Acute pharyngitis is one of the most common illnesses for which children in the United States visit primary care providers. The diagnoses of acute pharyngitis, acute tonsillitis, or “strep throat” are made more than 12 million times annually.1, 2
Table 27.1 provides a partial list of etiologic agents for acute pharyngitis. Most cases in children and adolescents are caused by viruses and are benign and self-limited. Group A β-hemolytic Streptococcus (GAS) (e.g., Streptococcus pyogenes) is the most important bacterial cause. Strategies for the diagnosis and treatment of pharyngitis in children and adolescents depend on differentiating the large group of patients with viral pharyngitis who cannot benefit from antimicrobial therapy from the small group of patients with GAS pharyngitis who can. Distinguishing between groups is important to minimize the unnecessary use of antibiotics in children and adolescents while diagnosing and treating patients for whom benefit is likely.
TABLE 27.1.
Causes of Acute Pharyngitis
| Etiologic Agents | Associated Disorders or Clinical Findings |
|---|---|
| BACTERIAL | |
| Group A Streptococcus | Scarlet fever |
| Groups C and G streptococci | |
| Mixed anaerobes | Vincent angina |
| Neisseria gonorrhoeae | |
| Corynebacterium diphtheriae | Diphtheria |
| Arcanobacterium haemolyticum | Scarlatiniform rash |
| Yersinia enterocolitica | Enterocolitis |
| Yersinia pestis | Plague |
| Francisella tularensis | Tularemia |
| Fusobacterium necrophorum | Lemierre syndrome (jugular vein septic thrombophlebitis) |
| VIRAL | |
| Rhinovirus | Common cold |
| Coronavirus | Common cold |
| Adenovirus | Pharyngoconjunctival fever; acute respiratory disease |
| Herpes simplex virus types 1 and 2 | Gingivostomatitis |
| Parainfluenza virus | Common cold; croup |
| Coxsackievirus A | Herpangina; hand-foot-mouth disease |
| Epstein-Barr virus | Infectious mononucleosis |
| Cytomegalovirus | Cytomegalovirus mononucleosis |
| Human immunodeficiency virus (HIV) | Primary HIV infection |
| MYCOPLASMAL | |
| Mycoplasma pneumoniae | Acute respiratory disease; pneumonia |
| CHLAMYDIAL | |
| Chlamydophila psittaci | Acute respiratory disease; pneumonia |
| Chlamydophila pneumoniae | Pneumonia |
| NONINFECTIOUS CAUSES | |
| Gastroesophageal reflux disease | Heartburn |
| Laryngopharyngeal reflux | Cough, hoarseness |
| PFAPA syndrome | Periodic fever, aphthous ulcers, adenitis |
| Allergic pharyngitis | Scratchy sensation, postnasal drip, hoarseness |
| Kawasaki disease | Other typical findings (extremity changes, conjunctivitis) |
HIV, Human immunodeficiency virus; PFAPA, periodic fever, aphthous stomatitis, pharyngitis, and cervical adenitis.
Modified from Bisno AL, Gerber MA, Gwaltney JM, et al. Practice guideline for the diagnosis and management of group A streptococcal pharyngitis. Clin Infect Dis 2002;35:113–125.
Etiology
Viruses are the most common cause of acute pharyngitis in children and adolescents. Respiratory viruses (e.g., influenza virus, parainfluenza virus, rhinovirus, coronavirus, adenovirus, human metapneumovirus, respiratory syncytial virus), enteroviruses (e.g., coxsackievirus, echovirus), herpes simplex virus (HSV), and Epstein-Barr virus (EBV) are frequent causes of pharyngitis. EBV pharyngitis often is accompanied by other clinical findings of infectious mononucleosis (e.g., generalized lymphadenopathy, splenomegaly) and can be exudative and indistinguishable from GAS pharyngitis. HSV pharyngitis often is associated with stomatitis in children and tends to affect the anterior oral mucosa, including the gingiva, buccal mucosa, and tongue. Enteroviral pharyngitis can be an isolated finding (e.g., herpangina) or part of the syndrome of hand-foot-and-mouth disease, and it has a typical appearance. Systemic infections with other viruses (e.g., cytomegalovirus, rubella virus, measles virus) can include pharyngitis.
GAS is the most commonly identified bacterial cause of acute pharyngitis, accounting for 15% to 30% of pediatric pharyngitis. Fusobacterium necrophorum, the typical etiologic agent of Lemierre syndrome, is an increasingly reported cause of uncomplicated pharyngitis, especially in older children and young adults.3, 4 Other causes include groups C and G β-hemolytic streptococci (GCS and GGS, respectively). Arcanobacterium haemolyticum is a rare cause in adolescents, and Neisseria gonorrhoeae can cause acute pharyngitis in sexually active adolescents. Other bacteria such as Francisella tularensis, Yersinia enterocolitica, and Corynebacterium diphtheriae and mixed infections with anaerobic bacteria (e.g., Vincent angina) are rare causes.
Chlamydophila pneumoniae and Mycoplasma pneumoniae have been implicated rarely, particularly in adults. Although bacteria such as Staphylococcus aureus, Haemophilus influenzae, and Streptococcus pneumoniae frequently are isolated from throat cultures of children and adolescents with acute pharyngitis, their etiologic role is not established. Noninfectious cases of recurrent or prolonged pharyngitis and sore throat include the periodic fever, adenitis, pharyngitis, and aphthous ulcers (PFAPA) syndrome; gastroesophageal or laryngopharyngeal reflux; and allergic rhinitis.
Epidemiology
Most cases of acute pharyngitis occur during the colder months of the year, when respiratory viruses are prevalent. Spread among family members in the home is a prominent feature of the epidemiology of most agents, with children providing the major reservoir. GAS pharyngitis is primarily a disease of children 5 to 15 years of age, and in temperate climates, the prevalence is highest in winter and early spring. Enteroviral pharyngitis typically occurs in the summer and early fall.
Gonococcal pharyngitis occurs in sexually active adolescents and young adults. The usual mode of infection is through orogenital sexual contact. Sexual abuse must be considered strongly when N. gonorrhoeae is isolated from the pharynx of a prepubertal child. Widespread immunization with diphtheria toxoid has made diphtheria a rare disease in the United States, with fewer than 5 cases reported annually.
GCS and GGS express many of the same toxins as GAS, including streptolysin S and O. GCS pharyngitis can have clinical features similar to GAS and can cause elevated levels of serum antistreptolysin O (ASO) antibody.5 GCS is a relatively common cause of acute pharyngitis among college students and adults who seek urgent care.6, 7 Outbreaks of GCS pharyngitis related to consumption of contaminated food products (e.g., unpasteurized cow milk) have been reported in families and schools.8 Although there also are several well-documented foodborne outbreaks of GGS pharyngitis, the role of GGS in acute, endemic pharyngitis remains unclear. A community-wide outbreak of pharyngitis among children was described in which GGS was isolated from 25% of 222 consecutive children with acute pharyngitis seen in a private pediatric office. Results of DNA fingerprinting suggested that 75% of isolates belonged to the same GGS clone.9
The role of GCS and GGS in acute pharyngitis may be underestimated, and many laboratories do not report GCS or GGS even when the organisms are identified in throat cultures. Laboratories may use bacitracin susceptibility to identify GAS; many GCS and GGS are bacitracin resistant. Rapid antigen detection tests (RADTs) recognize the cell wall carbohydrate of GAS but are nonreactive with the carbohydrates of GCS or GGS.10
Clinical Manifestations
Group A Streptococcus
Certain clinical and epidemiologic findings suggest GAS as the cause of acute pharyngitis (Box 27.1 ). Patients with GAS pharyngitis commonly have sore throat (usually of sudden onset), severe pain on swallowing, and fever. They also can have headache, nausea, vomiting, and abdominal pain. Examination typically reveals tonsillopharyngeal erythema with or without exudates and tender, enlarged anterior cervical lymph nodes. Other findings can include a beefy, red, swollen uvula; petechiae on the palate; and a scarlatiniform rash. No finding is specific for GAS.
Box 27.1. Clinical and Epidemiologic Characteristics of Group A β-Hemolytic Streptococcal and Viral Pharyngitis.
