Abstract.
Cutaneous leishmaniasis (CL) is diagnosed mainly by light microscopy of smears made using lesion material. Histopathology is usually done in atypical presentations or when lesion smears are negative. Tissue impression smears (TIS) made from skin biopsy specimens were compared with histopathology for the diagnosis of CL. Out of the 111 patients included, 83 (74.8%) were positive by either methods. The TIS was positive in 70.3% whereas histopathology was positive in 56.8% of patients. Tissue impression smears can be used as a supplementary diagnostic test that gives sensitive and rapid results when tissue biopsies are used as the source of lesion material for diagnosis of CL.
INTRODUCTION
Disease burden of leishmaniasis in the Indian subcontinent is substantial.1 Leishmaniasis is a newly established disease in Sri Lanka with the causative species identified as Leishmania donovani MON 372 and cutaneous leishmaniasis (CL) as the predominant form of presentation.3
Diagnosis of CL relies mainly on clinical appearance of the lesion when supported by epidemiological data and is usually supplemented by simple laboratory techniques based on direct demonstration of parasites in lesion material. More sophisticated techniques such as parasite cultures and immunodiagnostic and molecular methods are scarce in most places where the disease is endemic. Therefore, parasitological diagnosis remains as the gold standard in diagnosing CL because of its high specificity.4 However, it is recommended to use multiple diagnostic methods whenever possible to increase the probability of a positive diagnosis.5
In Sri Lanka, most patients are diagnosed clinically and whenever possible, confirmed through light microscopic examination of skin smears in the form of slit skin, skin scraping, or lesion aspirates.6 When a smear is negative or if the presentation is atypical, the lesion is biopsied and sent for histopathology.
Accurate diagnostic confirmation of CL using limited resources is a major challenge for the dermatologists in areas highly endemic for CL. This study describes how tissue impression smears (TIS) prepared from skin biopsy samples can effectively supplement histopathology for diagnosing CL in Sri Lanka.
STUDY
Patients with clinically suspected CL attending dermatology clinics in the armed forces and District General Hospitals of Polonnaruwa and Hambantota were included in the study. Punch biopsy samples were obtained according to Center for Disease Control guidelines.7 Active border of the lesion was selected and cleansed with 70% isopropyl alcohol. A punch biopsy of 2–3 mm was obtained under local anesthesia with 1% lidocaine hydrochloride, using a disposable biopsy punch. The TIS were made according to the method described in the Center for Disease Control and Prevention guidelines, but the same biopsy specimen was used for both histopathological processing and preparation of the smear. Biopsy specimen was grasped gently with forceps and briefly placed on a gauze towel to remove excess blood. It was then rolled over the slide gently so as not to crush the biopsy and this was repeated in a parallel row below. Biopsy specimen was then fixed in 10% neutral buffered formalin. The TIS were air-dried, fixed in methanol, stained with Giemsa, and examined under a light microscope (Olympus CX21; Olympus, Tokyo, Japan) for amastigotes, by a trained technical officer. Biopsy specimens were processed routinely for histopathology and both hematoxylin and eosin– and Giemsa-stained slides were examined for Leishman-Donovan bodies under a conference microscope (Olympus BX50; Olympus) by two histopathologists. Demonstration of parasites by either of the two methods was considered positive for leishmaniasis. An impression smear was considered negative for leishmaniasis if no amastigotes were detected after examining all the fields, under oil immersion lens (×1,000 magnification).
This study was part of an investigation done for localized immune response to CL in Sri Lanka and received ethical approval from the Ethics Review Committee of the Faculty of Medicine, University of Kelaniya, Sri Lanka. Patients were recruited on a voluntary basis and an informed written consent obtained before biopsy.
The two methods were statistically compared by applying 95% confidence interval (CI) to the difference by discordant pairs. Kruskal–Wallis test was used to compare the lesion size and duration among patients diagnosed as positive by both or either of the methods.
A total of 111 patients were included with 87 (78.4%) males and 24 (21.6%) females. The mean lesion duration was 6.2 months (standard deviation = 7.2, range: 1–48). Majority (66, 59.5%) of lesions were either papules or nodules and 32 (28.8%) were ulcerated.
