Abstract
Skin infections account for a significant portion of dermatologic diseases. Infections of the skin and subcutaneous tissues are highly diverse in respect to incidence, etiologic organisms, and clinical manifestations. Most cases are potentially treatable, thus, it is vital for the clinician to become familiar with the cutaneous expression of local and systemic processes. This chapter covers the clinical presentation, diagnosis, and treatment of the most common bacterial, viral, and fungal mucocutaneous infections encountered in internal medicine.
Keywords: Herpes Zoster, Lyme Disease, Necrotizing Fasciitis, Toxic Shock Syndrome, Tinea Pedis
Skin infections account for a significant portion of dermatologic diseases. Infections of the skin and subcutaneous tissues are highly diverse in respect to incidence, etiologic organisms, and clinical manifestations. Most cases are potentially treatable, thus, it is vital for the clinician to become familiar with the cutaneous expression of local and systemic processes. This chapter covers the clinical presentation, diagnosis, and treatment of the most common bacterial, viral, and fungal mucocutaneous infections encountered in internal medicine.
Bacteria, Spirochetes, and Mycobacteria (Table 1)
Table 1.
Characteristics of some common skin and subcutaneous bacterial infections
| Terminology | Subgroups | Location | Etiology |
|---|---|---|---|
| Pyoderma | Non-bullous impetigo | Superficial skin of the face (perioral and perinasal) or extremities | Staphylococcus aureus (S. aureus), Streptococcus pyogenes (S. pyogenes) |
| Bullous impetigo | Superficial skin of the face, trunk, perineum or extremities | S. aureus | |
| Folliculitis (pustulosis) | Skin, hair follicles | S. aureus | |
| Folliculitis (sycosis) barbae | Skin, hair follicles of the beard | S. pyogenes, S. aureus | |
| Hot-tub folliculitis | Skin | Pseudomonas aeruginosa | |
| Abscesses | Furuncle (boil, subcutaneous abscess) | Subcutaneous tissue | S. aureus |
| Hidradenitis suppurativa | Multiple furuncles in sweat glands: axillae, groins | S. aureus and other bacteria, including gram-negative bacilli and anaerobes | |
| Carbuncle | Dense group of furuncles in areas of thick skin: back of neck, shoulders, buttocks | S. aureus | |
| Cellulitis | Skin and subcutaneous tissue | S. aureus, S. pyogenes, Group C and G streptococci, P. aeruginosa, Haemophilus influenzae, or gram-negative bacilli | |
| Erysipelas | Skin | S. pyogenes | |
| Ecthyma | Skin and subcutaneous tissue | S. pyogenes, S. aureus or both; P. aeruginosa | |
| Ecthyma gangrenosum | Skin and subcutaneous tissue in neutropenic patients | P. aeruginosa |
Table adapted from [1]
Bacteria
Impetigo
Impetigo is considered the most common superficial bacterial skin infection in children 2–6 years) [2]. It may be classified as bullous or non-bullous and is frequently caused by Staphylococcus aureus or Streptococcus pyogenes (see Fig. 1) [3]. For more information on impetigo, refer to the Cutaneous Disorders in the Intensive Care Unit chapter.
Fig. 1.

Non-bullous impetigo. Classic stuck-on, honey-colored crusts overlying confluent erythematous papules. Vesicles and erosions might also be present
Folliculitis
Introduction
Inflammation of the hair follicle is referred to as folliculitis. It is categorized by the depth of involvement of the follicle (superficial versus deep) and the etiology of the inflammation.
Incidence and Prevalence
Superficial folliculitis is common. Due to its self-limited nature, patients rarely present to the physician with this complaint. Therefore, the incidence is unknown and can be estimated only with cases of recurrent or persistent superficial folliculitis and deep folliculitis, for which patients more commonly seek medical attention [3].
Etiology
Hair follicles may become inflamed by physical injury, chemical irritation, nutritional deficiencies, or an infectious origin as in syphilitic, fungal, viral, parasitic, and bacterial folliculitis. There are numerous predisposing factors that lead to bacterial folliculitis and they include: follicular occlusion, maceration, hyperhydration, nasal harboring of S. aureus, pruritic skin diseases, vigorous application of topical corticosteroids, exposure to oils and certain chemicals, shaving against the direction of hair growth, diabetes mellitus, and exposure to heated or contaminated water [4, 5]. S. aureus is the most frequent cause of infectious folliculitis [4, 6, 7] but Streptococcus, Pseudomonas, Proteus, and coliform bacteria have also been implicated [8].
Clinical Features
The most common infectious form is superficial folliculitis. It manifests as a pustule on the follicle orifice over an erythematous base and it heals without scarring (see Fig. 2). Multiple (Impetigo of Bockhart) or single lesions mostly appear in hair bearing areas of the skin, predominantly the head, neck, trunk, buttocks, axillae, and groin [4]. Clinically, lesions may be tender or painless; however, pruritus is the most common complaint. Systemic symptoms or fever rarely coexist [5].
Fig. 2.

Folliculitis. Multiple erythematous papules and pustules over trunk and upper extremities
Deep folliculitis results from the involvement of portions of the follicle beyond the isthmus [3]. Clinically, these lesions are tender, erythematous papules or nodules that may scar, unlike superficial folliculitis. Major forms of deep folliculitis are furuncles, sycosis (barbae, lupoid, and mycotic) (see Fig. 3), pseudofolliculitis barbae, acne keloidalis, and hidradenitis suppurativa [5].
Fig. 3.

Folliculitis barbae. Multiple pustules on the orifices of the follicles in the beard area accompanied by crusting in an erythematous base
Pseudomonal folliculitis, also known as “hot-tub folliculitis,” is caused by Pseudomonas aeruginosa. It is characterized by multiple follicular papules or pustules associated with bathing in hot-tubs, whirlpools, or swimming pools. Lesions may appear as early as 6 h after bathing in contaminated or poorly contained waters and are usually self-limiting in immunocompetent individuals lasting up to 14 days [3, 5, 9, 10]. Lesions are pruritic and may be accompanied by symptoms such as earache, painful eyes, sore throat, headache, fever, malaise, and abdominal pain [3, 10].
Diagnosis
The diagnosis of bacterial folliculitis may be established clinically; however, in complicated, recurrent, or treatment-resistant cases, a swab of the pustule contents may be necessary for Gram stain or culture to guide treatment [4].
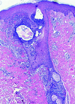
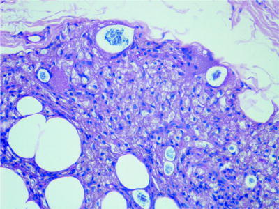
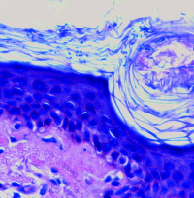
Pathology
On histology folliculitis presents with inflammatory cells in the wall and ostia of the hair follicle (see Fig. 4). The inflammation may be limited to the superficial aspect of the follicle, involving the infundibulum or it can affect both the superficial and deep aspect of the follicle. The types of inflammatory cells vary depending on the etiology of the folliculitis and/or the stage at which the biopsy specimen was obtained. For example, a neutrophilic infiltrate can be seen in more acute cases, whereas more chronic cases may have histocytic cells [11].
Fig. 4.

Histopathologic findings of a folliculitis. Suppurative process involving both the superficial and deep portion of the follicle
Differential Diagnosis
The differential diagnosis consists of noninfectious folliculitis, acne vulgaris, acne rosacea, milia, acneiform eruptions, dermatologic manifestations of renal diseases, cutaneous candidiasis, coccidioidomycosis, and others.
Complications
Complications, although uncommon, include cellulitis, furunculosis, scarring, and permanent hair loss [4].
Treatment
Treatment of superficial bacterial folliculitis consists cleansing the affected areas thoroughly the affected areas with antibacterial soaps three times daily [12]. Topical antibacterial ointments such as mupirocin are advised for up to 10 days [5, 12]. In recurrent, treatment-resistant, or deep lesions, first generation cephalosporins, penicillinase-resistant penicillin, macrolides and oral clindamycin may be used based on the results of the culture [3, 5, 12]. Some patients may be chronic carriers of S. aureus and would consequently benefit from mupirocin ointment application to the nares, axillae, and/or groin twice daily for 5 days and routine washing of towels, linens, and clothing in hot water [4]. If the culture does not reveal any organisms, tetracycline or doxycycline is preferred for their anti-inflammatory properties [5].
“Hot-tub” folliculitis treatment is directed at prevention by maintaining the appropriate chlorine level and the cleaning of the water source [3]. When the course of the disease does not follow its self-limiting nature or manifests with constitutional symptoms, an oral third generation cephalosporin or fluoroquinolone may be beneficial [12].
Furuncles and Carbuncles
Introduction
Folliculitis may progress to form subcutaneous inflammatory abscesses known as furuncles, or boils, which usually drain and resolve spontaneously; however, they may coalesce to form more extensive collections involving multiple hair follicles called carbuncles [1].
Clinical Features
A furuncle presents as an erythematous, painful, and firm nodule in hair bearing skin, especially those areas exposed to friction or minor trauma (see Fig. 5) [1, 3, 5]. The incidence tends to increase after puberty, with S. aureus being the most common causative agent [1, 3, 13]. The lesion may progress into a fluctuant mass that will eventually rupture into the skins surface. This drainage of the purulent content diminishes the pain. If multiple or recurrent furuncles (furunculosis) are present, one should suspect chronic S. aureus colonization [5]. Constitutional symptoms in furunculosis are rare, in contrast to carbuncles.
Fig. 5.

Furuncle. Erythematous firm nodule in hair bearing skin of areas exposed to friction or minor trauma which may progress into a fluctuant mass that eventually ruptures and suppurates. This particular case was caused by MRSA
Carbuncles present clinically as tender, erythematous, edematous, and multiple draining sinus tracts. They extend deep into the subcutaneous tissue. These lesions occur most often in areas where the dermis is thick such as the nape of the neck, lateral thighs, and back (see Fig. 6). Malaise, chills, and fevers are usually present. Severe infections can result in extensive scarring and are more likely to develop complications such as cellulitis or septicemia [1, 3, 5].
Fig. 6.

Carbuncle. Erythematous, edematous, indurated skin with draining sinus, and multiple pustules in a patient that arrived to the hospital for non-resolving fever
Etiology
As mentioned above, conditions compromising the integrity of the skin are portals for the entry of S. aureus thus predispose to the formation of furuncles and subsequently carbuncles. These are most commonly associated with systemic conditions such as diabetes mellitus, eczema, obesity, alcoholism, malnutrition, and immunodeficiency states (Hyper-IgE syndrome) [5, 12, 13]. Nonetheless, healthy individuals with no risk factors can also develop these infections.
Diagnosis
Cultures of pus isolates, gram stains, and antibiotic sensitivities all support the clinical diagnosis and aid in management. They are generally obtained in cases of recurrent abscesses, therapy response failure, systemic toxicity, immunocompromised patients, gas-containing abscesses, and involvement of the face, muscle, or fascia [5].
Pathology
The furuncle is a pyogenic infection with its origin at a hair follicle extending into the deep dermis and possibly to subcutaneous tissue. The carbuncle is visualized as a furuncle with additional loculated abscesses [13].
Differential Diagnosis
Among the differential diagnosis of furuncles and carbuncles the most common are hidradenitis suppurativa (see Fig. 7), ruptured epidermoid or pilar cysts and soft tissue infections [13].
Fig. 7.

Hidradenitis suppurativa. Cysts, inflammatory nodules, scarring and draining sinus tracts of the chronic, and suppurative inflammatory disease. It most commonly affects axilla and groin because it affects apocrine gland bearing areas
Complications
Most cases resolve after treatment, but some cases are complicated by seeding to the bones, heart valves, or other organs as a result of bacteremia [1].
Treatment
The treatment of furuncles and carbuncles ranges from warm compresses that accelerate the resolution of simple furuncles to surgical and/or medical management for the more complicated cases. Incision and drainage are often adequate therapy in immunocompetent patients. Fluctuant furuncles and carbuncles should be opened and drained with caution so as to avoid rupturing the pseudo-capsule [3]. In addition, the loculations should be broken with a curette or hemostat and the wound packed to encourage complete drainage [1, 3].
Early in the course of furunculosis, antistaphylococcal antibiotics alone may have been useful; however, they have little effect once the lesion is fluctuant. Antibiotics can speed the resolution in healthy individuals and are essential in treating immunosuppressed patients. Oral penicillinase-resistant penicillin or first generation cephalosporins are the mainstay in the outpatient setting. Severe cases should be treated with a parenteral antibiotic that provides empiric coverage for Gram-positive pathogens including MRSA, Gram-negative, and anaerobic organisms. Culture and susceptibility results will aid in targeting the antibiotic therapy [12, 13].
Despite treatment, patients with recurrent furunculosis may be experiencing autoinoculation of a pathogenic strain of S. aureus. Eradication should be attempted as described previously. If treatment fails, rifampin daily for 10 days combined with cloxacillin four times a day may eradicate the carrier state [12, 13].
Cellulitis
Introduction
Cellulitis is defined as an infection of the deep dermis and subcutaneous tissue.
Incidence and Prevalence
The incidence of lower-extremity cellulitis reaches 199 per 100,000 people/year. The incidence of cellulites increases significantly with age, but there is no statistically significant difference between the sexes [15].
Etiology
Gram-positive pathogens are implicated in the majority of cases of cellulitis with β-hemolytic streptococci being the most common causative agent, followed by S. aureus, MRSA, and Gram-negative aerobic bacilli [16, 17]. These pathogens gain access through abrasions on the skin, burns, bites, surgical incisions, and intravenous catheters [1, 18]. Toe web tinea pedis is the most common portal of entry. There are multiple variants of cellulitis that are caused by specific pathogens of which some are briefly discussed in Table 2.
Table 2.
Characteristics of cellulitis variants
| Variant | Most common organisms | Etiology | Clinical description | Treatment |
|---|---|---|---|---|
| Preseptal cellulitis |
S. aureus, GAS, S. pneumonia H. influenza was common prior to vaccination |
More common in children; following URTI, eye lesions (i.e., Hordeolum) insect bites, trauma | Acute eyelid erythema and edema may suppurate. Pain with EOM movement, affected pupillary reflex and proptosis occurs in orbital cellulitis | Amoxicillin/clavulanate or a first-generation cephalosporin. If no response in 48–72 h consider IV antibiotics |
| Buccal cellulitis | H. influenza | More common in children | Hot, erythematous, edematous cheek area that develops a violaceous hue often accompanied by bacteremia | Ceftriaxone IV |
| Human bites | Aerobic–anaerobic polymicrobial oral flora | Most occur on the hands (Clenched-fist injury) or occlusional bites | Variable, edema erythema, may suppurate; complication such as OM, tenosynovitis, and septic arthritis if in proximity | Amoxicillin/clavulanate, surgical intervention may be necessary |
| Dog and cat bites | P. multocida | Most commonly in extremities | As in human bites but less severe | Amoxicillin/clavulanate |
| Marine Trauma | V. vulnificus | Exposure of lacerated skin to sea water, systemic illness may ensue in patients with chronic liver disease or DM | Predominantly in extremities bilaterally, hemorrhagic bullae formation, necrotizing vasculitis | Doxycycline and ceftazidime |
| Fresh water trauma | Aeromonas spp. | Exposure of lacerated skin to contaminated fresh water (fisherman) or use of therapeutic leeches | Predominantly in extremities, variable manifestation from indurated erythematous patch to myonecrosis or ecthyma gangrenosum | Ciprofloxacin |
| Erysipeloid | E. rhusiopathiae | Exposure of lacerated skin to raw meat (butchers) and/or fish | Commonly affect the hands, well-demarcated, reddish-violaceous plaques smooth surface, brown with resolution. May manifests as diffuse skin disease or systemic disease | Amoxicillin |
Clinical Features
The clinical features of cellulitis include a localized area of skin of variable size that is painful, erythematous, edematous, and warm with non-palpable and ill-defined borders (see Fig. 8). Patients may present with malaise, fever, and leukocytosis [3]. The area is usually indurated and shows pitting upon pressure. In severe cases, vesicles, bullae, ecchymoses, petechiae, pustules, and necrotic tissue may be observed. Cellulitis may also present with lymphangitis and inflammation of regional lymph nodes that can damage the lymphatic vessels thus leading to recurrent cellulitis. Cellulitis may affect any part of the body, but most commonly involves the lower extremities in adults, followed by the face and hands [3, 23].
Fig. 8.