Features Suggesting Group A β-Hemolytic Streptococcus
-
•
Sudden onset
-
•
Sore throat
-
•
Fever
-
•
Scarlet fever rash
-
•
Headache
-
•
Nausea, vomiting, and abdominal pain
-
•
Inflammation of pharynx and tonsils
-
•
Patchy discrete tonsillar exudates
-
•
Tender, enlarged anterior cervical nodes
-
•
Patient 5–15 years of age
-
•
Presentation in winter or early spring
-
•
History of exposure
Features Suggesting Viruses
-
•
Conjunctivitis
-
•
Coryza
-
•
Cough
-
•
Hoarseness
-
•
Myalgia
-
•
Diarrhea
-
•
Characteristic exanthems
Alt-text: Box 27.1
Modified from Bisno AL, Gerber MA, Gwaltney JM, et al. Practice guideline for the diagnosis and management of group A streptococcal pharyngitis. Clin Infect Dis 2002;35:113–125.
Many patients with GAS pharyngitis exhibit signs and symptoms that are milder than the classic presentation of illness. Some have bona fide GAS infection (i.e., elevated titers of ASO antibodies), whereas others are merely colonized and have an intercurrent viral infection. GAS naso-pharyngitis in infants (i.e., streptococcosis) is uncommon, and it is difficult to differentiate from viral infections because GAS nasopharyngitis can cause purulent nasal discharge and excoriated nares, and infection can occur without pharyngitis.
Scarlet fever is associated with a characteristic rash that is caused by GAS that produce a pyrogenic exotoxin (i.e., erythrogenic toxin). Scarlet fever occurs in people who lack antitoxin antibodies. Although less common and clinically less severe than in the past, the incidence of scarlet fever is cyclical, depending on the prevalence of toxin-producing strains of GAS and the immune status of the population. The modes of transmission, age distribution, and other epidemiologic features are otherwise similar to those of GAS pharyngitis.
The rash of scarlet fever appears within 24 to 48 hours of the onset of signs and symptoms and can be the first sign. The rash often begins around the neck and spreads over the trunk and extremities. It is a diffuse, finely papular (sandpaper-like), erythematous eruption that produces bright red discoloration of the skin that blanches with pressure. Involvement often is more intense along the creases in the antecubital area, axillae, and groin, and petechiae can occur along the creases (i.e., Pastia lines). The face usually is spared, although the cheeks can be erythematous with pallor around the mouth (Fig. 27.1 ). After 3 to 4 days, the rash begins to fade and is followed by fine desquamation, first on the face and progressing downward. Occasionally, sheet-like desquamation occurs around the fingernails periungually, the palms, and the soles. Pharyngeal findings are the same as with GAS pharyngitis. The tongue usually is coated, and the papillae are swollen. With desquamation, the reddened papillae are prominent, giving the tongue a strawberry appearance.
FIGURE 27.1.

The child has group A streptococcal pharyngitis and scarlatiniform rash, with characteristic circumoral pallor.
(Courtesy of J.H. Brien ©.)
There can be substantial overlap between the findings of scarlet fever and Kawasaki disease. Lack of response to antibiotic therapy for suspected scarlet fever should prompt consideration of Kawasaki disease.
Viruses
Clinical findings such as conjunctivitis, cough, hoarseness, coryza, anterior stomatitis, discrete ulcerative lesions, viral exanthema, myalgia, and diarrhea suggest a virus rather than GAS as the cause of acute pharyngitis (see Box 27.1).
Adenovirus pharyngitis typically is associated with fever, erythema of the pharynx, enlarged tonsils with exudate, and enlarged cervical lymph nodes. Adenoviral pharyngitis can be associated with conjunctivitis, which is referred to as pharyngoconjunctival fever. Adenovirus pharyngitis can persist for up to 7 days and conjunctivitis up to 14 days, after which both resolve spontaneously. Outbreaks of pharyngoconjunctival fever have been associated with transmission in swimming pools. Widespread epidemics and sporadic cases also occur.
Enteroviruses (i.e., coxsackievirus, echovirus, and enteroviruses) are associated with erythematous pharyngitis, but tonsillar exudate and cervical lymphadenopathy are unusual. Fever can be prominent. Resolution usually occurs within a few days. Herpangina is a specific syndrome caused by coxsackieviruses A or B or echoviruses. It is characterized by fever and painful, discrete, grey-white papulovesicular or ulcerative lesions on an erythematous base in the posterior oropharynx (Fig. 27.2 ). Hand-foot-and-mouth disease is characterized by painful vesicles and ulcers throughout the oropharynx associated with vesicles on the palms, soles, and sometimes on the trunk or extremities. Enteroviral lesions usually resolve within 7 days.
FIGURE 27.2.

The child has posterior pharyngeal, grey-white, papulovesicular lesions characteristic of enteroviral herpangina.
(Courtesy of J.H. Brien ©.)
Primary oral HSV infections usually occur in young children and typically produce acute gingivostomatitis associated with ulcerating vesicular lesions throughout the anterior mouth and lips, sparing the posterior pharynx. HSV gingivostomatitis can last up to 2 weeks and often is associated with high fever. Pain can be intense, and poor oral intake can lead to dehydration. In adolescents and adults, HSV also can cause mild pharyngitis that may or may not be associated with typical vesicular, ulcerating lesions.
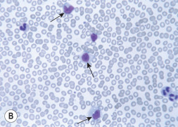
EBV pharyngitis during infectious mononucleosis can be severe, with oral clinical findings identical to those of GAS pharyngitis (Fig. 27.3A ). Generalized lymphadenopathy and hepatosplenomegaly also can occur. Posterior cervical lymphadenopathy and presternal and periorbital edema are distinctive findings. Fever and pharyngitis typically last 1 to 3 weeks, whereas the lymphadenopathy and hepatosplenomegaly resolve over 3 to 6 weeks. Laboratory findings include atypical lymphocytosis (see Fig. 27.3B), heterophile antibodies, viremia (detected by polymerase chain reaction [PCR] methods), and specific antibodies to EBV antigens. If amoxicillin has been given, an intense maculopapular rash often occurs (see Fig. 27.3C).
FIGURE 27.3.



(A) Pharyngeal erythema and exudate due to Epstein-Barr virus (EBV) infection. (B) Peripheral blood smear shows atypical lymphocytes (arrows) in a patient with EBV mononucleosis. Notice the abundant cytoplasm with vacuoles and deformation of cell by surrounding cells. (C) Diffuse. erythematous. raised rash on an adolescent with EBV mononucleosis who received amoxicillin. Notice the predominance of exanthem on the trunk and coalescence of lesions.
(Courtesy of J.H. Brien ©.)
Other Bacteria
A. haemolyticum pharyngitis can resemble GAS pharyngitis, including a scarlatiniform rash. Rarely, A. haemolyticum can produce a membranous pharyngitis that can be confused with diphtheria.
Pharyngeal diphtheria is characterized by a greyish brown pseudomembrane that can be limited to one or both tonsils or can extend widely to involve the nares, uvula, soft palate, pharynx, larynx, and tracheobronchial tree. Involvement of the tracheobronchial tree can lead to life-threatening respiratory obstruction. Soft tissue edema and prominent cervical and submental lymphadenopathy can cause a bull-neck appearance.
F. necrophorum can be the cause of pharyngitis in 10% to 20% of adolescents and young adults.3, 11, 12 F. necrophorum appears to cause the typical signs of bacterial pharyngitis (i.e., high fever, odynophagia, lymphadenopathy, and exudative tonsillitis) and can cause concomitant bacteremia.13 The frequency of progression from tonsillitis to Lemierre syndrome is unknown.
Diagnosis
Distinguishing between GAS and viral pharyngitis is key to management in US practice. Scoring systems that incorporate clinical and epidemiologic features attempt to predict the probability that the illness is caused by GAS.14, 15 Clinical scoring systems are best aimed to identify individuals at such low risk of GAS infection that a throat culture or RADT usually is unnecessary. In a 2012 systematic review of 34 articles with individual symptoms and signs of pharyngitis assessed and 15 articles with data on prediction rules, no individual or combined symptoms or signs allowed formation of guidelines that could be used to diagnose GAS pharyngitis with a probability of 85% or higher.16 Similarly, a 2015 review found a range of probability from 64% to 87%. The guidelines from the Infectious Diseases Society of America (IDSA),17 the American Academy of Pediatrics (AAP),18 and the American Heart Association (AHA)19 require microbiologic confirmation with a throat culture or RADT for the diagnosis of GAS pharyngitis.
