Abstract
Recurrent pyogenic effusion combined with bilateral pneumothorax is a rare complication associated with the COVID−19 infection. Current article presents the case report of a 68-year-old male with the severe community-acquired bilateral polysegmental viral COVID−19 pneumonia. Chest radiography on the 15th day after admission to the hospital showed the presence of air and pleural effusion in the right pleural cavity with collapse of the right lung. Thoracentesis and thoracostomy in the sixth intercostal space on the mid-axillary line were performed. About 1400 ml of a yellowish opaque liquid were evacuated from the pleural cavity. Pleural fluid analysis confirmed an exudative lymphocytic-rich effusion with no growth of acid-fast bacteria (AFB). In the pleural fluid such gram-negative bacteria as Acinetobacter baumannii and Pseudomonas aeruginosa were cultured. Chest computed tomography obtained on the third day after thoracentesis showed radiological sings of bilateral hydropneumothorax. Needle thoracocentesis and new pleural drainage in the second intercostal space on the right midclavicular line were established. Five days later after the second drainage of the pleural space was initiated the patient was diagnosed with pleural empyema and transferred to the Surgical Clinic. This case report highlights that in patients with COVID-19 recurrent pyogenic effusion combined with bilateral pneumothorax may occur.
Keywords: COVID-19 pneumonia, Pleural effusion, Pneumothorax, Chest, Nosocomial pathogens
Introduction
Although the CT features of severe COVID-19 vary, pleural disease encompassing pneumothorax and pleural effusion are uncommon complications [1,2].
Pneumothorax appears to be a rare occurrence in COVID-19 and according to the literature data occurs with the frequency of approximately 1% [3,4]. The incidence is higher in critically ill patients, especially those requiring mechanical ventilation. Also, one-third of the patients was not submitted to invasive or non-invasive mechanical ventilatory support at the time of diagnosis, thus ruling out iatrogenic causes [4].
Pleural effusion typically develops later in the disease process. Based on the reported case series and meta-analyses, the incidence has typically varied between 2%-11% [5,6]. The frequency of pleural effusions varies with age and disease severity. The effusions are generally small to moderate sized with the majority being unilateral. It may be argued that most, if not all, of these pleural effusions may be secondary to comorbid conditions rather than being directly related to the viral infection [7]. Both heart failure and pulmonary embolism in addition to respiratory co-infections are well-recognized aetiologies of pleural effusions [8]. A few cases of a complicated parapneumonic effusion (empyema) secondary to coronavirus disease 2019 (COVID-19) pneumonia have been reported [9,10,11].
Most patients with spontaneous pneumothorax do not have findings of pleural effusion on chest radiography because the increase in pleural pressure caused by the pneumothorax inhibits the transfer of interstitial liquid into the pleural space [12]. To our knowledge only few cases were described in the literature where unilateral pleural effusion appeared almost at the same time as the pneumothorax in patients with COVID-19 pneumonia [2,13,14].
Herein, we present the case of the bilateral pleural effusion and pneumothorax in the context of SARS-CoV-2. Informed consent was obtained from patient for being included in the study.
Case presentation
A 65-year-old male patient with no history of smoking and underlying pulmonary diseases was treated at the Pulmonary Department of sixth Minsk city clinical hospital from the September 9, 2021 to the October 10, 2021. Patient was not vaccinated against COVID-19. Upon admission the patient showed a 4-day history of gradually increasing shortness of breath, fever, dry cough and fatigue. On examination breath sounds were reduced in the lower segments of the lungs, oxygen saturation (SpO2) was 93%. Chest CT scans demonstrated a bilateral peripheral ground-glass attenuation and patchy consolidation (Fig 1 a, b). The lung involvement was 60%-70%. Nasopharyngeal SARS-CoV-2 RT-PCR test was positive. After 21 days a negative test result was obtained.
Fig. 1.
Bilateral peripheral ground-glass attenuation and patchy consolidation on chest CT scans at admission: a – coronal reformatting image; b – axial reformatting image
During the hospital stay symptoms gradually worsened. The increased temperature remained, the saturation with free breathing decreased to 90%. Blood tests were as following: white cell count: 7.93 х 109/ L all (80% neutrophils, 8 % lymphocytes, and 10% monocytes, 2% plasma cell) (normal range: 4.–9 × 109/L); hemoglobin 159 g/l (normal range:120 – 170 g/l), platelet count: 468 × 109/l (normal range: 150 – 450 × 109 /l), Westergren ESR 41 mm/h; interleukine 6 102 pg/ml (normal range: 0 - 4.1 pg/ml); С-reactive protein 142 mg/l (normal range: 0 – 5 mg/l), ferritin 939.92 μg/ml (normal range: 30 – 300 μg/ml); D-dimer 609 ng/ml1 (normal range: 0 – 250 ng/ml), procalcitonin 0,11 ng/ml (normal range: 0 - 0,046 ng/ml).
