Abstract
Rationale:
The present study explored the relationship between the adenosine triphosphate (ATP)-binding cassette A1 (ABCA1) gene, atherosclerosis, and cerebral infarction. The diagnosis and treatment ideas of stroke caused by Tangier disease via the summary of the diagnosis and treatment process of one case with juvenile stroke were explored. The relevant literature on the clinical manifestations, laboratory examinations, and treatment of Tangier disease was reviewed.
Patient concerns:
The brain magnetic resonance imaging (MRI) of a juvenile man with acute onset of sudden right limb weakness and speechlessness revealed infarct lesions. The laboratory tests found low serum high-density lipoprotein (HDL), while further genetic testing identified ABCD1 gene mutation. The mother also carried the mutant gene.
Diagnoses:
Tangier disease was diagnosed.
Interventions:
Statin treatment was administered for platelet aggregation.
Outcomes:
After 3 years of follow-up, the patient was declared to be in a stable condition.
Lessons:
ABCA1 gene mutation caused early onset of atherosclerosis, leading to the occurrence of cerebral infarction. The cerebral infarction associated with reduced high-density lipoprotein (HDL), was under intensive focus with respect to ABCA1 gene. Child and Juvenile stroke patients with low HDL should not be excluded from the possibility of Tangier disease.
Keywords: ABCA1 gene, atherosclerosis, cerebral infarction, high-density lipoprotein, Tangier disease
1. Introduction
Gene mutation of ATP-binding cassette A1 (ABCA1) causes severe high-density lipoprotein (HDL) deficiency syndrome, that is, Tangier disease, which is a genetic metabolic disorder and extremely rare.[1] It causes reverse cholesterol transport (RCT) disorder, resulting in cholesterol accumulation in peripheral tissue cells, which leads to a series of clinicopathological changes, including dyslipidemia and early onset of atherosclerosis,[2] causing cerebral infarction. In this study, the diagnosis and treatment process of one case with juvenile cerebral infarction, caused by Tangier disease, was reported and the relevant literature was reviewed to improve the clinicians’ understanding of this disease.
2. Case presentation
A 14-year-old male patient exhibited a sudden speechlessness and weakness in the right limb weakness for 8 hours. Subsequently, he became unconsciousness with a transient twitch in the right limb. After a few seconds, the convulsions disappeared, and consciousness was regained. The patient was checked in a local hospital and brain computed tomography (CT) did not show any abnormalities. For further treatment, the patient was admitted to our hospital. The patient had no headache, dizziness, fever, and diarrhea before the illness and no strenuous exercise was performed. Also, the patient had a history of “bronchial asthma” and “allergic rhinitis” for 11 years. The patient's mother has a history of “hypertension and diabetes.” Physical examination found that the patient had a clear consciousness but also motor aphasia. Both eyes were gazing towards the left side, the right side of the nasolabial sulcus was shallow, and the tongue was biased towards the right side while stretching. The tension of the left limb muscle was normal, and the left limb muscle strength was grade 5. The muscle tension on the right side is slightly lower, and the muscle strength level of the right upper limb is grade 0 and the muscle strength of the right lower limb grade 2. The pathological sign of the left side was (−) and that of the right side was (+). National Institutes of Health Stroke Scale (NIHSS) score was 14 points. Auxiliary examination: erythrocyte sedimentation rate (ESR): 9 mm/h (0–15); blood biochemistry: uric acid 503 μmol/L (208–428); creatine kinase: 566 IU/L (50–310); lactate dehydrogenase: 251 IU/L (120–250); low-density lipoprotein cholesterol: 3.24 mmol/L (1.53–3.45); HDL cholesterol: 0.94 mmol/L (1.04–1.96); C-reactive protein (CRP): 4.29 mg/L (0–8). The results of blood routine test, 4 coagulation tests, urine routine test, stool routine