The decision to perform a microbiologic test on a child or adolescent with acute pharyngitis should be based on the clinical and epidemiologic characteristics of the illness (see Box 27.1). A history of close contact with a documented case of GAS pharyngitis or high prevalence of GAS in the community also can be helpful. More selective use of diagnostic studies for GAS can increase the proportion of positive test results and the tests' positive predictive value (i.e., percentage of patients with positive tests who are infected rather than merely colonized with GAS).
Because adults infrequently are infected with GAS and rarely develop rheumatic fever, in 2001, the Centers for Disease Control and Prevention (CDC), American Academy of Family Physicians (AAFP), and the American College of Physicians with the American Society of Internal Medicine (ACP-ASIM) recommended the use of a clinical algorithm without microbiologic confirmation as an acceptable approach to the diagnosis of GAS pharyngitis in adults only.20 Although the goal of this algorithm-based strategy was to reduce the inappropriate use of antibiotics, a study intended to assess the impact of six different guidelines on the identification and treatment of GAS pharyngitis in children and adults21 found that selective use of RADTs with or without throat culture and treatment based only on positive test results significantly reduced the inappropriate use of antibiotics in adults. In contrast, the empiric strategy proposed in the CDC, AAFP, and ACP-ASIM guidelines resulted in the administration of unnecessary antibiotics to an unacceptably large number of adults. Diagnosis of adults only by symptom complex therefore has been discouraged in the latest AHA scientific statement.19 The ACP-ASIM guideline has been inactivated, and the CDC now recommends diagnostic testing for adults who have symptoms consistent with GAS pharyngitis.22
Throat Culture
Culture on sheep blood agar of a specimen obtained by throat swab is the standard laboratory procedure for the microbiologic confirmation of GAS pharyngitis.23 If performed correctly, a throat culture has a sensitivity of 90% to 95%.24 A negative result can occur if the patient has received an antibiotic before sampling.
Several variables affect the accuracy of throat culture results. One of the most important is the manner in which the specimen is obtained.25, 26 The surface of both tonsils or tonsillar fossae and the posterior pharyngeal wall should be swabbed. Other areas of the pharynx and mouth (e.g., anterior mucosa, tongue, saliva) are not acceptable sampling sites and should not be touched during the procedure.
Anaerobic incubation and the use of selective culture media can increase the sensitivity of throat cultures for GAS recovery.27, 28 However, data regarding the impact of the atmosphere of incubation and the culture media are conflicting, and in the absence of definite benefit, the increased cost and effort associated with anaerobic incubation and selective culture media are difficult to justify.28, 29, 30, 31
Duration of incubation can impact the yield of throat cultures. Cultures should be incubated at 35°C to 37°C for at least 18 to 24 hours before reading. Additional overnight incubation at room temperature, however, identifies substantially more positive cultures. In a study of patients with pharyngitis and negative RADT results, 40% of positive GAS cultures were negative after 24 hours of incubation but positive after 48 hours.32 Although initial therapeutic decisions can be guided by negative results at 24 hours, it is advisable to wait 48 hours for definitive results.
The clinical significance of the number of colonies of GAS growing on inoculated agar is controversial. Although the density of bacteria is likely to be greater for patients with bona fide acute GAS pharyngitis than for GAS carriers, there is too much overlap in the colony counts to permit differentiation on the basis of colony density.29
The bacitracin disk test is the most widely used direct microbiologic method for the differentiation of GAS from other β-hemolytic streptococci using growth on sheep blood agar. Presumptive identification is based on the observation that more than 95% of GAS demonstrate a zone of inhibition around a disk containing 0.04 units of bacitracin, whereas 83% to 97% of non-GAS are not inhibited by bacitracin.29 An alternative and highly specific method for the differentiation of β-hemolytic streptococci is a commercially available, group-specific cell wall carbohydrate antigen detection test applied directly to isolated colonies. Additional expense for the minimal improvement in accuracy may not be justified.29
Rapid Antigen Detection Tests and Nucleic Acid Detection
RADTs developed for the identification of GAS directly from throat swabs are more expensive than blood agar cultures, but they offer speed in providing results. Rapid identification and treatment of patients with GAS pharyngitis can reduce the risk of the spread of GAS, speed clinical improvement, and allow the patient to return to school or work sooner.24, 33 In certain environments (e.g., emergency departments), the use of RADTs compared with throat cultures significantly increased the number of patients appropriately treated for GAS pharyngitis.34, 35
Most RADTs have specificities of 95% or higher compared with blood agar cultures.36 Therapeutic decisions can be made with confidence on the basis of a positive RADT result. However, the sensitivity of RADTs is between 70% and 90%.36 Two large meta-analyses, which pooled 55,766 and 23,934 patients, concluded that modern RADTs had a sensitivity in children of 86%.37, 38 Although some patients with positive RADT results merely are GAS carriers, a large proportion are infected with GAS.39
The first RADTs used latex agglutination methodology, were relatively insensitive, and had unclear end points.36 Subsequent tests based on enzyme immunoassay techniques had a more sharply defined end point and increased sensitivity. RADTs using optical immunoassay (OIA), bead concentration of antigens and fluorescent detection, and chemiluminescent DNA probes may be more sensitive than other RADTs, perhaps as sensitive as blood agar plate cultures,36, 40 but because most rapid detection is done by RADTs with marginal sensitivity, advisory groups still recommend a confirmatory blood agar culture for children and adolescents who are suspected on clinical grounds of having GAS pharyngitis and have a negative RADT result. Because of the higher sensitivity of RADTs for adults than children,38 the IDSA allows for an exclusion of GAS pharyngitis based on a negative RADT result alone, although physicians may continue to use throat culture to achieve maximal sensitivity.17
Although nucleic acid detection has superior sensitivity compared with RADT and has sensitivity similar to culture in most circumstances,41, 42 clinical results may not be faster than culture. Although faster technologies are becoming available, with nucleic acid detection in 8 minutes in point-of-care tests,43 the high cost of new technologies may limit their practical use in primary care settings.
Culture, RADT, and nucleic acid amplification tests cannot accurately differentiate individuals with GAS pharyngitis from carriers. However, definitive testing facilitates nontreatment of most patients (i.e., those without GAS). An estimated 12 to 15 million provider visits for sore throat occur each year in the United States. Antimicrobial therapy historically was prescribed at 60% to 73% of these visits.2, 44 Education can reduce the prescription of antibiotics for children and adolescents with pharyngitis.45, 46 One study documented an overall decrease in prescriptions for children with pharyngitis from 65% in 1998 to 56% in 2010, although the decrease in penicillin prescriptions was offset by an increase in macrolide prescriptions.2
Follow-Up Testing
Most asymptomatic people who have a positive throat culture or RADT result after completing a course of appropriate antimicrobial therapy for GAS pharyngitis are GAS carriers,47 and routine follow-up testing is not indicated. Follow-up throat culture or RADT for asymptomatic individuals should be performed only for those with a history of rheumatic fever and should be considered in patients who develop acute pharyngitis during outbreaks of acute rheumatic fever or poststreptococcal acute glomerulonephritis and for individuals in closed or semiclosed communities during outbreaks of GAS pharyngitis.47
Other Diagnostic Considerations
Antistreptococcal antibody titers have no value in the diagnosis of acute GAS pharyngitis, but they are useful in prospective epidemiologic studies to differentiate true GAS infections from GAS carriage. Antistreptococcal antibodies are valuable for confirmation of prior GAS infection in patients suspected of having acute rheumatic fever or other nonsuppurative complications.
The need to definitively diagnose non-GAS causes of pharyngitis occurs rarely and usually only in those who are very ill or have prolonged symptoms. A. haemolyticum is not identified using standard culture methods intended to identify only GAS and requires the use of standard respiratory culture methods. N. gonorrhoeae can be identified by using selective agar growth media or nucleic acid amplification tests. EBV is routinely diagnosed using the heterophile antibody (i.e., monospot), but low sensitivity in younger children necessitates the use of specific antibody testing or serum PCR methods. Other common viruses such as HSV, adenoviruses, and enteroviruses can be identified in general viral cultures or by PCR, or both.
Pursuit of diagnosis of F. necrophorum pharyngitis is controversial.3 Isolation of this anaerobe requires special laboratory techniques, or detection requires use of molecular techniques. There are no data that treatment of F. necrophorum pharyngitis hastens symptomatic relief or prevents Lemierre disease.
