Abstract
Knee osteoarthritis (OA) is the most common joint disorder worldwide. In particular, primary knee OA often presents with a varus malalignment. This increases the loads going through the medial compartment resulting in cartilage degeneration and symptomatic arthritis. High tibial osteotomy (HTO) is the workhorse surgical procedure for treating medial knee OA. When performed precisely in the hands of an experienced surgeon, HTO can delay or avoid knee arthroplasty. Of note, outcomes of knee arthroplasty are at best unpredictable in patients of younger age. Hence, there is a growing need for joint preservation procedures for younger patients presenting with knee OA, of which HTO is one. Through this article, the authors of whom all are joint preservation surgeons with a special interest in osteotomy hope to share from their experience as well as the available literature on the indications, perioperative planning, surgical technique, outcomes as well as pearls and pitfalls of HTO.
Keywords: Knee osteoarthritis, Joint preservation, High tibial osteotomy, Surgical technique, Outcomes
1. Introduction
Knee osteoarthritis (OA) is the most common joint disorder and affects 10% of men and 13% women over the age of 60 yrs.1 The lifetime risk of developing knee OA has been estimated to be 45%.2 The most common deformity seen in knee OA is varus malalignment, which increases the loads going through the medial compartment resulting in cartilage degeneration3 and symptomatic arthritis. A range of conservative treatment options to unload the medial compartment, such as insoles, braces and physical therapy to strengthen periarticular muscles, have been tried but there is no conclusive evidence of long-lasting benefits.4 Since its introduction in 1958, High Tibial Osteotomy (HTO) has become increasingly popular and evolved over the years. In this article we discuss the current indications, surgical technique, outcomes, and controversies pertaining to HTO.
2. Indications
The ideal patient for an HTO has been discussed extensively in the published literature. Several factors including age, BMI, smoking and degree of OA have been considered. While there is strong evidence to support the efficacy of HTO in treating OA in the coronally mal-aligned patient, the limits to which these indications can be applied remain of interest.
2.1. Age
HTO has traditionally been considered a procedure for the young active patient, typically under the age of 50. Recently studies have considered a variety factors related to age that may influence outcomes. Failure of HTO is heterogeneously defined in the literature, including lower functional outcomes, progression of OA and conversion to arthroplasty.
Considering functional outcome in isolation, patients over the age of 50 have demonstrated similar functional outcomes in studies compared to those under the age of 40 1,2. In one study, the functional improvement seen in patients over the age of 55 following HTO was greater than that seen in those over a younger age. However, conversion rate to arthroplasty was higher in the older age group.3
The extent of cartilage degeneration, which may be age related, is an important consideration in the survival of HTO. Some studies suggest poor survivorship when a patient has grade 3 or greater Ahlback cartilage wear4, 5 and similarly decreased functional outcomes with advanced degeneration.1
Considering conversion of arthroplasty as an end point, survivorship for patients under the age of 55 was 87.4% at 10 years,6 similarly Bouguennec et al. set a threshold at 54 years old, after which point the risk of failure significantly increased.4
2.2. Body mass index
Body mass index (BMI) is an important consideration when assessing suitability for HTO. While the nutritional status is perhaps of more value, BMI is widely used as a surrogate marker. BMI over 30 has often been associated with poorer functional outcomes and increased adverse events including delayed union7, 8, 9, 10
The influence of BMI is thought to be multi-fold. An increased BMI is associated with delayed union, which is most likely caused by excessive micromotion at the osteotomy site. Conversely, an excessively low BMI (less than 20 kg/m2) may also result in delayed union due to relative poor micromotion against an angle stable device holding the osteotomy apart.11
While the cut-off varies between various studies, BMI may be misleading when presented with muscular patients. Review of nutritional status may be of greater importance and the method of measuring excessive weight will help to determine which patient may do well following HTO.
2.3. Smoking
The role of smoking and its influence on bone healing is well documented, particularly in osteosynthesis with increased rates of delayed and non-union. Other than bony union, an increased risk of local complications including infection and wound healing is well described. Van Houten et al. found a significantly increased risk of non-union in smokers compared to non-smokers, with other papers demonstrating reduced filling of the osteotomy gap at one year.8,12,13 Sikorski et al. found a 17% increased risk of complications in smokers, similar to that seen in patients undergoing total knee replacement surgery.14 Interestingly, the functional outcomes were equal compared to non-smokers. Patients will need to be counselled on the risks associated with smoking and bone healing. No consensus exists on whether smoking cessation can reduce the time to bony union and how long smoking cessation needs to occur prior to and after surgery.
2.4. Lateral OA in HTO
The presence of arthritis changes in the lateral compartment when considering a medial opening wedge HTO for varus OA, can give rise to concerns on how successful the HTO is likely to be.
A prospective study by Niemeyer et al., found that there was no decline in clinical outcomes in patients who had an ICRS grade between 0 and 2 in the lateral compartment when considering a HTO for varus malignment.15 Jin et al. demonstrated similar findings, with failure of the HTO in those with an ICRS grade ≥2 in the lateral compartment.16 Kim et al. also found that mild lateral degeneration was not associated with inferior clinical outcomes or second look arthroscopic findings.17,18 Therefore mild (ICRS grade <2) in the lateral compartment is not an absolute contraindication to performing HTO for varus OA.