Cellulitis. Warm localized area of the leg with erythema, edema, induration, and non-palpable, ill-defined borders. In adults the lower extremities are the most affected area of the body
Diagnosis
Cellulitis is a clinical diagnosis. In immunocompetent patients, neither blood cultures nor secretion cultures are needed to confirm the diagnosis. Conversely, it may be appropriate to obtain a blood culture, needle aspiration of the leading edge, or a punch biopsy in pediatric cases, immunocompromised patients, lesions with suspected atypical organisms, or states of persistent inflammation. Despite proper needle aspiration or biopsy techniques, these cultures are positive in only 20% of cases thus implying that cellulitis is mainly an inflammatory response of the host elicited by a small number of organisms [1]. Gram-stains and cultures can provide a definitive diagnosis in those lesions that are open, draining or have an obvious portal of entry. Radiographic studies are useful for distinguishing cellulitis from osteomyelitis, necrotizing fasciitis, or gas gangrene but should not be used as routine examination [24].
Pathology
The pathology of these lesions shows mild-to-moderate leukocytic infiltration of the dermis possibly extending into the subcutaneous fat with dilation of the blood vessels and lymphatics. Proliferation of bacteria or other causative organism may be visualized with the appropriate stains [1].
Differential Diagnosis
Rapidly progressive lesions with accompanying signs of systemic toxicity include more severe infections on the differential diagnosis, such as necrotizing fasciitis, gas gangrene, toxic shock syndrome, osteomyelitis, and erythema migrans. Several noninfectious disorders may also resemble cellulitis including thrombophlebitis, Baker’s cysts, contact dermatitis, drug reactions, gouty arthritis, and malignancy [25].
Complications
Complications are more common in immunocompromised adults and children. These include abscess formation, involvement of adjacent bones, osteomyelitis, gangrene, and sepsis among others. Recurrence is common if risk factors are neglected [5].
Treatment
Empiric antibiotic therapy for the management of cellulitis should have activity against β-hemolytic streptococci and S. aureus. Patients presenting with the first episode of a limited cellulitis and without significant comorbidities can be treated with a 10-day course of oral penicillinase-resistant penicillin, first generation cephalosporin, amoxicillin–clavulanate, or macrolide (i.e., dicloxacillin or cephalexin) [26, 27]. Marking the margins of erythema with ink is a quick and helpful technique for accessing the progression or regression of the cellulitis to a given treatment. If signs and symptoms do not improve after 1–2 days of treatment, cultures and sensitivities should be obtained and antibiotics adjusted accordingly. The antibiotics should be maintained for at least 3 days after the acute inflammation resolves [27].
Limited disease can be treated orally, but initial parenteral therapy is required for cases of extensive cellulitis, signs of systemic toxicity, erythema that has rapidly progressed, or facial cellulitis. A parenteral second- or third-generation cephalosporin (with or without an aminoglycoside) should be considered [27].
Empiric therapy for MRSA should be initiated in patients with recurrent infections in the setting of underlying predisposing conditions, risk factors for MRSA infections, in communities where the prevalence of MRSA is greater than 30%, previous episode of documented MRSA infection, and if systemic toxicity is present. Empiric treatment includes linezolid, clindamycin, or penicillin plus TMP-SMX or doxycycline (if outpatient). If parenteral antibiotic therapy is needed, vancomycin (30 mg/kg per 24 h in two divided doses) should be used. For patients who fail to respond to vancomycin or cannot tolerate its side effects, linezolid (600 mg every 12 h) or daptomycin (4 mg/kg once daily) is adequate alternatives [28, 29].
Management of cellulitis should also include immobilization and elevation of the affected area. Maintaining the lesion sufficiently hydrated, especially if bullae are present, helps avoid dryness and cracking. Tetanus immunization should be considered based on patient history. Pain relief medication should be used with caution since they mask the intense pain of a process such as necrotizing fasciitis, which requires emergency surgical attention. As a preventive measure, patients should also be treated for the underlying conditions that predispose them to developing recurrent cellulitis (tinea pedis, lymphedema, and chronic venous insufficiency) [18].
These guidelines for empiric antimicrobial therapy should be modified in the setting of known pathogens, underlying conditions such as diabetes, and special circumstances such as animal bites and water exposure. Management of patients in these settings is discussed in Table 2.
Methicillin-Resistant S. aureus
Introduction
Methicillin-resistant S. aureus (MRSA) was initially described in the1960s in hospitalized populations (HA-MRSA). While patients with community acquired MRSA (CA-MRSA) were first described later in the 1980s. Today, these two are difficult to distinguish from each other because of the introduction of CA-MRSA into the health care setting as well as HA-MRSA being introduced into the community by health care providers. However, given that the strains isolated from CA-MRSA and HA-MRSA are genetically different, it is best to refer to them as “community-type strains” and “health care type strains,” regardless of where the infection was actually acquired [30].
Incidence and Prevalence
In the USA surveillance report of nosocomial S. aureus infections, isolates with methicillin resistance increased from 22 to 57% from 1995 to 2001, respectively [31]. CA-MRSA was initially reported among intravenous drug users (IVDU) and has since become the most frequent cause of skin and soft tissue infections presenting to the emergency departments and ambulatory clinics in the USA, with an incidence of 15–75% by 2004 [32, 33].
Etiology
MRSA’s resistance to methicillin and other beta-lactams antibiotics can be attributed to the production of PBP 2a; an altered penicillin binding protein (PBP) to which these antibiotics have less affinity [34].
The risk factors for HA-MRSA infection include MRSA colonization, proximity to patients with MRSA colonization or infection, prolonged hospitalization (especially if in the intensive care unit), recurrent antibiotic use, and hemodialysis or other invasive procedures.
The risk factors that both HA-MRSA and CA-MRSA infections share are MRSA colonization and proximity to others with MRSA colonization or infection (including domestic animals). The other risk factors for HA-MRSA infection are IVDU, shaving, tattoos, skin trauma, HIV infection, and crowded living conditions (i.e., imprisonment). However, many patients with CA-MRSA have no risk factors [30].
Clinical Features
HA-MRSA is associated with serious invasive disease of the skin, soft tissues, blood, and/or lungs, while at least 85% of CA-MRSA infections present as folliculitis, furunculosis, or abscesses. Less likely, CA-MRSA can manifest as cellulitis, impetigo, scalded skin syndrome, necrotizing fasciitis, osteomyelitis, otitis, urinary tract infections, endocarditis, or bacteremia [30].
Diagnosis
MRSA should be suspected when infectious skin lesions do not respond to the initial antimicrobial treatment directed toward S. aureus (methicillin susceptible), mainly in communities with high-MRSA prevalence. For confirmation, bacterial cultures and sensitivities should be performed [34].
Treatment
When treating skin and soft tissue infections, the initial selection of antibiotics should be based upon the severity and the epidemiology in the area.
In all patients with severe, life-threatening infections, empiric antibiotics should be started before sensitivity results are available. However, β-lactam antibiotics are no longer reliable empiric therapy, given the increasing prevalence of MRSA as both a nosocomial and community-associated pathogen. Parenteral therapy with vancomycin is the optimal treatment; new alternative agents, linezolid, daptomycin, tigecycline and quinupristin–dalfopristin have all been FDA approved for the treatment of severe skin and soft tissue infections. Other treatments, such as telavancin, a novel lipoglycopeptide antibiotic with rapid bactericidal activity against a broad spectrum of clinically relevant gram-positive pathogens, may be a promising treatment option in the near future [5].
For localized skin and soft tissue MRSA infections, the first-line treatment options include clindamycin, trimethoprim–sulfamethoxazole, tetracycline or linezolid, which are limited by cost, toxicity, and potential for resistance [30 34].
Abscesses caused by MRSA should undergo surgical treatment because oral antibiotics are an insufficient therapeutic option. For abscesses smaller than 5 cm, therapy with incision and drainage may be sufficient but management of larger abscesses with or without systemic signs of infection should include antimicrobial therapy [35]. Intranasal mupirocin and chlorhexidine washes have proven decolonization in some cases, preventing further episodes of infection. However, colonization may recur [33].
Erysipelas
Introduction
Erysipelas is defined as an acute infection of the upper dermis and superficial lymphatics characterized clinically by the sudden onset of bright red, edematous, and indurated plaque. The plaque has sharply demarcated, raised, and advancing borders which cause intense pain (see Fig. 9). In most patients, constitutional symptoms such as fever are present, generally apparent before skin symptoms, and are more common in erysipelas than in cellulitis or fasciitis [36]. The most common sites of involvement are the legs, arms, and face [37]. The complete blood count may reveal neutrophil leukocytosis.
Fig. 9.

Erysipelas. Red, edematous indurated plaque with sharply demarcated, raised advancing borders
Etiology
Erysipelas is most commonly caused by β-hemolytic Group A streptococci with occasional cases of Group C and Group G Streptococci [1, 3, 38]. The predisposing factors and diagnosis are similar to those of cellulitis.
Pathology
Pathology reports for erysipelas generally show neutrophilic infiltration of the dermis with accompanying edema. Separation of the dermis from the epidermis can be seen along with dilation of the lymphatic [5].
Differential Diagnosis
In establishing a differential diagnosis, erysipelas can be confused with contact dermatitis, angioedema, scarlet fever, lupus erythematosus, acute tuberculoid leprosy, venous thrombosis, compartment syndrome, and many inflammatory infectious diseases [12, 38].
Complications
Localized abscesses are not rare and should be considered whenever acute erysipelas does not respond to antibiotics. Septicemia and thrombosis are rare complications. Recurrences of erysipelas are relatively high [38].
Treatment
Penicillin continues to be the standard of treatment in uncomplicated erysipelas given the near exclusivity of β-hemolytic Group A streptococci as the causative pathogen. Treatment is administered for 10–20 days [38]. Parenteral antibiotics are reserved for children, immunocompromised patients, and patients with severe constitutional symptoms due to the fact that oral and intravenous efficacy has been found to be equivalent in immunocompetent patients [39]. In patients allergic to penicillin, macrolides may be used. Some clinicians prefer using macrolides, cephalosporins and fluoroquinolones, especially in complicated cases or when the lesion cannot be clearly differentiated from cellulitis. However, due to the increasing resistance of streptococci to macrolides, these antibiotics should be used with care [40].
In patients with recurrent episodes of erysipelas, prophylaxis with penicillin V or erythromycin has resulted in a significant reduction of relapses [41]. Nonetheless, risk factor management is more effective in reducing relapses, morbidity, and costs.
Ecthyma
Introduction
Ecthyma is an ulcerative pyoderma of the skin that extends into the dermis, thus often being referred to as a deeper form of non-bullous impetigo [42].
Incidence and Prevalence
The incidence of ecthyma remains unknown. However, it is known that ecthyma has a predilection for children and the elderly [43].
Etiology
Group A β-hemolytic streptococci initiate the lesion or secondarily infect preexisting ulcerations. The spread of skin streptococci is augmented by crowding, poor hygiene, high temperatures, and humidity. Prior tissue damage, such as excoriations, insect bites, and dermatitis, predispose to ecthyma. It is most commonly seen in children, neglected elderly, and immunocompromised patients such as diabetics. Lesions are often contaminated with staphylococci especially in HIV patients and IVDU [5, 13, 43].
Clinical Features
Ecthyma begins as a vesicle or pustule over an inflamed area of skin which then deepens into a dermal ulceration with an overlying thick hemorrhagic crust. The crust differs from that of impetigo in that it is thicker and harder. A punched-out ulceration is apparent when the crust is removed. Ecthyma commonly manifests as less than 10 lesions that remain fixed in size or progressively enlarge to 0.5–3 cm in diameter. Lesions are painful and may have associated regional lymphadenopathy, even with solitary lesions. Ecthyma usually arises on the lower extremities, most commonly on the ankle and dorsum of the foot. Ecthyma can resolve without treatment, but heals slowly, taking several weeks, and generally producing a scar [42–44].
Diagnosis
The diagnosis of ecthyma is based on clinical features; however, Gram stains and cultures may be performed to confirm Gram-positive cocci infection.
Pathology
The heavy crust covering the surface of the ecthyma ulcer contains superficial and deep granulomatous perivascular infiltrate with endothelial edema. The dermis is affected by necrosis and inflammation [5].
Differential Diagnosis
The differential diagnosis of ecthyma is extensive and includes the following conditions: ecthyma gangrenosum, pyoderma gangrenosum, leishmaniasis, lymphomatoid papulosis, sporotrichosis, tungiasis, Mycobacterium marinum infection, papulonecrotic tuberculids, excoriated insect bites, venous or arterial insufficiency ulcers, cutaneous diphtheria, and other bacterial, viral, and deep fungal infections of the skin [12, 13].
Complications
It is unusual for ecthyma to cause systemic involvement or bacteremia. Secondary lymphangitis, cellulitis, gangrene, and osteomyelitis can occur but are very rare. Poststreptococcal glomerulonephritis occurs with an incidence of approximately 1% [42].
Treatment
Treatment of ecthyma begins by maintaining the lesion clean using bactericidal soap and removing crusts by soaking or using wet compresses. For localized ecthyma, consider topical therapy with mupirocin ointment twice daily [45]. However, more extensive lesions may require systemic antibiotics. β-Lactamase resistant penicillin, such as cloxacillin, should be adequate to cover possible secondary S. aureus infections or a first generation cephalosporin may also be used [44, 46]. Consider parenteral antibiotics in the event of widespread involvement.
Ecthyma Gangrenosum
Introduction
Ecthyma gangrenosum (EG) is an uncommon cutaneous infection in critically ill and immunocompromised patients, most often associated with bacteremia from P. aeruginosa [49].
Incidence and Prevalence
EG develops in 1–13% patients with P. aeruginosa sepsis [47].
Etiology
EG is typically caused by P. aeruginosa; however, EG-like lesions have been documented in case reports of patients with other bacterial and fungal infections). EG occurs in patients who are immunocompromised by hematologic malignancies, immunodeficiency syndromes, severe burns, malnutrition, immunosuppressive therapy, or other chronic conditions such as diabetes mellitus. Catheterization and instrumentation procedures such as long-term intravenous catheters, indwelling urinary catheters, or surgical procedures can also predispose to pseudomonal sepsis and thus EG [48, 49].
Clinical Features
The primary cutaneous lesion of EG undergoes a rapid transformation. It begins as a painless, round, and erythematous macule that becomes pustular with a surrounding halo of tender inflammation. The initial macule then develops a hemorrhagic vesicle or bulla that ruptures and turns into a gangrenous ulcer with a central gray/black eschar (see Fig. 10) [50].
Fig. 10.

Ecthyma gangrenosum. The lesion starts as a round erythematous macule that becomes pustular with a surrounding halo of tender inflammation. It then develops a hemorrhagic vesicle or bulla that ruptures and turns into a gangrenous ulcer with a central gray/black eschar
The patient may have a single lesion or multiple lesions grouped closely. These lesions are usually found on the gluteal area or extremities but may appear on any location of the body [51].
Diagnosis
The lesion of EG described above is unique and distinguishable from most other diseases; therefore, EG should be suspected if the typical lesion is accompanied by a predisposing clinical picture showing a compromised immune system. For a quick approach to diagnosis, one can analyze the gram stains of the fluid in pustules, vesicles, or the tissue beneath the eschar. Since EG is usually a manifestation of sepsis, blood cultures should be performed, preferably during fever peaks. Cultures of urine and the contents of vesicles or pustules in bacterial, fungal, and mycobacterial media should also be completed to narrow the differential diagnosis and to assure effective antibiotic use by sensitivity studies [51, 52].
Pathology
Histologic examinations of EG lesions show necrotizing hemorrhagic vasculitis. Multiple gram-negative rods are seen within the media and adventitia of the necrotic vessels but not in the intima. Extravasation of blood, edema, and necrosis are typically seen around the involved vessels [52, 53].
Differential Diagnosis
The differential diagnosis includes infectious and noninfectious conditions. EG lesions may be mimicked by septic emboli of other organisms, cryoglobulinemia, polyarteritis nodosa, pyoderma gangrenosum, and necrotizing fasciitis [5].
Complications
EG mortality rates vary significantly, ranging from 15.4% in non-bacteremic patients and up to 96% in bacteremia patients [47]. The factors associated with a dismal prognosis are multiple lesions, delayed diagnosis and treatment, neutropenia, and a high bacterial load [53].
Treatment
Despite pending culture or biopsy results, treatment must be initiated when EG is suspected. It requires parenteral antipseudomonal penicillin, such as piperacillin, in conjunction with an aminoglycoside. The antibiotic selection can be subsequently guided by blood culture and sensitivity results, when feasible [48, 49, 51].
Staphylococcal Scalded Skin Syndrome
Introduction
Staphylococcal scalded skin syndrome (SSSS), also known as Ritter’s disease, is a generalized and superficial exfoliative infectious disease.
Incidence and Prevalence
SSSS usually affects neonates, infants, and children under age of 5. Few cases have been reported in adults; since the causative staphylococcal toxin is excreted by the kidneys, these cases have been associated with renal impairment or immune deficiency. When compared with adult patients, children have a greater recovery rate. The mortality rate in children is less than 5% but over 50% in adults [54].
Etiology
SSSS is caused by exfoliative toxins of the phage II S. aureus strain. These toxins act as epidermolysins by splitting the epidermis within the granular layer by binding to desmoglein 1, the same desmosomal adhesion molecule targeted in pemphigus foliaceous [55, 56]. The predisposing factors are an impaired immunity and renal insufficiency. Due to the immaturity of both the immune and renal systems, the neonate has an increased risk of SSSS [54].
Clinical Features
Patients with SSSS may first experience prodromal constitutional symptoms (fever and malaise) or symptoms of an upper respiratory tract infection (purulent rhinorrhea or/and conjunctivitis). Erythema ensues cephalad and then generalizes, sparing the palms, soles, and mucous membranes. The skin becomes tender and Nilkosky’s sign may become positive. Exfoliation starts 1–2 days later. In the more common and localized form of SSSS, the skin appears wrinkled with superficial erosions on red and moist bases, along with facial edema and/or perioral crusting (see Fig. 11). In less common but more severe forms of the disease, tender, sterile, and flaccid bullae develop in the superficial epidermis. After a couple of days, the bullae rupture exposing moist and denuded skin. Finally, desquamation ensues in flexural areas initially and then generalizes [5, 54, 57].
Fig. 11.

Staphylococcal scalded skin syndrome (SSSS). In the exfoliation of SSSS skin appears wrinkled with superficial erosions on red and moist bases, along with facial edema and/or perioral crusting
Diagnosis
SSSS can be diagnosed clinically. Leukocytosis may be present on CBC. Blood cultures are usually negative in children but may be positive in adults. Contrary to bullous impetigo, cultures taken from intact bullae are negative [57]. Children usually rapidly improve thus histology is not necessary. However, in those poorly responding adults, confirmation of the diagnosis may be beneficial. Frozen-section histology of a blister roof is a rapid method for differentiating toxic epidermal necrolysis (TEN), where the roof comprises the whole epidermis, from SSSS, where the cleavage is in the stratum granulosum. Slide latex agglutination and enzyme-linked immunosorbent assay (ELISA) are confirmatory test that identify the exfoliative toxins [54].
Pathology
Pathology of SSSS shows cleavage at the stratum granulosum of the epidermis (see Fig. 12). Due to its toxin-mediated origin, these lesions lack inflammatory infiltrates or organisms in both the dermis and bullae [5].
Fig. 12.

Histopathological findings of Staphylococcal scalded skin syndrome. Subcorneal blister with some acantholytic cells. Bacteria not present in the blistering toxin-induced lesions
Differential Diagnosis
The distinction between SSSS and TEN is vital for the management of either disease. SSSS is also confused with other disorders depending on which of the three stages of SSSS the patient presents. These conditions include sunburns, toxic shock syndrome (TSS), viral exanthema, erythema multiforme, drug-induced TEN, extensive bullous impetigo, graft-versus-host (GVH) disease, and pemphigus foliaceous. Child abuse or elderly abuse can also be included in the differential diagnosis when pertinent [12].
Complications
If left untreated or treated poorly, SSSS patients can develop serious and potentially life-threatening complications such as cellulitis, dehydration, electrolyte disturbance, sepsis, shock, and involvement of other body systems [56].
Treatment
Treatment includes systemic anti-staphylococcal antibiotics such as the penicillinase-resistant penicillin, dicloxacillin. Severe cases require hospitalization and parenteral administration of antibiotics. Oral antibiotics should be adequate for mild localized cases. Evidence suggests that parenteral antibiotics are more effective in treating SSSS than oral antibiotics, thus hospital admission is almost always advised due to the rapid progression of this infection. With appropriate treatment, skin lesions resolve within 2 weeks [57].
Pain management is favorable because the lesions are often painful. Oral anti-histamines may be used to control itching. Skin lubrication with emollients is beneficial. Fluid and electrolyte replacement may be necessary. Body temperature should be carefully monitored [58].
Infection control measures include: isolating the patient while they remain infectious during the 48 h after initiating antibiotic treatment, taking culture swabs from the equipment used in the patients room, using gloves and masks at all times, and testing the nursing and medical staff for potential carriers when hospital acquired cases occur [58].
Toxic Shock Syndrome
Introduction
TSS is a capillary leak syndrome caused by the immunological response to a toxin-mediated infection.
Incidence and Prevalence
It was first formally described in 1978; however, major interest did not grow until 1980 when a significant number of staphylococcal TSS cases were reported in healthy young women using high absorbency tampons during menstrual periods [59]. Cases of menstrual TSS have decreased from 9/100,000 women in 1980 to 1/100,000 women since 1986. The menstrual TSS case-fatality rate has also declined from 5.5% in 1979–1980 to 1.8% in 1987–1996 [60].
Currently, more than 50% of reported TSS cases are not related to menstrual tampon use, but rather are seen after surgical procedures, post-partum infections or cutaneous infectious processes, among others [61]. Furthermore, the case-fatality rate for non-menstrual TSS has remained constant at 5% over the past several years, contrary to the decline seen with menstrual TSS cases [60].
TSS has been traditionally associated to S. aureus, however, it is known today that group A streptococci causes a similar disease. Group A streptococci (GAS) TSS has been reported with increasing frequency to an estimated 3.5 cases per 100,000 persons and a case-fatality rate of 36% [62, 63].
Etiology
TSS is caused by bacterial superantigens (SAGs) secreted from S. aureus and group A streptococci. SAGs bypass normal antigen presentation by binding to class II major histocompatibility complex (MHC) molecules on antigen presenting cells and to specific variable regions on the β-chain of the T-cell antigen receptor. By binding to only one of the five variable elements that conventional antigens need for recognition, SAGs activate T cells at higher orders of magnitude causing massive cytokine release. Cytokines are believed to be responsible for the most severe symptoms of TSS, including hypotension, shock, and multi-organ failure [61].
Staphylococcal TSS may be classified by its etiology: either menstrual or non-menstrual. Menstrual TSS is associated with the prolonged use of high absorbency tampons. Non-menstrual TSS can be seen in several patient populations including post-surgical, post-respiratory tract viral infections, use of contraceptive diaphragms or intrauterine devices, postpartum, concomitant skin infections or lesions, burn patients and after the use of foreign bodies such as nasal packing [61, 64].
Toxic shock syndrome toxin-1 (TSST-1) is the exotoxin believed to be responsible for essentially all cases of menstrual-associated TSS, because of its ability to cross intact mucosa [63]. In most cases of non-menstrual TSS where skin integrity is compromised, TSST-1 and staphylococcal enterotoxin serotype B (SEB) and C (SEC) have been found to be involved [64, 65].
M types 1 and 3 group A streptococci and streptococcal pyrogenic exotoxins (SPE) serotypes A and C have been strongly associated with most cases of streptococcal TSS. However, cases were necrotizing fasciitis and myositis has caused TSS have not been associated with either SPE A or C implying other streptococcal superantigens involvement [66]. For streptococcal TSS to ensue the mucosal or skin barrier must be compromised as in chickenpox, wounds, pharyngitis, postpartum, and after viral infections [61, 67, 68].
Nonetheless, not every patient exposed to a virulent staphylococcal or streptococcal strain develop TSS. This is because the main determining is the lack of antibodies to SAGs [61].
Clinical Features
Staphylococcal TSS is characterized by the sudden onset of high fever, chills, headaches, vomiting, diarrhea, and muscle aches. It generally begins with a severe localized pain out of proportion to the injury and typically found in an extremity. Other initial symptoms may be present: flu-like, fever, chills, muscle aches, sore throat, lymphadenopathy, confusion, vomiting, and diarrhea. Skin manifestations are rarer than in Staphylococcal TSS, but a generalized blanching and macular erythema may be present. A macular erythematous eruption commences on the trunk and spreads centripetally (see Fig. 13). Contrary to SSSS, the palms, soles, and mucous membranes develop erythema. Non-pitting edema of the palms, soles, and occasionally throughout the body occurs. This condition can rapidly progress to severe and intractable hypotension with multisystem dysfunction. When fever is persistent, hypotension and shock may develop and lead to multiorgan failure, myositis, fasciitis, or disseminated intravascular coagulation (DIC). If the patient recovers, desquamation can occur 1–2 weeks after the onset of the illness in 20% of patients, affecting predominantly the palms and soles [61, 67, 68]. Nail and hair shedding may also occur [61, 62, 69].
Fig. 13.

