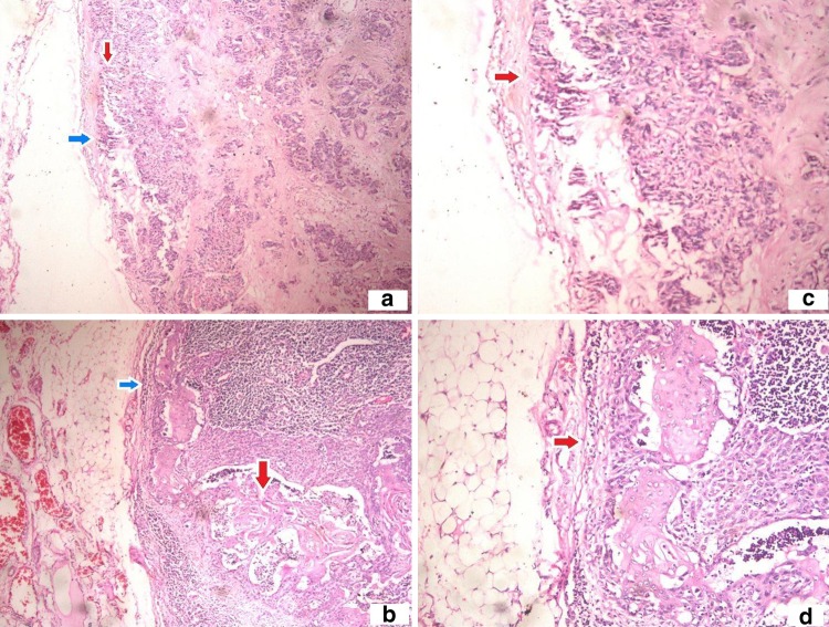
Fig. 5.
Photograph of histopathological examination (a, b—low power view) (c, d—high power view) showing lymph node having metastatic deposits [red arrow] with capsular involvement [blue arrow]
Fig. 6.
Photograph of histopathological examination showing lymph node with capsular invasion and thickening with no obvious extension of tumor beyond the capsule [red arrow] {H&E, 10X} s/o Grade 1 extracapsular spread
Fig. 7.
Photograph of histopathological examination showing lymph node with tumor tissue growing irregularly beyond the capsule into adipose tissue [red arrow] {H&E, 10X} s/o Grade 3 extracapsular spread
Radiological criteria suggesting extra capsular spread with respective imaging modalities such as on USG metastatic lymph node tends to have distinct margin but an indistinct margin raises the possibility of extra capsular spread of disease whereas CT scan [10, 17] may show Nodal capsule enhancement, infiltration of adjacent fat or muscle planes and capsular contour irregularity while on MRI [18] Nodal size (short axis diameter), Obliteration of fat spaces between metastatic node and adjacent tissue, such as muscle and skin on T1 weighted images (vanishing border sign.), Presence of high intensity signals in the interstitial tissue around and extending from metastatic node on fat suppressed T2 images (flare sign) and Irregular nodal margin on gadolinium enhanced T1 weighted images (shaggy margin) may reveal extra capsular spread of disease.
Considering Accuracy of the various radiological techniques, Steinkamp et al. [19] and Tartaglione et al. [20] mentioned that USG is acceptably sensitive but less specific for detection of extra capsular spread; CT has a Sensitivity of 81% and specificity of 72% while MRI provides Sensitivity of 55–77% and specificity of 57–72%. MRI precontrast T1 and T2 images are more sensitive than gadolinium enhanced T1 weighted images. So it is clear that there are well established radiological parameter of the extra nodal spread, but it not known whether an association exists between radiographic lymph node central necrosis and histopathological extra capsular spread.