The treatment of SARS-CoV-2 infection included dexamethason, heparin, tocilizumab, acetylcysteine, pantoprazole, nadroparin calcium. The patient received oxygen supplementation through the simple face mask with a flow rate of 4 l/min.
Chest radiography on Day 15 after admission showed the presence of air and pleural effusion in the right pleural cavity with collapse of the right lung (Fig 2). The upper level of pleural fluid was located at the level of the third rib. On the same day the patient was transferred to the Intensive Care Unit (ICU), where thoracentesis and thoracostomy in the 6th intercostal space on the mid-axillary line were performed. About 1400 ml of a yellowish opaque liquid was evacuated from the pleural cavity. A follow-up chest radiograph demonstrated lack of air in the right pleural cavity and the persistence of fluid remains. The lung was expanded. Linezolid and imipenem/cilastatin therapy was initiated immediately. The patient continued to receive oxygen supplementation through the simple face mask with flow rate of 8-10 l/min.
Fig. 2.
Air and fluid at the level of the third rib in the right thoracic cavity (chest radiograph on the 15th day after admission)
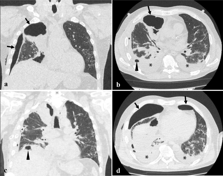
Daily drainage volume was from 300 to 1000 ml of fluid. Chest computed tomography obtained on day 3 after thoracentesis still showed pleural effusion with gas bubbles extended along the posterior and inferior walls of the right hemithorax (Fig. 3 a). The right lung was reduced in volume by half. In the S6 segment of the lower lobe, a focal area of subpleural infiltration with a central cavity of destruction up to 6.5 mm in diameter was revealed (Fig. 3 b,c). Air layer up to 47 mm of anteroposterior thickness was revealed along the anterior chest wall. Radiological sings of the left side hydropneumothorax were also found (Fig. 3 d). The pleural effusion with 25 mm of anteroposterior depth was revealed by the posterior surface of the partially collapsed lung. Air layer up to 19 mm of anteroposterior thickness was discovered along the anterior chest wall at the level of the lingular segments of the lung. In all lung fields multiple bilateral ground glass infiltrates were identified.
Fig. 3.
Air in the pleural cavity (arrow), pleural effusion (*) and focal area of infiltration with a central cavity of destruction (black triangular arrow) on coronal (A, C) and axial (B, D) reformatting images of chest CT on day 3 after thoracentesis (on the 18th day after admission)
Pleural fluid analysis confirmed an exudative lymphocytic-rich effusion with no growth of acid-fast bacteria (AFB). In the pleural fluid such gram-negative bacteria as Acinetobacter baumannii and Pseudomonas aeruginosa were cultured. Moreover, the urine culture was positive for Klebsiella pneumonia.
Because of the negative chest CT findings, a needle thoracocentesis and new pleural drainage in the second intercostal space on the midclavicular line was established. Air and creamy purulent mass have been aspirated. Subsequently 200 to 800 ml of serofibrinous hemorrhagic fluid was drawn daily through 2 drainage tubes. Chest CT showed the presence of air and pleural effusion in the right hemithorax (Fig. 4). 5 days later the diagnosis of pleural empyema was confirmed and the patient was transferred to the Surgical Department of the 10th Minsk city clinical hospital.
Fig. 4.
Air (arrow) and pleural effusion (*) with chest tube (dotted arrow) in the right hemithorax on the axial reformatting image of chest CT on day 6 after second drainage of the pleural space
In a Surgical Department the right pleural space was daily irrigated with antiseptic solutions. Lung expansion was achieved by continuous vacuum aspiration technique. The encapsulated pleural effusion located in the upper anterior area of the right hemithorax was identified 16 days after admission to the surgical unit (Fig. 5a). Ultrasound-guided puncture of this effusion was performed and a new drainage of the pleural cavity was installed.
Fig. 5.