2.5. Patellofemoral OA and HTO
The presence of patellofemoral OA (PFOA) when considering HTO is an important factor in identifying the right patient as well as surgical strategy. Many studies have demonstrated that the presence of PFOA does not adversely affect the clinical outcomes and improvement in functional outcomes following HTO. Kim et al. demonstrated that mild PFOA did not adversely affect the clinical outcomes following HTO.17 Interestingly, the same study also demonstrated that there was no MRI or arthroscopic progression of the PFOA after the HTO. In a study by Goshima et al., PFOA on arthroscopic and MRI analysis did progress in 45% and 27% of patients respectively, however, these changes did not correlate with a decline in functional outcomes.19
The patellar height may be affected following HTO surgery, which can change the way the patellofemoral joint is loaded. Otsuki et al. found a 1.7% decrease in the Caton-Deschamps index with 1° of coronal correction, however these findings were not correlated with clinical outcomes.20 A clinical study by Lee et al. did not find any significant influence on clinical outcome when there was a change in the patella height following HTO.21 In larger corrections (>15°), one may consider altering the surgical technique to prevent a change in patellar height, such as a descending biplane osteotomy (Fig. 1).
Fig. 1.
In this diagram, the two types of biplane osteotomy are shown: proximal biplane osteotomy (dotted line) and distal biplane osteotomy (dashed line).
3. Preoperative work-up and role of MRI/arthroscopy
As part of a routine work-up for a patient undergoing HTO, an MRI scan is performed. The MRI allows evaluation of multiple useful parameters to assess whether a patient is suitable for osteotomy. The MRI can also be useful to evaluate whether a concomitant procedure is required, such as cartilage repair or ligament reconstruction. An MRI is also useful to confirm the extent of disease affecting the lateral and patellofemoral compartments. However, clinical examination and plain radiographs including AP/Lateral/Rosenberg/Skyline views as well as a long leg film can also be sufficient.
An ascending biplane high tibial osteotomy may result in a distalisation of the patella22 with a decrease in the Caton-Deschamps index. Small corrections (<10°) have a negligible effect; however, larger corrections may warrant a distal biplane cut as prior mentioned.
An arthroscopy may be performed pre-operatively at the same sitting as the HTO. Multiple studies have shown that the presence of chondropathy up to grade 2 in the lateral compartment does not have an effect on the outcome of the procedures.23, 24, 25, 26 In our practice, we do not perform routine arthroscopy as part of a workup to performing a HTO unless indicated (combined ACL/cartilage procedure). In our experience, the associated swelling and discomfort from the arthroscopy may hinder post-operative rehabilitation.
4. Osteotomy planning
To successfully execute the HTO, it is important to have a plan of how much correction is required. Depending on the radiological facilities available, a calibrated full leg image of the leg is required. The image should be weightbearing, including the pelvis, knees, and ankle joints. The patella should be pointing forward and central in the knee joint. The images are captured at the level of interest, most sequences require three individual images of the pelvis, knee, and ankle joints. A calibration marker is positioned at the level of the knee joint, avoiding a too posterior or anterior position to prevent magnification. Calibration markers are useful for utilising osteotomy planning software.
The Miniaci method is a common way of planning for an HTO. In general, the authors plan to have a postoperative weight bearing line passing the knee joint after correction at 55% measured from the medial tibial plateau border (0%) to the lateral tibial plateau border (100%). The planning is performed according to the method described by Miniaci et al.27 It is performed in several steps (Fig. 2). The first step is to draw the Mikulicz's line from the centre of the hip to the centre of the ankle joint. The second step is to identify the intended correction point on a line between the medial and lateral border of the proximal tibia (tibial plateau line). As mentioned earlier, the authors aim for 55% of the tibial plateau width measured from the medial tibial plateau border, which corresponds to the lateral tibial spine. Then, a new Mikulicz's line is drawn from the centre of the hip passing the marked point at the knee down to the level of the ankle. If the length of the two Mikulicz's lines are the same, the distal endpoint is the new ankle centre. The next step is to mark the hinge point for the osteotomy on the tibial condyle, for an opening wedge correction near the lateral cortex and for a lateral closing wedge HTO near the medial cortex. Next, lines are drawn from the hinge point to the old and the new ankle centres and the angle between these lines is measured (Fig. 2). This angle, the angle of correction (α), is then projected on the proximal tibia starting at the hinge point and ending in the area of the medial metaphyseal flare for a biplanar medial opening wedge correction or the lateral metaphyseal flare for a biplanar lateral closing wedge correction. In a calibrated radiograph the distance measured between the lines of the wedge ending at the lateral cortex represents the height of the wedge to be resected in a closing wedge correction. Similarly, the distance measured between the lines of the wedge ending at the medial cortex represents the height of the wedge to be opened. In an opening wedge correction, the sawblade used results in bone loss at the cortex so to ensure an accurate correction in medial opening wedge HTO the sawblade thickness should be added to the measured opening distance. While the osteotomy planning can be done manually on a radiograph printed to scale, there are now software that can assist surgeons with osteotomy planning such as TraumaCad®, PeekMed and mediCAD amongst others.
Fig. 2.
