Abstract
Patient: Female, 35-year-old
Final Diagnosis: Diamond-Blackfan anemia
Symptoms: Anemia • fatigue
Medication: —
Clinical Procedure: —
Specialty: Hematology
Objective:
Rare disease
Background:
Diamond-Blackfan anemia (DBA) is a rare genetic disorder associated with macrocytic anemia and reticulocytopenia, with patients usually transfusion-dependent in the first years of life. The disease inheritance is predominantly autosomal dominant, but varying presentations have been described owing to incomplete penetrance and widely variable expression. De novo mutations have been reported in about 55% of cases. This pediatric disease is commonly characterized by malformation of the extremities as well as craniofacial abnormalities and cardiac and urogenital defects. There have been reported cases of adult-onset DBA diagnosed through genetic testing. Although these adult-onset cases can vary in presentation, characteristic malformations are present in nearly half of patients. Treatment protocols include corticosteroids, blood transfusions, iron chelation, and bone marrow transplant. New investigational therapies are being evaluated. Roughly one-fourth of patients achieve remission and are able to maintain a stable hemoglobin level without intervention.
Case Report:
A 35-year-old woman with spina bifida and resultant paraplegia presented with new-onset transfusion-dependent hypoplastic anemia. Following an extensive evaluation, a RPL11 gene variant was found, confirming the diagnosis of DBA.
Conclusions:
DBA should be considered in young adult patients with severe, transfusion-dependent, aregenerative anemia without definitive cause. Evaluation for nonclassical DBA should be considered and excluded.
Keywords: Anemia; Anemia, Diamond-Blackfan; Blood Transfusion
Background
Diamond-Blackfan anemia (DBA) is a rare genetic disorder, which is part of a group of disorders known as inherited bone marrow failure syndromes [1], congenital causes of bone marrow failure of the erythroid cell line. These disorders share common features such as hematopoietic aplasia, a predisposition to cancer, and congenital defects, which include short stature, triphalangeal thumbs, wide spaced eyes, and occasionally genitourinary and/or cardiac abnormalities [2]. More than 90% of reported cases of DBA are identified within the first year of life, with equal distribution among male and female patients [3]. DBA was originally termed red cell aplasia by Dr Hugh Josephs in 1936 but currently garners its name from Diamond and Blackfan’s description of congenital hypo-plastic anemia in 1938 [4,5]. In 1976, accepted diagnostic criteria were published, which most notably include presentation of macrocytic anemia prior to the first birthday [6]. More recently noted characteristics include elevated hemoglobin F and erythrocyte adenosine deaminase [2]. A bone marrow aspirate should show less than 5% or absence of erythroid progenitors or an important paucity of erythroid progenitors in an otherwise normal sample, with no disruptions to other hematopoietic cell lineages [3]. The understanding of the patho-physiology of DBA continues to evolve, but current research suggests that DBA is a result of defective ribosome processing [3]. The first gene associated with DBA was ribosomal protein S19 (RPS19) in 1999, which continues to have the highest incidence rate among the 19 additional genes that have since been identified [3]. There appears to be multiple mechanisms that lead to defective erythroid precursors. Most notably, ribo-some dysfunction activates the p53 pathway, which promotes cell cycle arrest in erythroid progenitor cells [7]. Diagnostic criteria include clinical and genetic components, which are also supported by a positive family history [8]. Autosomal dominant mutations have been found in 26 ribosomal genes to date [9]. Non-ribosomal genes, including GATA binding protein 1 (GATA1) and TSR2 ribosome maturation factor (TSR2) have additionally been associated with X-linked mutations in DBA [9].
Some people have such mild signs and symptoms that they do not require treatment. For those who do require treatment, current options include corticosteroids, blood transfusions, and bone marrow/stem cell transplant [3]. Newer treatment modalities are being explored and include gene therapy, l-leucine, sotatercept, trifluoperazine, SMER28, and danazol [10]. Additionally, patients that require recurrent blood transfusions will need chelation therapy to prevent iron overload. Roughly one-fourth of patients achieve remission and are able to maintain a stable hemoglobin level without intervention [1]. DBA can also increase the risk of colorectal cancer, osteosarcoma, myelodysplastic syndromes, and acute myeloid leukemia.