Toxic shock syndrome (TSS). Denudation of the skin accompanied by hypotension in a critically ill patient
Diagnosis
The diagnosis criteria for TSS is currently defined by the Center for Disease Control (CDC) and outlined in Table 3. However, patients who do not meet the strict CDC criteria but who clearly have a compatible staphylococcal or streptococcal TSS illness should be managed similarly [70].
Table 3.
Toxic shock syndrome
| Fever |
| Temperature > 38.9°C (102.0°F) |
| Hypotension |
| Systolic blood pressure ≤90 mmHg for adults or less than 5th percentile by age for children <16 years; orthostatic drop in diastolic blood pressure ≥15 mmHg |
| Rash |
| Diffuse macular erythroderma |
| Desquamation |
| 1–2 weeks after onset of illness, particularly involving palms and soles |
| Multisystem involvement (three or more of the following organ systems) |
| GI: Vomiting or diarrhea at onset of illness |
| Muscular: Severe myalgia or CPK elevation >2 times the normal upper limit |
| Mucous membranes: Vaginal, oropharyngeal, or conjunctival hyperemia |
| Renal: BUN or serum creatinine >2 times the normal upper limit, or pyuria (>5 WBC/hpf) |
| Hepatic: Bilirubin or transaminases >2 times the normal upper limit |
| Hematologic: Platelets <100,000/mm3 |
| Central nervous system: Disorientation or alterations in consciousness without focal neurologic signs in the absence of fever and hypotension |
| Negative results on the following tests |
|
Blood, throat, or cerebrospinal fluid cultures for a pathogen that is not S. aureus Serologic tests for Rocky Mountain spotted fever, leptospirosis, or measles |
Information taken from CDC 1997 case definition
Pathology
On histology, one can see a lymphocytic and neutrophilic infiltrate within the upper dermis and edema of the dermal papillae. Other findings may include subepidermal vesiculation, epidermal spongiosis or confluent epidermal necrosis [5].
Differential Diagnosis
A comprehensive differential diagnosis of TSS includes the following conditions: viral exanthema, Kawasaki’s disease, scarlet fever, drug eruptions, Rocky Mountain spotted fever, systemic lupus erythematosus, early TEN, SSSS, leptospirosis, meningococcemia, and severe adverse drug reactions [5, 13].
Complications
Multiple complications have been reported in cases of TSS including: renal failure, adult respiratory distress syndrome, vocal cord paralysis, paresthesias, arthralgias, DIC, gangrene, and even death [62].
Treatment
Adequate treatment may result in complete recovery. β-Lactamase resistant systemic antibiotics are required to eradicate organisms and prevent recurrences. Some physicians believe in using antibiotics, such as clindamycin, because it suppresses toxin production by inhibiting protein synthesis, especially in streptococcal TSS [61].
Vigorous fluid therapy should be used to treat hypotension with complementary vasopressors as needed. Removal of the foreign body or causative agent is necessary. If a skin infection is the etiology, drainage of the infected site, debridement, fasciotomy, or even amputation may be required.
The use of corticosteroids in the management of TSS has been in recent debate. Keh in 2004 reported benefit of low-dose corticosteroid use in cases unresponsive to antibiotics. However, many clinicians do not recommend corticosteroid treatment in TSS because of the limited clinical data. Treatment with intravenous immune globulin (typically, 400 mg/kg in a single dose administered over several hours) has proven to reduce mortality in severe cases of early TSS that has not responded to fluids and vasopressors, particularly in GAS TSS [71]. Because individuals with lack of immunity to SAGs are at greater risk for TSS, a toxoid vaccine that targets the TSS toxin is under investigation [61].
The CDC defines probable TSS as any case which meets the laboratory criteria and where four of the five clinical findings described above are present. A confirmed TSS is defined by meeting the laboratory criteria and positive findings for all five of the clinical features described previously; including desquamation (unless the patient dies before desquamation occurs) [70] (Table 4).
Table 4.
Streptococcal toxic shock syndrome
| Hypotension |
| Systolic blood pressure ≤90 mmHg for adults or less than 5th percentile by age for children <16 years |
| Multi-organ involvement characterized ≥2 of the following |
| Renal impairment: Creatinine ≥2 mg/dL (≥177 μmol/L) for adults or more than or equal to twice the upper limit of normal for age. In patients with preexisting renal disease, a greater than twofold elevation over the baseline level |
| Coagulopathy: Platelets ≤ 100,000/mm3 or disseminated intravascular coagulation |
| Liver involvement: ALT, AST, or total bilirubin levels more than or equal to twice the upper limit of normal for the patient’s age. In patients with preexisting liver disease, a greater than twofold increase over the baseline level |
| Acute respiratory distress syndrome: Acute onset of diffuse pulmonary infiltrates and hypoxemia in the absence of cardiac failure or by the evidence of diffuse capillary leak manifested by acute onset of generalized edema, or pleural or peritoneal effusions with hypoalbuminemia |
| Rash: A generalized erythematous macular rash that may desquamate |
| Soft-tissue necrosis: including necrotizing fasciitis or myositis, or gangrene |
| Isolation of group A streptococcus |
Information taken from CDC 1996 case definition [70]
The CDC defines probable Streptococcal TSS as any case that meets the clinical case definition in the absence of another identified etiology and with the isolation of group A streptococcus from a non-sterile site (i.e., throat, vagina, sputum, or superficial skin lesion). CDC defines confirmed Streptococcal TSS as any case that meets the clinical case definition with isolation of group A streptococcus from a normally sterile site (i.e., blood or cerebrospinal fluid or, less commonly, joint, pleural, or pericardial fluid) [70].
Blistering Distal Dactylitis
Introduction
Blistering distal dactylitis (BDD) is an uncommon superficial infection of the distal palmar fat pad of the finger described classically in children.
Incidence and Prevalence
Although initially described in children, BDD has also been reported in both immunocompetent and immunocompromised adults.
Etiology
BDD can be caused by the Gram-positive bacteria group A β-hemolytic streptococcus or S. aureus. A group of bullae may be a clue of S. aureus being the causative agent [72]. BDD can coincide with a gram-positive infection or colonization of the anus, nasopharynx, or conjunctiva due to autoinoculation, prior abrasion, bite, or burn [73].
Clinical Features
BDD manifests as an acral tense blister 10–30 mm in diameter. Most commonly occurs on the volar fat pads of the fingers but can occur on the nail fold, proximal phalangeal, and palmar areas of the hands and rarely on the feet and toes. BDD is usually associated with hyperpigmentation of the surrounding skin. Hyperpigmentation may even occur weeks before the eruption of the blister. The blister may evolve into erosions over the course of several days [74].
Diagnosis
BDD can be diagnosed based on the clinical presentation and confirmatory bacterial cultures or gram stains, although the latter are not necessary.
Differential Diagnosis
The differential diagnosis of BDD includes burns, paronychia, bullous impetigo, and herpetic whitlow [13].
Treatment
The blisters should be incised and drained; wet to dry compresses may be used in the eroded areas. Patient should be started on a 10-day treatment with a β-lactam antibiotic. Nevertheless, β-lactamase-resistant antibiotics are commonly used when S. aureus exhibits antibiotic resistance in the area. Systemic therapy is useful in eradicating a focus of inoculation [5, 74].
Necrotizing Soft Tissue Infections
Introduction
Necrotizing soft tissue infections (NSTI) are a dangerous group of rapidly progressive infections that cause necrosis of the skin and underlying subcutaneous tissues. These are divided by depth of involvement, anatomic location, and causative organism or predisposing conditions, but they all share similar pathophysiology, clinical features, and treatment approaches [75]. In this chapter, the most important specific disease entities will be discussed with emphasis on three categories: myonecrosis, necrotizing cellulitis, and necrotizing fasciitis.
Formerly known as gas gangrene, clostridial myonecrosis is the most severe form of NSTI. Muscle necrosis and gas formation are prominent as its name implies. Most cases arise after deep wounds or surgery involving muscle tissue, and rarely spontaneously. This condition is caused by the species of the genus Clostridium, particularly C. perfringens, although other gram-positive rods have been described. The severity of the infection can be explained by the versatility of C. perfringens’ α (alpha) toxin, which causes tissue necrosis, leukocyte inactivation, red blood cell hemolysis, and direct depression of the cardio-respiratory system. Leukocyte inactivation prevents host response thus predisposes the patient to a fulminant course. This aggressive condition advances in a couple of hours and, unlike other NSTI, there is little inflammation on histologic examination [76].
Of the NSTI’s, the category of necrotizing cellulitis is characterized by more superficial and insidious involvement, except for synergistic necrotizing cellulites, which may also be considered a variant of necrotizing fasciitis [77]. This condition and other types of necrotizing cellulitis are briefly discussed in Table 5 [78].
Table 5.
Necrotizing soft tissue infections (NSTI)
| Type of necrotizing cellulitis | Etiology | Clinical characteristics | Gas content | Risk factors |
|---|---|---|---|---|
| Clostridial cellulitis | Clostridium perfringens | Superficial | Prominent in skin; no involvement of fascia or muscle | Preceded by local trauma or surgery |
| Non-clostridial anaerobic cellulitis | Mixed anaerobic and aerobic bacteria | Foul odor; often leads to septicemia | Present | Diabetes mellitus |
| Meleney’s synergistic gangrene | Centrally S. aureus and peripherally microaerophilic streptococci | Slowly expanding indolent ulcer; confined to superficial fascia | Absent | Preceded by surgery |
| Synergistic necrotizing cellulitis | Polybacterial: anaerobes and facultative bacteria | Rapid course; systemic toxicity; skin, muscle, fat, and fascia involvement | 25% of cases | Diabetes mellitus |
Created with information from [78]
Necrotizing fasciitis (NF) is a rapidly progressing deep necrotizing infection involving the subcutaneous tissue and fascia. There are approximately 3.5 cases per 100,000 persons, with a case fatality rate of 25% [79].
Etiology
Most NSTI are caused by synergistic aerobic and anaerobic bacteria [75]. Some necrotizing infections are caused by a single organism, as is the case in clostridial myonecrosis and NF type II caused by group A streptococci.
NF is divided, principally, into four groups according to the causative organism and clinical features [80]. NF type I, the most common, is a mixed aerobic–anaerobic bacterial infection that arises generally after trauma or surgical procedures [75]. NF type III is caused by gram-negative bacteria, often marine-related and NF type IV is usually trauma associated with fungal etiology [80]. As in non-clostridial anaerobic cellulitis and synergistic necrotizing cellulitis, patients with NF type I predominantly suffer from a predisposing systemic illness, such as diabetes. NF type II, as mentioned above, is an infection caused by virulent group A streptococci. Factors predisposing to NF type II include varicella lesions, a blunt or lacerating trauma, surgical procedure, exposure to a streptococcal-infected person, and some claim that NSAID use also predispose to NF type II by attenuating the host immune response [75, 77, 81, 82]. In contrast to NF type I, which is generally associated with a systemic illness, NF type II occurs in healthy patients of any age [82]. It evolves more rapidly than NF type I and may progress from group A streptococcal infection to streptococcal TSS.
Clinical Features
Necrotizing fasciitis (NF) is a rapidly progressive, treatment resistant and extremely painful cellulitis. Early recognition of this condition is critical given its rapid progression and extensive tissue destruction. In some patients, the signs and symptoms are not apparent initially and it may spare the overlying skin. In diabetic patients suffering from neuropathy, the exquisite pain typical of necrotizing fasciitis may be absent. Furthermore, if a patient is recovering from trauma or surgery and is receiving pain medications, the symptoms of NF may be disguised [83].
Most NSTI occur in the extremities. Diabetic patients are in greater propensity to develop NF in other less usual areas such as: head and neck region (Ludwig’s angina) and perineal area (Fournier’s gangrene); these tend to be polymicrobial necrotizing fasciitis [81–83].
In the first 24–48 h, a red-violaceous area changes to a gray-blue hue with overlying blisters and bullae; however, they may also develop over apparently non-affected skin. Initially, the bullae contain clear fluid, but this can progress to hemorrhagic fluid (see Fig. 14). Crepitus can be present in some necrotizing infections as gas enters the soft tissue; however, its absence does not exclude the presence of NSTI. Following the extensive underlying soft tissue destruction, a foul-smelling watery discharge ensues, and the patient usually exhibits signs and symptoms of systemic toxicity. As the infection progresses, anesthesia rather than tenderness is characteristic due to the cutaneous nerve destruction [83].
Fig. 14.