Axial reformatting images of chest CT: (A) - the presence of the encapsulated pleural effusion (*), excess fluid within the pleural space (arrow) and chest tubes (dotted arrows) in the right hemithorax (on the 16th day after admission to the Surgical Department); (B) –the presence of a small amount of fluid in the right pleural cavity (arrow) (on 71th day since the onset of the disease)
After 4-week antibiotic therapy (1 week in the Pulmonary Department and 3 weeks in the Surgical Department) course with colistimethatum natrium (1 million units 2 times a day) and imipenem/cilastatin (1 g 3 times a day) the patient was discharged from the hospital for outpatient follow-up in satisfactory condition. Oxygen saturation (SpO2) was 97% on room air. A chest CT after chest tube removing showed the presence of a small amount of fluid in the right pleural cavity as seen in Fig. 5b. Lab test scores came back to normal range. The level of С-reactive protein was 11.7 mg/l, procalcitonin − < 0,1 ng/ml.
Discussion
Five cases of empyema secondary to COVID‐19 have been reported to date, including two cases of pleural fistula. All five patients were treated with surgical intervention, such as decortication, and four of these cases resulted in a good clinical course [10]. Our case is the first presentation of bilateral infected hydropneumothorax in the patient with COVID 19 pneumonia treated without surgical intervention.
The common cause of pneumothorax is lung cavitation (cystic airspace development). Though infrequently seen in viral pneumonias, it has been reported in COVID19 infection [15]. Cavitation has been observed in the absorption stage of disease, usually after 14 days [16].
The pathophysiology of lung cavitation in COVID-19 patients is unclear [17]. There are some theories for better understanding of its mechanisms. According to Mallick et al. [18] cystic lung lesions such those in COVID-19 patients likely result from prolonged inflammatory damage to lung parenchyma with development of degenerative changes and subsequent air leaks. Additionally, COVID-19 determines ischemic parenchymal damage, activation of fibroblasts and lung fibrosis, and inflammatory storm, which can exudate into alveoli and airway leading to check-valve obstruction in the small airways and cystic formation [19].
Divisi et al. [14] believe that pneumothorax in patient with COVID-19 pneumonia and pleural empyema develop due to the thrombosis of interstitial blood vessels, followed by parenchymal necrosis and loss of tissue elasticity. Histologic evaluation of the intraoperative material received during empyemectomy showed pulmonary parenchyma with fibrosis and blood extravasations, associated with fistulas between terminal bronchioles and visceral pleura, and obstructed arterioles with intimal obliterating hyperplasia and multiple micro‐channeling aspects.
Invasion of the pulmonary parenchyma by SARS-CoV-2 results in intense inflammation that causes diffuse alveolar injury and endothelial damage by the inflammatory cells [6]. This results in an increased interstitial fluid content due to leaky microvasculature. The interstitial fluid then reaches the pleural spaces by traversing the visceral pleura due to interstitial-pleural pressure gradient [12]. Direct invasion by the virus, inflammation of the visceral pleura, and inflammatory cytokines increases the permeability of the pleural surfaces as well [6]. Acute pulmonary embolism as serious complication of Covid-19 pneumonia can be another reason of pleural effusion. Pleural effusions are typically identified 5 to 7 days after hospital admission and 11 days after symptoms onset, likely representing advanced stage of COVID-19 pneumonia [20].
In our case pleural effusions were identified only 15 days after hospitalization (on 18th day after the onset of symptoms). Any comorbid pathology that could potentially contribute to pleural effusion such as heart failure, kidney dysfunction, cirrhosis, cancer, and tuberculosis was not identified. Laboratory results showed higher than normal levels of D-dimer, which may be a sign of a clotting disorder as a case of pleural effusion and pneumothorax.
Underlying diseases of the lungs might also be a risk factor of hydrothorax and pneumothorax [21]. In a meta-analysis of bacterial infections in patients hospitalized with COVID-19, Langford et al. [22], found that an average of 8% of patients in all included studies were found to have coinfections or secondary bacterial infections. Based on literature, gram-negative opportunists such as Acinetobacter baumannii, Klebsiella pneumoniae, and Pseudomonas aeruginosa were reported [23]. The cultural study of the pleural effusion of our patient 21 days after admission, disclosed two major nosocomial pathogens Pseudomonas aeruginosa and Acinetobacter baumannii. In addition, the urine culture contained Klebsiella pneumonia. At the same time, coronavirus was no longer detected by using nasopharyngeal SARS-CoV-2 RT-PCR. Identified in pleural effusion microorganisms are the usual causative pathogens of the hospital-acquired pneumonia. Divisi et al. and Tessitore et al. [14,9] also found the presence of Pseudomonas aeruginosa in the pleural fluid of patients with Covid-19 pneumonia complicated by pleural empyema. In our case the application of oxygen therapy was the risk factor for nosocomial pneumonia.