Planning steps for working out the amount of correction required in the frontal plane for an opening wedge high tibial osteotomy surgery. The first step is to draw the Mikulicz's line from the centre of the hip to the centre of the ankle joint (red line). The second step is to draw a new Mikulicz's line through the intended correction point on the tibial pleau (lateral tibial spine) from the centre of the hip passing the correction point at the to the level of the ankle. The next step is to mark the hinge point for the opening wedge osteotomy on the lateral cortex of the proximal tibia. Next, lines are drawn from the hinge point to the old and the new ankle centres and the angle between these lines is measured as the angle of correction (α). This angle is then projected on the proximal tibia starting at the hinge point and ending in the area of the medial metaphyseal flare for a biplanar medial opening wedge correction.
5. Surgical technique for medial opening wedge HTO
5.1. Positioning
The patient is positioned supine with a high tourniquet in-situ. The contralateral limb is extended at the hip joint using the surgical table, to allow easy access to the medial border of the tibia. The image intensifier is brought in from the same side as the side that is being operated on.
5.2. Skin incision
The proximal end of the incision is typically placed 15–20 mm beneath the medial joint line, approximately 15 mm anterior to the posterior border of the tibia. The distal extent of the incision is centred just beyond the insertion of the pes anserine and is midway between the anterior and posterior border of the tibial shaft (Fig. 3).
Fig. 3.
Landmarks drawn for the incision used during high tibial osteotomy surgery. The tibial tuberosity, patella tendon, knee joint line as well as intended incision centred midway between the anterior and posterior border of the proximal tibia and over the pes ancerine are marked out.
5.3. Deep dissection
Following skin incision, dissection is made through fat down to the fascial layer overlying the pes anserine. A closed large curved clip is placed deep to the insertion of the hamstrings and the jaws are opened in this position to release them. Diathermy may now be utilised to release the sartorial fascia insertion to aid visualisation and allow for easier access to the medial tibia. A skin retractor is placed proximally to identify the proximal insertion of the patella tendon and a hohmann is placed deep to the patella tendon to allow for safe passage of a saw. Electrocautery is used to mark out the border between the tibia and tibial tuberosity in order to identify the level of the biplane osteotomy and the anterior extent of the tibial cut. The posterior border of the tibia is palpated using a large, curved clip at the level of where the osteotomy cut will be made, posterior to the medial collateral ligament. Using blunt dissection with the clip, a space is created through the soft tissues by spreading the clip. With the tissues overlying the posterior border of the tibia held open, a small Cobb periosteal elevator can be introduced.
The Cobb elevator is used to perform a subperiosteal dissection, keeping the knee in slight flexion, and gently elevate the soft tissue on the posterior cortex of the tibia where the tibial saw cut is going to be made, in a medial to lateral direction. In creating this space, a radiolucent Hohmann's can be safely placed between the tibia and the soft tissue structures including the neurovascular bundle. Care is taken to protect the neurovascular structures throughout the procedure.
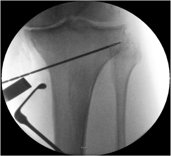
The anterior border of the medial collateral ligament is next identified. A Cobb is used to elevate the superficial MCL (sMCL) from the medial border of the tibia and depending on the size of the correction required, the sMCL should be released further distally to allow for greater osteotomy corrections to be achieved. The Cobb periosteal elevator is replaced with a mini-Hohmann, and the medial border of the tibia exposed. The surgeon can safely proceed to make the tibial cut without excessive tension in the sMCL affecting the direction of the sawcut. The posterior retractor is in a window that is posterior to the sMCL preventing injury to the neurovascular bundle and the sMCL is protected by the mini-Hohmann retractor whilst the cut is made. Fig. 4 demonstrates the level at which the tibial osteotomy is proposed. The wire is positioned just above this level so that the saw cut can be made beneath it, and this also acts to prevent proximal migration of the saw blade.
Fig. 4.
Positioning of drill tipped wire to determine the line of the osteotomy, the tip of the wire is at the level of the fibula head.
5.4. Hinge wire
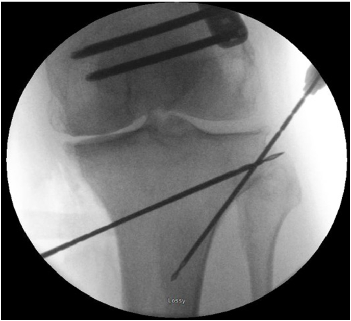
The hinge undergoes a significant amount of stress when the osteotomy gap is opened. If the osteotomy has not been completed or the opening required is large, a fracture at the hinge point may occur. The Takeuchi classification28 describes the direction of the hinge fracture. Type 1 is in line with the direction of the osteotomy, Type 2 is distal to the osteotomy and Type 3 is when the osteotomy propagates into the knee joint. A biomechanical study evaluating the use of a wire to protect the hinge has demonstrated a significant reduction in the stress across the osteotomy site during opening.29 The ‘hinge wire’ is introduced from the lateral side, proximal and lateral to the proposed hinge (Fig. 5). It is important to ensure that the entry point is in the middle of the tibia on the lateral view to ensure the wire enters and remains within the tibia through its course. The wire is then passed beyond the hinge point in preparation for opening the osteotomy.
Fig. 5.