Treatment
Antimicrobial therapy is indicated for individuals with symptomatic pharyngitis when GAS is confirmed by RADT or culture.17 When the clinical and epidemiologic findings strongly suggest GAS, antimicrobial therapy can be initiated while awaiting microbiologic confirmation, provided that therapy is discontinued if the RADT result or culture is negative.
Antimicrobial therapy for GAS pharyngitis shortens the clinical course of the illness.33 However, GAS pharyngitis usually is self-limited, and most signs and symptoms resolve spontaneously within 3 or 4 days of onset.48 Initiation of antimicrobial therapy can be delayed for up to 9 days after the onset of GAS pharyngitis and still prevent the occurrence of acute rheumatic fever.49
Antimicrobial Agents
Penicillin and its congeners (e.g., ampicillin, amoxicillin) and numerous cephalosporins, macrolides, and clindamycin are effective treatment for GAS pharyngitis. Several advisory groups have recommended penicillin as the treatment of choice.17, 18 GAS has remained exquisitely susceptible to β-lactam agents over 5 decades.17, 18, 50 Amoxicillin often is used because of the acceptable taste of the suspension, although efficacy appears to equal penicillin. Orally administered clarithromycin and azithromycin also are effective (discussed later). Sulfa drugs, including trimethoprim-sulfamethoxazole, and tetracyclines are not effective and should not be used to treat GAS pharyngitis.
On the basis of a meta-analysis of 35 clinical trials completed between 1970 and 1999 in which a cephalosporin was compared with penicillin for the treatment of GAS tonsillopharyngitis, authors concluded that cephalosporins should be the treatment of choice for GAS tonsillopharyngitis.51 However, several methodologic flaws (notably the inclusion of GAS carriers) led to controversy regarding this conclusion.52 Indirect evidence of the superiority of cephalosporins over penicillins to prevent treatment failures and relapses continues to appear.53, 54, 55 However, there has not been a prospective study to clarify the issue beyond doubt, and eradication of the carrier state confounds many studies. Although the use of cephalosporins for GAS pharyngitis could reduce the number of people (especially chronic carriers) who harbor GAS after completing therapy, empiric first-line use would be associated with substantial economic cost and risk for increased antimicrobial resistance without substantial benefit. There are compelling reasons (e.g., narrow antimicrobial spectrum, low cost, impressive safety profile) to continue to use penicillin as the drug of choice for uncomplicated GAS pharyngitis.
Dosing Intervals and Duration of Therapy
Oral penicillin must be administered many times each day for 10 days to achieve maximal rates of GAS eradication. Attempts to treat GAS pharyngitis with a single daily dose of penicillin have been unsuccessful.56 Reduced frequency of dosing and shorter treatment courses (<10 days) may result in better patient adherence to therapy. Several antimicrobial agents, including clarithromycin, cefuroxime, cefixime, ceftibuten, cefdinir, and cefpodoxime, are effective in GAS eradication when administered for 5 days or less,57, 58, 59, 60, 61, 62 and effective eradication with once-daily dosing has been described for amoxicillin, azithromycin, cefadroxil, cefixime, ceftibuten, cefpodoxime, cefprozil, and cefdinir.18, 58, 61, 63, 64, 65, 66
However, the end points of these studies typically are eradication of GAS, not symptomatic improvement or prevention of rheumatic fever, which are the two main clinical reasons for treatment. Many agents have a broader spectrum of activity and, even when administered for short courses, can be more expensive than standard therapy.58 Additional studies are needed before these short-course or once-daily dosing regimens can be recommended routinely over penicillin.
Table 27.2 gives recommendations for several regimens with proven efficacy for GAS pharyngitis.14, 18 Intramuscular benzathine penicillin G is preferred in patients unlikely to complete a full 10-day course of oral therapy.
TABLE 27.2.
Antimicrobial Therapy for Group A β-Hemolytic Streptococcal Pharyngitis
| Antimicrobial Agent | Dosage | Duration |
|---|---|---|
| ORAL ADMINISTRATION | ||
| Penicillin | Children: 250 mg bid or tid | 10 days |
| Adolescents and adults: 250 mg tid or qid | 10 day | |
| Adolescents and adults: 500 mg bid | 10 days | |
| Erythromycina | Varies with formulation | 10 days |
| First-generation cephalosporinsa, b | Varies with agent | 10 days |
| INTRAMUSCULAR ADMINISTRATION | ||
| Benzathine penicillin G | 600,000 U (for patients ≤27 kg) | 1 dose |
| 1.2 million U (for patients >27 kg) | 1 dose | |
| Mixtures of benzathine and procaine penicillin G | Varies with formulationc | — |
bid, Twice daily; qid, four times daily; tid, three times daily.
For patients allergic to penicillin.
These agents should not be used to treat patients with immediate-type hypersensitivity to β-lactam antibiotics.
Dose should be determined on basis of benzathine component.
Macrolide and Lincosamide Resistance
Although GAS resistance to penicillin has not occurred anywhere in the world,67 there are geographic areas with relatively high levels of resistance to macrolide antibiotics.68, 69 The average macrolide resistance in a US multicenter study in 2002 was 6.1% (range, 3%–8.7%).70 A prospective, multicenter, US community–based surveillance study of pharyngeal GAS isolates recovered from children 3 to 18 years of age during three successive respiratory seasons between 2000 and 2003 found macrolide resistance of less than 5% and clindamycin resistance of 1% and found no evidence of increasing erythromycin minimum inhibitory concentrations over the 3-year study period.71 There was, however, considerable geographic variation in macrolide resistance rates in each study year and year-to-year variation at individual study sites.
Higher resistance rates have been reported occasionally. For example, 9% of pharyngeal and 32% of invasive GAS strains collected in a San Francisco study during 1994 to 1995 were macrolide resistant.72 During a longitudinal investigation of GAS disease in a single elementary school in Pittsburgh, investigators found that 48% of isolates of GAS collected between 2000 and 2001 were resistant to erythromycin; none was resistant to clindamycin.73 Molecular typing indicated that this outbreak was caused by a single strain of GAS. Clinicians should be aware of local rates of resistance and the risk of changes in a short period.
Other Treatment Considerations
There is no evidence from controlled studies to guide therapy of acute pharyngitis when β-hemolytic group C or group G streptococci are isolated. If a physician elects to treat, the regimen should be similar to that for GAS pharyngitis, with penicillin as the antimicrobial agent of choice.10
Acyclovir treatment of HSV gingivostomatitis initiated within 72 hours of the onset of symptoms shortens the duration of illness.74 Although use of antiviral medications for primary EBV pharyngitis can interrupt viral replication temporarily, symptomatic relief is negligible and does not justify the use of acyclovir.
Corticosteroids are recommended for EBV pharyngitis only when tonsillar enlargement threatens airway patency or for other systemic disease such as myocarditis or massive splenomegaly.18 Several reviews (including a 2012 Cochrane review) of heterogeneous studies of the use of corticosteroids for GAS and non-GAS pharyngitis found a small but measurable benefit in pain reduction, especially when initiated early in the course of severe illness.75, 76, 77, 78, 79 However, an increase in deep neck infections has been temporally associated with increased use of anti-inflammatory medications, including corticosteroids, for pharyngitis.80 The modest and short-lived benefit of treatment must be weighed against the potential for harm. Use of corticosteroids for pharyngitis is not recommended by the AAP or IDSA.17
Treatment Failures, Chronic Carriage, and Recurrences
Antimicrobial treatment failure of GAS pharyngitis can be classified as clinical or bacteriologic failure. The significance of clinical treatment failure (i.e., persistent or recurrent signs or symptoms suggesting GAS pharyngitis) is difficult to determine without repeated isolation of the infecting strain of GAS (i.e., true bacteriologic treatment failure).
