Abstract
Background:
The production of stress oxidative condition in body which is caused by consumption of ecstasy (3,4-methylenedioxymethamphetamine [MDMA]) leads to a liver damage. As an antioxidant, Vitamin E can protect cells and tissues against the deleterious effects of free radicals. This study evaluates the protective effects of Vitamin E on MDMA induced liver toxicity.
Materials and Methods:
Twenty-eight male albino mice were randomly assigned to four equal groups. Group 1 received saline (control), Group 2 received MDMA and saline, Group 3 received MDMA, and Vitamin E and Group 4 received Vitamin E. MDMA was injected with single daily dose, three sequential days/week for 5 weeks. At the end of the period, blood samples were collected for a biochemical analysis and then the mice were sacrificed by cervical dislocation for histopathological and biochemical examinations of liver.
Results:
The administration of Vitamin E attenuated the increased levels of alanine transaminase, aspartate transaminase, and alkaline phosphatase enzymes in serum. Vitamin E treatments significantly restored endogenous antioxidant enzymes (reduced glutathione and superoxide dismutase enzyme) activities as compared with MDMA-treated animals. Histological examination of liver revealed significant morphological tissue injuries in hepatocytes after MDMA being used, but in coadministration of vitamin E and MDMA, these morphological alterations reduced.
Conclusion:
The study showed that MDMA administration has adverse effects on the liver. Vitamin E lessened the deleterious impact considerably.
Keywords: Ecstasy, hepatotoxicity, stress oxidative, Vitamin E
INTRODUCTION
3,4-methylenedioxymethamphetamine (MDMA), i.e., ecstasy, is a chemical compound commonly abused as a psychoactive recreational drug.[1] The effects mentioned are induced by MDMA through an enhanced release of the neurotransmitter serotonin (5-hydroxytryptamine) and also a comparably minor release of another monoaminergic neurotransmitter, known as dopamine (2–3,4-dihydroxyfenyl ethanamine [DA]).[2] The MDMA abuse, in general, does not seem to be following a strong addictive pattern, but it is mostly limited to the weekend or a single night.[3]
The abuse of MDMA can be a serious public health problem. An acute exposure to MDMA has negative effects on physiological functions in many cells and organs. Some tissues such as brain, heart, testis, kidney, and liver also can be damaged with fatal consequences which depend on the damage intensity.[4] As a consequence of increase in MDMA abuse, there has been an increasing incidence of serious adverse effects of MDMA.[5] There are several factors which contribute neurotoxicity induction caused by MDMA including hyperthermia, stimulation of sustained receptor, neurotransmitter synthesis inhibition, dopamine and serotonin monoamine oxidase-related metabolism, dopamine oxidation and MDMA neurotoxic metabolites formation. A general result of these factors is oxidative stress which plays a significant role in MDMA pathogenesis.[6,7] As a detoxifying organ, liver becomes particularly important and liver hepatocytes play a key role in the metabolism of drugs and alcohol.[8] Numerous studies have shown that MDMA is toxic to liver cells[9,10] and ecstasy consumption is associated with liver failure.[11] The production of reactive oxygen species (ROS) and reduction of reduced glutathione (GSH) during the metabolism of MDMA may be due to liver damage.[12]
Vitamin E, which is a fat-soluble nonenzymatic antioxidant, contains a group of isomers with two related molecules, namely, tocopherols and tocotrienols. It has antioxidant activity and intercalates between lipids in biological membranes. Vitamin E isomers stop ROS-based reactions that produce lipoperoxides and also Vitamin E protects liver in albino mice against lead induced hepatotoxicity.[13] There is no information about the effects of Vitamin E on liver toxicities produced by MDMA exposure in mice or other mammals. Thus, the present study intends to evaluate the possibility of a positive effect on liver injuries induced by MDMA, and a possible reduction in the toxicity of ecstasy on the liver, as a result of the administration of Vitamin E.
