Abstract
Microalgae provide a wealthy natural resource of bioactive compounds, which have many biological activities. Monosodium glutamate is a food additive that acts either as food preservatives or as tastiness enhancer. It was confirmed that monosodium glutamate poses a serious responsibility in the pathogenesis of anovulatory infertility. Therefore, the idea of this research was directed to reveal efficiency of Chlorella vulgaris and Spirulina platensis extracts against the ovarian dysfunction resulted due to monosodium glutamate consumption. Adult female albino mice were gavages orally monosodium glutamate alone or with either Chlorella vulgaris or Spirulina platensis aqueous extracts for 28 days. Female mice were subjected to superovulation to study the oocytes nuclear maturation stages. Histological and quantitative investigation was carried on ovaries. Biochemical assessment to measure the sex hormones level and ovarian enzymatic antioxidants was done. In addition, ovarian antioxidant mRNA genes were determined using quantitative PCR and Glyceraldehyde-3-phosphate dehydrogenase was used as an internal control. The result revealed that monosodium glutamate reduced the oocytes quality and maturation rate, while, both algae improve the oocyte quality and maturation rate than in monosodium glutamate group. Chlorella vulgaris and Spirulina platensis improved the monosodium glutamate ovarian tissue histological alteration, sex hormones content and raised the ovarian enzymatic antioxidants level. In addition, monosodium glutamate markedly diminished the Glutathione peroxidase, superoxide dismutase and catalase mRNA expressions, However, Chlorella vulgaris or Spirulina platensis upregulated the expression of genes close to control. In conclusion, Chlorella vulgaris and Spirulina platensis showed potential alleviative role against the monosodium glutamate ovarian dysfunction.
Keywords: Monosodium glutamate, Chlorella vulgaris, Spirulina platensis, Maturation rate, Sex hormones, Antioxidant enzymes, Antioxidant gene expressions
1. Introduction
Female infertility is a health problem where the female reproductive system is very sensitive to different hurtful environmental factors [1]. Ovary is a reproductive organ producing oocyte and different steroid hormones that provide many functions in the female reproductive system. Ovarian dysfunction usually leads to anovulatory infertility [2].
Recently many chemicals are used in our new high tech foods. Monosodium glutamate (MSG) is naturally occurring sodium salt of l-glutamic acid and it is acts either as food preservatives or as palatability enhancers [3]. Although MSG have role in enhances appetite, studies indicated that it is harmless to human and animals [4]. its utilization has been expose to cause metabolic disorders and tissues oxidative damage [5] which may be accountable for the pathology of many diseases like cancer, diabetes, endothelial dysfunction [5], [6]. Many investigators confirmed that MSG plays a decisive role in the anovulatory infertility pathogenesis [1], [2]. El makawy and Abdu [7] showed that MSG (600, 1200 mg/kg) oral administration to pregnant female rats induced reproductive toxicity represented in fetal growth retardation. In addition, MSG animal’s injection in the first 10 neonatal days exhibited neuroendocrine disorders through their child lives [8]. Ciric et al. [9] found that MSG high doses parenteral gavages caused hypothalamus and pituitary disorders. In addition, Eweka et al. [10] reported that MSG has impact property on the female albino rat’s uterine tube.
Recently, algae a novel food with potential nutritional profit use in medicine for multiplicity purposes. Furthermore, algae provide a rich supply of natural bioactive compounds with several biological activities [11]. In addition, many unique characteristics such as carotenoids, micronutrient accumulation, amino acids have led to an extensive base of compounds that are critical in human health. Hence, there is increasing attention in the area of investigate on the positive effect of algae on human health [12].
Spirulina platensis (Sp) is a filamentous, spiral-shaped, multicellular and photosynthetic cyanobacteria (blue green algae), belonging to class cyanophyceae, family oscillatoriaceae. This cyanobacterium is cultivated worldwide and is utilized as a primary human dietary supplement [13]. It is contains broad variety of prophylactic and curative nutrients that include vitamins, minerals, proteins, γ-linolenic acid, β-carotene and unexplored bioactive compounds [14], [15], [16]. As well to the nutritional advantages, Sp has extra beneficial characters as antibacterial, antifungal, antiviral, anticancer, antiinflammatory and antioxidant activities [17], [18]. Also, Sp use as feed complement in aquaculture and poultry industry [19].
Chlorella vulgaris (Cv) is a single-cell fresh water green microalgae belong to the Phylum Chlorophyta and has been widely approved as a functional foodstuff worldwide [20]. It is wealthy in protein, lipid, carotenoids, vitamins and minerals and it considered as a valuable protein candidate among prospect food resources [21], [22]. It also comprise omega-3 and 6, carbohydrates, cellulose, essential amino acids, carotenes and vitamin-A [23], [24]. In addition, Cv was used as protein resource for human and as antibiotic alternate in animal production [25]. Dietary Cv was reported to own immune-modulator activity in broiler chickens, to enhance growth performance in pigs, and egg quality in laying hens [26], [27].
The present study was planned to appraise the probable ameliorating role of the Cv and Sp aqueous extracts against MSG ovary dysfunction. The study was carried out through the assessment of oocyte nuclear maturation, biochemical, histological and gene expression investigations in mice.
2. Materials and methods
2.1. Chemicals
Monosodium glutamate (C5H9NO4·Na) with purity 99% NT Was sold in most open markets under the license of Ajinomoto Co. Inc., Tokyo, Japan. Cv and Sp powder were obtained from Algal Biotechnology Unit, National Research Centre (Dokki, Cairo, Egypt). All chemical reagents were of analytical grades and purchased from Sigma Chemical Co. (St. Louis, MO, USA).
2.2. Algae extract
Dried algae powder (500 g) was extracted with 2L of distilled water and left to stand for 48 h at room temperature. The extract was filtered with Whatman No. 1 filter paper. The crude aqueous extracts were concentrated using rotary evaporator under reduced pressure at 45 °C then the concentrated extracts were lyophilized and kept at −20 °C.