According to Gil et al. [21] there are many aspects that affect outcome of patients with a malignant head and neck tumour. These relate to the tumour (the anatomical site and the clinical and pathological extent of the disease), the host (age, general condition and any intercurrent disease of the patient) and management (treatment options, expertise available, patient preference.) By the time of diagnosis, according to Lindberg et al. [22] about half of the patients with head and neck SCC present with regional lymph node metastasis. Nevertheless, metastasis in the lymph nodes seems to be the most important prognostic factor in these patients and the presence of ECS has been proven to be a reliable prognostic indicator. Since the first description by Bennett et al. [23] several studies have concluded that extra nodal extension of metastasis of head and neck SCC portends a poor prognosis.
Radiological detection of the extra nodal spread has not been well reported in literature. Various imaging technique can be used but CT scan has been reported to be more accurate. Yousem et al. [24] obtained good results in predicting ENS by using MR imaging (78–90% accuracy), but they estimated the diagnostic ability of MR imaging compared with a gold standard using CT on the CT-proof basis instead of pathology, suggesting that CT is more accurate than MR imaging. Souter et al. [25] using enhancing nodal margin, loss of margin definition and alteration in adjacent fat plane as criteria for ECS, reported the positive predictive value of CT for diagnosis of the extra nodal spread, in hands of the experienced to be between 85 and 87%. Our study used central necrosis as the criteria for the predictor of ECS.
A heterogeneous group of patients with squamous cell carcinoma of the various sites were present in our study group, most common site was found to be gingivobuccal sulcus. Given the prevalence of the false negative clinically N0 neck those patients with the clinically N0 neck but CT showing sign of the lymphadenopathy were included in the study. Carvalho found a rate of 22.8% of false-negative N0 necks, [4] while Otzturkcan et al. [26] and Snyderman et al. [3] had a rate of 32.2 and 20.0%, respectively, false-negative N0 patients for supraglottic SCC.Our study included 4 patients who did not have clinically palpable node but showed lymphadenopathy of these two were positive for metastasis.
In the present study, final analysis indicated that the sensitivity and specificity of radiographic lymph node central necrosis in detecting extra capsular spread were 100 and 57.9%, respectively, and that radiographic lymph node central necrosis had a positive predictive value of 57.8% for extra capsular spread. Furthermore, radiographic lymph node central necrosis had a high negative predictive value, 100%, thus indicating that a patient without radiographic central necrosis will probably not have extra capsular spread.
Zoumalan et al. [27] in a similar study reported that the sensitivity and specificity of Radiographic lymph node central necrosis in detecting extra capsular spread were 95 and 85%, respectively, with a positive predictive value of 68.8% a high negative predictive value, 98%. Dr. Randall et al. [28] in a multivariate logistic regression study to indentify parameters independently predicting pathological ECS found that, central necrosis was the significant predictor of ECS (odds ratio OR 12.1, 95% confidence interval = 1:4) Central necrosis predicted ECS with 91% sensitivity and 88% negative predictive value.
In the current study, pre-operative CT scanning indicated that lymph nodes with central necrosis were on average larger than those without necrosis; however, final histopathological analysis showed that the mean diameter of nodes with and without extra capsular spread did not differ In order to demonstrate that extra capsular spread was common in lymph nodes smaller than 3 cm in size, Johnson and colleagues conducted two studies; both showed that extra capsular spread was found in approximately 60% of patients with cervical metastases consisting of nodes less than 3 cm in diameter. [2, 29]
In our study one lymph node was identified which was clinically not palpable and CT scan showed sub centric hypo dense node and it was positive for ECS. This can be explained because one of the modes of the spread though less common involves tumour cell lying in the sub capsular sinus spreads directly and quickly through the capsule without the bulk of disease involving the lymph node first. This will lead to ECS occurring quite early in the metastatic Process [9].
Metastatic lymph node extra capsular spread may be most common in patients who develop distant metastases. In a retrospective cohort of 130 patients, Alvi and Johnson found that 88% of patients with distant metastases had lymph node extra capsular spread, compared with only 60% without distant metastases (p < 0.001) [30]. Lefebvre et al. Obtained similar results in a retrospective study of patients with hypo pharyngeal and laryngeal cancer [30]. Patients with more than three metastatic lymph nodes and lymph node extra capsular spread had approximately three times the rate of distant metastases, compared with patients without nodal metastasis or extra capsular spread.