MATERIALS AND METHODS
Chemicals and reagents
MDMA was obtained from Biotechnology Unit of Iran Medical Sciences University, Tehran. In situ cell death detection kit (TUNEL assay) was purchased from Roche (Germany); superoxide dismutase (SOD) assay kit was purchased from ZellBio (Germany). Aspartate aminotransferase (AST) assay kit, alanine aminotransferase (ALT) assay kit, and alkaline phosphatase (ALP) assay kit were purchased from pars azmoon (Iran). All other analytical-grade chemicals for histological and biochemical studies were obtained from Sigma (USA) and Merck (Germany) Chemical Companies.
Animals and treatments
Twenty eight sexually matured, 6–8-week-old male albino mice with weight range of 25–30 g were purchased from the animal house of the Urmia Medical University and kept under specific conditions with a constant cycle of 12-h light/dark and at a controlled temperature of 25°C. In order to acclimatize, 1 week was designated before experiments. All performed experiments in this study were in accordance with the ethical NIH guidelines for animal research (Guide for the Care and Use of Laboratory Animals, NIH Publication No. 85-23, revised 1996). Moreover, the protocol was approved by the committee on ethics in animal experimentation of the Urmia Medical University.
The mice were randomly divided into 4 treatment groups (7 mice in each group) including: Group 1 (Control) received saline (0.9% NaCl) by gastric gavage and i.p.; Group 2 (MDMA) received pure MDMA (10 mg/kg) dissolved in saline (0.9% NaCl) i.p. and saline (0.9% NaCl) by gastric gavage.; Group 3 (MDMA + Vitamin E) received pure MDMA (10 mg/kg) dissolved in saline (0.9% NaCl) i.p. and Vitamin E (150 mg/kg) having been dissolved in olive oil being gavaged and Group 4 (olive oil) received olive oil (150 mg/kg) by gastric gavage and saline (0.9% NaCl) i.p. based on previous reports, MDMA and Vitamin E doses were selected respectively.
At the end of the day 35 and after just 24 h from the last administration, ketamine and xylazine mixture (100/10 mg/kg, i.p.) was used for anesthetizing the mice. Blood samples were collected through cardiac puncture in tubes. The samples were centrifuged for 5 min at 4°C–6°C and 2500 rpm and stored at −80°C for biochemical indices assays. Then, the mice were sacrificed and livers were removed for histopathological and biochemical examinations.
Histopathological examination
The livers were taken from the mice and fixed in neutral buffer formalin solution, dehydrated and embedded in paraffin wax, then were sectioned at 5 μm-thick sections and were stained with hematoxylin and eosin. Other sections were stained with TUNEL for apoptosis and necrosis identification respectively according to the manufacturer's instructions.
Biochemical analysis
Serum biochemical parameters
AST, ALT and ALP were measured using commercial enzymatic biochemical diagnostic kits according to manufacturer's instructions.
Tissue biochemical parameters
The livers were removed from the mice and were rinsed in ice-cold isotonic saline solution, then were weighed and a 10% w/v tissues homogenate were prepared in 0.1 M phosphate buffer (pH 7.4), then were centrifuged (10,000 ×g, 15 min, 4°C) and the supernatants were removed and used in various biochemical assays. Total glutathione (GSH, reduced) content was measured by Ellman's reagent[14] and SOD activity was assayed according to the instructions in assay kits.
Statistical analysis
All data were analyzed using the SPSS software (version 16, SPSS Inc., Chicago, IL, USA). The results of measured enzymes were presented as means ± standard deviation. Kolmogorov–Smirnov test was used to determine whether or not they were normally distributed and the analyses of abnormally distributed variables were conducted with the Mann–Whitney U-test. Comparisons with P < 0.001 were considered to be statistically significant.