Case Report
A 35-year-old woman presented to the Emergency Department (ED) for severe anemia discovered on the laboratory testing completed by her primary care physician. Her past medical history was significant for spina bifida with paraplegia, bladder reconstruction requiring suprapubic self-catheterization, and morbid obesity. She presented to the hospital several times in the past 3 years for anemia and required multiple blood transfusions, without diagnosis. Outpatient testing over the last 3 years had been nondiagnostic, including a bone marrow biopsy performed 4 months prior to admission, which displayed a normocellular marrow with erythroid hypoplasia (Figure 1A–1F). On this presentation, she complained of marked weakness, fatigue, and lightheadedness for 3 days. She denied recent history of heavy menstrual periods, hematochezia, melena, hematuria, or easy bruising. She denied constitutional symptoms of fevers, chills, or unintentional weight loss. She also denied any family history of anemia, blood disorders, or malignancies.
Figure 1.
Bone marrow biopsy. (A) Bone marrow core biopsy at 10× magnification with hematoxylin and eosin staining. Normal cellularity with a predominance of myeloid cells and normal megakaryocytes. (B) Bone marrow aspirate at 20× magnification with hematoxylin and eosin staining. (C) Bone marrow core biopsy with magnification 40× with ecadherin staning. The ecadherin immunostain highlights small erythroid islands in the bone marrow core biopsy, overall decreased in number. (D) Bone marrow aspirate smear magnification 40×. This smear demonstrates predominance of myeloid. (E) Bone marrow aspirate smear magnification 100×. This smear demonstrates predominance of myeloid maturation without dysplasia and only rare erythroid precursors, consistent with erythroid hypoplasia. (F) Bone marrow aspirate smear magnification 100×. This smear demonstrates predominance of myeloid maturation without dysplasia.
Physical examination revealed a young woman with a height of 152 cm and weight of 117 kg. Her vital signs were within normal limits. She was wheelchair-bound and appeared fatigued, but in no acute distress. She was noted to have wide-set eyes, moon facies, and paraplegia. Her hands were free of any gross structural abnormalities, including thenar atrophy or hypoplastic thumbs.
A complete blood count revealed a hemoglobin level of 5.9 g/dL and a mean corpuscular volume 107 fL. Her reticulocyte count was 3.1%, suggestive of an inadequate bone marrow response, given her level of anemia. A peripheral blood smear demonstrated a markedly decreased number of red blood cells, with hyperchromic and macrocytic red blood cells. Anisocytosis and poikilocytosis were markedly increased, including reticulocytes and spherocytes. Polychromasia was mildly increased. The white blood cell and platelet counts were normal; no blasts were identified. Hemoglobin electrophoresis was normal, with hemoglobin A1 accounting for 96% of her red cell line, hemoglobin A2 accounting for 2.8%, and hemoglobin F accounting for 0.6%.
Iron studies revealed a normal serum iron level and total iron-binding capacity, but elevated ferritin (461 ng/mL) and transferrin saturation (70%). Lactate dehydrogenase, haptoglobin, vitamin B12, and folate levels were within normal limits. The erythropoietin level was 1437 mIU/mL (range, 2.6–18.5 mIU/mL) and the adenosine deaminase (ADA) level was elevated at 2200 mU/G Hg (range, 400–900 mU/G Hg).
She received 2 units of packed red blood cells in the ED and was admitted to the hospital. Her hemoglobin initially increased to 7.4 g/dL, then dropped to 6.6 g/dL the following day. She did not report any signs of gastrointestinal bleeding, and a stool hemoccult test was negative on admission. A computed tomography scan of the chest/abdomen/pelvis (Figure 2) did not reveal any signs of hematoma or adenopathy and demonstrated normal thymus and spleen. A few days into the hospitalization, she reported blood in her stool, and a repeat hemoccult test was positive. She underwent bidirectional endoscopy with no evidence of active bleeding but with evidence of hemorrhoids. Her transient blood in her stool was suspected to be secondary to hemorrhoids and not likely a significant cause of her hemoglobin change or presentation. She required a total of 5 units of packed red blood cells over a 2-week period before maintaining a stable hemoglobin level for discharge. The cause of acute change in hemoglobin was not identified and did not reoccur, and no additional endoscopies were completed, but she was scheduled to have outpatient gastroenterology at follow-up. The Hematology Department was consulted during her hospitalization regarding her abnormal bone marrow biopsy and elevated ADA level. Parvovirus B19 IgG testing was positive; however, subsequent quantitative viral polymerase chain reaction testing was negative. A transthoracic echocardiogram demonstrated normal structure and function. Her constellation of congenital abnormalities and elevated ADA level led to consideration for a diagnosis of non-classical DBA. Genetic testing subsequently revealed a pathogenic variant in RPL11 c. 158-2_158-1 del AG ins CC, consistent with DBA. Following discharge, she required outpatient packed red blood cell transfusions every other week and iron chelation. Steroids were started after genetic testing identified DBA, but there was no clinical respond and these were discontinued. She has been referred to tertiary care and, at the time of this report, she is under evaluation for an allogeneic bone marrow transplantation.