2.3. Animals
Adult female albino mice with average weight of 25 ± 2 g were obtained from National Research Centre Animal Care Center. The animals were housed polypropylene cages under standard hygienic condition and were fed with rodent chow and water ad labium. Animals were acclimatized for one week to the experimental animal room conditions and in order to optimize treatment doses, all animals were fasted for 1 h prior to treatment administration. The Institutional Animal Ethics Committee for Care and Use of Laboratory Animals for Medical Research, National Research Center approved the research.
2.4. Experimental design
Animals were randomly assigned into seven groups of (n = 8); Control group: administered orally 0.5 ml of saline. CV and SP groups: animals were orally gavages Cv and Sp aqueous extract at dose of 500 mg/kg daily [39]. MSG group: animals were orally gavages MSG dissolved in water at dose of 1200 mg/kg daily [7]. MSG + Cc group: animals were orally gavages with the same dose of MSG concurrently with clomiphene citrate (Cc) (Clomiphene, ADCO, Egypt) (20 µg/day) as reference drug. MSG + Cv or Sp groups: animals were orally gavages with MSG concurrently with Cv and Sp as respectively as the same pattern in Cv and Sp groups. The treatments were continuous for 28 days in all experimental groups.
2.5. Superovulation
Superovulation induced by exogenous gonadotropin treatment (PMSG/hCG) increases the number of available oocytes in humans and animals. Female mice were subjected to two different hormonal treatments to induce superovulation. In the first hormonal treatment, females were injected intraperitoneally with 5 IU of Pregnant Mare Serum Gonadotropin (PMSG) (Folligon, Intervet, Madrid, Spain) and 5 IU of hCG (Chorulon, Intervet, Madrid, Spain) 48 h later and Oocytes were recovered 18 h post-Human Chorionic Gonadotropin (hCG).
2.6. Oocytes collection and nuclear maturation
After hormonal treatments, females were sacrificed by cervical dislocation; Ovaries were collected from each female mouse and dissected to release the oocytes. The collected oocytes washed thoroughly in phosphate buffer saline (PBS) then examined under stereomicroscope. The oocytes classified according to their quality into: (a) Excellent oocytes (surrounded by more than two layers of cumulus cells), (b) good oocytes (surrounded by two layers of cumulus cells), (c) denuded oocytes (without cumulus cells) and (d) degenerated oocytes. Afterwards, excellent and good oocytes were stripped from their cumulus cells by mechanical displacement by gentle mouth pipetting using a small-bore glass pipette. Matured oocytes were fixed with acetic alcohol (methanol and acetic acid, 3:1, v/v) for 24–48 h and stained with 1% aceto-orcein in 45% (v/v) acetic acid to examine the meiotic progression [28]. The nuclear maturation stages of oocytes were classified according to Santos et al. [29] as follows, intact germinal vesicle (GV); germinal vesicle breakdown (GVBD) and metaphase II (MII) which judged by the appearance of first polar body.
2.7. Histological study of the ovaries
The right ovary of each animal were removed, fixed in 10% formol saline and processed for paraffin blocks. Serial sections of 5–6 μm thick were cut and stained with haematoxylin and eosin [30] for routine histological examination.
2.7.1. Quantitative analysis
The quantitative analysis was carried out on hematoxylin and eosin stained sections of different experimental groups by counting the number of ovary follicles at different stages (primary, secondary, tertiary and Graaffin follicles), as well as atretic follicles and corpora lutea were counted, as described by Myers et al. [31]. Briefly, the oocyte-containing follicles in the developmental stage were classified and counted in 5–10 section.
2.7.2. Follicular classification
Follicle classification was carried out according to the classification of Erickson [32]. Primary follicles had at least three cuboidal granulosa cells in a single layer. Secondary follicles had at least two layers without an antral space, and antral follicles were identified as containing multiple layers of granulosa cells with some small areas of follicular fluid (antrum). Graaffin follicles were the largest type of the follicular with the cavity occupying most of the total follicular volume and possessed a defined cumulus cell layer surrounding the oocyte. The atretic follicles were characterized by degenerating oocytes, disorganized granulosa cell layers, folded zona pellucida, partially or completely separated from corona radiate and from the granulosa cells of the oocyte. Apoptotic bodies were common inside and outside the oocytes and the granulosa cells [33].
2.8. Biochemical analysis
2.8.1. Estrogen, luteinizing hormone (LH) and follicle-stimulating hormone (FSH) determination
At the end of treatment period, blood samples were withdrawn and collected in glass tubes. Serum was separated by centrifugation at 3000 rpm for 10 min and used to hormonal analysis.
2.8.2. Determination of ovarian glutathione reductase
The activity of reduced glutathione (GSR) was estimated by measuring the change in absorbance at 340 nm due to NADH utilization and glutathione reductase (GR) activity was expressed as n moles NADPH oxidized/min/mg proteins using an extinction coefficient of 6.22 mM−1 cm−1 by the method of Amicarelli et al. [34].
2.8.3. Determination of ovarian superoxide dismutase (SOD)
Superoxide dismutase was assayed by the method of Amicarelli et al. [34], which involves the inhibition of photochemical reduction of nitro blue tetrazolium (NBT) at pH 8.0. A single unit of enzyme is defined as the quantity of superoxide dismutase required to produce 50% inhibition of photochemical reduction of NBT. The absorbance was read at 580 nm against a blank using UV–Vis spectrophotometer. The activity was expressed as U/mg protein.
2.8.4. Determination of ovarian catalase (CAT)
Catalase activity was measured spectrophotometrically, as previously described [34]. The specific activity of catalase has been expressed as µmoles of H2O2 consumed/min/mg protein. The difference in absorbance at 240 nm per unit time is a measure of catalase activity.
