Abstract
Teeth arise by complex and progressive interactions between the ectoderm, oral epithelium and underlying mesenchyme. However, it may show variations and changes in morphological structure. A 6-year-old female child patient came for the treatment of her carious tooth. Intraoral examination revealed supernumerary cusp on occlusal surface of the maxillary right second primary molar. Incidence of supernumerary cusp is a rare condition formed by abnormal proliferation and folding of inner enamel epithelium during morphodifferentiation stage of the tooth development. Conservative cavity preparation and restorative treatment protocol were carried out to treat this case. Early diagnosis, management and timely recall of these rare anomalies will help to avoid potential complications, resulting from faster carious progression in these teeth due to the presence of many fissures and early pulpal extensions into the cuspal area.
Keywords: Central cusp, maxillary primary molars, occlusal surface, supernumerary cusp
INTRODUCTION
The process of tooth development is very complex and any interferences from the internal or external factors in different phase of tooth development will lead to abnormality in shape, structure or number.[1] Supernumerary cusps are common variations of tooth morphology that are occasionally observed in both primary and permanent dentitions. Depending on the site and the tooth affected, the most common supernumerary cusps are cusp of Carabelli of molars, talon cusps of incisors and Leong's tubercle of premolars.[2]
The supernumerary cusp may be separated from the adjacent cusps by a mild groove. The central cusp is observed as a circumscribed, well-defined elevation that strengthens the original enamel layer of a cusp with its macrostructure. In clinical dentistry, diagnosis of the supernumerary cusp helps us to associate it with other anomalies and syndrome, or else it may get damaged producing secondary pathology which manifests as pulpitis, periodontitis, periostitis and many other serious complications.[3]
Exact etiology of supernumerary cusp formation or abnormal shape of tooth is unknown.[4] Earlier school of thought was that the formation of supernumerary cusp occurs due to overactivity of the dental lamina. Recent studies have shown that the gene expressions (Paired box gene – PAX and Msh homeobox – MSX genes) and gene mutation acting at different levels of tooth formation are responsible for the development and shape of the tooth morphology.[4,5]
The altered proliferation and folding of inner enamel epithelium along with adjacent ectomesenchymal cells of the dental papilla during the bell stage of tooth development results in the formation of a supplemental solid elevations on the tooth surface. Transient signaling centers in the epithelial cell clusters along with the primary and secondary enamel knots, serve as a regulatory function in the epithelium which corresponds to the initiation of the individual cusp formation, thereby defining the tooth morphology. The primary enamel knot regulates the cuspal morphology of the crown by fibroblast growth factors-4 and 9, transforming growth factor-beta and bone morphogenetic proteins (BMP-2, 4 and 7).[4]
The primary enamel knot which is observed at late bud stage increases in size till cap stage of the tooth development. It later gets disappeared by the expression of p21 which is induced by the mesenchymal BMP-4.[4,5] Activator from the primary enamel knot regulates the expression of secondary enamel knots. The resultant cusp morphogenesis and positions appear to be determined sequentially and cusps that formed later are typically small. Simultaneous production of specific signaling molecules in the mesenchymal cells and other signaling molecules induces the differentiation of Hertwig's epithelial root sheath at the cervical loop will determine the actual crown morphology.[4] Future site of the cusps is determined by enamel knots. The enamel knots are responsible for the induction of the dental papilla.[4]
The “central cusp” is situated on the lingual surface of the anterior teeth and between the buccal and the lingual cusp tips of the premolars and molars.[4] Clinicians should be aware of different morphological variations that will play a significant role in the clinical practice, as these can influence various dental treatment.[6] The purpose of this report is to highlight an incidental clinical finding of unilateral supernumerary cusps on the occlusal surface of maxillary right second primary molar and problems associated with it.
CASE REPORT
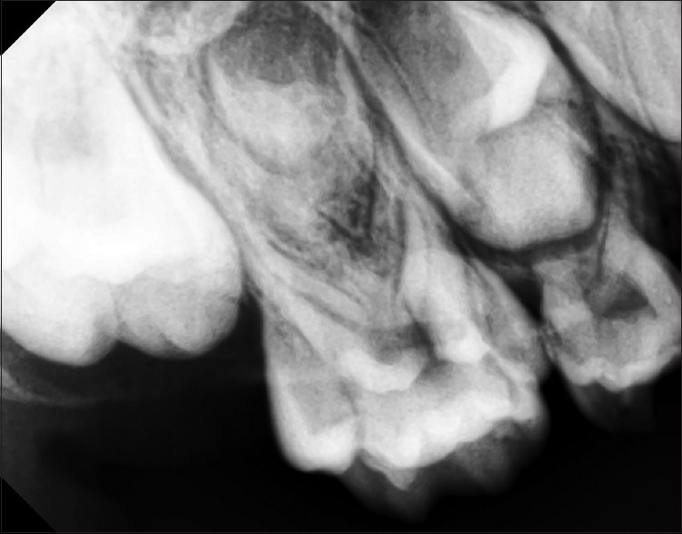
A 6-year-old female patient reported to the Department of Pedodontics and Preventive Dentistry for the treatment of her carious teeth. Family history and medical history were noncontributory with no signs of any syndrome. On intraoral examination, there was no pain or swelling associated with the tooth and no abnormality of soft tissues was noticed. The intraoral examination revealed that the patient was in a primary dentition stage with poor oral hygiene. Detailed dental examination resulted in the incidental clinical findings of supernumerary cusp on the occlusal surface of the maxillary right second primary molar with a central cusp and caries extending into the pit and fissures [Figures 1 and 2]. On clinical examination, the patient had no relevant extraoral findings. The intraoral periapical radiograph also shows the presence of multiple cusps with pulpal extensions [Figure 3]. The occlusal pit and fissure caries of 55 were carefully removed to prepare a conservative cavity with the help of round bur using airotor, followed by excavation of soft dental caries using spoon excavator. Due to favorable properties of glass ionomer cement such as chemical bonding with the tooth structure and fluoride-releasing capacity, the prepared tooth was restored using glass ionomer cement.
Figure 1.