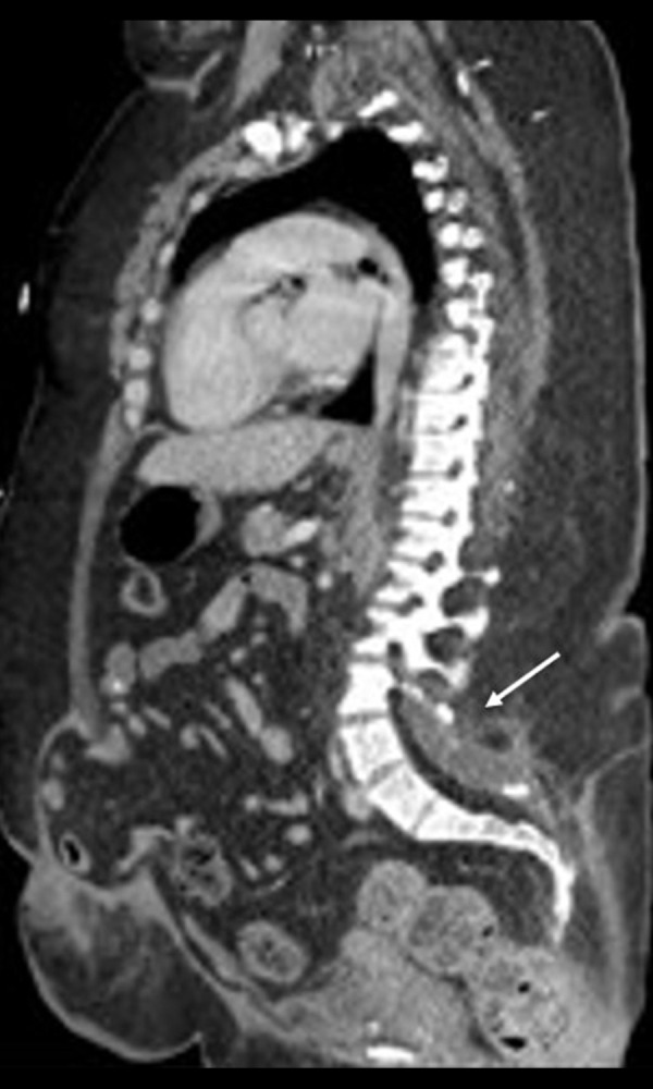
Figure 2.

Sagittal computed tomography image identifying no intra-abdominal bleeding, chronic spina bifida occulta (arrow), and chronic ventral hernia.
Discussion
Most cases of DBA present with severe macrocytic anemia within the first year of life. Advancements in genetic research have made it possible to diagnose this disorder in patients who present late in life and carry less distinct phenotypes. The incidence of DBA is around 6 per 1 million live births [11]. The disease is predominantly autosomal dominant, but 65% of patients cannot identify a parent with the disease, suggesting variable penetrance/expression or de novo mutations. Campoagnoli et al, in an Italian registry review in 2004, were able to demonstrate variable disease presentations in patients from the same family [12]. In 2010, Boria et al provided an updated genetic database of 355 people with confirmed disease and were able to identify new genes associated with DBA [13]. Additionally, Boria et al were able to complete a genotype–phenotype analysis that demonstrated physical malformations are more frequently associated with mutations in RPL5 and RPL11 [13]. Although our patient had a late presentation of severe transfusion dependent anemia, her spina bifida and related genitourinary problems may have represented the earliest form of her disease presentation. However, it is difficult to differentiate which abnormalities in our patient stem from her spina bifida versus her DBA, as there is overlap in the presentation of both disease pathologies. Boria et al uncovered 3 new mutations on the RPL11 gene bringing the total to 26 mutations. They were able to further classify the mutations as follows “1 missense, 2 nonsense, 17 small deletions and/or insertions, and 6 splice-site defects” [13]. Out of the 355 patients in the genetic database, only 37 patients had this unique mutation and 12 were considered de novo mutations [13]. In our patient, we suspected that she had a de novo deletion.