2.9. Gene expression analysis
2.9.1. RNA extraction and synthesis of First-strand cDNA: Total
RNA was extracted from ovary of each mouse using standard TRIzol® Reagent (Invitrogen, USA). RNA samples were treated with RNase-free DNase (Fermentas Inc., Ontario, CA) to remove genomic DNA. The integrity and quality of the purified RNA was checked through agarose gel electrophoresis (1%) according to the integrity of 18S and 28S of rRNA bands. The RNA concentration was determined by spectrophotometric absorption at 260 nm. To synthesize the complementary DNA (cDNA), 2 μg of the total RNA isolated from mouse samples was reverse transcribed into cDNA in a total volume of 20 μ using the high capacity RNA to PreMix cDNA Kit (iNtRON Biotechnology, Korea). Reverse transcription reactions was carried out at 45 °C for 60 min, raised to 95 °C for 5 min.
2.9.2. Semiquantitative polymerase chain reaction (sq-PCR)
Quantitative PCR was performed with the 9700 (Applied Biosystems), thermal cycler. The GPx, SOD and CAT genes were amplified and a reference gene, 18S rRNA was used. Glyceraldehyde-3-phosphate dehydrogenase (GAPDH) was used as an internal control and it was amplified using its specific primer. PCR amplifications were performed in a total volume of 20 μl and 1 μl (0.05 mg) of cDNA was amplified using 2 μl of dNTPs (2.5 mM each), 2 μl of PCR Buffer (10×), 0.5 μl TaqTM DNA polymerase (5u/ml), 1 μl forward primer (10 pmol), 1 μl reverse primer (10 pmol) and 12.5 μl sterilized distilled water. The PCR cycling parameters were one cycle of 94 °C for 5 min, 35 cycles of 94 °C for 30 s, 60 °C (Cu-Zn SOD and GPx gene) for 30 s, 72 °C for 40 s, and 72 °C for 5 min. Meanwhile, CAT were amplified at 94 °C for 30 s, 58 °C for 30 s, and 72 °C for 1 min for a total of 30 cycles followed by a 10-min extension at 72 °C (Table 1). PCR products were electrophoresed on 2% agarose gel. DNA molecular marker (100 bp ladder; thermo Fisher Scientific) was used to calibrate the gel. Gel stained with ethidium bromide and visualized by UV transilluminator.
Table 1.
Primer sequences and expected product sizes for the genes amplified.
| cDNA | Forward primer (5′–3′) | Reverse primer (5′–3′) | PCR product size bp | Reference |
|---|---|---|---|---|
| GPx | CTCTCCGCGGTGGCACAGT | CCACCACCGGGTCGGACATAC | 290 bp | Limaye et al. (2003) |
| Cu-Zn SOD | GCAGAAGGCAAGCGGTGAAC | TAGCAGGACAGCAGATGAGT | 387 bp | Limaye et al. (2003) |
| CAT | GCGAATGGAGAGGCAGTGTAC | GAGTGACGTTGTCTTCATTAGCACTG | 652 bp | Gandhi et al. (2013) |
| GAPDH | CAAGGTCATCCATGACAACTTTG | GTCCACCACCCTGTTGCTGTAG | 496 bp | Wiame et al. (2000) |
2.9.3. Semi-quantitative determination of PCR products
The ethidium bromide-stained gel bands were scanned and the intensity of each band was quantified by densitometry using an image analysis program (Gel Quant). The relative abundances for mRNA were estimated as the ratio between the optical density of each mRNA-gene (GPx, SOD and CAT) and GAPDH gene.
2.10. Statistical analysis
Results obtained from the experiment were analyzed using one-way analysis of variance (ANOVA). Data was expressed as means ± standard errors and comparisons between groups were made using the Duncan’s test at P ≤ 0.05 level of significance.
3. Results
3.1. Oocytes quality and nuclear maturation
Effect of MSG and microalgae on in vivo maturation of mice oocytes were illustrated in Table 2. The result revealed that MSG group showed the lowest percentage for excellent and good oocytes (34.3%, 19.6% respectively). In contrast, Cv and Sp plus MSG group showed the high percentage of excellent (36.2%, 36.1%) and good oocytes (34%, 31.9%) compared to MSG. While, the percentage of excellent and good oocytes of Cc plus MSG over than in algae groups (38% & 38.7% respectively). In addition, MSG raised the percentages of denuded oocytes (29.4%), than control (25.5%). Whereas, Cc, Cv and Sp modulated its percentage (23.3, 21.3 and 25.9%, respectively). Conversely, MSG increased the percentage of degenerated oocytes (16.7%) than control (0.0%), while; Chlorella and Spirulina plus MSG reduced its percentage to (8.5 & 6.1% respectively).
Table 2.
Effect of MSG and microalgae aqueous extracts on in vivo maturation of mice oocytes.
| Groups | No. | Oocytes quality |
No. of excellent & good oocytes | Nuclear maturation |
||||||||||||
|---|---|---|---|---|---|---|---|---|---|---|---|---|---|---|---|---|
| Excellent |
Good |
Denuded |
Degenerated |
GV |
GVBD |
MII |
||||||||||
| No | % | No | % | No | % | No | % | No. | % | No. | % | No. | % | |||
| Control | 145 | 54 | 37.2 | 54 | 37.2 | 37 | 25.5 | – | – | 108 | 25 | 23.1 | 36 | 33.3 | 47 | 43.5 |
| Cv | 135 | 54 | 40 | 45 | 33.3 | 24 | 17.8 | 14 | 8.9 | 99 | 21 | 21.2 | 34 | 34.3 | 44 | 44.4 |
| Sp | 139 | 55 | 39.6 | 47 | 33.8 | 20 | 14.4 | 17 | 12.2 | 102 | 22 | 21.6 | 35 | 34.3 | 45 | 44.1 |
| MSG | 102 | 35 | 34.3 | 20 | 19.6 | 30 | 29.4 | 17 | 16.7 | 55 | 15 | 27.3 | 25 | 45.5 | 15 | 27.3 |
| MSG + Cc | 150 | 57 | 38 | 58 | 38.7 | 35 | 23.3 | - | - | 115 | 25 | 21.7 | 40 | 34.8 | 50 | 43.5 |
| MSG + Cv | 141 | 51 | 36.2 | 48 | 34.0 | 30 | 21.3 | 12 | 8.5 | 99 | 21 | 21.2 | 32 | 32.3 | 46 | 46.5 |
| MSG + Sp | 147 | 53 | 36.1 | 47 | 31.9 | 38 | 25.9 | 9 | 6.1 | 100 | 19 | 19 | 33 | 33 | 48 | 48 |
GV: germinal vesicle GVBD: germinal vesicle breakdown MII: metaphase II.
