Abstract
Subcutaneous emphysema and pneumoscrotum due to spontaneous pneumothorax is a rare clinical situation. We present the case of an 82 year old man who was admitted to the emergency department in state of respiratory distress and scrotum increased in size, painful and rapidly progressive installation. Clinical evaluation revealed scrotal emphysema associated with diffuse subcutaneous emphysema in the trunk, the face and both upper limbs. The treatment of this pathology is not yet standardized; antibiotic therapy and close monitoring are recommended.
Keywords: Pneumoscrotum, Subcutaneous emphysema, Necrotizing fasciitis, Pneumothorax drainage
Abbreviations: CT, computerized tomography
Background
Pneumoscrotum is an unusual case and a very scarce complication. The variety of possible etiologies for this condition includes air accumulation from intra-abdominal, retroperitoneal, or subcutaneous routes. Frequently following thoracic or abdominal procedures and rarely infection with gas-producing organisms or spontaneously in the context of emphysematous lung pathology.1,2
The expanded study may reveal several etiologies which requires the need to exclude them before making the pneumoscrotal diagnosis. In-depth investigation at the source is essential to eliminate life-threatening situations.3
Currently, the treatment of this pathology is not yet standardized; antibiotic therapy and close monitoring are recommended.
Case presentation
An 82-year-old man with chronic smoking who was followed for pulmonary emphysema. He presented to the emergency department with the complaint of scrotal swelling during the last 4 hours. Without any notion of trauma or previous infectious context.
The patient was conscious, hemodynamically stable, with a polypnea. His scrotum was very bilaterally inflated, non-erythematous, well transilluminated (Fig. 1, Fig. 2). With the presence of generalized subcutaneous emphysema extended over the anterior thigh, abdominal and thoracic anterior wall, both upper limbs with an extension towards the neck and the face (Fig. 2).
Fig. 1.
Swollen scrotum noted.
Fig. 2.
Swelling of neck and face.
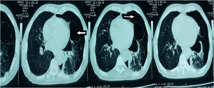
The abdominal and chest x-ray showed an emphysematous left lung with pneumothorax of the same side of 57%. CT chest to objectify a big ball of emphysema and pneumothorax of great abundance (Fig. 3).
Fig. 3.
CT demonstrates left pneumo-haemothorax with a ball of emphysema.
The patient is referred to an intensive care unit for specialized care in which he has benefited from chest drainage and preventive antibiotic therapy.
However, the patient died of suffocating pneumothorax 5 h after hospitalization.
Discussion and conclusion
The pathways that enable air to arrive in the scrotum are diverse. The abdominal wall allows air to infiltrate the thoracic wall along with the subcutaneous fascial layer of Camper's fascia and a deep membranous layer of Scarpa fascia.
The air arrives inside the scrotum via three main routes4:
-
(A)
Intra-abdominal path: through the tunic of the vaginal
-
(B)
Retroperitoneal path: through the inguinal canal, and along the spermatic cord.
-
(C)
Subcutaneous path: direct extension of all the subcutaneous anti-space of the trunk and perineum.
Etiology of primary pneumoscrotum is multi-varied whose Scrotal and testicular abscess, Necrotizing fasciitis, empididymo-orchitis, Infarction, Autoerotic air injection…
Etiology of secondary pneumoscrotum have several causes that can be classified according to their origins:
-
•
Thoracic origin: pneumomediastinum, pneumothorax post-trauma or spontaneous blunt trauma, tracheal intubation pulmonary resection pneumothorax drainage.
-
•
Retroperitoneal: retroperitoneum trauma, renal surgery, emphysematous pyelonephritis.
-
•
Intra-abdominal/intraperitoneal: visceral perforation, abdominal trauma, colonoscopy, laparoscopy, liver or kidney biopsy.5
The diagnosis is often easy; palpation of a scrotal air sac confirms the diagnosis, transillumination is generally positive. Tomography (CT), and X-ray can detect the presence of air in the scrotum, and detailed and thorough questioning ensures in the majority of cases the etiological diagnosis.