There have been few reported cases of presentations of DBA in adulthood; these are considered as “non-classical” presentations [1,8,14]. Two reports involving such non-classical presentations demonstrate patients with RPL11 variants [8,15]. These reports also discuss the possibility of variable penetrance in DBA, given that some of these family members only displayed thumb anomalies but no anemia [15].
Our patient was also found to have pathological variants in RPL11. Even though her variant is heterozygous autosomal dominant, she has no known family members with any reported anemia or obvious congenital abnormalities. This unusual presentation may be explained by variable penetrance of the trait. It would be beneficial to perform genetic testing on her family members and examine them for discrete congenital anomalies. Further research and data are required to ascertain the contribution of this gene variation in non-classical DBA. Such research will make it possible for the diagnosis of non-classical DBA to be made earlier in those with this rare condition and hopefully provide better outcomes with more prompt and appropriate treatment.
Management of DBA primarily includes corticosteroids, blood transfusions, and ultimately stem cell transplant [3]. Corticosteroids are started at a 2 mg/kg per day and are eventually tapered to the lowest dose (not exceeding 0.5 mg/kg per day or 1 mg/kg every other day), in which an adequate response of hemoglobin greater than 9 g/dL can be maintained [11,12]. Current guidelines recommend delaying steroid use until 1 year of age to allow for proper development and growth in infants [16]. If corticosteroid use is insufficient to meet hemoglobin goals, chronic red blood cell transfusion can be started [16]. At the time of this report, our patient remains transfusion-dependent and is receiving regularly scheduled transfusions alongside chelation treatment. For many patients, red blood cell transfusions are required every 3 to 5 weeks to maintain a goal hemoglobin level of 8 g/dL [16]. While these red cell transfusions are necessary, they present their own risks. Transfusion-associated iron overload is the second most common cause of death in DBA, surpassed only by transplantation complications [1,2]. Therefore, transfusion-dependent patients should receive chelation therapy after 15 transfusions or after age 2 years. The only current definitive treatment for DBA is a stem cell transplant. The best outcomes are seen when using HLA-matched sibling donors in patients between 3 and 9 years of age [16]. Improved survival with alternative donor stem cell transplants over the last 20 years has made this therapy more available among transfusion-dependent patients [16].
In comparison to cancer rates in the general population, DBA has an increase of cancer, including acute myeloid leukemia, colorectal cancer, osteosarcoma, and myelodysplastic syndromes [2,8]. The exact incidence and cancer types have not been confirmed through collation and analysis of the DBA registries. In the limited cases that have been published, many of the patients presented at a younger age than usual. The proposed pathogenesis for this increase in malignancy is the same as pathophysiology of the anemia and is based on abnormal ribosomal folding that activates the P53 pathway. In 2008, Vlachos et al recommended that cancer surveillance for leukemia should include a routine blood count every 4 to 6 months and a bone marrow aspirate if rapid decline in cell counts are noted that should include cytogenetic studies [8]. In addition to cancer predisposition, the cancer treatment is also complicated in DBA, as many of the therapies result in myelosuppression [2,17].
As research reveals further information about the genetic and molecular pathogenesis of DBA, it opens the door for potential new treatments, including gene therapy and targeted pharmacological therapies [18]. Newer treatment modalities are being explored and include gene therapy, l-leucine, sotatercept, trifluoperazine, SMER28, and danazol. These advances will hopefully lead to more treatment options, especially for those who are ineligible for stem cell transplantation.
Conclusions
Genetic testing should be considered in adult patients with severe transfusion-dependent aregenerative anemia without a definitive cause. Evaluation for nonclassical DBA should be considered and excluded, including evaluation for mutations of RP genes.
Abbreviations
- DBA
Diamond-Blackfan anemia;
- RPS19
ribosomal protein S19;
- GATA1
GATA binding protein 1;
- TSR2
TSR2 ribosome maturation factor
Footnotes
Declaration of Figures’ Authenticity
All figures submitted have been created by the authors who confirm that the images are original with no duplication and have not been previously published in whole or in part.