A second drill tipped wire, the ‘hinge wire’, is introduced at the hinge through the lateral cortex of the tibia.
5.5. Biplane osteotomy
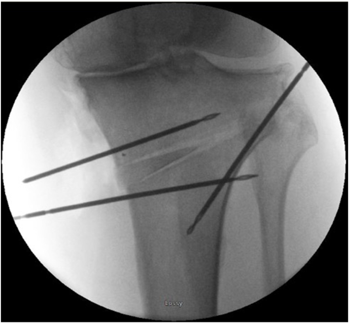
Once the transverse osteotomy has been made, the patella tendon is retracted and protected for the biplane osteotomy. The lower limb is held in the neutral rotation, the saw is also held in a neutral position with the blade angled 110° relative to the first osteotomy cut. The tibial tubercle ascending or descending (depending on the amount of correction) osteotomy cut is then made, ensuring the lateral cortex at the level of the tuberosity is divided proximally and distally in line with the osteotomy. The osteotomy may be gently opened with sequential expansion using osteotomes before inserting a laminar spreader at the gap height derived from preoperative planning. Opening the osteotomy gap to the desired correction requires a valgus force. Resisting forces include an incomplete biplane osteotomy cut and an intact medial collateral ligament. Careful and gradual opening is required to allow for deformation to occur at the hinge point without sustaining a fracture. Placing two drill tipped wires either side of the osteotomy and utilising a laminar spreader to open the gap allows for controlled opening and allows for adjustment of contact at the biplane with rotation using the laminar spreader. The drill tipped wires must be positioned close to the posterior border of the tibia so that most of the opening occurs at the back to prevent an increased tibial slope. Once the desired opening has been achieved, we position a wedge of femoral head allograft that is shaped intra-operatively, which has the dimensions of the required medial opening gap (Fig. 6).
Fig. 6.
After two drill tipped wires had been positioned to either side of the osteotomy and a laminar spreader was placed between the two wires to gradually open the gap, a tailor-made allograft wedge was positioned in the gap. The ‘hinge wire’ is in-situ, protecting the hinge point.
5.6. Hinge screw
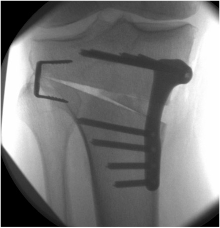
With the recent utilization of a ‘hinge wire’ to protect the hinge intra-operatively during opening of the osteotomy, a screw can be positioned over the wire to compress the hinge once satisfactory opening has been achieved and held with a fixed angle locking plate. Fig. 7, Fig. 8 demonstrates a cannulated head compression screw with a variable pitched thread. Biomechanical studies have demonstrated this to help resists axial and torsional forces in HTO.30
Fig. 7.
Anteroposterior radiograph showing the hinge screw across the hinge point.
Fig. 8.
Lateral radiograph demonstrating the hinge screw.
5.7. Hinge staple
Intra-operatively a Type 1 hinge fracture may be identified, that extends in line with the primary osteotomy. While these may be compressed indirectly through the plate using a non-locking screw, another option may be to use a Nitinol compression staple across the hinge point through a separate incision on the lateral side and under image intensifier guidance (Fig. 9, Fig. 10). The compression staple gives immediate compression across the fracture and can be tested intra-operatively by stressing the hinge point with a varus force.
Fig. 9.
Antero-posterior image intensifier view of the high tibial osteotomy with provisional positioning of the staple.
Fig. 10.
Antero-posterior image intensifier view of the high tibial osteotomy with final positioning of the staple with compression across the hinge.
5.8. Gap filling
Seminal work done by Staubli et al., demonstrated that leaving the gap in a medial opening wedge high tibial osteotomy was safe and effective, with 75% of the gap filled at 6–18 months using the Tomofix plate.31 More recently, a variety of void fillers have been available on the market with varying results. Lash et al. performed a systematic review of the literature and found autograft had the shorted time to union in HTO surgery at 3.1 months.32 Allograft also demonstrated a short union time at 3.8 months. However, synthetic void fillers such as calcium phosphate and tricalcium phosphate had a mean union time of 25 months and 10.6 months respectively. A hinge fracture is consistently considered a negative prognostic indicator for delayed union. Recent work by Belsey et al. demonstrated that the use of allograft in the void, significantly increased the biomechanical integrity of the osteotomy when compared with no void filler.33 In our routine practice, we utilise femoral head allograft which is shaped intra-operatively to match the size of the correction required, based on the pre-operative plan.
5.9. Fixation
Once the desired correction has been achieved, fixation can be performed in the standard fashion with an anatomical locking plate. The authors’ choice of implant is the ACTIVMOTION high tibial osteotomy plate (Newclip Technics®, Haute-Goulaine, France) (Fig. 7, Fig. 8, Fig. 9, Fig. 10). Other popular options include the TomoFix® Medial High Tibia Plate (Synthes GmbH, Solothurn, Switzerland) which is a locking compression plate and the Tibia Opening Wedge Osteotomy Plate (Arthrex Inc., Naples, Florida, USA), also known as the Puddu Plate, which uses a stainless-steel plate with a metallic block incorporated which props the distracted medial cortex of the tibia.