Gas gangrene. From the beginning, the red-violaceous area changes to a gray-blue hue with overlying blisters and bullae that contain clear fluid but can progress to hemorrhagic fluid
Diagnosis
A rapidly evolving condition along with the aforementioned clinical features should raise suspicion of an NSTI. Laboratory findings generally are nonspecific. In NF, blood tests typically demonstrate coagulopathy, leukocytosis with a marked left shift, and elevations in serum lactate, creatinine kinase, and creatinine concentrations [81, 85]. Clinical findings with laboratory abnormalities are sufficient to prompt urgent surgical exploration. Surgical exploration should never be delayed for imaging studies. MRI is not sensitive enough to warrant a delayed surgery, nonetheless, it can delineate the depth of infection and it can rule out NSTI when the clinical picture is ambiguous [24, 86, 87].
During surgical exploration, the presence of gas, tissue integrity, and depth of invasion are evaluated. For example, upon entering the muscle compartment in myonecrosis, the muscle is edematous, pale gray, without blood or contraction, and has an obvious release of gas. A tissue biopsy for histologic examination and cultures is more reliable than samples of skin or bullae. Local anesthesia and a small incision may be sufficient for diagnostic purposes; however, since aggressive surgical debridement is the gold standard of therapy, surgical exploration may be performed simultaneously for both [75].
Pathology
Histologic examination of tissue samples generally show neutrophilic infiltrates, thrombosis of blood vessels, abundant bacteria in the upper dermis (polymicrobial in NF type I vs. monomicrobial in NF type II) and widespread necrosis of the subcutaneous fat and fascia while sparing the muscle. Gas may or may not be present in NF type I, but is highly unusual in NF type II [75].
Differential Diagnosis
It is important to distinguish NSTI from cellulitis or other superficial tissue infections that do not present such hazardous prognoses. When approaching a suspected NSTI, also consider conditions such as aspergillosis, pyomyositis, viral myositis, arthritis, bursitis, phlebitis, hematoma, trauma, and bites [75, 77].
Complications
Even with appropriate treatment, the probability of developing shock, multiorgan failure or dying is high. Among the most important prognostic factors are: the time from the onset of infection to treatment, extent of surgical debridement, and location of the lesion. Furthermore, the mortality rate of NF type II is higher than in NF type I because of the possible development of Streptococcal TSS [88].
Treatment
Treatment of NSTI requires early and aggressive surgical debridement with excision of all necrotic tissue. Incision and drainage approach is not sufficient [75]. Parenteral empiric antibiotic coverage should be started immediately with broad spectrum antibiotics and anaerobic coverage until information is gained by surgical exploration and confirmed with Gram stain or culture results. A number of antibiotic combinations may be used; options include: (1) ampicillin and gentamicin or (2) ampicillin–sulbactam plus clindamycin or metronidazole as good first-line choices. In previously hospitalized patients, gram-negative and pseudomonal coverage should be improved by using (3) ticarcillin–clavulanate or piperacillin–tazobactam, instead of the ampicillin or ampicillin–sulbactam. If group A streptococcal infection is suspected, (4) clindamycin and penicillin may be used [75, 77, 84, 89].
Use of hyperbaric oxygen therapy is controversial and should never delay surgical management and antibiotic administration. In specific conditions, such as gas gangrene, hyperbaric oxygen is of greater advantage because of its effects in arresting toxin production [80, 90].
Administration of intravenous immunoglobulin (IVIG) has been reported to be beneficial in cases of severe group A streptococci infections, as discussed previously in TSS. Additional studies, however, are needed before a strong recommendation can be made regarding their use in NSTI.
Rhinoscleroma
Introduction
Rhinoscleroma is a chronic granulomatous, slowly progressing, and disfiguring infection predominantly affecting the upper respiratory tract.
Incidence and Prevalence
Rhinoscleroma is a rare disease without accurate national or international incidence data. More than 16,000 cases have been reported since 1960 [91]. Most cases are from Central Europe, Middle East, Central America, and tropical Africa [92].
Etiology
The causative agent is the encapsulated gram-negative bacilli Klebsiella rhinoscleromatis. Due to the fact that it is associated with poor hygiene, malnutrition, and population over crowding it usually affects lower social and economic population classes [92].
Clinical Features
Rhinoscleroma affects most areas of the upper respiratory tract, for which the nose is involved in 95–100% of cases [92]. Clinically the disease progresses in three stages:
The catarrhal stage: symptoms of rhinitis that progress to foul-smelling purulent rhinorrhea, crusting, and nasal obstruction which may last for months.
The hypertrophic stage: formation of granulation tissue causing deformity and enlargement of the nose, upper lip, and adjacent structures. This lesion appears as a rubbery bluish-purple granuloma that evolves to a pale-indurated mass. Most cases are diagnosed in this because of complaints of epistaxis, anosmia, hoarseness, or anesthesia of the tissues.
The sclerotic stage: fibrotic tissue surrounds the granulomatous area with extensive scarring and laryngeal and nasal stenosis [92, 93].
Diagnosis
The distinctive clinical features of the disease along with the patient’s living conditions are the two most important assessments needed for diagnosis. Histopathological and bacteriological analyses with PAS, Giemsa, and Warthin–Starry stains confirm the diagnosis [93]. Radiographic studies are of value in assessing the extension.
Pathology
As the clinical stages progress, so do the histologic features of the disease.
The catarrhal stage: atrophic mucosa with squamous metaplasia and a subepithelial infiltrate of neutrophils with some granulation tissue.
The hypertrophic stage: pseudo-epitheliomatous hyperplasia with hypertrophic collagenous tissue and chronic inflammatory cells including Mikulicz’s cells (foamy macrophages containing bacilli) and Russell bodies (eosinophilic structures within plasma cells).
The sclerotic stage: fibrous tissue, Mikulicz’s cells, and Russell bodies are difficult to see at this stage [92, 93].
Differential Diagnosis
The differential diagnosis depends greatly upon the site and extent of infection. Conditions to consider include the following: tuberculosis, actinomycosis, syphilitic gumma, leprosy, rhinosporidiosis, histoplasmosis, blastomycosis, paracoccidioidomycosis, mucocutaneous leishmaniasis, sarcoidosis, Wegener’s granulomatosis, and neoplasms [92–94].
Complications
Extensive disfigurement of the face may result from erosions over the infection. Damage may be widespread enough to cause complete obstruction of the airways resulting in death [92].
Treatment
Treatment consists of prolonged antibiotic therapy. Fluoroquinolone antibiotics prove to be the most effective due to their increased penetrance. Surgical debridement or carbon dioxide laser are used to reduce symptoms of obstruction if necessary. Corticosteroids are also useful in the early stages to reduce the inflammatory symptoms [92–94].
Spirochetes
Leptospirosis
Introduction
Leptospirosis is the most common zoonosis in the world [95 96].
Incidence and Prevalence
The majority of clinical cases occur in the tropical and subtropical areas [97]. In the USA, leptospirosis is prevalent year-round with half of the new cases occurring between July and October. Nevertheless, the incidence is unknown since leptospirosis was removed from the list of nationally reported diseases in 1994, remaining reportable only in Hawaii. Epidemics occur mostly following natural disasters such as cyclones and floods [98].
Etiology
This systemic disease is caused by various strains of the aerobe spirochetes Leptospira spp. bacterium. There are various species of the Leptospira genus, one of which, Leptospira interrogans, has two serovars with characteristic clinical manifestations; serotype icterohaemorrhagiae for icteric leptospirosis, and serotype autumnalis for anicteric leptospirosis. Humans most often become infected after exposure to animal urine, contaminated water or soil, or infected animal tissue. Spirochetes gain entry via wet skin, abrasions, mucous membranes, or conjunctiva [12, 96].
Clinical Features
The disease may manifest as a self-limited systemic infection, a subclinical illness followed by seroconversion, or a potentially fatal illness accompanied by multiorgan involvement. Two major clinically recognizable syndromes have been described: anicteric leptospirosis, which is the most common, and icteric leptospirosis, the most severe and potentially lethal form. After an incubation period of 1–2 weeks, each syndrome has two phases: the acute septic phase (4–7 days) and the delayed immune phase (4–30 days) [99].
Anicteric leptospirosis, also called Pretibial fever or Fort Bragg fever, has a septic phase characterized by high fevers, headaches, myalgias of the lower back and calf muscles, anorexia, nausea, vomiting, and abdominal pain. The immune phase is characterized by a more mild fever, more intense headaches, aseptic meningitis, conjunctival suffusion, uveitis, hepatosplenomegaly, and pulmonary involvement. During the immune phase, the characteristic cutaneous manifestation of non-pruritic erythematous patches or plaques on the pretibial areas can occur. Skin manifestations resolve spontaneously after a week [12, 99].
Icteric leptospirosis (Weil’s syndrome) is unique in that the two phases of the illness are often continuous and indistinguishable. Initial phase starts with the sudden onset of high fever and chills, marked jaundice, hematuria, proteinuria, and azotemia. Petechiae and/or purpura may be found on the skin and mucous membranes [12].
Diagnosis
The diagnosis of leptospirosis is suspected on the basis of clinical manifestations, laboratory findings, disease course, and epidemiological features. Conjunctival suffusion, when present, is one of the most reliable distinguishing features since it rarely occurs with any infectious illness other than leptospirosis [100]. Laboratory studies of patients with mild disease generally reveal the following anomalies:
Elevated erythrocyte sedimentation rate
Leukocytosis with a left shift
Mild elevation of aminotransferases, serum bilirubin, and alkaline phosphatase in blood
Proteinuria, leukocytes, erythrocytes, and hyaline or granular casts in urine
Neutrophilia, normal glucose, normal pressure, and normal or elevated protein in CSF
Laboratory studies of patients with the severe form of the disease exhibit:
Mild thrombocytopenia and marked leukocytosis
Elevated prothrombin time and creatinine phosphokinase
Modestly elevated transaminases
Azotemia and renal failure
Electrocardiographic (ECG) abnormalities [95].
Since the clinical features and routine laboratory findings of leptospirosis are not specific, the organism can be cultured to arrive at a diagnosis, although, the definite diagnosis is more frequently made by serologic testing [101]. This is due to the fact that cultures may be negative if drawn too early or too late. Serologic tests include: microscopic agglutination test (MAT), macroscopic agglutination test, indirect hemagglutination, and ELISA [102, 103]. Therapy may be initiated on the basis of clinical manifestations since cultures may take several weeks to grow, and only specialized laboratories perform the serological tests, which do not yield a positive result for roughly a week after the onset of the illness [103]. Leptospira can be found in blood and CSF during the septic phase but are found in urine and aqueous humor during the immune phase.
Pathology
On histology, skin lesions show edema and nonspecific perivascular infiltrate [12].
Differential Diagnosis
Leptospirosis may resemble the following different infectious illnesses which share endemic areas and clinical features: dengue, malaria, scrub typhus, rickettsial diseases, salmonella typhi, ehrlichiosis, and influenza [5, 12].
Complications
Most cases of leptospirosis are self-limited, but the complications can include: uveitis, myocarditis, hemorrhage due to DIC, rhabdomyolysis that may result in renal failure, acute respiratory distress syndrome (ARDS), septic shock and multiple organ failure. Liver failure may ensue but is generally reversible [98].
Treatment
Supportive therapy along with management of hematologic, renal, hepatic, and CNS complications are essential in the treatment of leptospirosis [99]. Dialysis and blood component transfusions may be necessary. Treatment with antibiotics should be started as soon as possible since this has been proven to shorten symptom duration. For anicteric leptospirosis, doxycycline, ampicillin, or amoxicillin may be used [100]. For icteric leptospirosis, the primary therapy is penicillin G [104]. Animal vaccination has been available for years, however, these preparations were too reactogenic to be used in humans and thus have not been approved in countries other than Japan, China, and Vietnam [96]. Since no human vaccines are available yet, prophylaxis may be achieved while visiting an endemic area by administering a weekly dose of doxycycline [98].
Lyme Disease
Introduction
Lyme disease is an infectious disorder involving multiple systems when advanced, but given its classic cutaneous manifestation, this condition can be diagnosed promptly and cured effectively.
Incidence and Prevalence
Despite worldwide prevalence, the incidence of Lyme disease is highest in areas of middle Europe and the northeast and Midwest USA. In 2007, reported cases of Lyme disease in the USA totaled 27,444, with most occurring during the summer months [105].
Etiology
The symptoms of Lyme disease are due to the body’s immune response to an infection with the spirochete Borrelia burgdorferi, transmitted by the bite of the Ixodes tick. Three serotypes of Borrelia burgdorferi sensu lato have been found:
B. burgdorferi sensu stricto is the most common cause of Lyme disease in the USA
B. afzelii and B. garinii are also present in Europe causing acrodermatitis chronica atrophicans and neurologic Lyme disease, respectively [106].
In addition to distinct strains manifesting with different clinical presentations, varying immune responses lead to diverse clinical scenarios and sometimes even seroconversion without the onset of symptoms [105].
Clinical Features
Lyme disease is generally divided into three clinical stages: early localized, early disseminated, and late disease (described briefly in Table 6) [107–110].
Table 6.
Clinical manifestations of Lyme disease
| Early localized disease |
| Erythema migrans |
| Constitutional symptoms (fatigue, malaise, lethargy, headache, myalgias, arthralgias, and local lymphadenopathy) |
| Early disseminated disease |
| Cardiac involvement |
| AV block |
| Cardiomyopathy |
| Myopericarditis |
| Neurologic involvement |
| Cranial neuropathy (most often Bell’s palsy) |
| Meningitis |
| Encephalitis |
| Peripheral neuropathy |
| Radiculoneuropathy |
| Musculoskeletal involvement |
| Migratory polyarthritis |
| Polyarthralgias |
| Myositis |
| Cutaneous involvement |
| Multiple erythema migrans lesions |
| Borrelial lymphocytoma (in Europe) |
| Lymphadenopathy |
| Renal involvement |
| Microhematuria |
| Proteinuria |
| Ocular involvement |
| Conjunctivitis |
| Iritis |
| Retinitis |
| Hepatic involvement |
| Hepatitis |
| Late/chronic disease |
| Musculoskeletal manifestations |
| Monoarticular or polyarticular arthritis |
| Neurologic manifestations |
| Encephalopathy |
| Encephalomyelitis |
| Peripheral neuropathy |
| Cutaneous manifestations |
| Acrodermatitis chronica atrophicans (in Europe) |
| Morphea scleroderma-like lesions (in Europe) |
Early localized disease is distinguished by the emergence of the classic skin lesion of erythema migrans (EM), which may be accompanied by constitutional symptoms. EM occurs in more than ¾ of Lyme disease patients, predominantly in the areas of the groin, axillae, and popliteal fossa [111]. The disease may start as a papule in the area of the tick bite that expands slowly to an erythematous annular plaque reaching a median size of 15 cm, and the lesion usually clears in the center creating a bull’s-eye appearance (see Fig. 15) [108].As the lesion centrifugally advances, the non-scaly edge may become crusted or vesicular. Patients do not complain of pain, but rather an occasional burning sensation. Erythema migrans is self-limited and can disappear in several weeks without treatment; however, failure to properly manage this condition may lead to systemic complications [109].
Fig. 15.

Lyme disease. The disease starts as a papule in the area of the tick bite that expands slowly to an erythematous annular plaque that clears in the center creating a bull’s-eye appearance known as erythema migrans
Multiple smaller disseminated EM lesions may result with spirochetemia. In addition to the multiple erythema migrans lesions, early-disseminated disease is characterized by neurologic and/or cardiac findings occurring weeks to months after the onset of infection [5, 111].
Late/Chronic Lyme disease is typically associated with arthritis involving the large joints, predominantly the knees, and/or severe neurologic problems from months up to a few years after the initial infection. In Europe, this chronic stage may present with the rare cutaneous lesions of Acrodermatitis chronica atrophicans predominantly on the extensor surfaces of hands and feet of women. It manifests as bluish-red crinkled thin skin, which progresses chronically to fibrous nodules and even to ulcerations or carcinoma [109].
Diagnosis
The most sensitive technique for the diagnosis of Lyme disease is the recognition of the skin manifestation in a patient exposed to an endemic area. If the erythema migrans (EM) is recognized early in a high-risk individual, no further laboratory test are required to arrive at a diagnosis since serology remains negative until several weeks after the onset of infection. In contrast, patients suspected of early disseminated or late disease must undergo serologic antibody detection testing by ELISA and then confirmed with western blot. PCR of CSF or synovial fluid may be performed to confirm late disease [110].
Pathology
On histology, erythema migrans (EM) may reveal spirochetes when using Warthin–Starry stain. An infiltrate of plasma cells, lymphocytes, and eosinophils may be seen in the interstitium and around vascular endothelium. Eosinophils predominate if the biopsy is taken from the center of the EM lesion [12].
Differential Diagnosis
Erythema migrans should be differentiated from fixed drug eruption, erysipelas, cellulitis, dermatitis, and other tick rashes as in Southern tick-associated rash illness (STARI). When presenting as a systemic disease: fibromyalgia, meningitis, reactive or rheumatoid arthritis, and SLE should be ruled out [5, 12].
Complications
A Jarisch–Herxheimer reaction may be experienced as an abrupt, but transient worsening of symptoms caused by the killing of spirochetes during the first hours of antibiotic treatment for early Lyme disease [107].
Treatment
A highly effective method of prevention is to inspect for ticks after outdoor activity, since the tick needs to be attached more than 24 h to transmit the disease. Nonetheless, if treated in its early stages, Lyme disease is completely curable. For early erythema migrans, 10–21 days of oral doxycycline, amoxicillin, or cefuroxime may be used; doxycycline being preferred in all patients except pregnant women or children under 8 years [112, 113]. In early disseminated disease, if the patient has isolated facial palsy, oral doxycycline for 14–21 days is enough [107]. However, if early, disseminated stage is manifested by carditis, AV block, meningitis or any other acute neurologic involvement, parenteral treatment with ceftriaxone or penicillin G for 10–28 days is necessary [113]. Patients with late disease manifested by arthritis alone may be treated with oral doxycycline therapy, but if neurologic findings with or without arthritis are present, parenteral ceftriaxone or penicillin therapy for 14–28 days is recommended [113]. Antibiotic prophylaxis in asymptomatic patients who have suffered a tick bite is very controversial. Currently, a single dose of doxycycline antibiotic is used as prophylaxis in patients who meet all of the following criteria:
Mycobacteria
Hansen’s Disease
Introduction
Hansen’s disease, commonly known as Leprosy, is a chronic, disabling, and deforming infection that has been stigmatized by society for many centuries.
Incidence and Prevalence
The prevalence of leprosy at the beginning of 2008 consisted of 212,802 cases, while in the early 1980s exceeded the 12 million [115]. In the USA, its reporting began in 1824 and its incidence has never risen above 500 cases [116, 117]. Although this is certainly a positive sign of progress, the World Health Organization (WHO) has not yet reached its goal of reducing the prevalence to <1 case per 10,000 population in all endemic countries. Nepal, India, Brazil, Madagascar, Myanmar, and Indonesia have the highest rates of Leprosy contributing to more than 80% of the world’s cases. Even though most of these countries are tropical or subtropical regions, it is believed that the poor hygiene and living conditions have a stronger relationship with prevalence than climate [118].
Etiology
Infection with Mycobacterium leprae, an obligate intracellular acid-fast bacillus with an affinity for macrophages and Schwann cells, causes leprosy. Contrary to popular belief, Leprosy is not a highly infectious disease nor is it contagious by contact with intact skin. It is principally transmitted by oral or nasal droplets from the infected individual to the exposed nasal or oral mucosa of the recipient. The incubation period can range from several months to over 40 years, with longer periods for lepromatous leprosy (LL) than for tuberculoid leprosy (TT). The areas most commonly affected are the cooler regions of the body: superficial peripheral nerves, skin (predominantly of the earlobes and nose), mucous membranes, bone, anterior chamber of the eyes, liver, and testes [115].
The clinical form of the disease, the granuloma formation, depends on the strength of the host’s immune system and the development of immunologic complications (leprae reactions) rather than in the variations of the organism serotypes, as seen in Lyme disease. Hansen’s disease is classified by a clinical severity spectrum with tuberculoid leprosy (TT) being the mildest form of the disease and lepromatous leprosy (LL), the most severe. The majority of the individuals exposed to M. leprae develop an effective immune response that is curative, while a small percentage of exposed individuals develop a chronic infection with any form within the clinical spectrum depending on immunological response. Strong cell-mediated immunity (CMI) (IFN-γ and IL-2) results in mild forms of disease (TT), with possibly only a few well-defined nerves involved and lower bacterial loads. A strong humeral response (IL-4 and IL-10) and weak CMI, results in LL with widespread lesions, extensive skin and nerve involvement, and high bacterial loads. Borderline, or “dimorphic,” leprosy (BB) and the intermediary regions (BT and BL) between the two ends of the spectrum, reflect the variation of host immune response [118].
Leprae reactions are also attributed to the immunological response against leprae infection. A sudden increase in T-cell immunity is responsible for type I reversal or downgrading reactions. Type II reactions result from the activation of TNF-α, the deposition of immune complexes in tissues with neutrophilic infiltration, and complement activation in organs [119].
Clinical Features
Due to the wide spectrum of clinical findings in Leprosy, various classification protocols have been created to categorize patients within a particular zone of the spectrum and facilitate treatment directives. There are two main classifications. The Ridley–Jopling classification divides the spectrum into five groups based on the immunologic response: tuberculoid (TT) at the mild end, borderline tuberculoid (BT), borderline–borderline (BB, in the middle), borderline lepromatous (BL), and lepromatous (LL) at the severe end. Meanwhile, the WHO classification divides the gamut into three groups based on the number of cutaneous lesions: single-lesion leprosy (one skin lesion), paucibacillary leprosy (2–5 skin lesions), and multibacillary leprosy (>5 skin lesions). The Ridley–Jopling classification is more commonly used with revisions adding an Indeterminate (I) category for patients in an early stage of the disease with insufficient clinical or histological features to fulfill a definitive category. In general, Hansen’s disease primarily involves the skin and nervous system. In addition to cutaneous changes in pigmentation with possible anesthesia of the lesions, peripheral nerves can become enlarged and palpable [115]. Table 7 contains a brief description of each category [115, 120] (Figs. 16–21).
Fig. 17.

Tuberculoid leprosy. Erythematous infiltrated plaque
Fig. 18.

Histopathological features of tuberculoid leprosy. Tuberculoid granulomas with a tendency to be linear along cutaneous nerves
Fig. 19.

Lepromatous leprosy. Erythematous plaques on the (a) trunk and (b) extremities (widespread and symmetric distribution) associated with (c) amyotrophy, contracture of fingers and ulcers on the hands
Fig. 20.

Lepromatous leprosy. Diffuse infiltration of the face with leonine facies (a) and madarosis (b), “Papal hand” flexion contractures of the fourth and fifth fingers (ulnar nerve involvement) (c)
Table 7.
Characteristics of Leprosy described in Ridley–Jopling classification
| Characteristics | LL | BL | BB | BT | TT | I |
|---|---|---|---|---|---|---|
| Cutaneous lesions | Erythematous macules that indurate into painless nodules, madarosis (hair loss of eyebrows or eyelashes), leonine facies, saddle nose, mucosal ulceration, LE ichthyosis (see Figs. 19 and 20) | Erythematous or hypopigmented macules, papules, plaques or nodules with sloping edges | Plaques with sharply demarcated central healing (punched-out lesions) | Annular, scaling erythematous infiltrated plaques | Scaling macules or infiltrated plaques, often hypopigmented with loss of hair in the lesion (see Figs. 16 and 17) | Erythematous or hypopigmented macules |
| Cutaneous distribution and demarcation | Multiple, symmetric, vaguely defined | Multiple, roughly symmetric, vaguely defined | Multiple, asymmetric, vaguely defined | Variable number, satellite lesions, asymmetric, well defined | One or a few (≤5) asymmetric, well-defined | One or a few, variable distribution, vaguely defined |
| Neuropathic changes | Early: No sensory loss, late: symmetric stocking and glove anesthesia, eye and facial nerve involvement | Slight sensory loss, minimal asymmetric peripheral involvement | Moderate sensory loss, asymmetric peripheral nerve involvement | Sensory loss, several asymmetric peripheral nerve involvement | Sensory loss, enlargement of local peripheral nerves | Slight sensory loss, no peripheral nerve enlargement, decreased sweating of affected areas |
| Bacilli in skin lesionsa | ≥6+ (MB) | 4+ to 5+ (MB) | 2+ to 3+ (MB) | Scarce (PB or MB) | None (PB) | None (PB) |
| Pathology | Macrophage loaded with bacilli (Virchow cells), scant lymphocytes, may have plasma cells (see Fig. 21) | Variable, in the mid range of LL and BB | Epithelioid granuloma with scanty lymphocytes | Variable, in the mid range of BB and TT | Epithelioid granuloma with dense lymphocytosis, Langerhan’s giant cells, may have caseation of the nerves (see Fig. 18) | Patch of lymphocytes or macrophages that surround appendages or blood vessels |
| Reactions | Type II, ENL | Type I, reversal and/or type II, ENL | Type I, reversal | Type I, reversal | Rare | None |
Fig. 16.

Tuberculoid leprosy. Scaling patches with decreased sensation
Fig. 21.