References:
- 1.Shimamura A, Alter BP. Pathophysiology and management of inherited bone marrow failure syndromes [published correction appears in Blood Rev. 2010;24(4–5): 201] Blood Rev. 2010;24(3):101–22. doi: 10.1016/j.blre.2010.03.002. [DOI] [PMC free article] [PubMed] [Google Scholar]
- 2.Lipton JM, Ellis SR. Diamond-Blackfan anemia: Diagnosis, treatment, and molecular pathogenesis. Hematol Oncol Clin North Am. 2009;23(2):261–82. doi: 10.1016/j.hoc.2009.01.004. [DOI] [PMC free article] [PubMed] [Google Scholar]
- 3.Costa LD, Narla A, Mohandas N. An update on the pathogenesis and diagnosis of Diamond-Blackfan anemia. F1000Research. 2018;7:1350. doi: 10.12688/f1000research.15542.1. [DOI] [PMC free article] [PubMed] [Google Scholar]
- 4.Josephs HW. Anaemia of infancy and early childhood. Medicine. 1936;15:307–451. [Google Scholar]
- 5.Diamond LK, Blackfan KD. Hypoplastic anemia. Am J Dis Child. 1938;56:464–67. [Google Scholar]
- 6.Diamond LK, Wang WC, Alter BP. Congenital hypoplastic anemia. Adv Pediatr. 1976;22:349–78. [PubMed] [Google Scholar]
- 7.Dutt S, Narla A, Lin K, et al. Haploinsufficiency for ribosomal protein genes causes selective activation of p53 in human erythroid progenitor cells. Blood. 2011;117(9):2567–76. doi: 10.1182/blood-2010-07-295238. [DOI] [PMC free article] [PubMed] [Google Scholar]
- 8.Vlachos A, Ball S, Dahl N, et al. Diagnosing and treating Diamond-Blackfan anaemia: Results of an international clinical consensus conference. Br J Haematol. 2008;142(6):859–76. doi: 10.1111/j.1365-2141.2008.07269.x. [DOI] [PMC free article] [PubMed] [Google Scholar]
- 9.Kattamis A. Diamond-Blackfan anaemia: Understanding an old disease. Br J Haematol. 2020;190(1):14–15. doi: 10.1111/bjh.16546. [DOI] [PubMed] [Google Scholar]
- 10.Tyagi A, Gupta A, Dutta A, et al. A review of Diamond-Blackfan anemia: Current evidence on involved genes and treatment modalities. Cureus. 2020;12(8):e10019. doi: 10.7759/cureus.10019. [DOI] [PMC free article] [PubMed] [Google Scholar]
- 11.Balaban EP, Buchanan GR, Graham MP, Frenkel E. Undefined Diamond-Blackfan syndrome in adult patients. Am J Med. 1985;78(3):533–38. doi: 10.1016/0002-9343(85)90352-3. [DOI] [PubMed] [Google Scholar]
- 12.Campagnoli MF, Ramenghi U, Armiraglio M, et al. RPS19 mutations in patients with Diamond-Blackfan anemia. Hum Mutat. 2008;29:911–20. doi: 10.1002/humu.20752. [DOI] [PubMed] [Google Scholar]
- 13.Boria I, Garelli E, Gazda HT, et al. The ribosomal basis of Diamond-Blackfan anemia: Mutation and database update. Hum Mutat. 2010;31(12):1269–79. doi: 10.1002/humu.21383. [DOI] [PMC free article] [PubMed] [Google Scholar]
- 14.Flores Ballester E, Gil-Fernández JJ, Vázquez Blanco M, et al. Adult-onset Diamond-Blackfan anemia with a novel mutation in the exon 5 of RPL11: too late and too rare. Clin Case Rep. 2015;3(6):392–95. doi: 10.1002/ccr3.240. [DOI] [PMC free article] [PubMed] [Google Scholar]
- 15.Carlston CM, Afify ZA, Palumbos JC, et al. Variable expressivity and incomplete penetrance in a large family with non-classical Diamond-Blackfan anemia associated with ribosomal protein L11splicing variant. Am J Med Genet. 2017;173(10):2622–27. doi: 10.1002/ajmg.a.38360. [DOI] [PubMed] [Google Scholar]
- 16.Vlachos A, Muir E. How I treat Diamond-Blackfan anemia. Blood. 2010;116(19):3715–23. doi: 10.1182/blood-2010-02-251090. [DOI] [PMC free article] [PubMed] [Google Scholar]
- 17.Ball S. Diamond-Blackfan anemia. Hematology Am Soc Hematol Educ Program. 2011;2011:487–91. doi: 10.1182/asheducation-2011.1.487. [DOI] [PubMed] [Google Scholar]
- 18.Aspesi A, Borsotti C, Follenzi A. Emerging therapeutic approaches for Diamond-Blackfan anemia. Curr Gene Ther. 2018;18(6):327–35. doi: 10.2174/1566523218666181109124538. [DOI] [PMC free article] [PubMed] [Google Scholar]