6. Pearls and pitfalls
6.1. Pearls
-
•
Position the contralateral limb in a slightly extended position to allow access to the medial border of the tibia
-
•
Perform distal release of the sMCL to allow for osteotomy opening
-
•
Pre-shape a wedge of femoral head to the pre-defined gap opening
-
•
Use the laminar spreader to control the biplane sliding when opening the osteotomy
6.2. Pitfalls
-
•
Avoid measuring the gap opening in the centre of the osteotomy, measure at the posterior tibial border for accurate opening and to avoid change in slope
-
•
Inadequate release of the sMCL may prevent the HTO from opening and predispose to a hinge fracture
-
•
Gradually open the osteotomy gap, sudden or aggressive opening may cause a hinge fracture
-
•
Depending on the mode of fixation, the incision may need to be extended distally, avoid excessive soft tissue retraction
7. Recent advances
Due to the recent resurgence of HTO, the developments in instrumentation have also improved. Smaller angle stable fixation devices, patient specific instrumentation and saw technology are just a few of the recent improvements seen.
Patient specific instrumentation (PSI) has been an exciting development in osteotomy surgery. Extensive research by the group in Marseille, have looked at its use in achieving an optimal correction in a safe and reliable fashion.34 It has largely been utilised in the correction of multi-planar deformities which can be difficult to judge intra-operatively.35 In more straightforward coronal corrections, they have been shown to reduce operative time, use of fluoroscopy and surgeon anxiety levels.36 We recommend gaining experience with conventional techniques prior to adopting PSI.
Recent investigations have explored the use of telescopic intra-medullary nails as a method of gradual correction and fixation. The telescopic nail is inserted into the tibia similar to trauma intra-medullary nailing for tibial fractures. The proximal part of the telescopic nail allows for gradual correction of the deformity and the advantage is that it can be titrated until satisfactory correction is achieved. Preliminary short term studies have confirmed its safety as an alternative to fixed angle stable devices,37 however, this fixation method has recently fallen out of favour because of concerns over metal corrosion from the telescopic part of the nail.
8. Outcomes
The aims for HTO are to reduce pain from medial compartment OA by shifting the mechanical axis (Fig. 11), to improve function and delay or even negate the need for knee arthroplasty. In this final section, we will look at the outcomes of HTO in each of these domains.
Fig. 11.
A pre-operative long left film (left) showing right knee varus OA with the mechanical axis passing through the medial compartment. Postoperative long leg film (right) showing correction of the mechanical axis following HTO.
8.1. Function after HTO
Comparisons of function following HTO are commonly made with unicompartmental knee arthroplasty (UKA) due to the similar demogrpahics of patients undergoing either procedure. In a systematic review and meta-analysis comparing the outcomes between UKA and HTO surgery by Cao et al., they identified similar functional outcomes between the two groups.38 The HTO group had superior range of movement in comparison to UKA and was advocated in patients with high activity requirements. Smith et al. considered various aspects of effectiveness, with parameters including revision, mortality rates, cost and functional outcomes over a 10 year period in cohorts aged 40, 50, 60 and 70 years of age.39 It was found that a HTO was a cost-effective option in those under the age of 60 and a UKA may be more cost-effective in those over the age of 60. In a systematic review and meta-analysis by Kunze et al., it was reported that 76% of patients return to work and 81% return to sport.40 Similarly, Ekhtiari et al. reported even greater return to sport and work at rates of 87% and 85% respectively in a population of 1189 patients. Of those returning to work, 90% did so within 1 year.41
8.2. Conversion to total knee arthroplasty
In a recent study by Primeau et al., it was estimated that the cumulative incidence of conversion from medial opening wedge HTO to total arthroplasty (TKA) at 10 years was 21%.42 These findings were in keeping with previous studies from those performed in Finland (27%), Sweden (30%) and Ontario (33%).43, 44, 45 Radiographic severity of the OA was the strongest predictor of conversion to TKR. Baseline functional scores, such as KOOS Pain subscale, were significantly associated with conversion to TKR after HTO. Other significant factors included older age at time of baseline surgery, female sex and a higher BMI were more commonly reported and are significantly associated with an increased rate of conversion from HTO to TKR. While these are important factors to consider when counselling patients on proceeding with HTO surgery, they should not preclude the utilization of HTO. In the same study, 75% of patients with KL grade ≥3 did not require TKR surgery at 10 years and similarly with female patients, 68% did not require conversion to TKR at 10 years. The degree of correction was also evaluated, with a correction to neutral or up to 3° of valgus being associated with a reduced rate of conversion to TKR.
9. Conclusion
The renaissance of osteotomy surgery has allowed for new techniques and methods to prolong the life of the native knee, using well established principles. Patient selection is the key to achieving optimal surgical outcomes and indications are changing constantly to include a wider group of patients. Innovations in pre-operative planning, surgical approaches and a multidisciplinary approach with enhanced rehabilitation has meant that surgeons can adopt a predictable and safe approach in managing potentially complicated clinical scenarios. HTO has a definite role in preserving the native knee in carefully selected patients.