Bacteriologic treatment failures can be further classified as true or apparent. True bacteriologic failure refers to the inability to eradicate the specific strain of GAS causing an acute episode of pharyngitis with a complete course of appropriate antimicrobial therapy. In the absence of penicillin resistance, the following factors have been suggested but not established definitively as causes: penicillin tolerance (i.e., discordance between the concentration of penicillin required to inhibit and to kill the organisms)81, 82; enhancement of colonization and growth of GAS by pharyngeal flora or inactivation of penicillin by production of β-lactamases67; and resistance of intracellular organisms to antimicrobial killing.83
Apparent bacteriologic failure can occur when newly acquired GAS isolates are mistaken for the original infecting strain, when the infecting strain of GAS is eradicated but then is rapidly reacquired, or when adherence to antimicrobial therapy is poor. However, most bacteriologic treatment failures are manifestations of the GAS carrier state. Chronic carriers have no clinical illness or immunologic response to the organism, can be colonized for 6 to 12 months or longer, are unlikely to spread GAS to close contacts, and are at very low or no risk for developing suppurative or nonsuppurative complications.84, 85
During the winter and spring in temperate climates, as many as 20% of asymptomatic school-aged children carry GAS.84 GAS carriers should not be sought or given antimicrobial therapy; the primary approach to the suspected or confirmed carrier is reassurance. A throat culture or RADT should be performed if the patient has symptoms and signs suggesting GAS pharyngitis but should be avoided when symptoms are more typical of viral illnesses (see Box 27.1). Each clinical episode confirmed with a positive culture or RADT should be treated. Identification and eradication of the streptococcal carrier state are desirable in rare specific situations. When antimicrobial therapy is employed, oral clindamycin (30 mg/kg/day up to 900 mg, divided into 3 doses) for 10 days is preferred, but intramuscular benzathine penicillin (alone or in combination with procaine penicillin) plus oral rifampin (20 mg/kg/day divided into 2 doses; maximum dose of 300 mg for 4 days beginning on the day of the penicillin injection86) also is effective. Chronic carriage can recur on re-exposure to GAS.
In a patient with symptoms suggesting GAS after treatment, a throat culture or RADT usually is performed. If the result is positive, many clinicians elect to administer a second course of penicillin therapy.
The patient with repeated episodes of acute pharyngitis associated with a positive throat culture or RADT result is a common and difficult problem for the practicing physician. The fundamental question is whether the patient is experiencing repeated episodes of GAS pharyngitis or is a GAS carrier experiencing repeated episodes of viral pharyngitis. The latter situation is by far the more common.
The patient is likely to be a GAS carrier if: (1) clinical and epidemiologic findings suggest a viral cause, (2) there is little clinical response to appropriate antimicrobial therapy, (3) the throat culture or RADT result is positive between episodes of pharyngitis, and (4) there is no serologic response to GAS extracellular antigen (e.g., ASO, anti-deoxyribonuclease B). In contrast, the patient with repeated episodes of acute pharyngitis associated with positive throat cultures or RADT results is likely to be experiencing repeated episodes of GAS pharyngitis if (1) clinical and epidemiologic findings suggest GAS pharyngitis, (2) there is a demonstrable clinical response to appropriate antimicrobial therapy, (3) the throat culture or RADT result is negative between episodes of pharyngitis, and (4) there is a serologic response to GAS extracellular antigens.
If it is determined that the patient is experiencing repeated episodes of true GAS pharyngitis, some physicians have suggested use of oral penicillin V prophylactically. However, the efficacy of this regimen has not been proved, and antimicrobial prophylaxis is not recommended except to prevent recurrences of rheumatic fever in patients who have experienced a previous episode of rheumatic fever. Tonsillectomy may be considered in the rare patient whose symptomatic episodes do not diminish in frequency over time and in whom no alternative explanation for the recurrent GAS pharyngitis is evident. However, tonsillectomy has been beneficial for a relatively small group of these patients, and any benefit is relatively short lived.87, 88 A 2014 Cochrane review found that children who had tonsillectomy had 3 episodes of sore throat in the first year after surgery compared with 3.6 episodes per year for those who did not have tonsillectomy and that children with more severe or more frequent episodes received the largest benefit.89
Complications
GAS pharyngitis can be associated with suppurative and nonsuppurative complications (see Chapter 118). Suppurative complications result from the spread of GAS to adjacent structures and include peritonsillar abscess, parapharyngeal and retropharyngeal abscess, cervical lymphadenitis, sinusitis, otitis media, and mastoiditis. Before antimicrobial agents were available, suppurative complications of GAS pharyngitis were common, but antimicrobial therapy has greatly reduced the frequency of these complications.
All references are available online at www.expertconsult.com .
Key References
- 3.Centor RM, Atkinson TP, Ratliff AE. The clinical presentation of Fusobacterium-positive and streptococcal-positive pharyngitis in a university health clinic: a cross-sectional study. Ann Intern Med. 2015;162:241–247. doi: 10.7326/M14-1305. [DOI] [PubMed] [Google Scholar]
- 17.Shulman ST, Bisno AL, Clegg HW. Clinical practice guideline for the diagnosis and management of group A streptococcal pharyngitis: 2012 update by the Infectious Diseases Society of America. Clin Infect Dis. 2012;55:e86–e102. doi: 10.1093/cid/cis629. [DOI] [PMC free article] [PubMed] [Google Scholar]
- 18.American Academy of Pediatrics . Group A streptococcal infections. In: Kimberin D, Brady M, Jackson M, Long S, editors. Red Book: Report of the Committee on Infectious Diseases. 30th ed. American Academy of Pediatrics; Elk Grove Village, IL: 2015. pp. 616–628. [Google Scholar]
- 22.U.S. Centers for Disease Control and Prevention Acute Pharyngitis in Adults. http://www.cdc.gov/getsmart/community/materials-references/print-materials/hcp/adult-acute-pharyngitis.pdf
- 37.Lean WL, Arnup S, Danchin M, Steer AC. Rapid diagnostic tests for group A streptococcal pharyngitis: a meta-analysis. Pediatrics. 2014;134:771–781. doi: 10.1542/peds.2014-1094. [DOI] [PubMed] [Google Scholar]
- 38.Stewart EH, Davis B, Clemans-Taylor BL. Rapid antigen group A Streptococcus test to diagnose pharyngitis: a systematic review and meta-analysis. PLoS ONE. 2014;9:e111727. doi: 10.1371/journal.pone.0111727. [DOI] [PMC free article] [PubMed] [Google Scholar]
- 55.van Driel ML, De Sutter AI, Keber N. Different antibiotic treatments for group A streptococcal pharyngitis. Cochrane Database Syst Rev. 2013;(4) doi: 10.1002/14651858.CD004406.pub3. CD004406. [DOI] [PubMed] [Google Scholar]