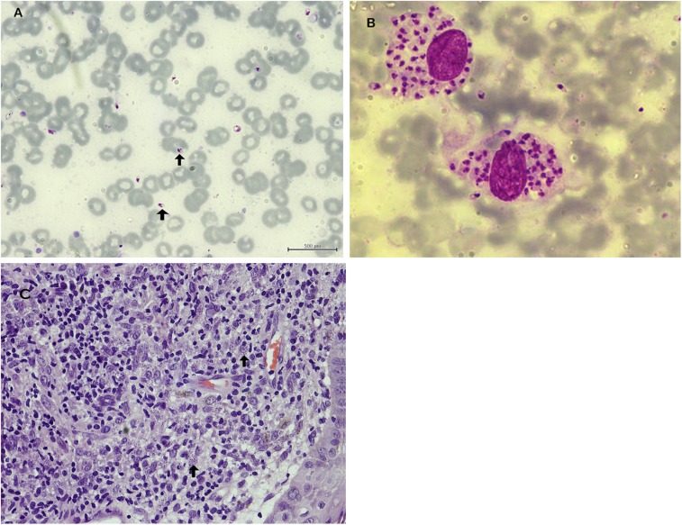
Amastigotes in TIS were more easily identifiable in the monolayer of cells than those in histopathology sections where there are multiple layers of cells (Figure 1).
Figure 1.
Appearance of amastigotes as seen in Giemsa-stained tissue impression smears ×1,000 (A, extracellular amastigotes and B, intracellular amastigotes) and H&E–stained histopathology sections ×400 (C). This figure appears in color at www.ajtmh.org.
A diagnosis of CL was confirmed by one or both methods in 83 (74.8%) patients. The TIS was positive in 78 (70.3%) patients and histopathology was positive in 63 (56.8%) patients. Both TIS and histopathology was positive in 58 (52.2%) patients. In 20 (18%) patients, amastigotes were seen only by TIS and in 5 (4.5%) patients, amastigotes were seen only by histopathology. Level of agreement between the two methods was 77.5% (N = 86/111).
The positivity rate of TIS was 4.7% to 22.3% (95% CI = 0.0468–0.2232) higher when compared with histopathology for detection of amastigotes.
There was no significant difference in the lesion size and duration between the three groups of patients, positive by both methods or positive by either method (Table 1).
Table 1.
Comparison of lesion size and duration between patients with different diagnostic results
| Smear positive/histopathology positive (N = 58) | Smear positive/histopathology negative (N = 20) | Smear negative/histopathology positive (N = 5) | P value* | |
|---|---|---|---|---|
| Mean lesion size in square millimeter (SD) | 177.3 (180.1) | 127.0 (195.3) | 234.8 (276.3) | 0.067 |
| Mean lesion duration in months (SD) | 6.9 (9.1) | 4.7 (3.2) | 10.8 (7.8) | 0.068 |
SD = standard deviation.
Kruskal–Wallis test.
DISCUSSION
Cutaneous leishmaniasis has a broad clinical spectrum that may be confused with other skin diseases such as leprosy, mycobacterial infections, fungal infections, and skin malignancy. Furthermore, current treatment options are toxic, expensive, and may need to be given for a prolonged duration. Therefore, laboratory confirmation of CL is recommended before starting treatment.8 Laboratory diagnosis of CL may be difficult, especially in rural areas endemic for CL with limited infrastructure facilities and expertise. Hence, additional methods for confirmation of diagnosis are of clinical relevance and value. This study demonstrates the added value of TIS in diagnosing CL when compared with performing histopathology alone.
Skin smear in the form of slit skin or skin scrapings is the most common method used for diagnosing CL in Sri Lanka and slit skin smears (SSS) has shown a positivity rate of 33.9%.6 This is very low when compared with positivity rates of 50–67% reported from other countries.9–11 Sensitivity of SSS is highly dependent on the parasite counts in the lesion, sampling site within the lesion, and the level of technical expertise for performing and examining smears.12,13 Because of the subjective nature of its performance, the sensitivity level of SSS tend to vary from laboratory to laboratory. Although technically demanding, SSS is a cost-effective method with only minimal facilities required for its performance.