References
- 1.Orrego M., Besa P., Orrego F., et al. Medial opening wedge high tibial osteotomy: more than ten years of experience with Puddu plate technique supports its indication. Int Orthop. 2020;44(10):2021–2026. doi: 10.1007/s00264-020-04614-w. [DOI] [PubMed] [Google Scholar]
- 2.Kohn L., Sauerschnig M., Iskansar S., et al. Age does not influence the clinical outcome after high tibial osteotomy. Knee Surg Sports Traumatol Arthrosc. 2013;21(1):146–151. doi: 10.1007/s00167-012-2016-4. [DOI] [PubMed] [Google Scholar]
- 3.Howells N.R., Salmon L., Waller A., Scanelli J., Pinczewski L.A. The outcome at ten years of lateral closing-wedge high tibial osteotomy: determinants of survival and functional outcome. Bone Joint Lett J. 2014;96-B(11):1491–1497. doi: 10.1302/0301-620X.96B11.33617. [DOI] [PubMed] [Google Scholar]
- 4.Bouguennec N., Mergenthaler G., Gicquel T., et al. Medium-term survival and clinical and radiological results in high tibial osteotomy: factors for failure and comparison with unicompartmental arthroplasty. Orthop Traumatol Surg Res. 2020;106(8S):S223–S230. doi: 10.1016/j.otsr.2020.08.002. [DOI] [PubMed] [Google Scholar]
- 5.Flecher X., Parratte S., Aubaniac J.-M., Argenson J.N. A 12-28-year followup study of closing wedge high tibial osteotomy. Clin Orthop Relat Res. 2006;452:91–96. doi: 10.1097/01.blo.0000229362.12244.f6. [DOI] [PubMed] [Google Scholar]
- 6.Lau L.C.M., Fan J.C.H., Chung K.-Y., et al. Satisfactory long-term survival, functional and radiological outcomes of open-wedge high tibial osteotomy for managing knee osteoarthritis: minimum 10-year follow-up study. J Orthop Translat. 2021;26:60–66. doi: 10.1016/j.jot.2020.03.003. [DOI] [PMC free article] [PubMed] [Google Scholar]
- 7.Cotter E.J., Gowd A.K., Bohl D.D., Getgood A., Cole B.J., Frank R.M. Medical comorbidities and functional dependent living are independent risk factors for short-term complications following osteotomy procedures about the knee. Cartilage. 2020;11(4):423–430. doi: 10.1177/1947603518798889. [DOI] [PMC free article] [PubMed] [Google Scholar]
- 8.Floerkemeier S., Staubli A.E., Schroeter S., Goldhahn S., Lobenhoffer P. Does obesity and nicotine abuse influence the outcome and complication rate after open-wedge high tibial osteotomy? A retrospective evaluation of five hundred and thirty three patients. Int Orthop. 2014;38(1):55–60. doi: 10.1007/s00264-013-2082-3. [DOI] [PMC free article] [PubMed] [Google Scholar]
- 9.Kawai R., Kawashima I., Maeda A., et al. The factors affecting the timing of bone union after closing-wedge high tibial osteotomy. J Clin Orthop Trauma. 2020;11(Suppl 4):S526–S529. doi: 10.1016/j.jcot.2020.04.019. [DOI] [PMC free article] [PubMed] [Google Scholar]
- 10.Yokoyama M., Nakamura Y., Onishi T., Hirano K., Doi M. Healing period after open high tibial osteotomy and related factors: can we really say that it is long? SpringerPlus. 2016;5 doi: 10.1186/s40064-016-1745-0. 123-123. [DOI] [PMC free article] [PubMed] [Google Scholar]
- 11.Meidinger G., Imhoff A.B., Paul J., Kirchhoff C., Sauerschnig M., Hinterwimmer S. May smokers and overweight patients be treated with a medial open-wedge HTO? Risk factors for non-union. Knee Surg Sports Traumatol Arthrosc. 2011;19(3):333–339. doi: 10.1007/s00167-010-1335-6. [DOI] [PubMed] [Google Scholar]
- 12.van Houten A.H., Heesterbeek P.J., van Heerwaarden R.J., van Tienen T.G., Wymenga A.B. Medial open wedge high tibial osteotomy: can delayed or nonunion Be predicted? Clin Orthop Relat Res. 2013 doi: 10.1007/s11999-013-3383-y. [DOI] [PMC free article] [PubMed] [Google Scholar]
- 13.Schroter S., Freude T., Kopp M.M., et al. Smoking and unstable hinge fractures cause delayed gap filling irrespective of early weight bearing after open wedge osteotomy. Arthroscopy. 2015;31(2):254–265. doi: 10.1016/j.arthro.2014.08.028. [DOI] [PubMed] [Google Scholar]
- 14.Sikorski J.M., Sikorska J.Z. Relative risk of different operations for medial compartment osteoarthritis of the knee. Orthopedics. 2011;34(12):e847–e854. doi: 10.3928/01477447-20111021-04. [DOI] [PubMed] [Google Scholar]
- 15.Niemeyer P., Schmal H., Hauschild O., Heyden von J., Sudkamp N.P., Kostler W. Open-wedge osteotomy using an internal plate fixator in patients with medial-compartment gonarthritis and varus malalignment: 3-year results with regard to preoperative arthroscopic and radiographic findings. Arthroscopy. 2010;26(12):1607–1616. doi: 10.1016/j.arthro.2010.05.006. [DOI] [PubMed] [Google Scholar]