RESULTS
Biochemical observations
Ecstasy increased the activity of ALT, AST, and ALP enzymes in the serum of the mice as compared to the control group; however, coadministration of ecstasy and Vitamin E (MDMA + Vitamin E) attenuated the increased level of these enzymes in serum. Thus, the decrease in the activity of ALP was statistically significant (P < 0.001) [Table 1].
Table 1.
The levels of aspartate transaminase, alanine transaminase, and alkaline phosphatase levels in plasma and apoptosis index of hepatocyte cells
| Parameters | Mice groups | |||
|---|---|---|---|---|
| Control (n=7) | MDMA (n=7) | MDMA + Vitamin E (n=7) | Vitamin E (n=7) | |
| AST (IU/ml) | 31.2±4.8 | 92.7±26.4a | 59.0±13.7a | 38.7±7.7 |
| ALT (IU/ml) | 9.5±1.2 | 31.5±12.3a | 18.2±1.7a | 10.5±2.0 |
| ALP (IU/ml) | 64.0±9.6 | 180.7±36.4a | 92.7±22.6b | 67.5±12.0 |
| Apoptosis index | 1.402±0.353 | 20.53±3.428a | 13.407±2.557a,b | 1.010±.0161 |
Effect of MDMA and vitamin E on the levels of AST, ALT and ALP activities in plasma and apoptotic index measured in liver. Data are expressed as (mean±SD). aA statistically significant difference relative to the control (P<0.001). bA statistically significant difference relative to the MDMA (P<0.001). AST=Aspartate transaminase; ALT=Alanine transaminase; ALP=Alkaline phosphatase; SD=Standard deviation; MDMA=3,4-methylenedioxymethamphetamine
The administration of ecstasy significantly reduced GSH and SOD enzyme activity in the liver as compared with the control group. Ecstasy and Vitamin E treatments (MDMA + Vitamin E) significantly restored endogenous antioxidant enzymes (reduced GSH and SOD) activities compared with MDMA-treated animals [Figure 1].
Figure 1.

The levels of total reduced glutathione and superoxide dismutase enzyme activity in mice liver. Effect of 3,4-methylenedioxymethamphetamine and Vitamin E on the levels total reduced glutathione and superoxide dismutase activity measured in liver (each group were 7 mice). C (control), E (ecstasy), and V (Vitamin E). Measurements were done as described in the method section. Data are expressed as mean ± standard deviation. *A statistically significant difference compared to the control (P < 0.001)
Histopathological observations
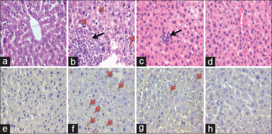
Hepatic cords around the central vein were seen in liver section of the control group; otherwise, in MDMA group, hepatocytes were crowded with centrally basophilic nuclei, dark acidophilic cytoplasm, and dilation of central vein. There were also vacuolated cells and these variables decreased in hepatocytes of group 3 (MDMA + Vitamin E), so Vitamin E attenuated the adverse effect of MDMA in liver [Figure 2].
Figure 2.

Histological photomicrographs of liver. The sections stained with hematoxylin and eosin (upper row) and tunnel assay (lower row) in treatment groups: (a) Normal mouse liver, (b) 3,4-methylenedioxymethamphetamine group: red arrow indicates ballooning of hepatocytes and black arrow indicates infiltration of inflammatory cells as a colony, (c) Vitamin E decreased the liver injury: decreased inflammatory cells (black arrow) and hepatocytes structure closest to normal without ballooning cells, (d) Vitamin E group with no clear damage (e) normal liver without apoptotic cells, (f) increased of apoptotic hepatocytes (brown nucleus, indicated with red arrow) in 3,4-methylenedioxymethamphetamine group and (g) decreased of these cells after consume of Vitamin E and (h) Vitamin E group with no clear damage
In TUNEL assay, a significant increase in apoptosis was observed in MDMA group comparing to the other groups (P < 0.001). But, Vitamin E reduced apoptosis in group 3 cells relative to cells of Group 2 [Figure 2 and Table 1].