Ten-cusped primary maxillary right second molar
Figure 2.

Ten-cusped primary maxillary right second molar with cusps marked with blue dots
Figure 3.

Radiovisiography of ten-cusped primary maxillary right second molar with pulpal extensions into the cusps
DISCUSSION
Supernumerary cusps are relatively rare anomalies. Central cusp and talon cusp are referred as dens evaginatus, which is composed of enamel and dentin with or without pulpal projections. Supernumerary cusp formed on the maxillary or mandibular anterior teeth is often referred to as talon cusp and supernumerary cusp formed on the occlusal surface of the premolar or molar is referred to as dens evaginatus.[2,5]
Central cusp is a tapered projection on the central fossa caused by local hyperplasia of internal enamel epithelial cell and mesenchymal cell during the tooth development.[1] Other acronyms for central cusp are “occlusal supernumerary cusp,” “dens evaginatus,” “premolar odontome,” “occlusal tubercle,” “accessory central cusp,” “tuberculated premolar” and “Leong's premolar.”[3] In this case report, the supernumerary cusp is situated centrally on the oblique ridge. The cause of formation of the central cusp is similar to dens evaginatus which is common in permanent dentition, whereas the occurrence of central cusp is rare in primary dentition.[4] In primary dentition, the central cusps were confined to maxillary second molar either unilateral or bilateral.[2,3,7] All the factors resulted in the diagnosis of supernumerary-cusped tooth.
Supernumerary cusp teeth may cause caries in the pits or deep developmental grooves between the supernumerary cusp, sensitivity or devitalization of the tooth due to fracture or attrition of the protruded portion of the cusp that has pulpal extension, premature tooth contact that leads to occlusal interference and habitual posturing of the jaw.[2,3] Extra cusps in the crowns might be associated with an increased number of roots that can affect the endodontic treatment, periodontal management, extraction, tooth preparation for restorative treatment as well as orthodontic treatment. It might also interfere with placement of bands in various treatment procedures.[2,6]
Multicusp dentition is more susceptible to caries due to the increased number of fissures. They are more efficient in breaking down food into smaller particles, thereby increasing the surface area available for food particles to contact with digestive enzyme in order to acquire the extra energy.[8] Preventive measures such as oral hygiene care, diet advice and topical fluoride gel application can also be implemented.
CONCLUSION
As the pits and grooves surrounding the supernumerary cusps are highly susceptible to caries, it is necessary that the supernumerary cusp teeth should be under periodic dental and routine oral health-care checkups for monitoring caries status and pulp vitality. Hence, early diagnosis and management will prevent complication associated with these teeth.
Declaration of patient consent
The authors certify that they have obtained all appropriate patient consent forms. In the form, the patient has given her consent for her images and other clinical information to be reported in the journal. The patient understands that name and initials will not be published and due efforts will be made to conceal identity, but anonymity cannot be guaranteed.
Financial support and sponsorship
Nil.
Conflicts of interest
There are no conflicts of interest.
REFERENCES
- 1.Jiang K, Che C, Ding Z, Zeng S, Wang W, He X. Precision diagnosis and antidiastole on supernumerary cusp of tooth by CBCT. Surg Radiol Anat. 2016;38:1099–104. doi: 10.1007/s00276-016-1636-7. [DOI] [PubMed] [Google Scholar]
- 2.Nirmala SV, Challa R, Velpula L, Nuvvula S. Unusual occurrence of accessory central cusp in the maxillary second primary molar. Contemp Clin Dent. 2011;2:127–30. doi: 10.4103/0976-237X.83078. [DOI] [PMC free article] [PubMed] [Google Scholar]
- 3.Nagaveni NB, Umashankara KV. Maxillary molar with dens evaginatus and multiple cusps: Report of a rare case and literature review. Int J Oral Health Sci. 2013;3:92–7. [Google Scholar]
- 4.Chandra B, Das M. Accessory central cusp in the maxillary second primary molars: A rare entity among the rare. Int J Clin Pediatr Dent. 2014;7:202–5. doi: 10.5005/jp-journals-10005-1265. [DOI] [PMC free article] [PubMed] [Google Scholar]
- 5.Roopa KB, Poornima P, Pathak S, Neena IE. Bilateral supernumerary cusps on deciduous and permanent molars: A case report with a short review. Int J Contemp Dent Med Rev. 2015;2015:1–3. [Google Scholar]
- 6.Gupta SK, Saxena P. Prevalence of cusp 7 in permanent mandibular first molars in an Indian population: A comparative study of variations in occlusal morphology. J Investig Clin Dent. 2013;4:240–6. doi: 10.1111/j.2041-1626.2012.00154.x. [DOI] [PubMed] [Google Scholar]
- 7.Nagarajan S, Sockalingam MP, Mahyuddin A. Bilateral accessory central cusp of 2nd deciduous molar: An unusual occurrence. Arch Orofac Sci. 2009;4:22–4. [Google Scholar]
- 8.Constantino PJ, Bush MB, Barani A, Lawn BR. On the evolutionary advantage of multi-cusped teeth. J R Soc Interface. 2016;13 doi: 10.1098/rsif.2016.0374. pii: 20160374. [DOI] [PMC free article] [PubMed] [Google Scholar]