- 16.Jin C., Song E.K., Santoso A., Ingale P.S., Choi I.-S., Seon J.K. Survival and risk factor Analysis of medial open wedge high tibial osteotomy for unicompartment knee osteoarthritis. Arthroscopy. 2020;36(2):535–543. doi: 10.1016/j.arthro.2019.08.040. [DOI] [PubMed] [Google Scholar]
- 17.Kim D.H., Kim S.C., Yoon J.S., Lee Y.S. Are there harmful effects of preoperative mild lateral or patellofemoral degeneration on the outcomes of open wedge high tibial osteotomy for medial compartmental osteoarthritis? Orthop J Sports Med. 2020;8(6) doi: 10.1177/2325967120927481. 2325967120927481. [DOI] [PMC free article] [PubMed] [Google Scholar]
- 18.Majima T., Yasuda K., Katsuragi R., Kaneda K. Progression of joint arthrosis 10 to 15 years after high tibial osteotomy. Clin Orthop Relat Res. 2000;381(381):177–184. doi: 10.1097/00003086-200012000-00021. [DOI] [PubMed] [Google Scholar]
- 19.Goshima K., Sawaguchi T., Sakagoshi D., Shigemoto K., Hatsuchi Y., Akahane M. Age does not affect the clinical and radiological outcomes after open-wedge high tibial osteotomy. Knee Surg Sports Traumatol Arthrosc. 2017;25(3):912–923. doi: 10.1007/s00167-015-3847-6. [DOI] [PubMed] [Google Scholar]
- 20.Otsuki S., Murakami T., Okamoto Y., et al. Risk of patella baja after opening-wedge high tibial osteotomy. J Orthop Surg (Hong Kong) 2018;26(3) doi: 10.1177/2309499018802484. 2309499018802484. [DOI] [PubMed] [Google Scholar]
- 21.Lee Y.S., Lee S.B., Oh W.S., Kwon Y.E., Lee B.K. Changes in patellofemoral alignment do not cause clinical impact after open-wedge high tibial osteotomy. Knee Surg Sports Traumatol Arthrosc. 2016;24(1):129–133. doi: 10.1007/s00167-014-3349-y. [DOI] [PubMed] [Google Scholar]
- 22.Brinkman J.M., Lobenhoffer P., Agneskirchner J.D., Staubli A.E., Wymenga A.B., van Heerwaarden R.J. Osteotomies around the knee: patient selection, stability of fixation and bone healing in high tibial osteotomies. J Bone Joint Surg Br. 2008;90(12):1548–1557. doi: 10.1302/0301-620X.90B12.21198. [DOI] [PubMed] [Google Scholar]
- 23.Keene J.S., Monson D.K., Roberts J.M., Dyreby J.R., Jr. Evaluation of patients for high tibial osteotomy. Clin Orthop Relat Res. 1989;243:157–165. [PubMed] [Google Scholar]
- 24.Keene J.S., Dyreby J.R. High tibial osteotomy in the treatment of osteoarthritis of the knee. The role of preoperative arthroscopy. J Bone Joint Surg Am. 1983;65(1):36–42. [PubMed] [Google Scholar]
- 25.Korn M.W. A new approach to dome high tibial osteotomy. Am J Knee Surg. 1996;9(1):12–21. [PubMed] [Google Scholar]
- 26.Odenbring S., Egund N., Lindstrand A., Lohmander L.S., Willén H. Cartilage regeneration after proximal tibial osteotomy for medial gonarthrosis. An arthroscopic, roentgenographic, and histologic study. Clin Orthop Relat Res. 1992;277:210–216. [PubMed] [Google Scholar]
- 27.Miniaci A., Ballmer F.T., Ballmer P.M., Jakob R.P. Proximal tibial osteotomy. A new fixation device. Clin Orthop Relat Res. 1989;246:250–259. [PubMed] [Google Scholar]
- 28.Takeuchi R., Ishikawa H., Kumagai K., et al. Fractures around the lateral cortical hinge after a medial opening-wedge high tibial osteotomy: a new classification of lateral hinge fracture. Arthroscopy. 2012;28(1):85–94. doi: 10.1016/j.arthro.2011.06.034. [DOI] [PubMed] [Google Scholar]
- 29.Gulagaci F., Jacquet C., Ehlinger M., et al. A protective hinge wire, intersecting the osteotomy plane, can reduce the occurrence of perioperative hinge fractures in medial opening wedge osteotomy. Knee Surg Sports Traumatol Arthrosc. 2020;28(10):3173–3182. doi: 10.1007/s00167-019-05806-7. [DOI] [PubMed] [Google Scholar]
- 30.Jacquet C., Marret A., Myon R., et al. Adding a protective screw improves hinge's axial and torsional stability in High Tibial Osteotomy. Clin Biomech (Bristol, Avon) 2020;74:96–102. doi: 10.1016/j.clinbiomech.2020.02.015. [DOI] [PubMed] [Google Scholar]
- 31.Staubli A.E., Jacob H.A. Evolution of open-wedge high-tibial osteotomy: experience with a special angular stable device for internal fixation without interposition material. Int Orthop. 2010;34(2):167–172. doi: 10.1007/s00264-009-0902-2. [DOI] [PMC free article] [PubMed] [Google Scholar]