test, glycosylated hemoglobin, pre-transfusion test, autoantibody test, humoral immune series, anti-neutrophil cytoplasmic antibody and subtype, anticardiolipin antibodies, and blood lactic acid were normal. Brain magnetic resonance imaging (MRI) and magnetic resonance angiogram (MRA) (Fig. 1) showed multiple flake-shaped shadow of longer T1 and T2 signals in the left basal ganglia and frontal-parietal lobes. Fluid-attenuated inversion recovery (FLAIR) and diffusion-weighted imaging (DWI) images showed high signals. The local sulcus disappeared with slight mass effect. Color ultrasound of liver, gallbladder pancreas, spleen, and kidney displayed a fatty liver at 2 cm under the liver ribs. The results of electrocardiogram, color ultrasound of heart, cervical vessels, lower extremity veins, and brain CT were normal. The digital subtraction cerebral angiography (Fig. 2) showed stenosis of C6 and C7 segments on the left internal carotid artery, with stenosis rate of about 60% to 70% and 80%, respectively. During the course of hospitalization, the patient presented with acute onset of speechlessness accompanied by the weakness in the right limb weakness. Physical examination revealed aphasia and central paralysis in the right limb. MRI examination showed new cerebral infarction lesions on the left basal ganglia and frontal lobe. MRA presented intracranial vascular multiple stenosis located on the left frontal-parietal cortex, the left cortical nucleus, corticospinal tract, the left basal ganglia, caudate nucleus, lentiform nucleus, and the left middle cerebral artery (MCA)-dominated area. High-resolution brain MRA (Fig. 1), conducted during hospitalization of the patient, showed atherosclerotic plaques on the left atrial carotid artery and the MCA. Digital subtraction angiography (DSA) showed severe stenosis at the end of the left internal carotid artery and proximal occlusion on the left anterior cerebral artery and the MCA. The patient was diagnosed as ischemic stroke. Lower HDL-C (0.506–0.94) and atherosclerotic stenosis of the patient were detected by comprehensive serological examination and vascular examination, respectively. Furthermore, the serum lipid metabolism-related gene examinations showed exon22 in ABCA1 gene; c.598G>A, p.1068R>H, and 899–1131 amino acids position harbored the domain of ABCA1 transporter. Simultaneously, the evaluation of his parents’ genes revealed a heterozygous mutation of the Tangier disease-related ABCA1 gene in the sample of the patient, which was proved by family verification results (Fig. 3) that were from the mother. Based on the above results, we diagnosed the patient with a genetic Tangier disease. After exclusion of mitochondrial encephalomyopathy, intracranial infection, arterial stroke, sickle cell disease, and other diseases, the cause of cerebral infarction was clarified. The hereditary metabolic abnormalities were assessed qualitatively. Then, we conducted a family survey of the disease that revealed only the patient with this disease in the 3 generations of his family (Fig. 4). The mother was a healthy gene carrier, and the father did not have a gene mutation. The thorough serological examinations of the immediate family members of the parents showed normal HDL. Although gene detection was not complete, the mother was found to be normal without any cerebral infarction. The patient was administered anti-platelet aggregation and statin, and other comprehensive treatments. Simultaneously, the patient underwent body weight control, ingested diet with low salt and low fat, and physical rehabilitation training. After treatment for 24 days, the patient showed improvement and was discharged. Before discharge, biochemical reexaminations revealed lactate dehydrogenase 243 IU/L, HDL cholesterol 1.04 mmol/L, low-density lipoprotein cholesterol 2.29 mmol/L. Physical examination revealed incomplete motor aphasia and the right upper limb muscle strength was level 0, and the right lower limb muscle strength was level 2+. Three months after discharge, the results of reexaminations showed 0.506 mmol/L HDL.