Conclusion
The finding of lymph node central necrosis on pre-operative computed tomography (CT) is associated with the presence of histopathologically identified lymph node extra capsular spread.
Central necrosis on CT has high sensitivity for lymph node extra capsular spread but low specificity as central necrosis is also indicative of the metastatic deposit in lymph node.
Lack of such central necrosis has a high negative predictive value for lymph node extra capsular spread. But presence of the central necrosis does not always indicate ECS it may indicate metastatic deposit also.
Extra nodal spread is significant prognostic predictors of the poor outcome, and is the strongest indication of adjuvant radiotherapy. ECS is associated with significant loco regional recurrence, which can be improved with addition of the chemotherapy. So if ECS is detected preoperatively surgery should be more radical followed by post of chemo radiation.
There are many studies related to prognostic significance of the ECS and the radiologic diagnostic criteria but very few on the molecular markers of the ECS, so future studies are recommended which should focus on identifying molecular mediator involved in ECS to determine targets for adjuvant therapies in this subset of patients.
Given its low number of patients, the current study can only generate hypothesis, a larger scale study of this type would be worthwhile.
Compliance with Ethical Standards
All the accepted principles of ethical and professional conduct have been followed and compliance is maintained.
Conflict of interest
All the authors have filled the potential conflict of interest disclosure forms and declare that they have no conflict of interest.
Ethical Approval
All procedures performed in studies involving human participants were in accordance with the ethical standards of the institutional and/or national research committee and with the 1964 Helsinki declaration and its later amendments or comparable ethical standards.
Informed Consent
Informed consent was obtained from all individual participants included in the study.
Contributor Information
Aditi Sharma, Email: draditishukla60@gmail.com.
Ashwin Ashok Jaiswal, Email: ash1978jaiswal@gmail.com.
Girish Umredkar, Email: girishumred@gmail.com.
Ratiram Barle, Email: rrbarle@gmail.com.
Neeta Sharma, Email: dr1neetasharma@gmail.com.
Praveer Kumar Banerjee, Email: drpraveer_31@yahoo.co.in.
Amrish Kumar Garg, Email: drakgarg19@yahoo.co.in.
Ravindranath Membally, Email: mrnath101@gmail.com.
References
- 1.American cancer society . Cancer facts and figures 2005. Atlanta: American Cancer Society; 2005. [Google Scholar]
- 2.Johnson JT, Myers EN, Bedetti CD, Barnes EL, Schramm VL, Thearle PB. Cervical lymph node metastases: incidence and implications of extra capsular carcinoma. Arch Otolaryngol. 1985;111:534–537. doi: 10.1001/archotol.1985.00800100082012. [DOI] [PubMed] [Google Scholar]
- 3.Snyderman NL, Johnson JT, Schramm VL, Myers EN, Bedetti CD, Thearle P. Extra capsular spread of carcinoma in cervical lymph nodes: impact upon survival in patients with carcinoma of the supraglottic larynx. Cancer. 1985;56:1597–1599. doi: 10.1002/1097-0142(19851001)56:7<1597::AID-CNCR2820560722>3.0.CO;2-5. [DOI] [PubMed] [Google Scholar]