The treatment of pneumoscrotum in general that of its causal pathology. Although Broad-spectrum antibiotic therapy is not warranted in every case, outside of the infectious organisms is highly suspected or proven. In the case of pneumoscrotum after intestinal perforation and a retroperitoneal abscess may be infected, and antibiotics are recommended in such cases, but the subcutaneous emphysematous pneumoscrotum usually does not become infected and follow-up, without special antibiotic treatment or drainage, is sufficient.1,4
The therapeutic aspiration has never shown a benefit in the management. On the other hand, it increases the risk of infection.
Spontaneous resolution has been reported in studies, and complete clearance of the pneumoscrotum would generally occur within three to five days after treatment of the causal pathology.5
Pneumoscrotum is a rare clinical case, although it is not an urgent situation that is important to identify the primary and secondary etiologies. The management should be supportive of an intervention directed at causal etiology.
Ethical approval and consent to participate
Not available.
Consent to publication
The consent to publish this information was obtained from study participants. We confirm that written proof of consent to publish study participants are available when requested and at any time.
Availability of data and material
The datasets in this article are available in the repository of the urology database, Chu Ibn-Rochd Casablanca, upon request, from the corresponding author.
Funding
Not applicable.
Author's contributions
Dr. IJ, Dr. MG, Dr. YC, Dr. YL and Dr. AM analysed and performed the literature research, Pr. MD, Pr. AD, Pr. RA performed the examination and performed the scientific validation of the manuscript. Issam Jandou was the major contributors to the writing of the manuscript. All authors read and approved the manuscript.
Declaration of competing interest
The authors state that they do not have competing interests.
Acknowledgments
We thank Dr. Jihane El Habnouny for this contribution in writing and editing the article.
References
- 1.Momeni Mehdi, Jahanshir Amirhosein, Karimialavijeh Ehsan. “Pneumomediastinum, pneumoperitoneum and pneumoscrotum following perforation of the pyriform sinus”. Department of emergency medicine, Dr. Shariati hospital, Tehran University of medical sciences, Tehran, Iran. Vis. J. Emer. Med. 2019;15 doi: 10.1016/j.visj.2019.100558. [DOI] [Google Scholar]
- 2.ERCP-related duodenal perforation presenting as pneumoscrotum mohammad Saud Khana Faisal Jamalb Zubair Khana Abhinav Tiwaria Hermann Simoa Himani Sharmaa department of internal medicine, University of Toledo medical center, Toledo, OH, USA. Case Rep. Gastroenterol. 2018;12:1–6. doi: 10.1159/000485557. [DOI] [PMC free article] [PubMed] [Google Scholar]
- 3.Willburger Johanna, Suter Basil, Wimmer Matthias, Kirchhoff Philipp. Pneumoscrotum after colorectal surgery: a case report”. Clin. Case Rep. 2018;6:1485–1487. doi: 10.1002/ccr3.1594. [DOI] [PMC free article] [PubMed] [Google Scholar]
- 4.Lostoridis E., Gkagkalidis K., Varsamis N. Pneumoscrotum as complication of blunt thoracic trauma: a case report. Case Rep. Surg. 2013;2013:392869. doi: 10.1155/2013/392869. [DOI] [PMC free article] [PubMed] [Google Scholar]
- 5.Dagur Gautam, Min Leea, Warrena Reese Imhofa, Khan Sardar. Critical manifestations of Pneumoscrotum. Department of physiology and biophysics; and bDepartment of urology, SUNY at stony brook, New York, N.Y., USA. Curr. Urol. 2015;9:62–66. doi: 10.1159/000442855. [DOI] [PMC free article] [PubMed] [Google Scholar]
Associated Data
This section collects any data citations, data availability statements, or supplementary materials included in this article.
Data Availability Statement
The datasets in this article are available in the repository of the urology database, Chu Ibn-Rochd Casablanca, upon request, from the corresponding author.