DISCUSSION
MDMA proved to have a toxic effect on the liver and the use of Vitamin E attenuated the toxicity of MDMA in the liver. The continuous consumption of ecstasy increases its concentration in plasma and consequently causes harmful effects on some organs of the body.[15] One of these organs is the liver. Ecstasy is metabolized in the liver and produces toxic metabolites. MDA (N-demethylated analogue) is a liver metabolite of MDMA or ecstasy. It also produces α-Methyldopamine. These are catechols that undergo oxidation and produce orthoquinones. Quinines are highly redox active molecules that can enter redox cycle and generate ROS through their semiquinone radicals.[16,17] There are various free radical scavenging systems (anti-oxidants) such as SOD enzyme and GSH in the body, and the measurement of the amount of antioxidants is necessary to identify the harmful effects of ROS.[10] Therefore, to evaluate the toxicity of ecstasy on liver, measurement of antioxidants such as SOD enzyme and glutathione reduction can provide useful information. Similarly, multiple MDMA administration reduces glutathione in rat liver.[10] On account of its cystein, GSH modulates critical cellular process such as DNA synthesis.[18] Free radicals usually combine with nonprotein thiols of the GSH and get cleared as a final result.[19] A reduction in GSH content in the liver cells causes irreversible damage to the cells which results in the death of the cells.[10] In the current study, the amount of SOD enzyme and the content of GSH were shown to be decreased in the mice treated with ecstasy. The findings were consistent with those of Ninković et al. in 2004.[20] As a nonenzymatic and exogenous antioxidant, vitamin E can reduce overproduction of ROS and has shown protective effects in cells and increased content of GSH in cytoplasm.[21] Vitamin E also has anti-inflammatory effects and a regulating role in expressing the genes involved in cell growth, apoptosis, regulation of immune response and detoxification of xenobiotics in cells.[22] Vitamin E stops the phosphorylation and translocation of the neutrophil cytosol factor 1 (P47 phox) by preventing the activation of protein kinase C, and not allowing the assembly of NADPH oxidase which reduces the production of superoxide.[23] The amount of SOD enzyme and GSH content were also shown to increase in the mice taking ecstasy with vitamin E.
The activities of ALT and AST are indicators of hepatotoxicity[11] with ALT being more specific to liver. The high level of ALT activity is a sign of chronic liver diseases and the ALP which exists in the biliary ducts of the liver increases the hepatic biliary canalicul damage.[24,25] The serum levels of AST, ALT and ALP enzymes were shown to be increased in the mice that were treated with MDMA and the results were consistent with those of Shahraki's and Irani in 2014.[26] The coadministration of Vitamin E and ecstasy reduced the amount of these enzymes in the serum and thus reduced the liver damage. Vitamin E also reduced the amount of these enzymes and accordingly the toxicity caused by the heavy metals in the liver of the mice.[13]
In studies conducted so far, it has been shown that one of the major mechanisms that causes histopathologic changes in tissues like liver, after ecstasy use, is the production of free oxygen radicals (ROS) and the resulting oxidative stress injuries.[12,27,28] Based on the present study, injuries such as dilatation of the centrilobular sinusoids and necrotic hepatocytes caused by ecstasy in liver are remarkably reduced as a result of the treatment of Vitamin E along with ecstasy. Vitamin E as an important antioxidant, has protective effects on the toxicity of poisons in cells, so that Vitamin E reduces the cytotoxicity of heavy metals like lead in testis and liver of rats.[13,29] It also attenuates cytotoxicity of MDMA in testis of mice.[30] Vitamin E eliminates free radicals inside the cell (where free radicals are produced).[31] It has been reported that it can react with OH* radical and consequently eliminate the cytotoxicity of OH* in cells.[21] The anti-inflammatory effects of Vitamin E are due to inhibition of ROS production in cells. In addition, Vitamin E reduces the release of pro-inflammatory cytokines like interleukin (IL)-1 β, IL-6, and tumor necrosis factor-alpha and IL-8 chemokine.[23] Vitamin E has anti-apoptotic effects on cells due to the modulation of Bcl2 and Bax proteins as well as inhibition of caspase-3 activity.[23]
CONCLUSIONS
The study showed that ecstasy induces the oxidative stress and hepatic toxicity, and a simultaneous consumption of vitamin E and ecstasy minimizes the damage to liver cells.
