Graphical abstract
Keywords: Amyloidosis, Mitral regurgitation, Global longitudinal strain
Highlights
-
•
A case of amyloid light-chain amyloidosis with primarily severe MR is described.
-
•
Diagnosis was unrecognized preoperatively due to normal LV thickness and function.
-
•
Diagnosis was unrecognized preoperatively due to normal LV thickness and function.
-
•
Retrospective analysis of preoperative GLS was suggestive of amyloid cardiomyopathy.
Introduction
Amyloid cardiomyopathy with primarily valvular involvement is a rare condition. We report a case of severe mitral regurgitation (MR) in which amyloidosis remained unrecognized preoperatively because of near normal left ventricular (LV) wall thickness and systolic function. Postoperatively, the onset of refractory biventricular failure. which raised the tardive diagnosis of amyloid light-chain amyloidosis is also an unusual feature of the disease. Retrospective analysis of preoperative global longitudinal strain (GLS) was suggestive of amyloid cardiomyopathy.
Case Presentation
A 57-year-old man underwent elective minimally invasive mechanical mitral valve replacement for severe symptomatic MR presumably due to rheumatic valve disease (Figure 1A, Video 1, Video 2, Video 3). Preoperative transthoracic echocardiography (TTE) showed normal LV dimensions, mildly increased wall thickness (Figure 1B), and an LV ejection fraction (LVEF) of 75% (Video 4). The postoperative period was notable for prolonged biventricular failure (LVEF 45%) requiring 8 days of inotropic support. Three months later, the patient was readmitted with progressive unexplained refractory biventricular failure. Repeat TTE showed severe LV systolic dysfunction (Video 5) with an LVEF of 25%, mildly increased wall thickness, a moderately dilated and hypokinetic right ventricle, severe tricuspid regurgitation, and normal prosthetic valve function.
Figure 1.
Preoperative TTE. (A) Thickening of mitral leaflets with restricted motion led to a diagnosis of severe rheumatic MR. (B) Normal LV dimensions (end-diastolic diameter 49 mm) with septal thickness of 11 mm and posterior wall thickness of 12 mm.
Retrospective analysis of preoperative TTE revealed apical sparing of longitudinal strain (Figure 2A) despite normal systolic function and GLS, suggesting an infiltrative process that was unrecognized at the time of surgical referral. Postoperative TTE showed a severe reduction in GLS with an exaggeration of the apical-sparing phenomenon (Figure 2B). Further investigation revealed abnormal serum light chain levels. Serum protein electrophoresis and immunofixation showed an immunoglobulin Aλ monoclonal gammopathy of 12 g/L. Bone marrow biopsy confirmed multiple myeloma with 30% to 40% infiltration of plasmocytes. Congo red staining of the native mitral valve showed pronounced deposition of amyloid substance (Figures 3A and 3B). Cardiac magnetic resonance findings were consistent with severe infiltrative cardiomyopathy (Figures 4A and 4B, Video 6). Despite a regimen of CyBorD (bortezomib, cyclophosphamide, and dexamethasone), the patient deteriorated rapidly and progressed to multiorgan failure and death.
Figure 2.
GLS analysis. (A) Retrospective strain analysis showed preserved GLS (−20.8%) preoperatively with an abnormal relative regional strain ratio (RRSR) of 1.3 (RRSR = average apical strain/average basal strain + mid strain) preoperatively. (B) Postoperative TTE showed severe LV dysfunction, with an LVEF of 25%. GLS was markedly reduced (−5.3%), with a significant increase in RRSR at 4.7.
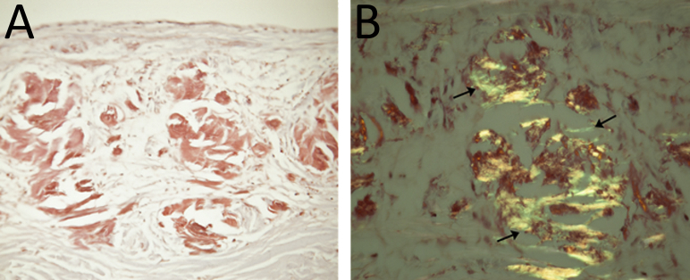
Figure 3.
Native mitral valvular leaflet, Congo red histologic staining. (A) Abundant pink-red deposits of Congophilic amyloid within leaflet stroma (original magnification 200×). (B) Note the yellow-green birefringence when observed on polarization microscopy (arrows; original magnification 400×).
Figure 4.
Cardiac magnetic resonance. (A) Circumferential and near transmural late gadolinium enhancement (LGE) of all segments (arrows) from base to apex was present. In the Look-Locker sequence, the myocardial nulling was blurry and preceded the blood pool nulling, a characteristic finding of infiltrative cardiomyopathy. (B) The LGE extended to the right ventricular free wall, the atria, and the interatrial septum (arrows).