According to the current study, TIS is a reasonably sensitive method for diagnosing CL with a positivity rate of 70.3%. Comparably high positivity rates were recorded in Old World CL, and this has been attributed to deeper structures reached and larger surface area examined.10,14 A similar study on New World CL using a slightly modified press imprint smear (PIS) has demonstrated a positivity rate of 85.3% compared with 44% for histopathology. These PISs were made with a separate biopsy fragment squashed in between two microscope slides. Advantage of this method over TIS is that squashing will release tissue fluid together with amastigotes and both slides can be examined, increasing the amount of material available for diagnosis, although the requirement of a biopsy sample entirely to perform the PIS is a negative point. The monolayer of cells in PIS will increase the visibility of parasites compared with histopathology where there are multiple layers of cells, making amastigotes more difficult to find.15 Similarly, TIS when performed to avoid excess smearing of blood, enhance the visibility of amastigotes. Excess smearing of blood can be avoided by using lidocaine with adrenaline for local anesthesia when not contraindicated and by briefly placing the biopsy on a gauze towel before making the smear.
A positivity rate of 56.8% seen for histopathology is comparable to 44–59.6% positivity rates previously recorded in both Old and New World CL, and CL in Sri Lanka.6,10,15 Preparation of a TIS for examination is advisable in cases with lesions suggestive of leishmaniasis, particularly if biopsies are performed to examine histopathology.
All the previously described methods except SSS requires the presence of a qualified medical officer, administration of local anesthesia, and usage of sterile instruments and suture material. Hence, potential complications of skin biopsy such as bleeding, infection, and hypersensitivity to local anesthetic drugs are common to all PIS, TIS, and histopathology. However, such complications maybe minimized by novel, less-invasive tools such as microbiopsy needles.16 Despite its high positivity rate, TIS cannot replace SSS in the field setting. Slit skin smears and skin scraping can be performed by a trained technical officer, which makes it advantageous in resource-poor settings that exist in most endemic areas.17
A negative SSS, however, is usually followed by a skin biopsy for histopathology. A TIS can be prepared from the same biopsy sample as described here or if there is a concern regarding possible alteration in histopathological appearance, a small section from the biopsy can be used for making the impression smear. Alternatively, PIS can be performed using tissue material. Light microscopy of smears will provide much faster results than histopathology, where sample processing will take 2–3 weeks in the local setup. If a fragment of the biopsy is used for making the TIS, it can then be processed for PCR where facilities are available. During microscopy of a TIS, both intra- and extracellular organisms should be looked for.18
Considering the high positivity rate and ease of performance of TIS, we recommend it as a supplementary diagnostic test in instances where a skin biopsy is performed on skin lesions suggestive of leishmaniasis. Comparison of diagnostic accuracy of all the previously described methods that are underway therefore will be invaluable for sensitive, rapid, and cost-effective diagnosis of CL in Sri Lanka.
Acknowledgments:
We would also like to acknowledge Drs. UADD Munidasa and KKVN Somaratne for permission to collect patient samples; Dr. Charisma S. Fernando for assistance with histopathology of specimens; and Mr. C. S. Weerasinghe for technical assistance in analyzing TIS. The American Society of Tropical Medicine and Hygiene (ASTMH) assisted with publication expenses.
REFERENCES
- 1.Alvar J, Vélez ID, Bern C, Herrero M, Desjeux P, Cano J, Jannin J, den Boer M; WHO Leishmaniasis Control Team , 2012. Leishmaniasis worldwide and global estimates of its incidence. PLoS One 7: e35671. [DOI] [PMC free article] [PubMed] [Google Scholar]
- 2.Karunaweera ND, Rajapaksa US, 2009. Is leishmaniasis in Sri Lanka benign and be ignored? J Vector Borne Dis 46: 13–17. [PubMed] [Google Scholar]
- 3.Siriwardana H, Chandrawansa PH, Sirimanna G, Karunaweera ND, 2012. Leishmaniasis in Sri Lanka: a decade old story. Sri Lanka J Infect Dis 2: 2–12. [Google Scholar]
- 4.de Vries HJC, Reedijk SH, Schallig HDFH, 2015. Cutaneous leishmaniasis: recent developments in diagnosis and management. Am J Clin Dermatol 16: 99–109. [DOI] [PMC free article] [PubMed] [Google Scholar]
- 5.Aronson N, Herwaldt BL, Libman M, Pearson R, Lopez-Velez R, Weina P, Carvalho EM, Ephros M, Jeronimo S, Magill A, 2016. Diagnosis and treatment of leishmaniasis: clinical practice guidelines by the Infectious Diseases Society of America (IDSA) and the American Society of Tropical Medicine and Hygiene (ASTMH). Clin Infect Dis 63: 1539–1557. [DOI] [PubMed] [Google Scholar]
- 6.Ranawaka RR, Abeygunasekara PH, Weerakoon HS, 2012. Correlation of clinical, parasitological and histopathological diagnosis of cutaneous leishmaniasis in an endemic region in Sri Lanka. Ceylon Med J 57: 149–152. [DOI] [PubMed] [Google Scholar]
- 7.Center for Disease Control and Prevention , 2011. Practical Guide for Laboratory Diagnosis of Leishmaniasis. Available at: https://www.cdc.gov/parasites/leishmaniasis/health_professionals/index.html#dx. Accessed March 15, 2013.