Regarding to nuclear maturation stages of excellent and good oocytes as in Table 2 and Fig. 1, the results revealed reduction of maturation rate in MSG compare to control. MSG matured oocytes at MII stage percentage (27.3%) compare to control (43.5%). While, improvement in the percentage of matured oocytes at MII stage was observed in the Cc, Cv and Sp plus MSG groups (43.5,46.5%, 48% respectively) compare to MSG and control groups (27.3% &43.5%, respectively). In addition, the percentage of oocytes at GVBD was higher in MSG group (45.5%) than control (33.3%). Whereas, Cc, Cv and Sp were modulated the percentage to be close of control (34.8, 32.3% & 33%). Furthermore, the percentage of oocytes arrested at GV was the highest in MSG group (27.3%) than control (23.1%). While, it decreased in groups that treated with Cc, Cv and Sp plus MSG (21.7, 21.2 & 19%, respectively).
Fig. 1.
Oocytes quality and nuclear maturation.
3.2. Histological investigation
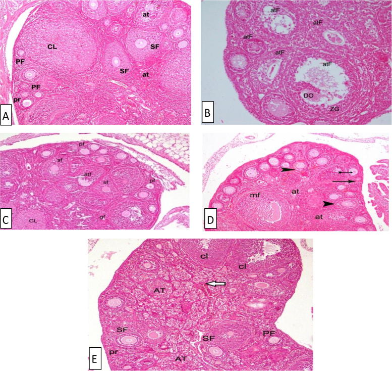
The ovarian tissue of control mice was consist of two parts, the inner medulla which contained stroma and blood vessels, and outer cortex which contained healthy follicles during the development, atretic follicles and corpora lutea (Fig. 2A). Results showed no histological alterations appear on ovaries administrated both Chlorella and Spirulina extracts.
Fig. 2.
(A) Photomicrograph of control mice ovary showing normal follicles in different developmental stages and atretic follicles, as well as corpus luteum. PF: primary follicle; SF: secondary follicle; at: atratic follicle: CL: corpus luteum and BV: blood vessel in medulla. (B) Photo-micrograph of mice ovary treated with MSG showing marked degeneration in many follicles at development stages (atresia), degenerated follicles (atF) with degenerated oocyte (DO), pyknotic nuclei, apoptosis and exfoliation of cells within the cavity of the follicle. (C) Photomicrograph of mice ovary treated with Cc plus MSG showing more active ovary than control with follicles of different stage and size as well as corpora lutei (CL); atretic follicles (atf); primary follicle (PF); secondary follicle (SF) and growing follicle (gf). (D) Photomicrograph of mice ovary treated with MSG plus Cv showing structure of ovary more or less normal, healthy follicles of all stages as well as corpora lutea, reduced in atresia and no congestion of blood vessel. Primary follicl (thin arrow); secondary follicle (arrowhead); atretic (at); mature follicle (mf). (E) Photomicrograph of mice ovary treated with Sp along with MSG showing the histological structure is nearly normal, healthy follicles and corpora lutea, prominent appearance of atretic follicles, some congested blood vessel (white arrow) was observed (HX&E x200).
The microscopic examination of MSG mice treated ovaries showed extensive atretic follicle that occupy the largest part of stroma that distinguish by degenerated oocyte, vacuolation in granulosa cells, apoptosis, pyknotic nuclei and exfoliation of granulosa cells in luman cavity of the follicle. Moreover, some blood vessels congestion is appeared in medulla (Fig. 2B). While, mice treated with Cc and MSG showed hyperactivity of folliculogenesis, where the ovary had many follicles at different size and stage of development plus to atretic follicles (Fig. 2C). Chlorella extract plus MSG exhibit amelioration of preceding lesions in ovary. Where the structure of ovary appeared normal, healthy follicles of all stages and corpora lutea, atretic follicles reduction and no blood vessel congestion were observed (Fig. 2D). In addition, mice treated with Sp along with MSG showed more improvement of histological findings. The ovarian tissue was relatively similar to control, except for some blood vessel congestion (Fig. 2E).
3.2.1. Quantitative results
From data of Table 3, it was clear that MSG exhibited non-significant diminish in the primary, secondary and graffian follicles but the atretic follicles was highly significant increased (p ≤ 0.5) comparing to control. While, the tertiary follicles and corpora lutea number significantly decreased than control. Whereas, Cc and Cv or Sp extracts administration along with MSG highly significantly increased the primary follicle and corpora lutea, and decreased the atretic follicles nearly to those of control.
Table 3.
Effects of MSG and Aqueous extracts of microalgae on ovarian follicles.
| Treatment | Primary follicle | Secondary follicle | Tertiary follicle | Graffian follicle | Atretic follicle | Corpus luteum |
|---|---|---|---|---|---|---|
| Control | 21.86 ± 1.62ab | 8.00 ± 0.78a | 4.43 ± 0.36a | 2.86 ± 0.34a | 20.71 ± 0.36b | 7.71 ± 0.47a |
| CV | 15.29 ± 1.47c | 6.29 ± 0.83ab | 4.57 ± 0.75a | 2.57 ± 0.48a | 23.43 ± 0.48ab | 4.29 ± 0.91bc |
| SP | 16.43 ± 0.86bc | 4.71 ± 0.83b | 3.71 ± 0.60ab | 2.71 ± 0.52a | 21.86 ± 0.51b | 3.86 ± 0.34bc |
| MSG | 19.43 ± 2.10bc | 6.86 ± 1.33ab | 2.43 ± 0.57b | 1.86 ± 1.22a | 25.57 ± 1.64a | 2.57 ± 0.48c |
| MSG + Clomiphene citrate | 24.14 ± 2.88a | 6.71 ± 0.86ab | 3.14 ± 0.34ab | 2.57 ± 0.36a | 15.00 ± 1.54c | 3.71 ± 0.47bc |
| MSG + CV | 23.29 ± 2.90a | 7.29 ± 1.12ab | 3.43 ± 0.68ab | 2.14 ± 0.34a | 21.57 ± 0.36b | 5.00 ± 0.72b |
| MSG + SP | 23.14 ± 1.85a | 5.86 ± .73ab | 2.86 ± 0.26ab | 1.86 ± 0.34a | 21.14 ± 1.28b | 3.29 ± 0.60bc |
Data are expressed as the mean ± standard deviation (SE). Different superscripts within the same column designate significant differences (p ≤ 0.05).