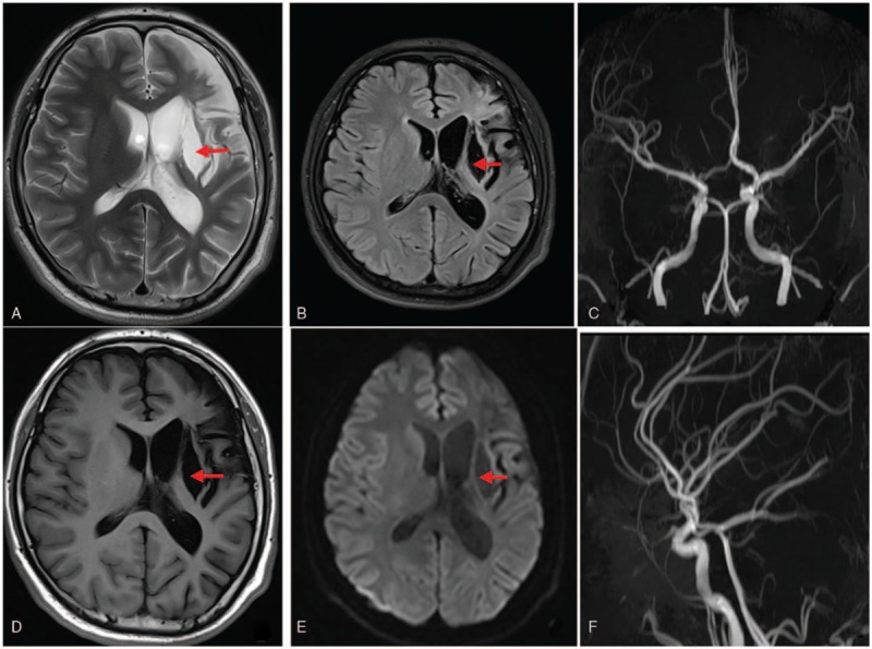
Figure 1.

(A, B, D, E) Multiple flake-shaped shadow of longer T1 and T2 signals in the left basal ganglia and frontal-parietal lobes. FLAIR and DWI images showed high signals. (C, F) Multiple segmental severe stenosis at initial segment of the left anterior cerebral artery and M1 proximal segment of the MCA; the initial segment of the right anterior cerebral artery was slightly thinner (red arrow). DWI = diffusion-weighted imaging, FLARE = fluid-attenuated inversion recovery, MCA = middle cerebral artery.
Figure 2.

(A) Right side of the original posterior cerebral artery; (B) right anterior inferior arteries were thin; (C) C6 segment stenosis on the left internal carotid artery, stenosis rate of about 60% to 70%; (red arrow) (D) C7 segment stenosis on the left internal carotid artery, stenosis rate of about 80%; € occlusion of A1 segment on the left anterior cerebral artery (compensatory blood supply of anterior communication); (F) left vertebral basilar artery is normal.
Figure 3.

Patient with ABCA1 gene heterozygous mutation 3203G>A inherited from the mother (red arrow).
Figure 4.

Patient's genogram with respect to Tangier disease. There was only 1 patient from 3 generations.
The patient was followed up for 3 years. The patient could take care of his daily routines and studies. He had a clear consciousness, no aphasia, and no obvious abnormalities in the cranial nerve examination. The muscle tensions in the 4 limbs were normal, while the proximal and distal ends of the right upper limb muscle strength, and the muscle strength of the right lower limb was at level 5. The results of blood lipid examinations after 3 years of follow-up are shown in Table 1, and the reexamination of brain MRI and MRA were illustrated in Fig. 5.
Table 1.
Blood lipids results of patient and his parents after 3 years follow-up.

Figure 5.

MRI after 3 years of follow-up (A, B, D, E): Long T1 and T2 signals on the left basal ganglia. FLAIR and DWI showed low density and softening lesion and atrophy of the left frontal lobe (red arrow). (C, F) MRA: Intracranial vascular images of the patient were satisfactory without obvious vascular stenosis. DWI = diffusion-weighted imaging, FLARE = fluid-attenuated inversion recovery, MRI = magnetic resonance imaging.