Histopathologic features of Lepromatous Hansen’s disease. Diffuse infiltrate of predominantly foamy histiocytes, clumps of bacilli called globi
Diagnosis
The diagnostic evaluation for leprosy includes a complete physical examination with thorough skin observation, neurological examination and skin smears, and/or biopsies. In 1997, the WHO Expert Committee on Leprosy established that one or more of the following three cardinal signs was enough for a diagnosis of leprae: (1) hypopigmented, erythematous, or hyperpigmented skin lesions with sensory loss, (2) nerve enlargement (predominantly great auricular nerve in the neck, median and superficial radial cutaneous nerves at the wrist, ulnar nerve at the elbow, and common peroneal nerve at the popliteal fossa), and (3) the presence of acid-fast bacilli on a skin smear [115]. At the present time, diagnosis is based on clinical criteria plus skin smears or biopsy since it is known that multibacillary leprosy may not present with sensory loss and paucibacillary leprosy may be negative in skin smears [118]. Other tests (PCR, histamine, pilocarpine, and Mitsuda tests) can aid in diagnosis but are performed with less frequency due to unavailability or complexity.
Differential Diagnosis
It is important to assess sensation of the cutaneous lesions of a patient at risk of leprae since these numerous conditions in the differential diagnosis to rule out: tinea versicolor, tinea corporis, pityriasis rosea, congenital nevi, granuloma annulare, tuberculosis, sarcoidosis, psoriasis, secondary syphilis, leishmaniasis, fixed drug eruption, neurofibromatosis, and others [121]. The differential diagnosis for rare cases of isolated neural involvement (neuritic leprosy) are: diabetic neuropathy, carpal tunnel, amyloidosis, and poliomyelitis. By recognizing the specific extent of neural involvement such that leprae never involves upper motor neurons, deep tendon reflexes, proximal muscles or proprioception may the differential diagnosis be narrowed [118].
Complications
Some patients develop leprae reactions, an acute hypersensitivity to M. leprae. These are especially prominent during the treatment phase if a patient is pregnant or suffering from another infection. It can occur with any form of leprosy, except for the indeterminate leprosy category [118]. The clinical features of the major types of inflammatory reactions are described in Table 8 [115] (Fig. 22).
Table 8.
Characteristics of leprae reactions
| Type 1: Reversal reaction | Type 2: Erythema nodosum leprosum (ENL) | |
|---|---|---|
| Type of leprosy | Occurs in borderline leprosy (BB, BT, BL) | Occurs in borderline lepromatous and lepromatous leprosy |
| Pathophysiology | Type IV delayed-type hypersensitivity reaction, acute exacerbation of CMI | Antigen–antibody immune complexes formation |
| Clinical features |
Constitutional symptoms Existent lesions become erythematous and edematous, and may ulcerate Edema of affected extremities and face Acute nerve tenderness and damage Emergence of new erythematous lesions |
Constitutional symptoms Crops of erythematous tender nodules appear (extremities and face) (see Fig. 22) Edema of face, hands, and feet Orchitis Lymphadenitis Epistaxis Proteinuria Severe joint and peripheral nerve swelling Iridocyclitis |
| Course | Occurs during 6–18 months of treatment and persists for a few months | May occur before treatment but tends to occur after and, lasts for a few days but may recur |
| Treatment | Oral prednisone, NSAID’s | Thalidomide, NSAID’s, increase clofazimine dose |
CMI cell-mediated immunity
Adapted from [115]
Fig. 22.

Erythema nodosum leprosum (type 2 reaction). Appearance of multiple red papulonodules in a patient with lepromatous leprosy
Treatment
Early diagnosis and treatment is the key to curing the disease effectively before it creates stigma and disability. The WHO and US treatment regimens are the two main therapeutic protocols against Leprosy, each indicated in Tables 9 and 10, respectively [118, 122]. Only the WHO has a recommended treatment for single skin lesions; nonetheless, both are multidrug therapies (MDT) that prevent dapsone resistance, eliminate contagiousness with the first dose, and reduce relapses [122].
Table 9.
World Health Organization Recommendations for Treatment of Leprosy
| WHO recommendations for treatment of leprosy |
|---|
| Single skin lesion: Single dose of rifampin 600 mg + ofloxacin 400 mg + minocycline 100 mga |
| Paucibacillary: Dapsone 100 mg daily + rifampin 600 mg once a month (6 cycles in 9 months) |
| Multibacillary: Dapsone 100 mg daily + rifampin 600 mg once a month + clofazimine 300 mg once a month + clofazimine 50 mg daily (for 1 year) |
aAbbreviated as ROM treatment
Table 10.
United States Recommendations for treatment of Leprosy
| US recommendations for treatment of leprosy |
|---|
| Paucibacillary: Dapsone 100 mg daily + rifampin 600 mg once a month (for 1 year) |
| Multibacillary: Dapsone 100 mg daily + rifampin 600 mg daily + clofazimine 50 mg daily (for 2 years) |
Close follow-up is important to ensure patient compliance and monitor CBC and liver function tests, which are negatively affected by the medications. Educating patients about ways to minimize nerve damage helps prevent deformities.
Atypical Mycobacteriosis
Introduction
Mycobacteria are a family of small rod-shaped bacilli that cause a gamut of infectious conditions, of which the most notorious are mycobacterium tuberculosis and mycobacterium leprae. Nevertheless, there is a large proportion of mycobacteria that do not cause tuberculosis nor leprosy, known as atypical mycobacteria; also referred to as Mycobacteria other than tuberculosis (MOTT) or Non-tuberculous mycobacteria (NTM). To this day, a vast number of mycobacteria species have been identified and classically categorized based on the speed of growth, morphology, and pigment production, but this chapter will be limited to those with cutaneous manifestations [14]. Details on Mycobacterium avium intracellulare are included in the Cutaneous Manifestations of HIV Disease chapter.
Incidence and Prevalence
Cutaneous infections with atypical mycobacteriosis (ATM) are rare in the USA and worldwide; however, have gained attention because the number of reported cases is increases [123]. ATM infections are more common in immunocompromised patients whom also have a greater risk of disease dissemination [13].
Etiology
These saprophytic (obtain nourishment from products of organic breakdown) organisms are found in water, soil, vegetation, and domestic and wild animals [14]. Atypical mycobacteria cannot pass through intact mucosa or skin, therefore are transmitted by inhalation, percutaneous penetration, or by ingestion [124].
Clinical Features
ATM present with variable signs and symptoms. They principally affect the lungs, lymphatics, skin, and soft tissue (see Figs. 23 and 24). See Table 11 for further details on the variable cutaneous manifestations.
Fig. 23.

Atypical mycobacteria. Erythematous violaceous indurated verrucous plaque on the elbow
Fig. 24.

Atypical mycobacteria. Irregular violaceous plaque with silvery scaling and excoriations
Table 11.
Characteristics of atypical mycobacterioses
| Etiology | Epidemiology | Skin lesions | Clinical features | Pathology | Differential diagnosis | Treatment |
|---|---|---|---|---|---|---|
| M. marinum | Enters through breaks in the skin from contaminated fresh or salt water (also known as “swimming pool or fish tank granuloma”) | Violaceous papule develops in the inoculation site, enlarges into a dark red plaque that may ulcerate or become verrucous, and suppurative, and of a sporotrichoid pattern of nodules along the lymphatics | Cutaneous lesions mostly on UE. Deeper invasion can cause septic arthritis or OM. Lesions may disseminate in immuno-compromised hosts, LN uncommon | Acute and chronic inflammation, tuberculoid granulomas, fibrinoid changes and caseation necrosis may occur. Acid fast mycobacteria seen with Ziehl–Nielsen |
Verruca vulgaris Sporotrichosis Tuberculosis verrucosa cutis Leishmaniasis Nocardiosis |
Initial empiric treatment with clarithromycin when suspected, surgical debridement if deep tissue is involved |
| M. ulcerans | Enters through breaks in the skin, occurs in wetlands of tropical climates (Australia, Africa, Mexico) | Painless firm nodule, ulcerates and center becomes necrotic with undermined edges, ulcer may extend to cover entire limb | Cutaneous lesions most commonly on extensor surfaces of extremities (LE > UE), LN and systemic manifestation uncommon | Granuloma inflammation, subcutaneous fat necrosis, coagulation necrosis of dermis, and destruction of nerve, appendages, and blood vessels |
Panniculitis Foreign body granuloma Fungal infections Pyoderma gangrenosum |
Surgical excision large ulcers may require skin grafts or amputation, local heating, hyperbaric oxygen |
|
MFC: M. fortuitum, M. chelonae, M. abscessus |
Saprophytes. Immuno-compromised patients more prone to infection S/P surgery, injections (acupuncture, Botox), implants (mamoplasty), and footbaths in nail salons |
Variable: most commonly erythematous subcutaneous nodules in a sporotrichoid pattern but may present as cellulitis to a sanguinolent and suppurative ulcer | May present with non-cavitary pneumonia, keratitis, endocarditis, lymph-adenitis and osteomyelitis | PMN micro-abscesses and granuloma formation with foreign body-type giant cells; necrosis may occur |
Foreign body reactions Deep mycoses Osteomyelitis |
M. chelonae and most M. fortuitum are sensitive to clarithromycin Excision and debridement may be required for abscesses and ulcers |
| M. kansasii | Acquired via minor trauma (puncture wounds), prevalent in white urban men living in temperate zones (US, UK, France), skin is involved predominantly in the immune-suppressed | Verrucous plaques, ulcers and nodules, may be arranged in a sporotrichoid pattern | Lung is the major site of infection, symptoms resemble tuberculosis | Variable: tuberculoid granulomas, dense PMN infiltrate, abscess formation or epidermal necrosis |
Sporotrichosis Other atypical mycobacterial infections |
Combination of antituberculous medications (Isoniazid + rifampin + ethambutol + either streptomycin or clarithromycin) |
Diagnosis
Because of the subtle and variable clinical presentations, cutaneous atypical mycobacterial infections are frequently misdiagnosed. They should be suspected when patients are immunosuppressed or have been exposed to a predisposing environment and present with lesions in a sporotrichoid pattern and/or painless ulcers, nodules, or plaques. ATM infections are confirmed by sampling the affected tissue and performing cultures at multiple temperatures (25, 37, and 42°C) to ensure growth of all possible pathogens. Infections involving the lungs, such as in M. kansasii, diagnosis come by examining and culturing sputum samples [124].
Treatment
ATM infections cause little mortality but can lead to significant morbidity when left undiagnosed or treated poorly. Therapy varies according to the organism and extent of infection. It may require a surgical procedure and/or treatment for 3–6 months [14]. See Table 11 for more information.
Fungal Infections
Superficial Mycoses
Superficial fungal infections are the most common of all mucocutaneous infections. Many of these fungi are commensal organisms that colonize normal epithelium. Changes in the microenvironment of the skin can trigger these fungi to overgrow leading to symptomatology. These mycoses only invade the stratum corneum of the epidermis, hair, and nails thus remain superficial. Three genera are responsible for the majority of superficial mycoses: Candida species, Malassezia species, and dermatophytes. They are subdivided according to the degree of inflammation triggered when causing disease [13].
Inflammatory Superficial Mycoses
Dermatophytoses
Introduction
Dermatophytoses sometimes are referred by the patient as “ringworm.” They are unique in that they infect tissue by metabolizing keratin. They infect skin (epidermomycosis), nails (onychomycosis), and hair (trichomycosis) producing diverse presentations named as “Tinea” followed by its location in Latin [13, 126].
Incidence and Prevalence
Dermatophyte infections are very common, accounting for over 5 million medical visits per year, with an average cost of over $200 million dollars. With the exception of tinea capitis, which is more common in children, dermatophytoses are more common in postpubertal individuals with tinea pedis being the most common worldwide [127, 128].
Etiology
Several species of dermatophytes affect humans; these are classified into three genera: Epidermophyton, Trichophyton, and Microsporum [128].Contrary to the other two genera of superficial mycoses, dermatophytes are not normal flora of our skin. The infection may spread from person to person, animal to person, or soil to person. Furthermore, immunosuppression does not lead to an increased frequency of dermatophyte infection, although it increases its severity. The details of specific etiologies, clinical presentations, risk factors, and differential diagnoses can be seen in Table 12 (Figs. 25 and 26).
Table 12.
Characteristics of dermatophytoses
| Infection | Most common pathogens | Location | Risk factors | Clinical findings | Differential diagnosis |
|---|---|---|---|---|---|
| Tinea corporis | T. rubrum, T. mentagrophytes | Trunk and extremities excluding palms, soles, and groin | Tropical regions; outdoor work, gymnasiums, domestic animals, exposure to infected body parts or infected individuals | Mild pruritic scaly annular plaques may have pustules or vesicles in margins, enlarge peripherally producing central clearing (see Fig. 25) |
Granuloma annulare Annular psoriasis Dermatitis Nummular eczema |
| Tinea pedis “athlete’s foot” | T. rubrum, T. mentagrophytes, E. floccosum and T. tonsurans (in children) | Soles and interdigital spaces of the feet | Hot and humid weather, closed footwear, walking barefoot on contaminated floors, exposure to other tineas |
Types: Interdigital: scaling, fissuring, maceration Moccasin: Erythema of sole with defined margins, hyperkeratosis Inflammatory: vesicle or bullaes with clear fluid Ulcerative: Interdigital ulcers; commonly complicated with bacteria |
Psoriasis vulgaris Secondary syphilis Dermatitis Erythrasma Impetigo Candida intertrigo |
| Tinea capitis | T. tonsurans, M. canis and M. audouinii | Scalp | Children, black race, malnutrition, chronic disease, close contact with individuals with tinea capitis |
Variable clinical. May involve posterior cervical and/or auricular LN and may cause systemic disease “Gray patch”: dry, scaly patches of alopecia “Blackdot”: hair breakage near the scalp “Kerion”: severe pustular eruption with alopecia |
Psoriasis Seborrheic dermatitis Alopecia areata Atopic dermatitis |
| Tinea cruris “jock itch” | T. rubrum, E. floccosum, and T. mentagrophytes | Groin and inner aspect of upper thighs but the scrotum is spared | Tropical regions, male gender, obesity, excessive perspiration, tinea pedis | Sharply demarcated circinate plaque with erythematous, scaly, and advancing border that may contain pustules or vesicles |
Erythrasma Candida intertrigo Pityriasis versicolor Psoriasis |
| Tinea manum | T. rubrum, T. mentagrophytes, and E. floccosum | Palms and interdigital spaces of the hand | Infection with moccasin type tinea pedis of any foot or with tinea unguium of the involved hand | Predominantly unilateral, hyperkeratotic and scaly patches with well-defined margins may have papules, vesicles, or bullae |
Psoriasis vulgaris Atopic dermatitis Contact dermatitis |
| Tinea barbae “barber’s itch” | T. mentagrophytes var mentagrophytes, T. verrucosum, and T. rubrum | Beard areas of the face and neck | Postpubertal males, use of contaminated razors, exposure to animals (farmers) | Pustular folliculitis, scaly, erythematous patches with broken hairs, kerion, regional LN involvement, may become superinfected |
Bacterial folliculitis Acne vulgaris Acne rosacea |
| Tinea faciei | T. rubrum, T. mentagrophytes, T. tonsurans, M. audouinii, and T. canis | Face | Children, animal exposure, chronic topical steroid use | Asymmetric macules or plaques with minimal scaling and well-defined borders may contain pustules (see Fig. 26) |
Acne rosacea Dermatitis Acne vulgaris |
| Tinea unguium | T. mentagrophytes, T. rubrum, and E. floccosum | Toenails > fingernails | Chronic tinea pedis and trauma | Onycholytic, hyperkeratotic and yellow discoloration of multiple nails, causes discomfort and may be complicated by paronychia or cellulitis |
Psoriatic nails Congenital nail dystrophy Reiter’s syndrome |
Fig. 25.

Tinea profunda. Annular well-circumscribed erythematous plaque with scaling and mild central clearing
Fig. 26.

Tinea faciei. Annular scaly erythematous plaque in the nose
Diagnosis
Clinical examination is often sufficient for diagnosing dermatophytoses, however, because of its variable presentation and vast differential diagnosis, confirmatory tests are useful. Wood’s light (UV light) examination is used, mainly for the diagnosis of tinea capitis. Direct microscopic examination of skin scrapings, plucked hair, or nail specimens with potassium hydroxide (KOH) can reveal hyphae. For precise identification of the species, fungal cultures are necessary [13].
Pathology
Histology is not necessary; however, biopsy findings may demonstrate spongiosis, parakeratosis, and a superficial inflammatory infiltrate in the stratum corneum. Branching hyphae are often seen in the stratum corneum. Fungal stains, such as the periodic acid Schiff (PAS) stain, aid in rapid identification. For example, infections by tinea unguium are visible with PAS staining as hyphae and/or arthroconidia in the nail plate and bed [5, 13].
Complications
The most common complication of dermatophytoses is caused by interdigital infection from tinea pedis. The fungus can produce a breach in the skin thus allowing for the inoculation of opportunistic bacteria, predisposing to cellulitis of the lower extremities. Rarely, extensive skin disease, subcutaneous abscesses, and dissemination occur in patients with impaired CMI [127].
Treatment
Preventive measures such as maintaining areas dry, frequent nail clipping, and repeated washing or discarding of fomites, help prevent and extinguish infections. The first-line therapeutic option is topical antifungals (azoles and allylamines). Systemic antifungal therapy (itraconazole, fluconazole, and terbinafine) is required to cure tinea manuum, barbae, capitis, and unguium, since topical therapy is ineffective. Systemic antifungal therapy, however, are associated with more severe and frequent side effects, this modality must be used with extreme caution. The appropriate duration of topical therapy for dermatophytic infections depends in each patient. A couple of weeks may be sufficient for dermatophytic infections of tinea corporis and cruris. However, tinea pedis may require treatment for as long as 8 weeks [129, 130].
Mucocutaneous Candidiasis
Introduction
Infection with Candida species has a wide spectrum of clinical presentations and ranges from local superficial mucocutaneous infections to widespread dissemination with multiorgan failure.
Etiology
The yeast Candida albicans is the most frequent cause of candidiasis followed by Candida tropicalis. Candida species may colonize the gastrointestinal tract, oropharynx, and/or vagina of healthy individuals as part of their microflora; however, it is not normal permanent flora of the skin. Colonization may turn to widespread disease when the microflora environment is altered. Some predisposing factors for mucocutaneous candidiasis include: prolonged broad-spectrum antibiotic treatment, corticosteroids use, diabetes mellitus, and other endocrinopathies, immunosuppression, obesity, xerostomia, hyperhydrosis, maceration, occlusion by clothing or dressings, indwelling catheters, oral contraceptives, and malnutrition, among others [13, 14].
Clinical Features
In immunocompetent individuals, candidiasis occurs as a localized infection of the skin or mucosal membranes, including the oral cavity, pharynx, gastrointestinal tract, urinary bladder, or genitalia. In immunocompromised individuals, the disease may infect the esophagus, tracheobronchial tree, and/or blood [14]. The most common presentations and differential diagnoses of mucocutaneous candidiasis are mentioned in Table 13 (see Fig. 27).
Table 13.
Clinical presentation and differential diagnosis of cutaneous candidiasis
| Disease | Clinical features | Differential diagnosis |
|---|---|---|
| Pseudomembranous candidiasis (Thrush) | White creamy adherent plaques on any oral mucosal surface | Oral hairy leukoplakia, condyloma acuminatum, geographic tongue, lichen planus |
| Angular cheilitis (Perlèche) | Erythematous fissuring angles of the mouth may have underlying creamy exudate | Iron deficiency anemia, Plummer–Vinson syndrome, riboflavin or vitamin B2 deficiency, chapped lips |
| Intertrigo | In intertriginous zones: pustules on an erythematous base which may erode and become confluent, progresses to eroded patches with superficial pustular lesions at the periphery (satellite pustulosis) | Streptococcal intertrigo, inverse pattern psoriasis, erythrasma, dermatophytoses, pityriasis versicolor |
| Erosio interdigitalis blastomycetica | Maceration, erythematous fissuring of the interdigital space with underlying creamy exudates | Interdigital tinea pedis or tinea manum |
| Chronic paronychia | Painful, indurated and erythematous proximal nailfold, possible purulent discharge | Bacterial paronychia, trauma, cellulitis, contact dermatitis, pemphigus vulgaris, squamous cell carcinoma, Herpetic Witlow |
| Vulvovaginitis | Pruritus, burning, dyspareunia, erythema, and edema of vulva, white discharge, white removable plaques on vaginal walls, cottage cheese appearance | Trichomonas infection, atrophic vaginitis, bacterial vaginosis, lichen planus, lichen sclerosus et atrophicus |
Fig. 27.