3.3. Biochemical results
3.3.1. Hormonal levels in female blood
Results of biochemical analysis are represented by Fig. 3, Fig. 4, Fig. 5. No significant difference between the level of ES, FSH and LH of control and either of Cv or Sp aqueous extracts treated animals. MSG induced significant decline (p ≤ 0.05) in all hormones level than control. Meanwhile, Cv and Sp administration plus MSG showed improvement in the ES, FSH and LH level just about Cc plus MSG.
Fig. 3.
Effect of MSG and microalgae aqueous extracts on serum estrogen level. Data are presented as mean ± SEM. a, b, c Mean values within tissue with unlike superscript letters were significantly different (P < 0.05).
Fig. 4.
Effect of MSG and microalgae aqueous extracts on serum follicle stimulating hormone level. Data are presented as mean ± SEM. a, b, c Mean values within tissue with unlike superscript letters were significantly different (P < 0.05).
Fig. 5.
Effect of MSG and microalgae aqueous extracts on serum luteinizing hormone level. Data are presented as mean ± SEM. a, b, c Mean values within tissue with unlike superscript letters were significantly different (P < 0.05).
3.3.2. Ovarian antioxidant enzymes
MSG significantly decreased the content of CAT, SOD and GSHR activity (P ≤ 0.05) than control. While, oral gavages of Cc, Cv and Sp aqueous extracts plus MSG was significantly elevated their levels but not reach to control (Table 4).
Table 4.
Effects of MSG and aqueous extracts of microalgae on ovarian antioxidant enzymes levels.
| Treatment | Catalase (U/min/mg protein | SOD (U/min/mg protein) | GSH Reductase (μmol/min/mg protein) |
|---|---|---|---|
| Control | 97.35 ± 0.34a | 38.58 ± 0.34a | 68.11 ± 0.42a |
| Cv | 97.05 ± 0.33a | 37.93 ± 0.53a | 67.24 ± 0.41a |
| Sp | 96.69 ± 0.15c | 38.85 ± 0.57a | 67.91 ± 0.55a |
| MSG | 39.76 ± 0.23e | 11.28 ± 0.21e | 18.11 ± 0.09e |
| MSG + Cc | 74.26 ± 0.28c | 33.14 ± 0.24b | 58.68 ± 0.49b |
| MSG + Cv | 65.53 ± 0.46d | 21.36 ± 0.49d | 39.80 ± 0.35d |
| MSG + Sp | 79.40 ± 0.48b | 26.31 ± 0.48c | 54.42 ± 0.42c |
Data are expressed as the mean ± standard error (SE). Different superscripts within the same column designate significant differences (P ≤ 0.05).
3.4. Gene expression
Ovarian antioxidant mRNA gene expressions were determined by quantitative PCR. MSG supplementation markedly diminished the GPx, SOD and CAT mRNA expression of mice ovary when compared to control. Nevertheless, the treatment of Cv or Sp with MSG significantly (P ≤ 0.05) increased mRNA expression of GPx, SOD and CAT close to control (Fig. 6).
Fig. 6.
Effect of MSG and microalgae aqueous extracts on GPx, SOD, and CAT gene expression level in ovary of mice. The results illustrated normalization to the GAPDH level and the data are the genes mean of optical density divided by that of GAPDH.
4. Discussion
Monosodium glutamate is the most broadly used food additives that enhance flavor. It was discovered to be possibly destructive to the body organs including the ovaries [2]. MSG causes ovaries pathological alterations lead to anovulatory infertility [1], [35]. Previously, Singh and Pushpa (2005) recommended that MSG (4 and 8 mg/g b w) could exhibit oxidative stress in heart tissue by changing the SOD and CAT activities. Reactive oxygen species are formed as ordinary metabolism and in a multiplicity of disease processes. Negative effects of reactive oxygen species and lipid peroxidation are counteracting by antioxidant defense system that consists of non-enzymatic (as reduced glutathione) and enzymatic (as SOD, CAT, GPx, reductase and transferase) [36]. Microalgae as Cv or Sp have detectable role in almost all biochemical reactions and they are vital antioxidants that defend tissues from oxidative stress attributable to their safe dietary administration in large concentration [37], [38], [39].
Oocyte maturation is the ending phase of oogenesis through which evolution of the oocyte from prophase-I to metaphase-II was occur. This process involves management of nuclear and cytoplasmic events necessary to create excellence oocytes able to fertilized and maintain pre-implantation development [40]. Therefore, the target of our research was to assessment the responsibility of Cv and Sp in improvement of ovary function altered by MSG oral administration for 28 days. Result revealed that MSG showed dire impact on female mice ovaries. Where it diminished the ovarian follicles stages, corpora lutea and maturation rate, meanwhile, it increased the atretic follicles and this was in conformity with the study of Ali et al. [41]. The oocytes number reduction might be due to oxidative stress induced by MSG. This agreed with the results of [42], [43], who predicated the MSG ovarian pathologies to oxidative damage. In addition, ovaries histopathological examination of MSG treated animals revealed that the ovary was in an atresic state that escort by oocyte degeneration, vacuolation, apoptosis, pyknotic nuclei and exfoliation of granulosa cells in luman cavity of the follicle. Moreover, medulla having congested blood vessels. These findings were in agreement with those of [1], [2], [35] they reported that MSG exhibited ovary cystic degeneration and degenerative atrophic changes in rat that possibly due to oxidative stress [42], [43]. Deviations in ovarian function usually caused anovulatory infertility, which constitutes minor trouble [2].