Financial support and sponsorship
Nil.
Conflicts of interest
There are no conflicts of interest.
Acknowledgments
This research was funded by Urmia University of Medical Sciences and Health Services under grant number of IR.umsu.REC.1395.245.
REFERENCES
- 1.Ebrahimian Z, Karimi Z, Khoshnoud MJ, Namavar MR, Daraei B, Haidari MR. Behavioral and stereological analysis of the effects of intermittent feeding diet on the orally administrated MDMA (”ecstasy”) in mice. Innov Clin Neurosci. 2017;14:40–52. [PMC free article] [PubMed] [Google Scholar]
- 2.Vegting Y, Reneman L, Booij J. The effects of ecstasy on neurotransmitter systems: A review on the findings of molecular imaging studies. Psychopharmacology (Berl) 2016;233:3473–501. doi: 10.1007/s00213-016-4396-5. [DOI] [PMC free article] [PubMed] [Google Scholar]
- 3.Barenys M, Gomez-Catalan J, Camps L, Teixido E, de Lapuente J, Gonzalez-Linares J, et al. MDMA (ecstasy) delays pubertal development and alters sperm quality after developmental exposure in the rat. Toxicol Lett. 2010;197:135–42. doi: 10.1016/j.toxlet.2010.05.009. [DOI] [PubMed] [Google Scholar]
- 4.Upreti VV, Moon KH, Yu LR, Lee IJ, Eddington ND, Ye X, et al. Increased oxidative-modifications of cytosolic proteins in 3, 4-methylenedioxymethamphetamine (MDMA, ecstasy)-exposed rat liver. Proteomics. 2011;11:202–11. doi: 10.1002/pmic.201000203. [DOI] [PMC free article] [PubMed] [Google Scholar]
- 5.Barenys M, Macia N, Camps L, de Lapuente J, Gomez-Catalan J, Gonzalez-Linares J, et al. Chronic exposure to MDMA (ecstasy) increases DNA damage in sperm and alters testes histopathology in male rats. Toxicol Lett. 2009;191:40–6. doi: 10.1016/j.toxlet.2009.08.002. [DOI] [PubMed] [Google Scholar]
- 6.Popova D, Forsblad A, Hashemian S, Jacobsson SO. Non-serotonergic neurotoxicity by MDMA (Ecstasy) in neurons derived from mouse P19 embryonal carcinoma cells. PLoS One. 2016;11:e0166750. doi: 10.1371/journal.pone.0166750. [DOI] [PMC free article] [PubMed] [Google Scholar]
- 7.Barbosa DJ, Capela JP, Oliveira J, Silva R, Ferreira LM, Siopa F, et al. Pro-oxidant effects of Ecstasy and its metabolites in mouse brain synaptosomes. Br J Pharmacol. 2012;165:1017–33. doi: 10.1111/j.1476-5381.2011.01453.x. [DOI] [PMC free article] [PubMed] [Google Scholar]
- 8.Bernal W, Hyyrylainen A, Gera A, Audimoolam VK, McPhail MJ, Auzinger G, et al. Lessons from look-back in acute liver failure? A single centre experience of 3300 patients. J Hepatol. 2013;59:74–80. doi: 10.1016/j.jhep.2013.02.010. [DOI] [PubMed] [Google Scholar]
- 9.Custódio JB, Santos MS, Gonçalves DI, Moreno AJ, Fernandes E, Bastos ML, et al. Comparative effects of 3,4-methylenedioxymetham phetamine and 4-methylthioamphetamine on rat liver mitochondrial function. Toxicology. 2010;270:99–105. doi: 10.1016/j.tox.2010.01.022. [DOI] [PubMed] [Google Scholar]