Patient with paronychia by Candida (a) and erosio interdigitalis blastomycetica (b)
Diagnosis
The diagnosis is established by the presence of yeast forms and pseudohyphae on KOH direct microscopy examination of scrapings and by a positive fungal culture in a patient with symptomatology (cultures also useful to test sensitivities) [14, 131].
Treatment
The most important step in treating mucocutaneous candidiasis is the identification and mitigation of risk factors (i.e., keeping affected areas dry in intertrigo). Topical agents are frequently used as first choice to manage localized or superficial forms of candidiasis. Topical azole antifungals and topical polyenes (amphotericin B and nystatin) are the most widely used. These preparations are available as creams, troches, and vaginal suppositories or tablets. For oral therapy, azoles, especially fluconazole, are the preferred treatment [131].
Non-inflammatory Superficial Mycoses
There are three main superficial mycoses that cause disease without an inflammatory reaction: Tinea nigra, piedra, and pityriasis versicolor. Pityriasis versicolor is highly prevalent in many areas of the world and is further discussed in this section.
Pityriasis Versicolor
Introduction
Pityriasis versicolor, an asymptomatic superficial mycoses of the epidermis, is caused by a member of the normal cutaneous flora [132]. It is commonly referred to as tinea versicolor, but it is not a dermatophyte infection. This condition is very common and follows a chronic and benign course [132].
Incidence and Prevalence
The causative agent is found within the normal flora in 18% of infants and 90–100% of adults. Even though the exact prevalence remains unknown because many affected yet asymptomatic individuals do not seek medical attention, the reported prevalence is 2–8% of the general population being more prevalent in tropical climates [13].
Etiology
Malassezia furfur, also known as pityrosporum orbiculare or ovale, is responsible for causing pityriasis versicolor and has also been implicated in seborrheic dermatitis and Malassezia folliculitis. The condition is not contagious. Various factors may trigger its conversion to the mycelial or hyphal form associated with clinical disease; these include sun exposure, hyperhydrosis, immunosuppression, malnutrition, hot humid weather, the use of oils or oily skin, steroid treatment, and genetic predisposition, among others [132, 133].
Clinical Features
Pityriasis versicolor is usually asymptomatic causing only mild pruritus if at all, thus most patients seek medical attention merely because of cosmetic concern. M. furfur manifests as macules of varying size with fine scaling, especially after scrapping, however, partially treated lesions lack scales. These macules may be confluent and predominate on the upper trunk and proximal upper extremities. The term “versicolor” refers to the variety of colors present in this disease. Colors may range from hypochromic in tanned individuals to hyperchromic in the dark skinned [13, 14, 134–136].
Diagnosis
Diagnosis is mainly clinical, with confirmation from direct examination of scrapings in KOH preparations showing the classic finding of “spaghetti and meatballs” (hyphae and spores) pattern. Wood’s lamp inspection of the affected skin shows positive fluorescence [13, 14].
Pathology
Budding yeast and hyphae can be detected by hematoxylin and eosin (H&E), PAS, or methenamine silver stain in the stratum corneum (see Fig. 28). The epidermis reveals mild hyperkeratosis and acanthosis with a possible chronic inflammatory infiltrate [134].
Fig. 28.

Pityriasis versicolor. Numerous budding yeasts and short hyphae are present in the stratum corneum
Differential Diagnosis
The differential diagnosis can be divided by the changes in pigmentation and scaling, and these include: vitiligo, pityriasis alba, post-inflammatory hyperpigmentation, tuberculoid leprosy, secondary syphilis, tinea corporis, seborrheic dermatitis, nummular eczema, guttate psoriasis, and pityriasis rosea [13].
Treatment
In patients with limited and localized disease, 2 weeks of topical antifungal therapy is the treatment of choice. These include (1) selenium sulfide 2.5% shampoo or lotion, (2) azoles, and (3) terbinafine 1% solution [135].
For patients with extensive disease, oral medications are more convenient and effective. Most oral antifungal agents (itraconazole, ketoconazole, and fluconazole) may be used, with the exception of griseofulvin and terbinafine with a duration of days to weeks depending on the agent used. For example, ketoconazole for 5 days is a typical regimen for this condition [135, 137].
Recurrence is common [137]. Patients who experience frequent recurrences can use topical or oral therapy, particularly during the warm weather months to prevent even more relapses. Prophylaxis with topical selenium sulfide solution 2.5% applied to the entire body for 10 min every 2–3 weeks, which is just as effective as oral ketoconazole or itraconazole once a month [135].
Subcutaneous Mycoses
Subcutaneous mycoses are invasive fungal infections caused by numerous organisms that generally originate as localized cutaneous infections, but extend deeper when the integrity of the skin is breached. They rarely disseminate or produce systemic disease [12]. These include: mycetoma (see Fig. 29), chromomycosis (chromoblastomycosis) (see Figs. 30 and 31), sporotrichosis, lobomycosis, rhinosporidiosis, zygomycosis, and phaeohyphomycosis. In the following section, sporotrichosis will be discussed.
Fig. 29.

Mycetoma, also known as Madura foot, is a indolent localized suppurating chronic infection characterized by the presence of grains in the purulent drainage [13, 14]
Fig. 30.

Chromomycosis, also known as chromoblastomycosis, is a chronic indolent localized infection characterized by a verrucous plaque that developed from papules that coalesce usually on the lower extremities
Fig. 31.

Chromomycosis. Round golden brown cells (medlar bodies) can be seen in a suppurative granulomatous process in the dermis
Sporotrichosis
Introduction
Also known as Rose gardener’s disease, sporotrichosis is a granulomatous infection that usually involves the skin and superficial lymph nodes.
Incidence and Prevalence
Sporotrichosis incidence has not been properly established. Although the causative agent is present in the soil throughout the world, this infection is endemic to Mexico, Central and South America, South Africa, and rarely occurring in Europe. In the USA, it is most commonly found in the Missouri and Mississippi River Valleys. All age groups are affected, but it is more common in adults [138].
Etiology
This infection is caused by the fungus Sporothrix schenckii, which is found in soil, sphagnum moss, certain animals, and thorny plants. It is most commonly acquired from cutaneous inoculation. As a result, farmers, gardeners, florists, and some animal handlers are at greatest risk [139].
Clinical Features
Sporotrichosis may present with various types of clinical manifestations depending mostly on the host immune response. Cutaneous sporotrichosis limited to the site of inoculation is commonly referred to as plaque sporotrichosis (see Fig. 32). The most common cutaneous manifestation (80% of cases) is a lymphocutaneous or “sporotrichoid” pattern, in other words, a lesion at the primary inoculation site with a direct spread of the infection along the lymphatic drainage creating a visible linear pattern (see Fig. 33). Plaque sporotrichosis is more common on the hands and face, whereas lymphocutaneous sporotrichosis is more common on the arms and upper extremities since they contain the majority of the lymphatic vessels. Extensive cutaneous disease with or without systemic involvement is also possible in the immunocompromised host [140].
Fig. 32.

Plaque sporotrichosis. Initial presentation is a painless papule, pustule, or nodule at the location of inoculation which rapidly ulcerates, becoming erythematous, indurated, and may scale; yet remains painless and localized
Fig. 33.

Sporotrichoid pattern. Lesions appear as dermal and subcutaneous nodules and ulcers along the path of lymphatic drainage
The initial presentation of plaque sporotrichosis is a painless papule, pustule, or nodule at the location of injury several weeks after inoculation. The lesion rapidly ulcerates, becoming erythematous and indurated, yet remains painless. The lesion continues localized but draining lymph nodes may become inflamed and suppurative. In the lymphocutaneous pattern, additional lesions appear as dermal and subcutaneous nodules and ulcers along the path of lymphatic drainage [139, 140].
Diagnosis
The condition may be diagnosed clinically, if there is a strong suspicion from the history and physical examination. Contrary to many other fungal infections, Sporothrix schenckii organisms are not usually seen by KOH; therefore, cultures taken from tissue or secretions in Sabouraud’s medium are often required for confirmation. At the present time, the use of PCR assay for diagnosis is increasing [139].
Pathology
On histology, sporotrichosis is a mixed granulomatous and pyogenic process. Granulomatous Langhans-type giant cell and microabscesses are visualized. In immunocompetent individuals, organisms are not seen under the microscope while, on the contrary, the immunosuppressed present with numerous organisms, often as cigar-shaped forms of yeast [13].
Differential Diagnosis
The differential diagnosis for the sporotrichoid pattern includes: atypical mycobacterial infection (i.e., M. marinum), leishmaniasis, cat-scratch disease, and Nocardia. While the differential diagnosis of plaque sporotrichosis includes: cutaneous tuberculosis, atypical mycobacterioses, tularemia, foreign body granulomas, and other infectious or inflammatory granulomatous diseases [13].
Treatment
Itraconazole for 3–6 months is the treatment of choice for lymphocutaneous or local cutaneous sporotrichosis. Fluconazole is the second choice since ketoconazole has been shown less effective. A saturated solution of potassium iodide was commonly used in the past because of its low cost, but has been found less effective than the oral antifungal agents [141]. Amphotericin B may be used in disseminated disease.
Systemic Mycoses
Systemic mycoses are fungal infections that originate within deep tissue and organs which then disseminate throughout the body causing widespread symptomatology. Many of these systemic mycoses have cutaneous manifestations and will be discussed further in this section. They can be classified into two main groups: endemic respiratory infections (true fungal pathogens) and opportunistic infections. The former can cause infection in immunocompetent individuals, while the latter in an immunocompromised host [12] (Table 14 and Figs. 34–37).
Fig. 35.

Histopathological features of histoplasmosis. Diffuse mixed dermal infiltrate composed of neutrophils, lymphocytes, and histiocytes. Numerous small spores surrounded by a clear space (pseudocapsule)
Fig. 36.

Disseminated aspergillosis. In immunocompromised patients Aspergillus affects the skin by forming papules that enlarge into ulcers with necrotic base and surrounding erythematous halo, it has propensity to invade blood vessels
Table 14.
Characteristics of systemic mycoses
| Etiology | Epidemiology | Cutaneous lesions | Non-cutaneous involvement | Pathology |
|---|---|---|---|---|
| Histoplasma capsulatum | Soil in warm humid climates (southeastern and central US, Central America, South America, Africa, and Asia), bird and bat droppings, inhalation or direct skin inoculation |
Acute disease: May cause erythema multiforme, erythema nodosum Disseminated disease: Immunocompromised: Mucocutaneous erosions, multiple erythematous necrotic hyperkeratotic papules, or nodules, panniculitis, erythroderma (see Fig. 34) Immunocompetent: Oral ulcers, less frequent skin nodules |
Lung and the reticuloendothelial system: spleen, bone marrow, lymph nodes, and liver may present with meningitis | Intracellular yeast forms surrounded by a rim of clearing, histiocytes, and giant cells (see Fig. 35) |
| Coccidioides immitis | Inhaled via dust, rarely by direct inoculation into the skin, summer and fall in southwest USA, Philipino race, immuno-suppression, and pregnancy predispose to disseminated disease |
Acute disease: Toxic erythema, erythema multiforme, and erythema nodosum Disseminated disease: Central face is predominant site, papules progress to pustules, plaques, abscesses, and multiple sinus tracts, or subcutaneous cellulitis |
Primary asymptomatic lung infection or flu-like syndrome with pleuritic chest pain; osteomyelitis and meningitis occurs in the immuno-suppressed | Endospore-containing spherules with surrounding granulomatous inflammation with histiocytes, lymphocytes, and giant cells |
| Blastomyces dermatitidis | Inhaled via soil, rarely inoculates the skin, southeastern USA, men are more prone to systemic disease |
Acute disease: Erythema multiforme, erythema nodosum Disseminated disease: On exposed skin; mucosal involvement; verrucous plaques with crusted borders progressing to central healing are the most common findings |
Primary pulmonary infection usually subclinical, bone involvement (osteomyelitis) with extension to muscle or joints, rarely genitourinary involvement | Round yeast with broad-based budding and thick, double walls within giant cells and microabscesses, pseudo-epitheliomatous hyperplasia |
| Paracoccidioides brasiliensis | Inhaled via soil, trauma from chewing or rarely through skin; most common in males; endemic of Venezuela, Columbia, Ecuador, Argentina, and Brazil |
Primary pulmonary: Predominates on the face and nasal and oral mucosa; painful ulcerative or verrucous lesions; “moriform stomatitis” Primary mucocutaneous: Intraoral and perioral distribution due to trauma from chewing contaminated flora Primary cutaneous: Single verrucous papule, plaque or ulcer at the skin inoculation site |
Primary pulmonary disease is subclinical to mild, but may disseminate to skin and/or mucous membranes, spleen, adrenal glands, GI tract, and lymph nodes (especially cervical) | Narrow-based buds resemble a “mariner’s wheel,” yeast forms are found within giant cells, pseudo-epitheliomatous hyperplasia, cutaneous granulomatous inflammation |
| Aspergillus species | Neutropenia, steroid therapy, solid organ, or BM transplant patients, HIV, broad spectrum antibiotics | Single or multiple papules that enlarge into ulcers with a necrotic base and surrounding erythematous halo, propensity to blood vessel invasion (see Fig. 36) | Lungs and sinuses are the major sites of infection may affect skin by dissemination, skin lesions may spread to musculoskeletal system | Septate hyphae with acute branching (see Fig. 37) |
Fig. 34.

Disseminated histoplasmosis. In immunocompromised patients histoplasmosis manifests as mucocutaneous erosions, multiple erythematous necrotic hyperkeratotic papules, or nodules as seen here in face (a) and trunk (b)
Fig. 37.

Aspergillosis. Numerous septate hyphae with branching at acute angles in the dermis (PAS stain)
Endemic respiratory infections:
Histoplasma capsulatum (histoplasmosis)
Coccidioides immitis (coccidioidomycosis)
Blastomyces dermatitidis (blastomycosis)
Paracoccidioides brasiliensis (paracoccidioidomycosis)
Opportunistic infections
Candida species (candidiasis)
Aspergillus species (aspergillosis)
Cryptococcus (cryptococcosis)
Zygomycetes (zygomycosis)
Diagnosis
All systemic mycoses can be diagnosed via direct examination (with KOH or Calcofluor) of dermal samples and/or cultures of infected tissue, pus, or bodily fluids. In some systemic mycoses (i.e., coccidioidomycosis and histoplasmosis), serologic testing, exoantigen testing, and PCR assays can also help in the diagnosis [14].
Treatment Histoplasmosis
Intravenous Amphotericin B should be used for severe or life-threatening histoplasmosis. In mild or moderate localized disease, itraconazole is the preferred treatment, but ketoconazole can also be used. In some asymptomatic cases, the disease may be self-limited and treatment may not be necessary [142].
Treatment Coccidioidomycosis
Similar to histoplasmosis, amphotericin B is required for severe or disseminated coccidioidomycosis. The only azole approved by the FDA for non-life-threatening coccidioidomycosis is ketoconazole; however, itraconazole and fluconazole are commonly used by clinicians especially with skeletal or meningeal involvement, respectively [143].
Treatment Blastomycosis
Amphotericin B is the treatment of choice when blastomycosis is severe or progressive. In mild-to-moderate disease not involving the central nervous system, itraconazole is the treatment of choice with ketoconazole and fluconazole as alternative medications [142].
Treatment Paracoccidioidomycosis
Paracoccidioidomycosis requires prolonged therapy with the same antifungals used for the systemic mycoses previously mentioned with the addition of sulfonamides among the treatment options. In disseminated disease, systemic therapy with amphotericin B is indicated. Itraconazole is the preferred treatment for non-life-threatening paracoccidioidomycosis [144].
Viral Infections
Varicella-Zoster Virus
Introduction
Varicella-zoster virus (VZV) infection causes two distinct forms of disease: varicella (chickenpox) and herpes zoster (shingles). The latter is the reactivation of latent varicella infection.
Incidence and Prevalence
Varicella is prevalent worldwide with the peak incidence during the spring. Varicella most commonly occurs during childhood. Vaccination against varicella began in 1995. This brought down the four million cases of chickenpox that occurred annually in the USA and that affected 90% of children by the time they reached 10 years [145]. There is a 20% lifetime chance of developing herpes zoster in individuals with a past history of varicella. In the USA, nearly one million individuals per year develop shingles, although this number is expected to diminish since the varicella vaccine will also alter the incidence of herpes zoster [146]. The severity and the incidence of shingles increase significantly with age.
Etiology
Varicella is highly contagious and is transmitted through airborne droplets or contact with cutaneous lesions. The patient is contagious starting 4 days prior to the cutaneous manifestations until all lesions have crusted. In addition to invading the skin, VZV infects dorsal root ganglion cell bodies, where it becomes dormant for a lifetime or until stress, trauma, or immunosuppression permit its reactivation into herpes zoster. A patient with herpes zoster can infect a susceptible person with varicella, but a person with varicella cannot infect someone with herpes zoster [14].
Clinical Features: Varicella
Symptoms begin approximately 10–20 days after the patient has been exposed to varicella [147]. Mild fever, malaise, muscle pain, and/or pharyngitis usually herald the cutaneous eruption that starts on the scalp, face, and oral mucosa and then spreads caudally. Crops of diffuse, pruritic, and erythematous macules and papules rapidly evolve into serous fluid containing vesicles with an erythematous base. The vesicles progress into pustules and crusted erosions. Lesions in all stages of development can present at the same time [14 147] (see Fig. 38).
Fig. 38.

Varicella. Serous fluid-filled vesicles in an erythematous base progress to pustules and crusted erosions. Typically, varicella lesions are at different stages
Clinical Features: Herpes Zoster
A cutaneous eruption following a unilateral dermatomal distribution in an individual with a past history of primary varicella is considered herpes zoster until proven otherwise. The painful, pruritic, and erythematous papules rapidly evolve into crops of vesicles or bullae that occasionally become hemorrhagic. Herpes zoster often begins with a prodrome of intense pain and hyperesthesia over the affected area [148].
The most common areas involved are the thoracic dermatomes followed by the facial dermatomes, a distribution of the first branch of the trigeminal nerve [146] (see Fig. 39). In some patients, multiple adjacent dermatomes may be involved, but generally do not cross the midline. In immunocompetent hosts, the entire course takes approximately 2 weeks with lesions no longer contagious by the end of the first week. Therefore, if the patient presents with new lesions after a week, an underlying immunodeficiency should be suspected [148]. Contrary to varicella, herpes zoster may recur in 5% of patients and most often affects the same dermatome [14].
Fig. 39.