3. Discussion
Tangier disease is a rare autosomal recessive genetic disease, and currently, only about 100 cases have been reported in worldwide.[3] It is mainly characterized by familial HDL deficiency (FHD), with low levels of plasma HDL and high cholesterol accumulation in macrophages, along with the high incidence of cardiovascular and cerebrovascular diseases.[4] Moreover, unified diagnostic criteria are yet lacking, and thus, clinical manifestations and gene detections are the essential diagnostic basis. In this case, the patient had fatty liver, hepatosplenomegaly, the formation of the left carotid artery atherosclerotic plaque, and decreased HDL. After 3 years of follow-up, the results of the parents’ blood lipid tests showed that the HDL level was normal, while that of the patient was lower during hospitalization but normalized after treatment. Comprehensive detection suggested that ABCA1 gene mutation and diagnosis could be confirmed.[1]
The present study found that Tangier disease was caused by ABCA1 gene defect. In addition, >50 mutation sites were detected in the ABCA1 gene that was associated with Tangier disease and FHD.[1,5] HDL transports cholesterol from the peripheral tissues (including atherosclerotic plaques) to the liver for recirculation or excretion in the form of cholic acid, a process known as reverse cholesterol transport (RCT).[2,6,7] ABCA1 protein-mediated RCT functions in the following 2 steps.[8] In the first step, ABCA1-mediated intracellular phospholipids effluxes in the normal peripheral cell membrane, and ABCA1 binds to extracellular apolipoprotein AI (apoA-I) to form a discoid phospholipid-apoA-I complex. In the second step, the intracellular cholesterol flows out through transmembrane diffusion, which is captured by the above complex to form pre-β-HDL. Under the action of lecithin-cholesterol acyltransferase (LCAT), the pre-β-HDL is transformed into a cholesterol-rich globular mature HDL[9] that initiates the RCT process. This phenomenon suggested that ABCA1 indirectly acts as a regulator for cholesterol efflux, thereby promoting the formation of pre-β-HDL. During the process of RCT, ABCA1-encoded protein, known as cholesterol efflux regulatory protein (CERP), is involved in the outflow of cholesterol (using ATP to participate in the transfer of lipid from the inner layer of the cell to the outer layer and from the cell membrane to HDL), leading to the transfer of cholesterol to phospholipid-ApoA-I. The ABCA1 mutation causes cholesterol outflow and intracellular lipid transport abnormalities. ApoA-I cannot capture cholesterol and phospholipids that cannot form the former β-HDL and ApoA-I by kidney uptake metabolism[10,11]; the same will cause HDL-C reduction.[4,12,13] The genetic disorders of HDL metabolism can cause cholesterol outflow abnormalities from macrophages and lead to the formation of foam cells. In addition, the disorders can have lipid deposition in the reticular endothelial system,[14] subsequently causing atherosclerosis that ultimately leads to cerebral infarction. In this study, the disease occurred during the patient's activity with rapid progress, which might be attributed to the acute occlusion of the left middle cerebral artery, caused by detachment of the left carotid atherosclerotic plaque.