- 4.Carvalho BM. Quantitative analysis of the extent of extra-capsular invasion and its prognostic significance: a prospective study of 170 cases of carcinoma of the larynx and hypo pharynx. Head Neck. 1998;20:16–21. doi: 10.1002/(SICI)1097-0347(199801)20:1<16::AID-HED3>3.0.CO;2-6. [DOI] [PubMed] [Google Scholar]
- 5.Bernier J, Cooper JS, Pajak TF, van Glabbeke M, Bourhis J, Forastiere A, et al. Defining risk levels in locally advanced head and neck cancers: a comparative analysis of concurrent postoperative radiation plus chemotherapy trials of the EORTC and RTOG. Head Neck. 2005;27:843–850. doi: 10.1002/hed.20279. [DOI] [PubMed] [Google Scholar]
- 6.Cooper J, Pajak TF, Forastiere AA, Jacobs J, Campbell BH, Saxman SB, et al. Postoperative concurrent radiotherapy and chemotherapy for high-risk squamous—cell carcinoma of the head and neck. N Engl J Med. 2004;350:1937–1944. doi: 10.1056/NEJMoa032646. [DOI] [PubMed] [Google Scholar]
- 7.Van den Brekel MW, et al. Cervical lymph node metastasis: assessment of the radiological criteria. Radiology. 1990;177(2):379–384. doi: 10.1148/radiology.177.2.2217772. [DOI] [PubMed] [Google Scholar]
- 8.Steinkamp HJ, van der Hoeck E, Böck JC, Felix R. The extracapsular spread of cervical lymph node metastases: the diagnostic value computed tomography [in German] Rofo Fortschr Geb Rontgenstr Neuen Bildgeb Verfahr. 1999;170:457–462. doi: 10.1055/s-2007-1011073. [DOI] [PubMed] [Google Scholar]
- 9.King AD, et al. Necrosis in metastatic neck nodes: diagnostic accuracy of CT, MR imaging, and US. Radiology. 2004;230(3):720–726. doi: 10.1148/radiol.2303030157. [DOI] [PubMed] [Google Scholar]
- 10.Yousem DM, et al. Central necrosis and extra capsular neoplastic spread in cervical lymph nodes: MR imaging versus CT. Radiology. 1992;182(3):753–759. doi: 10.1148/radiology.182.3.1535890. [DOI] [PubMed] [Google Scholar]
- 11.Sobin LH, Gospodarowicz MK, Wittekind C, editors. TNM classification of malignant tumours. 7. Oxford: Wiley-Blackwell; 2009. [Google Scholar]
- 12.Greenberg JS, Fowler R, Gomez J, et al. Extent of the extra capsular spread: a critical prognosticator in oral tongue cancer. Cancer. 2003;97:1464–1470. doi: 10.1002/cncr.11202. [DOI] [PubMed] [Google Scholar]
- 13.Oosterkamp S, de Jong JM, van den Ende PL, et al. Predictive value of lymph node metastases and extracapsular extension for the risk of distant metastases in laryngeal carcinoma. Laryngoscope. 2006;116:2067–2070. doi: 10.1097/01.mlg.0000240263.05198.a0. [DOI] [PubMed] [Google Scholar]
- 14.Toker C. Some observations on the deposition o f cancer cells: metastatic carcinoma within cervical lymph nodes. Cancer. 1963;16:364–374. doi: 10.1002/1097-0142(196303)16:3<364::AID-CNCR2820160311>3.0.CO;2-K. [DOI] [PubMed] [Google Scholar]
- 15.Giancarlo T, Palmieri A, Giacomarra V, Russolo M. Pre-operative evaluation of cervical adenopathies in tumours of the upper aerodigestive tract. Anticancer Res. 1998;18:2805–2809. [PubMed] [Google Scholar]
- 16.Lewis JS, Jr, Carpenter DH, Thorstad WL, Zhang Q, Haughey BH. Extracapsular extension is a poor predictor of disease recurrence in surgically treated oropharyngeal squamous cell carcinoma. Modern Pathology. 2011;24:1413–1420. doi: 10.1038/modpathol.2011.105. [DOI] [PMC free article] [PubMed] [Google Scholar]