Herpes zoster. Erythematous papules develop into clusters of vesicles or bullae that could turn hemorrhagic. Most commonly, affects thoracic dermatomes, as we see in this patient
Diagnosis
The history and physical exams are generally enough to make the diagnosis. When a diagnosis is uncertain, however, a Tzanck smear or direct fluorescent antibody (DFA) test can be performed. DFA is more specific, thus permits distinction from Herpes simplex virus (HSV). Lesion biopsy, immunohistochemical staining, viral cultures, serology, and PCR are techniques also available for making the diagnosis [149].
Differential Diagnosis
The differential diagnoses of varicella includes: other vesicular viral exanthems (i.e., cocksackie virus), disseminated HSV infection, pityriasis lichenoides et varioliformis acuta (PLEVA), rickettsial pox, bullous impetigo, drug eruptions, contact dermatitis, and insect bites [5].
If severe enough, the pain of the prodromal stage of herpes zoster can be misdiagnosed as a migraine, myocardial infarction, pleural disease, or acute abdomen, depending on its location. The cutaneous manifestation must be differentiated from zosteriform HSV, erysipelas, cellulitis, bullous impetigo, and localized contact dermatitis [5, 13].
Complications
In children, varicella is usually self-limited. The most common complication is secondary bacterial infection of the lesions. Scarring, Reye’s syndrome, encephalitis, and acute cerebellar ataxia can also occur [70].
When varicella occurs in adults, especially those immunosuppressed, the severity and complications increase and may involve other body systems. Adults have an increased number of lesions, greater dissemination, and can develop, although rare, pneumonia, glomerulonephritis, optic neuritis, arthritis, myocarditis, pancreatitis, orchitis, hepatitis, and vasculitis [147]. In pregnant women, especially during the first trimester, the infection can pass through the placenta and lead to congenital varicella infection. The infected fetus will suffer from low birth weight, scarring skin lesions, ocular abnormalities, cortical atrophy, psychomotor retardation, and hypoplastic limbs [5].
Herpes zoster is also a self-limited disease in immunocompetent individuals but with increasing age and diminishing immunity, the probability of complications increases. The most common complication of herpes zoster is post-herpetic neuralgia, which as defined by the FDA is pain that has not resolved 30 days after disease onset [149, 150]. Other complications include: scarring, changes in pigmentation, secondary bacterial infection, zoster ophthalmicus, acute retinal necrosis, aseptic meningitis, encephalitis, Ramsay–Hunt syndrome, pneumonitis, and hepatitis. An immunocompromised host can have lesions that persist or recur multiple times and then disseminated cutaneous disease (defined as more than 20 vesicles outside the area of the primary or adjacent dermatomes) may ensue [5, 13, 149, 150].
Treatment
The best management modality for varicella is prevention. Live attenuated VZV vaccine is highly recommended for children, adults who live or work in settings where transmission of VZV is probable, and women of childbearing age who are not pregnant [70]. The vaccine has been proven highly effective in decreasing the severity of the disease, and fairly effective in preventing its occurrence. Passive protection with varicella zoster immunoglobulin (VIG) is also available for immunosuppressed patients, pregnant women exposed to VZV and for newborns of infected mothers shortly before birth [148]. VIG should be administered within 96 h of exposure and provides protection for approximately 3 weeks [5].
Once infected, children <12 years old should be treated symptomatically with calamine lotion, antihistamines and frequent baths to alleviate the pruritus. If the patient is febrile, acetaminophen rather than aspirin should be given as needed since aspirin use in viral infections increases the risk of Reye’s syndrome. Acyclovir, given within 72 h of symptom onset, has been approved by the FDA to lessen the severity and duration of varicella in immunosuppressed children, children >12 years old, and all adults [70, 150–152]. Intravenous administration of acyclovir is recommended in immunosuppressed and complicated cases of varicella and herpes zoster.
Acyclovir, valacyclovir, and famciclovir, within 72 h of symptom onset, are all FDA approved for the treatment of herpes zoster to decrease the duration and pain. Although controversial, systemic corticosteroids within 72 h have been demonstrated to improve the quality of life of patients by accelerating healing and decreasing acute pain [150]. The FDA has also recently approved the varicella zoster vaccine as prophylaxis for herpes zoster in patient’s ≥60 years old with a past history of varicella but no prior episode of shingles [146].
References
- 1.Stevens DL. 10.1007/978-1-4614-0688-4_9 Cellulitis, pyoderma, absces and other skin and subcutaneous infection. In: Cohen and Powderly, editors. Infectious diseases, 2nd ed. Elsevier 2004.
- 2.Feaster T, Stinger J. Topical therapies for impetigo. Pediatr Emerg Care. 2010;26:222–31. doi: 10.1097/PEC.0b013e3181d1e71b. [DOI] [PubMed] [Google Scholar]
- 3.Stulberg D, Penrod M, Blatny R. Common bacterial skin infections. Am Fam Physician. 2002;66:119–24. [PubMed] [Google Scholar]
- 4.Luelmo-Aguilar J, Santandreu M. Folliculitis: recognition and management. Am J Clin Dermatol. 2004;5:301–10. doi: 10.2165/00128071-200405050-00003. [DOI] [PubMed] [Google Scholar]
- 5.Bolognia J, Jorizzo J, Rapini R. Dermatology. 2. St. Louis: Mosby; 2008. [Google Scholar]
- 6.Chiller K, Selkin B, Murakawa G. Skin microflora and bacterial infections of the skin. J Investig Dermatol Symp Proc. 2001;6(3):170–4. doi: 10.1046/j.0022-202x.2001.00043.x. [DOI] [PubMed] [Google Scholar]
- 7.Rhody C. Bacterial infections of the skin. Prim Care. 2000;27(2):459–73. doi: 10.1016/s0095-4543(05)70207-4. [DOI] [PubMed] [Google Scholar]
- 8.Zichichi L, Asta G, Noto G. Pseudomonas aeruginosa folliculitis after shower/bath. Int J Dermatol. 2000;39(4):270–3. doi: 10.1046/j.1365-4362.2000.00931.x. [DOI] [PubMed] [Google Scholar]
- 9.Sadick N. Current aspects of bacterial infections of the skin. Dermatol Clin. 1997;15:341–9. doi: 10.1016/s0733-8635(05)70442-3. [DOI] [PubMed] [Google Scholar]
- 10.Arnold H, Odom R, James W. Bacterial infections. In: Arnold H, Odom R, James W, editors. Diseases of the skin. 9. Philadelphia: WB Saunders; 2000. p. 332. [Google Scholar]
- 11.Dong H, Duncan L. Cytologic findings in Demodex folliculitis: a case report and review of the literature. Diagn Cytopathol. 2006;34(3):232–4. doi: 10.1002/dc.20426. [DOI] [PubMed] [Google Scholar]
- 12.James W, Berger T, Elston D. Andrews’ diseases of the skin clinical dermatology. 10. Philadelphia: Saunders; 2005. [Google Scholar]
- 13.Wolff K, Johnson R, Suurmond D. Fitzpatrick’s color atlas and synopsis of clinical dermatology. 5. New York: McGraw-Hill; 2005. [Google Scholar]
- 14.Fitzpatrick J. Dermatology secrets in color. 5. Philadelphia: Hanley & Belfus; 2007. [Google Scholar]
- 15.McNamara D, et al. Incidence of lower-extremity cellulitis: a population-based study in Olmsted County, Minnesota. Mayo Clin Proc. 2007;82(7):817–21. doi: 10.4065/82.7.817. [DOI] [PubMed] [Google Scholar]
- 16.Leppard B, et al. The value of bacteriology and serology in the diagnosis of cellulitis and erysipelas. Br J Dermatol. 1985;112(5):559–67. doi: 10.1111/j.1365-2133.1985.tb15264.x. [DOI] [PubMed] [Google Scholar]
- 17.Bernard P, et al. Streptococcal cause of erysipelas and cellulitis in adults. A microbiologic study using a direct immunofluorescence technique. Arch Dermatol. 1989;125(6):779–82. [PubMed] [Google Scholar]
- 18.Bjornsdottir S, et al. Risk factors for acute cellulitis of the lower limb: a prospective case-control study. Clin Infect Dis. 2005;41(10):1416–22. doi: 10.1086/497127. [DOI] [PubMed] [Google Scholar]
- 19.Randall G, et al. Facial cellulitis in childhood: a changing spectrum. South Med J. 2002;95(7):672–4. [PubMed] [Google Scholar]
- 20.Perkins R, Morgan S. Poisoning, envenomation, and trauma from marine creatures. Am Fam Physician. 2004;69(4):885–90. [PubMed] [Google Scholar]
- 21.Haburchak D. Aeromonas hydrophila: an underappreciated danger to fisherman. Infect Med. 1996;13(10):893–6. [Google Scholar]
- 22.Brooke C, Riley T. Erysipelothrix rhusiopathiae: bacteriology, epidemiology and clinical manifestations of an occupational pathogen. J Med Microbiol. 1999;48(9):789–99. doi: 10.1099/00222615-48-9-789. [DOI] [PubMed] [Google Scholar]
- 23.Ellis S, et al. Cellulitis incidence in a defined population. Epidemiol Infect. 2006;134(2):293–9. doi: 10.1017/S095026880500484X. [DOI] [PMC free article] [PubMed] [Google Scholar]
- 24.Schmid M, Kossmann T, Duewell S. Differentiation of necrotizing fasciitis and cellulitis using MR imaging. Am J Roentgenol. 1998;170(3):615–20. doi: 10.2214/ajr.170.3.9490940. [DOI] [PubMed] [Google Scholar]
- 25.Falagas M, Vergidis P. Narrative review: diseases that masquerade as infectious cellulitis. Ann Intern Med. 2005;142(1):47–57. doi: 10.7326/0003-4819-142-1-200501040-00011. [DOI] [PubMed] [Google Scholar]
- 26.Madaras K, Arbogast R, Jue S. Increased therapeutic failure for cephalexin versus comparator antibiotics in the treatment of uncomplicated outpatient cellulitis. Pharmacotherapy. 2000;20(2):199–205. doi: 10.1592/phco.20.3.199.34780. [DOI] [PubMed] [Google Scholar]
- 27.Gilbert D, Moellering R, Sande M. The Sanford guide to antimicrobial therapy 2000. 30. Hyde Park: Antimicrobial Therapy; 2000. p. 39. [Google Scholar]
- 28.Swartz M. Clinical practice. Cellulitis. N Engl J Med. 2004;350(9):904–12. doi: 10.1056/NEJMcp031807. [DOI] [PubMed] [Google Scholar]
- 29.Stevens D, Bisno A, Chambers H, et al. Practice guidelines for the diagnosis and management of skin and soft-tissue infections. Clin Infect Dis. 2005;41:1373. doi: 10.1086/497143. [DOI] [PubMed] [Google Scholar]
- 30.Elston D. Community-acquired methicillin-resistant Staphylococcus aureus. J Am Acad Dermatol. 2007;56:1–16. doi: 10.1016/j.jaad.2006.04.018. [DOI] [PubMed] [Google Scholar]
- 31.Wisplinghoff H, Bischoff T, Tallent S, et al. Nosocomial bloodstream infections in US hospitals. Analysis of 24,179 cases from a prospective nationwide surveillance study. Clin Infect Dis. 2004;39:309. doi: 10.1086/421946. [DOI] [PubMed] [Google Scholar]
- 32.Hersh A, Chambers H, Maselli J, Gonzalez R. National trends in ambulatory visits and antibiotic prescribing for skin and soft-tissue infections. Arch Intern Med. 2008;168:1585. doi: 10.1001/archinte.168.14.1585. [DOI] [PubMed] [Google Scholar]
- 33.Odell C. Current opinion in community pediatric-associated methicillin resistant Staphylococcus aureus (CA-MRSA) skin infections. Curr Opin Pediatr. 2010;22:273–7. doi: 10.1097/MOP.0b013e328339421b. [DOI] [PubMed] [Google Scholar]
- 34.Heymann W. Community-acquired methicillin-resistant Staphylococcus aureus. J Am Acad Dermatol. 2005;53:318–9. doi: 10.1016/j.jaad.2005.04.020. [DOI] [PubMed] [Google Scholar]
- 35.Lee M, Rios A, Aten M, et al. Management and outcome of children with skin and soft tissue abscesses caused by community-acquired methicillin-resistant Staphylococcus aureus. Pediatr Infect Dis J. 2004;23:123. doi: 10.1097/01.inf.0000109288.06912.21. [DOI] [PubMed] [Google Scholar]
- 36.Chartier C, Grosshans E. Erysipelas. Int J Dermatol. 1990;29:458–67. doi: 10.1111/j.1365-4362.1990.tb04833.x. [DOI] [PubMed] [Google Scholar]
- 37.Schmitt J. Erysipelas and necrotizing cellulitis. Ann Dermatol Venereol. 2001;128:334–7. [PubMed] [Google Scholar]
- 38.Bonnetblanc J, Bedane C. Erysipelas: recognition and management. Am J Clin Dermatol. 2003;4(3):157–63. doi: 10.2165/00128071-200304030-00002. [DOI] [PubMed] [Google Scholar]
- 39.Jorup-Ronstrom C, et al. The course, costs and complications of oral versus intravenous therapy of erysipelas. Infection. 1984;12:390–4. doi: 10.1007/BF01645222. [DOI] [PubMed] [Google Scholar]
- 40.Facinelli B, Spinaci C, Magi G, et al. Association between erythromycin resistance and ability to enter human respiratory cells in group A streptococci. Lancet. 2001;358:30. doi: 10.1016/s0140-6736(00)05253-3. [DOI] [PubMed] [Google Scholar]
- 41.Sjoblom A, Eriksson B, Jorup-Ronstrom C. Antibiotic prophylaxis in recurrent erysipelas. Infection. 1993;6:390–4. doi: 10.1007/BF01728920. [DOI] [PubMed] [Google Scholar]
- 42.Carroll J. Common bacterial pyodermas. Postgrad Med. 1996;100:311–22. doi: 10.3810/pgm.1996.09.84. [DOI] [PubMed] [Google Scholar]
- 43.Dagan R. Impetigo in childhood: changing epidemiology and new treatments. Pediatr Ann. 1993;22(4):235–40. doi: 10.3928/0090-4481-19930401-07. [DOI] [PubMed] [Google Scholar]
- 44.Kelly C, Taplin D, Allen A. Streptococcal ecthyma. Treatment with benzathine penicillin G. Arch Dermatol. 1971;103(3):306–10. doi: 10.1001/archderm.103.3.306. [DOI] [PubMed] [Google Scholar]
- 45.Dagan R, Bar-David Y. Double-blind study comparing erythromycin and mupirocin for treatment of impetigo in children: implications of a high prevalence of erythromycin-resistant Staphylococcus aureus strains. Antimicrob Agents Chemother. 1992;36(2):287–90. doi: 10.1128/aac.36.2.287. [DOI] [PMC free article] [PubMed] [Google Scholar]
- 46.Epstein M, Amodio-Groton M, Sadick N. Antimicrobial agents for the dermatologist. I. Beta-lactam antibiotics and related compounds. J Am Acad Dermatol. 1997;37(149–65):166–8. doi: 10.1016/s0190-9622(97)80118-1. [DOI] [PubMed] [Google Scholar]
- 47.Vidal F, Mensa J, Almela M, Martínez J, Marco F, Casals C, et al. Epidemiology and outcome of Pseudomonas aeruginosa bacteremia, with special emphasis on the influence of antibiotic treatment. Analysis of 189 episodes. Arch Intern Med. 1996;156(18):2121–6. [PubMed] [Google Scholar]
- 48.Reich H, et al. Nonpseudomonal ecthyma gangrenosum. J Am Acad Dermatol. 2004;50(5):S114–7. doi: 10.1016/j.jaad.2003.09.019. [DOI] [PubMed] [Google Scholar]
- 49.Leslie K, McCann B, Levell N. Candidal ecthyma gangrenosum in a patient with malnutrition. Br J Dermatol. 2005;153(4):847–8. doi: 10.1111/j.1365-2133.2005.06836.x. [DOI] [PubMed] [Google Scholar]
- 50.Dorff G, Geimer N, Rosenthal D, Rytel M. Pseudomonas septicemia. Illustrated evolution of its skin lesion. Arch Intern Med. 1971;128(4):591–5. doi: 10.1001/archinte.128.4.591. [DOI] [PubMed] [Google Scholar]
- 51.Ghosheh F, Kathuria S. Bilateral periorbital ecthyma gangrenosum. Ophthal Plast Reconstr Surg. 2006;22(6):492–3. doi: 10.1097/01.iop.0000248990.71690.a2. [DOI] [PubMed] [Google Scholar]
- 52.Halpern A, Heymann W. Bacterial diseases. In: Bolognia J, Jorizzo J, Rapini R, editors. Dermatology. 2. Spain: Elsevier; 2008. [Google Scholar]
- 53.Greene S, Su W, Muller S. Ecthyma gangrenosum: report of clinical, histopathologic, and bacteriologic aspects of eight cases. J Am Acad Dermatol. 1984;11(5 Pt 1):781–7. doi: 10.1016/s0190-9622(84)80453-3. [DOI] [PubMed] [Google Scholar]
- 54.Painter D, Trevillion N. Staphylococcal scalded skin syndrome. Emerg Nurse. 2007;14(10):20–1. doi: 10.7748/en2007.03.14.10.20.c4226. [DOI] [PubMed] [Google Scholar]
- 55.Nishifuji K, et al. Staphylococcal exfoliative toxins: “Molecular scissors” of bacteria that attack the cutaneous defense barrier in mammals. J Dermatol Science. 2008;49:21–31. doi: 10.1016/j.jdermsci.2007.05.007. [DOI] [PubMed] [Google Scholar]
- 56.Amagai M, et al. Staphylococcal exfoliative toxin B specifically cleaves desmoglein 1. J Invest Dermatol. 2002;118:845–50. doi: 10.1046/j.1523-1747.2002.01751.x. [DOI] [PubMed] [Google Scholar]
- 57.Simpson C. The management of staphylococcal scalded skin syndrome in infants. Nurs Times. 2003;42:26–30. [PubMed] [Google Scholar]
- 58.Helali N, et al. Nosocomial outbreak of staphylococcal scalded skin syndrome in neonates; epidemiological investigation and control. J Hosp Infect. 2005;61(2):121–38. doi: 10.1016/j.jhin.2005.02.013. [DOI] [PubMed] [Google Scholar]
- 59.Davis M, et al. Toxic shock syndrome: epidemiologic features, recurrence, risk factors and prevention. N Engl J Med. 1980;303:1429–35. doi: 10.1056/NEJM198012183032501. [DOI] [PubMed] [Google Scholar]
- 60.Hajjeh R, Reingold A, Weil A, Shutt K, Schuchat A, Perkins B. Toxic shock syndrome in the United States: surveillance update, 1979–1996. Emerg Infect Dis. 1999;5(6):807–10. doi: 10.3201/eid0506.990611. [DOI] [PMC free article] [PubMed] [Google Scholar]
- 61.McCormick J, Yarwood J, Schlievert P. Toxic shock syndrome and bacterial superantigen: an update. Ann Rev Microbiol. 2001;55:77–104. doi: 10.1146/annurev.micro.55.1.77. [DOI] [PubMed] [Google Scholar]