The present case of the juvenile male patient had acute onset and speechlessness accompanied in the right limb weakness. Physical examination revealed aphasia and central paralysis in the right limb. Thorough imaging examinations revealed the presence of infarction lesions, while MRA displayed intracranial vascular multiple stenoses. We could qualitatively diagnose the patient with ischemic stroke based on the medical history, brain structure image, and cerebrovascular examination. In this case, the patient presented an adolescent onset, without high-risk factors, such as hypertension, diabetes, heart disease, and other cerebrovascular diseases. Thus, the cause of the disease was unknown. In further serological and vascular examinations, we found had low HDL-C and atherosclerotic stenosis in the patient. If juvenile man exhibits atherosclerosis without any conventional risk factors for cerebrovascular disease, then genetic factors should be considered as the cause. In addition, the literature review and further gene examinations of the blood lipid metabolism demonstrated the occurrence of ABCA1 gene mutation. Consecutively, a comprehensive detection of parents’ genes and pedigree verification results showed that the gene mutation of the patient was acquired from the mother. Thus, the ABCA1 gene mutation that led to Tangier disease was a clear diagnosis of cerebral infarction. In addition to peripheral nerve injury and multiple systemic symptoms as the primary manifestations, the typical Tangier disease shows orange tongue, hepatosplenomegaly, corneal opacity, and thrombocytopenia.[15] In this case, the patient had ischemic stroke onset and less other systemic injuries, which might be related to his young age, short duration of the sickness, and the clinical symptoms that had not yet appeared fully. During the diagnosis and treatment process of juvenile ischemic stroke, we completed the vascular examinations, and gradually excluded the various causes. The abnormal lipid metabolism displayed the ABCA1 gene mutation in the patient that led to HDL synthesis disorders, causing vascular atherosclerosis, followed by cerebral infarction. We make differential diagnosis: mitochondrial encephalomyopathy with lactic acidosis and stroke-like episodes (MELAS syndrome): juvenile onset, stroke-like performance, epileptic seizure performance, high signal lesions on craniocerebral MRI cortical DWI, and long T1 and T2 signal lesions. The possibility of mitochondrial encephalomyopathy should also be considered. Comprehensive examinations of liver functions, kidney functions, and lactic acid content were normal; however, distinct vascular lesions were detected in the cerebrovascular examinations, which excluded the possibility MELAS.[16] Intracranial infection: acute onset and limb hemiplegia with the behavior of limb convulsions; however, there was no prior history of infection, fever, or headache symptoms. The possibility of viral encephalitis was excluded by completing the related blood examinations and imaging detections. Other causes of stroke: Takayasu arteritis inflammation: the results of the relevant indicators of vasculitis and cerebrovascular peripheral vascular-related examinations did not support this cause.[17] Sickle cell disease: patient did not present anemia, liver abnormalities, kidney abnormalities, or embolization of other related organs, which might have supported the cause.[18] Patent foramen ovale (PFO) was also ruled out.[19] Ultimately, the patient was diagnosed with Tangier disease. After reviewing the relevant literature, we found that most of the epidemiological studies and clinical trials have confirmed that serum HDL levels were negatively correlated with stroke risk in cases of adult onset of atherosclerotic cerebral infarction.[20]
A study in China has also shown that HDL-C reduction can increase the risk of cerebral infarction by 1.8-fold, and increase the total risk of stroke by 1.5-fold.[21] ABCA1 is a vital protein for HDL-C synthesis, and ABCA1 gene mutation leads to HDL-C deficiency that is associated with an early onset of atherosclerosis.[4,12] Albrecht et al[22] reported a significant decrease in ABCA1 protein expression in progressive carotid atherosclerotic plaques and further demonstrated that low expression of ABCA1 was crucial for the progression of carotid atherosclerosis. van Dam et al[23] found that impaired ABCA1 protein function could increase the thickness of the arterial wall. Various studies have shown that mutation in the ABCA1 gene and reduction in the HDL-C level are also closely related to adult atherosclerotic cerebral infarction. However, the adult onset of atherosclerotic cerebral infarction and non-low HDL-C level are yet rare phenomena, necessitating an intensive focus on such patients during clinical diagnosis and treatment.
Currently, specific effective therapies are lacking for Tangier disease. Patients with atherosclerosis and cerebral infarction can be treated with anti-platelet aggregation and statin, lipid-lowering stable plaques, and other comprehensive treatments while improving the lifestyle (including weight loss, increased physical activities, and smoking cessation) to improve the prognosis. ABCA1 gene mutation leads to Tangier disease, causing cerebral infarction. Nevertheless, the lack of effective drugs to regulate ABCA1 necessitates clinical research and development of drugs with the specific regulation of ABCA1 expression, which might be a breakthrough in the treatment of Tangier disease.[24,25] Thus, an in-depth study of ABCA1 function and the regulatory mechanisms underlying its expression are greatly significant,[26] for lipid metabolism, AS, and cerebrovascular disease treatments, as well as, the development of new drugs targeting the gene.