The treatment with Cv or Sp suspension significantly attenuated the MSG deviations in ovarian functions. Its seems to attain the ovarian structure integrity as obvious in the elevation of the primordial, primary, secondary, and graafian follicles numbers and a reduction in atretic follicles numbers. Also, it has attenuated the ovarian histopathological alterations. This confirmed by Osman et al. [44] who reported that the pretreatment with Sp has reversed the histopathological alteration approximately to control.
Meanwhile, MSG-treated females showed low serum concentrations of ES, LH and FSH, while, Cv and Sp elevated their levels. Bashandy et al. [45] confirmed this result; they observed that Sp alleviated the sodium arsenite hormones alteration.
Furthermore, results pointed to that, MSG down regulate the antioxidant enzymes (SOD, GPx and CAT) levels and gene expressions of ovary tissues. These results are in accordance with Fabio et al. [46] who found that MSG exhibited reduction in the SOD, GPx and CAT. Meanwhile, oral administration of Cv and Sp restored them approximately to control. Abdel-Daim et al. [47] observed that Sp improved brain, hepatic and renal oxidative stress markers of mice. Where some of the active constituents of Cv or Sp aqueous extracts such as flavonoids, β-carotene and phycocyanin have been reported to have noticeable role in almost all biochemical reactions and have strong antioxidant property and provoke free radical scavenging enzyme [37], [48], [49], [50].
In addition, the significant protection of Cv or Sp demonstrated their radical scavenging activity. It was found that Cv contains many micronutrients and a growth substance that can boost the immunity, raise feed intake and utilization and promote the reproduction. Kotrbacek et al. [51] mentioned that use of Chlorella biomass might grow up the animal products value. El-Abd and Hamouda [52] showed that Cv positively influenced the broiler performance and contributes to its effective role in producing healthy broiler for consumer. Moreover, it has shown that Sp be able to enhance the reproduction and growth performance [53]. In this respect, Spirulina achieved superior productivity and reproductive performance in hens and cows [54], [55].
5. Conclusion
In brief, our findings supported the results which postulated that the Cv and Sp aqueous extract exhibited alleviative role against ovarian dysfunctions induced by MSG in mice through attenuating the oocyte quality, ovarian histopathology, sex hormone and antioxidant enzymes altered as a result of MSG supplementation. These microalgae alleviative impact might be owing to the wide diversity in their biochemical composition that provides an excellent option to discover a variety of biologically active components.
Footnotes
Peer review under responsibility of National Research Center, Egypt.
References
- 1.Bojanic V., Bojanic Z., Najman S., Savic T., Jakovl-jevic V., Najman S. Diltiazem prevention of toxic effects of monosodium glutamate on ovaries in rats. Gen Physiol Biophys. 2009;28:149–154. [PubMed] [Google Scholar]
- 2.Eweka A.O., Om'iniabohs F.A.E. Histological studies of the effects of monosodium glutamate on the ovaries of adult Wistar rats. Ann Med Health Sci Res. 2011;1(1):37–44. [PMC free article] [PubMed] [Google Scholar]
- 3.Dixit S.G., Rani P., Anand A., Khatri K., Chauhan R., Bharihoke V. To study the effect of monosodium glutamate on histomorphometry of cortex of kidney in adult albino rats. Renal Failure. 2014;36(2):266–270. doi: 10.3109/0886022X.2013.846865. [DOI] [PubMed] [Google Scholar]
- 4.Gobatto C.A., Mello M.A.R., Souza C.T., Ribeiro I.A. The monosodium glutamate (MSG) obese rat as a model for the study of exercise in obesity. Res Commun Mol Pathol Pharmacol. 2002;111:89–101. [PubMed] [Google Scholar]
- 5.Diniz Y.S., Faine L.A., Galhardi C.M., Rodrigues H.G., Ebaid G.X., Burneiko R.C. Monosodium glutamate in standard and high fiber diets: metabolic syndrome and oxidative stress in rats. Nutrition. 2005;21:749–755. doi: 10.1016/j.nut.2004.10.013. [DOI] [PubMed] [Google Scholar]
- 6.Mallick H.N. Understanding safety of glutamate in food and brain. Ind J Physiol Pharmacol. 2007;51:216–234. [PubMed] [Google Scholar]
- 7.El makawy A, Abdou H. Modulatory effect of ascorbic acid against food additive monosodium glutamate genotoxicity in rats. J Gen Eng Biotechnol 2005;3(2):229–53.
- 8.Kuznetsova EG, Amstislavskaya TG, Bulygina VV, Il’nitskaya SI, Tibeikina MA, Skrinskaya YA. Effects of administration of sodium glutamate during the neonatal period on behavior and blood corticosterone levels in male mice. Neurosci Behav Physiol 2007;37:827–33. [DOI] [PubMed]
- 9.Ciric M., Najman S., Bojanic V., Cekic S., Neic M., Puskas N. Neonatal influence of monosodium glutamate on the somatometric parameters of rats. Gen Physiol Biophys. 2009;28:155–161. [PubMed] [Google Scholar]
- 10.Eweka A.O., Eweka A., Om’Iniabohs F.A.E. Histological studies of the effects of monosodium glutamate of the fallopian tubes of adult female Wistar rats. North Am J Med Sci. 2010;2:146–149. doi: 10.4297/najms.2010.3146. [DOI] [PMC free article] [PubMed] [Google Scholar]
- 11.Shalaby E.A. Algae as promising organisms for environment and health. Plant Signal Behav. 2011;6(9):1338–1350. doi: 10.4161/psb.6.9.16779. [DOI] [PMC free article] [PubMed] [Google Scholar]
- 12.Bishop W.M., Zubeck H.M. Evaluation of microalgae for use as nutraceuticals and nutritional supplements. J. Nutr Food Sci. 2012;2:5. [Google Scholar]
- 13.Tang G., Suter P.M. Vitamin A, nutrition, and health values of algae: Spirulina, Chlorella, Dunaliella. J. Pharm Nutr Sci. 2011;1:111–118. [Google Scholar]
- 14.Macias-Sancho J, Poerch LH, Bauer W, Romano LA, Wasielesky W, Tesser MB. Fishmeal substitution with Arthrospira (Spirulina platensis) in a practical diet for Litopenaeus vannamei: effect on growth an immunological parameters. Aquaculture 2014;426–427:120–5.