Chest computed tomography obtained on the 18th day after the admission showed a focal area of subpleural infiltration with a central cavity of destruction in the lower lobe of right lung. Spontaneous drainage of an abscess into the pleural cavity can be considered as the cause of hydropneumothorax.
Conclusion
This case report highlights that in patients with COVID-19 recurrent pyogenic effusion combined with bilateral pneumothorax may occur. Both, SARS-CoV-2 and nosocomial pathogens are initial causes of an excess of gas and fluid in the pleural cavity.
Authors’ contributions
This work was carried out in collaboration between all authors. All authors read and approved the final manuscript.
Footnotes
Acknowledgements: None.
Competing Interests: none.
Informed consent was obtained from patient for being included in the study
Before the transfer to the Surgery Clinic the plasma D dimer level was 2424 ng/ml
References
- 1.Simpson S., Kay F.U., Abbara S., et al. Radiological society of North America expert consensus statement on reporting chest CT findings related to COVID-19. Endorsed by the society of thoracic radiology, the American college of radiology, and RSNA – secondary publication. J. Thorac. Imaging. 2020;35:219–227. doi: 10.1097/RTI.0000000000000524. [DOI] [PMC free article] [PubMed] [Google Scholar]
- 2.Wakamatsu I., Yatomi M., Uno S., et al. A case of a patient with neurofibromatosis type I who developed pneumothorax and eosinophilic pleural effusion after suffering from COVID-19 pneumonia. Radiol. Case Rep. 2021;16(11):3504–3508. doi: 10.1016/j.radcr.2021.08.022. [DOI] [PMC free article] [PubMed] [Google Scholar]
- 3.Chen K.C., Chen P.H., Chen J.S. New options for pneumothorax management. Expert Rev. Respir. Med. 2020;14(6):587–591. doi: 10.1080/17476348.2020.1740090. [DOI] [PubMed] [Google Scholar]
- 4.Martinelli A.W., Ingle T., Newman J., et al. COVID-19 and pneumothorax: a multicentre retrospective case series. Eur. Respir. J. 2020;56 doi: 10.1183/13993003.02697-2020. [DOI] [PMC free article] [PubMed] [Google Scholar]
- 5.Zheng Y., Wang L., Ben S. Meta-analysis of chest CT features of patients with COVID-19 pneumonia. J. Med. Virol. 2021;93(1):241–249. doi: 10.1002/jmv.26218. [DOI] [PMC free article] [PubMed] [Google Scholar]
- 6.Saha B.K., Chong W.H., Austin A., et al. Pleural abnormalities in COVID-19: a narrative review. J. Thorac. Dis. 2021;13(7):4484–4499. doi: 10.21037/jtd-21-542. [DOI] [PMC free article] [PubMed] [Google Scholar]
- 7.Porcel J.M., Murata P., Porcel L., et al. Prevalence, clinical characteristics, and outcome of pleural effusions in ovarian cancer. Pleura Peritoneum. 2021;6(2):75–81. doi: 10.1515/pp-2020-0152. [DOI] [PMC free article] [PubMed] [Google Scholar]
- 8.Lansbury L., Lim B., Baskaran V., et al. Co-infections in people with COVID-19: a systematic review and meta-analysis. J. Infect. 2020;81:266–275. doi: 10.1016/j.jinf.2020.05.046. [DOI] [PMC free article] [PubMed] [Google Scholar]
- 9.Tessitore A., Patella M., Giuliani M., et al. Surgical treatment of pleural empyema in Coronavirus disease 19 patients: the Southern Switzerland experience. Interact. Cardiovasc. Thorac. Surg. 2021;32(3):367–370. doi: 10.1093/icvts/ivaa269. [DOI] [PMC free article] [PubMed] [Google Scholar]
- 10.Nakano T., Kawada M., Minami K., et al. Successful endobronchial occlusion in empyema with broncho-pleural fistula secondary to COVID-19 pneumonia: a case report and literature review. Respirol. Case Rep. 2021;9(7):e00785. doi: 10.1002/rr2.785. [DOI] [PMC free article] [PubMed] [Google Scholar]