- 80.Demeslay J, De Bonnecaze G, Vairel B. Possible role of anti-inflammatory drugs in complications of pharyngitis. A retrospective analysis of 163 cases. Eur Ann Otorhinolaryngol Head Neck Dis. 2014;131:299–303. doi: 10.1016/j.anorl.2013.08.005. [DOI] [PubMed] [Google Scholar]
- 89.Burton MJ, Glasziou PP, Chong LY, Venekamp RP. Tonsillectomy oradenotonsillectomy versus non-surgical treatment for chronic/recurrent acute tonsillitis. Cochrane Database Syst Rev. 2014;(11) doi: 10.1002/14651858.CD001802.pub3. CD001802. [DOI] [PMC free article] [PubMed] [Google Scholar]
References
- 1.Woodwell D. Office visits to pediatric specialists, 1989. Adv Data. 1992:1–9. [PubMed] [Google Scholar]
- 2.Dooling KL, Shapiro DJ, Van Beneden C. Overprescribing and inappropriate antibiotic selection for children with pharyngitis in the United States, 1997–2010. JAMA Pediatr. 2014;168:1073–1074. doi: 10.1001/jamapediatrics.2014.1582. [DOI] [PubMed] [Google Scholar]
- 3.Centor RM, Atkinson TP, Ratliff AE. The clinical presentation of Fusobacterium-positive and streptococcal-positive pharyngitis in a university health clinic: a cross-sectional study. Ann Intern Med. 2015;162:241–247. doi: 10.7326/M14-1305. [DOI] [PubMed] [Google Scholar]
- 4.Jensen A, Hagelskjaer Kristensen L, Prag J. Detection of Fusobacterium necrophorum subsp. funduliforme in tonsillitis in young adults by real-time PCR. Clin Microbiol Infect. 2007;13:695–701. doi: 10.1111/j.1469-0691.2007.01719.x. [DOI] [PubMed] [Google Scholar]
- 5.Fretzayas A, Moustaki M, Kitsiou S. The clinical pattern of group C streptococcal pharyngitis in children. J Infect Chemother. 2009;15:228–232. doi: 10.1007/s10156-009-0694-8. [DOI] [PubMed] [Google Scholar]
- 6.Meier FA, Centor RM, Graham L, Jr, Dalton HP. Clinical and microbiological evidence for endemic pharyngitis among adults due to group C streptococci. Arch Intern Med. 1990;150:825–829. [PubMed] [Google Scholar]
- 7.Turner JC, Hayden FG, Lobo MC. Epidemiologic evidence for Lancefield group C beta-hemolytic streptococci as a cause of exudative pharyngitis in college students. J Clin Microbiol. 1997;35:1–4. doi: 10.1128/jcm.35.1.1-4.1997. [DOI] [PMC free article] [PubMed] [Google Scholar]
- 8.Arditi M, Shulman ST, Davis AT, Yogev R. Group C beta-hemolytic streptococcal infections in children: nine pediatric cases and review. Rev Infect Dis. 1989;11:34–45. doi: 10.1093/clinids/11.1.34. [DOI] [PubMed] [Google Scholar]
- 9.Gerber MA, Randolph MF, Martin NJ. Community-wide outbreak of group G streptococcal pharyngitis. Pediatrics. 1991;87:598–603. [PubMed] [Google Scholar]
- 10.Gerber MA. Non-group A or B streptococci. In: Behrman RE, Jenson HB, editors. Nelson Textbook of Pediatrics. 17th ed. Saunders; Philadelphia: 2004. pp. 883–884. [Google Scholar]
- 11.Eaton C, Swindells J. The significance and epidemiology of Fusobacterium necrophorum in sore throats. J Infect. 2014;69:194–196. doi: 10.1016/j.jinf.2014.03.005. [DOI] [PubMed] [Google Scholar]
- 12.Centor RM. Expand the pharyngitis paradigm for adolescents and young adults. Ann Intern Med. 2009;151:812–815. doi: 10.7326/0003-4819-151-11-200912010-00011. [DOI] [PubMed] [Google Scholar]
- 13.Centor RM, Geiger P, Waites KB. Fusobacterium necrophorum bacteremic tonsillitis: 2 cases and a review of the literature. Anaerobe. 2010;16:626–628. doi: 10.1016/j.anaerobe.2010.08.005. [DOI] [PubMed] [Google Scholar]
- 14.Attia MW, Zaoutis T, Klein JD, Meier FA. Performance of a predictive model for streptococcal pharyngitis in children. Arch Pediatr Adolesc Med. 2001;155:687–691. doi: 10.1001/archpedi.155.6.687. [DOI] [PubMed] [Google Scholar]
- 15.Wald ER, Green MD, Schwartz B, Barbadora K. A streptococcal score card revisited. Pediatr Emerg Care. 1998;14:109–111. doi: 10.1097/00006565-199804000-00005. [DOI] [PubMed] [Google Scholar]
- 16.Shaikh N, Leonard E, Martin JM. Prevalence of streptococcal pharyngitis and streptococcal carriage in children: a meta-analysis. Pediatrics. 2010;126:e557–e564. doi: 10.1542/peds.2009-2648. [DOI] [PubMed] [Google Scholar]
- 17.Shulman ST, Bisno AL, Clegg HW. Clinical practice guideline for the diagnosis and management of group A streptococcal pharyngitis: 2012 update by the Infectious Diseases Society of America. Clin Infect Dis. 2012;55:e86–e102. doi: 10.1093/cid/cis629. [DOI] [PMC free article] [PubMed] [Google Scholar]
- 18.American Academy of Pediatrics . Group A streptococcal infections. In: Kimberin D, Brady M, Jackson M, Long S, editors. Red Book: Report of the Committee on Infectious Diseases. 30th ed. American Academy of Pediatrics; Elk Grove Village, IL: 2015. pp. 616–628. [Google Scholar]
- 19.Gerber MA, Baltimore RS, Eaton CB. Prevention of rheumatic fever and diagnosis and treatment of acute streptococcal pharyngitis: a scientific statement from the American Heart Association Rheumatic Fever, Endocarditis, and Kawasaki Disease Committee of the Council on Cardiovascular Disease in the Young, the Interdisciplinary Council on Functional Genomics and Translational Biology, and the Interdisciplinary Council on Quality of Care and Outcomes Research: endorsed by the American Academy of Pediatrics. Circulation. 2009;119:1541–1551. doi: 10.1161/CIRCULATIONAHA.109.191959. [DOI] [PubMed] [Google Scholar]
- 20.Snow V, Mottur-Pilson C, Cooper RJ, Hoffman JR. Principles of appropriate antibiotic use for acute pharyngitis in adults. Ann Intern Med. 2001;134:506–508. doi: 10.7326/0003-4819-134-6-200103200-00018. [DOI] [PubMed] [Google Scholar]
- 21.McIsaac WJ, Kellner JD, Aufricht P. Empirical validation of guidelines for the management of pharyngitis in children and adults. JAMA. 2004;291:1587–1595. doi: 10.1001/jama.291.13.1587. [DOI] [PubMed] [Google Scholar]
- 22.U.S. Centers for Disease Control and Prevention Acute Pharyngitis in Adults. http://www.cdc.gov/getsmart/community/materials-references/print-materials/hcp/adult-acute-pharyngitis.pdf
- 23.Breese BB, Disney FA. The accuracy of diagnosis of beta streptococcal infections on clinical grounds. J Pediatr. 1954;44:670–673. doi: 10.1016/s0022-3476(54)80008-4. [DOI] [PubMed] [Google Scholar]
- 24.Gerber MA. Comparison of throat cultures and rapid strep tests for diagnosis of streptococcal pharyngitis. Pediatr Infect Dis J. 1989;8:820–824. doi: 10.1097/00006454-198911000-00032. [DOI] [PubMed] [Google Scholar]
- 25.Brien JH, Bass JW. Streptococcal pharyngitis: optimal site for throat culture. J Pediatr. 1985;106:781–783. doi: 10.1016/s0022-3476(85)80354-1. [DOI] [PubMed] [Google Scholar]
- 26.Gunn B, Mesrobian R, Keiser J. Cultures of Streptococcus pyogenes from the oropharynx. Lab Med. 1985;16:369–371. [Google Scholar]
- 27.Lauer BA, Reller LB, Mirrett S. Effect of atmosphere and duration of incubation on primary isolation of group A streptococci from throat cultures. J Clin Microbiol. 1983;17:338–340. doi: 10.1128/jcm.17.2.338-340.1983. [DOI] [PMC free article] [PubMed] [Google Scholar]
- 28.Schwartz RH, Gerber MA, McCoy P. Effect of atmosphere of incubation on the isolation of group A streptococci from throat cultures. J Lab Clin Med. 1985;106:88–92. [PubMed] [Google Scholar]
- 29.Gerber MA. Diagnosis of pharyngitis: methodology of throat cultures. In: Shulman S, editor. Pharyngitis: Management in an Era of Declining Rheumatic Fever. Praeger; New York: 1984. pp. 61–72. [Google Scholar]