- 62.Stevens D. The toxic shock syndromes. Infect Dis Clin North Am. 1996;10(4):727–46. doi: 10.1016/s0891-5520(05)70324-x. [DOI] [PubMed] [Google Scholar]
- 63.Hibralova V. Streptococcus pyogenes and the toxic shock syndrome. Ann Intern Med. 1988;108:772. doi: 10.7326/0003-4819-108-5-772_2. [DOI] [PubMed] [Google Scholar]
- 64.Bohach G, Fast D, Nelson R, Schlievert P. Staphylococcal and streptococcal pyrogenic toxins involved in toxic shock syndrome and related illnesses. Crit Rev Microbiol. 1990;17:251–72. doi: 10.3109/10408419009105728. [DOI] [PubMed] [Google Scholar]
- 65.Schlievert P, Jablonski L, Roggiani M, Sadler I, Callantine S, et al. Pyrogenic toxin superantigen site specificity in TSS and food poisoning in animals. Infect Immun. 2000;68:3630–4. doi: 10.1128/iai.68.6.3630-3634.2000. [DOI] [PMC free article] [PubMed] [Google Scholar]
- 66.Cone L, Woodard D, Schlievert P, Tomory G. Clinical and bacteriologic observations of a toxic shock-like syndrome due to Streptococcus pyogenes. N Engl J Med. 1987;317:146–9. doi: 10.1056/NEJM198707163170305. [DOI] [PubMed] [Google Scholar]
- 67.Begovac J, et al. Group A beta-hemolytic streptococci toxic shock-like syndrome. Pediatr Infect Dis J. 1990;9:369–70. doi: 10.1097/00006454-199005000-00013. [DOI] [PubMed] [Google Scholar]
- 68.Bisno A, Stevens D. Streptococcal infections of skin and soft tissues. N Engl J Med. 1996;334:240–5. doi: 10.1056/NEJM199601253340407. [DOI] [PubMed] [Google Scholar]
- 69.Bach M. Dermatologic signs in toxic shock syndromes-clues to diagnosis. J Am Acad Dermatol. 1983;8:343–7. doi: 10.1016/s0190-9622(83)70037-x. [DOI] [PubMed] [Google Scholar]
- 70.CDC Case definitions for infectious conditions under public health surveillance. MMWR Morb Mortal Wkly Rep. 1997;46(RR-10):39. [PubMed] [Google Scholar]
- 71.Darenberg J, Soderquist B, Normark BH, Norrby-Teglund A. Differences in potency of intravenous polyspecific immunoglobulin G against streptococcal and staphylococcal superantigens: implications for therapy of toxic shock syndrome. Clin Infect Dis. 2004;38(6):836–42. doi: 10.1086/381979. [DOI] [PubMed] [Google Scholar]
- 72.Norcross M, Mitchell D. Blistering distal dactylitis caused by Staphylococcus aureus. Cutis. 1993;51:353–4. [PubMed] [Google Scholar]
- 73.Parras F, Ezpeleta C, Romero J, Sendagorta E, Buzon L. Blistering distal dactylitis in an adult. Cutis. 1988;41:127–8. [PubMed] [Google Scholar]
- 74.Scheinfeld N. Is blistering distal dactylitis a variant of bullous impetigo? Clin Exp Dermatol. 2007;32(3):3314–6. doi: 10.1111/j.1365-2230.2007.02379.x. [DOI] [PubMed] [Google Scholar]
- 75.Urschel J. Necrotizing soft tissue infections. Postgrad Med J. 1999;75:645–50. doi: 10.1136/pgmj.75.889.645. [DOI] [PMC free article] [PubMed] [Google Scholar]
- 76.McDonel J. Clostridium perfringens toxins. Pharmacol Ther. 1980;10:617–55. doi: 10.1016/0163-7258(80)90031-5. [DOI] [PubMed] [Google Scholar]
- 77.Headley A. Necrotizing soft-tissue infections: a primary care review. Am Fam Physician. 2003;68(2):323–8. [PubMed] [Google Scholar]
- 78.Schwartz M, Pasternack M. Cellulitis and subcutaneous tissue infections. In: Mandell G, Bennett J, Dolin R, editors. Principles and practice of infectious diseases. 6. Philadelphia: Churchill Livingstone; 2005. p. 1172. [Google Scholar]
- 79.O’Loughlin R, Roberson A, Cieslak P, et al. The epidemiology of invasive group A streptococcal infection and potential vaccine implications: United States, 2000–2004. Clin Infect Dis. 2007;45:853. doi: 10.1086/521264. [DOI] [PubMed] [Google Scholar]
- 80.Morgan MS. Diagnosis and management of necrotizing fasciitis a multiparametric approach. J Hosp Infect. 2010;75:249–57. doi: 10.1016/j.jhin.2010.01.028. [DOI] [PubMed] [Google Scholar]
- 81.Aronoff D, Bloch K. Assessing the relationship between the use of nonsteroidal antiinflammatory drugs and necrotizing fasciitis caused by group A streptococcus. Medicine. 2003;82:225. doi: 10.1097/01.md.0000085060.63483.bb. [DOI] [PubMed] [Google Scholar]
- 82.Wong C, Chang H, Pasupathy S, et al. Necrotizing fasciitis: clinical presentation, microbiology, and determinants of mortality. J Bone Joint Surg Am. 2003;85-A:1454. [PubMed] [Google Scholar]
- 83.Gozal D, Ziser A, Shupak A, et al. Necrotizing fasciitis. Arch Surg. 1986;121:233. doi: 10.1001/archsurg.1986.01400020119015. [DOI] [PubMed] [Google Scholar]
- 84.Bosshardt T, Henderson V, Organ C. Necrotizing soft-tissue infections. Arch Surg. 1996;131:846–52. doi: 10.1001/archsurg.1996.01430200056011. [DOI] [PubMed] [Google Scholar]
- 85.Simonart T, Simonart J, Derdelinckx I, et al. Value of standard laboratory tests for the early recognition of group A beta-hemolytic streptococcal necrotizing fasciitis. Clin Infect Dis. 2001;32:E9. doi: 10.1086/317525. [DOI] [PubMed] [Google Scholar]
- 86.Anaya D, Patchen E. Necrotizing soft-tissue infection: diagnosis and management. Clin Infect Dis. 2007;44:705. doi: 10.1086/511638. [DOI] [PubMed] [Google Scholar]
- 87.Schmid M, Kossmann T, Duewell S. Differentiation of necrotizing fasciitis and cellulitis using MR imaging. Am J Roentgenol. 1998;170:615. doi: 10.2214/ajr.170.3.9490940. [DOI] [PubMed] [Google Scholar]
- 88.Darenberg J, Luca-Harari B, Jasir A, et al. Molecular and clinical characteristics of invasive group A streptococcal infection in Sweden. Clin Infect Dis. 2007;45:450. doi: 10.1086/519936. [DOI] [PubMed] [Google Scholar]
- 89.Stevens DL, Gibbons AE, Bergstrom R, Winn V. The Eagle effect revisited: efficacy of clindamycin, erythromycin, and penicillin in the treatment of streptococcal myositis. J Infect Dis. 1988;158:23. doi: 10.1093/infdis/158.1.23. [DOI] [PubMed] [Google Scholar]
- 90.Rudge F. The role of hyperbaric oxygenation in the treatment of clostridial myonecrosis. Mil Med. 1993;158:80–3. [PubMed] [Google Scholar]
- 91.Van Rhenterghem L, et al. Scleroma and rhinoscleroma, a difficult diagnosis: a review of the literature. Cahier d’Otol Rhinol Larynghol. 1993;10:419–24. [Google Scholar]
- 92.Hart C. Rhinoscleroma. J Med Microbiol. 1990;48:395–6. [Google Scholar]
- 93.Simons M, et al. Rhinoscleroma: case report. Rev Bras Otorrinolaringol. 2006;72(4):568–71. doi: 10.1016/S1808-8694(15)31006-5. [DOI] [PMC free article] [PubMed] [Google Scholar]
- 94.Al Serhani A, Al Qahtani A, Arafa M. Association of rhinoscleroma with rhinosporidiosis. Rhinology. 1998;36(1):43–5. [PubMed] [Google Scholar]
- 95.Palaniappan R, Ramanujam S, Chang Y. Leptospirosis: pathogenesis, immunity, and diagnosis. Curr Opin Infect Dis. 2007;20(3):284–92. doi: 10.1097/QCO.0b013e32814a5729. [DOI] [PubMed] [Google Scholar]
- 96.Adler B, De La Pena Moctezuma A. Leptospira and leptospirosis. Vet Microbiol. 2010;140:287–96. doi: 10.1016/j.vetmic.2009.03.012. [DOI] [PubMed] [Google Scholar]
- 97.Sehgal S. Epidemiological patterns of leptospirosis. Indian J Med Microbiol. 2006;24:310–1. doi: 10.4103/0255-0857.29405. [DOI] [PubMed] [Google Scholar]
- 98.Kobayashi Y. Human leptospirosis: management and prognosis. J Postgrad Med. 2005;51:201–4. [PubMed] [Google Scholar]
- 99.Farr RW. Leptospirosis. Clin Infect Dis. 1995;21:1–8. doi: 10.1093/clinids/21.1.1. [DOI] [PubMed] [Google Scholar]
- 100.Karande S, Gandhi D, Kulkarni M, et al. Concurrent outbreak of leptospirosis and dengue in Mumbai, India, 2002. J Trop Pediatr. 2005;51:174. doi: 10.1093/tropej/fmh100. [DOI] [PubMed] [Google Scholar]
- 101.Bajani M, Ashford D, Bragg S, et al. Evaluation of four commercially available rapid serologic tests for diagnosis of leptospirosis. J Clin Microbiol. 2003;41(2):803–9. doi: 10.1128/JCM.41.2.803-809.2003. [DOI] [PMC free article] [PubMed] [Google Scholar]
- 102.Levett P, Whittington C. Evaluation of the indirect hemagglutination assay for diagnosis of acute leptospirosis. J Clin Microbiol. 1998;36:11. doi: 10.1128/jcm.36.1.11-14.1998. [DOI] [PMC free article] [PubMed] [Google Scholar]
- 103.Ahmad S, Shah S, Ahmad F. Laboratory diagnosis of leptospirosis. J Postgrad Med. 2005;51:195–200. [PubMed] [Google Scholar]
- 104.Watt G, Tuazon M, Santiago E, et al. Placebo-controlled trial of intravenous penicillin for severe and late leptospirosis. Lancet. 1988;1:433. doi: 10.1016/s0140-6736(88)91230-5. [DOI] [PubMed] [Google Scholar]
- 105.Extracted from DVBID: Statistics | CDC Lyme Disease. http://www.cdc.gov/ncidod/dvbid/lyme/ld_statistics.htm.
- 106.Burgdorfer W, et al. Lyme disease: a tick-borne spirochetosis? Science. 1982;216:1317. doi: 10.1126/science.7043737. [DOI] [PubMed] [Google Scholar]
- 107.Steere A. Lyme disease. N Engl J Med. 1989;321:586. doi: 10.1056/NEJM198908313210906. [DOI] [PubMed] [Google Scholar]
- 108.Hengge U, et al. Lyme borreliosis. Lancet Infect Dis. 2003;3:489. doi: 10.1016/s1473-3099(03)00722-9. [DOI] [PubMed] [Google Scholar]
- 109.Stanek G, Strle F. Lyme borreliosis. Lancet. 2003;362:1639. doi: 10.1016/S0140-6736(03)14798-8. [DOI] [PubMed] [Google Scholar]
- 110.Nowakowski J, et al. Laboratory diagnostic techniques for patients with early Lyme disease associated with erythema migrans: a comparison of different techniques. Clin Infect Dis. 2001;33:2023. doi: 10.1086/324490. [DOI] [PubMed] [Google Scholar]
- 111.Steere A, Sikand V. The presenting manifestations of Lyme disease and the outcomes of treatment. N Engl J Med. 2003;348:2472. doi: 10.1056/NEJM200306123482423. [DOI] [PubMed] [Google Scholar]
- 112.Wormser G, Ramanathan R, Nowakowski J, et al. Duration of antibiotic therapy for early Lyme disease. A randomized, double-blind, placebo-controlled trial. Ann Intern Med. 2003;138:697. doi: 10.7326/0003-4819-138-9-200305060-00005. [DOI] [PubMed] [Google Scholar]
- 113.Wormser G, Dattwyler R, Shapiro E, et al. The clinical assessment, treatment, and prevention of Lyme disease, human granulocytic anaplasmosis, and babesiosis: clinical practice guidelines by the Infectious Diseases Society of America. Clin Infect Dis. 2006;43:1089. doi: 10.1086/508667. [DOI] [PubMed] [Google Scholar]
- 114.Nadelman R, Nowakowski J, Fish D, et al. Prophylaxis with single-dose doxycycline for the prevention of Lyme disease after an Ixodes scapularis tick bite. N Engl J Med. 2001;345(2):79–84. doi: 10.1056/NEJM200107123450201. [DOI] [PubMed] [Google Scholar]
- 115.Moschella S. An update on the diagnosis and treatment of leprosy. J Am Acad Dermatol. 2004;5(3):417–26. doi: 10.1016/j.jaad.2003.11.072. [DOI] [PubMed] [Google Scholar]
- 116.National Hansen’s Disease Program. Number of Hansen’s Disease Cases By Year. http://www.hrsa.gov/hansens/data/uscases1824.htm. Extracted from The World Wide Web on 18 Dec 2010.
- 117.White C. Déjà vu: leprosy and immigration discourse in the twenty-first century United States. Lepr Rev. 2010;81:17–26. [PubMed] [Google Scholar]
- 118.Yoder L, Guerra I. Hansen’s disease: a guide to management in the United States. 2. Carville: Hansen’s Disease Foundation; 2001. pp. 1–43. [Google Scholar]
- 119.McInturff J, Modlin R, Kim J. The role of toll-like receptors in the pathogenesis and treatment of dermatological disease. J Invest Dermatol. 2005;125(1):1–8. doi: 10.1111/j.0022-202X.2004.23459.x. [DOI] [PubMed] [Google Scholar]
- 120.World Health Organization . A guide to leprosy control. 2. Geneva: World Health Organization; 1988. p. 28. [Google Scholar]
- 121.WHO recommended MDT regimens. World Health Organization. http://www.who.int/lep/mdt/regimens/en/.
- 122.Leiker D. Leprosy: classification and differential diagnosis. AIFO, Italy. 2004. http://www.aifo.it/english/resources/online/courses/lepdd/lepdd1.htm.
- 123.Horsburgh C. Epidemiology of disease caused by nontuberculous mycobacteria. Semin Respir Infect. 1996;11(4):244–51. [PubMed] [Google Scholar]
- 124.Sungkanuparph S, et al. Rapidly growing mycobacterial infections: spectrum of diseases, antimicrobial susceptibility, pathology and treatment outcomes. J Med Assoc. 2003;86(8):772–80. [PubMed] [Google Scholar]
- 125.Dodiuk-Gad R, Dyachenko P, Ziv M, et al. Nontuberculous mycobacterial infections of the skin: a retrospective study of 25 cases. J Am Acad Dermatol. 2007;57(3):413–20. doi: 10.1016/j.jaad.2007.01.042. [DOI] [PubMed] [Google Scholar]
- 126.Gupta A, Sibbald R, Lynde C, et al. Onychomycosis in children: prevalence and treatment strategies. J Am Acad Dermatol. 1997;36(3 Pt 1):395–402. doi: 10.1016/s0190-9622(97)80215-0. [DOI] [PubMed] [Google Scholar]
- 127.Smith E, Fleischer A, Feldman S, Williford P. Characteristics of office-based physician visits for cutaneous fungal infections: an analysis of 1990 to 1994 National Ambulatory Medical Care Survey Data. Cutis. 2002;69:191. [PubMed] [Google Scholar]
- 128.Warnock D. Superficial Fungal Infections. In: Cohen and Powderly, editors. Infectious diseases, 2nd ed. Elsevier 2004.
- 129.Gupta A, Sauder D, Shear N. Antifungal agents: an overview. Part I. J Am Acad Dermatol. 1994;30(5 Pt 1):677–700. [PubMed] [Google Scholar]
- 130.Gupta A, Sauder D, Shear N. Antifungal agents: an overview. Part II. J Am Acad Dermatol. 1994;30(6):911–33. doi: 10.1016/s0190-9622(94)70112-1. [DOI] [PubMed] [Google Scholar]
- 131.Pappas P, Rex J, Sobel J, et al. Guidelines for treatment of candidiasis. Clin Infect Dis. 2004;38(2):161–89. doi: 10.1086/380796. [DOI] [PubMed] [Google Scholar]
- 132.Mendez-Tovar L. Pathogenesis of dermatophytosis and tinea versicolor. Clin Dermatol. 2010;28:185–9. doi: 10.1016/j.clindermatol.2009.12.015. [DOI] [PubMed] [Google Scholar]
- 133.Faergemann J. Pityriasis versicolor. Semin Dermatol. 1993;12:276. [PubMed] [Google Scholar]
- 134.Janaki C, Sentamilselvi G, Janaki V, Boopalraj J. Unusual observations in the histology of Pityriasis versicolor. Mycopathologia. 1997;139(2):71–4. doi: 10.1023/a:1006855503942. [DOI] [PubMed] [Google Scholar]
- 135.Leeming J, Sansom J, Burton J. Susceptibility of Malassezia furfur subgroups to terbinafine. Br J Dermatol. 1997;137:764. [PubMed] [Google Scholar]
- 136.Faergemann J, Gupta A, Al Mofadi A, et al. Efficacy of itraconazole in the prophylactic treatment of pityriasis (tinea) versicolor. Arch Dermatol. 2002;138:69. doi: 10.1001/archderm.138.1.69. [DOI] [PubMed] [Google Scholar]
- 137.Hu S, Bigby M. Pityriasis versicolor: a systematic review of interventions. Arch Dermatol. 2010;146(10):1132–40. doi: 10.1001/archdermatol.2010.259. [DOI] [PubMed] [Google Scholar]
- 138.Da Rosa A, Scroferneker M, Vettorato R, et al. Epidemiology of sporotrichosis: a study of 304 cases in Brazil. J Am Acad Dermatol. 2005;52:451. doi: 10.1016/j.jaad.2004.11.046. [DOI] [PubMed] [Google Scholar]
- 139.Kauffman C. Sporotrichosis. Clin Infect Dis. 1999;29:231. doi: 10.1086/520190. [DOI] [PubMed] [Google Scholar]
- 140.De Araujo T, Marques A, Kerdel F. Sporotrichosis. Int J Dermatol. 2001;40:737–42. doi: 10.1046/j.1365-4362.2001.01295.x. [DOI] [PubMed] [Google Scholar]
- 141.Kauffman C. Old and new therapies for sporotrichosis. Clin Infect Dis. 1995;21:981. doi: 10.1093/clinids/21.4.981. [DOI] [PubMed] [Google Scholar]
- 142.Bradsher R. Histoplasmosis and blastomycosis. Clin Infect Dis. 1996;22 Suppl 2:S102. [DOI] [PubMed]
- 143.Galgiani J, Ampel N, Blair A, et al. Coccidioidomycosis. Clin Infect Dis. 2005;41:1217. doi: 10.1086/496991. [DOI] [PubMed] [Google Scholar]
- 144.Brummer E, Castaneda E, Restrepo A. Paracoccidioidomycosis: an update. Clin Microbiol Rev. 1993;6(2):89–117. doi: 10.1128/cmr.6.2.89. [DOI] [PMC free article] [PubMed] [Google Scholar]
- 145.CDC Decline in annual incidence of varicella, 1990–2001. MMWR Morb Mortal Wkly Rep. 2003;52:884. [PubMed] [Google Scholar]
- 146.Yawn B, Saddier P, Wollan P, et al. A population-based study of the incidence and complication rates of herpes zoster before zoster vaccine introduction. Mayo Clin Proc. 2007;82:1341. doi: 10.4065/82.11.1341. [DOI] [PubMed] [Google Scholar]
- 147.Straus S, Ostrove J, Inchauspe G, et al. NIH conference. Varicella-zoster virus infections. Biology, natural history, treatment, and prevention. Ann Intern Med. 1988;108:221. doi: 10.7326/0003-4819-108-2-221. [DOI] [PubMed] [Google Scholar]
- 148.Dworkin R, Johnson R, Breuer J, et al. Recommendations for the management of herpes zoster. Clin Infect Dis. 2007;44(Suppl 1):S1–6. doi: 10.1086/510206. [DOI] [PubMed] [Google Scholar]
- 149.Gnann J, Whitley R. Herpes zoster. N Engl J Med. 2002;347:340. doi: 10.1056/NEJMcp013211. [DOI] [PubMed] [Google Scholar]
- 150.Whitley R, et al. Management of herpes zoster and post-herpetic neuralgia now and in the future. J Clin Virol. 2010;48(S1):520–8. doi: 10.1016/S1386-6532(10)70005-6. [DOI] [PubMed] [Google Scholar]
- 151.Centers for Disease Control and Prevention Prevention of varicella: update recommendations of the advisory committee on immunization practices. MMWR Morb Mortal Wkly Rep. 1999;48(RR-6):1. [PubMed] [Google Scholar]
- 152.Feder H. Treatment of adult chickenpox with oral acyclovir. Arch Intern Med. 1990;150:2061. [PubMed] [Google Scholar]