- 11.Karampinis I., Likos-Corbett M., Buderi S. Erfolgreiche Behandlung eines drittgradigen Pleuraempyems infolge einer COVID-19-Infektion [Successful treatment of a stage III pleural empyema following a COVID-19 infection] Chirurg. 2021;92(2):134–136. doi: 10.1007/s00104-021-01362-4. German10.1007/s00104-021-01362-4. [DOI] [PMC free article] [PubMed] [Google Scholar]
- 12.Sahn S.A. The pathophysiology of pleural effusions. Annu. Rev. Med. 1990;41:7–13. doi: 10.1146/annurev.me.41.020190.000255. [DOI] [PubMed] [Google Scholar]
- 13.Ayad S., Gergis K., Elkattawy S., et al. Loculated Empyema and SARS-CoV-2 Infection: A Report of Two Cases and Review of the Literature Eur. J. Case Rep. Intern. Med. 2021;8(7) doi: 10.12890/2021_002706. [DOI] [PMC free article] [PubMed] [Google Scholar]
- 14.Divisi D., Zaccagna G., Angeletti C., et al. Pleural empyema associated with alveolar-pleural fistulas in severe acute respiratory syndrome coronavirus. Clin Case Rep. 2021;9(6):e04262. doi: 10.1002/ccr3.4262. [DOI] [PMC free article] [PubMed] [Google Scholar]
- 15.Adams H.J.A., Kwee T.C., Yakar D., et al. Chest CT imaging signature of coronavirus disease 2019 infection: in pursuit of the scientific evidence. Chest. 2020;158:1885–1895. doi: 10.1016/j.hest.2020.06.025. [DOI] [PMC free article] [PubMed] [Google Scholar]
- 16.Aggarwal A., Tandon A., Bhatt S., et al. COVID19 pneumonia with cavitation and cystic lung changes: multi-detector computed tomography spectrum of a gamut of etiologies. BJR Open. 2021;3(1) doi: 10.1259/bjro.20210007. [DOI] [PMC free article] [PubMed] [Google Scholar]
- 17.Werberich G.M., Marchiori E., Barreto M.M., et al. Computed tomography findings in a Brazilian cohort of 48 patients with pneumonia due to coronavirus disease. Rev. Soc. Bras. Med. Trop. 2020;53 doi: 10.1590/0037-8682-0405-2020. [DOI] [PMC free article] [PubMed] [Google Scholar]
- 18.Mallick T., Dinesh A., Engdahl R., et al. COVID-19 Complicated by spontaneous pneumothorax. Cureus. 2020;12(7):e9104. doi: 10.7759/cureus.9104. [DOI] [PMC free article] [PubMed] [Google Scholar]
- 19.Liu K., Zeng Y., Xie P., et al. COVID-19 with cystic features on computed tomography: A case report. Medicine (Baltimore) 2020;99(18):e20175. doi: 10.1097/MD.0000000000020175. [DOI] [PMC free article] [PubMed] [Google Scholar]
- 20.Chong W.H., Saha B.K., Conuel E., et al. The incidence of pleural effusion in COVID-19 pneumonia: State-of-the-art review. Heart Lung. 2021;50(4):481–490. doi: 10.1016/j.hrtlng.2021.02.015. [DOI] [PMC free article] [PubMed] [Google Scholar]
- 21.Xu Y., Li S., Liu H. Clinical outcomes of pleural drainage on pneumothorax and hydrothorax in critically ill patients with COVID-19: A case series with literature review. Heart Lung. 2021;50(2):213–219. doi: 10.1016/j.hrtlng.2020.12.007. [DOI] [PMC free article] [PubMed] [Google Scholar]
- 22.Farrell J.M., Zhao C.Y., Tarquinio K.M., et al. Causes and Consequences of COVID-19-Associated Bacterial Infections. Front. Microbiol. 2021;12 doi: 10.3389/fmicb.2021.682571. [DOI] [PMC free article] [PubMed] [Google Scholar]
- 23.Langford B.J., So M., Raybardhan S. et al. Bacterial co-infection and secondary infection in patients with COVID-19: a living rapid review and meta-analysis. Clin. Microbiol. Infect. 2020;26(12):1622–1629. doi: 10.1016/j.cmi.2020.07.016. [DOI] [PMC free article] [PubMed] [Google Scholar]