- 10.Beitia G, Cobreros A, Sainz L, Cenarruzabeitia E. Ecstasy-induced toxicity in rat liver. Liver. 2000;20:8–15. doi: 10.1034/j.1600-0676.2000.020001008.x. [DOI] [PubMed] [Google Scholar]
- 11.Muddu AK, Wright M, Sheron N. Ecstasy: An important cause of acute liver failure. Acute Med. 2006;5:93–5. [PubMed] [Google Scholar]
- 12.Song BJ, Moon KH, Upreti VV, Eddington ND, Lee IJ. Mechanisms of MDMA (ecstasy)-induced oxidative stress, mitochondrial dysfunction, and organ damage. Curr Pharm Biotechnol. 2010;11:434–43. doi: 10.2174/138920110791591436. [DOI] [PMC free article] [PubMed] [Google Scholar]
- 13.Al-Attar AM. Vitamin E attenuates liver injury induced by exposure to lead, mercury, cadmium and copper in albino mice. Saudi J Biol Sci. 2011;18:395–401. doi: 10.1016/j.sjbs.2011.07.004. [DOI] [PMC free article] [PubMed] [Google Scholar]
- 14.Nowrouzi A, Meghrazi K, Golmohammadi T, Golestani A, Ahmadian S, Shafiezadeh M, et al. Cytotoxicity of subtoxic AgNP in human hepatoma cell line (HepG2) after long-term exposure. Iran Biomed J. 2010;14:23–32. [PMC free article] [PubMed] [Google Scholar]
- 15.Farré M, de la Torre R, Mathúna BO, Roset PN, Peiró AM, Torrens M, et al. Repeated doses administration of MDMA in humans: Pharmacological effects and pharmacokinetics. Psychopharmacology (Berl) 2004;173:364–75. doi: 10.1007/s00213-004-1789-7. [DOI] [PubMed] [Google Scholar]
- 16.Green AR, Mechan AO, Elliott JM, O'Shea E, Colado MI. The pharmacology and clinical pharmacology of 3,4-methylenedioxymethamphetamine (MDMA, “ecstasy”) Pharmacol Rev. 2003;55:463–508. doi: 10.1124/pr.55.3.3. [DOI] [PubMed] [Google Scholar]
- 17.Carvalho M, Milhazes N, Remião F, Borges F, Fernandes E, Amado F, et al. Hepatotoxicity of 3,4-methylenedioxyamphetamine and alpha-methyldopamine in isolated rat hepatocytes: Formation of glutathione conjugates. Arch Toxicol. 2004;78:16–24. doi: 10.1007/s00204-003-0510-7. [DOI] [PubMed] [Google Scholar]
- 18.Antolino-Lobo I, Meulenbelt J, Molendijk J, Nijmeijer SM, Scherpenisse P, van den Berg M, et al. Induction of glutathione synthesis and conjugation by 3,4-methylenedioxymethamphetamine (MDMA) and 3,4-dihydroxymethamphetamine (HHMA) in human and rat liver cells, including the protective role of some antioxidants. Toxicology. 2011;289:175–84. doi: 10.1016/j.tox.2011.08.012. [DOI] [PubMed] [Google Scholar]
- 19.Guo Y, Zhao Q, Cao L, Zhao B. Hepatoprotective effect of Gan Kang Yuan against chronic liver injury induced by alcohol. J Ethnopharmacol. 2017;208:1–7. doi: 10.1016/j.jep.2017.06.033. [DOI] [PubMed] [Google Scholar]
- 20.Ninković M, Malicević Z, Selaković V, Simić I, Vasiljević I. N-methyl-3,4-methylenedioxyamphetamine-induced hepatotoxicity in rats: Oxidative stress after acute and chronic administration. Vojnosanit Pregl. 2004;61:125–31. doi: 10.2298/vsp0402125n. [DOI] [PubMed] [Google Scholar]