- 15.Munirasu S., Uthayakumar V., Ramasubramanian V., Kiruba A. Effects of live feed Mesocyclops aspericornis survival, growth, biochemical constituents and energy utilization of the freshwater fish Catla catla. J Aquacult Feed Sci Nutr. 2014;6(1):23–31. [Google Scholar]
- 16.Jalaja Kumari D., Babitha B., Jaffar S.K., Guru Prasad M., Ibrahim M.D., Siddque M.D. Potential health benefits of Spirulina platensis. Pharmanest. 2011;5–6:417–422. [Google Scholar]
- 17.Challouf R., Trabelsi L., Ben Dhieb R., El Abed O., Yahia A., Ghozzi K. Evaluation of cytotoxicity and biological activities in extracellular polysaccharides released by cyanobacterium Arthrospira platensis. Br Arch Biol Technol. 2011;54(4):831–838. [Google Scholar]
- 18.Ananya A.K., Ahmad I.Z. Cyanobacteria, “the blue green algae” and its novel applications: a brief review. Int J Innov Appl Stud. 2014;7:251–261. [Google Scholar]
- 19.Holman B.W., Malau-Aduli A.E. Spirulina as a livestock supplement and animal feed. J Anim Physiol Anim Nutr (Berl) 2013;97(4):615–623. doi: 10.1111/j.1439-0396.2012.01328.x. [DOI] [PubMed] [Google Scholar]
- 20.Sharma R, Singh GP, Sharma VK. Comparison of different media formulations on growth, morphology and chlorophyll content of green alga, Chlorella vulgaris. Int J Pharma Biol Sci 2011;2(2):B 509–16.
- 21.Kang M.S., Chae H.J., Sim S.J. Chlorella as a functional biomaterial. Korean J Biotechnol Bioeng. 2004;19:1–11. [Google Scholar]
- 22.Radhakrishnan S., Saravana Bhavan P., Seenivasan C., Shanthi R., Muralisankar T. Replacement of fishmeal with Spirulina platensis, Chlorella vulgaris and Azolla pinnata on non- enzymatic and enzymatic antioxidant activities of Macrobrachium rosenbergii. J Basic Appl Zool. 2014;67(2):25–33. [Google Scholar]
- 23.Fiogbe E.D., Micha J.C., Hove C.V. Use of a natural aquatic fern, Azolla microphylla, as a main component in food for the omnivorous phytoplanktonophagous tilapia, Oreochromis niloticus L. J Appl Ichthyol. 2004;20:517–520. [Google Scholar]
- 24.Sithara K., Kamalaveni K. Formulation of low-cost feed using azolla as a protein supplement and its influence on feed utilization in fishes. Curr Biotica. 2008;2(2):212–219. [Google Scholar]
- 25.Yan L., Lim S.U., Kim I.H. Effect of fermented chlorella supplementation on growth performance, nutrient digestibility, blood characteristics, fecal microbial and fecal noxious gas content in growing pigs. Asian Aust J Anim Sci. 2012;25:1742–1747. doi: 10.5713/ajas.2012.12352. [DOI] [PMC free article] [PubMed] [Google Scholar]
- 26.Kim KE. Study on dietary effect of Chlorella vulgaris on productivity and immune response in poultry and post weaned pigs. Ph. D. Thesis. Seoul (Korea): Konkuk University; 2011.
- 27.Zheng L., Oh S.T., Jeon J.Y., Moon B.H., Kwon H.S., Lim S.U. The dietary effects of fermented Chlorella vulgaris (CBT®) on production performance, liver lipids and intestinal microflora in laying hens. Asian Aust J Anim Sci. 2012;25:261–266. doi: 10.5713/ajas.2011.11273. [DOI] [PMC free article] [PubMed] [Google Scholar]
- 28.Polanski Z, Kubiak JZ, Meiosis. Encyclopedia of reproduction 1999;3:160–7.
- 29.Santos L.C., Rodrigues B.A., Rodrigues J.L. In vitro nuclear maturation of bitch oocytes in the presence of polyvinyl-pyrrolidone. Anim Reprod. 2006;3:70–75. [Google Scholar]
- 30.Drury R.A.B., Wallinglon E.A. 5th ed. Oxford; New York, Toronto: 1980. Haematoxylin & eosin staining method in carletones histological techniques; pp. 140–143. [Google Scholar]
- 31.Myers M., Britt K.L., Wreford N.G., Ebling F.J., Kerr J.B. Methods for quantifying follicular numbers within the mouse ovary. Reproduction. 2004;127:569–580. doi: 10.1530/rep.1.00095. [DOI] [PubMed] [Google Scholar]
- 32.Erickson GF. Morphology and physiology of the ovary. Endotext 2003;chapter 2:51–8.
- 33.Byskov AG. Follicular atresia. In: The vertebrate ovary. New York(NY): Plenum Press; 1978.