Acknowledgments
All clinical diagnoses and treatments in this article were in accordance with China's national guidelines for diagnosis and treatment and in compliance with the requirements of the Hospital Ethics Committee. Patients were asked to sign informed consent before participation. The patient has provided informed consent for publication of the case (informed consent was obtained from the patient for publication of this case report and accompanying images).
Author contributions
Zhigang Liang provided technical and material support, helped design the study, drafted the manuscript, and obtained funding. Zhuli Liu and Shaowan Yang participated in patients’ medical treatment and analyzed data. Xiaoyu Gao and Xuwen Sun provided statistical expertise as well as technical and material support. Wei Li and Guoping Yu provided technical and material support
Data curation: Wei Li.
Formal analysis: Shaowan Yang, Guoping Yu.
Investigation: Zhuli Liu.
Methodology: Xiaoyu Gao.
Resources: Xuwen Sun.
Writing – original draft: Zhigang Liang.
Writing – review & editing: Zhigang Liang.
Footnotes
Abbreviations: ABCD1 = adenosine triphosphate (ATP)-binding cassette A1, DSA = digital subtraction angiography, DWI = diffusion-weighted imaging, FLARE = fluid-attenuated inversion recovery, HDL = high-density lipoprotein, HRMRI = high-resolution magnetic resonance imaging, LDL = low-density lipoprotein, MRA = magnetic resonance angiography, MRI = magnetic resonance imaging.
Funding: This study was funded by the Science and Technology Development Project of Yantai City (grant number 2012077).
The authors have not published or submitted this manuscript or its accompanying data elsewhere, and have no conflict of interest to declare.
References
- [1].Singaraja RR, Visscher H, James ER, et al. Specific mutations in ABCA1 have discrete effects on ABCA1 function and lipid phenotypes both in vivo and in vitro. Circ Res 2006;99:389–97. [DOI] [PubMed] [Google Scholar]
- [2].Fu Y, Mukhamedova N, Ip S, et al. ABCA12 regulates ABCA1-dependent cholesterol efflux from macrophages and the development of atherosclerosis. Cell Metab 2013;18:225–38. [DOI] [PubMed] [Google Scholar]
- [3].Oram JF. Tangier disease and ABCA1. Biochim Biophys Acta 2000;1529:321–30. [DOI] [PubMed] [Google Scholar]
- [4].Brooks-Wilson A, Marcil M, Clee SM, et al. Mutations in ABC1 in Tangier disease and familial high-density lipoprotein deficiency. Nat Genet 1999;22:336–45. [DOI] [PubMed] [Google Scholar]
- [5].Dang XY, Chu WW, Shi HC, et al. Genetic variants in ABCA1 promoter affect transcription activity and plasma HDL level in pigs. Gene 2015;555:414–20. [DOI] [PubMed] [Google Scholar]
- [6].Fielding CJ, Fielding PE. Molecular physiology of reverse cholesterol transport. J Lipid Res 1995;36:211–28. [PubMed] [Google Scholar]
- [7].Oram JF. HDL apolipoproteins and ABCA1: partners in the removal of excess cellular cholesterol. Arterioscler Thromb Vasc Biol 2003;23:720–7. [DOI] [PubMed] [Google Scholar]
- [8].Li YQ, Tang CK, Wen HY. Apolipoprotein A-I and ATP-binding cassette transporter A1. J Med Mol Biol 2005;2:385–8. [Google Scholar]
- [9].Srivastava N. ATP binding cassette transporter A1--key roles in cellular lipid transport and atherosclerosis. Mol Cell Biochem 2002;237:155–64. [DOI] [PubMed] [Google Scholar]