- 17.Van den Brekel MW, van der Waal I, Meijer CJ, Freeman JL, Castelijns JA, Snow B. The incidence of micro metastases in neck dissection specimens obtained from elective neck dissections. Laryngoscope. 1996;106:987–991. doi: 10.1097/00005537-199608000-00014. [DOI] [PubMed] [Google Scholar]
- 18.King AD, Tse GM, Yuen EH, et al. Comparison of CT and MR imaging for the detection of extranodal neoplastic spread in metastatic neck nodes. Eur J Radiol. 2004;52:264–270. doi: 10.1016/j.ejrad.2004.03.004. [DOI] [PubMed] [Google Scholar]
- 19.Steinkamp HJ, Hosten N, Richter C, Schedel H, Felix R. Enlarged cervical lymph nodes at helical CT. Radiology. 1994;191:795–798. doi: 10.1148/radiology.191.3.8184067. [DOI] [PubMed] [Google Scholar]
- 20.Tartaglione T, Summaria V, Medoro A, Brunetti D, Di Lella GM, Zacchei P. Metastatic lymphadenopathy from ENT carcinoma: role of diagnostic imaging. Rays. 2000;25:429–446. [PubMed] [Google Scholar]
- 21.Gil Z, Fliss D. Contemporary management of head and neck cancers. Isr Med Assoc J. 2009;11:296–300. [PubMed] [Google Scholar]
- 22.Lindberg R. Distribution of cervical lymph node metastases from squamous cell carcinoma of the upper respiratory and digestive tracts. Cancer. 1972;29:1446–1449. doi: 10.1002/1097-0142(197206)29:6<1446::AID-CNCR2820290604>3.0.CO;2-C. [DOI] [PubMed] [Google Scholar]
- 23.Bennet S, Futrell J, Roth J, Hoye R, Ketcham A. A prognostic significance of histologic host response in cancer of the larynx and hypopharynx. Cancer. 1971;28:1255–1266. doi: 10.1002/1097-0142(1971)28:5<1255::AID-CNCR2820280524>3.0.CO;2-A. [DOI] [PubMed] [Google Scholar]
- 24.Yousem DM, Som PM, Hackney DB, Schwaibold F, Hendrix RA. Central nodal necrosis and extracapsular neoplastic spread in cervical lymph nodes: MR imaging versus CT. Radiology. 1992;182:753–759. doi: 10.1148/radiology.182.3.1535890. [DOI] [PubMed] [Google Scholar]
- 25.Souter MA, et al. Sensitivity and specificity of computed tomography for detection of extranodal spread from metastatic head and neck squmous cell carcinoma. J Laryngol Otol. 2009;123:778–782. doi: 10.1017/S0022215109004332. [DOI] [PubMed] [Google Scholar]
- 26.Ozrturkcan S, Katilmis H, Ozdemir I, Tuna B, Guvenc I, Dundar R. Occult contralateral nodal metastases in supraglottic laryngeal cancer crossing the midline. Eur Arch Otorhinolaryngol. 2009;266:117–120. doi: 10.1007/s00405-008-0721-x. [DOI] [PubMed] [Google Scholar]
- 27.Zoumalan RA, et al. Lymph node central necrosis on computed tomography as predictor of extracapsular spread in metastatic head and neck squamous cell carcinoma: pilot study. Laryngol Otol. 2010;124(12):1284–1288. doi: 10.1017/S0022215110001453. [DOI] [PMC free article] [PubMed] [Google Scholar]
- 28.Randall, et al. Diagnostic utility of central necrosis in predicting extra capsular spread among oral cavity squamous cell carcinoma. Head and Neck. 2013 doi: 10.1002/hed.23562. [DOI] [PubMed] [Google Scholar]
- 29.Johnson JT, Barnes EL, Myers EN, Schramm VL, Jr, Borochovitz D, Sigler BA. The extracapsular spread of tumors in cervical node metastasis. Arch Otolaryngol. 1981;107:725–729. doi: 10.1001/archotol.1981.00790480001001. [DOI] [PubMed] [Google Scholar]
- 30.Alvi A, Johnson JT. Extracapsular spread in the clinically negative neck (N0): implications and outcome. Otolaryngol Head Neck Surg. 1996;114:65–70. doi: 10.1016/S0194-5998(96)70285-1. [DOI] [PubMed] [Google Scholar]