- 34.Amicarelli F., Tiboni G.M., Colafarina S., Bonfigli A., Iammarrone E., Miranda M. Antioxidant and GSH-related enzyme response to a single teratogenic exposure to the anticonvulsant phenytoin: temporospatial evaluation. Teratology. 2000;62:100–107. doi: 10.1002/1096-9926(200008)62:2<100::AID-TERA6>3.0.CO;2-D. [DOI] [PubMed] [Google Scholar]
- 35.Oladipo I.C., Adebayo E.A., Kuye O.M. Effects of monosodium glutamate in ovaries of female Sprague-Dawley rats. Int J Curr Microbiol App Sci. 2015;4(5):737–745. [Google Scholar]
- 36.Valko M., Leibfritz D., Moncol J., Cronin M.T.D., Mazur M., Telser J. Free radicals and antioxidants in normal physiological functions and human disease. Int J Biochem Cell Biol. 2007;39:44–84. doi: 10.1016/j.biocel.2006.07.001. [DOI] [PubMed] [Google Scholar]
- 37.Silva-Neto J.F., Nunes A.J.P., Sabry-Neto H., Sá M.V.C. Spirulina meal has acted as a strong feeding attractant for Litopenaeus vannamei at a very low dietary inclusion level. Aquac Res. 2012;43:430–437. [Google Scholar]
- 38.de Morais M.G., Vaz Bd.a.S., de Morais E.G., Vieira Costa J.A. Biologically active metabolites synthesized by microalgae. Biomed Res Int. 2015;2015:1–15. doi: 10.1155/2015/835761. [DOI] [PMC free article] [PubMed] [Google Scholar]
- 39.El makawy IA, Abdel-Aziem HS, Ibrahim MF, Sharaf AH, Abd-Elmoneim MO, Darwish MA. Potential modulator role of Chlorella vulgaris and Spirulina platensis on monosodium glutamate oxidative stress, genotoxicity, apoptotic gene expression and histopathological alterations. Int J PharmTech Res 2016;9(11):161–77.
- 40.Eppig J.J. Coordination of nuclear and cytoplasmic oocyte maturation in eutherian mammals. Reprod Fertil Dev. 1996;8:485–489. doi: 10.1071/rd9960485. [DOI] [PubMed] [Google Scholar]
- 41.Ali A.A., El-Seify H.G., El Haroun M.H., Soliman A.M. Effect of monosodium glutamate on the ovaries of adult female albino rats and the possible protective role of green tea. Menoufia Med J. 2014;27:793–800. [Google Scholar]
- 42.Ismail N.H. Assessment of DNA damage in testes from young Wistar male rat treated with monosodium glutamate. Life Sci J. 2012;9(930):939. [Google Scholar]
- 43.Al-Mosaibih M.A. Effects of monosodium glutamate and acrylamide on the liver tissue of adult Wistar rat. Life Sci J. 2013;10:35. [Google Scholar]
- 44.Osman MAH, Sheekh MM, Farrag AH, ElSaeed GSM, Kassem DA. Hepato-protective effect induced by NaCl stressed Spirulina platensis: Histopathological, biochemical and histochemical studies. World Appl Sci J 2012;18:1370–80.
- 45.Bashandy S.A.E., El Awdan S.A., Ebaid H., Alhazza I.M. Antioxidant potential of Spirulina platensis mitigates oxidative stress and reprotoxicity induced by sodium arsenite in male rats. Oxid Med Cell Longev. 2016;1:1–8. doi: 10.1155/2016/7174351. [DOI] [PMC free article] [PubMed] [Google Scholar]
- 46.Fabio R., Seiva F., Gustavo L., Chuffa A., Braga C.P., Paulo J. Quercetin ameliorates glucose and lipid metabolism and improves antioxidant status in postnatally monosodium glutamate-induced metabolic alterations. Food Chem Toxicol. 2012;50:3556–3561. doi: 10.1016/j.fct.2012.07.009. [DOI] [PubMed] [Google Scholar]
- 47.Abdel-Daim M., El-Bialy B.E., Rahman H.G.A., Radi A.M., Hefny H.A., Hassan A.M. Antagonistic effects of Spirulina platensis against subacute deltamethrin toxicity in mice: biochemical and histopathological studies. Biomed Pharmacother. 2016;77:79–85. doi: 10.1016/j.biopha.2015.12.003. [DOI] [PubMed] [Google Scholar]
- 48.Abou Gabal A., Aboul-Ela H.M., Ali E.M., Khaled A.E.M., Shalaby O.K. Hepatoprotective, DNA damage prevention and antioxidant potential of Spirulina platensis on CCl4-induced hepatotoxicity in mice. Am J Biomed Res. 2015;3(2):29–34. [Google Scholar]
- 49.Michalak I., Chojnacka K. Algae as production systems of bioactive compounds. Eng Life Sci. 2015;15:160–176. [Google Scholar]
- 50.Finamore A., Palmery M., Bensehaila S., Peluso I. Review article antioxidant, immunomodulating, and microbial-modulating activities of the sustainable and ecofriendly spirulina. Oxid Med Cell Longev. 2017:1–14. doi: 10.1155/2017/3247528. [DOI] [PMC free article] [PubMed] [Google Scholar]
- 51.Kotrbacek V., Doubek J., Doucha J. The chlorococcalean alga Chlorella in animal nutrition: a review. J Appl Phycol. 2015;27(6):2173–2180. [Google Scholar]
- 52.El-Abd M.N., Hamouda A.R. Improved productivity and health of broiler chicken by micro green alga Chlorella vulgaris. Asian J Poultry Sci. 2017;11:57–63. [Google Scholar]
- 53.Khan Z., Bhadouria P., Bisen P.S. Nutritional and therapeutic potential of Spirulina. Curr Pharm Biotechnol. 2005;6:373–379. doi: 10.2174/138920105774370607. [DOI] [PubMed] [Google Scholar]
- 54.Nikodemusz E, Paskai P, Toth L, Kozak J. Effect of dietary Spirulina supplementation on the reproductive performance of farmed pheasants: technical articles. Institute of Animal Husbandry, Szent István University Gödöllo, Hungary. Poult Indust 2010;1–2.
- 55.Gaafar M.A.H., Riad A.W., Elsadany Y.A., El-Reidy F.A.K., Abu El-Hamd A.M. Effect of spirulina (Arthrospira platensis) on productive and reproductive performance of Friesian cows. Archiva Zootechnica. 2017;20(1):19–36. [Google Scholar]