- [10].Owen JS, Mulcahy JV. ATP-binding cassette A1 protein and HDL homeostasis. Atheroscler Suppl 2002;3:13–22. [DOI] [PubMed] [Google Scholar]
- [11].Oram JF, Lawn RM. ABCA1. The gatekeeper for eliminating excess tissue cholesterol. J Lipid Res 2001;42:1173–9. [PubMed] [Google Scholar]
- [12].Bodzioch M, Orso E, Klucken J, et al. The gene encoding ATP-binding cassette transporter 1 is mutated in Tangier disease. Nat Genet 1999;22:347–51. [DOI] [PubMed] [Google Scholar]
- [13].Rust S, Rosier M, Funke H, et al. Tangier disease is caused by mutations in the gene encoding ATP-binding cassette transporter 1. Nat Genet 1999;22:352–5. [DOI] [PubMed] [Google Scholar]
- [14].Hobbs HH, Rader DJ. ABC1: connecting yellow tonsils, neuropathy, and very low HDL. J Clin Invest 1999;104:1015–7. [DOI] [PMC free article] [PubMed] [Google Scholar]
- [15].Pervaiz MA, Gau G, Jaffe AS, et al. A non-classical presentation of Tangier disease with three ABCA1 mutations. JIMD Rep 2012;4:109–11. [DOI] [PMC free article] [PubMed] [Google Scholar]
- [16].Niu FN, Chang LL, Meng FQ. Evaluation of a mitochondrial disease criteria scoring system on mitochondrial encephalomyopathy in Chinese patients. Int J Neurosci 2013;123:93–8. [DOI] [PubMed] [Google Scholar]
- [17].Kato Y, Terashima M, Ohigashi H. Vessel wall inflammation of Takayasu arteritis detected by contrast-enhanced magnetic resonance imaging: association with disease distribution and activity. PLoS ONE 2015;10:e0145855. [DOI] [PMC free article] [PubMed] [Google Scholar]
- [18].Sandhu MK, Cohen A. Aging in Sickle Cell Disease: Co-morbidities and New Issues in Management. Hemoglobin 2015;39:221–4. [DOI] [PubMed] [Google Scholar]
- [19].Mojadidi MK, Christia P, Salamon J. Patent foramen ovale: unanswered questions. Eur J Intern Med 2015;26:743–51. [DOI] [PubMed] [Google Scholar]
- [20].Furie KL, Kasner SE, Adams RJ, et al. Guidelines for the prevention of stroke in patients with stroke or transient ischemic attack: a guideline for healthcare professionals from the american heart association/american stroke association. Stroke 2011;42:227–76. [DOI] [PubMed] [Google Scholar]
- [21].Xiong XH, Zhai DX. Correlation between different types of cerebral apoplexy and blood lipids as well as the effects of blood lipid on different types of cerebral apoplexy. Hebei Med J 2016;38:1632–5. [Google Scholar]
- [22].Albrecht C, Soumian S, Amey JS, et al. ABCA1 expression in carotid atherosclerotic plaques. Stroke 2004;35:2801–6. [DOI] [PubMed] [Google Scholar]
- [23].van Dam MJ, de Groot E, Clee SM, et al. Association between increased arterial-wall thickness and impairment in ABCA1-driven cholesterol efflux: an observational study. Lancet 2002;359:37–42. [DOI] [PubMed] [Google Scholar]
- [24].Janowski BA, Grogan MJ, Jones SA, et al. Structural requirements of ligands for the oxysterol liver X receptors LXRalpha and LXRbeta. Proc Natl Acad Sci USA 1999;96:266–71. [DOI] [PMC free article] [PubMed] [Google Scholar]
- [25].Kapur NK, Ashen D, Blumenthal RS. High density lipoprotein cholesterol: an evolving target of therapy in the management of cardiovascular disease. Vasc Health Risk Manag 2008;4:39–57. [DOI] [PMC free article] [PubMed] [Google Scholar]
- [26].Brousseau ME, Schaefer EJ, Wolfe ML, et al. Effects of an inhibitor of cholesteryl ester transfer protein on HDL cholesterol. N Engl J Med 2004;350:1505–15. [DOI] [PubMed] [Google Scholar]