- 30.Kellogg JA, Manzella JP. Detection of group A streptococci in the laboratory or physician's office. Culture vs antibody methods. JAMA. 1986;255:2638–2642. [PubMed] [Google Scholar]
- 31.Roddey OF, Jr, Clegg HW, Martin ES. Comparison of throat culture methods for the recovery of group A streptococci in a pediatric office setting. JAMA. 1995;274:1863–1865. [PubMed] [Google Scholar]
- 32.Armengol CE, Schlager TA, Hendley JO. Sensitivity of a rapid antigen detection test for group A streptococci in a private pediatric office setting: answering the Red Book's request for validation. Pediatrics. 2004;113:924–926. doi: 10.1542/peds.113.4.924. [DOI] [PubMed] [Google Scholar]
- 33.Randolph MF, Gerber MA, DeMeo KK, Wright L. Effect of antibiotic therapy on the clinical course of streptococcal pharyngitis. J Pediatr. 1985;106:870–875. doi: 10.1016/s0022-3476(85)80228-6. [DOI] [PubMed] [Google Scholar]
- 34.Lieu TA, Fleisher GR, Schwartz JS. Clinical evaluation of a latex agglutination test for streptococcal pharyngitis: performance and impact on treatment rates. Pediatr Infect Dis J. 1988;7:847–854. [PubMed] [Google Scholar]
- 35.Ayanruoh S, Waseem M, Quee F. Impact of rapid streptococcal test on antibiotic use in a pediatric emergency department. Pediatr Emerg Care. 2009;25:748–750. doi: 10.1097/PEC.0b013e3181bec88c. [DOI] [PubMed] [Google Scholar]
- 36.Gerber MA, Shulman ST. Rapid diagnosis of pharyngitis caused by group A streptococci. Clin Microbiol Rev. 2004;17:571–580. doi: 10.1128/CMR.17.3.571-580.2004. [DOI] [PMC free article] [PubMed] [Google Scholar]
- 37.Lean WL, Arnup S, Danchin M, Steer AC. Rapid diagnostic tests for group A streptococcal pharyngitis: a meta-analysis. Pediatrics. 2014;134:771–781. doi: 10.1542/peds.2014-1094. [DOI] [PubMed] [Google Scholar]
- 38.Stewart EH, Davis B, Clemans-Taylor BL. Rapid antigen group A Streptococcus test to diagnose pharyngitis: a systematic review and meta-analysis. PLoS ONE. 2014;9:e111727. doi: 10.1371/journal.pone.0111727. [DOI] [PMC free article] [PubMed] [Google Scholar]
- 39.Gerber MA, Randolph MF, Chanatry J. Antigen detection test for streptococcal pharyngitis: evaluation of sensitivity with respect to true infections. J Pediatr. 1986;108:654–658. doi: 10.1016/s0022-3476(86)81036-8. [DOI] [PubMed] [Google Scholar]
- 40.Vakkila J, Koskinen JO, Brandt A. Detection of group A Streptococcus from pharyngeal swab samples by bacterial culture Is challenged by a novel mariPOC point-of-care test. J Clin Microbiol. 2015;53:2079–2083. doi: 10.1128/JCM.00018-15. [DOI] [PMC free article] [PubMed] [Google Scholar]
- 41.Dunne EM, Marshall JL, Baker CA. Detection of group a streptococcal pharyngitis by quantitative PCR. BMC Infect Dis. 2013;13:312. doi: 10.1186/1471-2334-13-312. [DOI] [PMC free article] [PubMed] [Google Scholar]
- 42.Felsenstein S, Faddoul D, Sposto R. Molecular and clinical diagnosis of group A streptococcal pharyngitis in children. J Clin Microbiol. 2014;52:3884–3889. doi: 10.1128/JCM.01489-14. [DOI] [PMC free article] [PubMed] [Google Scholar]
- 43.Cohen DM, Russo ME, Jaggi P. Multicenter clinical evaluation of the novel Alere i Strep A Isothermal Nucleic Acid Amplification Test. J Clin Microbiol. 2015;53:2258–2261. doi: 10.1128/JCM.00490-15. [DOI] [PMC free article] [PubMed] [Google Scholar]
- 44.Linder JA, Stafford RS. Antibiotic treatment of adults with sore throat by community primary care physicians: a national survey, 1989–1999. JAMA. 2001;286:1181–1186. doi: 10.1001/jama.286.10.1181. [DOI] [PubMed] [Google Scholar]
- 45.McCaig LF, Besser RE, Hughes JM. Trends in antimicrobial prescribing rates for children and adolescents. JAMA. 2002;287:3096–3102. doi: 10.1001/jama.287.23.3096. [DOI] [PubMed] [Google Scholar]
- 46.Linder JA, Bates DW, Lee GM, Finkelstein JA. Antibiotic treatment of children with sore throat. JAMA. 2005;294:2315–2322. doi: 10.1001/jama.294.18.2315. [DOI] [PubMed] [Google Scholar]
- 47.Gerber MA. Treatment failures and carriers: perception or problems? Pediatr Infect Dis J. 1994;13:576–579. doi: 10.1097/00006454-199406000-00036. [DOI] [PubMed] [Google Scholar]
- 48.Brink WR, Rammelkamp CH, Jr, Denny FW, Wannamaker LW. Effect in penicillin and aureomycin on the natural course of streptococcal tonsillitis and pharyngitis. Am J Med. 1951;10:300–308. doi: 10.1016/0002-9343(51)90274-4. [DOI] [PubMed] [Google Scholar]
- 49.Catanzaro FJ, Stetson CA, Morris AJ. The role of the streptococcus in the pathogenesis of rheumatic fever. Am J Med. 1954;17:749–756. doi: 10.1016/0002-9343(54)90219-3. [DOI] [PubMed] [Google Scholar]
- 50.Kaplan EL, Johnson DR, Del Rosario MC, Horn DL. Susceptibility of group A beta-hemolytic streptococci to thirteen antibiotics: examination of 301 strains isolated in the United States between 1994 and 1997. Pediatr Infect Dis J. 1999;18:1069–1072. doi: 10.1097/00006454-199912000-00008. [DOI] [PubMed] [Google Scholar]
- 51.Casey JR, Pichichero ME. Meta-analysis of cephalosporin versus penicillin treatment of group A streptococcal tonsillopharyngitis in children. Pediatrics. 2004;113:866–882. doi: 10.1542/peds.113.4.866. [DOI] [PubMed] [Google Scholar]
- 52.Shulman ST, Gerber MA. So what's wrong with penicillin for strep throat? Pediatrics. 2004;113:1816–1819. doi: 10.1542/peds.113.6.1816. [DOI] [PubMed] [Google Scholar]
- 53.Casey JR, Kahn R, Gmoser D. Frequency of symptomatic relapses of group A beta-hemolytic streptococcal tonsillopharyngitis in children from 4 pediatric practices following penicillin, amoxicillin, and cephalosporin antibiotic treatment. Clin Pediatr (Phila) 2008;47:549–554. doi: 10.1177/0009922808315212. [DOI] [PubMed] [Google Scholar]
- 54.Casey JR, Pichichero ME. Symptomatic relapse of group A beta-hemolytic streptococcal tonsillopharyngitis in children. Clin Pediatr (Phila) 2007;46:307–310. doi: 10.1177/0009922806293919. [DOI] [PubMed] [Google Scholar]
- 55.van Driel ML, De Sutter AI, Keber N. Different antibiotic treatments for group A streptococcal pharyngitis. Cochrane Database Syst Rev. 2013;(4) doi: 10.1002/14651858.CD004406.pub3. CD004406. [DOI] [PubMed] [Google Scholar]
- 56.Gerber MA, Randolph MF, DeMeo K. Failure of once-daily penicillin V therapy for streptococcal pharyngitis. Am J Dis Child. 1989;143:153–155. doi: 10.1001/archpedi.1989.02150140039016. [DOI] [PubMed] [Google Scholar]
- 57.Pichichero ME, Casey JR. Bacterial eradication rates with shortened courses of 2nd- and 3rd-generation cephalosporins versus 10 days of penicillin for treatment of group A streptococcal tonsillopharyngitis in adults. Diagn Microbiol Infect Dis. 2007;59:127–130. doi: 10.1016/j.diagmicrobio.2007.04.010. [DOI] [PubMed] [Google Scholar]
- 58.Gerber MA, Tanz RR. New approaches to the treatment of group A streptococcal pharyngitis. Curr Opin Pediatr. 2001;13:51–55. doi: 10.1097/00008480-200102000-00009. [DOI] [PubMed] [Google Scholar]
- 59.Scholz H. Streptococcal A tonsillopharyngitis: a 5-day course of cefuroxime axetil versus a 10-day course of penicillin V. results depending on the children's age. Chemotherapy. 2004;50:51–54. doi: 10.1159/000077286. [DOI] [PubMed] [Google Scholar]
- 60.Syrogiannopoulos GA, Bozdogan B, Grivea IN. Two dosages of clarithromycin for five days, amoxicillin/clavulanate for five days or penicillin V for ten days in acute group A streptococcal tonsillopharyngitis. Pediatr Infect Dis J. 2004;23:857–865. doi: 10.1097/01.inf.0000138080.74674.a2. [DOI] [PubMed] [Google Scholar]