Discussion
Cardiac involvement has been reported in 50% of patients with systemic amyloid light-chain amyloidosis and has been associated with reduced survival. Although rare, cardiac amyloidosis has been associated with cases of atypical MR due to valvular thickening by direct amyloid deposition1 as well as ruptured chordae.2 Overt LV or biventricular systolic dysfunction is usually a late finding, but strain imaging can identify subclinical LV dysfunction early in the course of the disease. One characteristic feature is a difference in regional longitudinal strain with sparing of the apex (decreased basal segments deformation with preservation of apical segments).3 Indeed, a relative regional strain ratio of >1 confers discriminative capacity for cardiac amyloidosis. In addition, relative regional strain ratio was associated with prognosis in one study, with patients with reduced LVEFs and relative regional strain ratios > 1.3 having the greatest risk for death.4
Conclusion
In our case, preoperative LV strain analysis showing apical sparing despite preserved LVEF and GLS, as well as atypical valvular appearance, should have raised suspicion of cardiac amyloidosis. Postoperatively, rapidly progressive and refractory biventricular failure was indicative of an already late-stage phase of the diffuse infiltrative process, associated with high mortality.
Footnotes
Conflicts of interest: The authors reported no actual or potential conflicts of interest relative to this document.
Drs. Wissanji and Poulin contributed equally to this work.
Supplementary data related to this article can be found at https://doi.org/10.1016/j.case.2020.07.005.
Supplementary Data
Preoperative TTE showing thickening of the mitral valve with severely restricted posterior leaflet.
On preoperative transesophageal echocardiography, while the restricted motion of both mitral leaflets was obvious, the appearance was not typical of rheumatic disease.
Preoperative transesophageal echocardiography. Color Doppler demonstrates a posteriorly directed jet of severe MR.
Preoperative TTE, apical four-chamber view. Normal LVEF estimated at 75%.
Postoperative TTE. Apical four-chamber view demonstrates severe LV systolic dysfunction predominantly involving the basal and mid segments.
Postgadolinium Look-Locker sequence, showing abnormal nulling pattern with myocardial nulling preceding LV blood pool nulling, supporting the diagnosis of infiltrative cardiomyopathy.
References
- 1.Ammar K.A., Khandheria B.K., Bajwa T., Port S.C., Allaqaband S., Jain R. Cardiac amyloidosis presenting as severe mitral regurgitation. JACC Cardiovasc Imaging. 2016;9:1003–1006. doi: 10.1016/j.jcmg.2016.03.011. [DOI] [PubMed] [Google Scholar]
- 2.Nishi H., Mitsuno M., Ryomoto M., Miyamoto Y. Severe mitral regurgitation due to cardiac amyloidosis—a rare reason for ruptured chordae. Interact Cardiovasc Thorac Surg. 2008;7:1199–1200. doi: 10.1510/icvts.2008.187179. [DOI] [PubMed] [Google Scholar]
- 3.Hu K., Liu D., Nordbeck P., Cikes M., Stork S., Kramer B. Impact of monitoring longitudinal systolic strain changes during serial echocardiography on outcome in patients with AL amyloidosis. Int J Cardiovasc Imaging. 2015;31:1401–1412. doi: 10.1007/s10554-015-0711-1. [DOI] [PubMed] [Google Scholar]
- 4.Senapati A., Sperry B.W., Grodin J.L., Kusunose K., Thavendiranathan P., Jaber W. Prognostic implication of relative regional strain ratio in cardiac amyloidosis. Heart. 2016;102:748–754. doi: 10.1136/heartjnl-2015-308657. [DOI] [PubMed] [Google Scholar]
Associated Data
This section collects any data citations, data availability statements, or supplementary materials included in this article.
Supplementary Materials
Preoperative TTE showing thickening of the mitral valve with severely restricted posterior leaflet.
On preoperative transesophageal echocardiography, while the restricted motion of both mitral leaflets was obvious, the appearance was not typical of rheumatic disease.
Preoperative transesophageal echocardiography. Color Doppler demonstrates a posteriorly directed jet of severe MR.
Preoperative TTE, apical four-chamber view. Normal LVEF estimated at 75%.
Postoperative TTE. Apical four-chamber view demonstrates severe LV systolic dysfunction predominantly involving the basal and mid segments.
Postgadolinium Look-Locker sequence, showing abnormal nulling pattern with myocardial nulling preceding LV blood pool nulling, supporting the diagnosis of infiltrative cardiomyopathy.