- 21.Abdel-Daim MM, Abdeen A. Protective effects of rosuvastatin and vitamin E against fipronil-mediated oxidative damage and apoptosis in rat liver and kidney. Food Chem Toxicol. 2018;114:69–77. doi: 10.1016/j.fct.2018.01.055. [DOI] [PubMed] [Google Scholar]
- 22.Onyema OO, Farombi EO, Emerole GO, Ukoha AI, Onyeze GO. Effect of vitamin E on monosodium glutamate induced hepatotoxicity and oxidative stress in rats. Indian J Biochem Biophys. 2006;43:20–4. [PubMed] [Google Scholar]
- 23.Munteanu A, Zingg JM. Cellular, molecular and clinical aspects of vitamin E on atherosclerosis prevention. Mol Aspects Med. 2007;28:538–90. doi: 10.1016/j.mam.2007.07.001. [DOI] [PubMed] [Google Scholar]
- 24.Lui F. Laboratory tests in liver failure. Anaesthesia Intensive Care Med. 2017;19:1–3. [Google Scholar]
- 25.Kalender S, Ogutcu A, Uzunhisarcikli M, Açikgoz F, Durak D, Ulusoy Y, et al. Diazinon-induced hepatotoxicity and protective effect of vitamin E on some biochemical indices and ultrastructural changes. Toxicology. 2005;211:197–206. doi: 10.1016/j.tox.2005.03.007. [DOI] [PubMed] [Google Scholar]
- 26.Shahraki MR, Irani M. The effects of ecstasy on liver function tests, blood glucose, and lipids profile of male rats. Int J High Risk Behav Addict. 2014;3:e21076. doi: 10.5812/ijhrba.21076. [DOI] [PMC free article] [PubMed] [Google Scholar]
- 27.Montiel-Duarte C, Ansorena E, López-Zabalza MJ, Cenarruzabeitia E, Iraburu MJ. Role of reactive oxygen species, glutathione and NF-kappaB in apoptosis induced by 3,4-methylenedioxymethamphetamine (”Ecstasy”) on hepatic stellate cells. Biochem Pharmacol. 2004;67:1025–33. doi: 10.1016/j.bcp.2003.10.020. [DOI] [PubMed] [Google Scholar]
- 28.Cerretani D, Bello S, Cantatore S, Fiaschi AI, Montefrancesco G, Neri M, et al. Acute administration of 3,4-methylenedioxymethamphetamine (MDMA) induces oxidative stress, lipoperoxidation and TNFα-mediated apoptosis in rat liver. Pharmacol Res. 2011;64:517–27. doi: 10.1016/j.phrs.2011.08.002. [DOI] [PubMed] [Google Scholar]
- 29.Asadpour R, Azari M, Hejazi M, Tayefi H, Zaboli N. Protective effects of garlic aquous extract (Allium sativum), Vitamin E, and N-acetylcysteine on reproductive quality of male rats exposed to lead. Vet Res Forum. 2013;4:251–7. [PMC free article] [PubMed] [Google Scholar]
- 30.Ghafori SS, Zirak Javanmard M, Ahmadi A, Peirouvi T, Karimipour M, Modirkhamene S. The effects of Vitamin E on prevention of damages due to MDMA (Ecstasy) exposure on sperm parameters in mice. Int J High Risk Behav Addict. 2018;7:1–8. [Google Scholar]
- 31.Abdelghaffar SK, El-Sayed Adly MA, Adly MA, Abdel-Samei WM. The protective effects of DMSA and some vitamins against toxicity induced by lead in male albino rats.“I”. J Pharma Applied Chem. 2015;1:1–8. [Google Scholar]