- 8.World Health Organization , 2010. Control of the leishmaniases. World Health Organ Tech Rep Ser 949: 22–26. Available at: http://www.who.int/leishmaniasis/resources/technical_report_series/en/. Accessed June 30, 2017. [PubMed] [Google Scholar]
- 9.Kaul N, Gupta V, Bhardwaj S, Dogra D, Dogra N, 2016. A new focus of cutaneous leishmaniasis in Jammu division of Jammu and Kashmir State, India. Indian J Dermatol Venereol Leprol 82: 145–150. [DOI] [PubMed] [Google Scholar]
- 10.Al-hucheimi SN, Sultan BA, Al-Dhalimi MA, 2009. A comparative study of the diagnosis of Old World cutaneous leishmaniasis in Iraq by polymerase chain reaction and microbiologic and histopathologic methods. Int J Dermatol 48: 404–408. [DOI] [PubMed] [Google Scholar]
- 11.ul Bari A, ber Rahman S, 2006. Correlation of clinical, histopathological, and microbiological findings in 60 cases of cutaneous leishmaniasis. Indian J Dermatol Venereol Leprol 72: 28–32. [DOI] [PubMed] [Google Scholar]
- 12.Reed SG, 1996. Diagnosis of leishmaniasis. Clin Dermatol 14: 471–478. [DOI] [PubMed] [Google Scholar]
- 13.Ramírez JR, Agudelo S, Muskus C, Alzate JF, Berberich C, Barker D, Velez ID, 2000. Diagnosis of cutaneous leishmaniasis in Colombia: the sampling site within lesions influences the sensitivity of parasitologic diagnosis. J Clin Microbiol 38: 3768–3773. [DOI] [PMC free article] [PubMed] [Google Scholar]
- 14.Bahamdan KA, Khan AR, Tallab TM, Mourad MM, 1996. Value of touch preparations (imprints) for diagnosis of cutaneous leishmaniasis. Int J Dermatol 35: 558–560. [DOI] [PubMed] [Google Scholar]
- 15.Sousa AQ, Pompeu MML, Frutuoso MS, Lima JWO, Tinel JMBM, Pearson RD, 2014. Short report: press imprint smear: a rapid, simple, and cheap method for the diagnosis of cutaneous leishmaniasis caused by Leishmania (Viannia) braziliensis. Am J Trop Med Hyg 91: 905–907. [DOI] [PMC free article] [PubMed] [Google Scholar]
- 16.Kirstein OD, Abbasi I, Horwitz BZ, Skrip L, Hailu A, Jaffe C, Li LL, Prow TW, Warburg A, 2017. Minimally invasive microbiopsies: a novel sampling method for identifying asymptomatic, potentially infectious carriers of Leishmania donovani. Int J Parasitol 47: 609–616. [DOI] [PMC free article] [PubMed] [Google Scholar]
- 17.de Mello CX, Madeira M de F, 2015. Skin scraping is the most accessible technique for the parasitological diagnosis of American tegumentary leishmaniasis. Am J Trop Med Hyg 92: 1082. [DOI] [PMC free article] [PubMed] [Google Scholar]
- 18.Berger RS, Perez-Figaredo RA, Spielvogel RL, 1987. Leishmaniasis: the touch preparation as a rapid means of diagnosis. J Am Acad Dermatol 16: 1096–1105. [DOI] [PubMed] [Google Scholar]