- 32.Lash N.J., Feller J.A., Batty L.M., Wasiak J., Richmond A.K. Bone grafts and bone substitutes for opening-wedge osteotomies of the knee: a systematic review. Arthroscopy. 2015;31(4):720–730. doi: 10.1016/j.arthro.2014.09.011. [DOI] [PubMed] [Google Scholar]
- 33.Belsey J., Diffo Kaze A., Jobson S., et al. Graft materials provide greater static strength to medial opening wedge high tibial osteotomy than when no graft is included. J Exp Orthop. 2019;6(1):13–19. doi: 10.1186/s40634-019-0184-6. [DOI] [PMC free article] [PubMed] [Google Scholar]
- 34.Munier M., Donnez M., Ollivier M., et al. Can three-dimensional patient-specific cutting guides be used to achieve optimal correction for high tibial osteotomy? Pilot study. Orthop Traumatol Surg Res. 2017;103(2):245–250. doi: 10.1016/j.otsr.2016.11.020. [DOI] [PubMed] [Google Scholar]
- 35.Donnez M., Ollivier M., Munier M., et al. Are three-dimensional patient-specific cutting guides for open wedge high tibial osteotomy accurate? An in vitro study. J Orthop Surg Res. 2018;13(1):171–178. doi: 10.1186/s13018-018-0872-4. [DOI] [PMC free article] [PubMed] [Google Scholar]
- 36.Jacquet C., Sharma A., Fabre M., et al. Patient-specific high-tibial osteotomy's ‘cutting-guides’ decrease operating time and the number of fluoroscopic images taken after a Brief Learning Curve. Knee Surg Sports Traumatol Arthrosc. 2020;28(9):2854–2862. doi: 10.1007/s00167-019-05637-6. [DOI] [PubMed] [Google Scholar]
- 37.Jonker L., Fallahi F., Saraswathy J.J., Edge J., Dawson M. OPTY-LINE remote-controlled adjustable intramedullary device implantation in open-wedge high tibial osteotomy: a prospective proof-of-concept pilot and comparison with Tomofix fixed-plate device method. J Orthop Surg (Hong Kong) 2019;27(3) doi: 10.1177/2309499019864721. 2309499019864721. [DOI] [PubMed] [Google Scholar]
- 38.Cao Z., Mai X., Wang J., Feng E., Huang Y. Unicompartmental knee arthroplasty vs high tibial osteotomy for knee osteoarthritis: a systematic review and meta-analysis. J Arthroplasty. 2018;33(3):952–959. doi: 10.1016/j.arth.2017.10.025. [DOI] [PubMed] [Google Scholar]
- 39.Smith W.B., Steinberg J., Scholtes S., Mcnamara I.R. Medial compartment knee osteoarthritis: age-stratified cost-effectiveness of total knee arthroplasty, unicompartmental knee arthroplasty, and high tibial osteotomy. Knee Surg Sports Traumatol Arthrosc. 2017;25(3):924–933. doi: 10.1007/s00167-015-3821-3. [DOI] [PubMed] [Google Scholar]
- 40.Kunze K.N., Beletsky A., Hannon C.P., et al. Return to work and sport after proximal tibial osteotomy and the effects of opening versus closing wedge techniques on adverse outcomes: a systematic review and meta-analysis. Am J Sports Med. 2020;48(9):2295–2304. doi: 10.1177/0363546519881638. [DOI] [PubMed] [Google Scholar]
- 41.Ekhtiari S., Haldane C.E., de Sa D., Simunovic N., Musahl V., Ayeni O.R. Return to work and sport following high tibial osteotomy: a systematic review. J Bone Joint Surg Am. 2016;98(18):1568–1577. doi: 10.2106/JBJS.16.00036. [DOI] [PubMed] [Google Scholar]
- 42.Primeau C.A., Birmingham T.B., Leitch K.M., et al. Total knee replacement after high tibial osteotomy: time-to-event analysis and predictors. CMAJ. 2021;193(5):E158–E166. doi: 10.1503/cmaj.200934. [DOI] [PMC free article] [PubMed] [Google Scholar]
- 43.Khoshbin A., Sheth U., Ogilvie-Harris D., et al. The effect of patient, provider and surgical factors on survivorship of high tibial osteotomy to total knee arthroplasty: a population-based study. Knee Surg Sports Traumatol Arthrosc. 2017;25(3):887–894. doi: 10.1007/s00167-015-3849-4. [DOI] [PubMed] [Google Scholar]
- 44.W-Dahl A, Robertsson O., Lohmander L.S. High tibial osteotomy in Sweden, 1998-2007: a population-based study of the use and rate of revision to knee arthroplasty. Acta Orthop. 2012;83(3):244–248. doi: 10.3109/17453674.2012.688725. [DOI] [PMC free article] [PubMed] [Google Scholar]
- 45.Niinimaki T.T., Eskelinen A., Mann B.S., Junnila M., Ohtonen P., Leppilahti J. Survivorship of high tibial osteotomy in the treatment of osteoarthritis of the knee: Finnish registry-based study of 3195 knees. J Bone Joint Surg Br. 2012;94(11):1517–1521. doi: 10.1302/0301-620X.94B11.29601. [DOI] [PubMed] [Google Scholar]