- 61.Cohen R. Defining the optimum treatment regimen for azithromycin in acute tonsillopharyngitis. Pediatr Infect Dis J. 2004;23:S129–S134. doi: 10.1097/01.inf.0000112527.33870.0d. [DOI] [PubMed] [Google Scholar]
- 62.Brook I, Gober AE. Rate of eradication of group A beta-hemolytic streptococci in children with pharyngo-tonsillitis by amoxicillin and cefdinir. Int J Pediatr Otorhinolaryngol. 2009;73:757–759. doi: 10.1016/j.ijporl.2009.02.004. [DOI] [PubMed] [Google Scholar]
- 63.Shvartzman P, Tabenkin H, Rosentzwaig A, Dolginov F. Treatment of streptococcal pharyngitis with amoxicillin once a day. BMJ. 1993;306:1170–1172. doi: 10.1136/bmj.306.6886.1170. [DOI] [PMC free article] [PubMed] [Google Scholar]
- 64.Feder HM, Jr, Gerber MA, Randolph MF. Once-daily therapy for streptococcal pharyngitis with amoxicillin. Pediatrics. 1999;103:47–51. doi: 10.1542/peds.103.1.47. [DOI] [PubMed] [Google Scholar]
- 65.Curtin CD, Casey JR, Murray PC. Efficacy of cephalexin two vs. three times daily vs. cefadroxil once daily for streptococcal tonsillopharyngitis. Clin Pediatr (Phila) 2003;42:519–526. doi: 10.1177/000992280304200606. [DOI] [PubMed] [Google Scholar]
- 66.Lennon DR, Farrell E, Martin DR, Stewart JM. Once-daily amoxicillin versus twice-daily penicillin V in group A beta-haemolytic streptococcal pharyngitis. Arch Dis Child. 2008;93:474–478. doi: 10.1136/adc.2006.113506. [DOI] [PubMed] [Google Scholar]
- 67.Gerber MA. Antibiotic resistance: relationship to persistence of group A streptococci in the upper respiratory tract. Pediatrics. 1996;97:971–975. [PubMed] [Google Scholar]
- 68.Cornaglia G, Ligozzi M, Mazzariol A. Resistance of Streptococcus pyogenes to erythromycin and related antibiotics in Italy. The Italian Surveillance Group for Antimicrobial Resistance. Clin Infect Dis. 1998;27:S87–S92. doi: 10.1086/514908. [DOI] [PubMed] [Google Scholar]
- 69.Seppala H, Klaukka T, Vuopio-Varkila J. The effect of changes in the consumption of macrolide antibiotics on erythromycin resistance in group A streptococci in Finland. Finnish Study Group for Antimicrobial Resistance. N Engl J Med. 1997;337:441–446. doi: 10.1056/NEJM199708143370701. [DOI] [PubMed] [Google Scholar]
- 70.Green MD, Beall B, Marcon MJ. Multicentre surveillance of the prevalence and molecular epidemiology of macrolide resistance among pharyngeal isolates of group A streptococci in the USA. J Antimicrob Chemother. 2006;57:1240–1243. doi: 10.1093/jac/dkl101. [DOI] [PubMed] [Google Scholar]
- 71.Tanz RR, Shulman ST, Shortridge VD. Community-based surveillance in the united states of macrolide-resistant pediatric pharyngeal group A streptococci during 3 respiratory disease seasons. Clin Infect Dis. 2004;39:1794–1801. doi: 10.1086/426025. [DOI] [PubMed] [Google Scholar]
- 72.York MK, Gibbs L, Perdreau-Remington F, Brooks GF. Characterization of antimicrobial resistance in Streptococcus pyogenes isolates from the San Francisco Bay area of northern California. J Clin Microbiol. 1999;37:1727–1731. doi: 10.1128/jcm.37.6.1727-1731.1999. [DOI] [PMC free article] [PubMed] [Google Scholar]
- 73.Martin JM, Green M, Barbadora KA, Wald ER. Erythromycin-resistant group A streptococci in schoolchildren in Pittsburgh. N Engl J Med. 2002;346:1200–1206. doi: 10.1056/NEJMoa013169. [DOI] [PubMed] [Google Scholar]
- 74.Amir J, Harel L, Smetana Z, Varsano I. Treatment of herpes simplex gingivostomatitis with aciclovir in children: a randomised double blind placebo controlled study. BMJ. 1997;314:1800–1803. doi: 10.1136/bmj.314.7097.1800. [DOI] [PMC free article] [PubMed] [Google Scholar]
- 75.Hayward G, Thompson M, Heneghan C. Corticosteroids for pain relief in sore throat: systematic review and meta-analysis. BMJ. 2009;339:b2976. doi: 10.1136/bmj.b2976. [DOI] [PMC free article] [PubMed] [Google Scholar]
- 76.Korb K, Scherer M, Chenot JF. Steroids as adjuvant therapy for acute pharyngitis in ambulatory patients: a systematic review. Ann Fam Med. 2010;8:58–63. doi: 10.1370/afm.1038. [DOI] [PMC free article] [PubMed] [Google Scholar]
- 77.O'Brien JF, Meade JL, Falk JL. Dexamethasone as adjuvant therapy for severe acute pharyngitis. Ann Emerg Med. 1993;22:212–215. doi: 10.1016/s0196-0644(05)80205-7. [DOI] [PubMed] [Google Scholar]
- 78.Wing A, Villa-Roel C, Yeh B. Effectiveness of corticosteroid treatment in acute pharyngitis: a systematic review of the literature. Acad Emerg Med. 2010;17:476–483. doi: 10.1111/j.1553-2712.2010.00723.x. [DOI] [PubMed] [Google Scholar]
- 79.Hayward G, Thompson MJ, Perera R. Corticosteroids as stand-alone or add-on treatment for sore throat. Cochrane Database Syst Rev. 2012;(10) doi: 10.1002/14651858.CD008268.pub2. CD008268. [DOI] [PubMed] [Google Scholar]
- 80.Demeslay J, De Bonnecaze G, Vairel B. Possible role of anti-inflammatory drugs in complications of pharyngitis. A retrospective analysis of 163 cases. Eur Ann Otorhinolaryngol Head Neck Dis. 2014;131:299–303. doi: 10.1016/j.anorl.2013.08.005. [DOI] [PubMed] [Google Scholar]
- 81.Smith TD, Huskins WC, Kim KS, Kaplan EL. Efficacy of beta-lactamase-resistant penicillin and influence of penicillin tolerance in eradicating streptococci from the pharynx after failure of penicillin therapy for group A streptococcal pharyngitis. J Pediatr. 1987;110:777–782. doi: 10.1016/s0022-3476(87)80023-9. [DOI] [PubMed] [Google Scholar]
- 82.Kim KS, Kaplan EL. Association of penicillin tolerance with failure to eradicate group A streptococci from patients with pharyngitis. J Pediatr. 1985;107:681–684. doi: 10.1016/s0022-3476(85)80392-9. [DOI] [PubMed] [Google Scholar]
- 83.Kaplan EL, Chhatwal GS, Rohde M. Reduced ability of penicillin to eradicate ingested group A streptococci from epithelial cells: clinical and pathogenetic implications. Clin Infect Dis. 2006;43:1398–1406. doi: 10.1086/508773. [DOI] [PubMed] [Google Scholar]
- 84.Kaplan EL. The group A streptococcal upper respiratory tract carrier state: an enigma. J Pediatr. 1980;97:337–345. doi: 10.1016/s0022-3476(80)80178-8. [DOI] [PubMed] [Google Scholar]
- 85.Martin JM, Green M, Barbadora KA, Wald ER. Group A streptococci among school-aged children: clinical characteristics and the carrier state. Pediatrics. 2004;114:1212–1219. doi: 10.1542/peds.2004-0133. [DOI] [PubMed] [Google Scholar]
- 86.Gieseker KE, Mackenzie T, Roe MH, Todd JK. Comparison of two rapid Streptococcus pyogenes diagnostic tests with a rigorous culture standard. Pediatr Infect Dis J. 2002;21:922–927. doi: 10.1097/00006454-200210000-00007. [DOI] [PubMed] [Google Scholar]
- 87.Paradise JL, Bluestone CD, Bachman RZ. Efficacy of tonsillectomy for recurrent throat infection in severely affected children. Results of parallel randomized and nonrandomized clinical trials. N Engl J Med. 1984;310:674–683. doi: 10.1056/NEJM198403153101102. [DOI] [PubMed] [Google Scholar]
- 88.Discolo CM, Darrow DH, Koltai PJ. Infectious indications for tonsillectomy. Pediatr Clin North Am. 2003;50:445–458. doi: 10.1016/s0031-3955(03)00030-0. [DOI] [PubMed] [Google Scholar]
- 89.Burton MJ, Glasziou PP, Chong LY, Venekamp RP. Tonsillectomy oradenotonsillectomy versus non-surgical treatment for chronic/recurrent acute tonsillitis. Cochrane Database Syst Rev. 2014;(11) doi: 10.1002/14651858.CD001802.pub3. CD001802. [DOI] [PMC free article] [PubMed] [Google Scholar]
